Navigating the Challenges of Gluten Enteropathy and Infertility: The Role of Celiac-Related Antibodies and Dietary Changes
Abstract
1. Introduction
2. Infertility and Celiac Disease
- Along this line of reasoning, CD may also be associated with prolonged oxidative stress. The role of oxidative stress in subclinical forms of the disease is highlighted by Odetti et al. [21]. In their study, the levels of markers of oxidative stress obtained from both protein (carbonyl groups) and lipids (thiobarbituric acid-reactive substances) are significantly higher in CD patients. Even in asymptomatic patients, a redox imbalance could influence menstrual and reproductive function. However, there are no follow-up studies assessing these markers in celiac patients. More studies have to be conducted to prove the role of oxidative stress as a culprit in the etiology of CD, including the immunological aspects of gluten-related autoantibodies and infertility.
3. Undiagnosed CD’s Impact on Male Fertility
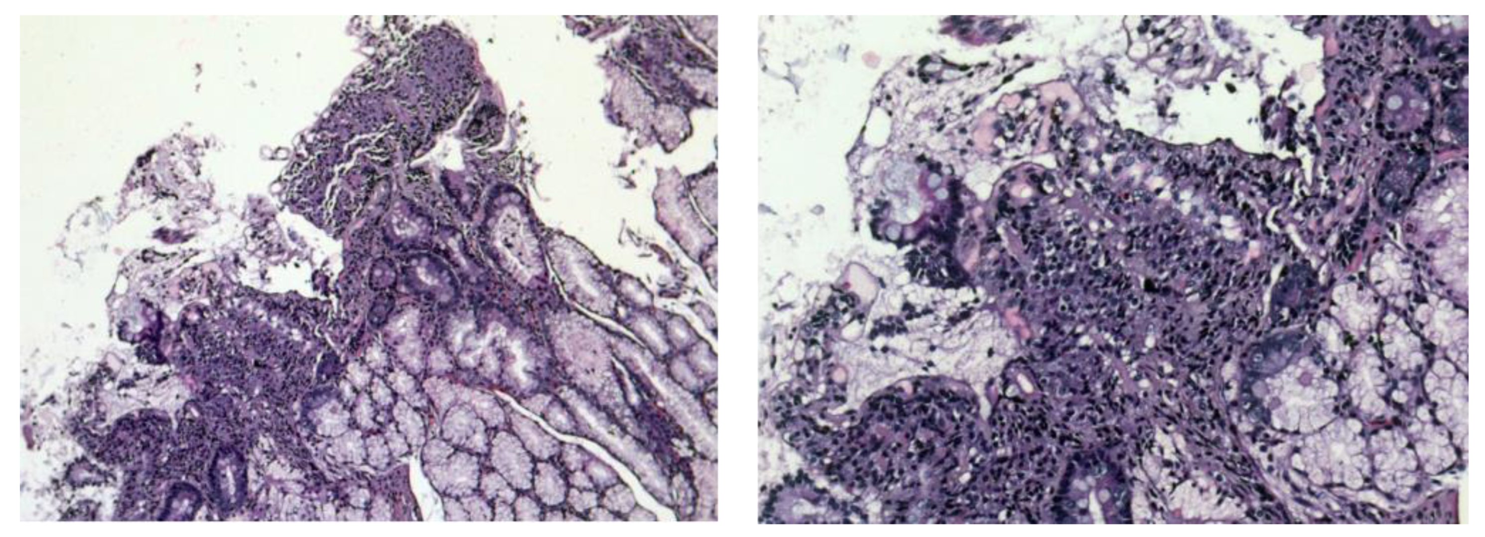
4. Pathophysiology of Villous Atrophy in Gluten Enteropathy
5. Summary Table of Meta-Analyses—CD and Infertility
6. Dietary Habits and Their Influence on Infertility
- Dietary habits and their impact on female infertility
- Dietary habits and their influence on male infertility
7. Gluten-Free Diet
8. Conclusions
Author Contributions
Funding
Institutional Review Board Statement
Informed Consent Statement
Acknowledgments
Conflicts of Interest
References
- Fasano, A.; Catassi, C. Clinical practice. Celiac disease. N. Engl. J. Med. 2012, 367, 2419–2426. [Google Scholar] [CrossRef] [PubMed]
- Reilly, N.R.; Fasano, A.; Green, P.H. Presentation of celiac disease. Gastrointest. Endosc. Clin. N. Am. 2012, 22, 613–621. [Google Scholar] [CrossRef] [PubMed]
- Shamaly, H.; Mahameed, A.; Sharony, A.; Shamir, R. Infertility and celiac disease: Do we need more than one serological marker? Acta Obstet. Gynecol. Scand. 2004, 83, 1184–1188. [Google Scholar] [CrossRef] [PubMed]
- Garozzo, M.; Tomarchio, S.; Coco, A.; Lionetti, E.; Rosa, M.; Leonardi, S. Celiac disease and infertility: A mini review. Riv. Ital. Med. Adolesc. 2013, 11, 1–3. [Google Scholar]
- Zhuang, R.; Khosla, C. Substrates, inhibitors, and probes of mammalian transglutaminase 2. Anal. Biochem. 2020, 591, 113560. [Google Scholar] [CrossRef]
- Zugna, D.; Richiardi, L.; Akre, O.; Stephansson, O.; Ludvigsson, J.F. A nationwide population-based study to determine whether coeliac disease is associated with infertility. Gut 2010, 59, 1471–1475. [Google Scholar] [CrossRef]
- Farthing, M.J.; Edwards, C.R.; Rees, L.H.; Dawson, A.M. Male gonadal function in coeliac disease: 1. Sexual dysfunction, infertility, and semen quality. Gut 1982, 23, 608–614. [Google Scholar] [CrossRef]
- Ludvigsson, J.F.; Ludvigsson, J. Coeliac disease in the father affects the newborn. Gut 2001, 49, 169–175. [Google Scholar] [CrossRef]
- Sahin, Y.; Mermer, S. Frequency of celiac disease and distribution of HLA-DQ2/DQ8 haplotypes among siblings of children with celiac disease. World J. Clin. Pediatr. 2022, 11, 351–359. [Google Scholar] [CrossRef]
