A Human Homozygous HELQ Missense Variant Does Not Cause Premature Ovarian Insufficiency in a Mouse Model
Abstract
1. Introduction
2. Materials and Methods
2.1. Patient’s Clinical Information
2.2. General Molecular Techniques
2.3. Whole-Exome Sequencing
2.4. Mice
2.5. Production of CRISPR/Cas9 Knock-In Mice
2.6. Genotyping
2.7. Fertility Assessment
2.8. Histology and Immunohistochemistry and Reagents
2.9. Quantification of Ovarian Follicular Numbers
2.10. Statistical Analysis
3. Results
3.1. Identification of a Homozygous Missense Variant in HELQ
3.2. HelqKI/KI Mice Are Fertile
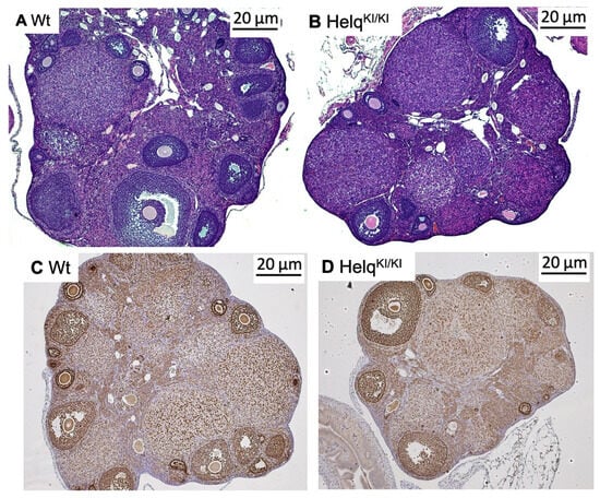
3.3. HelqKI/KI Mice Have Normal Ovarian Weight, Morphology and Follicle Number
3.4. Testicular Weight and Morphology Are Normal in HelqKI/KI Mice
3.5. Longevity Study for Survival/Tumorigenesis Analysis
4. Discussion
4.1. Missense Variants in HELQ Are a Possible Cause of POI
4.2. HELQ Missense Variant Remains a Variant of Uncertain Significance
4.3. Functional Validation Is Important for Human Variant Curation
5. Conclusions
Author Contributions
Funding
Institutional Review Board Statement
Informed Consent Statement
Data Availability Statement
Conflicts of Interest
References
- Li, M.; Zhu, Y.; Wei, J.; Chen, L.; Chen, S.; Lai, D. The global prevalence of premature ovarian insufficiency: A systematic review and meta-analysis. Climacteric 2023, 26, 95–102. [Google Scholar] [CrossRef]
- Tucker, E.J.; Grover, S.R.; Bachelot, A.; Touraine, P.; Sinclair, A.H. Premature Ovarian Insufficiency: New Perspectives on Genetic Cause and Phenotypic Spectrum. Endocr. Rev. 2016, 37, 609–635. [Google Scholar] [CrossRef]
- Chen, M.; Jiang, H.; Zhang, C. Selected Genetic Factors Associated with Primary Ovarian Insufficiency. Int. J. Mol. Sci. 2023, 24, 4423. [Google Scholar] [CrossRef]
- Goswami, D.; Conway, G.S. Premature ovarian failure. Horm. Res. 2007, 68, 196–202. [Google Scholar] [CrossRef]
- Qin, Y.; Jiao, X.; Simpson, J.L.; Chen, Z.J. Genetics of primary ovarian insufficiency: New developments and opportunities. Hum. Reprod. Update 2015, 21, 787–808. [Google Scholar] [CrossRef]
- Tucker, E.J.; Jaillard, S.; Sinclair, A.H. Update on the genetics and genomics of premature ovarian insufficiency. In Human Reproductive and Prenatal Genetics; Elsevier: Amsterdam, The Netherlands, 2023; pp. 439–461. [Google Scholar]
- Hartshorne, G.M.; Lyrakou, S.; Hamoda, H.; Oloto, E.; Ghafari, F. Oogenesis and cell death in human prenatal ovaries: What are the criteria for oocyte selection? Mol. Hum. Reprod. 2009, 15, 805–819. [Google Scholar] [CrossRef] [PubMed]
- Baker, T. A quantitative and cytological study of germ cells in human ovaries. Proc. R. Soc. London. Ser. B Biol. Sci. 1963, 158, 417–433. [Google Scholar] [CrossRef]
- Pepling, M.E. From primordial germ cell to primordial follicle: Mammalian female germ cell development. Genesis 2006, 44, 622–632. [Google Scholar] [CrossRef] [PubMed]
- Pepling, M.E.; Spradling, A.C. Mouse ovarian germ cell cysts undergo programmed breakdown to form primordial follicles. Dev. Biol. 2001, 234, 339–351. [Google Scholar] [CrossRef]
- Kerr, J.B.; Hutt, K.J.; Michalak, E.M.; Cook, M.; Vandenberg, C.J.; Liew, S.H.; Bouillet, P.; Mills, A.; Scott, C.L.; Findlay, J.K. DNA damage-induced primordial follicle oocyte apoptosis and loss of fertility require TAp63-mediated induction of Puma and Noxa. Mol. Cell 2012, 48, 343–352. [Google Scholar] [CrossRef] [PubMed]
- Ashwood-Smith, M.; Edwards, R. Genetics and human conception: DNA repair by oocytes. MHR Basic Sci. Reprod. Med. 1996, 2, 46–51. [Google Scholar] [CrossRef]
- Tilly, J.L. Commuting the death sentence: How oocytes strive to survive. Nat. Rev. Mol. Cell Biol. 2001, 2, 838–848. [Google Scholar] [CrossRef]
- Jiao, X.; Ke, H.; Qin, Y.; Chen, Z.-J. Molecular genetics of premature ovarian insufficiency. Trends Endocrinol. Metab. 2018, 29, 795–807. [Google Scholar] [CrossRef]
