Multiplex Determination of K-Antigen and Colanic Acid Capsule Variants of Cronobacter sakazakii
Abstract
1. Introduction
2. Materials and Methods
2.1. Bacterial Strains
2.2. Genomic DNA Extraction
2.2.1. C. sakazakii K-Antigen Profiling
2.2.2. K-Antigen Gene Amplification
2.2.3. C. sakazakii Colanic Acid Profiling
2.2.4. C. sakazakii Colanic Acid Amplification
3. Results
3.1. Sequence Type (ST) and Serotype Determination
3.1.1. K-Antigen
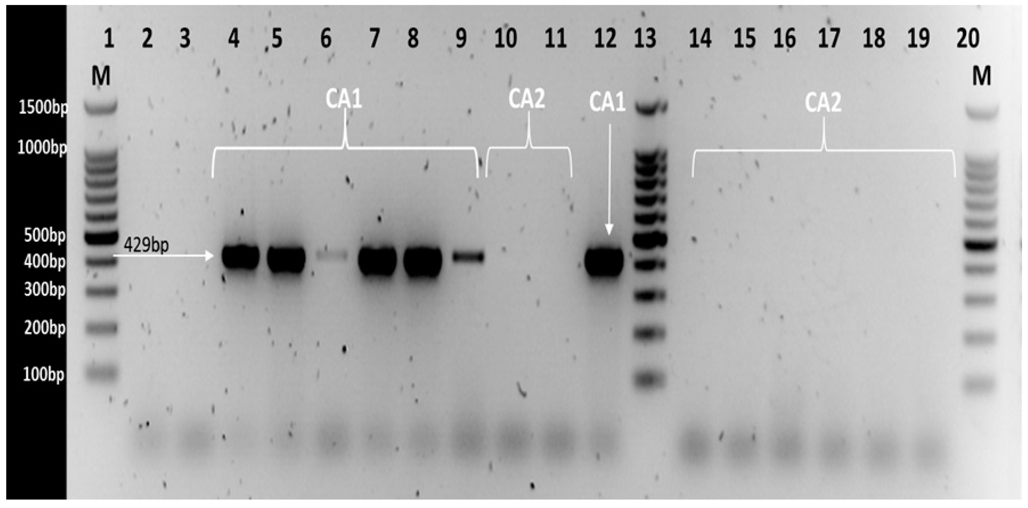
3.1.2. Colanic Acid (CA)
3.2. Comparison between PCR Amplification Result and the Genomic Investigation
4. Discussion
5. Conclusions
Supplementary Materials
Author Contributions
Funding
Institutional Review Board Statement
Informed Consent Statement
Data Availability Statement
Acknowledgments
Conflicts of Interest
References
- Alsonosi, A.; Hariri, S.; Kajsík, M.; Oriešková, M.; Hanulík, V.; Röderová, M.; Petrželová, J.; Kollárová, H.; Drahovská, H.; Forsythe, S.; et al. The speciation and genotyping of Cronobacter isolates from hospitalised patients. Eur. J. Clin. Microbiol. Infect. Dis. 2015, 34, 1979–1988. [Google Scholar] [CrossRef] [PubMed]
- Alsonosi, A.M.; Holy, O.; Forsythe, S.J. Characterization of the pathogenicity of Clinical Cronobacter malonaticus strains based on the tissue culture investigations. Antonie Leeuwenhoek 2019, 112, 435–450. [Google Scholar] [CrossRef] [PubMed]
- Blažková, M.; Javurková, B.; Vlach, J.; Göselová, S.; Karamonová, L.; Ogrodzki, P.; Forsythe, S.; Fukal, L. Diversity of O antigens within the genus Cronobacter: From disorder to order. Appl. Environ. Microbiol. 2015, 81, 5574. [Google Scholar] [CrossRef] [PubMed][Green Version]
- Bowen, A.B.; Braden, C.R. Invasive Enterobacter sakazakii disease in infants. Emerg. Infect. Dis. 2006, 12, 1185–1189. [Google Scholar] [CrossRef] [PubMed]
- Caubilla-Barron, J.; Forsythe, S. Dry stress and survival time of Enterobacter sakazakii and other Enterobacteriaceae. J. Food Prot. 2007, 70, 2111–2117. [Google Scholar] [CrossRef]
- Craven, H.; McAuley, C.; Duffy, L.; Fegan, N. Distribution, prevalence and persistence of Cronobacter (Enterobacter sakazakii) in the nonprocessing and processing environments of five milk powder factories. J. Appl. Microbiol. 2010, 109, 1044–1052. [Google Scholar] [CrossRef]
- Feizabadi, M.M.; Raji, N.; Delfani, S. Identification of Klebsiella pneumoniae K1 and K2 capsular types by PCR and quellung test. Jundishapur J. Microbiol. 2013, 9, 1–4. [Google Scholar] [CrossRef]
- Forsythe, S.J. Updates on the Cronobacter genus. Annu. Rev. Food Sci. Technol. 2018, 9, 23–44. [Google Scholar] [CrossRef]
- Gurtler, J.; Beuchat, L. Performance of media for recovering stressed cells of Enterobacter sakazakii as determined using spiral plating and ecometric techniques. Appl. Environ. Microbiol. 2005, 71, 7661–7669. [Google Scholar] [CrossRef]
- Hein, I.; Gadzov, B.; Schoder, D.; Foissy, H.; Malorny, B.; Wagner, M. Temporal and spatial distribution of Cronobacter isolates in a milk powder processing plant determined by pulsed-field gel electrophoresis. Foodborne Pathog. 2009, 6, 225–233. [Google Scholar] [CrossRef]
- Holt, K.E.; Lassalle, F.; Wyres, K.L.; Wick, R.; Mostowy, R.J. Diversity and evolution of surface polysaccharide synthesis loci in Enterobacteriales. ISME J. 2020, 14, 1713–1730. [Google Scholar] [CrossRef]