- Molteni, N.; Bardella, M.T.; Bianchi, P.A. Obstetric and gynecological problems in women with untreated celiac sprue. J. Clin. Gastroenterol. 1990, 12, 37–39. [Google Scholar] [CrossRef]
- Smecuol, E.; Mauriño, E.; Vazquez, H.; Pedreira, S.; Niveloni, S.; Mazure, R.; Boerr, L.; Bai, J.C. Gynaecological and obstetric disorders in coeliac disease: Frequent clinical onset during pregnancy or the puerperium. Eur. J. Gastroenterol. Hepatol. 1996, 8, 63–89. [Google Scholar] [CrossRef]
- Martinelli, P.; Troncone, R.; Paparo, F.; Torre, P.; Trapanese, E.; Fasano, C.; Lamberti, A.; Budillon, G.; Nardone, G.; Greco, L. Coeliac disease and unfavourable outcome of pregnancy. Gut 2000, 46, 332–335. [Google Scholar] [CrossRef]
- Kiefte-de Jong, J.C.; Jaddoe, V.W.; Uitterlinden, A.G.; Steegers, E.A.; Willemsen, S.P.; Hofman, A.; Hooijkaas, H.; Moll, H.A. Levels of antibodies against tissue transglutaminase during pregnancy are associated with reduced fetal weight and birth weight. Gastroenterology 2013, 144, 726–735.e2. [Google Scholar] [CrossRef] [PubMed]
- Cetin, I.; Berti, C.; Calabrese, S. Role of micronutrients in the periconceptional period. Hum. Reprod. Update 2010, 16, 80–95. [Google Scholar] [CrossRef] [PubMed]
- García-Manzanares, A.; Lucendo, A.J. Nutritional and dietary aspects of celiac disease. Nutr. Clin. Pract. Off. Publ. Am. Soc. Parenter. Enter. Nutr. 2011, 26, 163–173. [Google Scholar] [CrossRef] [PubMed]
- Ciacci, C.; Cirillo, M.; Auriemma, G.; Di Dato, G.; Sabbatini, F.; Mazzacca, G. Celiac disease and pregnancy outcome. Am. J. Gastroenterol. 1996, 91, 718–722. [Google Scholar] [CrossRef] [PubMed]
- Goddard, C.J.; Gillett, H.R. Complications of coeliac disease: Are all patients at risk? Postgrad. Med. J. 2006, 82, 705–712. [Google Scholar] [CrossRef]
- Malnick, S.D.; Atali, M.; Lurie, Y.; Fraser, G.; Geltner, D. Celiac sprue presenting during the puerperium: A report of three cases and a review of the literature. J. Clin. Gastroenterol. 1998, 26, 164–166. [Google Scholar] [CrossRef]
- Corrado, F.; Magazzu, G.; Sferlazzas, C. Diagnosis of celiac disease in pregnancy and puerperium: Think about it. Acta Obstet. Gynecol. Scand. 2002, 81, 180–181. [Google Scholar] [CrossRef]
- Persellin, R.H. The effect of pregnancy on rheumatoid arthritis. Bull. Rheum. Dis. 1976, 27, 922–927. [Google Scholar]
- Odetti, P.; Valentini, S.; Aragno, I.; Garibaldi, S.; Pronzato, M.A.; Rolandi, E.; Barreca, T. Oxidative stress in subjects affected by celiac disease. Free Radic. Res. 1998, 29, 17–24. [Google Scholar] [CrossRef] [PubMed]
- Lasa, J.S.; Zubiaurre, I.; Soifer, L.O. Risk of infertility in patients with celiac disease: A meta-analysis of observational studies. Arq. Gastroenterol. 2014, 51, 144–150. [Google Scholar] [CrossRef] [PubMed]
- Ghadir, M.; Iranikhah, A.; Jandaghi, M.; Joukar, F.; Sedigh-Rahimabadi, M.; Mansour-Ghanaei, F. Unexplained infertility as primary presentation of celiac disease, a case report and literature review. Iran. J. Reprod. Med. 2011, 9, 135–140. [Google Scholar]
- Rajput, R.; Chatterjee, S. Primary infertility as a rare presentation of celiac disease. Fertil. Steril. 2010, 94, 2771.e5–2771.e7. [Google Scholar] [CrossRef]
