Research on the Pathogenesis of Cognitive and Neurofunctional Impairments in Patients with Noonan Syndrome: The Role of Rat Sarcoma–Mitogen Activated Protein Kinase Signaling Pathway Gene Disturbances
Abstract
:1. Introduction
2. Materials and Methods
- Severe or profound intellectual disability.
- History of medical disease known to affect brain structure (e.g., epilepsy, moderate/severe head injury, head trauma).
- Hearing loss.
2.1. Cognitive Assessment
2.2. Resting-State Functional Connectivity
2.2.1. Rs-fMRI Data Acquisition
2.2.2. Data Preprocessing
2.2.3. First-Level and Second-Level Analyses
2.3. Diffusion Tensor Imaging
2.3.1. Data Acquisition
2.3.2. Data Processing
2.3.3. Statistical Analysis
2.4. Region-Based Morphometry
3. Results
3.1. Cognitive Evaluation
3.2. MRI Examination of the Brain Structures
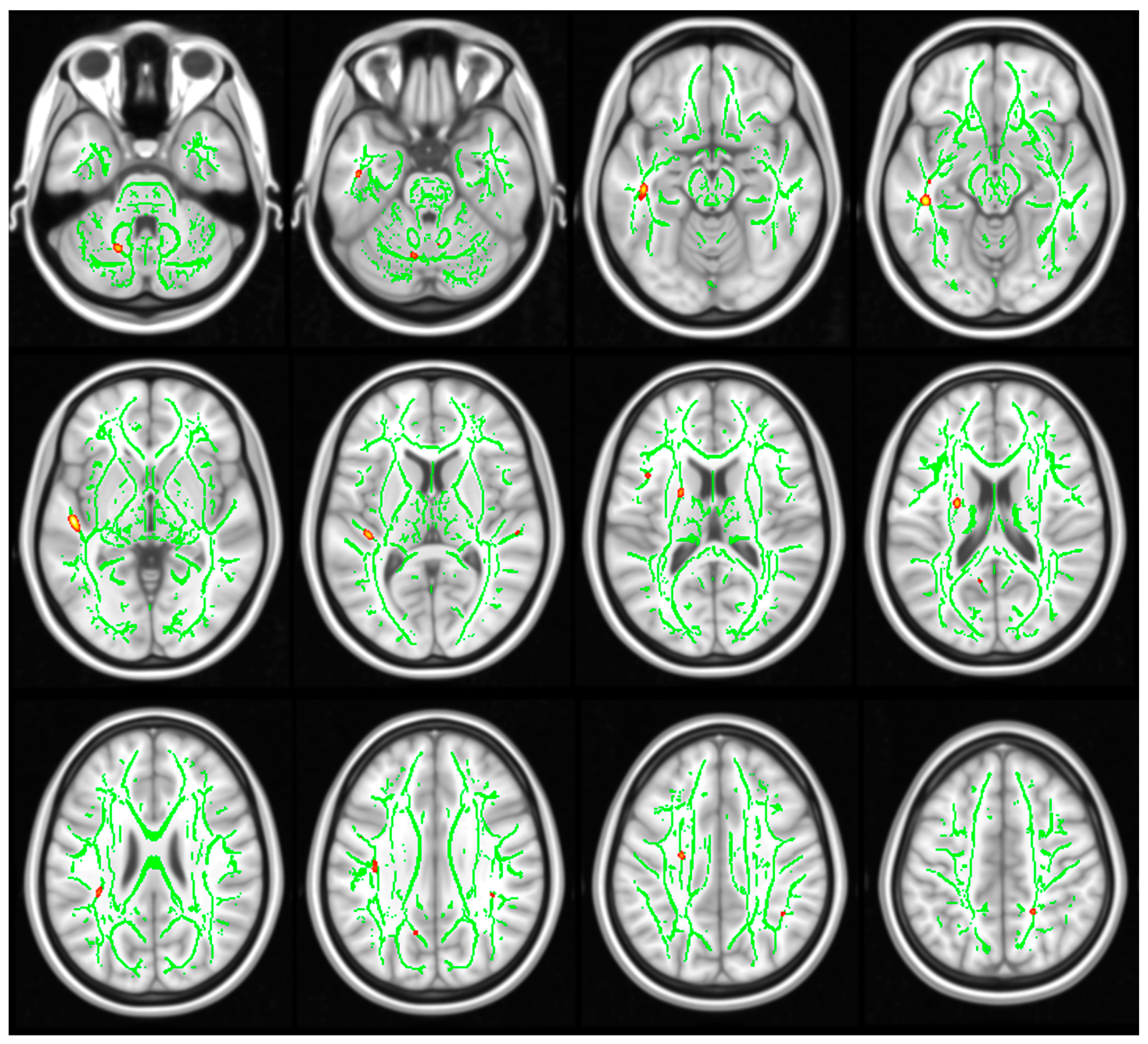
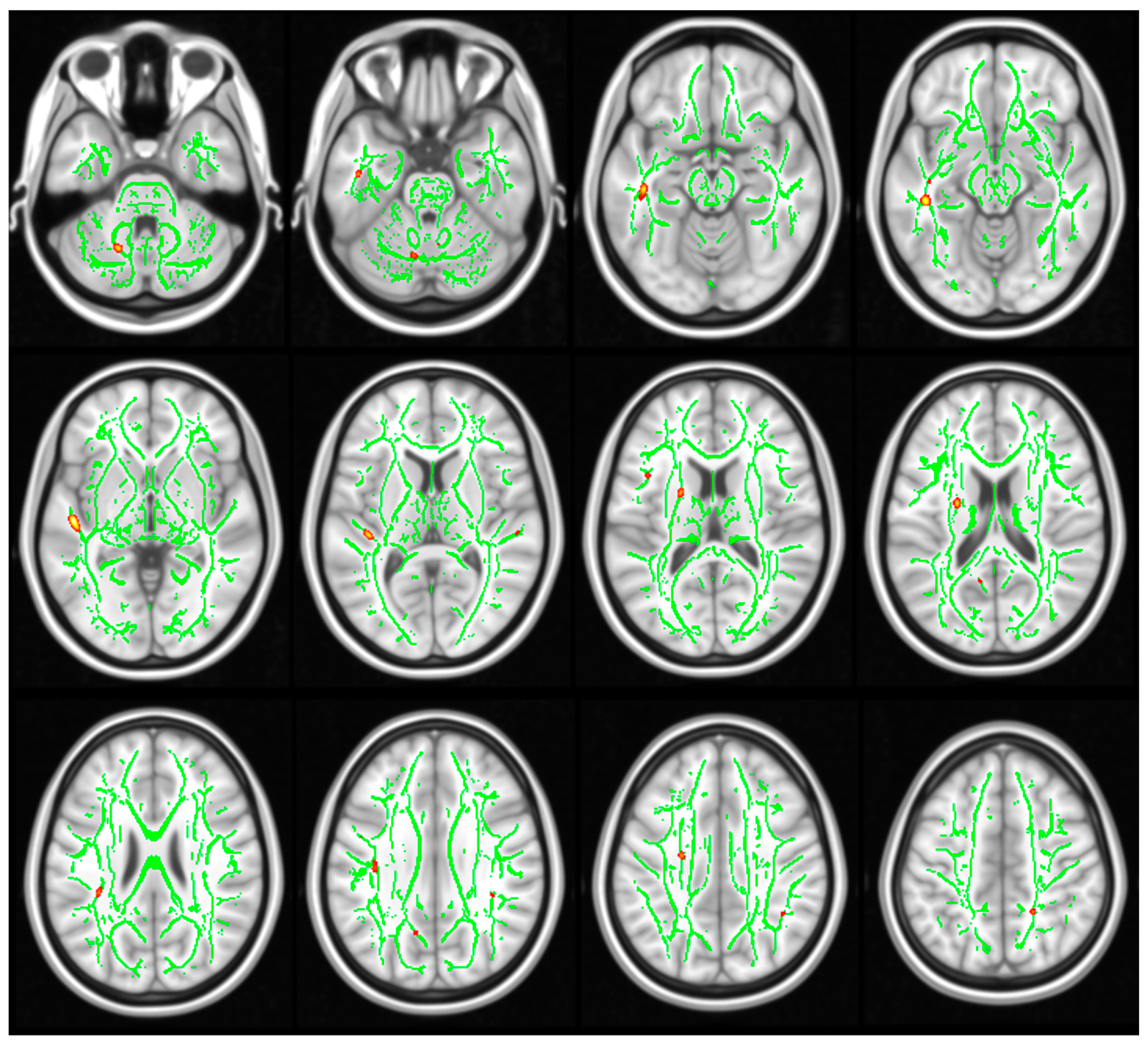
3.3. DTI Results
3.4. Rs-FMRI Results
3.5. Region-Based Morphometry Results
4. Discussion
Author Contributions
Funding
Institutional Review Board Statement
Informed Consent Statement
Data Availability Statement
Acknowledgments
Conflicts of Interest
References
- Johnston, J.J.; van der Smagt, J.J.; Rosenfeld, J.A.; Pagnamenta, A.T.; Alswaid, A.; Baker, E.H.; Blair, E.; Borck, G.; Brinkmann, J.; Craigen, W.; et al. Autosomal recessive Noonan syndrome associated with biallelic LZTR1 variants. Genet. Med. 2018, 20, 1175–1185. [Google Scholar] [CrossRef]
- Bezniakow, N.; Gos, M.; Obersztyn, E. The RASopathies as an example of RAS/MAPK pathway disturbances—Clinical presentation and molecular pathogenesis of selected syndromes. Dev. Period. Med. 2014, 18, 285–296. [Google Scholar]
- Carcavilla, A.; Suárez-Ortega, L.; Rodríguez Sánchez, A.; Gonzalez-Casado, I.; Ramón-Krauel, M.; Labarta, J.I.; Quinteiro Gonzalez, S.; Riaño Galán, I.; Ezquieta Zubicaray, B.; López-Siguero, J.P. Noonan syndrome: Genetic and clinical update and treatment options. An. Pediatr. Engl. Ed. 2020, 93, 61.e1–61.e14. (In Spanish) [Google Scholar] [CrossRef]
- Lee, B.H.; Yoo, H.-W. Noonan syndrome and RASopathies: Clinical features, diagnosis and management. J. Genet. Med. 2019, 16, 1–9. [Google Scholar] [CrossRef]