- Holy, O.; Petrzelova, J.; Hanulik, V.; Chroma, M.; Matouskova, I.; Forsythe, S. Epidemiology of Cronobacter spp. isolates from patients admitted to the Olomouc University Hospital (Czech Republic). Epidemiol. Mikrobiol. Imunol. 2014, 63, 69–72. [Google Scholar] [PubMed]
- Holy, O.; Forsythe, S. Cronobacter spp. as emerging causes of healthcare-associated infection. J. Hosp. Infect. 2014, 86, 169–177. [Google Scholar] [CrossRef] [PubMed]
- Iversen, C.; Lane, M.; Forsythe, S. The growth profile, thermotolerance and biofilm formation of Enterobacter sakazakii grown in infant formula milk. Lett. Appl. Microbiol. 2004, 38, 378–382. [Google Scholar] [CrossRef]
- Iversen, C.; Forsythe, S. Isolation of Enterobacter sakazakii and other Enterobacteriaceae from powdered infant formula milk and related products. Food Microbiol. 2004, 21, 771–776. [Google Scholar] [CrossRef]
- Jacobs, C.; Braun, P.; Hammer, P. Reservoir and routes of transmission of Enterobacter sakazakii (Cronobacter spp.) in a milk powder-producing plant. J. Dairy Sci. 2011, 94, 3801–3810. [Google Scholar] [CrossRef]
- Joseph, S.; Desai, P.; Ji, Y.; Cummings, C.A.; Shih, R.; Degoricija, L.; Rico, A.; Brzoska, P.; Hamby, S.; Masood, N.; et al. Comparative analysis of genome sequences covering the seven Cronobacter species. PLoS ONE 2012, 16, e49455. [Google Scholar] [CrossRef]
- Kaczmarek, A.; Budzyńska, A.; Gospodarek, E. Detection of K1 antigen of Escherichia coli rods isolated from pregnant women and neonates. Folia Microbiol. 2014, 5, 419–422. [Google Scholar] [CrossRef]
- Mullane, N.; Healy, B.; Meade, J.; Whyte, P.; Wall, P.G.; Fanning, S. Dissemination of Cronobacter spp. (Enterobacter sakazakii) in a powdered milk protein manufacturing facility. Appl. Environ. 2008, 74, 5913–5917. [Google Scholar] [CrossRef]
- Ling, N.; Jiang, Y.; Zeng, H.; Ding, Y.; Forsythe, S. Advances in our understanding and distribution of the Cronobacter genus in China. J. Food Sci. 2021, 86, 276–283. [Google Scholar] [CrossRef]
- Navasa, N.; Rodríguez-Aparicio, L.; Martínez-Blanco, H.; Arcos, M.; Ferrero, M. Temperature has reciprocal effects on colanic acid and polysialic acid biosynthesis in E. Coli K92. Appl. Microbiol. 2009, 4, 721–729. [Google Scholar] [CrossRef] [PubMed]
- Navasa, N.; Rodríguez-Aparicio, L.; Ferrero, M.; Monteagudo-Mera, A.; Martínez-Blanco, H. Polysialic and colanic acids metabolism in Escherichia coli K92 is regulated by RcsA and RcsB. Biosci. Rep. 2013, 3, e00038. [Google Scholar] [CrossRef]
- Ogrodzki, P.; Forsythe, S. Capsular profiling of the Cronobacter genus and the association of specific Cronobacter sakazakii and C. Malonaticus capsule types with neonatal meningitis and necrotizing enterocolitis. BMC Genom. 2015, 16, 758. [Google Scholar] [CrossRef] [PubMed]
- Ogrodzki, P.; Forsythe, S.J. DNA-sequence based typing of the Cronobacter genus using MLST, CRISPR-cas array and capsular profiling. Front. Microbiol. 2017, 8, 1875. [Google Scholar] [CrossRef] [PubMed]
- Patrick, M.E.; Mahon, B.E.; Greene, S.A.; Rounds, J.; Cronquist, A.; Wymore, K.; Boothe, E.; Lathrop, S.; Palmer, A.; Bowen, A. Incidence of Cronobacter spp. infections, United States, 2003–2009. Emerg. Infect. Dis. 2014, 20, 1520–1523. [Google Scholar] [CrossRef]
- Qin, X.; Wang, H.; Chao, M.; Yang, X.; Zhang, Y.; Feng, J.; Forsythe, S.J.; Man, C.; Jiang, Y. Stress resistance of Cronobacter spp. affecting its control during food production. J. Dairy Sci. 2021; in print. [Google Scholar]