- Dhalwani, N.N.; West, J.; Sultan, A.A.; Ban, L.; Tata, L.J. Women with celiac disease present with fertility problems no more often than women in the general population. Gastroenterology 2014, 147, 1267–1274.e1. [Google Scholar] [CrossRef] [PubMed]
- Glimberg, I.; Haggård, L.; Lebwohl, B.; Green, P.H.R.; Ludvigsson, J.F. The prevalence of celiac disease in women with infertility-A systematic review with meta-analysis. Reprod. Med. Biol. 2021, 20, 224–233. [Google Scholar] [CrossRef] [PubMed]
- Grode, L.B.; Agerholm, I.E.; Humaidan, P.; Parkner, T.; Bech, B.H.; Ramlau-Hansen, C.H.; Jensen, T.M. Unrecognised coeliac disease among men and women undergoing fertility treatment: A screening study. United Eur. Gastroenterol. J. 2018, 6, 1477–1484. [Google Scholar] [CrossRef]
- Husby, S.; Koletzko, S.; Korponay-Szabó, I.; Kurppa, K.; Mearin, M.L.; Ribes-Koninckx, C.; Shamir, R.; Troncone, R.; Auricchio, R.; Castillejo, G.; et al. European Society Paediatric Gastroenterology, Hepatology and Nutrition Guidelines for Diagnosing Coeliac Disease 2020. J. Pediatr. Gastroenterol. Nutr. 2020, 70, 141–156. [Google Scholar] [CrossRef]
- Raiteri, A.; Granito, A.; Giamperoli, A.; Catenaro, T.; Negrini, G.; Tovoli, F. Current guidelines for the management of celiac disease: A systematic review with comparative analysis. World J. Gastroenterol. 2022, 28, 154–175. [Google Scholar] [CrossRef]
- Velikova, T.V.; Spassova, Z.A.; Tumangelova-Yuzeir, K.D.; Krasimirova, E.K.; Ivanova-Todorova, E.I.; Kyurkchiev, D.S.; Altankova, I.P. Serological Update on Celiac Disease Diagnostics in Adults. Int. J. Celiac Dis. 2018, 6, 20–25. [Google Scholar] [CrossRef]
- Jafari, S.A.; Alami, A.; Sedghi, N.; Kianifar, H.; Kiani, M.A.; Khalesi, M.; Derafshi, R. Diagnostic accuracy of anti-DGP (IgG) for celiac disease. J. Fam. Med. Prim. Care 2023, 12, 42–46. [Google Scholar] [CrossRef]
- Freeman, H.J. Reproductive changes associated with celiac disease. World J. Gastroenterol. 2010, 16, 5810–5814. [Google Scholar] [CrossRef]
- Salvatore, S.; Finazzi, S.; Radaelli, G.; Lotzniker, M.; Zuccotti, G.V. Premacel Study Group Prevalence of undiagnosed celiac disease in the parents of preterm and/or small for gestational age infants. Am. J. Gastroenterol. 2007, 102, 168–173. [Google Scholar] [CrossRef]
- Koshak, E.; Atwah, A.; Aljedani, R.; Aljaied, Y.; Gaddoury, M.A. Common Autoimmune Antibodies in Unexplained Infertile Female Patients in Saudi Arabia. Cureus 2022, 14, e31724. [Google Scholar] [CrossRef] [PubMed]
- Di Simone, N.; Silano, M.; Castellani, R.; Di Nicuolo, F.; D’Alessio, M.C.; Franceschi, F.; Tritarelli, A.; Leone, A.M.; Tersigni, C.; Gasbarrini, G.; et al. Anti-tissue transglutaminase antibodies from celiac patients are responsible for trophoblast damage via apoptosis in vitro. Am. J. Gastroenterol. 2010, 105, 2254–2261. [Google Scholar] [CrossRef]
- Tersigni, C.; Castellani, R.; de Waure, C.; Fattorossi, A.; De Spirito, M.; Gasbarrini, A.; Scambia, G.; Di Simone, N. Celiac disease and reproductive disorders: Meta-analysis of epidemiologic associations and potential pathogenic mechanisms. Hum. Reprod. Update 2014, 20, 582–593. [Google Scholar] [CrossRef]
