Potential Prognostic Value of GATA4 Depends on the p53 Expression in Primary Glioblastoma Patients
Abstract
1. Introduction
2. Materials and Methods
2.1. Patient Recruitment
2.2. DNA Isolation
2.2.1. GATA4 Promoter Methylation Analysis via Methylation-Specific PCR
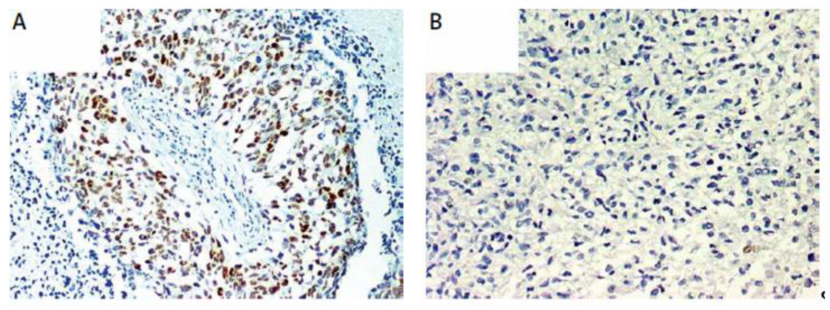
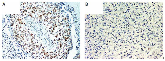
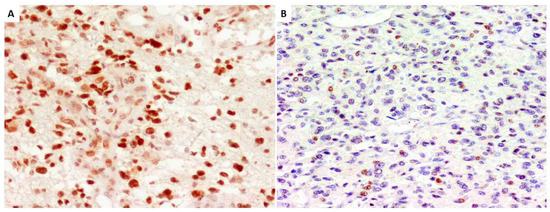
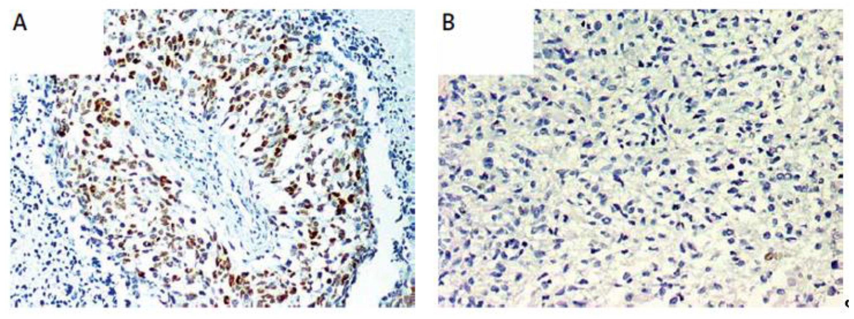
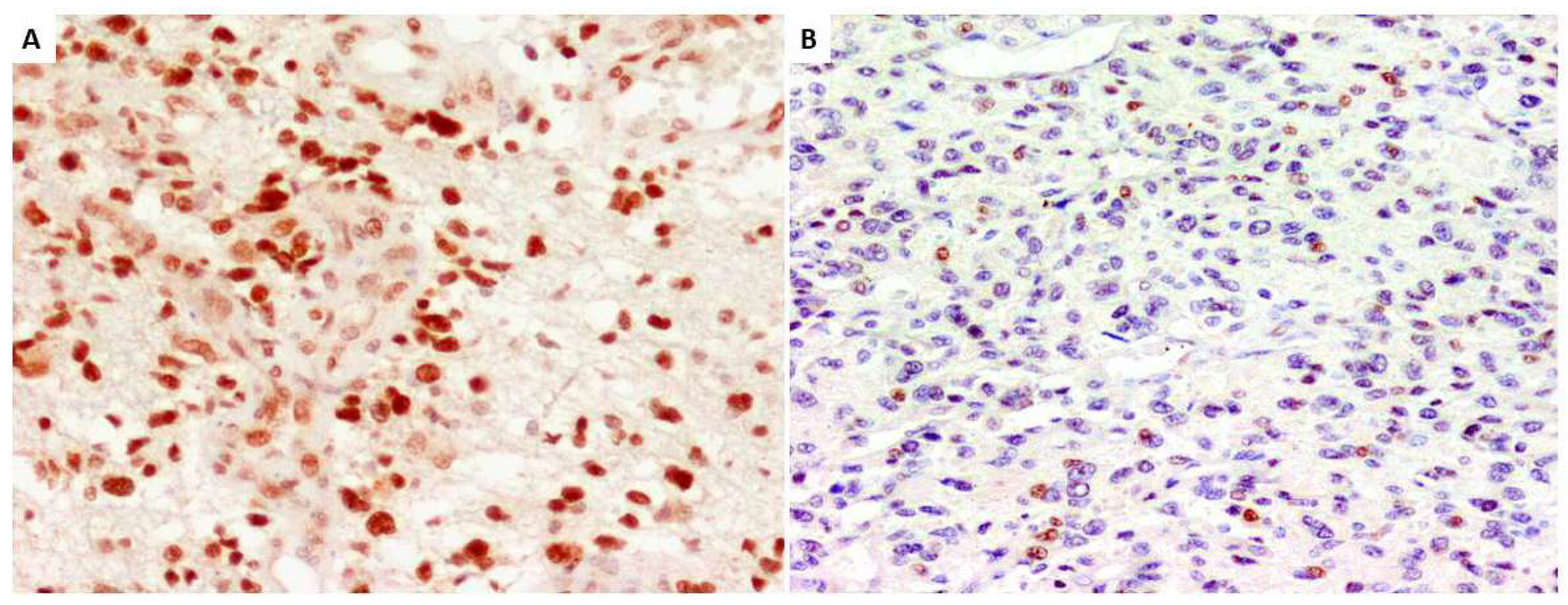
2.2.2. GATA4 Protein Expression Analysis via Immunohistochemistry
2.2.3. TP53 Mutation Analysis via Sanger Sequencing
2.2.4. TP53 Promoter Methylation Analysis via Methylation-Specific PCR
2.2.5. P53 Expression Analysis via Immunohistochemistry
2.3. Statistical Analysis
3. Results
3.1. Characteristics of Glioblastoma Patients
3.1.1. Methylation and Expression of GATA4 and TP53 Status
3.1.2. Relation between GATA4 Protein Expression and Promoter Methylation and TP53 Mutations, Methylation, and Protein Expression
3.1.3. The Co-Status Results of TP53 and GATA4 Differentiates Prognosis of GBM Patients
3.1.4. Survival Analyses Regarding GATA4 and TP53 Status
4. Discussion
5. Conclusions
Author Contributions
Funding
Institutional Review Board Statement
Informed Consent Statement
Data Availability Statement
Conflicts of Interest
References
- Stupp, R.; Hegi, M.E.; Mason, W.P.; van den Bent, M.J.; Taphoorn, M.J.; Janzer, R.C.; Ludwin, S.K.; Allgeier, A.; Fisher, B.; Belanger, K.; et al. Effects of radiotherapy with concomitant and adjuvant temozolomide versus radiotherapy alone on survival in glioblastoma in a randomised phase III study: 5-year analysis of the EORTC-NCIC trial. Lancet Oncol. 2009, 10, 459–466. [Google Scholar] [CrossRef] [PubMed]
- Akgül, S.; Patch, A.-M.; D’Souza, R.C.J.; Mukhopadhyay, P.; Nones, K.; Kempe, S.; Kazakoff, S.H.; Jeffree, R.L.; Stringer, B.W.; Pearson, J.V.; et al. Intratumoural Heterogeneity Underlies Distinct Therapy Responses and Treatment Resistance in Glioblastoma. Cancers 2019, 11, 190. [Google Scholar] [CrossRef] [PubMed]
- Ohgaki, H.; Dessen, P.; Jourde, B.; Horstmann, S.; Nishikawa, T.; Di Patre, P.-L.; Burkhard, C.; Schüler, D.; Probst-Hensch, N.M.; Maiorka, P.C.; et al. Genetic Pathways to Glioblastoma. Cancer Res. 2004, 64, 6892–6899. [Google Scholar] [CrossRef] [PubMed]
