Next Article in Journal
Genome-Wide Identification and Bioinformatics Analysis of the FK506 Binding Protein Family in Rice
Previous Article in Journal
The Complete Chloroplast Genome Sequence of the Medicinal Moss Rhodobryum giganteum (Bryaceae, Bryophyta): Comparative Genomics and Phylogenetic Analyses
 
 
Font Type:
Arial Georgia Verdana
Font Size:
Aa Aa Aa
Line Spacing:
Column Width:
Background:
Article

CNV Analysis through Exome Sequencing Reveals a Large Duplication Involved in Sex Reversal, Neurodevelopmental Delay, Epilepsy and Optic Atrophy

1
Department of Human Genetics, Gilbert and Rose-Marie Chagoury School of Medicine, Lebanese American University, Byblos P.O. Box 36, Lebanon
2
Gilbert and Rose-Marie Chagoury School of Medicine, Lebanese American University, Byblos P.O. Box 36, Lebanon
3
Institut Jérôme Lejeune, 75015 Paris, France
*
Author to whom correspondence should be addressed.
These authors contributed equally to this work.
Genes 2024, 15(7), 901; https://doi.org/10.3390/genes15070901
Submission received: 26 June 2024 / Revised: 6 July 2024 / Accepted: 9 July 2024 / Published: 10 July 2024
(This article belongs to the Section Human Genomics and Genetic Diseases)

Abstract

Background: Duplications on the short arm of chromosome X, including the gene NR0B1, have been associated with gonadal dysgenesis and with male to female sex reversal. Additional clinical manifestations can be observed in the affected patients, depending on the duplicated genomic region. Here we report one of the largest duplications on chromosome X, in a Lebanese patient, and we provide the first comprehensive review of duplications in this genomic region. Case Presentation: A 2-year-old female patient born to non-consanguineous Lebanese parents, with a family history of one miscarriage, is included in this study. The patient presents with sex reversal, dysmorphic features, optic atrophy, epilepsy, psychomotor and neurodevelopmental delay. Single nucleotide variants and copy number variants analysis were carried out on the patient through exome sequencing (ES). This showed an increased coverage of a genomic region of around 23.6 Mb on chromosome Xp22.31-p21.2 (g.7137718-30739112) in the patient, suggestive of a large duplication encompassing more than 60 genes, including the NR0B1 gene involved in sex reversal. A karyotype analysis confirmed sex reversal in the proband presenting with the duplication, and revealed a balanced translocation between the short arms of chromosomes X and 14:46, X, t(X;14) (p11;p11) in her/his mother. Conclusions: This case highlights the added value of CNV analysis from ES data in the genetic diagnosis of patients. It also underscores the challenges encountered in announcing unsolicited incidental findings to the family.

1. Introduction

Male sex reversal, occurring in 1:20,000–100,000 of males, is a condition where the sexual phenotype of an individual is in the opposite direction to his genetic sex [1].
This is due to an alteration of an organized cascade of regulatory interactions between specific transcription factors acting on the bipotential undifferentiated gonads and leading to their segregation into either the ovary or the testis. In mammals, the Y chromosome has a potent testis-determining effect on the indifferent stage, leading to male gonad development. Located on the Y chromosome is the sex determining gene SRY (which stands for sex-determining region Y gene) [2]. Male sex determination is governed sequentially by sex-determining region Y (SRY) and related SRY-box 9 (SOX9) transcription factors [3]. During male embryogenesis, and as early as day 41, SRY is expressed and leads to the differentiation, supporting cell precursors into Sertoli cells rather than follicle cells [2]. SRY then synergizes with steroidogenic factor1 (SF1, also known as nuclear receptor subfamily 5, group A, member 1), and binds to the testis-specific enhancer of the SOX9 gene (sry-related HMG box-9) to induce its expression [4]. SOX9 is another definitive testis differentiation gene. It acts as a transcriptional repressor and activator as well. Indeed, after its expression reaches a threshold, SOX9 downregulates the SRY gene, while activating downstream signaling pathways such as FGF9 and PGD2, repressing ovary-determining genes, and potentially activating SOX8 [5]. The latter then acts redundantly with SOX9. Their expression is maintained in Sertoli cells throughout life and they are important for maintaining adult testis [6,7].
Interference during embryogenesis in the tightly regulated sex determination process can be due to dysregulation in the expression of some key genes. This results in a failure to either suppress the opposite pathway (ovarian development) or to maintain the induced pathway (testis development).
Consequently, gonadal dysgenesis—in other words, reduced or totally absent gonads—may occur [8]. To date, around 11 genes with different inheritance modes have been linked to male sex reversal. Duplications of the short arm of the X chromosome have also been reported to be involved in sex reversal and in female/ambiguous external genitalia [9,10,11,12,13,14,15,16,17,18,19,20]. These duplications affect the DSS (dosage-sensitive sex reversal) region that is mapped to Xp21.1-Xp22.1 range [21]. Interestingly, this region includes the NR0B1 (nuclear receptor subfamily 0, group B, member 1) gene, also known as DAX1 (dosage-sensitive sex reversal-adrenal hypoplasia congenita critical region on the X chromosome, gene 1). NR0B1 regulates the development of the hypothalamic pituitary adrenal gonadal axis, and plays an essential role in sex determination and differentiation. It mainly functions as a transcriptional repressor, which affects various critical factors involved in sex determination. Indeed, the crucial role of DAX1 in male sex determination is carried out through several pathways, including the inhibition of the activity of SF1, which has a fundamental role in activating the SRY gene [22]. DAX1 also downregulates the expression of the SOX9 gene, which is crucial for the development of testes [23]. The dosage sensitivity of DAX1 is crucial, and excessive levels of DAX1 can antagonize the action of SRY, which leads to male-to-female sex reversal [21]. In other words, an XY person with a duplication involving DAX1 leads to the excessive inhibition of SRY, leading to a female phenotype. This relationship between DAX1 and the other sex-determining genes highlights the importance of the tight regulation needed for normal sex development and preventing disorders of sex development (DSDs), including sex reversal as well as conditions with both ovarian and testicular tissues (ovotesticular DSD) [21].
Mutations in the NR0B1 gene can lead to several genetic conditions due to dysfunction in adrenal and reproductive functions. While point mutations and deletions affecting this gene cause congenital adrenal hypoplasia and hypogonadotropic hypogonadism [24], duplications including the NR0B1 gene have been detected in XY individuals presenting phenotypically as females [21,22,23]. In the case of chromosomal abnormalities altering the gene, additional clinical manifestations can be observed in the patient depending on the genomic region that is affected [25].
Here, we present a 23.6 MB duplication on chromosome X in a 2-year-old patient with male sex reversal, dysmorphic features, optic atrophy, epilepsy, psychomotor and neurodevelopmental delay. A comprehensive review of the literature reporting duplications between Xp22.31-p22.12 (chrX:7,137,718–30,739,112) and their associated symptoms is also included.