- Hadziselimovic, F.; Geneto, R.; Buser, M. Celiac disease, pregnancy, small for gestational age: Role of extravillous trophoblast. Fetal. Pediatr. Pathol. 2007, 26, 125–134. [Google Scholar] [CrossRef]
- Robinson, N.J.; Glazier, J.D.; Greenwood, S.L.; Baker, P.N.; Aplin, J.D. Tissue transglutaminase expression and activity in placenta. Placenta 2006, 27, 148–157. [Google Scholar] [CrossRef] [PubMed]
- Zemskov, E.A.; Janiak, A.; Hang, J.; Waghray, A.; Belkin, A.M. The role of tissue transglutaminase in cell-matrix interactions. Front. Biosci. J. Virtual Libr. 2006, 11, 1057–1076. [Google Scholar] [CrossRef]
- Park, D.; Choi, S.S.; Ha, K.S. Transglutaminase 2: A multi-functional protein in multiple subcellular compartments. Amino Acids 2010, 39, 619–631. [Google Scholar] [CrossRef] [PubMed]
- Anjum, N.; Baker, P.N.; Robinson, N.J.; Aplin, J.D. Maternal celiac disease autoantibodies bind directly to syncytiotrophoblast and inhibit placental tissue transglutaminase activity. Reprod. Biol. Endocrinol. RBE 2009, 7, 16. [Google Scholar] [CrossRef] [PubMed]
- Myrsky, E.; Kaukinen, K.; Syrjänen, M.; Korponay-Szabó, I.R.; Mäki, M.; Lindfors, K. Coeliac disease-specific autoantibodies targeted against transglutaminase 2 disturb angiogenesis. Clin. Exp. Immunol. 2008, 152, 111–119. [Google Scholar] [CrossRef] [PubMed]
- Heydari, F.; Rostami-Nejad, M.; Moheb-Alian, A.; Mollahoseini, M.H.; Rostami, K.; Pourhoseingholi, M.A.; Aghamohammadi, E.; Zali, M.R. Serum cytokines profile in treated celiac disease compared with non-celiac gluten sensitivity and control: A marker for differentiation. J. Gastrointest. Liver Dis. 2018, 27, 241–247. [Google Scholar] [CrossRef]
- Paolella, G.; Sposito, S.; Romanelli, A.M.; Caputo, I. Type 2 Transglutaminase in Coeliac Disease: A Key Player in Pathogenesis, Diagnosis and Therapy. Int. J. Mol. Sci. 2022, 23, 7513. [Google Scholar] [CrossRef] [PubMed]
- Booth, C.C. Pathophysiologie der Dünndarmresorption [Physiopathology of small intestine absorption]. Internist 1966, 7, 197–208. (In German) [Google Scholar]
- San Juan, F. Estudo de atulização sôbre fisiologia da absorção e fisiopatologie das principais síndromes disabsortivas do intestino delgado. Revisão da literatura [Study of the current status of knowledge of the physiology of absorption and the physiopathology of the principal malabsorption syndromes of the small intestine. Review of literature]. Hospital 1966, 69, 1009–1027. (In Spanish) [Google Scholar]
- De Re, V.; Magris, R.; Cannizzaro, R. New Insights into the Pathogenesis of Celiac Disease. Front. Med. 2017, 4, 137. [Google Scholar] [CrossRef]
- Kupfer, S.S.; Jabri, B. Pathophysiology of celiac disease. Gastrointest. Endosc. Clin. N. Am. 2012, 22, 639–660. [Google Scholar] [CrossRef]
- Catassi, C.; Verdu, E.F.; Bai, J.C.; Lionetti, E. Coeliac disease. Lancet 2022, 399, 2413–2426. [Google Scholar] [CrossRef]