- Veitia, R.A. Primary ovarian insufficiency, meiosis and DNA repair. Biomed. J. 2020, 43, 115–123. [Google Scholar] [CrossRef]
- Baudat, F.; Imai, Y.; De Massy, B. Meiotic recombination in mammals: Localization and regulation. Nat. Rev. Genet. 2013, 14, 794–806. [Google Scholar] [CrossRef]
- Jasin, M.; Rothstein, R. Repair of strand breaks by homologous recombination. Cold Spring Harb. Perspect. Biol. 2013, 5, a012740. [Google Scholar] [CrossRef]
- Takata, K.-i.; Reh, S.; Tomida, J.; Person, M.D.; Wood, R.D. Human DNA helicase HELQ participates in DNA interstrand crosslink tolerance with ATR and RAD51 paralogs. Nat. Commun. 2013, 4, 2338. [Google Scholar] [CrossRef] [PubMed]
- McCaffrey, R.; St Johnston, D.; González-Reyes, A. Drosophila mus301/spindle-C encodes a helicase with an essential role in double-strand DNA break repair and meiotic progression. Genetics 2006, 174, 1273–1285. [Google Scholar] [CrossRef] [PubMed]
- Ward, J.D.; Muzzini, D.M.; Petalcorin, M.I.; Martinez-Perez, E.; Martin, J.S.; Plevani, P.; Cassata, G.; Marini, F.; Boulton, S.J. Overlapping mechanisms promote postsynaptic RAD-51 filament disassembly during meiotic double-strand break repair. Mol. Cell 2010, 37, 259–272. [Google Scholar] [CrossRef] [PubMed]
- Tucker, E.J.; Bell, K.M.; Robevska, G.; van den Bergen, J.; Ayers, K.L.; Listyasari, N.; Faradz, S.M.; Dulon, J.; Bakhshalizadeh, S.; Sreenivasan, R.; et al. Meiotic genes in premature ovarian insufficiency: Variants in HROB and REC8 as likely genetic causes. Eur. J. Hum. Genet. 2022, 30, 219–228. [Google Scholar] [CrossRef] [PubMed]
- Adelman, C.A.; Lolo, R.L.; Birkbak, N.J.; Murina, O.; Matsuzaki, K.; Horejsi, Z.; Parmar, K.; Borel, V.; Skehel, J.M.; Stamp, G. HELQ promotes RAD51 paralogue-dependent repair to avert germ cell loss and tumorigenesis. Nature 2013, 502, 381–384. [Google Scholar] [CrossRef] [PubMed]
- Luebben, S.W.; Kawabata, T.; Akre, M.K.; Lee, W.L.; Johnson, C.S.; O’Sullivan, M.G.; Shima, N. Helq acts in parallel to Fancc to suppress replication-associated genome instability. Nucleic Acids Res. 2013, 41, 10283–10297. [Google Scholar] [CrossRef]
- Marini, F.; Kim, N.; Schuffert, A.; Wood, R.D. POLN, a nuclear PolA family DNA polymerase homologous to the DNA cross-link sensitivity protein Mus308. J. Biol. Chem. 2003, 278, 32014–32019. [Google Scholar] [CrossRef] [PubMed]
- Stolk, L.; Perry, J.R.; Chasman, D.I.; He, C.; Mangino, M.; Sulem, P.; Barbalic, M.; Broer, L.; Byrne, E.M.; Ernst, F. Meta-analyses identify 13 loci associated with age at menopause and highlight DNA repair and immune pathways. Nat. Genet. 2012, 44, 260–268. [Google Scholar] [CrossRef] [PubMed]
- Wang, W.; Zhao, S.; Zhuang, L.; Li, W.; Qin, Y.; Chen, Z.-J. The screening of HELQ gene in Chinese patients with premature ovarian failure. Reprod. BioMed. Online 2015, 31, 573–576. [Google Scholar] [CrossRef][Green Version]
- Heddar, A.; Ogur, C.; Da Costa, S.; Braham, I.; Billaud-Rist, L.; Findikli, N.; Beneteau, C.; Reynaud, R.; Mahmoud, K.; Legrand, S. Genetic landscape of a large cohort of Primary Ovarian Insufficiency: New genes and pathways and implications for personalized medicine. EBioMedicine 2022, 84, 104246. [Google Scholar] [CrossRef]
- AlAsiri, S.; Basit, S.; Wood-Trageser, M.A.; Yatsenko, S.A.; Jeffries, E.P.; Surti, U.; Ketterer, D.M.; Afzal, S.; Ramzan, K.; Haque, M.F.-U. Exome sequencing reveals MCM8 mutation underlies ovarian failure and chromosomal instability. J. Clin. Investig. 2015, 125, 258–262. [Google Scholar] [CrossRef]
- Bouali, N.; Francou, B.; Bouligand, J.; Imanci, D.; Dimassi, S.; Tosca, L.; Zaouali, M.; Mougou, S.; Young, J.; Saad, A. New MCM8 mutation associated with premature ovarian insufficiency and chromosomal instability in a highly consanguineous Tunisian family. Fertil. Steril. 2017, 108, 694–702. [Google Scholar] [CrossRef]