- Agnihotri, S.; Wolf, A.; Munoz, D.M.; Smith, C.J.; Gajadhar, A.; Restrepo, A.; Clarke, I.D.; Fuller, G.N.; Kesari, S.; Dirks, P.B.; et al. A GATA4-regulated tumor suppressor network represses formation of malignant human astrocytomas. J. Exp. Med. 2011, 208, 689–702. [Google Scholar] [CrossRef]
- Hellebrekers, D.M.E.I.; Lentjes, M.H.F.M.; van den Bosch, S.M.; Melotte, V.; Wouters, K.A.D.; Daenen, K.L.J.; Smits, K.M.; Akiyama, Y.; Yuasa, Y.; Sanduleanu, S.; et al. GATA4 and GATA5 are Potential Tumor Suppressors and Biomarkers in Colorectal Cancer. Clin. Cancer Res. 2009, 15, 3990–3997. [Google Scholar] [CrossRef]
- Akiyama, Y.; Watkins, N.; Suzuki, H.; Jair, K.-W.; van Engeland, M.; Esteller, M.; Sakai, H.; Ren, C.-Y.; Yuasa, Y.; Herman, J.G.; et al. GATA-4 and GATA-5 Transcription Factor Genes and Potential Downstream Antitumor Target Genes Are Epigenetically Silenced in Colorectal and Gastric Cancer. Mol. Cell. Biol. 2003, 23, 8429–8439. [Google Scholar] [CrossRef]
- Guo, M.; Akiyama, Y.; House, M.G.; Hooker, C.M.; Heath, E.; Gabrielson, E.; Yang, S.C.; Han, Y.; Baylin, S.B.; Herman, J.G.; et al. Hypermethylation of the GATA Genes in Lung Cancer. Clin. Cancer Res. 2004, 10, 7917–7924. [Google Scholar] [CrossRef]
- Bögler, O.; Su Huang, H.-J.; Kleihues, P.; Cavenee, W.K. The p53 gene and its role in human brain tumors. Glia 1995, 15, 308–327. [Google Scholar] [CrossRef]
- Ohgaki, H. Genetic pathways to glioblastomas. Neuropathology 2005, 25, 1–7. [Google Scholar] [CrossRef]
- The Cancer Genome Atlas Research Network. Comprehensive genomic characterization defines human glioblastoma genes and core pathways. Nature 2008, 455, 1061–1068. [Google Scholar] [CrossRef]
- Ohgaki, H.; Kleihues, P. The Definition of Primary and Secondary Glioblastoma. Clin. Cancer Res. 2013, 19, 764–772. [Google Scholar] [CrossRef] [PubMed]
- Zhang, Y.; Dube, C.; Gibert, M.; Cruickshanks, N.; Wang, B.; Coughlan, M.; Yang, Y.; Setiady, I.; Deveau, C.; Saoud, K.; et al. The p53 Pathway in Glioblastoma. Cancers 2018, 10, 297. [Google Scholar] [CrossRef] [PubMed]
- Zheng, H.; Ying, H.; Yan, H.; Kimmelman, A.C.; Hiller, D.J.; Chen, A.-J.; Perry, S.R.; Tonon, G.; Chu, G.C.; Ding, Z.; et al. p53 and Pten control neural and glioma stem/progenitor cell renewal and differentiation. Nature 2008, 455, 1129–1133. [Google Scholar] [CrossRef] [PubMed]