- Özakıncı, H.; Kırmızı, A.; Savaş, B.; Kalkan, Ç.; Soykan, İ.; Çetinkaya, H.; Kuloğlu, Z.; Kansu, A.; Gürkan, Ö.E.; Dalgıç, B.; et al. Classification chaos in coeliac disease: Does it really matter? Pathol. Res. Pract. 2016, 212, 1174–1178. [Google Scholar] [CrossRef]
- Skoracka, K.; Ratajczak, A.E.; Rychter, A.M.; Dobrowolska, A.; Krela-Kaźmierczak, I. Female Fertility and the Nutritional Approach: The Most Essential Aspects. Adv. Nutr. 2021, 12, 2372–2386. [Google Scholar] [CrossRef] [PubMed]
- Kutteh, M.A.; Abiad, M.; Norman, G.L.; Kutteh, W.H. Comparison of celiac disease markers in women with early recurrent pregnancy loss and normal controls. Am. J. Reprod. Immunol. 2019, 82, e13127. [Google Scholar] [CrossRef] [PubMed]
- Juneau, C.R.; Franasiak, J.M.; Goodman, L.R.; Marin, D.; Scott, K.; Morin, S.J.; Neal, S.A.; Juneau, J.E.; Scott, R.T. Celiac disease is not more prevalent in patients undergoing in vitro fertilization and does not affect reproductive outcomes with or without treatment: A large prospective cohort study. Fertil. Steril. 2018, 110, 437–442. [Google Scholar] [CrossRef] [PubMed]
- Gunn, B.; Murphy, K.E.; Greenblatt, E.M. Unexplained Infertility and Undiagnosed Celiac Disease: Study of a Multiethnic Canadian Population. J. Obstet. Gynaecol. Can. JOGC 2018, 40, 293–298. [Google Scholar] [CrossRef] [PubMed]
- Sabzevari, A.; Yazdanbod, A.; Aghdam, F.K.; Maleki, N. Prevalence of celiac disease among iranian couples with unexplained infertility: A prospective study. J. Reprod. Med. 2017, 62, 659–664. [Google Scholar]
- Sarikaya, E.; Tokmak, A.; Aksoy, R.T.; Pekcan, M.K.; Alisik, M.; Alkan, A. The Association between Serological Markers of Celiac Disease and Idiopathic Recurrent Pregnancy Loss. Fetal Pediatr. Pathol. 2017, 36, 373–379. [Google Scholar] [CrossRef] [PubMed]
- Karaca, N.; Yılmaz, R.; Aktun, L.H.; Batmaz, G.; Karaca, Ç. Is there any relationship between unrecognized Celiac disease and unexplained infertile couples? Turk. J. Gastroenterol. 2015, 26, 484–486. [Google Scholar] [CrossRef] [PubMed]
- Machado, A.P.; Silva, L.R.; Zausner, B.; Oliveira, J.d.A.; Diniz, D.R.; de Oliveira, J. Undiagnosed celiac disease in women with infertility. J. Reprod. Med. 2013, 58, 61–66. [Google Scholar]
- Sharshiner, R.; Romero, S.T.; Bardsley, T.R.; Branch, D.W.; Silver, R.M. Celiac disease serum markers and recurrent pregnancy loss. J. Reprod. Immunol. 2013, 100, 104–108. [Google Scholar] [CrossRef]
- Holmes, M.D.; Pollak, M.N.; Willett, W.C.; Hankinson, S.E. Dietary correlates of plasma insulin-like growth factor I and insulin-like growth factor binding protein 3 concentrations. Cancer Epidemiol. Biomark. Prev. 2002, 11, 852–861. [Google Scholar]
- Augustin, L.S.A.; Kendall, C.W.C.; Jenkins, D.J.A.; Willett, W.C.; Astrup, A.; Barclay, A.W.; Björck, I.; Brand-Miller, J.C.; Brighenti, F.; Buyken, A.E.; et al. Glycemic index, glycemic load and glycemic response: An International Scientific Consensus Summit from the International Carbohydrate Quality Consortium (ICQC). Nutr. Metab. Cardiovasc. Dis. 2015, 25, 795–815. [Google Scholar] [CrossRef] [PubMed]
- Chavarro, J.E.; Rich-Edwards, J.W.; Rosner, B.A.; Willett, W.C. A prospective study of dietary carbohydrate quantity and quality in relation to risk of ovulatory infertility. Eur. J. Clin. Nutr. 2009, 63, 78–86. [Google Scholar] [CrossRef]
