Abstract
In the process of rice cultivation, fertilizer reduction can effectively reduce the concentration of phosphorus (P) in overlying water and leaching water. In this study, the variation characteristics of P in overlying and leaching water under the conditions of fertilizer reduction and straw application and its impact on the environment were studied through a two-season rice field experiment. Four treatments were set, including no fertilizer without straw (CK), conventional fertilization (CF), 20% reduction in nitrogen (N) and P fertilization (RF), and 20% reduction in N and P fertilization with the wheat straw (RFWS). The results showed that RF could effectively reduce the risk of P loss due to its ability to decrease the concentration of P in overlying and leaching water. RFWS increased P concentrations in overlying and leaching water of rice fields. Total dissolved phosphorus (TDP) was the main form of total phosphorus (TP), and soluble reactive phosphorus (SRP) was the main form of TDP. The concentration of TP, TDP, and SRP in the overlying and leaching water peaked on the first day after fertilization, and then gradually decreased. The high-risk period of P loss was 0 to 10 days after fertilization. This study could provide appropriate strategies to reduce the risk of P loss during local rice cultivation and protect local water resources from eutrophication.
1. Introduction
Phosphorus (P) is one of the nutrients necessary for plant growth, which can effectively promote the increase in crop yield in agriculture [,]. P is also a major limiting nutrient in aquatic ecosystems as it is a key control factor for algal blooms [,,]. Rice (Oryza sativa L.), is one of the most important cereal crops in the world []. In China, rice cultivation accounts for 27% of arable land and 38% of grain production [,]. P fertilizer is widely used in rice and its rational application is beneficial to increasing rice yield []. Irrational application of P fertilizer in rice fields not only wastes P fertilizer resources and reduces the utilization rate of P fertilizer, but also easily causes the loss of P fertilizer [,,,]. For instance, excess P is likely to be lost through runoff and leaching, causing water quality degradation [,,,]. P loss in farmland such as paddy fields is considered to be one of the important sources of agricultural non-point source pollution []. For example, the loss of P in the Yasu River catchment was dominated by rice fields, and the loss reached 5.4 kg ha−1 []. Intensive cropping and flooding environments, unexpected surface drainage due to heavy rainfall, seasonal drainage due to rice growth, and lateral and longitudinal seepage conditions can cause potential P transfer in rice fields []. The amount of P runoff loss during rice cultivation accounted for 3.8% or even 5.3% of the fertilizer application amount []. The seasonal P leaching losses in topsoil (0–20 cm) and bottom soil (60–80 cm) in rice fields could reach the highest levels of 5.8% and 2.1% of the total P application rate [,]. This is very likely to make the P content in neighboring rivers and lakes higher than the eutrophication threshold, thereby threatening water quality and water ecosystems. Therefore, there is an urgent need to find ways to reduce P loss from rice fields.
P loss is thought to be related to fertilizer application [,,]. Surface runoff is considered to be the main route of P transfer in farmland []. Xu et al. [] believed that reducing the amount of fertilizer application was an effective way to improve the runoff pollution of rice fields in Taihu Basin, and the average reduction potential of P fertilizer was 7.5 kg ha−1. Liu et al. [] observed that increasing fertilizer application from 70% to 150% of conventional fertilizer application did not increase rice yield, but increased P concentration in paddy water and P runoff loss. Although most of the studies on P loss focus on its runoff loss, P leakage loss cannot be ignored [,,,]. P, although thought to be easily fixed in the soil, has also been shown to leach out of rice fields and is affected by the amount of fertilizer applied [,]. Previous studies have shown that P leaching increases with increasing soil P content []. The combined application of urea and controlled-release nitrogen (N) fertilizer in a reduced amount significantly reduced the leaching loss of total phosphorus (TP) []. It was suggested that the water quality of rice fields could be improved by reducing the normal fertilization rate by 20% []. The leaching of P is also affected by soil texture. The cumulative leaching loss of P in sandy clay loam is greater than that in clay loam []. As overlying water is the direct source of runoff and leaching water is the direct source of leakage loss in rice fields, understanding the change of P concentration in overlying and leaching water and the period of high P concentration can provide important field management recommendations for mitigating P loss.
Straw is a kind of renewable biological resource with many uses []. Straw application is an important way to improve soil properties and fertility, maintain crop productivity and optimize farmland’s ecological environment [,]. Reasonable application of organic fertilizer or crop straw in farmland is one of the best management measures for P conservation []. This is because soil organic matter content is increased when the straw is added, which increases the retention and stability of P []. Fei et al. [] showed that optimized N fertilizer combined with straw application reduced the concentration of TP in leachate and reduced P loss in greenhouse soil. However, Wang believed that straw application to the field increased the concentration of TP in leaching water and increased the leakage loss of P []. Cui et al. [] believed that the replacement of fertilizer with organic fertilizer reduced the loss of N in surface runoff, but increased TP concentration and P loss. Long-term overuse of pig manure in calcareous cinnamon soils increased the risk of P loss because it significantly increases the Olsen-P content in the soil []. This inconsistent conclusion may be related to the environment of the farmland. At present, there is a lack of research on the changes P in paddy water caused by straw returning. Therefore, under the unique hydrothermal environment of rice fields, it is worth exploring how P in water changes under the straw application.
In 2018, the sown area of rice in China was 30,189,450 hectares with an annual rice yield of 212,129,000 tons, of which Shaanxi Province had 105,390 hectares with an annual rice yield of 806,900 tons [,]. Hanzhong is the main rice cultivation base in Shaanxi Province, with a high degree of intensive cultivation, accounting for 76.4% of the rice sown area in Shaanxi Province []. At the same time, Hanzhong is the water conservation area of the middle route of China’s South-to-North Water Diversion Project []. Reducing N and P inputs in agriculture is beneficial to improving the water quality of aquatic ecosystems and water sources [,]. The local customary P application rate is 90 kg ha−1 (based on the amount of P2O5), which is much higher than other rice fields. For example, from the perspective of environmental protection, the amount of P input in the gley soil rice field in Japan was limited to 46 kg ha−1 []. In the Taihu Lake basin of China, the recommended optimum P fertilizer application rate for rice fields is 10–45 kg ha−1 []. Therefore, it is urgent to reduce fertilization in rice cultivation. Hanzhong is rich in straw resources, and returning straw to farmland is a common practice of local farmers. Fertilizer reduction and straw application are of great significance to reduce nutrient input and environmental burden []. However, the specific effects of fertilizer reduction and straw application on P in rice fields are not clear, and the dynamic changes of P in the overlying and leaching water of rice fields are less studied. Therefore, in this context, P concentrations in overlying and leaching water at different times in rice fields under fertilizer reduction and straw application were monitored. The specific objectives of this study were (1) to describe the dynamic changes of P in overlying and leaching water in rice fields, (2) to explore the effects of fertilizer reduction and straw application on P in overlying water of rice fields, and (3) to understand the effects of fertilizer reduction and straw application on P in leaching water in rice fields. This study provides a scientific basis for guiding local rational fertilization and preventing P pollution from non-point sources in rice fields.