2. Material and Methods

2.1. Patient

The proband, a 2-year-old female patient with dysmorphic features, optic atrophy, epilepsy, psychomotor and neurodevelopmental delay, was referred to our department for genetic testing and family counseling. A work-up, comprising a thorough clinical evaluation and molecular analyses, was performed. Written informed consent from the patient’s parents was obtained.

2.2. Isolation of Genomic DNA

A peripheral blood sample was collected from the patient for genetic studies. DNA was extracted from leucocytes by standard salt-precipitation methods [26].

2.3. Exome Sequencing (ES)

ES was carried out in the patient. The exome was captured and enriched using the solution Agilent SureSelect Human All Exon kit version 5.0, and samples were then multiplexed and subjected to sequencing on an Illumina HiSeq 2500 PE100-125. Reads files (FASTQ) were generated from the sequencing platform via the manufacturer’s proprietary software. Reads were aligned to the hg19/b37 reference genome using the Burrows–Wheeler Aligner (BWA) package version 0.7.11 [27]. Variant calling was subsequently performed using the Genome Analysis Tool Kit (GATK) version 3.3 [28]. Variants were called using high stringency settings and annotated with VarAFT software 1.61 [29], containing information from dbSNP147 and the Genome Aggregation database (gnomAD, http://gnomad.broadinstitute.org, accessed on 1 May 2023). Only the nonsynonymous coding and splicing variants found in the patient were considered. Variant filtering was performed according to the mode of transmission of the disease in the family, the frequency of the variant in the gnomAD database (<0.01% and <50 heterozygous carriers or <5 homo-/hemizygous carriers), and in our in-house database (<1 homozygous occurrence).

2.4. CNV Analysis—ExomeDepth

ES data were analyzed for the detection of copy number variants (CNVs), as reported earlier [30]. Briefly, the coverage of each sequencing amplicon is analyzed, and its sequencing depth is compared to that of all the samples processed on the same sequencing run. Several normalization steps are then performed to compute a score for each amplicon. A theoretical score of 1 is the normal case, suggesting that the amplicon was amplified similarly to that in other samples, while low (<0.5) or high (>1.5) values, respectively, reveal deletions or duplications. Cov’Cop and CovCopCan were used with the default settings, with all options active, and we defined a minimum threshold of three successive amplicons on the same chromosome to highlight a CNV.

2.5. Blood Karyotyping

Peripheral blood was withdrawn from the proband and her/his parents, and blood karyotyping was performed, following standard protocols based on R banding. Briefly, lymphocyte cultures were initiated from the peripheral blood samples withdrawn from the tested individuals. Colchicine was added to stop cells in metaphase, followed by hypotonic treatment and fixation to prepare metaphase spreads. Slides were then treated with trypsin and stained using Giemsa, enabling the visualization of R bands under a microscope. Chromosomal abnormalities were identified and classified according to the International System for Human Cytogenetic Nomenclature (ISCN) guidelines. An analysis was conducted using a light microscope equipped with appropriate software for image capture and karyotype interpretation (Metasystem/Zeiss Axio-Imager Z2 and Metafer Scanning System, River’s Edge Drive, Medford, OR, USA).

3. Results

3.1. Case Presentation

The patient is the third child born to a non-consanguineous Lebanese couple. The parents, who were both healthy, have an unaffected boy and have had a baby girl with multiple malformations, lost at 8 months of pregnancy without being genetically investigated. The patient was born at term through spontaneous vaginal delivery. She/he had normal female external genitalia. At birth, her/his weight was 2800 g and her/his length was 50 cm. During pregnancy, growth retardation was noted, but no known toxic exposures nor unusual events were reported.
By the age of 1 month, parents noted absence of eye contact, and strabismus. Ophthalmic examination revealed optic nerve dysgenesis and a macular coloboma on the right side. A brain MRI was performed, showing bilateral optic nerve atrophy. At 6 months old, following multiple urinary tract infections, the child was diagnosed with vesicoureteral reflux and underwent surgery two years later. Additionally, since she/he was 6 months old, the patient experienced epileptic spasms, confirmed by EEG, indicating a diagnosis of West syndrome, for which she/he was treated with adrenocorticotropic hormone.
The patient was first examined by us at the age of 2 years. Her/his height was 75.5 cm; weight, 7500 g; and head circumference, 45 cm (all below the 3rd percentile). A physical examination revealed a high-arched palate, telecanthus, strabismus, a broad nasal bridge, joint hyperlaxity, a single palmar crease on the left hand, long fingers, and muscle hypotrophy. She/he displayed severe developmental delay, responding only by smiling to her/his parents’ voices, and was unable to sit unaided. She/he also exhibited marked hypotonia. Feeding difficulties were reported, along with gastroesophageal reflux. Auscultation detected a systolic ejection murmur. Echocardiography revealed the presence of an ostium secundum atrial septal defect. A brain MRI showed abnormal high T2W/FLAIR signal intensity in the periventricular white matter around the posterior horn. Laboratory results indicated elevated FSH and LH levels.