- Dunaif, A. Insulin resistance and the polycystic ovary syndrome: Mechanism and implications for pathogenesis. Endocr. Rev. 1997, 18, 774–800. [Google Scholar] [CrossRef] [PubMed]
- Rostami, K.; Bold, J.; Parr, A.; Johnson, M.W. Gluten-Free Diet Indications, Safety, Quality, Labels, and Challenges. Nutrients 2017, 9, 846. [Google Scholar] [CrossRef] [PubMed]
- Vici, G.; Belli, L.; Biondi, M.; Polzonetti, V. Gluten Free Diet and Nutrient Deficiencies: A Review. Clin. Nutr. 2016, 35, 1236–1241. [Google Scholar] [CrossRef]
- Czaja-Bulsa, G.; Bulsa, M. Adherence to Gluten-Free Diet in Children with Celiac Disease. Nutrients 2018, 10, 1424. [Google Scholar] [CrossRef]
- Diez-Sampedro, A.; Olenick, M.; Maltseva, T.; Flowers, M. A Gluten-Free Diet, Not an Appropriate Choice without a Medical Diagnosis. J. Nutr. Metab. 2019, 2019, 2438934. [Google Scholar] [CrossRef]
- Willis, S.K.; Wise, L.A.; Wesselink, A.K.; Rothman, K.J.; Mikkelsen, E.M.; Tucker, K.L.; Trolle, E.; Hatch, E.E. Glycemic load, dietary fiber, and added sugar and fecundability in 2 preconception cohorts. Am. J. Clin. Nutr. 2020, 112, 27–38. [Google Scholar] [CrossRef]
- Makki, K.; Deehan, E.C.; Walter, J.; Bäckhed, F. The Impact of Dietary Fiber on Gut Microbiota in Host Health and Disease. Cell Host Microbe 2018, 23, 705–715. [Google Scholar] [CrossRef]
- Sturmey, R.G.; Reis, A.; Leese, H.J.; McEvoy, T.G. Role of fatty acids in energy provision during oocyte maturation and early embryo development. Reprod. Domest. Anim. 2009, 44 (Suppl. 3), 50–58. [Google Scholar] [CrossRef]
- Norwitz, E.R.; Schust, D.J.; Fisher, S.J. Implantation and the survival of early pregnancy. N. Engl. J. Med. 2001, 345, 1400–1408. [Google Scholar] [CrossRef] [PubMed]
- Silvestris, E.; Lovero, D.; Palmirotta, R. Nutrition and Female Fertility: An Interdependent Correlation. Front. Endocrinol. 2019, 10, 346. [Google Scholar] [CrossRef]
- Nehra, D.; Le, H.D.; Fallon, E.M.; Carlson, S.J.; Woods, D.; White, Y.A.; Pan, A.H.; Guo, L.; Rodig, S.J.; Tilly, J.L.; et al. Prolonging the female reproductive lifespan and improving egg quality with dietary omega-3 fatty acids. Aging Cell 2012, 11, 1046–1054. [Google Scholar] [CrossRef]
- Hughes, J.; Kwong, W.Y.; Li, D.; Salter, A.M.; Lea, R.G.; Sinclair, K.D. Effects of omega-3 and -6 polyunsaturated fatty acids on ovine follicular cell steroidogenesis, embryo development and molecular markers of fatty acid metabolism. Reproduction 2011, 141, 105–118. [Google Scholar] [CrossRef] [PubMed]
- Kim, P.Y.; Zhong, M.; Kim, Y.S.; Sanborn, B.M.; Allen, K.G. Long chain polyunsaturated fatty acids alter oxytocin signaling and receptor density in cultured pregnant human myometrial smooth muscle cells. PLoS ONE 2012, 7, e41708. [Google Scholar] [CrossRef]
- Wonnacott, K.E.; Kwong, W.Y.; Hughes, J.; Salter, A.M.; Lea, R.G.; Garnsworthy, P.C.; Sinclair, K.D. Dietary omega-3 and -6 polyunsaturated fatty acids affect the composition and development of sheep granulosa cells, oocytes and embryos. Reproduction 2010, 139, 57–69. [Google Scholar] [CrossRef] [PubMed]