2. Materials and Methods
2.1. Experimental Site
The field experiment was located in Hanjiang River Basin (106°49′11.3″ E, 32°59′42.34″ N), Shaanxi Province, China. The experimental area has a subtropical monsoon climate and an altitude of about 500 m []. The tested soil was classified as silty loam soil (USDA soil texture classification) []. The experiment was performed from 2018 to 2019. The daily mean temperature and rainfall were shown in Figure 1. The total rainfall in 2018 and 2019 was 730.3 mm and 1040.3 mm, respectively (Figure 1). Rice was planted from May to October each year, and no crops were planted the rest of the year. The main properties of 0–20 cm soil were as follows: soil organic carbon (SOC) was 12.39 g kg−1, total N was 0.651 g kg−1, total P was 0.520 g kg−1, available P was 16.70 mg kg−1, available potassium (K) was 109.3 mg kg−1, and pH was 7.3 (1:2.5, soil–water ratio). The proportions of sand, silt, and clay were 15.7%, 59.3%, and 25.0%, respectively.
Figure 1.
Daily mean temperature and rainfall from 2018 to 2019.
2.2. Experimental Design
Conventional fertilization (CF), 20% reduction in N and P fertilization (RF), RF plus 5000 kg hm−2 wheat straw (RFWS), and no fertilizer without straw (CK) were used in this experiment. The plot area was 60 m2 (10 m long and 6 m wide). The plot was arranged randomly and repeated three times. Blue steel plates with a width of 50 cm were buried 20 cm underground to reduce lateral seepage and flow between plots. The application rates of N, P, and K in local conventional fertilization were 180 kg ha−1 for N, 90 kg ha−2 for P2O5, and 90 kg ha−2 for K2O. The fertilization of each treatment during rice cultivation was shown in Table 1. N was applied twice as base fertilizer (37%N sulfur-coated urea) and topdressing (46%N ordinary urea) during rice cultivation. Phosphate and K fertilizers were basally applied as superphosphate (12%P2O5) and K sulfate (50%K2O). Straws were cut to 0–5 cm and mixed into the topsoil before rice planting. Wheat straw contains a total carbon of 43.9%, total N of 0.52%, total P of 0.095%, total K of 1.41%, and C/N of 84.4. The clay head device (leachate collection lysimeter) is buried 40 cm, 60 cm, and 100 cm deep under the surface in the center of each plot. The leachate collection lysimeter is connected to two red and blue pipes for the collection of leaching water. The details are shown in Figure 2. In 2018, rice was transplanted on 6 June, basal fertilizer was applied on 5 June, topdressing fertilizer was applied on 20 June, and rice harvest was held on 14 September. In 2019, rice transplanting was on 18 June, base fertilizer application was on 17 June, topdressing fertilizer application was on 16 July, and rice harvest was on 26 September. Other farmland management was carried out according to the planting management experience of local rice farmers, including irrigation, drainage, and weeding.
Table 1.
The amount of fertilizer applied.
Figure 2.
The collection device for leaching water in rice fields.
2.3. Sample Collection and Analysis
The overlying water during rice flooding was carefully collected 5 times randomly with a 50 mL syringe and then mixed into 250 mL plastic bottles. Water samples collected from the paddy fields were immediately brought back to the laboratory, stored in a 4 °C freezer, and immediately tested for P content. The overlying water collection was conducted on 18, 20, 23, and 27 June, 6, 16, 17, 19, 22, and 27 July, and 7 August 2019. The leaching water was collected through the leakage device on 6, 10, 15, 21, and 28 June, 5 and 23 July, and 9 and 28 August 2018.
According to the solubility of TP in water, researchers divided it into total dissolved phosphorus (TDP) and particulate phosphorus (PP) []. TDP was divided by researchers into soluble reactive phosphorus (SRP) and dissolved organic phosphorus (DOP) []. Unfiltered water was used for TP analysis, and filtered water (0.45 μm filters) was used for TDP and SRP analysis. TP and TDP were determined by UV spectrophotometry with K persulfate digestion (UV2600, Shimadzu Corporation, Kyoto, Japan) []. The concentration of PP was obtained by subtracting TP and TDP (PP = TP-TDP), and SRP was determined using the ascorbic acid colorimetric method [,]. The concentration of DOP was obtained by subtracting SRP from TDP (DOP = TDP-SRP) [,].
2.4. Data Analysis
All values were the average of three repetitions. Statistical tests were performed with IBM SPSS Statistics 22.0 software (IBM, Armonk, NY, USA). The one-way analysis of variance (ANOVA) was adopted to test whether different fertilization treatments had a significant effect on P concentrations of different forms. Tukey’s test of multiple comparisons was used to test whether the average values of different fertilization treatments were significantly different with p < 0.05 []. OriginPro 2016 (OriginLab Corporation, Northhampton, MA, USA) was used to prepare graphs.
3. Results
3.1. Dynamic Changes of Different P Forms in Overlying Water of Rice Fields
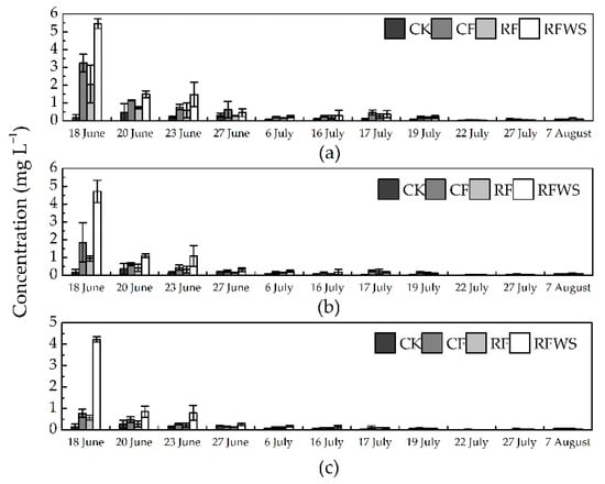
The concentrations of different forms of P in the overlying water of rice fields under different treatments changed significantly after P application. On the first day after P application, the concentrations of TP (Figure 3a), TDP (Figure 3b), and SRP (Figure 3c) in the overlying water all reached maximum values. On the 10th day after P application, P of different forms in each treatment decreased to CK level. Fertilizer reduction was beneficial to reduce the concentration of P in the overlying water. As shown in Table 2, the average concentration of TP, TDP, PP, SRP, and DOP in RF decreased by 35.3%, 35.2%, 23.9%, 35.4%, and 48.2%, respectively, compared with CF. In addition, compared with RF, RFWS increased the risk of P loss, because the average concentration of TP, TDP, PP, SRP, and DOP in RFWS were higher than RF by 0.504, 0.494, 0.454, 0.011, and 0.039 mg L−1, respectively. Compared with CF, RFWS increased the concentration of TP, TDP, and SRP by 41.3%, 97.8%, and 205.6%, respectively, but decreased the concentration of PP by 31.7% and DOP by 25.4%.