- Tidyman, W.E.; Rauen, K.A. The RASopathies: Developmental syndromes of Ras/MAPK pathway dysregulation. Curr. Opin. Genet. Dev. 2009, 19, 230–236. [Google Scholar] [CrossRef]
- Gómez, N.; Cohen, P. Dissection of the protein kinase cascade by which nerve growth factor activates MAP kinases. Nature 1991, 353, 170–173. [Google Scholar] [CrossRef]
- Raman, M.; Chen, W.; Cobb, M.H. Differential regulation and properties of MAPKs. Oncogene 2007, 26, 3100–3112. [Google Scholar] [CrossRef]
- van der Burgt, I.; Thoonen, G.; Roosenboom, N.; Assman-Hulsmans, C.; Gabreels, F.; Otten, B.; Brunner, H.G. Patterns of cognitive functioning in school-aged children with Noonan syndrome associated with variability in phenotypic expression. J. Pediatr. 1999, 135, 707–713. [Google Scholar] [CrossRef]
- Alfieri, P.; Piccini, G.; Caciolo, C.; Perrino, F.; Gambardella, M.L.; Mallardi, M.; Cesarini, L.; Leoni, C.; Leone, D.; Fossati, C.; et al. Behavioral profile in RASopathies. Am. J. Med. Genet. A 2014, 164A, 934–942. [Google Scholar] [CrossRef]
- Pierpont, E.I.; Tworog-Dube, E.; Roberts, A.E. Attention skills and executive functioning in children with Noonan syndrome and their unaffected siblings. Dev. Med. Child. Neurol. 2015, 57, 385–392. [Google Scholar] [CrossRef]
- Pierpont, E.I.; Pierpont, M.E.; Mendelsohn, N.J.; Roberts, A.E.; Tworog-Dube, E.; Seidenberg, M.S. Genotype differences in cognitive functioning in Noonan syndrome. Genes. Brain Behav. 2009, 8, 275–282. [Google Scholar] [CrossRef]
- Cesarini, L.; Alfieri, P.; Pantaleoni, F.; Vasta, I.; Cerutti, M.; Petrangeli, V.; Mariotti, P.; Leoni, C.; Ricci, D.; Vicari, S.; et al. Cognitive profile of disorders associated with dysregulation of the RAS/MAPK signaling cascade. Am. J. Med. Genet. A 2009, 149A, 140–146. [Google Scholar] [CrossRef]
- Nemoto, K. Understanding Voxel-Based Morphometry. Brain Nerve. 2017, 69, 505–511. (In Japanese) [Google Scholar] [CrossRef]
- Kakeda, S.; Korogi, Y. The efficacy of a voxel-based morphometry on the analysis of imaging in schizophrenia, temporal lobe epilepsy, and Alzheimer’s disease/mild cognitive impairment: A review. Neuroradiology 2010, 52, 711–721. [Google Scholar] [CrossRef]