- Desai, S.; Wood-Trageser, M.; Matic, J.; Chipkin, J.; Jiang, H.; Bachelot, A.; Dulon, J.; Sala, C.; Barbieri, C.; Cocca, M. MCM8 and MCM9 nucleotide variants in women with primary ovarian insufficiency. J. Clin. Endocrinol. Metab. 2017, 102, 576–582. [Google Scholar] [CrossRef]
- Dou, X.; Guo, T.; Li, G.; Zhou, L.; Qin, Y.; Chen, Z.-J. Minichromosome maintenance complex component 8 mutations cause primary ovarian insufficiency. Fertil. Steril. 2016, 106, 1485–1489. [Google Scholar] [CrossRef] [PubMed]
- Heddar, A.; Beckers, D.; Fouquet, B.; Roland, D.; Misrahi, M. A novel phenotype combining primary ovarian insufficiency growth retardation and pilomatricomas with MCM8 mutation. J. Clin. Endocrinol. Metab. 2020, 105, 1973–1982. [Google Scholar] [CrossRef]
- Zhang, Y.X.; He, W.B.; Xiao, W.J.; Meng, L.L.; Tan, C.; Du, J.; Lu, G.X.; Lin, G.; Tan, Y.Q. Novel loss-of-function mutation in MCM8 causes premature ovarian insufficiency. Mol. Genet. Genom. Med. 2020, 8, e1165. [Google Scholar] [CrossRef]
- Fauchereau, F.; Shalev, S.; Chervinsky, E.; Beck-Fruchter, R.; Legois, B.; Fellous, M.; Caburet, S.; Veitia, R.A. A non-sense MCM9 mutation in a familial case of primary ovarian insufficiency. Clin. Genet. 2016, 89, 603–607. [Google Scholar] [CrossRef] [PubMed]
- Goldberg, Y.; Halpern, N.; Hubert, A.; Adler, S.N.; Cohen, S.; Plesser-Duvdevani, M.; Pappo, O.; Shaag, A.; Meiner, V. Mutated MCM9 is associated with predisposition to hereditary mixed polyposis and colorectal cancer in addition to primary ovarian failure. Cancer Genet. 2015, 208, 621–624. [Google Scholar] [CrossRef] [PubMed]
- Guo, T.; Zheng, Y.; Li, G.; Zhao, S.; Ma, J.; Qin, Y. Novel pathogenic mutations in minichromosome maintenance complex component 9 (MCM9) responsible for premature ovarian insufficiency. Fertil. Steril. 2020, 113, 845–852. [Google Scholar] [CrossRef] [PubMed]
- Wood-Trageser, M.A.; Gurbuz, F.; Yatsenko, S.A.; Jeffries, E.P.; Kotan, L.D.; Surti, U.; Ketterer, D.M.; Matic, J.; Chipkin, J.; Jiang, H.; et al. MCM9 mutations are associated with ovarian failure, short stature, and chromosomal instability. Am. J. Hum. Genet. 2014, 95, 754–762. [Google Scholar] [CrossRef] [PubMed]
- Yang, X.; Touraine, P.; Desai, S.; Humphreys, G.; Jiang, H.; Yatsenko, A.; Rajkovic, A. Gene variants identified by whole-exome sequencing in 33 French women with premature ovarian insufficiency. J. Assist. Reprod. Genet. 2019, 36, 39–45. [Google Scholar] [CrossRef] [PubMed]
- Bouilly, J.; Beau, I.; Barraud, S.; Bernard, V.; Azibi, K.; Fagart, J.; Fèvre, A.; Todeschini, A.L.; Veitia, R.A.; Beldjord, C. Identification of multiple gene mutations accounts for a new genetic architecture of primary ovarian insufficiency. J. Clin. Endocrinol. Metab. 2016, 101, 4541–4550. [Google Scholar] [CrossRef] [PubMed]
- Ren, Y.; Diao, F.; Katari, S.; Yatsenko, S.; Jiang, H.; Wood-Trageser, M.A.; Rajkovic, A. Functional study of a novel missense single-nucleotide variant of NUP 107 in two daughters of M exican origin with premature ovarian insufficiency. Mol. Genet. Genom. Med. 2018, 6, 276–281. [Google Scholar] [CrossRef]
- Caburet, S.; Arboleda, V.A.; Llano, E.; Overbeek, P.A.; Barbero, J.L.; Oka, K.; Harrison, W.; Vaiman, D.; Ben-Neriah, Z.; García-Tuñón, I. Mutant cohesin in premature ovarian failure. N. Engl. J. Med. 2014, 370, 943–949. [Google Scholar] [CrossRef]
- Wang, J.; Zhang, W.; Jiang, H.; Wu, B.L.; Primary Ovarian Insufficiency, C. Mutations in HFM1 in recessive primary ovarian insufficiency. N. Engl. J. Med. 2014, 370, 972–974. [Google Scholar] [CrossRef]
- Lacombe, A.; Lee, H.; Zahed, L.; Choucair, M.; Muller, J.-M.; Nelson, S.F.; Salameh, W.; Vilain, E. Disruption of POF1B binding to nonmuscle actin filaments is associated with premature ovarian failure. Am. J. Hum. Genet. 2006, 79, 113–119. [Google Scholar] [CrossRef] [PubMed]