Figure 3.
Changes of different forms of P in the overlying water of paddy fields over time under different fertilization treatments. (a) total phosphorus (TP); (b) total dissolved phosphorus (TDP); (c) soluble reactive phosphorus (SRP).
Table 2.
The average concentration of different forms of P in the overlying water (mg L−1).
3.2. The Ratio of Different Forms of P in the Overlying Water
In the monitoring of overlying water during rice growth, since TDP/TP reached 56.73-78.55%, P was considered to exist in a dissolved state (Table 3). Compared with CF, RF increased TDP/TP by 4.9% and SRP/TDP by 13.8%, and decreased PP/TP by 6.4% and DOP/TDP by 16.8%. Compared to RF, RFWS increased TDP/TP by 32%, significantly increased SRP/TDP by 33.2%, decreased PP/TP by 47%, and significantly reduced DOP/TDP by 55.4%. At the same time, compared with CF, RFWS increased TDP/TP by 38.5% and SRP/TDP by 51.6%, and decreased PP/TP by 50.4% and DOP/TDP by 62.9%.
Table 3.
The proportion of different forms of P in the overlying water.
3.3. The Effect of Fertilizer Reduction and Straw Application on Dynamic Changes of Different P Forms in Leaching Water
The changes in TP concentrations at different depths over time are shown in Figure 4. On the first day after basal fertilizer application, the TP concentration in the leaching water was the maximum value, and then the concentration gradually decreased with time. The TP concentration at 40 cm ranged from 0.021 to 0.675 mg L−1, with an average of 0.133 mg L−1. The TP concentration at 60 cm ranged from 0.003 to 0.835 mg L−1, with an average of 0.144 mg L−1. TP concentration at 100 cm ranged from 0.014 to 0.810 mg L−1, with an average of 0.142 mg L−1. Meanwhile, the maximum TP concentration on 6 June was analyzed separately, as shown in Figure 5a. The TP concentration of CK treatment first decreased and then increased with the depth of water leakage, while CF, RF, and RFWS first increased and then decreased. Compared with CF, RF significantly decreased by 16.1% and 33.6% at 60 cm and 100 cm, respectively. The TP concentration of RFWS is smaller than CF but larger than RF in different depths of leaching water. Compared with CF, RFWS significantly reduced TP concentration in leaching water at 100 cm by 21.3%. At the same time, compared with RF, RFWS increased TP concentration at 40 cm, 60 cm, and 100 cm by 1.96%, 7.14%, and 18.6%, respectively. Therefore, RF was the best method to reduce the risk of TP leaching after fertilization in this experiment.
Figure 4.
Changes in TP concentration in leaching water at different depths under different fertilization treatments.

Figure 5.
P concentration in leaching water on 6 June: (a) TP concentration; (b) TDP concentration; and (c) SRP concentration. Different lowercase letters in the same soil layer in the figure indicate significant differences between treatments (p < 0.05).
Changes in TDP concentration at different depths under different treatments were shown in Figure 6. On the first day, the TDP value was the largest, and then gradually decreased. The concentrations of TDP at 40 cm, 60 cm, and 100 cm were 0.004 to 0.560 mg L−1 (mean, 0.104 mg L−1), 0.002 to 0.675 mg L−1 (mean, 0.114 mg L−1), and 0.010 to 0.625 mg L−1 (mean, 0.112 mg L−1), respectively. TDP concentration on 6 June is shown in Figure 5b. The TDP concentrations of CK and CF increased with the leaching depth, while the TDP concentrations of RF and RFWS increased first and then decreased. Compared with CF, RF did not significantly reduce TDP concentration in leaching water at 40 cm depth by 15.1%, and significantly reduced TDP concentration in leaching water at 100 cm depth by 28%. Compared with RF, RFWS increased TDP concentration at 40 cm by 4.96% and decreased TDP concentration at 60 cm by 10.6%. Compared with CF, RFWS reduced TDP concentration by 10.8% at 40cm, 28% at 100 cm, and increased by 4.55% at 60 cm.
Figure 6.
Changes in TDP concentration in leaching water at different depths under different fertilization treatments.
The changes in SRP concentrations at different depths over time are shown in Figure 7. The concentration of SRP reached the maximum on the first day and then decreased. SRP concentrations in leaching water at 40 cm, 60 cm, and 100 cm were 0.011 to 0.381 mg L−1 (mean, 0.081 mg L−1), 0.007 to 0.528 mg L−1 (mean, 0.086 mg L−1), and 0.012 to 0.444 mg L−1 (mean, 0.085 mg L−1), respectively. The concentration of SRP at 40 cm for RF was significantly higher than that for CF. As shown in Figure 5c, in the leaching water at different depths on 6 June, the SRP concentration of CK increased gradually, while CF and RF first increased and then decreased, and RFWS first decreased and then increased. Compared with CF, RF reduced SRP concentration by 6.44% at 40 cm, 30.1% at 60 cm, and 21.1% at 100 cm. Compared with RF, RFWS increased SRP concentration by 10.5% at 40 cm, 1.69% at 60 cm, and 12.5% at 100 cm. Compared with CF, RFWS increased SRP concentration by 3.39% at 40 cm, decreased by 28.9% at 60 cm, and decreased by 11.3% at 100 cm.
Figure 7.
Changes in SRP concentration in leaching water at different depths under different fertilization treatments.