- Chao, T.C.; Chou, M.C.; Yang, P.; Chung, H.W.; Wu, M.T. Effects of interpolation methods in spatial normalization of diffusion tensor imaging data on group comparison of fractional anisotropy. Magn. Reson. Imaging 2009, 27, 681–690. [Google Scholar] [CrossRef]
- Meyer-Lindenberg, A. The future of fMRI and genetics research. Neuroimage 2012, 62, 1286–1292. [Google Scholar] [CrossRef]
- Pluta, A.; Wolak, T.; Czajka, N.; Lewandowska, M.; Cieśla, K.; Rusiniak, M.; Skarżyński, H. Reduced resting-state brain activity in the default mode network in children with (central) auditory processing disorders. Behav. Brain Funct. BBF 2014, 10, 33. [Google Scholar] [CrossRef]
- Wang, Q.; Li, H.Y.; Li, Y.D.; Lv, Y.T.; Ma, H.B.; Xiang, A.F.; Jia, X.Z.; Liu, D.Q. Resting-state abnormalities in functional connectivity of the default mode network in autism spectrum disorder: A meta-analysis. Brain Imaging Behav. 2021, 15, 2583–2592. [Google Scholar] [CrossRef]
- van der Burgt, I. Noonan syndrome. Orphanet J. Rare Dis. 2007, 2, 4. [Google Scholar] [CrossRef]
- Roid, G.H.; Sajewicz-Radtke, U.; Radtke, B.M.; Lipowska, M. Stanford-Binet Intelligence Scales, 5th ed.; Laboratory of Psychological and Pedagogical Tests: Gdansk, Poland, 2017. (In Polish) [Google Scholar]
- R Core Team. R: A Language and Environment for Statistical Computing; R Foundation for Statistical Computing: Vienna, Austria, 2021; Available online: https://www.R-project.org/ (accessed on 22 November 2023).
- Ho, D.; Imai, K.; King, G.; Stuart, E. MatchIt: Nonparametric Preprocessing for Parametric Causal Inference. J. Stat. Softw. 2011, 42, 1–28. [Google Scholar] [CrossRef]
- Zalesky, A.; Cocchi, L.; Fornito, A.; Murray, M.M.; Bullmore, E. Connectivity differences in brain networks. Neuroimage 2012, 60, 1055–1062. [Google Scholar] [CrossRef]
- Smith, S.M.; Jenkinson, M.; Woolrich, M.W.; Beckmann, C.F.; Behrens, T.E.; Johansen-Berg, H.; Bannister, P.R.; De Luca, M.; Drobnjak, I.; Flitney, D.E.; et al. Advances in functional and structural MR image analysis and implementation as FSL. Neuroimage 2004, 23 (Suppl. 1), S208–S219. [Google Scholar] [CrossRef]
- Destrieux, C.; Fischl, B.; Dale, A.; Halgren, E. Automatic parcellation of human cortical gyri and sulci using standard anatomical nomenclature. Neuroimage 2010, 53, 1–15. [Google Scholar] [CrossRef]
