Myopic Macular Hole and Detachment after Gene Therapy in Atypical RPE65 Retinal Dystrophy: A Case Report
Abstract
1. Introduction
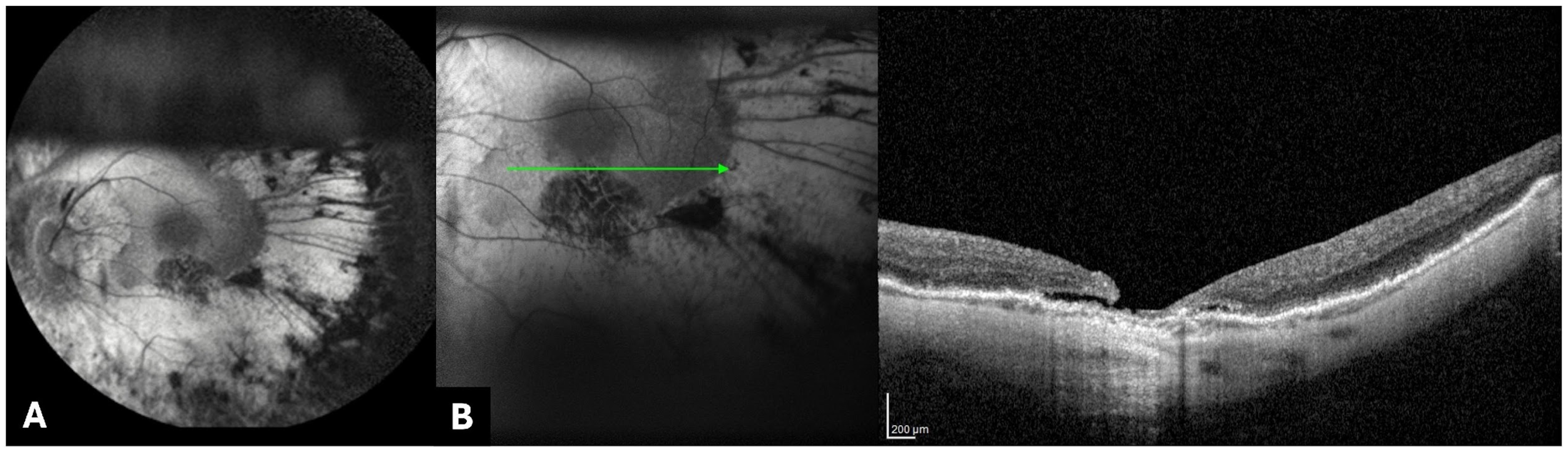
2. Case Report
3. Discussion and Conclusions
Supplementary Materials
Author Contributions
Funding
Informed Consent Statement
Data Availability Statement
Conflicts of Interest
References
- Padhy, S.K.; Takkar, B.; Narayanan, R.; Venkatesh, P.; Jalali, S. Voretigene Neparvovec and Gene Therapy for Leber’s Congenital Amaurosis: Review of Evidence to Date. Appl. Clin. Genet. 2020, 13, 179–208. [Google Scholar] [CrossRef]
 - Maguire, A.M.; Russell, S.; Wellman, J.A.; Chung, D.C.; Yu, Z.F.; Tillman, A.; Wittes, J.; Pappas, J.; Elci, O.; Marshall, K.A.; et al. Efficacy, Safety, and Durability of Voretigene Neparvovec-rzyl in RPE65 Mutation-Associated Inherited Retinal Dystrophy: Results of Phase 1 and 3 Trials. Ophthalmology 2019, 126, 1273–1285. [Google Scholar] [CrossRef]
 - Russell, S.; Bennett, J.; Wellman, J.A.; Chung, D.C.; Yu, Z.F.; Tillman, A.; Wittes, J.; Pappas, J.; Elci, O.; McCague, S.; et al. Efficacy and safety of voretigene neparvovec (AAV2-hRPE65v2) in patients with RPE65-mediated inherited retinal dystrophy: A randomised, controlled, open-label, phase 3 trial. Lancet 2017, 390, 849–860. [Google Scholar] [CrossRef]
 - Lopez, J.; Borchert, M.; Lee, T.C.; Nagiel, A. Subretinal deposits in young patients treated with voretigene neparvovec-rzyl for RPE65-mediated retinal dystrophy. Br. J. Ophthalmol. 2022, 107, 299–301. [Google Scholar] [CrossRef]
 - Parrulli, S.; Salvetti, A.P.; Cereda, M.G. Inner Retinal Layers Swelling During Subretinal Voretigene Neparvovec Delivery. Ophthalmology 2022, 129, 770. [Google Scholar] [CrossRef] [PubMed]
 - Price, K.W.; Pennesi, M.E.; Lauer, A.K.; Bailey, S.T. Iatrogenic choroidal neovascularization associated with subretinal gene therapy surgery. Am. J. Ophthalmol. Case Rep. 2022, 27, 101677. [Google Scholar] [CrossRef] [PubMed] [PubMed Central]
 - Kessel, L.; Christensen, U.C.; Klemp, K. Inflammation after Voretigene Neparvovec Administration in Patients with RPE65-Related Retinal Dystrophy. Ophthalmology 2022, 129, 1287–1293. [Google Scholar] [CrossRef]
 - Gange, W.S.; Sisk, R.A.; Besirli, C.G.; Lee, T.C.; Havunjian, M.; Schwartz, H.; Borchert, M.; Sengillo, J.D.; Mendoza, C.; Berrocal, A.M.; et al. Perifoveal Chorioretinal Atrophy after Subretinal Voretigene Neparvovec-rzyl for RPE65-Mediated Leber Congenital Amaurosis. Ophthalmol. Retin. 2022, 6, 58–64. [Google Scholar] [CrossRef]
 - Richards, S.; Aziz, N.; Bale, S.; Bick, D.; Das, S.; Gastier-Foster, J.; Grody, W.W.; Hegde, M.; Lyon, E.; Spector, E.; et al. Standards and guidelines for the interpretation of sequence variants: A joint consensus recommendation of the American College of Medical Genetics and Genomics and the Association for Molecular Pathology. Genet. Med. 2015, 17, 405–424. [Google Scholar] [CrossRef]