- Louis, D.N.; Perry, A.; Wesseling, P.; Brat, D.J.; Cree, I.A.; Figarella-Branger, D.; Hawkins, C.; Ng, H.K.; Pfister, S.M.; Reifenberger, G.; et al. The 2021 WHO Classification of Tumors of the Central Nervous System: A summary. Neuro-Oncol. 2021, 23, 1231–1251. [Google Scholar] [CrossRef] [PubMed]
- Jesionek-Kupnicka, D.; Braun, M.; Trąbska-Kluch, B.; Czech, J.; Szybka, M.; Szymańska, B.; Kulczycka-Wojdala, D.; Bieńkowski, M.; Kordek, R.; Zawlik, I. MiR-21, miR-34a, miR-125b, miR-181d and miR-648 levels inversely correlate with MGMT and TP53 expression in primary glioblastoma patients. AOMS 2019, 15, 504–512. [Google Scholar] [CrossRef] [PubMed]
- Jesionek-Kupnicka, D.; Szybka, M.; Malachowska, B.; Fendler, W.; Potemski, P.; Piaskowski, S.; Jaskolski, D.; Papierz, W.; Skowronski, W.; Och, W.; et al. TP53 Promoter Methylation in Primary Glioblastoma: Relationship with TP53 mRNA and Protein Expression and Mutation Status. DNA Cell Biol. 2014, 33, 217–226. [Google Scholar] [CrossRef]
- Amatya, V.J.; Naumann, U.; Weller, M.; Ohgaki, H. TP53 promoter methylation in human gliomas. Acta Neuropathol. 2005, 110, 178–184. [Google Scholar] [CrossRef]
- Yin, Y.; Stephen, C.W.; Luciani, M.G.; Fåhraeus, R. p53 stability and activity is regulated by Mdm2-mediated induction of alternative p53 translation products. Nat. Cell Biol. 2002, 4, 462–467. [Google Scholar] [CrossRef]
- Cantor, A.B.; Orkin, S.H. Transcriptional regulation of erythropoiesis: An affair involving multiple partners. Oncogene 2002, 21, 3368–3376. [Google Scholar] [CrossRef]
- Suzuki, Y.J. Cell signaling pathways for the regulation of GATA4 transcription factor: Implications for cell growth and apoptosis. Cell Signal. 2011, 23, 1094–1099. [Google Scholar] [CrossRef]
- Viger, R.S.; Taniguchi, H.; Robert, N.M.; Tremblay, J.J. The 25th Volume: Role of the GATA Family of Transcription Factors in Andrology. J. Androl. 2004, 25, 441–452. [Google Scholar] [CrossRef]
- Vaitkienė, P.; Skiriutė, D.; Skauminas, K.; Tamašauskas, A. GATA4 and DcR1 methylation in glioblastomas. Diagn. Pathol. 2013, 8, 7. [Google Scholar] [CrossRef]
- Xu, Y.; Xu, W.; Lu, T.; Dai, Y.; Liang, W. miR-126 affects the invasion and migration of glioma cells through GATA4. Artif. Cells Nanomed. Biotechnol. 2017, 45, 1247–1253. [Google Scholar] [CrossRef]