3.2. Genetic Results

Exome sequencing (ES) carried out on the patient allowed for the detection of 100,237 genetic variants. The detected ES variants were filtered for only the protein-altering variants, including canonical splice-site variants, whose frequency of occurrence in public repertoires and our in-house database is lower than 1% (as detailed above). ES analysis did not detect any candidate variant that may explain the clinical manifestations in the patient. However, surprisingly, it revealed the presence and full coverage of chromosome Y. CNV analysis using ES coverage data was then performed, showing increased coverage of a genomic region of around 23.6 MB on chromosome Xp22.31-p21.2 (g.7137718–30739112), suggestive of a duplication that was never reported in the Database of Genomic Variants (DGV). This region comprises a total of 143 genes, of which 24 are dosage-sensitive (Table 1, updated from Genescout November 2023). Among these, 11 are triplosensitive (Table 1), including the NR0B1 gene involved in 46XY sex reversal 2, which is also dosage-sensitive.
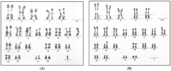
Blood karyotyping was then carried out on the propositus, showing a male pattern with an additional chromosomal fragment of an unknown origin on the short arm of chromosome 14 (Figure 1A). A karyotype analysis, performed on both parents, revealed the presence of an apparently balanced translocation between the short arms of chromosomes X and 14 in the mother—46,X,t(X;14)(p11;p11) (Figure 1B). The chromosomal formula of the propositus was then as follows: 46,XY,matder(14;X)(p11). Following this result, genetic counseling addressing this sensitive matter was provided to the family, in the presence of the psychologist who was in charge of handling the appropriate follow-up.

4. Discussion

Here, we report a 23.6 Mb duplication on chromosome Xp22.31-p21.2 (g.7137718–30739112), detected by CNV analysis through ES in a 2-year-old Lebanese patient presenting with male sex reversal, dysmorphic features, optic atrophy, epilepsy, psychomotor and neurodevelopmental delay. A karyotype analysis showed that the duplication results from a balanced maternal translocation: 46,X,t(X;14)(p11;p11).
To our knowledge, this is one of the largest duplications reported in a patient with sex reversal. To date, large duplications of more than 1 Mb on the short arm of the X chromosome have been detected in several reported patients (Table 2). The clinical manifestations of the affected individuals depend on the size of the affected region and the genes included in it. Owing to the large size of the region herein described, each of the clinical manifestations presented by our patient are justified, since they have been reported in other patients (Table 2). For instance, neurological manifestations such as hypotonia have been reported in most of the duplications of the Xp22.31 region, as well as in a case with Xp21.3 duplication [31,32,33]. Several forms of epilepsy are also seen in cases with Xp duplications, notably Xp22.31, Xp22.2, Xp22.12, and Xp21.3, which are often accompanied with significant changes detectable on brain imaging [31,32,34,35,36]. Moreover, different degrees of intellectual disability and developmental delay, ranging from motor to speech delay, are found in cases with duplications across the whole region [31,32,33,34,35,37,38,39,40]. Neurobehavioral features such as autism are also widely observed in several duplications in the Xp region, while more specific psychiatric symptoms, such as psychosis and pre-psychosis, were found in Xp22.12 and 21.3, respectively [33,35]. Furthermore, some patients with a duplication in Xp22.2 presented with presbycusis [37], and multiple heart defects, including valvular defects, are noted in several patients with duplications affecting Xp22.2–21.3 [38,39]. Gastrointestinal problems, such as feeding difficulty and gastroesophageal reflux, are also found in patients with a duplication in Xp22.31 [31,32]. Musculoskeletal abnormalities, such as scoliosis and short stature, are also associated with Xp22.2–22.13 [39]. Joint laxity and hypermobility were noted in a single case in Xp22.12 [35]. Dysmorphic features are variable and present across different regions, ranging from microphthalmia, digit and limb deformities, talipes anomalies, among others. Notable facial dysmorphism features include hypertelorism, telecanthus, a long face and a wide nasal bridge [31,32,35,36,37,38,39,40].
To better correlate the clinical manifestations with the genes located in the duplicated genomic region, a thorough review of all genes was performed to identify dosage-sensitive genes, especially those that are triplosensitive (Table 1). Among these, NR0B1, a gene located at Xp21.2, encodes a member of the nuclear receptor superfamily that functions as a coregulatory protein, suppressing the transcriptional activity of other nuclear receptors. Alterations in the dosage of NR0B1 lead to adrenal hypoplasia or to 46XY sex reversal [41], which is observed in the patient included in this study.
Among the triplosensitive genes located in the duplicated region, ARX, CDKL5, CNKSR2, MID1, PTCHD1, RPS6KA3, and SMS are known to be involved in intellectual developmental disorders with/without epilepsy. For instance, an increased dosage of the CDKL5 gene has been linked to a variety of symptoms, such as microcephaly, intellectual disability, limited hand skills, hypotonia, lack of eye contact, absence of speech and walking, seizures, and ataxia. The ARX gene also plays a role in cerebral development and patterning. An increase in ARX gene dosage results in a range of disorders, including developmental and epileptic encephalopathy, intellectual developmental disorder, lissencephaly, Partington syndrome, Proud syndrome, and hydranencephaly with abnormal genitalia, such as cryptorchidism and hypospadias. Our patient presents with epilepsy, and psychomotor and neurodevelopmental delay. He/she could not be assessed for his/her behavior (autism and ADHD), due to his/her severe intellectual disability. Attributing his clinical features to a particular gene is also very challenging.
Additionally, ophthalmologic problems, such as strabismus and optic nerve atrophy, were also reported in patients with duplications in this region [35,42]. RS1, located at Xp22.13, is an additional triplosensitive gene that is essential for the adhesion and interactions between cells in the retina. An increase in RS1 gene dosage causes retinoschisis, a condition characterized by the separation of retinal layers. This leads to optic atrophy and impaired vision, which is consistent with the symptoms observed in our patient.
On the other hand, ANOS1 has been linked to Kallmann syndrome, which is characterized by a delayed or absent puberty and impaired olfaction. An assessment of the absence of puberty is not possible due to the young age of the patient. Furthermore, a clinical evaluation for olfactory impairment could not be performed. Although some of the dosage-sensitive genes within the duplicated region were linked to specific diseases in our patient, other diseases associated with dosage-sensitive genes were not observed yet.
Last but not least, owing to the large size of the duplication and the large number of affected genes, a regular and thorough clinical follow-up and a multidisciplinary approach are required to enable optimal care for the patient and prevent morbidity associated with the genes not yet characterized. Furthermore, counseling the family is crucial, especially given that the identification of the balanced translocation in the mother has direct consequences on the risk of a recurrence of the disease in the family.