P concentration of leaching water is shown in Table 4. Compared with CF, RF reduced the average concentration of P throughout the monitoring period. RF decreased TP by 8.90%, 14.5%, and 23.2% at 40 cm, 60 cm, and 100 cm, respectively. RF reduced TDP by 11.3% and 21.6% at 40 cm and 100 cm, respectively. RF reduced PP by 52.9% and 32.4% at 60 cm and 100 cm, respectively. RF reduced SRP by 3.16% and 23.8% at 60 cm and 100 cm, respectively. RF reduced DOP by 13.2% and 42.9% at 40 cm and 100 cm, respectively. Similarly, compared with CF, RFWS reduced the mean concentration of P throughout the monitoring period. RFWS reduced TP by 2.74%, 13.9%, and 8.33% at 40 cm, 60 cm, and 100 cm, respectively. RFWS reduced TDP by 3.48%, 3.28%, and 19.4% at 40 cm, 60 cm, and 100 cm, respectively. RFWS reduced PP by 39.2% at 60 cm. RFWS reduced SRP by 19.0% and 16.8% at 60 cm and 100 cm, respectively. RFWS reduced DOP by 15.8% at 40 cm and 33.3% at 100 cm, respectively. However, compared with RF, it was found that RFWS increased the average concentration of P in leaching water, especially at 100 cm depth. RFWS increased TP by 19.4%, TDP by 2.86%, PP by 95.7%, SRP by 9.09%, and DOP by 16.7%. On the whole, the average concentration of different P forms in 60 cm leaching water was greater than 40 cm and 100 cm.
Table 4.
P concentration of different treatments at different depths (mg L−1).
3.4. The Proportion of Different Forms of P in the Leaching Water
The proportions of different forms of P in leaching water at different depths under different treatments are shown in Table 5. For TDP/TP, CK and CF had the largest value at 100 cm, RF and RFWS had the largest value at 60 cm, CK and RF had the smallest value at 40 cm, CF had the smallest value at 60 cm, and RFWS had the smallest value at 100 cm. As the leaching depth increased, for PP/TP, the value of CK decreased gradually, CF increased first and then decreased, while RF and RFWS decreased first and then increased. For SRP/TDP, CK and CF increased first and then decreased, RF decreased gradually, and RFWS decreased first and then increased. For DOP/TDP, the values of CK and CF were the largest at 40 cm, the values of RF and RFWS were the largest at 60 cm, the values of CK and CF were the smallest at 60 cm, and the values of RF and RFWS were the smallest at 100 cm.
Table 5.
The proportion of different forms of P in leaching water.
We first focused on the leaching water at 40 cm. Compared with CF, RF reduced the values of TDP/TP by 3.27% and DOP/TDP by 2.61%, while increasing the values of PP/TP by 12.1% and SRP/TDP by 41.5%. Compared with CF, RFWS reduced DOP/TDP by 12.4%, while increasing PP/TP by 1.94% and SRP/TDP by 10.3%. Compared with RF, RFWS increased TDP/TP by 2.84%, but decreased PP/TP by 9.05%, SRP/TDP by 22.1%, and DOP/TDP by 10.1%. Then, the leaching water at 60 cm was observed. Compared with CF, RF increased TDP/TP by 18.9% and DOP/TDP by 46.4%, while decreasing PP/TP by 45.0% and SRP/TDP by 5.15%. Compared with CF, RFWS increased TDP/TP by 12.8% and DOP/TDP by 39.5%, while decreasing PP/TP by 30.6% and SRP/TDP by 16.1%. Compared with RF, RFWS increased PP/TP by 26.2%, but decreased TDP/TP by 5.07%, SRP/TDP by 11.6%, and DOP/TDP by 4.74%. Finally, leaching water at 100 cm was studied. Compared with CF, RF increased TDP/TP by 2.89%, but decreased PP/TP by 11.2%, SRP/TDP by 3.37%, and DOP/TDP by 28.6%. Compared with CF, RFWS reduced TDP/TP by 11.1% and DOP/TDP by 18.6%, while increasing PP/TP by 42.9% and SRP/TDP by 3.05%. Compared to RF, RFWS reduced TDP/TP by 13.6%, but increased PP/TP by 60.9%, SRP/TDP by 6.64%, and DOP/TDP by 14.0%.
4. Discussion
4.1. P in Overlying Water under Fertilizer Reduction and Straw Application
Due to losses caused by soil fixation, crop absorption, and leaching, P concentrations in rice overlying water decreased gradually after fertilization and showed a significant negative correlation with the number of days after fertilization []. Liu et al. [] believed that P concentration reached the peak on the day of base fertilizer application, and stabilized in early rice season after 15 days while decreasing rapidly and stabilizing in late rice season within 5 days, so 5–15 days after fertilization was the high-risk period of P loss. Xu et al. [] believed that the concentration of P in runoff water was relatively high within 2 weeks after fertilization. In this study, the concentration of TP, TDP, and SRP in the overlying water peaked on the first day after fertilization, gradually decreased, then dropped to a low value after 10 days, and then remained stable, indicating that 0–10 day after fertilization was a time of high risk of P loss. Therefore, special attention should be paid to field management during this period. Reducing the amount of fertilizer could effectively reduce the P concentration in runoff in previous studies []. This study confirmed that a 20% reduction in chemical fertilizer was beneficial to reduce P concentration in the overlying water. To maintain rice yield, only a 20% reduction in chemical fertilizer was used in the experimental treatment. This study showed that straw application increased TP, TDP, and SRP concentrations in the overlying water. It may be due to the organic anions formed by the decomposition of straw that compete with P for the same adsorption sites, which reduces the absorption of aluminum and iron oxides on P, thus increasing the release of P [,]. Cui et al. [] found in the study of N and P loss in rice field runoff that the application of organic manure increases P loss in surface runoff in rice fields. Wang et al. [] showed that application of organic fertilizer reduced N loss in rice fields, but increased the risk of P loss. Therefore, while promoting straw returning to rice fields, we should also prevent its possible pollution of the water environment.
Dissolved P is readily utilized by phytoplankton and bacteria as a stable source of nutrients []. SRP losses from agricultural fields promote algae growth in water bodies and may increase the risk of Harmful Algal Blooms []. SRP is the main active component of TDP, and it migrates easily from solid to liquid []. Therefore, monitoring the concentrations of TDP and SRP is of great significance for understanding the potential effects of P in rice fields on the eutrophication of surrounding water. The study showed that TDP was the main form of P, and SRP is the main form of TDP in the monitoring process of overlying water. As Hua et al. [] believed, within 7 days after application of P, the percentage of TDP in TP in paddy overlying water ranged from 43% to 84%. Gardner et al. [] believed that SRP was dominant when TDP concentration was high in field drains. Although the results show that PP/TDP of each treatment is lower than TDP/TP, and DOP/TDP is lower than SRP/TDP, PP and DOP also affect water quality. PP is the source of P that sustains phytoplankton blooms []. DOP might be a P source available to the biome, which could be utilized by phytoplankton and bacteria through various phosphatases []. Therefore, it is also necessary to prevent the loss of PP and DOP in rice fields. PP is more easily converted to SRP under anoxic conditions []. Temperature (T), pH, and dissolved oxygen (DO), etc., affect the conversion of various P forms []. In this study, the overlying water under straw application treatment had the highest TDP/TP and SRP/TDP, and the lowest PP/TP and DOP/TDP. This may be because straw application affected the environment of surface water in the paddy field and promoted the conversion of PP to TDP and DOP to SRP.