- Natrajan, R.; Mackay, A.; Lambros, M.B.; Weigelt, B.; Wilkerson, P.M.; Manie, E.; Grigoriadis, A.; A’Hern, R.; van der Groep, P.; Kozarewa, I.; et al. A whole-genome massively parallel sequencing analysis of BRCA1 mutant oestrogen receptor-negative and -positive breast cancers. J. Pathol. 2012, 227, 29–41. [Google Scholar] [CrossRef]
- Zhou, Q.; Yang, H.; Zuo, M.; Tao, Y. Distinct expression and prognostic values of GATA transcription factor family in human ovarian cancer. J. Ovarian Res. 2022, 15, 49. [Google Scholar] [CrossRef]
- Gong, C.; Fan, Y.; Zhou, X.; Lai, S.; Wang, L.; Liu, J. Comprehensive Analysis of Expression and Prognostic Value of GATAs in Lung Cancer. J. Cancer 2021, 12, 3862–3876. [Google Scholar] [CrossRef]
- Gong, Y.; Zhang, L.; Zhang, A.; Chen, X.; Gao, P.; Zeng, Q. GATA4 inhibits cell differentiation and proliferation in pancreatic cancer. PLoS ONE 2018, 13, e0202449. [Google Scholar] [CrossRef]
- Han, Q.; Xu, X.; Li, J.; Wang, J.; Bai, L.; Wang, A.; Wang, W.; Zhang, B. GATA4 is highly expressed in childhood acute lymphoblastic leukemia, promotes cell proliferation and inhibits apoptosis by activating BCL2 and MDM2. Mol. Med. Rep. 2017, 16, 6290–6298. [Google Scholar] [CrossRef]






| Variable | Number of Positive Cases (%) or Median (IQR) | Number of Patients with Available Data |
|---|---|---|
| Sex (males) | 21 (67.74%) | 31 |
| GATA4 expression (IHC) | 15 (48.39%) | 31 |
| GATA4 methylation (PCR) | 8 (25.8%) | 23 |
| p53 expression (IHC) | 11 (35.5%) | 31 |
| TP53 mutations (IHC) | 6 (19.4%) | 31 |
| TP53 methylation | 3 (9.7%) | 26 |
| Mean age at diagnosis (years) | 63 ± 7.23 (median = 63; range 45–76) | 31 |
| Overall survival (months) | 9 (range 0–104) | 31 |
| Clinical Variable | HR (95% CI) | p-Value |
|---|---|---|
| GATA4 expression and TP53 mutation | ||
| GATA4 (−) TP53 (−) | ref | |
| GATA4 (+) TP53 (−) | 2.51 (1.05–6.01) | 0.038 |
| GATA4 (+) TP53 (+) | 1.24 (0.45–3.42) | 0.7 |
| p53 expression and GATA4 methylation | ||
| p53 (−) GATA4 (−) | ref | |
| p53 (−) GATA4 (+) | 1.1 (0.3–4.08) | 0.9 |
| p53 (+) GATA4 (−) | 13.1 (2.78–62.2) | 0.001 |
| p53 (+) GATA4 (+) | 0.6 (0.18–1.96) | 0.4 |
| GATA4 methylation and GATA4 expression | ||