5. Conclusions

In summary, here we report a large duplication of 23.6 Mb on chromosome X, detected by CNV analysis through ES in a 2-year-old patient. This case highlights the added value of CNV analysis from ES data in the genetic diagnosis of patients. It also shows the relevance of standard techniques such as blood karyotyping in specific cases, such as in balanced translocations.
Last but not least, this case illustrates the challenges encountered in the genetic counseling of families, especially when unsolicited incidental findings are identified.

Author Contributions

C.M., E.C. and A.M. designed the study, performed genetic studies, interpreted data and wrote the manuscript. J.E.M., M.A. and P.M. performed the literature review and wrote the manuscript. All authors approved the manuscript. All authors have read and agreed to the published version of the manuscript.

Funding

This research received no external funding.

Institutional Review Board Statement

Approval to conduct the study was obtained from the IRB of the Lebanese American University, Lebanon. Written informed consent for analysis and data publication was obtained from the family in compliance with national ethics regulation.

Informed Consent Statement

Written informed consent has been obtained from the parents of the participant involved in the study. This included a section related to the participation in the study, data analysis and to data publication.

Data Availability Statement

All data are available from the corresponding author upon reasonable request.

Acknowledgments

We express our appreciation to the family for their cooperation throughout the study.

Conflicts of Interest

The authors declare no conflicts of interest.