- Fattah, M.; Raman, M.M.; Reiss, A.L.; Green, T. PTPN11 Mutations in the Ras-MAPK Signaling Pathway Affect Human White Matter Microstructure. Cereb. Cortex. 2021, 31, 1489–1499. [Google Scholar] [CrossRef]
- Johnson, E.M.; Ishak, A.D.; Naylor, P.E.; Stevenson, D.A.; Reiss, A.L.; Green, T. PTPN11 Gain-of-Function Mutations Affect the Developing Human Brain, Memory, and Attention. Cereb. Cortex. 2019, 29, 2915–2923. [Google Scholar] [CrossRef]
- Wingbermühle, E.; Roelofs, R.L.; Oomens, W.; Kramer, J.; Draaisma, J.M.T.; Leenders, E.; Kleefstra, T.; Kessels, R.P.C.; Egger, J.I.M. Cognitive Phenotype and Psychopathology in Noonan Syndrome Spectrum Disorders through Various Ras/MAPK Pathway Associated Gene Variants. J. Clin. Med. 2022, 11, 4735. [Google Scholar] [CrossRef]
- Keh, Y.S.; Abernethy, L.; Pettorini, B. Association between Noonan syndrome and Chiari I malformation: A case-based update. Childs Nerv. Syst. 2013, 29, 749–752. [Google Scholar] [CrossRef]
- Ejarque, I.; Millán-Salvador, J.M.; Oltra, S.; Pesudo-Martínez, J.V.; Beneyto, M.; Pérez-Aytés, A. Arnold-Chiari malformation in Noonan syndrome and other syndromes of the RAS/MAPK pathway. Rev. Neurol. 2015, 60, 408–412. (In Spanish) [Google Scholar]
- Menon, V. Salience network. In Brain Mapping: An Encyclopedic Reference; Toga, A.W., Ed.; Elsevier: Amsterdam, The Netherland, 2015. [Google Scholar]
- Wingbermühle, E.; Roelofs, R.L.; van der Burgt, I.; Souren, P.M.; Verhoeven, W.M.; Kessels, R.P.; Egger, J.I. Cognitive functioning of adults with Noonan syndrome: A case-control study. Genes. Brain Behav. 2012, 11, 785–793. [Google Scholar] [CrossRef]






| Variables | Group | Min | Max | M | SD | Me |
|---|---|---|---|---|---|---|
| IQ | NS | 45.00 | 121.00 | 84.81 | 17.87 | 86.00 |
| HC | 64.00 | 135.00 | 102.56 | 16.84 | 105.00 | |
| Verbal IQ | NS | 46.00 | 121.00 | 85.54 | 17.11 | 84.00 |
| HC | 73.00 | 135.00 | 101.15 | 14.70 | 100.00 | |
| Nonverbal IQ | NS | 47.00 | 122.00 | 86.27 | 17.93 | 87.00 |
| HC | 50.00 | 139.00 | 103.52 | 20.78 | 109.00 | |
| Fluid Reasoning | NS | 48.00 | 128.00 | 86.92 | 18.20 | 88.00 |
| HC | 64.00 | 140.00 | 102.07 | 15.09 | 100.00 | |
| Knowledge | NS | 51.00 | 120.00 | 89.68 | 17.35 | 89.00 |
| HC | 66.00 | 131.00 | 101.07 | 14.84 | 103.00 | |