 - Morimura, H.; Fishman, G.A.; Grover, S.A.; Fulton, A.B.; Berson, E.L.; Dryja, T.P. Mutations in the RPE65 gene in patients with autosomal recessive retinitis pigmentosa or leber congenital amaurosis. Proc. Natl. Acad. Sci. USA 1998, 95, 3088–3093. [Google Scholar] [CrossRef] [PubMed] [PubMed Central]
 - Jin, M.; Li, S.; Hu, J.; Jin, H.H.; Jacobson, S.G.; Bok, D. Functional Rescue of Retinal Degeneration-Associated Mutant RPE65 Proteins. Adv. Exp. Med. Biol. 2016, 854, 525–532. [Google Scholar] [CrossRef] [PubMed] [PubMed Central]
 - Marlhens, F.; Griffoin, J.M.; Bareil, C.; Arnaud, B.; Claustres, M.; Hamel, C.P. Autosomal recessive retinal dystrophy associated with two novel mutations in the RPE65 gene. Eur. J. Hum. Genet. 1998, 6, 527–531. [Google Scholar] [CrossRef] [PubMed]
 - Sallum, J.M.F.; Motta, F.L.; Arno, G.; Porto, F.B.O.; Resende, R.G.; Belfort, R., Jr. Clinical and molecular findings in a cohort of 152 Brazilian severe early onset inherited retinal dystrophy patients. Am. J. Med. Genet. Part C Semin. Med. Genet. 2020, 184, 728–752. [Google Scholar] [CrossRef]
 - Testa, F.; Murro, V.; Signorini, S.; Colombo, L.; Iarossi, G.; Parmeggiani, F.; Falsini, B.; Salvetti, A.P.; Brunetti-Pierri, R.; Aprile, G.; et al. RPE65-Associated Retinopathies in the Italian Population: A Longitudinal Natural History Study. Investig. Ophthalmol. Vis. Sci. 2022, 63, 13. [Google Scholar] [CrossRef]
 - Testa, F.; Melillo, P.; Di Iorio, V.; Iovino, C.; Farinaro, F.; Karali, M.; Banfi, S.; Rossi, S.; Della Corte, M.; Simonelli, F. Visual function and retinal changes after voretigene neparvovec treatment in children with biallelic RPE65-related inherited retinal dystrophy. Sci. Rep. 2022, 12, 17637. [Google Scholar] [CrossRef]
 - Stepanova, A.; Ogorodova, N.; Kadyshev, V.; Shchagina, O.; Kutsev, S.; Polyakov, A. A Molecular Genetic Analysis of RPE65-Associated Forms of Inherited Retinal Degenerations in the Russian Federation. Genes 2023, 14, 2056. [Google Scholar] [CrossRef] [PubMed] [PubMed Central]
 - Chung, D.C.; Bertelsen, M.; Lorenz, B.; Pennesi, M.E.; Leroy, B.P.; Hamel, C.P.; Pierce, E.; Sallum, J.; Larsen, M.; Stieger, K.; et al. The Natural History of Inherited Retinal Dystrophy Due to Biallelic Mutations in the RPE65 Gene. Am. J. Ophthalmol. 2019, 199, 58–70. [Google Scholar] [CrossRef]
 - Merle, D.A.; Kohl, S.; Reith, M.; Schäferhoff, K.; Zuleger, T.; Stühn, L.; Stingl, K.; Kempf, M.; Kühlewein, L.; Grasshoff, U.; et al. An Atypical Mild Phenotype of Autosomal Recessive RPE65-Associated Retinitis Pigmentosa. Klin. Monatsblätter Für Augenheilkd. 2024, 241, 266–271. [Google Scholar] [CrossRef]
 - Fan, K.C.; Yannuzzi, N.A.; Patel, N.A.; Negron, C.I.; Sisk, R.A.; Nagiel, A.; Berrocal, A.M. Surgical Techniques for the Subretinal Delivery of Pediatric Gene Therapy. Ophthalmol. Retin. 2020, 4, 644–645. [Google Scholar] [CrossRef]
 - Irigoyen, C.; Amenabar Alonso, A.; Sanchez-Molina, J.; Rodríguez-Hidalgo, M.; Lara-López, A.; Ruiz-Ederra, J. Subretinal Injection Techniques for Retinal Disease: A Review. J. Clin. Med. 2022, 11, 4717. [Google Scholar] [CrossRef]