References

  1. Wang, T.; Liu, J.H.; Yang, J.; Chen, J.; Ye, Z.Q. 46, XX male sex reversal syndrome: A case report and review of the genetic basis. Andrologia 2009, 41, 59–62. [Google Scholar] [CrossRef] [PubMed]
  2. Du, H.; Taylor, H.S. Chapter 27—Development of the Genital System. In Principles of Developmental Genetics, 2nd ed.; Moody, S.A., Ed.; Academic Press: Oxford, UK, 2015; pp. 487–504. ISBN 978-0-12-405945-0. [Google Scholar]
  3. Li, Y.; Zheng, M.; Lau, Y.-F.C. The sex-determining factors SRY and SOX9 regulate similar target genes and promote testis cord formation during testicular differentiation. Cell Rep. 2014, 8, 723–733. [Google Scholar] [CrossRef] [PubMed]
  4. Sekido, R.; Lovell-Badge, R. Sex determination involves synergistic action of SRY and SF1 on a specific Sox9 enhancer. Nature 2008, 453, 930–934. [Google Scholar] [CrossRef] [PubMed]
  5. Gonen, N.; Lovell-Badge, R. Chapter Eight—The regulation of Sox9 expression in the gonad. In Current Topics in Developmental Biology; Capel, B., Ed.; Academic Press: Cambridge, MA, USA, 2019; Volume 134, pp. 223–252. ISBN 0070-2153. [Google Scholar] [CrossRef]
  6. Barrionuevo, F.; Scherer, G. SOX E genes: SOX9 and SOX8 in mammalian testis development. SOX Transcr. Factors. 2010, 42, 433–436. [Google Scholar] [CrossRef] [PubMed]
  7. Barrionuevo, F.J.; Hurtado, A.; Kim, G.-J.; Real, F.M.; Bakkali, M.; Kopp, J.L.; Sander, M.; Scherer, G.; Burgos, M.; Jiménez, R. Sox9 and Sox8 protect the adult testis from male-to-female genetic reprogramming and complete degeneration. eLife 2016, 5, e15635. [Google Scholar] [CrossRef]
  8. Acién, P.; Acién, M. Disorders of Sex Development: Classification, Review, and Impact on Fertility. J. Clin. Med. 2020, 9, 3555. [Google Scholar] [CrossRef] [PubMed]
  9. Narahara, K.; Kodama, Y.; Kimura, S.; Kimoto, H. Probable inverted tandem duplication of Xp in a 46,Xp+Y boy. Jinrui Idengaku Zasshi. Jpn. J. Hum. Genet. 1979, 24, 105–110. [Google Scholar] [CrossRef] [PubMed]
  10. Bernstein, R.; Jenkins, T.; Dawson, B.; Wagner, J.; Dewald, G.; Koo, G.C.; Wachtel, S.S. Female phenotype and multiple abnormalities in sibs with a Y chromosome and partial X chromosome duplication: H–Y antigen and Xg blood group findings. J. Med. Genet. 1980, 17, 291–300. [Google Scholar] [CrossRef]
  11. Nielsen, K.B.; Langkjaer, F. Inherited partial X chromosome duplication in a mentally retarded male. J. Med. Genet. 1982, 19, 222–224. [Google Scholar] [CrossRef]
  12. Scherer, G.; Schempp, W.; Baccichetti, C.; Lenzini, E.; Bricarelli, F.D.; Carbone, L.D.; Wolf, U. Duplication of an Xp segment that includes the ZFX locus causes sex inversion in man. Hum. Genet. 1989, 81, 291–294. [Google Scholar] [CrossRef]
  13. Stern, H.J.; Garrity, A.M.; Saal, H.M.; Wangsa, D.; Disteche, C.M. Duplication of Xp21 and sex reversal: Insight into the mechanism of sex determination. Am. J. Hum. Genet. 1990, 47 (Suppl. A41), 153. [Google Scholar]
  14. May, K.M.; Grinzaid, K.A.; Blackston, R.D. Sex reversal and multiple abnormalities due to abnormal segregation of t(X; 16)-(pl 1.4;p13.3. Am. J. Hum. Genet. 1991, 49, 19. [Google Scholar]
  15. Ogata, T.; Hawkins, J.R.; Taylor, A.; Matsuo, N.; Hata, J.; Goodfellow, P.N. Sex reversal in a child with a 46,X,Yp+ karyotype: Support for the existence of a gene(s), located in distal Xp, involved in testis formation. J. Med. Genet. 1992, 29, 226–230. [Google Scholar] [CrossRef]
  16. Arn, P.; Chen, H.; Tuck-Muller, C.M.; Mankinen, C.; Wachtel, G.; Li, S.; Shen, C.C.; Wachtel, S.S. SRVX, a sex reversing locus in Xp21.2-->p22.11. Hum. Genet. 1994, 93, 389–393. [Google Scholar] [CrossRef]
  17. Bardoni, B.; Floridia, G.; Guioli, S.; Peverali, G.; Anichini, C.; Cisternino, M.; Casalone, R.; Danesino, C.; Fraccaro, M.; Zuffardi, O. Functional disomy of Xp22-pter in three males carrying a portion of Xp translocated to Yq. Hum. Genet. 1993, 91, 333–338. [Google Scholar] [CrossRef] [PubMed]
  18. Baumstark, A.; Barbi, G.; Djalali, M.; Geerkens, C.; Mitulla, B.; Mattfeldt, T.; de Almeida, J.C.; Vargas, F.R.; Llerena Júnior, J.C.; Vogel, W.; et al. Xp-duplications with and without sex reversal. Hum. Genet. 1996, 97, 79–86. [Google Scholar] [CrossRef] [PubMed]
  19. Telvi, L.; Ion, A.; Carel, J.C.; Desguerre, I.; Piraud, M.; Boutin, A.M.; Feingold, J.; Ponsot, G.; Fellous, M.; McElreavey, K. A duplication of distal Xp associated with hypogonadotrophic hypogonadism, hypoplastic external genitalia, mental retardation, and multiple congenital abnormalities. J. Med. Genet. 1996, 33, 767–771. [Google Scholar] [CrossRef][Green Version]
  20. Sukumaran, A.; Desmangles, J.C.; Gartner, L.A.; Buchlis, J. Duplication of dosage sensitive sex reversal area in a 46, XY patient with normal sex determining region of Y causing complete sex reversal. J. Pediatr. Endocrinol. 2013, 26, 775–779. [Google Scholar] [CrossRef] [PubMed]
  21. Bardoni, B.; Zanaria, E.; Guioli, S.; Floridia, G.; Worley, K.C.; Tonini, G.; Ferrante, E.; Chiumello, G.; McCabe, E.R.; Fraccaro, M. A dosage sensitive locus at chromosome Xp21 is involved in male to female sex reversal. Nat. Genet. 1994, 7, 497–501. [Google Scholar] [CrossRef]
  22. Swain, A.; Narvaez, V.; Burgoyne, P.; Camerino, G.; Lovell-Badge, R. Dax1 antagonizes Sry action in mammalian sex determination. Nature 1998, 391, 761–767. [Google Scholar] [CrossRef]
  23. Ludbrook, L.M.; Bernard, P.; Bagheri-Fam, S.; Ryan, J.; Sekido, R.; Wilhelm, D.; Lovell-Badge, R.; Harley, V.R. Excess DAX1 leads to XY ovotesticular disorder of sex development (DSD) in mice by inhibiting steroidogenic factor-1 (SF1) activation of the testis enhancer of SRY-box-9 (Sox9). Endocrinology 2012, 153, 1948–1958. [Google Scholar] [CrossRef] [PubMed]
  24. García-Acero, M.; Molina, M.; Moreno, O.; Ramirez, A.; Forero, C.; Céspedes, C.; Prieto, J.C.; Pérez, J.; Suárez-Obando, F.; Rojas, A. Gene dosage of DAX-1, determining in sexual differentiation: Duplication of DAX-1 in two sisters with gonadal dysgenesis. Mol. Biol. Rep. 2019, 46, 2971–2978. [Google Scholar] [CrossRef] [PubMed]
  25. Kovaleva, N.V.; Cotter, P.D. Factors affecting clinical manifestation of chromosomal imbalance in carriers of segmental autosomal mosaicism: Differential impact of gender. J. Appl. Genet. 2022, 63, 281–291. [Google Scholar] [CrossRef] [PubMed]
  26. Miller, S.A.; Dykes, D.D.; Polesky, H.F. A simple salting out procedure for extracting DNA from human nucleated cells. Nucleic Acids Res. 1988, 16, 1215. [Google Scholar] [CrossRef] [PubMed]