4.2. P in Leaching Water under Fertilizer Reduction and Straw Application
P concentration in leaching water is affected by fertilization and straw application [,]. The effect of fertilization on the concentration of P in leaching water is reflected in that P application increases the concentration of TP in leaching water []. In this study, TP concentration of fertilization treatment was significantly higher than CK, and TP concentration of CF was significantly higher than RF at 40 cm and 100 cm. Studies have pointed out that the organic anions formed by the decomposition of straw organic matter could compete with P for the same adsorption position and reduce the adsorption of aluminum and iron oxides on P, thus increasing the release of P [,]. Wang [] believed that the decomposition of straw would increase DOP and release some organic functional groups and organic acids, which would chelate part of P and further accelerate the dissolution of P, thus promoting P leaching. In this study, compared with RF, RFWS increased TP concentration by 1.96%, 7.14%, and 18.6% at 40 cm, 60 cm, and 100 cm, respectively. This indicates that straw application may have the risk of phosphorus leakage loss. The dynamic change of P concentration in leaching water was different. Wang [] believed that TP concentration reached its maximum after 1–2 weeks of P application. In this study, TP, TDP, and SRP concentrations of different treatments at different depths reached the maximum on the first day after basal fertilizer application and then decreased. This is due to the rapid migration of phosphate fertilizer in flooded paddy fields. The study by Xie et al. [] showed that the total P concentration in the 60–80 cm soil layer at two different test sites increased rapidly to about 0.7 mg L−1 and 0.8 mg L−1, respectively, about one day after fertilization. This also illustrates the importance of preventing P leakage after fertilization.
P in leaching water at different depths exists in a dissolved state. TDP is the main form of TP, and SRP is the main form of TDP. Zhang et al. [] reported that the SRP/TP ratio was 0.72–0.87 in paddy field leaching water of 20 cm, and Liang et al. [] found that the SRP/TDP ratio was 0.64–0.74 in paddy field leaching water of 40 cm. Soil column test of 20 cm paddy soil showed that TDP accounted for 59–76% of TP in leaching water []. In this study, PP/TP was lower than TDP/TP. These might be caused by the filtration of granular P by soil substrate []. It is generally believed that P is easily fixed by soil, and leaching loss of P occurs when soil P concentration is high and soil P adsorption capacity is weak []. The amount of P applied is believed to affect P leakage. The greater the amount of P applied, the more P accumulates on the soil surface and the deeper the downward movement of P in the profile []. In this study, the average concentration of TP in CF at 60 cm and 100 cm was significantly greater than that of 40 cm. After wheat straw application, there was no significant difference in P concentration in different depths of leaching water. This may be because wheat straw is added only to the surface soil.
4.3. The Risk of P Loss during Rice Cultivation
The environmental goal of the United Nations for sustainable development by 2030 is to reduce P loss and protect the water environment on a global scale []. P is the main limiting nutrient in many aquatic ecosystems and a key factor in controlling blooms []. The rice cultivation process is accompanied by P runoff and leakage []. For surface runoff in rice fields, the period after fertilization has a significant impact on the loss of N and P in surface runoff []. In this study, 0–10 days after fertilization, the average TP concentration in the overlying water of all treatments was 1.22 mg L−1, which was above the eutrophication threshold of 0.02 mg L−1 []. This study indicated that fertilizer reduction and straw application could not eliminate the risk of surface water eutrophication, and straw application might even increase the risk of surface water eutrophication, which was not conducive to the control of P loss. Therefore, measures should be taken to prevent P loss with overlying water after fertilization. For example, avoid overlapping the fertilization period and precipitation events [], control drainage after fertilization [], or use ecological ditches to intercept P []. In addition to optimizing fertilization, increasing the drainage height of rice fields and using shallow, wet irrigation also helped reduce P loss []. Studies have also shown that rice fields linked to ditches and ponds can effectively intercept the inevitable loss of P from rice fields []. Leaching loss of P from farmland can also affect water quality and lead to eutrophication []. During the whole monitoring period of this study, the average concentration of TP in different soil layers under different treatments ranged from 0.106 mg L−1 to 0.173 mg L−1, which was higher than the eutrophication threshold of 0.02 mg L−1 []. The results also showed that reduction in N and P fertilizer by 20% was beneficial to reducing TP concentration in leaching water, but returning wheat straw to the field had little effect on TP concentration in leaching water. Therefore, attention should be paid not only to the concentration of P in overlying water but also to the concentration of P in leaching water during rice cultivation, to take appropriate measures to reduce the risk of P loss.
5. Conclusions
The results of this study provide evidence that both overlying water and leaching water in rice fields are affected by fertilizer reduction and straw application. In overlying water, a 20% reduction in chemical fertilizer reduced the concentration of P in different forms, while the straw application increased the concentration of TP, TDP, and SRP. In leaching water, a 20% reduction in fertilizer reduced TP concentration at 40 cm and 100 cm, while the straw application increased TP concentration at 40 cm, 60 cm, and 100 cm. Therefore, a 20% reduction in chemical fertilizers rather than straw returning should be encouraged to reduce the risk of eutrophication of the water environment caused by P in paddy fields. P concentration in the overlying and leaching water peaked on the first day after fertilization and then decreased. The period of 0 to 10 days after fertilization was the period of high P concentration. Therefore, attention should be paid to preventing P loss during this period. TDP and SRP were the main forms of TP and TDP, respectively. It is recommended to monitor the changes of TDP and SRP concentrations in water during rice cultivation, so that appropriate field management measures can be taken when TDP and SRP concentrations are high to reduce the environmental risks caused by P.
Author Contributions
Conceptualization, W.Z. and J.L.; methodology, Y.Y.; software, W.Z. and X.L.; validation, W.Z., Y.Y. and Z.C.; formal analysis, W.Z. and X.L.; investigation, W.Z. and Y.Y.; resources, J.L.; data curation, W.Z. and Z.C.; writing—original draft preparation, W.Z.; writing—review and editing, J.L.; visualization, Z.C. and Y.Y.; supervision, J.L.; project administration, J.L.; and funding acquisition, J.L. All authors have read and agreed to the published version of the manuscript.
Funding
This research was funded by the Science and Technology Coordination Innovation Project of Shaanxi Province, China (No. 2016KTZDNY03-01) and the Water Conservancy Science and Technology Project of Shaanxi Province, China (No. 2016slkj-15).
Institutional Review Board Statement
Not applicable.
Informed Consent Statement
Not applicable.
Data Availability Statement
The data presented in this study are available on request from the corresponding author ljlll@nwsuaf.edu.cn.