 - Maguire, A.M.; Russell, S.; Chung, D.C.; Yu, Z.F.; Tillman, A.; Drack, A.V.; Simonelli, F.; Leroy, B.P.; Reape, K.Z.; High, K.A.; et al. Durability of Voretigene Neparvovec for Biallelic RPE65-Mediated Inherited Retinal Disease: Phase 3 Results at 3 and 4 Years. Ophthalmology 2021, 128, 1460–1468. [Google Scholar] [CrossRef]
 - Sharma, S.; Kumar, J.B.; Kim, J.E.; Thordsen, J.; Dayani, P.; Ober, M.; Mahmoud, T.H. Pneumatic Displacement of Submacular Hemorrhage with Subretinal Air and Tissue Plasminogen Activator: Initial United States Experience. Ophthalmol. Retin. 2018, 2, 180–186. [Google Scholar] [CrossRef]
 - Klettner, A.; Puls, S.; Treumer, F.; Roider, J.; Hillenkamp, J. Compatibility of recombinant tissue plasminogen activator and bevacizumab co-applied for neovascular age-related macular degeneration with submacular hemorrhage. Arch. Ophthalmol. 2012, 130, 875–881. [Google Scholar] [CrossRef] [PubMed]
 - Inoue, M.; Shiraga, F.; Shirakata, Y.; Morizane, Y.; Kimura, S.; Hirakata, A. Subretinal injection of recombinant tissue plasminogen activator for submacular hemorrhage associated with ruptured retinal arterial macroaneurysm. Graefe’s Arch. Clin. Exp. Ophthalmol. 2015, 253, 1663–1669. [Google Scholar] [CrossRef]
 - Maguire, A.M.; Simonelli, F.; Pierce, E.A.; Pugh, E.N., Jr.; Mingozzi, F.; Bennicelli, J.; Banfi, S.; Marshall, K.A.; Testa, F.; Surace, E.M.; et al. Safety and efficacy of gene transfer for Leber’s congenital amaurosis. N. Engl. J. Med. 2008, 358, 2240–2248. [Google Scholar] [CrossRef]
 - Bainbridge, J.W.; Smith, A.J.; Barker, S.S.; Robbie, S.; Henderson, R.; Balaggan, K.; Viswanathan, A.; Holder, G.E.; Stockman, A.; Tyler, N.; et al. Effect of gene therapy on visual function in Leber’s congenital amaurosis. N. Engl. J. Med. 2008, 358, 2231–2239. [Google Scholar] [CrossRef]
 - MacLaren, R.E.; Groppe, M.; Barnard, A.R.; Cottriall, C.L.; Tolmachova, T.; Seymour, L.; Clark, K.R.; During, M.J.; Cremers, F.P.; Black, G.C.; et al. Retinal gene therapy in patients with choroideremia: Initial findings from a phase 1/2 clinical trial. Lancet 2014, 383, 1129–1137. [Google Scholar] [CrossRef]
 - Fischer, M.D.; Hickey, D.G.; Singh, M.S.; MacLaren, R.E. Evaluation of an Optimized Injection System for Retinal Gene Therapy in Human Patients. Hum. Gene Ther. Methods 2016, 27, 150–158. [Google Scholar] [CrossRef]
 - Scruggs, B.A.; Vasconcelos, H.M., Jr.; Matioli da Palma, M.; Kogachi, K.; Pennesi, M.E.; Yang, P.; Bailey, S.T.; Lauer, A.K. Injection pressure levels for creating blebs during subretinal gene therapy. Gene Ther. 2022, 29, 601–607. [Google Scholar] [CrossRef]
 - Rizzo, S.; Tartaro, R.; Barca, F.; Caporossi, T.; Bacherini, D.; Giansanti, F. Internal limiting membrane peeling versus inverted flap technique for treatment of full-thickness macular holes: A Comparative Study in a large series of patients. Retina 2018, 38 (Suppl. S1), S73–S78. [Google Scholar] [CrossRef]