  27. Li, H.; Durbin, R. Fast and accurate short read alignment with Burrows-Wheeler transform. Bioinformatics 2009, 25, 1754–1760. [Google Scholar] [CrossRef] [PubMed]
  28. McKenna, A.; Hanna, M.; Banks, E.; Sivachenko, A.; Cibulskis, K.; Kernytsky, A.; Garimella, K.; Altshuler, D.; Gabriel, S.; Daly, M.; et al. The Genome Analysis Toolkit: A MapReduce framework for analyzing next-generation DNA sequencing data. Genome Res. 2010, 20, 1297–1303. [Google Scholar] [CrossRef] [PubMed]
  29. Desvignes, J.P.; Bartoli, M.; Delague, V.; Krahn, M.; Miltgen, M.; Béroud, C.; Salgado, D. VarAFT: A variant annotation and filtration system for human next generation sequencing data. Nucleic Acids Res. 2018, 46, 545–553. [Google Scholar] [CrossRef] [PubMed]
  30. Miressi, F.; Faye, P.A.; Pyromali, I.; Bourthoumieux, S.; Derouault, P.; Husson, M.; Favreau, F.; Sturtz, F.; Magdelaine, C.; Lia, A.S. A mutation can hide another one: Think Structural Variants! Comput. Struct. Biotechnol. J. 2020, 18, 2095–2099. [Google Scholar] [CrossRef] [PubMed]
  31. MacColl, C.; Stein, N.; Tarnopolsky, M.; Lu, J.Q. Neurodevelopmental and associated changes in a patient with Xp22.31 duplication. Neurol. Sci. Off. J. Ital.Neurol. Soc. Ita.l Soc. Clin. Neurophysiol. 2020, 41, 713–716. [Google Scholar] [CrossRef] [PubMed]
  32. Esplin, E.D.; Li, B.; Slavotinek, A.; Novelli, A.; Battaglia, A.; Clark, R.; Curry, C.; Hudgins, L. Nine patients with Xp22.31 microduplication, cognitive deficits, seizures, and talipes anomalies. Am. J. Med. Genet. A 2014, 164, 2097–2103. [Google Scholar] [CrossRef]
  33. Poeta, L.; Malacarne, M.; Padula, A.; Drongitis, D.; Verrillo, L.; Lioi, M.B.; Chiariello, A.M.; Bianco, S.; Nicodemi, M.; Piccione, M.; et al. Further Delineation of Duplications of ARX Locus Detected in Male Patients with Varying Degrees of Intellectual Disability. Int. J. Mol. Sci. 2022, 23, 3084. [Google Scholar] [CrossRef] [PubMed]
  34. Honda, S.; Hayashi, S.; Imoto, I.; Toyama, J.; Okazawa, H.; Nakagawa, E.; Goto, Y.-I.; Inazawa, J. Copy-number variations on the X chromosome in Japanese patients with mental retardation detected by array-based comparative genomic hybridization analysis. J. Hum. Genet. 2010, 55, 590–599. [Google Scholar] [CrossRef] [PubMed]
  35. Sakka, R.; Abdelhedi, F.; Sellami, H.; Pichon, B.; Lajmi, Y.; Mnif, M.; Kebaili, S.; Derbel, R.; Kamoun, H.; Gdoura, R.; et al. An unusual familial Xp22.12 microduplication including EIF1AX: A novel candidate dosage-sensitive gene for premature ovarian insufficiency. Eur. J. Med. Genet. 2022, 65, 104613. [Google Scholar] [CrossRef] [PubMed]
  36. Tzschach, A.; Chen, W.; Erdogan, F.; Hoeller, A.; Ropers, H.-H.; Castellan, C.; Ullmann, R.; Schinzel, A. Characterization of interstitial Xp duplications in two families by tiling path array CGH. Am. J. Med. Genet. 2008, 146, 197–203. [Google Scholar] [CrossRef] [PubMed]
  37. Lugtenberg, D.; de Brouwer, A.P.M.; Kleefstra, T.; Oudakker, A.R.; Frints, S.G.M.; Schrander-Stumpel, C.T.R.M.; Fryns, J.P.; Jensen, L.R.; Chelly, J.; Moraine, C.; et al. Chromosomal copy number changes in patients with non-syndromic X linked mental retardation detected by array CGH. J. Med. Genet. 2006, 43, 362–370. [Google Scholar] [CrossRef] [PubMed][Green Version]
  38. Popovici, C.; Busa, T.; Boute, O.; Thuresson, A.-C.; Perret, O.; Sigaudy, S.; Södergren, T.; Andrieux, J.; Moncla, A.; Philip, N. Whole ARX gene duplication is compatible with normal intellectual development. Am. J. Med. Genet. A 2014, 164, 2324–2327. [Google Scholar] [CrossRef] [PubMed]
  39. Sismani, C.; Anastasiadou, V.; Kousoulidou, L.; Parkel, S.; Koumbaris, G.; Zilina, O.; Bashiardes, S.; Spanou, E.; Kurg, A.; Patsalis, P.C. 9 Mb familial duplication in chromosome band Xp22.2-22.13 associated with mental retardation, hypotonia and developmental delay, scoliosis, cardiovascular problems and mild dysmorphic facial features. Eur. J. Med. Genet. 2011, 54, e510–e515. [Google Scholar] [CrossRef] [PubMed]
  40. Chatron, N.; Thibault, L.; Lespinasse, J.; Labalme, A.; Schluth-Bolard, C.; Till, M.; Edery, P.; Touraine, R.; des Portes, V.; Lesca, G.; et al. Genetic Counselling Pitfall: Co-Occurrence of an 11.8-Mb Xp22 Duplication and an Xp21.2 Duplication Disrupting IL1RAPL1. Mol. Syndromol. 2017, 8, 325–330. [Google Scholar] [CrossRef] [PubMed]
  41. Achermann, J.C.; Vilain, E.J. NR0B1-Related Adrenal Hypoplasia Congenita; Adam, M.P., Ed.; University of Seattle: Seattle, WA, USA, 2001. [Google Scholar]
  42. Massimino, C.R.; Smilari, P.; Greco, F.; Marino, S.; Vecchio, D.; Bartuli, A.; Parisi, P.; Cho, S.Y.; Pavone, P. Poland Syndrome with Atypical Malformations Associated to a de novo 1.5 Mb Xp22.31 Duplication. Neuropediatrics 2020, 51, 359–363. [Google Scholar] [CrossRef]
Figure 1. Blood karyotyping in the family showing (A) a male pattern with an additional chromosomal fragment of a maternal origin on the short arm of chromosome 14—46,XY,matder(14;X)(p11), in the propositus; and (B) a balanced translocation between the short arms of chromosomes X and 14 in the mother—46,X,t(X;14)(p11;p11).
Figure 1. Blood karyotyping in the family showing (A) a male pattern with an additional chromosomal fragment of a maternal origin on the short arm of chromosome 14—46,XY,matder(14;X)(p11), in the propositus; and (B) a balanced translocation between the short arms of chromosomes X and 14 in the mother—46,X,t(X;14)(p11;p11).
Genes 15 00901 g001
Table 1. List of the dosage-sensitive genes included in the genomic region duplicated in the proband.
Table 1. List of the dosage-sensitive genes included in the genomic region duplicated in the proband.
Cytogenetic LocationGeneGene NameGene MIM#FunctionDosage SensitivityPhenotypePhenotype MIM#
Xp22.31ANOS1anosmin 1300836migration of GNRH neurons to the hypothalamusTriplosensitivityHypogonadotropic hypogonadism 1 with or without anosmia (Kallmann syndrome 1)308700
Xp21.3ARXaristaless related homeobox300382cerebral development and patterningTriplosensitivityDevelopmental and epileptic encephalopathy 1308350
Xp22.13CDKL5cyclin dependent kinase like 5300203Involved in neural maturation and synaptogenesisTriplosensitivityDevelopmental and epileptic encephalopathy 2300672
Xp22.12CNKSR2connector enhancer of kinase suppressor of Ras 2300724Plays a role CNS neuronal postsynaptic density (PSD)TriplosensitivityIntellectual developmental disorder, X-linked syndromic, Houge type301008