Conflicts of Interest
The authors declare no conflict of interest.
References
- Hu, B.; Chu, C.C. Nitrogen-phosphorus interplay: Old story with molecular tale. New Phytol. 2020, 225, 1455–1460. [Google Scholar] [CrossRef] [PubMed] [Green Version]
- Yin, H.J.; Zhao, W.Q.; Li, T.; Cheng, X.Y.; Liu, Q. Balancing straw returning and chemical fertilizers in China: Role of straw nutrient resources. Renew Sust. Energ. Rev. 2018, 81, 2695–2702. [Google Scholar] [CrossRef]
- Goyette, J.O.; Bennett, E.M.; Maranger, R. Low buffering capacity and slow recovery of anthropogenic phosphorus pollution in watersheds. Nat. Geosci. 2018, 11, 921–925. [Google Scholar] [CrossRef]
- Hua, L.L.; Liu, J.; Zhai, L.M.; Xi, B.; Zhang, F.L.; Wang, H.Y.; Liu, H.B.; Chen, A.Q.; Fu, B. Risks of phosphorus runoff losses from five Chinese paddy soils under conventional management practices. Agric. Ecosyst. Environ. 2017, 245, 112–123. [Google Scholar] [CrossRef]
- Liu, L.H.; Ouyang, W.; Liu, H.B.; Zhu, J.Q.; Fan, X.P.; Zhang, F.L.; Ma, Y.H.; Chen, J.R.; Hao, F.H.; Lian, Z.M. Drainage optimization of paddy field watershed for diffuse phosphorus pollution control and sustainable agricultural development. Agric. Ecosyst. Environ. 2021, 308, 107238. [Google Scholar] [CrossRef]
- Cui, N.X.; Cai, M.; Zhang, X.; Abdelhafez, A.A.; Zhou, L.; Sun, H.F.; Chen, G.F.; Zou, G.Y.; Zhou, S. Runoff loss of nitrogen and phosphorus from a rice paddy field in the east of China: Effects of long-term chemical N fertilizer and organic manure applications. Glob. Ecol. Conserv. 2020, 22, e01011. [Google Scholar] [CrossRef]
- Minamikawa, K.; Fumoto, T.; Iizumi, T.; Cha-Un, N.; Pimple, U.; Nishimori, M.; Ishigooka, Y.; Kuwagata, T. Prediction of future methane emission from irrigated rice paddies in central Thailand under different water management practices. Sci. Total Environ. 2016, 566, 641–651. [Google Scholar] [CrossRef] [Green Version]
- Zhang, Y.J.; Zhang, W.; Wu, M.; Liu, G.S.; Zhang, Z.J.; Yang, J.C. Effects of irrigation schedules and phosphorus fertilizer rates on grain yield and quality of upland rice and paddy rice. Environ. Exp. Bot. 2021, 186, 104465. [Google Scholar] [CrossRef]
- Fink, J.R.; Inda, A.V.; Bavaresco, J.; Barron, V.; Torrent, J.; Bayer, C. Adsorption and desorption of phosphorus in subtropical soils as affected by management system and mineralogy. Soil Till Res. 2016, 155, 62–68. [Google Scholar] [CrossRef]
- Shaheen, S.M.; Wang, J.X.; Baumann, K.; Wang, S.L.; Leinweber, P.; Rinklebe, J. Redox-induced mobilization of phosphorus in groundwater affected arable soil profiles. Chemosphere 2021, 275, 129928. [Google Scholar] [CrossRef]
- Wang, K.Y.; Onodera, S.I.; Saito, M.; Okuda, N.; Okubo, T. Estimation of Phosphorus Transport Influenced by Climate Change in a Rice Paddy Catchment Using SWAT. Int. J. Environ. Res. 2021, 15, 759–772. [Google Scholar] [CrossRef]
- Lewis, W.M.; Wurtsbaugh, W.A.; Paerl, H.W. Rationale for Control of Anthropogenic Nitrogen and Phosphorus to Reduce Eutrophication of Inland Waters. Environ. Sci. Technol. 2011, 45, 10300–10305. [Google Scholar] [CrossRef] [PubMed]
- Shan, Y.H.; Yang, L.Z.; Yan, T.M.; Wang, J.G. Downward movement of phosphorus in paddy soil installed in large-scale monolith lysimeters. Agric. Ecosyst. Environ. 2005, 111, 270–278. [Google Scholar] [CrossRef]
- Zhang, S.J.; Guo, X.Y.; Yun, W.F.; Xia, Y.; You, Z.Y.; Rillig, M.C. Arbuscular mycorrhiza contributes to the control of phosphorus loss in paddy fields. Plant Soil 2020, 447, 623–636. [Google Scholar] [CrossRef]
- Yang, J.Y.; He, Z.L.; Yang, Y.G.; Stoffella, P.; Yang, X.E.; Banks, D.; Mishra, S. Use of amendments to reduce leaching loss of phosphorus and other nutrients from a sandy soil in Florida. Environ. Sci. Pollut. Res. 2007, 14, 266–269. [Google Scholar] [CrossRef]
- Zhang, Z.J.; Zhu, Y.M.; Guo, P.Y.; Liu, G.S. Potential loss of phosphorus from a rice field in Taihu Lake basin. J. Environ. Qual. 2004, 33, 1403–1412. [Google Scholar] [CrossRef]
- Cho, J.Y.; Han, K.W.; Choi, J.K.; Kim, Y.J.; Yoon, K.S. N and P losses from a paddy field plot in central Korea. Soil Sci. Plant Nutr. 2002, 48, 301–306. [Google Scholar] [CrossRef]
- Xie, X.J.; Ran, W.; Shen, Q.R.; Yang, C.Y.; Yang, J.J.; Cao, Z.H. Field studies on P-32 movement and P leaching from flooded paddy soils in the region of Taihu Lake, China. Environ. Geochem. Health 2004, 26, 237–243. [Google Scholar] [CrossRef]
- Liu, J.; Ouyang, X.Q.; Shen, J.L.; Li, Y.; Sun, W.R.; Jiang, W.Q.; Wu, J.S. Nitrogen and phosphorus runoff losses were influenced by chemical fertilization but not by pesticide application in a double rice-cropping system in the subtropical hilly region of China. Sci. Total Environ. 2020, 715, 136852. [Google Scholar] [CrossRef]