- Ledig, S.; Preisler-Adams, S.; Morlot, S.; Liehr, T.; Wieacker, P. Premature ovarian failure caused by a heterozygous missense mutation in POF1B and a reciprocal translocation 46, X, t (X; 3)(q21. 1; q21. 3). Sex. Dev. 2015, 9, 86–90. [Google Scholar] [CrossRef] [PubMed]
- Gorsi, B.; Hernandez, E.; Moore, M.B.; Moriwaki, M.; Chow, C.Y.; Coelho, E.; Taylor, E.; Lu, C.; Walker, A.; Touraine, P. Causal and candidate gene variants in a large cohort of women with primary ovarian insufficiency. J. Clin. Endocrinol. Metab. 2022, 107, 685–714. [Google Scholar] [CrossRef] [PubMed]
- Jolly, A.; Bayram, Y.; Turan, S.; Aycan, Z.; Tos, T.; Abali, Z.Y.; Hacihamdioglu, B.; Coban Akdemir, Z.H.; Hijazi, H.; Bas, S.; et al. Exome Sequencing of a Primary Ovarian Insufficiency Cohort Reveals Common Molecular Etiologies for a Spectrum of Disease. J. Clin. Endocrinol. Metab. 2019, 104, 3049–3067. [Google Scholar] [CrossRef] [PubMed]
- Al-Agha, A.E.; Ahmed, I.A.; Nuebel, E.; Moriwaki, M.; Moore, B.; Peacock, K.A.; Mosbruger, T.; Neklason, D.W.; Jorde, L.B.; Yandell, M. Primary ovarian insufficiency and azoospermia in carriers of a homozygous PSMC3IP stop gain mutation. J. Clin. Endocrinol. Metab. 2018, 103, 555–563. [Google Scholar] [CrossRef]
- Zangen, D.; Kaufman, Y.; Zeligson, S.; Perlberg, S.; Fridman, H.; Kanaan, M.; Abdulhadi-Atwan, M.; Libdeh, A.A.; Gussow, A.; Kisslov, I. XX ovarian dysgenesis is caused by a PSMC3IP/HOP2 mutation that abolishes coactivation of estrogen-driven transcription. Am. J. Hum. Genet. 2011, 89, 572–579. [Google Scholar] [CrossRef]
- Carlosama, C.; Elzaiat, M.; Patiño, L.C.; Mateus, H.E.; Veitia, R.A.; Laissue, P. A homozygous donor splice-site mutation in the meiotic gene MSH4 causes primary ovarian insufficiency. Hum. Mol. Genet. 2017, 26, 3161–3166. [Google Scholar] [CrossRef]
- Guo, T.; Zhao, S.; Zhao, S.; Chen, M.; Li, G.; Jiao, X.; Wang, Z.; Zhao, Y.; Qin, Y.; Gao, F. Mutations in MSH5 in primary ovarian insufficiency. Hum. Mol. Genet. 2017, 26, 1452–1457. [Google Scholar] [CrossRef]
- Macaisne, N.; Touzon, M.S.; Rajkovic, A.; Yanowitz, J.L. Modeling primary ovarian insufficiency-associated loci in C. elegans identifies novel pathogenic allele of MSH5. J. Assist. Reprod. Genet. 2022, 39, 1255–1260. [Google Scholar] [CrossRef]
- Qin, Y.; Guo, T.; Li, G.; Tang, T.-S.; Zhao, S.; Jiao, X.; Gong, J.; Gao, F.; Guo, C.; Simpson, J.L. CSB-PGBD3 mutations cause premature ovarian failure. PLoS Genet. 2015, 11, e1005419. [Google Scholar] [CrossRef]
- Eskenazi, S.; Bachelot, A.; Hugon-Rodin, J.; Plu-Bureau, G.; Gompel, A.; Catteau-Jonard, S.; Molina-Gomes, D.; Dewailly, D.; Dodé, C.; Christin-Maitre, S. Next generation sequencing should be proposed to every woman with “idiopathic” primary ovarian insufficiency. J. Endocr. Soc. 2021, 5, bvab032. [Google Scholar] [CrossRef] [PubMed]
- He, W.-B.; Tu, C.-F.; Liu, Q.; Meng, L.-L.; Yuan, S.-M.; Luo, A.-X.; He, F.-S.; Shen, J.; Li, W.; Du, J. DMC1 mutation that causes human non-obstructive azoospermia and premature ovarian insufficiency identified by whole-exome sequencing. J. Med. Genet. 2018, 55, 198–204. [Google Scholar] [CrossRef] [PubMed]
- Mandon-Pépin, B.; Touraine, P.; Kuttenn, F.; Derbois, C.; Rouxel, A.; Matsuda, F.; Nicolas, A.; Cotinot, C.; Fellous, M. Genetic investigation of four meiotic genes in women with premature ovarian failure. Eur. J. Endocrinol. 2008, 158, 107–115. [Google Scholar] [CrossRef] [PubMed]
- Caburet, S.; Todeschini, A.-L.; Petrillo, C.; Martini, E.; Farran, N.D.; Legois, B.; Livera, G.; Younis, J.S.; Shalev, S.; Veitia, R.A. A truncating MEIOB mutation responsible for familial primary ovarian insufficiency abolishes its interaction with its partner SPATA22 and their recruitment to DNA double-strand breaks. EBioMedicine 2019, 42, 524–531. [Google Scholar] [CrossRef] [PubMed]
- Wang, Y.; Liu, L.; Tan, C.; Meng, G.; Meng, L.; Nie, H.; Du, J.; Lu, G.-X.; Lin, G.; He, W.-B. Novel MEIOB variants cause primary ovarian insufficiency and non-obstructive azoospermia. Front. Genet. 2022, 13, 936264. [Google Scholar] [CrossRef]
