Simultaneous Detection of Common Founder Mutations Using a Cost-Effective Deep Sequencing Panel
Abstract
1. Introduction
2. Materials and Methods
2.1. Primer Design
2.2. Multiplex PCR and NGS
2.3. Files Conversions
3. Results
3.1. Selecting Founder Mutations for Analysis
3.2. Calibration of the NGS Panel
3.3. Results of the IRD Panel of Founder Mutations
3.4. CERKL Polymorphism
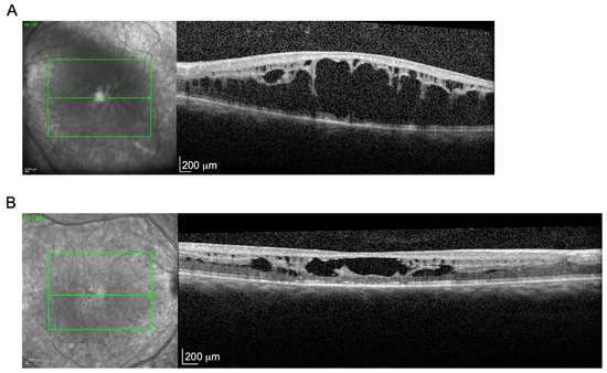
3.5. Interesting Patients
4. Discussion
5. Conclusions
Supplementary Materials
Author Contributions
Funding
Institutional Review Board Statement
Informed Consent Statement
Data Availability Statement
Conflicts of Interest
References
- van Dijk, E.L.; Auger, H.; Jaszczyszyn, Y.; Thermes, C. Ten years of next-generation sequencing technology. Trends Genet. 2014, 30, 418–426. [Google Scholar] [CrossRef] [PubMed]
- Nurk, S.; Koren, S.; Rhie, A.; Rautiainen, M.; Bzikadze, A.V.; Mikheenko, A.; Vollger, M.R.; Altemose, N.; Uralsky, L.; Gershman, A.; et al. The complete sequence of a human genome. Science 2022, 376, 44–53. [Google Scholar] [CrossRef] [PubMed]
- Muzzey, D.; Evans, E.A.; Lieber, C. Understanding the Basics of NGS: From Mechanism to Variant Calling. Curr. Genet. Med. Rep. 2015, 3, 158–165. [Google Scholar] [CrossRef] [PubMed]
- Bewicke-Copley, F.; Arjun Kumar, E.; Palladino, G.; Korfi, K.; Wang, J. Applications and analysis of targeted genomic sequencing in cancer studies. Comput. Struct. Biotechnol. J. 2019, 17, 1348–1359. [Google Scholar] [CrossRef] [PubMed]
- Sun, Y.; Ruivenkamp, C.A.; Hoffer, M.J.; Vrijenhoek, T.; Kriek, M.; Van Asperen, C.J.; den Dunnen, J.T.; Santen, G.W. Next-Generation Diagnostics: Gene Panel, Exome, or Whole Genome? Hum. Mutat. 2015, 36, 648–655. [Google Scholar] [CrossRef] [PubMed]
- Tung, N.; Battelli, C.; Allen, B.; Kaldate, R.; Bhatnagar, S.; Bowles, K.; Timms, K.; Garber, J.E.; Herold, C.; Ellisen, L.; et al. Frequency of mutations in individuals with breast cancer referred for BRCA1 and BRCA2 testing using next-generation sequencing with a 25-gene panel. Cancer 2015, 121, 25–33. [Google Scholar] [CrossRef] [PubMed]
- Hess, J.F.; Kohl, T.A.; Kotrova, M.; Roensch, K.; Paprotka, T.; Mohr, V.; Hutzenlaub, T.; Brueggemann, M.; Zengerle, R.; Niemann, S.; et al. Library preparation for next generation sequencing: A review of automation strategies. Biotechnol. Adv. 2020, 41, 107537. [Google Scholar] [CrossRef] [PubMed]
- Mu, W.; Lu, H.-M.; Chen, J.; Li, S.; Elliott, A.M. Sanger Confirmation Is Required to Achieve Optimal Sensitivity and Specificity in Next-Generation Sequencing Panel Testing. J. Mol. Diagn. 2016, 18, 923–932. [Google Scholar] [CrossRef] [PubMed]
- Hanany, M.; Sharon, D. The Genetics of Inherited Retinal Disease in the Israeli and Palestinian Populations: With High Rates of Consanguinity. In Essentials in Ophthalmology: Advances in Vision Research, Volume II-Genetic Eye Research in Asia and the Pacific; Springer: Berlin/Heidelberg, Germany, 2018. [Google Scholar]
- Hanany, M.; Rivolta, C.; Sharon, D. Worldwide carrier frequency and genetic prevalence of autosomal recessive inherited retinal diseases. Proc. Natl. Acad. Sci. USA 2020, 117, 2710–2716. [Google Scholar] [CrossRef] [PubMed]
- Kimchi, A.; Khateb, S.; Wen, R.; Guan, Z.; Obolensky, A.; Beryozkin, A.; Kurtzman, S.; Blumenfeld, A.; Pras, E.; Jacobson, S.G.; et al. Nonsyndromic Retinitis Pigmentosa in the Ashkenazi Jewish Population: Genetic and Clinical Aspects. Ophthalmology 2018, 125, 725–734. [Google Scholar] [CrossRef] [PubMed]
- Kalendar, R. A Guide to Using FASTPCR Software for PCR, In Silico PCR, and Oligonucleotide Analysis. Methods Mol. Biol. 2022, 2392, 223–243. [Google Scholar] [CrossRef] [PubMed]
- Illumina Sequencing Introduction. 2017. Available online: https://www.illumina.com/documents/products/illumina_sequencing_introduction.pdf (accessed on 18 May 2024).