| Quantitative Reasoning | NS | 48.00 | 122.00 | 86.24 | 15.43 | 88.00 |
| HC | 54.00 | 128.00 | 101.44 | 17.97 | 102.00 | |
| Visual Spatial Processing | NS | 47.00 | 129.00 | 86.32 | 17.95 | 82.00 |
| HC | 70.00 | 132.00 | 103.11 | 17.01 | 103.00 | |
| Working Memory | NS | 47.00 | 133.00 | 87.19 | 19.86 | 84.00 |
| HC | 69.00 | 133.00 | 102.85 | 16.72 | 106.00 |
| Variables | Group | Min | Max | M | SD | Me |
|---|---|---|---|---|---|---|
| IQ | PTPN11 | 45 | 113 | 75.778 | 21.028 | 79 |
| SOS1 | 64 | 121 | 91.556 | 20.427 | 91 | |
| Verbal IQ | PTPN11 | 47 | 120 | 79.444 | 22.445 | 79 |
| SOS1 | 66 | 122 | 93.889 | 18.651 | 91 | |
| Nonverbal IQ | PTPN11 | 46 | 105 | 75.556 | 17.896 | 78 |
| SOS1 | 62 | 121 | 90.556 | 20.58 | 86 | |
| Fluid Reasoning | PTPN11 | 48 | 112 | 82.444 | 22.683 | 85 |
| SOS1 | 73 | 128 | 95.444 | 17.854 | 91 | |
| Knowledge | PTPN11 | 51 | 106 | 80.333 | 18.815 | 89 |
| SOS1 | 60 | 120 | 94.444 | 20.335 | 89 | |
| Quantitative Reasoning | PTPN11 | 59 | 102 | 82.889 | 12.201 | 85 |
| SOS1 | 62 | 122 | 89.556 | 18.447 | 88 | |
| Visual Spatial Processing | PTPN11 | 47 | 120 | 76.778 | 20.042 | 76 |
| SOS1 | 64 | 129 | 91.778 | 19.556 | 91 | |
| Working Memory | PTPN11 | 47 | 118 | 76.222 | 21.896 | 81 |
| SOS1 | 66 | 133 | 93.667 | 23.211 | 90 |
| p-unc | p-FDR | p-FWE | |||
|---|---|---|---|---|---|
| Cluster 1 | Score = 39.00 | 0.010959 | 0.120546 | 0.051000 | |
| Mass = 164.31 | 0.001234 | 0.013575 | 0.007000 | ||
| Size = 18 | 0.000746 | 0.008202 | 0.003000 | ||
| SensoriMotor.Lateral r | Language.IFG r | T(48) = −3.50 | - | 0.001023 | 0.140478 |
| SensoriMotor.Superior | Salience.SMG l | T(48) = −3.24 | - | 0.002180 | 0.140478 |
| SensoriMotor.Lateral l | Salience.SMG l | T(48) = −3.16 | - | 0.002724 | 0.140478 |
| SensoriMotor.Lateral r | Salience.SMG l | T(48) = −3.07 | - | 0.003495 | 0.140478 |
| SensoriMotor.Lateral l | Language.pSTG l | T(48) = −2.92 | - | 0.005250 | 0.140478 |
| SensoriMotor.Lateral l | Language.IFG l | T(48) = −2.92 | - | 0.005381 | 0.140478 |
| SensoriMotor.Lateral r | Language.pSTG l | T(48) = −2.77 | - | 0.007879 | 0.145402 |
| SensoriMotor.Lateral r | Language.pSTG r | T(48) = −2.77 | - | 0.008030 | 0.145402 |
| SensoriMotor.Lateral l | Language.IFG r | T(48) = −2.76 | - | 0.008208 | 0.145402 |