- Xu, Y.Q.; Su, B.L.; Wang, H.Q.; He, J.Y.; Yang, Y.X. Analysis of the water balance and the nitrogen and phosphorus runoff pollution of a paddy field in situ in the Taihu Lake basin. Paddy Water Environ. 2020, 18, 385–398. [Google Scholar] [CrossRef]
- Fei, C.; Zhang, S.R.; Wei, W.L.; Liang, B.; Li, J.L.; Ding, X.D. Straw and optimized nitrogen fertilizer decreases phosphorus leaching risks in a long-term greenhouse soil. J. Soils Sediments 2020, 20, 1199–1207. [Google Scholar] [CrossRef]
- Hua, K.K.; Zhu, B. Phosphorus loss through surface runoff and leaching in response to the long-term application of different organic amendments on sloping croplands. J. Soils Sediments 2020, 20, 3459–3471. [Google Scholar] [CrossRef]
- Li, M.; Hu, Z.Y.; Zhu, X.Q.; Zhou, G.H. Risk of phosphorus leaching from phosphorus-enriched soils in the Dianchi catchment, Southwestern China. Environ. Sci. Pollut. Res. 2015, 22, 8460–8470. [Google Scholar] [CrossRef] [PubMed]
- Wang, J.; Wang, D.; Zhang, G.; Wang, Y.; Wang, C.; Teng, Y.; Christie, P. Nitrogen and phosphorus leaching losses from intensively managed paddy fields with straw retention. Agric. Water Manag. 2014, 141, 66–73. [Google Scholar] [CrossRef]
- Jalali, M.; Jalali, M. Assessment risk of phosphorus leaching from calcareous soils using soil test phosphorus. Chemosphere 2017, 171, 106–117. [Google Scholar] [CrossRef]
- Kochian, L.V. PLANT NUTRITION Rooting for more phosphorus. Nature 2012, 488, 466–467. [Google Scholar] [CrossRef]
- Nest, T.V.; Vandecasteele, B.; Ruysschaert, G.; Merckx, R. Prediction of P concentrations in soil leachates: Results from 6 long term field trials on soils with a high P load. Agric. Ecosyst. Environ. 2017, 237, 55–65. [Google Scholar] [CrossRef]
- Qi, D.L.; Wu, Q.X.; Zhu, J.Q. Nitrogen and phosphorus losses from paddy fields and the yield of rice with different water and nitrogen management practices. Sci. Rep. 2020, 10, 9734. [Google Scholar] [CrossRef]
- Qi, D.L.; Yan, J.; Zhu, J.Q. Effect of a reduced fertilizer rate on the water quality of paddy fields and rice yields under fishpond effluent irrigation. Agric. Water Manag. 2020, 231, 105999. [Google Scholar] [CrossRef]
- Lee, J.H.; Lee, J.G.; Jeong, S.T.; Gwon, H.S.; Kim, P.J.; Kim, G.W. Straw recycling in rice paddy: Trade-off between greenhouse gas emission and soil carbon stock increase. Soil Till Res. 2020, 199, 104598. [Google Scholar] [CrossRef]
- Chen, Z.M.; Wang, H.Y.; Liu, X.W.; Zhao, X.L.; Lu, D.J.; Zhou, J.M.; Li, C.Z. Changes in soil microbial community and organic carbon fractions under short-term straw return in a rice-wheat cropping system. Soil Till Res. 2017, 165, 121–127. [Google Scholar] [CrossRef]
- Hu, N.J.; Wang, B.J.; Gu, Z.H.; Tao, B.R.; Zhang, Z.W.; Hu, S.J.; Zhu, L.Q.; Meng, Y.L. Effects of different straw returning modes on greenhouse gas emissions and crop yields in a rice-wheat rotation system. Agric. Ecosyst. Environ. 2016, 223, 115–122. [Google Scholar] [CrossRef]
- Brar, B.S.; Singh, J.; Singh, G.; Kaur, G. Effects of Long Term Application of Inorganic and Organic Fertilizers on Soil Organic Carbon and Physical Properties in Maize-Wheat Rotation. Agronomy 2015, 5, 220–238. [Google Scholar] [CrossRef]
- Yang, Y.J.; Zhang, H.P.; Qian, X.Q.; Duan, J.N.; Wang, G.L. Excessive application of pig manure increases the risk of P loss in calcic cinnamon soil in China. Sci. Total Environ. 2017, 609, 102–108. [Google Scholar] [CrossRef]
- National Bureau of Statistics of China. China Statistical Yearbook; China Statistics Press: Beijing, China, 2019.
- Shaanxi Provincial Bureau of Statistics. Shaanxi Statistical Yearbook; China Statistics Press: Beijing, China, 2019.
- Wei, S.K.; Yang, H.; Abbaspour, K.; Mousavi, J.; Gnauck, A. Game theory based models to analyze water conflicts in the Middle Route of the South-to-North Water Transfer Project in China. Water Res. 2010, 44, 2499–2516. [Google Scholar] [CrossRef]
- Reidsma, P.; Feng, S.Y.; van Loon, M.; Luo, X.J.; Kang, C.K.; Lubbers, M.; Kanellopoltlos, A.; Wolf, J.; van Ittersum, M.K.; Qu, F.T. Integrated assessment of agricultural land use policies on nutrient pollution and sustainable development in Taihu Basin, China. Environ. Sci. Policy 2012, 18, 66–76. [Google Scholar] [CrossRef]
- Nagumo, T.; Tajima, S.; Chikushi, S.; Yamashita, A. Phosphorus Balance and Soil Phosphorus Status in Paddy Rice Fields with Various Fertilizer Practices. Plant Prod. Sci. 2013, 16, 69–76. [Google Scholar] [CrossRef]
- Dai, H.P.; Wei, S.H.; Skuza, L.D.; Zhang, Q. Phytoremediation of two ecotypes cadmium hyperaccumulator Bidens pilosa L. sourced from clean soils. Chemosphere 2021, 273, 129652. [Google Scholar] [CrossRef]
- USDA. Soil Survey Manual; Soil Conservation Service: Washinton, DC, USA, 1993.