- He, W.-B.; Tan, C.; Zhang, Y.-X.; Meng, L.-L.; Gong, F.; Lu, G.-X.; Lin, G.; Du, J.; Tan, Y.-Q. Homozygous variants in SYCP2L cause premature ovarian insufficiency. J. Med. Genet. 2021, 58, 168–172. [Google Scholar] [CrossRef]
- de Vries, L.; Behar, D.M.; Smirin-Yosef, P.; Lagovsky, I.; Tzur, S.; Basel-Vanagaite, L. Exome sequencing reveals SYCE1 mutation associated with autosomal recessive primary ovarian insufficiency. J. Clin. Endocrinol. Metab. 2014, 99, E2129–E2132. [Google Scholar] [CrossRef]
- Felipe-Medina, N.; Caburet, S.; Sánchez-Sáez, F.; Condezo, Y.B.; De Rooij, D.G.; Gómez-h, L.; Garcia-Valiente, R.; Todeschini, A.L.; Duque, P.; Sánchez-Martin, M.A. A missense in HSF2BP causing primary ovarian insufficiency affects meiotic recombination by its novel interactor C19ORF57/BRME1. eLife 2020, 9, e56996. [Google Scholar] [CrossRef]
- Li, S.; Xu, W.; Xu, B.; Gao, S.; Zhang, Q.; Qin, Y.; Guo, T. Pathogenic variations of homologous recombination gene HSF2BP identified in sporadic patients with premature ovarian insufficiency. Front. Cell Dev. Biol. 2022, 9, 768123. [Google Scholar] [CrossRef]
- Tucker, E.J.; Jaillard, S.; Grover, S.R.; van den Bergen, J.; Robevska, G.; Bell, K.M.; Sadedin, S.; Hanna, C.; Dulon, J.; Touraine, P.; et al. TP63-truncating variants cause isolated premature ovarian insufficiency. Hum. Mutat. 2019, 40, 886–892. [Google Scholar] [CrossRef] [PubMed]
- Tucker, E.J.; Gutfreund, N.; Belaud-Rotureau, M.A.; Gilot, D.; Brun, T.; Kline, B.L.; Bell, K.M.; Domin-Bernhard, M.; Théard, C.; Touraine, P. Dominant TP63 missense variants lead to constitutive activation and premature ovarian insufficiency. Hum. Mutat. 2022, 43, 1443–1453. [Google Scholar] [CrossRef] [PubMed]
- McGlacken-Byrne, S.M.; Le Quesne Stabej, P.; Del Valle, I.; Ocaka, L.; Gagunashvili, A.; Crespo, B.; Moreno, N.; James, C.; Bacchelli, C.; Dattani, M.T. ZSWIM7 is associated with human female meiosis and familial primary ovarian insufficiency. J. Clin. Endocrinol. Metab. 2022, 107, e254–e263. [Google Scholar] [CrossRef] [PubMed]
- Yatsenko, S.A.; Gurbuz, F.; Topaloglu, A.K.; Berman, A.J.; Martin, P.-M.; Rodríguez-Escribà, M.; Qin, Y.; Rajkovic, A. Pathogenic variants in ZSWIM7 cause primary ovarian insufficiency. J. Clin. Endocrinol. Metab. 2022, 107, e2359–e2364. [Google Scholar] [CrossRef]
- Fouquet, B.; Pawlikowska, P.; Caburet, S.; Guigon, C.; Mäkinen, M.; Tanner, L.; Hietala, M.; Urbanska, K.; Bellutti, L.; Legois, B. A homozygous FANCM mutation underlies a familial case of non-syndromic primary ovarian insufficiency. eLife 2017, 6, e30490. [Google Scholar] [CrossRef]
- Jaillard, S.; Bell, K.; Akloul, L.; Walton, K.; McElreavy, K.; Stocker, W.A.; Beaumont, M.; Harrisson, C.; Jaaskelainen, T.; Palvimo, J.J.; et al. New insights into the genetic basis of premature ovarian insufficiency: Novel causative variants and candidate genes revealed by genomic sequencing. Maturitas 2020, 141, 9–19. [Google Scholar] [CrossRef]
- Yang, Y.; Guo, T.; Liu, R.; Ke, H.; Xu, W.; Zhao, S.; Qin, Y. FANCL gene mutations in premature ovarian insufficiency. Hum. Mutat. 2020, 41, 1033–1041. [Google Scholar] [CrossRef]
- Yang, X.; Zhang, X.; Jiao, J.; Zhang, F.; Pan, Y.; Wang, Q.; Chen, Q.; Cai, B.; Tang, S.; Zhou, Z. Rare variants in FANCA induce premature ovarian insufficiency. Hum. Genet. 2019, 138, 1227–1236. [Google Scholar] [CrossRef]
- Zhang, Y.-X.; Li, H.-Y.; He, W.-B.; Tu, C.; Du, J.; Li, W.; Lu, G.-X.; Lin, G.; Yang, Y.; Tan, Y.-Q. XRCC2 mutation causes premature ovarian insufficiency as well as non-obstructive azoospermia in humans. Clin. Genet. 2019, 95, 442–443. [Google Scholar] [CrossRef]
- Faridi, R.; Rehman, A.U.; Morell, R.J.; Friedman, P.L.; Demain, L.; Zahra, S.; Khan, A.A.; Tohlob, D.; Assir, M.Z.; Beaman, G. Mutations of SGO2 and CLDN14 collectively cause coincidental Perrault syndrome. Clin. Genet. 2017, 91, 328–332. [Google Scholar] [CrossRef]