Disclaimer/Publisher’s Note: The statements, opinions and data contained in all publications are solely those of the individual author(s) and contributor(s) and not of MDPI and/or the editor(s). MDPI and/or the editor(s) disclaim responsibility for any injury to people or property resulting from any ideas, methods, instructions or products referred to in the content. |
© 2023 by the authors. Licensee MDPI, Basel, Switzerland. This article is an open access article distributed under the terms and conditions of the Creative Commons Attribution (CC BY) license (https://creativecommons.org/licenses/by/4.0/).
Share and Cite
Braun-Walicka, N.; Pluta, A.; Wolak, T.; Maj, E.; Maryniak, A.; Gos, M.; Abramowicz, A.; Landowska, A.; Obersztyn, E.; Bal, J. Research on the Pathogenesis of Cognitive and Neurofunctional Impairments in Patients with Noonan Syndrome: The Role of Rat Sarcoma–Mitogen Activated Protein Kinase Signaling Pathway Gene Disturbances. Genes 2023, 14, 2173. https://doi.org/10.3390/genes14122173
Braun-Walicka N, Pluta A, Wolak T, Maj E, Maryniak A, Gos M, Abramowicz A, Landowska A, Obersztyn E, Bal J. Research on the Pathogenesis of Cognitive and Neurofunctional Impairments in Patients with Noonan Syndrome: The Role of Rat Sarcoma–Mitogen Activated Protein Kinase Signaling Pathway Gene Disturbances. Genes. 2023; 14(12):2173. https://doi.org/10.3390/genes14122173
Chicago/Turabian StyleBraun-Walicka, Natalia, Agnieszka Pluta, Tomasz Wolak, Edyta Maj, Agnieszka Maryniak, Monika Gos, Anna Abramowicz, Aleksandra Landowska, Ewa Obersztyn, and Jerzy Bal. 2023. "Research on the Pathogenesis of Cognitive and Neurofunctional Impairments in Patients with Noonan Syndrome: The Role of Rat Sarcoma–Mitogen Activated Protein Kinase Signaling Pathway Gene Disturbances" Genes 14, no. 12: 2173. https://doi.org/10.3390/genes14122173
APA StyleBraun-Walicka, N., Pluta, A., Wolak, T., Maj, E., Maryniak, A., Gos, M., Abramowicz, A., Landowska, A., Obersztyn, E., & Bal, J. (2023). Research on the Pathogenesis of Cognitive and Neurofunctional Impairments in Patients with Noonan Syndrome: The Role of Rat Sarcoma–Mitogen Activated Protein Kinase Signaling Pathway Gene Disturbances. Genes, 14(12), 2173. https://doi.org/10.3390/genes14122173