- Sun, Y.; Arbatsky, N.; Wang, M.; Shashkov, A.; Liu, B.; Wang, L.; Knirel, Y. Structure and genetics of the O-antigen of Cronobacter turicensis G3882 from a new serotype, C. turicensis O2, and identification of a serotype-specific gene. FEMS Microbiol. 2012, 66, 323–333. [Google Scholar]
- Turton, J.F.; Baklan, H.; Siu, L.K.; Kaufmann, M.E.; Pitt, T.L. Evaluation of a multiplex PCR for detection of serotypes K1, K2 and K5 in Klebsiella sp. and comparison of isolates within these serotypes. FEMS Microbiol. 2008, 2, 247–252. [Google Scholar] [CrossRef]
- Van Acker, J.; Smet, F.; Muyldermans, G.; Bougatef, A.; Naessens, A.; Lauwers, S. Outbreak of necrotising enterocolitis associated with Enterobacter sakazakii in powdered milk formula. J. Clin. Microbiol. 2001, 39, 293–297. [Google Scholar] [CrossRef]
- Whitfield, C.; Paiment, A. Biosynthesis and assembly of group 1 capsular polysaccharides in Escherichia coli and related extracellular polysaccharides in other bacteria. Carbohydr. Res. 2003, 23, 2491–2502. [Google Scholar] [CrossRef]
- Whitfield, C. Biosynthesis and assembly of capsular polysaccharides in Escherichia coli. Annu. Rev. Biochem. 2006, 75, 39–68. [Google Scholar] [CrossRef] [PubMed]
- Willis, M.; Whitfield, C. Structure, biosynthesis, and function of bacterial capsular polysaccharides synthesized by ABC transporter-dependent pathways. Carbohydr. Res. 2013, 378, 35–44. [Google Scholar] [CrossRef] [PubMed]
- Wijetunge, S.; Gongati, S.; DebRoy, C.; Kim, S.; Couraud, O.; Romero, A.; Weksler, B.; Kariyawasam, S. Characterizing the pathotype of neonatal meningitis causing Escherichia coli (NMEC). BMC Microbiol. 2015, 15, 211. [Google Scholar] [CrossRef] [PubMed]


Disclaimer/Publisher’s Note: The statements, opinions and data contained in all publications are solely those of the individual author(s) and contributor(s) and not of MDPI and/or the editor(s). MDPI and/or the editor(s) disclaim responsibility for any injury to people or property resulting from any ideas, methods, instructions or products referred to in the content. |
© 2024 by the authors. Licensee MDPI, Basel, Switzerland. This article is an open access article distributed under the terms and conditions of the Creative Commons Attribution (CC BY) license (https://creativecommons.org/licenses/by/4.0/).
Share and Cite
Ibrahim, K.M.; Alsonosi, A.M.; Agena, M.B.; Elgamoudi, B.A.; Forsythe, S.J. Multiplex Determination of K-Antigen and Colanic Acid Capsule Variants of Cronobacter sakazakii. Genes 2024, 15, 1282. https://doi.org/10.3390/genes15101282
Ibrahim KM, Alsonosi AM, Agena MB, Elgamoudi BA, Forsythe SJ. Multiplex Determination of K-Antigen and Colanic Acid Capsule Variants of Cronobacter sakazakii. Genes. 2024; 15(10):1282. https://doi.org/10.3390/genes15101282
Chicago/Turabian StyleIbrahim, Khaled M., Abdlrhman M. Alsonosi, Mahmoud B. Agena, Bassam A. Elgamoudi, and Stephen J. Forsythe. 2024. "Multiplex Determination of K-Antigen and Colanic Acid Capsule Variants of Cronobacter sakazakii" Genes 15, no. 10: 1282. https://doi.org/10.3390/genes15101282
APA StyleIbrahim, K. M., Alsonosi, A. M., Agena, M. B., Elgamoudi, B. A., & Forsythe, S. J. (2024). Multiplex Determination of K-Antigen and Colanic Acid Capsule Variants of Cronobacter sakazakii. Genes, 15(10), 1282. https://doi.org/10.3390/genes15101282