- Schaefer, E.; Nock, D. The Impact of Preconceptional Multiple-Micronutrient Supplementation on Female Fertility. Clin. Med. Insights. Women’s Health 2019, 12, 1179562X19843868. [Google Scholar] [CrossRef]
- Ebisch, I.M.; Thomas, C.M.; Peters, W.H.; Braat, D.D.; Steegers-Theunissen, R.P. The importance of folate, zinc and antioxidants in the pathogenesis and prevention of subfertility. Hum. Reprod. Update 2007, 13, 163–174. [Google Scholar] [CrossRef]
- Gaskins, A.J.; Mumford, S.L.; Chavarro, J.E.; Zhang, C.; Pollack, A.Z.; Wactawski-Wende, J.; Perkins, N.J.; Schisterman, E.F. The impact of dietary folate intake on reproductive function in premenopausal women: A prospective cohort study. PLoS ONE 2012, 7, e46276. [Google Scholar] [CrossRef]
- Bronisz, A.; Ozorowski, M.; Hagner-Derengowska, M. Pregnancy Ketonemia and Development of the Fetal Central Nervous System. Int. J. Endocrinol. 2018, 2018, 1242901. [Google Scholar] [CrossRef]
- Foresta, C.; Garolla, A.; Cosci, I.; Menegazzo, M.; Ferigo, M.; Gandin, V.; De Toni, L. Role of zinc trafficking in male fertility: From germ to sperm. Hum. Reprod. 2014, 29, 1134–1145. [Google Scholar] [CrossRef]
- Zhang, S.; Qiu, W.; Wu, H.; Zhang, G.; Huang, M.; Xiao, C.; Yang, J.; Kamp, C.; Huang, X.; Huellen, K.; et al. The shorter zinc finger protein ZNF230 gene message is transcribed in fertile male testes and may be related to human spermatogenesis. Biochem. J. 2001, 359 Pt 3, 721–727. [Google Scholar] [CrossRef] [PubMed]
- Boitani, C.; Puglisi, R. Selenium, a key element in spermatogenesis and male fertility. Adv. Exp. Med. Biol. 2008, 636, 65–73. [Google Scholar] [CrossRef] [PubMed]
- Hogarth, C.A.; Griswold, M.D. The key role of vitamin A in spermatogenesis. J. Clin. Investig. 2010, 120, 956–962. [Google Scholar] [CrossRef] [PubMed]
- Bast, A.; O’Bryan, T.; Bast, E. Celiac disease and reproductive health. Pract. Gastroenterol. 2009, 33, 10–12+15–18+21. [Google Scholar]
- Dias, T.R.; Alves, M.G.; Silva, B.M.; Oliveira, P.F. Sperm glucose transport and metabolism in diabetic individuals. Mol. Cell. Endocrinol. 2014, 396, 37–45. [Google Scholar] [CrossRef] [PubMed]
- Ajuogu, P.K.; Al-Aqbi, M.A.; Hart, R.A.; Wolden, M.; Smart, N.A.; McFarlane, J.R. The effect of dietary protein intake on factors associated with male infertility: A systematic literature review and meta-analysis of animal clinical trials in rats. Nutr. Health 2020, 26, 53–64. [Google Scholar] [CrossRef] [PubMed]
- Volta, U.; Bardella, M.T.; Calabrò, A.; Troncone, R.; Corazza, G.R. Study Group for Non-Celiac Gluten Sensitivity an Italian prospective multicenter survey on patients suspected of having non-celiac gluten sensitivity. BMC Med. 2014, 12, 85. [Google Scholar] [CrossRef]
- Silvester, J.A.; Kurada, S.; Szwajcer, A.; Kelly, C.P.; Leffler, D.A.; Duerksen, D.R. Tests for Serum Transglutaminase and Endomysial Antibodies Do Not Detect Most Patients with Celiac Disease and Persistent Villous Atrophy on Gluten-free Diets: A Meta-analysis. Gastroenterology 2017, 153, 689–701.e1. [Google Scholar] [CrossRef]