- Zhang, S.J.; Wang, L.; Ma, F.; Zhang, X.; Li, Z.; Li, S.Y.; Jiang, X.F. Can arbuscular mycorrhiza and fertilizer management reduce phosphorus runoff from paddy fields? J. Environ. Sci. 2015, 33, 211–218. [Google Scholar] [CrossRef]
- Tootoonchi, M.; Bhadha, J.H.; Lang, T.A.; McCray, J.M.; Clark, M.W.; Daroub, S.H. Reducing drainage water phosphorus concentration with rice cultivation under different water management regimes. Agric. Water Manag. 2018, 205, 30–37. [Google Scholar] [CrossRef]
- Murphy, J.; Riley, J.P. A modified single solution method for the determination of phosphate in natural waters. Anal. Chim. Acta 1962, 27, 678–681. [Google Scholar] [CrossRef]
- Wang, J.C.; Zhang, L.; Lu, Q.; Raza, W.; Huang, Q.W.; Shen, Q.R. Ammonia oxidizer abundance in paddy soil profile with different fertilizer regimes. Appl. Soil Ecol. 2014, 84, 38–44. [Google Scholar] [CrossRef]
- Wang, L.; Zhao, X.; Gao, J.X.; Butterly, C.R.; Chen, Q.H.; Liu, M.Q.; Yang, Y.W.; Xi, Y.G.; Xiao, X.J. Effects of fertilizer types on nitrogen and phosphorous loss from rice-wheat rotation system in the Taihu Lake region of China. Agric. Ecosyst. Environ. 2019, 285, 106605. [Google Scholar] [CrossRef]
- Ellison, M.E.; Brett, M.T. Particulate phosphorus bioavailability as a function of stream flow and land cover. Water Res. 2006, 40, 1258–1268. [Google Scholar] [CrossRef] [PubMed]
- Ni, X.J.; Yuan, Y.P.; Liu, W.L. Impact factors and mechanisms of dissolved reactive phosphorus (DRP) losses from agricultural fields: A review and synthesis study in the Lake Erie basin. Sci. Total Environ. 2020, 714, 136624. [Google Scholar] [CrossRef] [PubMed]
- Pu, J.; Wang, S.R.; Ni, Z.K.; Wu, Y.; Liu, X.F.; Wu, T.; Wu, H.X. Implications of phosphorus partitioning at the suspended particle-water interface for lake eutrophication in China’s largest freshwater lake, Poyang Lake. Chemosphere 2021, 263, 128334. [Google Scholar] [CrossRef] [PubMed]
- Gardner, C.M.K.; Cooper, D.M.; Hughes, S. Phosphorus in soils and field drainage water in the Thame catchment, UK. Sci. Total Environ. 2002, 282, 253–262. [Google Scholar] [CrossRef]
- Read, E.K.; Ivancic, M.; Hanson, P.; Cade-Menun, B.J.; McMahon, K.D. Phosphorus speciation in a eutrophic lake by P-31 NMR spectroscopy. Water Res. 2014, 62, 229–240. [Google Scholar] [CrossRef]
- Yang, B.; Kang, Z.J.; Lu, D.L.; Dan, S.F.; Ning, Z.M.; Lan, W.L.; Zhong, Q.P. Spatial Variations in the Abundance and Chemical Speciation of Phosphorus across the River-Sea Interface in the Northern Beibu Gulf. Water 2018, 10, 1103. [Google Scholar] [CrossRef] [Green Version]
- Dierberg, F.E.; DeBusk, T.A. Particulate phosphorus transformations in south Florida stormwater treatment areas used for Everglades protection. Ecol. Eng. 2008, 34, 100–115. [Google Scholar] [CrossRef]
- Feng, W.Y.; Yang, F.; Zhang, C.; Liu, J.; Song, F.H.; Chen, H.Y.; Zhu, Y.R.; Liu, S.S.; Giesy, J.P. Composition characterization and biotransformation of dissolved, particulate and algae organic phosphorus in eutrophic lakes. Environ. Pollut. 2020, 265, 114838. [Google Scholar] [CrossRef] [PubMed]
- Peng, S.Z.; Yang, S.H.; Xu, J.Z.; Luo, Y.F.; Hou, H.J. Nitrogen and phosphorus leaching losses from paddy fields with different water and nitrogen managements. Paddy Water Environ. 2011, 9, 333–342. [Google Scholar] [CrossRef]
- Liang, X.Q.; Li, L.; Chen, Y.X.; Li, H.; Liu, J.; He, M.M.; Ye, Y.S.; Tian, G.M.; Lundy, M. Dissolved Phosphorus Losses by Lateral Seepage from Swine Manure Amendments for Organic Rice Production. Soil Sci. Soc. Am. J. 2013, 77, 765–773. [Google Scholar] [CrossRef]
- Niyungeko, C.; Liang, X.Q.; Liu, C.L.; Liu, Z.W.; Sheteiwy, M.; Zhang, H.F.; Zhou, J.J.; Tian, G.M. Effect of biogas slurry application rate on colloidal phosphorus leaching in paddy soil: A column study. Geoderma 2018, 325, 117–124. [Google Scholar] [CrossRef]
- Kanter, D.R.; Brownlie, W.J. Joint nitrogen and phosphorus management for sustainable development and climate goals. Environ. Sci. Policy 2019, 92, 106–117. [Google Scholar] [CrossRef]
- Liu, X.P.; Bi, Q.F.; Qiu, L.L.; Li, K.J.; Yang, X.R.; Lin, X.Y. Increased risk of phosphorus and metal leaching from paddy soils after excessive manure application: Insights from a mesocosm study. Sci. Total Environ. 2019, 666, 778–785. [Google Scholar] [CrossRef]
- Wu, Y.L.; Huang, W.C.; Zhou, F.; Fu, J.; Wang, S.; Cui, X.Q.; Wang, Q.H.; Bo, Y.; Yang, S.Y.; Wang, N.; et al. Raindrop-induced ejection at soil-water interface contributes substantially to nutrient runoff losses from rice paddies. Agric. Ecosyst. Environ. 2020, 304, 107135. [Google Scholar] [CrossRef]
- Hua, L.L.; Zhai, L.M.; Liu, J.; Liu, H.B.; Zhang, F.L.; Fan, X.P. Effect of irrigation-drainage unit on phosphorus interception in paddy field system. J. Environ. Manag. 2019, 235, 319–327. [Google Scholar] [CrossRef]
- Li, X.N.; Zhang, W.W.; Wu, J.Y.; Li, H.J.; Zhao, T.K.; Zhao, C.Q.; Shi, R.S.; Li, Z.S.; Wang, C.; Li, C. Loss of nitrogen and phosphorus from farmland runoff and the interception effect of an ecological drainage ditch in the North China Plain-A field study in a modern agricultural park. Ecol. Eng. 2021, 169, 106310. [Google Scholar] [CrossRef]
- Fu, J.; Jian, Y.W.; Wu, Y.L.; Chen, D.J.; Zhao, X.; Ma, Y.H.; Niu, S.W.; Wang, Y.F.; Zhang, F.L.; Xu, C.X.; et al. Nationwide estimates of nitrogen and phosphorus losses via runoff from rice paddies using data-constrained model simulations. J. Clean. Prod. 2021, 279, 123642. [Google Scholar] [CrossRef]
Publisher’s Note: MDPI stays neutral with regard to jurisdictional claims in published maps and institutional affiliations. |
© 2022 by the authors. Licensee MDPI, Basel, Switzerland. This article is an open access article distributed under the terms and conditions of the Creative Commons Attribution (CC BY) license (https://creativecommons.org/licenses/by/4.0/).