Xp22.2HCCSholocytochrome c synthase300056Plays a role in mitochondrial respiratory chain (heme attachment to cytochrome C)TriplosensitivityLinear skin defects with multiple congenital anomalies 1309801
Xp22.2MID1midline 1300552Plays a role in linking cytoskeleton-associated mRNA transport and translation control factors with mTOR geneTriplosensitivityOpitz GBBB syndrome300000
Xp21.2NR0B1nuclear receptor subfamily 0 group B member 1300473Special type of the nuclear receptor (NR) superfamily by acting as a coregulatory protein that inhibits the transcriptional activity of other NRsTriplosensitivity46XY sex reversal 2, dosage-sensitive300018
Xp22.2OFD1OFD1 centriole and centriolar satellite protein300170Plays a role in regulation of microtubule dynamicsTriplosensitivityRetinitis pigmentosa 23300424
Xp22.11PTCHD1patched domain containing 1300828Plays a role in hedgehog signaling pathwayTriplosensitivity{Autism, susceptibility to, X-linked 4}300830
Xp22.12RPS6KA3ribosomal protein S6 kinase A3300075Plays a role in cell cycle progression, differentiation, and cell survivalTriplosensitivityCoffin-Lowry syndrome303600
Xp22.13RS1retinoschisin 1300839Retina cell-cell adhesion and interactionsTriplosensitivityRetinoschisis312700
Xp22.11SMSspermine synthase300105Involved in the synthesis of polyamines from arginine and methionineTriplosensitivityIntellectual developmental disorder, X-linked syndromic, Snyder-Robinson type309583
Xp22.2AP1S2adaptor related protein complex 1 subunit sigma 2300629Recruitment of clathrin and sorting signals recognitionHaploinsufficiencyPettigrew syndrome304340
Xp22.2CLCN4chloride voltage-gated channel 4302910encodes for voltage-gated chloride channelHaploinsufficiencyRaynaud-Claes syndrome300114
Xp22.2FANCBFA complementation group B300515Part of Fanconi anemia core complexHaploinsufficiencyFanconi anemia, complementation group B300514
Xp21.2GKglycerol kinase300474Catalyzes the phosphorylation of glycerol to glycerol-3-phosphateHaploinsufficiencyGlycerol kinase deficiency307030
Xp21.3-p21.2IL1RAPL1interleukin 1 receptor accessory protein like 1300206Plays a role in synaptic regulation and regulationHaploinsufficiencyIntellectual developmental disorder, X-linked 21300143
Xp22.2MSL3MSL complex subunit 3300609Plays a major role in acetylation of histone H4HaploinsufficiencyBasilicata-Akhtar syndrome301032
Xp22.2-p22.13NHSNHS actin remodeling regulator300457Plays a role in actin remodeling and cell morphologyHaploinsufficiencyCataract 40, X-linked302200
Xp22.12PDHA1pyruvate dehydrogenase E1 subunit α 1300502Catalyzing the irreversible conversion of pyruvate into acetyl-CoAHaploinsufficiencyPyruvate dehydrogenase E1-α deficiency312170
Xp22.11PHEXphosphate regulating endopeptidase X-linked300550Encodes for an integral membrane zinc-dependent endopeptidase proteinHaploinsufficiencyHypophosphatemic rickets, X-linked dominant307800
Xp22.2PIGAphosphatidylinositol glycan anchor biosynthesis class A311770Plays a role in GPI (Glycosylphosphatidylinositol) anchoring biosynthesisHaploinsufficiencyMultiple congenital anomalies-hypotonia-seizures syndrome 2300868
Xp22.31STSsteroid sulfatase300747Encodes for steroid sulfatase protein that plays a role in estrogen, androgen, and cholesterol synthesisHaploinsufficiencyIchthyosis, X-linked308100
Xp22.2TRAPPC2trafficking protein particle complex subunit 2300202Member of TRAPP complex that plays a role in intracellular vesicle traffickingHaploinsufficiencySpondyloepiphyseal dysplasia tarda313400
Table 2. The large duplications (of more than 1 Mb) on the short arm of the X chromosome that have been previously reported in patients are listed, along with their associated symptoms; data related to our patient are included for comparison.
Table 2. The large duplications (of more than 1 Mb) on the short arm of the X chromosome that have been previously reported in patients are listed, along with their associated symptoms; data related to our patient are included for comparison.
YearCitationPatientLocationSizeGenesClinical Manifestations
2006311ChrX:9,700,000–16,400,0007 MBMID1, ARHGAP6, MSL3L1Mental Retardation
Facial dysmorphism
Hearing loss/Presbycusis
Pectus excavatum
Arachnodactyly
Atrophy of interdigital muscles
2011332ChrX:9,750,000–18,710,0009 MB59 genes of which seven are involved in syndromic X-linked intellectual deficiency, namely MID1, HCCS, OFD1, FANCB, AP1S2, CDKL5 and NHS.Mental retardation
Developmental delay
Dysmorphic features
Facial dysmorphism (hypertelorism, broad nasal bridge, widow’s peak)
Genitourinary abnormalities
Heart defects
Short stature
Scoliosis
Hypertelorism
Neurodevelopmental disorders
Diaphragmatic hernia
2022293ChrX:19,563,240–20,597,6411 MBSH3KBP1, EIF1AX and RPS6KA3Delayed speech
Language development delay
Seizure
Joint laxity
4ChrX: 19,825,290–20,930,4311.1 MBSH3KBP1, EIF1AX and RPS6KA3Specific learning disability
5ChrX: 19,651,193–20,700,6911.05 MBSH3KBP1, EIF1AX and RPS6KA3Intellectual disability
2008306ChrX: 1,5000,000–23,500,0008.5 MBCDKL5, RPS6KA3Facial dysmorphism
Bilateral inguinal hernia
Downslanted palpebral fissures
Upslanted palpebral fissures Bilateral inguinal hernia
Epilepsy
Brain tumor at age 3 yrs
2022277ChrX: 24,513,979–27,864,4513.35 MBPDK3, PCYT1B, POLA1, SCARNA23, ARX, MAGEB18, MAGEB6B, MAGEB6, MAGEB5, PPP4R3C, DCAF8L2 and MAGEB10Autism
8ChrX: 24,810,754–27,125,2192.3 MBPOLA1, ARX, MAGEB18, MAGEB6B, MAGEB6 and MAGEB5Intellectual disabilities
Short stature
Current case49ChrX: 7,137,718–30,739,11223.6 MB Around 143 genes, of which 11 are triplosensitive: ANOS1, ARX, CDKL5, CNKSR2, HCCS, MID1, NR0B1, OFD1, PTCHD1, RPS6KA3, RS1, SMS, AP1S2, CLCN4, FANCB, GK, IL1RAPL1, MSL3, NHS, PDHA1, PHEX, PIGA, STS, TRAPPC2.Neurodevelopmental delay
Intellectual disability
Psychomoter delay
Hypotonia
Failure to thrive
CNS malformation (abnormal T2 signals in the basal ganglia, thalami, and brainstem, atrophy of the hippocampus
Seizures
Strabismus
Facial dysmorphism
Short stature
Scoliosis
Joint hypermobility/laxity,
Optic nerve hypoplasia
Feeding difficulty
GE reflux
Disclaimer/Publisher’s Note: The statements, opinions and data contained in all publications are solely those of the individual author(s) and contributor(s) and not of MDPI and/or the editor(s). MDPI and/or the editor(s) disclaim responsibility for any injury to people or property resulting from any ideas, methods, instructions or products referred to in the content.