- Annibale, B.; Severi, C.; Chistolini, A.; Antonelli, G.; Lahner, E.; Marcheggiano, A.; Iannoni, C.; Monarca, B.; Delle Fave, G. Efficacy of gluten-free diet alone on recovery from iron deficiency anemia in adult celiac patients. Am. J. Gastroenterol. 2001, 96, 132–137. [Google Scholar] [CrossRef]




| Author | Year | № of Patients | Gender | Mean Age ± SD | Evaluated Factor | Serologic CD |
|---|---|---|---|---|---|---|
| Kutteh et al. [51] | 2019 | 708 | F | 33 ± 5.8 | RM—708 | TTG IgA—9; EMA—6; DGPA—4 |
| Grode et al. [27] | 2019 | 885 | F—453 M—432 | 31.9 ± 5 | Infertility—884 RM—1 | TTG IgA/ DGPA—8 |
| Juneau et al. [52] | 2018 | 995 | F | 35.9 ± 4.0 | Infertility—995 | TTG IgA—24; EMA—22; DGPA—NR |
| Gunn et al. [53] | 2018 | 393 | F | 35.7 ± 4.3 | Infertility—393 | TTG IgA—1; EMA—NR; DGPA—NR; Biopsy—NR |
| Sabzebari et al. [54] | 2017 | 100 | F/M | NR | Infertility—100 | TTG IgA—14; EMA—NR; DGPA—NR |
| Sarikaya et al. [55] | 2017 | 45 | F | 28 | RM—45 | TTG IgA—1; EMA—NR; DGPA—1 |
| Karaca et al. [56] | 2015 | 65 couples | F/M | 33.40 ± 4.59 | Infertility—65 | TTG IgA—1 male; EMA—1 male; DGPA—1 male |
| Machado et al. [57] | 2013 | 170 | F | 35 ± 6 | Infertility—65 | TTG IgA—6; EMA—3; DGPA—NR |
| Sharshiner et al. [58] | 2013 | 116 | F | 30.16 ± 4.43 | RM—116 | TTG IgA—1; EMA—0; DGPA—0 |
Disclaimer/Publisher’s Note: The statements, opinions and data contained in all publications are solely those of the individual author(s) and contributor(s) and not of MDPI and/or the editor(s). MDPI and/or the editor(s) disclaim responsibility for any injury to people or property resulting from any ideas, methods, instructions or products referred to in the content. |
© 2023 by the authors. Licensee MDPI, Basel, Switzerland. This article is an open access article distributed under the terms and conditions of the Creative Commons Attribution (CC BY) license (https://creativecommons.org/licenses/by/4.0/).
Share and Cite
Peshevska-Sekulovska, M.; Gulinac, M.; Rangelov, R.; Docheva, D.; Velikova, T.; Sekulovski, M. Navigating the Challenges of Gluten Enteropathy and Infertility: The Role of Celiac-Related Antibodies and Dietary Changes. Antibodies 2023, 12, 79. https://doi.org/10.3390/antib12040079
Peshevska-Sekulovska M, Gulinac M, Rangelov R, Docheva D, Velikova T, Sekulovski M. Navigating the Challenges of Gluten Enteropathy and Infertility: The Role of Celiac-Related Antibodies and Dietary Changes. Antibodies. 2023; 12(4):79. https://doi.org/10.3390/antib12040079
Chicago/Turabian StylePeshevska-Sekulovska, Monika, Milena Gulinac, Radoslav Rangelov, Desislava Docheva, Tsvetelina Velikova, and Metodija Sekulovski. 2023. "Navigating the Challenges of Gluten Enteropathy and Infertility: The Role of Celiac-Related Antibodies and Dietary Changes" Antibodies 12, no. 4: 79. https://doi.org/10.3390/antib12040079
APA StylePeshevska-Sekulovska, M., Gulinac, M., Rangelov, R., Docheva, D., Velikova, T., & Sekulovski, M. (2023). Navigating the Challenges of Gluten Enteropathy and Infertility: The Role of Celiac-Related Antibodies and Dietary Changes. Antibodies, 12(4), 79. https://doi.org/10.3390/antib12040079