| GATA4m (−) GATA4 (−) | ref | |
| GATA4m (−) GATA4 (+) | 0.29 (0.06–1.41) | 0.13 |
| GATA4m (+) GATA4 (−) | 2.08 (0.7–6.16) | 0.2 |
| GATA4m (+) GATA4 (+) | 1.27 (0.41–3.91) | 0.7 |
| GATA4 expression and p53 expression | ||
| GATA4 (−) p53 (−) | ref | |
| GATA4 (−) p53 (+) | 0.44 (0.13–1.46) | 0.2 |
| GATA4 (+) p53 (−) | 0.77 (0.29–2.03) | 0.6 |
| GATA4 (+) p53 (+) | 4.73 (1.61–13.9) | 0.005 |
Disclaimer/Publisher’s Note: The statements, opinions and data contained in all publications are solely those of the individual author(s) and contributor(s) and not of MDPI and/or the editor(s). MDPI and/or the editor(s) disclaim responsibility for any injury to people or property resulting from any ideas, methods, instructions or products referred to in the content. |
© 2023 by the authors. Licensee MDPI, Basel, Switzerland. This article is an open access article distributed under the terms and conditions of the Creative Commons Attribution (CC BY) license (https://creativecommons.org/licenses/by/4.0/).
Share and Cite
Trąbska-Kluch, B.; Braun, M.; Orzechowska, M.; Paszek, S.; Zuchowska, A.; Sołek, J.; Kluska, A.; Fijuth, J.; Jesionek-Kupnicka, D.; Zawlik, I. Potential Prognostic Value of GATA4 Depends on the p53 Expression in Primary Glioblastoma Patients. Genes 2023, 14, 1146. https://doi.org/10.3390/genes14061146
Trąbska-Kluch B, Braun M, Orzechowska M, Paszek S, Zuchowska A, Sołek J, Kluska A, Fijuth J, Jesionek-Kupnicka D, Zawlik I. Potential Prognostic Value of GATA4 Depends on the p53 Expression in Primary Glioblastoma Patients. Genes. 2023; 14(6):1146. https://doi.org/10.3390/genes14061146
Chicago/Turabian StyleTrąbska-Kluch, Berenika, Marcin Braun, Magdalena Orzechowska, Sylwia Paszek, Alina Zuchowska, Julia Sołek, Adam Kluska, Jacek Fijuth, Dorota Jesionek-Kupnicka, and Izabela Zawlik. 2023. "Potential Prognostic Value of GATA4 Depends on the p53 Expression in Primary Glioblastoma Patients" Genes 14, no. 6: 1146. https://doi.org/10.3390/genes14061146
APA StyleTrąbska-Kluch, B., Braun, M., Orzechowska, M., Paszek, S., Zuchowska, A., Sołek, J., Kluska, A., Fijuth, J., Jesionek-Kupnicka, D., & Zawlik, I. (2023). Potential Prognostic Value of GATA4 Depends on the p53 Expression in Primary Glioblastoma Patients. Genes, 14(6), 1146. https://doi.org/10.3390/genes14061146