- Smirin-Yosef, P.; Zuckerman-Levin, N.; Tzur, S.; Granot, Y.; Cohen, L.; Sachsenweger, J.; Borck, G.; Lagovsky, I.; Salmon-Divon, M.; Wiesmüller, L. A biallelic mutation in the homologous recombination repair gene SPIDR is associated with human gonadal dysgenesis. J. Clin. Endocrinol. Metab. 2017, 102, 681–688. [Google Scholar] [CrossRef]
- Luo, W.; Guo, T.; Li, G.; Liu, R.; Zhao, S.; Song, M.; Zhang, L.; Wang, S.; Chen, Z.-J.; Qin, Y. Variants in homologous recombination genes EXO1 and RAD51 related with premature ovarian insufficiency. J. Clin. Endocrinol. Metab. 2020, 105, e3566–e3574. [Google Scholar] [CrossRef]
- Zhou, Y.; Qin, Y.; Qin, Y.; Xu, B.; Guo, T.; Ke, H.; Chen, M.; Zhang, L.; Han, F.; Li, Y. Wdr62 is involved in female meiotic initiation via activating JNK signaling and associated with POI in humans. PLoS Genet. 2018, 14, e1007463. [Google Scholar] [CrossRef] [PubMed]
- Tucker, E.J.; Grover, S.R.; Robevska, G.; van den Bergen, J.; Hanna, C.; Sinclair, A.H. Identification of variants in pleiotropic genes causing “isolated” premature ovarian insufficiency: Implications for medical practice. Eur. J. Hum. Genet. 2018, 26, 1319–1328. [Google Scholar] [CrossRef] [PubMed]
- Sadedin, S.P.; Dashnow, H.; James, P.A.; Bahlo, M.; Bauer, D.C.; Lonie, A.; Lunke, S.; Macciocca, I.; Ross, J.P.; Siemering, K.R.; et al. Cpipe: A shared variant detection pipeline designed for diagnostic settings. Genome Med. 2015, 7, 68. [Google Scholar] [CrossRef] [PubMed]
- Polanco, J.C.; Wilhelm, D.; Davidson, T.-L.; Knight, D.; Koopman, P. Sox10 gain-of-function causes XX sex reversal in mice: Implications for human 22q-linked disorders of sex development. Hum. Mol. Genet. 2010, 19, 506–516. [Google Scholar] [CrossRef] [PubMed]
- Venselaar, H.; Te Beek, T.A.; Kuipers, R.K.; Hekkelman, M.L.; Vriend, G. Protein structure analysis of mutations causing inheritable diseases. An e-Science approach with life scientist friendly interfaces. BMC Bioinform. 2010, 11, 548. [Google Scholar] [CrossRef]
- Richards, S.; Aziz, N.; Bale, S.; Bick, D.; Das, S.; Gastier-Foster, J.; Grody, W.W.; Hegde, M.; Lyon, E.; Spector, E. Standards and guidelines for the interpretation of sequence variants: A joint consensus recommendation of the American College of Medical Genetics and Genomics and the Association for Molecular Pathology. Genet. Med. 2015, 17, 405–423. [Google Scholar] [CrossRef]
- Han, X.; Zhao, L.; Li, X. HELQ in cancer and reproduction. Neoplasma 2016, 63, 825–835. [Google Scholar] [CrossRef] [PubMed]
- Biswas, L.; Tyc, K.; El Yakoubi, W.; Morgan, K.; Xing, J.; Schindler, K. Meiosis interrupted: The genetics of female infertility via meiotic failure. Reproduction 2021, 161, R13–R35. [Google Scholar] [CrossRef]
- Justice, M.J.; Dhillon, P. Using the mouse to model human disease: Increasing validity and reproducibility. Dis. Models Mech. 2016, 9, 101–103. [Google Scholar] [CrossRef]
- Perlman, R.L. Mouse models of human disease: An evolutionary perspective. Evol. Med. Public Health 2016, 2016, 170–176. [Google Scholar] [CrossRef]
- Wall, R.J.; Shani, M. Are animal models as good as we think? Theriogenology 2008, 69, 2–9. [Google Scholar] [CrossRef]
- Pound, P.; Ritskes-Hoitinga, M. Is it possible to overcome issues of external validity in preclinical animal research? Why most animal models are bound to fail. J. Transl. Med. 2018, 16, 304. [Google Scholar] [CrossRef]
- Seok, J.; Warren, H.S.; Cuenca, A.G.; Mindrinos, M.N.; Baker, H.V.; Xu, W.; Richards, D.R.; McDonald-Smith, G.P.; Gao, H.; Hennessy, L. Inflammation and Host Response to Injury, Large Scale Collaborative Research Program. Genomic responses in mouse models poorly mimic human inflammatory diseases. Proc. Natl. Acad. Sci. USA 2013, 110, 3507–3512. [Google Scholar] [CrossRef]