- Hayashi, T.; Gekka, T.; Tsuneoka, H. Spontaneous Resolution of Large Macular Retinoschisis in Enhanced S-Cone Syndrome. Ophthalmic Surg. Lasers Imaging Retin. 2016, 47, 187–190. [Google Scholar] [CrossRef] [PubMed]
- Magliyah, M.S.; AlSulaiman, S.M.; Schatz, P.; Nowilaty, S.R. Evolution of macular hole in enhanced S-cone syndrome. Doc. Ophthalmol. 2021, 142, 239–245. [Google Scholar] [CrossRef] [PubMed]
- Sharon, D.; Sandberg, M.A.; Caruso, R.C.; Berson, E.L.; Dryja, T.P. Shared mutations in NR2E3 in enhanced S-cone syndrome, Goldmann-Favre syndrome, and many cases of clumped pigmentary retinal degeneration. Arch. Ophthalmol. 2003, 121, 1316–1323. [Google Scholar] [CrossRef] [PubMed]
- Yang, J.; Zhou, L.; Ouyang, J.; Xiao, X.; Sun, W.; Li, S.; Zhang, Q. Genotype–Phenotype Analysis of RPGR Variations: Reporting of 62 Chinese Families and a Literature Review. Front. Genet. 2021, 12, 600210. [Google Scholar] [CrossRef] [PubMed]
- Ben Yosef, T.; Banin, E.; Chervinsky, E.; Shalev, S.A.; Leibu, R.; Mezer, E.; Rotenstreich, Y.; Goldenberg-Cohen, N.; Weiss, S.; Khan, M.I.; et al. Genetic causes of inherited retinal diseases among Israeli Jews of Ethiopian ancestry. Mol. Vis. 2023, 29, 1–12. [Google Scholar] [PubMed]
- Beryozkin, A.; Shevah, E.; Kimchi, A.; Mizrahi-Meissonnier, L.; Khateb, S.; Ratnapriya, R.; Lazar, C.H.; Blumenfeld, A.; Ben-Yosef, T.; Hemo, Y.; et al. Whole Exome Sequencing Reveals Mutations in Known Retinal Disease Genes in 33 out of 68 Israeli Families with Inherited Retinopathies. Sci. Rep. 2015, 5, 13187. [Google Scholar] [CrossRef] [PubMed]
- Carss, K.J.; Arno, G.; Erwood, M.; Stephens, J.; Sanchis-Juan, A.; Hull, S.; Megy, K.; Grozeva, D.; Dewhurst, E.; Malka, S.; et al. Comprehensive Rare Variant Analysis via Whole-Genome Sequencing to Determine the Molecular Pathology of Inherited Retinal Disease. Am. J. Hum. Genet. 2017, 100, 75–90. [Google Scholar] [CrossRef] [PubMed]
- Schneider, N.; Sundaresan, Y.; Gopalakrishnan, P.; Beryozkin, A.; Hanany, M.; Levanon, E.Y.; Banin, E.; Ben-Aroya, S.; Sharon, D. Inherited retinal diseases: Linking genes, disease-causing variants, and relevant therapeutic modalities. Prog. Retin. Eye Res. 2022, 89, 101029. [Google Scholar] [CrossRef] [PubMed]





Disclaimer/Publisher’s Note: The statements, opinions and data contained in all publications are solely those of the individual author(s) and contributor(s) and not of MDPI and/or the editor(s). MDPI and/or the editor(s) disclaim responsibility for any injury to people or property resulting from any ideas, methods, instructions or products referred to in the content. |
© 2024 by the authors. Licensee MDPI, Basel, Switzerland. This article is an open access article distributed under the terms and conditions of the Creative Commons Attribution (CC BY) license (https://creativecommons.org/licenses/by/4.0/).
Share and Cite
Shalom, S.; Hanany, M.; Eilat, A.; Chowers, I.; Ben-Yosef, T.; Khateb, S.; Banin, E.; Sharon, D. Simultaneous Detection of Common Founder Mutations Using a Cost-Effective Deep Sequencing Panel. Genes 2024, 15, 646. https://doi.org/10.3390/genes15050646
Shalom S, Hanany M, Eilat A, Chowers I, Ben-Yosef T, Khateb S, Banin E, Sharon D. Simultaneous Detection of Common Founder Mutations Using a Cost-Effective Deep Sequencing Panel. Genes. 2024; 15(5):646. https://doi.org/10.3390/genes15050646
Chicago/Turabian StyleShalom, Sapir, Mor Hanany, Avital Eilat, Itay Chowers, Tamar Ben-Yosef, Samer Khateb, Eyal Banin, and Dror Sharon. 2024. "Simultaneous Detection of Common Founder Mutations Using a Cost-Effective Deep Sequencing Panel" Genes 15, no. 5: 646. https://doi.org/10.3390/genes15050646
APA StyleShalom, S., Hanany, M., Eilat, A., Chowers, I., Ben-Yosef, T., Khateb, S., Banin, E., & Sharon, D. (2024). Simultaneous Detection of Common Founder Mutations Using a Cost-Effective Deep Sequencing Panel. Genes, 15(5), 646. https://doi.org/10.3390/genes15050646