 - Shiode, Y.; Morizane, Y.; Matoba, R.; Hirano, M.; Doi, S.; Toshima, S.; Takahashi, K.; Araki, R.; Kanzaki, Y.; Hosogi, M.; et al. The role of inverted internal limiting membrane flap in macular hole closure. Investig. Ophthalmol. Vis. Sci. 2017, 58, 4847–4855. [Google Scholar] [CrossRef] [PubMed]
 






| Overall FST (log cd.s/m2) | ||||
|---|---|---|---|---|
| Baseline | Day 30 | Day 90 | Day 180 | |
| RE | 0.3 ± 8.8 | −15.5 ± −9.6 | −25.1 ± −12.1 | −30.1 ± −5.7 | 
| LE | 3.7 ± 2.5 | −9.1 ± −5.0 | −5.6 ± −6.2 | −23.5 ± −3.5 | 
| Baseline | Day 30 | Day 90 | Day 180 | ||||||
|---|---|---|---|---|---|---|---|---|---|
| RE | LE | RE | LE | RE | LE | RE | LE | ||
| FST (log cd.s/m2) | white stimulus | −1.8 | 1.2 | −18.1 | −7.9 | −29.1 | −8.6 | −31.8 | −21.4 | 
| blue stimulus | −7.3 | 6.3 | −23.6 | −14.7 | −34.9 | −9.8 | −34.7 | −27.7 | |
| red stimulus | 10.1 | 3.7 | −4.8 | −4.8 | −11.5 | 1.5 | −23.7 | −21.6 | |
Disclaimer/Publisher’s Note: The statements, opinions and data contained in all publications are solely those of the individual author(s) and contributor(s) and not of MDPI and/or the editor(s). MDPI and/or the editor(s) disclaim responsibility for any injury to people or property resulting from any ideas, methods, instructions or products referred to in the content.  | 
© 2024 by the authors. Licensee MDPI, Basel, Switzerland. This article is an open access article distributed under the terms and conditions of the Creative Commons Attribution (CC BY) license (https://creativecommons.org/licenses/by/4.0/).
Share and Cite
Giansanti, F.; Nicolosi, C.; Giorgio, D.; Sodi, A.; Mucciolo, D.P.; Pavese, L.; Pollazzi, L.; Virgili, G.; Vicini, G.; Passerini, I.; et al. Myopic Macular Hole and Detachment after Gene Therapy in Atypical RPE65 Retinal Dystrophy: A Case Report. Genes 2024, 15, 879. https://doi.org/10.3390/genes15070879
Giansanti F, Nicolosi C, Giorgio D, Sodi A, Mucciolo DP, Pavese L, Pollazzi L, Virgili G, Vicini G, Passerini I, et al. Myopic Macular Hole and Detachment after Gene Therapy in Atypical RPE65 Retinal Dystrophy: A Case Report. Genes. 2024; 15(7):879. https://doi.org/10.3390/genes15070879
Chicago/Turabian StyleGiansanti, Fabrizio, Cristina Nicolosi, Dario Giorgio, Andrea Sodi, Dario Pasquale Mucciolo, Laura Pavese, Liliana Pollazzi, Gianni Virgili, Giulio Vicini, Ilaria Passerini, and et al. 2024. "Myopic Macular Hole and Detachment after Gene Therapy in Atypical RPE65 Retinal Dystrophy: A Case Report" Genes 15, no. 7: 879. https://doi.org/10.3390/genes15070879
APA StyleGiansanti, F., Nicolosi, C., Giorgio, D., Sodi, A., Mucciolo, D. P., Pavese, L., Pollazzi, L., Virgili, G., Vicini, G., Passerini, I., Pelo, E., & Murro, V. (2024). Myopic Macular Hole and Detachment after Gene Therapy in Atypical RPE65 Retinal Dystrophy: A Case Report. Genes, 15(7), 879. https://doi.org/10.3390/genes15070879
        