- Birling, M.-C.; Herault, Y.; Pavlovic, G. Modeling human disease in rodents by CRISPR/Cas9 genome editing. Mamm. Genome 2017, 28, 291–301. [Google Scholar] [CrossRef]
- Sittig, L.J.; Carbonetto, P.; Engel, K.A.; Krauss, K.S.; Barrios-Camacho, C.M.; Palmer, A.A. Genetic background limits generalizability of genotype-phenotype relationships. Neuron 2016, 91, 1253–1259. [Google Scholar] [CrossRef]
- Simpson, E.M.; Linder, C.C.; Sargent, E.E.; Davisson, M.T.; Mobraaten, L.E.; Sharp, J.J. Genetic variation among 129 substrains and its importance for targeted mutagenesis in mice. Nat. Genet. 1997, 16, 19–27. [Google Scholar] [CrossRef] [PubMed]
- Simon, M.M.; Greenaway, S.; White, J.K.; Fuchs, H.; Gailus-Durner, V.; Wells, S.; Sorg, T.; Wong, K.; Bedu, E.; Cartwright, E.J. A comparative phenotypic and genomic analysis of C57BL/6J and C57BL/6N mouse strains. Genome Biol. 2013, 14, R82. [Google Scholar] [CrossRef] [PubMed]
- Tran, T.N.; Schimenti, J.C. A putative human infertility allele of the meiotic recombinase DMC1 does not affect fertility in mice. Hum. Mol. Genet. 2018, 27, 3911–3918. [Google Scholar] [CrossRef] [PubMed]
- Hikiba, J.; Hirota, K.; Kagawa, W.; Ikawa, S.; Kinebuchi, T.; Sakane, I.; Takizawa, Y.; Yokoyama, S.; Mandon-Pepin, B.; Nicolas, A. Structural and functional analyses of the DMC1-M200V polymorphism found in the human population. Nucleic Acids Res. 2008, 36, 4181–4190. [Google Scholar] [CrossRef]
- Cao, D.; Shi, F.; Guo, C.; Liu, Y.; Lin, Z.; Zhang, J.; Li, R.H.W.; Yao, Y.; Liu, K.; Ng, E.H.Y. A pathogenic DMC1 frameshift mutation causes nonobstructive azoospermia but not primary ovarian insufficiency in humans. Mol. Hum. Reprod. 2021, 27, gaab058. [Google Scholar] [CrossRef]
- Hartford, S.A.; Luo, Y.; Southard, T.L.; Min, I.M.; Lis, J.T.; Schimenti, J.C. Minichromosome maintenance helicase paralog MCM9 is dispensible for DNA replication but functions in germ-line stem cells and tumor suppression. Proc. Natl. Acad. Sci. USA 2011, 108, 17702–17707. [Google Scholar] [CrossRef] [PubMed]
- Lutzmann, M.; Grey, C.; Traver, S.; Ganier, O.; Maya-Mendoza, A.; Ranisavljevic, N.; Bernex, F.; Nishiyama, A.; Montel, N.; Gavois, E. MCM8-and MCM9-deficient mice reveal gametogenesis defects and genome instability due to impaired homologous recombination. Mol. Cell 2012, 47, 523–534. [Google Scholar] [CrossRef] [PubMed]
- Potorac, I.; Laterre, M.; Malaise, O.; Nechifor, V.; Fasquelle, C.; Colleye, O.; Detrembleur, N.; Verdin, H.; Symoens, S.; De Baere, E. The Role of MCM9 in the Etiology of Sertoli Cell-Only Syndrome and Premature Ovarian Insufficiency. J. Clin. Med. 2023, 12, 990. [Google Scholar] [CrossRef]
- Dam, A.H.; Koscinski, I.; Kremer, J.A.; Moutou, C.; Jaeger, A.-S.; Oudakker, A.R.; Tournaye, H.; Charlet, N.; Lagier-Tourenne, C.; van Bokhoven, H. Homozygous mutation in SPATA16 is associated with male infertility in human globozoospermia. Am. J. Hum. Genet. 2007, 81, 813–820. [Google Scholar] [CrossRef] [PubMed]
- Fujihara, Y.; Oji, A.; Larasati, T.; Kojima-Kita, K.; Ikawa, M. Human globozoospermia-related gene Spata16 is required for sperm formation revealed by CRISPR/Cas9-mediated mouse models. Int. J. Mol. Sci. 2017, 18, 2208. [Google Scholar] [CrossRef]
- Pelttari, L.M.; Kinnunen, L.; Kiiski, J.I.; Khan, S.; Blomqvist, C.; Aittomäki, K.; Nevanlinna, H. Screening of HELQ in breast and ovarian cancer families. Fam. Cancer 2016, 15, 19–23. [Google Scholar] [CrossRef]
- Miosge, L.A.; Field, M.A.; Sontani, Y.; Cho, V.; Johnson, S.; Palkova, A.; Balakishnan, B.; Liang, R.; Zhang, Y.; Lyon, S. Comparison of predicted and actual consequences of missense mutations. Proc. Natl. Acad. Sci. USA 2015, 112, E5189–E5198. [Google Scholar] [CrossRef]
- Wang, T.; Bu, C.H.; Hildebrand, S.; Jia, G.; Siggs, O.M.; Lyon, S.; Pratt, D.; Scott, L.; Russell, J.; Ludwig, S. Probability of phenotypically detectable protein damage by ENU-induced mutations in the Mutagenetix database. Nat. Commun. 2018, 9, 441. [Google Scholar] [CrossRef]