Share and Cite

MDPI and ACS Style

Mehawej, C.; Maalouf, J.E.; Abdelkhalik, M.; Mahfouz, P.; Chouery, E.; Megarbane, A. CNV Analysis through Exome Sequencing Reveals a Large Duplication Involved in Sex Reversal, Neurodevelopmental Delay, Epilepsy and Optic Atrophy. Genes 2024, 15, 901. https://doi.org/10.3390/genes15070901

AMA Style

Mehawej C, Maalouf JE, Abdelkhalik M, Mahfouz P, Chouery E, Megarbane A. CNV Analysis through Exome Sequencing Reveals a Large Duplication Involved in Sex Reversal, Neurodevelopmental Delay, Epilepsy and Optic Atrophy. Genes. 2024; 15(7):901. https://doi.org/10.3390/genes15070901

Chicago/Turabian Style

Mehawej, Cybel, Joy El Maalouf, Mohamad Abdelkhalik, Peter Mahfouz, Eliane Chouery, and Andre Megarbane. 2024. "CNV Analysis through Exome Sequencing Reveals a Large Duplication Involved in Sex Reversal, Neurodevelopmental Delay, Epilepsy and Optic Atrophy" Genes 15, no. 7: 901. https://doi.org/10.3390/genes15070901

APA Style

Mehawej, C., Maalouf, J. E., Abdelkhalik, M., Mahfouz, P., Chouery, E., & Megarbane, A. (2024). CNV Analysis through Exome Sequencing Reveals a Large Duplication Involved in Sex Reversal, Neurodevelopmental Delay, Epilepsy and Optic Atrophy. Genes, 15(7), 901. https://doi.org/10.3390/genes15070901

Note that from the first issue of 2016, this journal uses article numbers instead of page numbers. See further details here.

Article Metrics

Back to TopTop