| Gene | Inheritance | Reference |
|---|---|---|
| MCM 8 | AR, AD | [21,28,29,30,31,32,33] |
| MCM 9 | AR, AD | [30,34,35,36,37,38] |
| REC8 | AR, AD | [21,39] |
| HROB (C18orf53) | AR | [21,27] |
| NUP107 | AR | [21,40] |
| STAG3 | AR | [21,41] |
| HFM1 | AR | [21,42] |
| POF1B | AR, AD | [21,43,44] |
| SWI5 | AR | [27] |
| HELQ | AD, AR | [25,27,45] |
| MND1 | AR | [46] |
| PSMC3IP | AR | [47,48] |
| MSH4 | AR | [27,49] |
| MSH5 | AR, AD | [50,51] |
| MSH6 | - | [45] |
| CSB-PGBD3 | AD | [52] |
| ATM | AD | [27] |
| PRIM1 | - | [25] |
| DMC1 | AR | [53,54,55] |
| MEIOB | AR | [56,57] |
| SYCP2L | AR | [58] |
| SYCE1 | AR | [59] |
| HSF2BP | AR | [60,61] |
| TP63 | AD | [62,63] |
| ZSWIM7 | AR | [64,65] |
| FANCM | AR | [27,66,67] |
| FANCL | AD | [68] |
| FANCA | AD | [69] |
| FANCU (XRCC2) | AR | [70] |
| FANCI | - | [25] |
| BRCA1 (FANCS) | - | [45] |
| BRCA2 (FANCD1) | AR | [27] |
| SMC1B | AD | [39] |
| SGO2 | AR | [71] |
| SPIDR | AR | [27,72] |
| EXO1 | AD | [25,73] |
| RAD51 | AD | [73] |
| WDR62 | AD | [74] |
| NBN | AR | [75] |
| UIMC1 | - | [25] |
| ERCC6 | AD | [27] |
| LLGL1 | AD | [45] |
| BOD1L1 | AD | [45] |
| Gene-Centric Analysis | Variant-Centric Analysis (Recessive) | Variant-Centric Analysis (LOF) |
|---|---|---|
| Moderate-high priority, MAF < 0.001, high-quality, POI candidate genes | Moderate-high priority, MAF < 0.001, high-quality, recessive inheritance | High priority, MAF < 0.0001, high-quality |
| 14 variants (14 genes): INSRR, LAMC1, VWA5B2, HELQ, MRPS30, BBS9, RGS22, PCSK5, CENPJ, MLH3, MRPS11, SLX4, LONP1, BMP2 | 14 variants (8 genes): WDR78, HELQ, ZBED8, ZBTB43, DEPDC7, CD63, LIPC, ZNF20 | 14 variants (12 genes): PRAMEF4, MROH7, ZBTB41, OSMR, STK32A, RABEPK, C10orf90, SLC6A5, LINS1, PTPN2, ZNF544, TSPAN6 |
Disclaimer/Publisher’s Note: The statements, opinions and data contained in all publications are solely those of the individual author(s) and contributor(s) and not of MDPI and/or the editor(s). MDPI and/or the editor(s) disclaim responsibility for any injury to people or property resulting from any ideas, methods, instructions or products referred to in the content. |
© 2024 by the authors. Licensee MDPI, Basel, Switzerland. This article is an open access article distributed under the terms and conditions of the Creative Commons Attribution (CC BY) license (https://creativecommons.org/licenses/by/4.0/).
Share and Cite
Bakhshalizadeh, S.; Bird, A.D.; Sreenivasan, R.; Bell, K.M.; Robevska, G.; van den Bergen, J.; Asghari-Jafarabadi, M.; Kueh, A.J.; Touraine, P.; Lokchine, A.; et al. A Human Homozygous HELQ Missense Variant Does Not Cause Premature Ovarian Insufficiency in a Mouse Model. Genes 2024, 15, 333. https://doi.org/10.3390/genes15030333
Bakhshalizadeh S, Bird AD, Sreenivasan R, Bell KM, Robevska G, van den Bergen J, Asghari-Jafarabadi M, Kueh AJ, Touraine P, Lokchine A, et al. A Human Homozygous HELQ Missense Variant Does Not Cause Premature Ovarian Insufficiency in a Mouse Model. Genes. 2024; 15(3):333. https://doi.org/10.3390/genes15030333
Chicago/Turabian StyleBakhshalizadeh, Shabnam, Anthony D. Bird, Rajini Sreenivasan, Katrina M. Bell, Gorjana Robevska, Jocelyn van den Bergen, Mohammad Asghari-Jafarabadi, Andrew J. Kueh, Philippe Touraine, Anna Lokchine, and et al. 2024. "A Human Homozygous HELQ Missense Variant Does Not Cause Premature Ovarian Insufficiency in a Mouse Model" Genes 15, no. 3: 333. https://doi.org/10.3390/genes15030333
APA StyleBakhshalizadeh, S., Bird, A. D., Sreenivasan, R., Bell, K. M., Robevska, G., van den Bergen, J., Asghari-Jafarabadi, M., Kueh, A. J., Touraine, P., Lokchine, A., Jaillard, S., Ayers, K. L., Wilhelm, D., Sinclair, A. H., & Tucker, E. J. (2024). A Human Homozygous HELQ Missense Variant Does Not Cause Premature Ovarian Insufficiency in a Mouse Model. Genes, 15(3), 333. https://doi.org/10.3390/genes15030333

