Analyses of lncRNAs, circRNAs, and the Interactions between ncRNAs and mRNAs in Goat Submandibular Glands Reveal Their Potential Function in Immune Regulation
Abstract
1. Introduction
2. Materials and Methods
2.1. Ethics Statement, Library Construction and Alignment
2.2. LncRNA and circRNA Prediction
2.3. Screening of DElncRNAs and DEcircRNAs
2.4. lncRNA and circRNA Family Analysis
2.5. Association Analysis of lncRNA and mRNA
2.6. GO and KEGG Pathway Enrichment Analyses
2.7. Screening of Immune-Related circRNAs
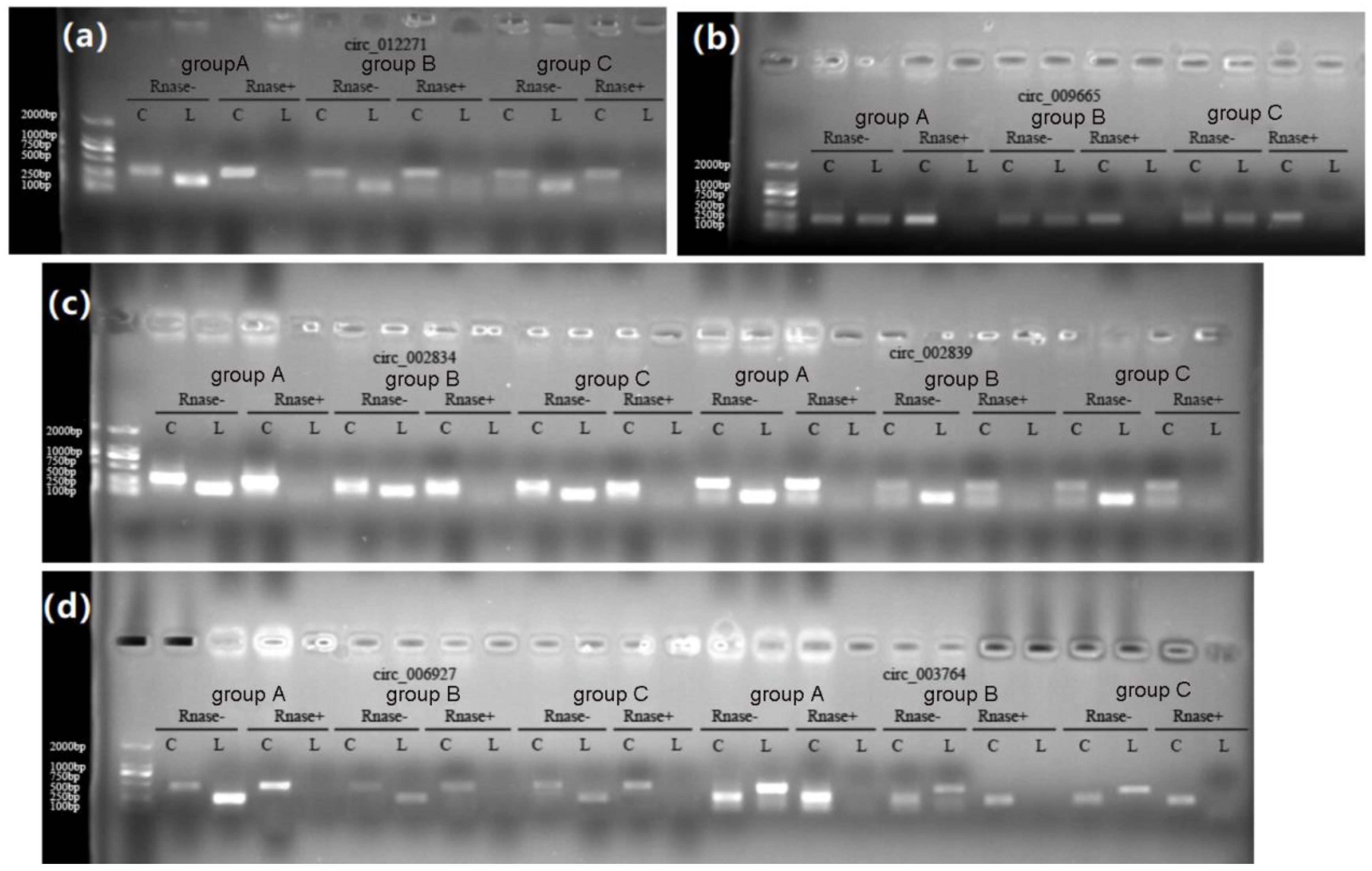
2.8. Validation of circRNAs
2.9. Analysis of ceRNA Regulatory Networks
2.10. circRNA-miRNA-mRNA Network Analysis
3. Results
3.1. Sequencing Data Statistics
3.2. Novel Transcript Identification and Type Statistics
3.3. DElncRNAs and DEcircRNAs Analysis
3.4. lncRNA-mRNA Association Analysis
3.5. Enrichment Analysis of Antisense lncRNA Target mRNAs
3.6. Enrichment Analysis of lncRNA Cis-Regulated Target mRNAs
3.7. Enrichment Analysis of lncRNA Trans-Interacted Target mRNAs
3.8. Enrichment Analysis of DEcircRNA Host Genes
3.9. Screen of Immune-Related circRNAs
3.10. Validation of circRNAs
3.11. Analysis of ceRNA Regulatory Networks
3.12. circRNA-miRNA-mRNA Network Anaylysis
4. Discussion
4.1. lncRNAs Were Invoved in Immune-Ralated Pathways
4.2. circRNAs Were Invoved in Immune-Ralated Pathways
4.3. CeRNA Regulatory Analysis
5. Conclusions
Supplementary Materials
Author Contributions
Funding
Institutional Review Board Statement
Informed Consent Statement
Data Availability Statement
Conflicts of Interest
References
- Castelo-Branco, G.; Bonetti, A. Birth, Coming of Age and Death: The Intriguing Life of Long Noncoding RNAs. In Seminars in Cell & Developmental Biology; Elsevier: Amsterdam, The Netherlands, 2018; pp. 143–152. [Google Scholar]
- Wang, J.; Tian, X.; Han, R.; Zhang, X.; Wang, X.; Shen, H.; Xue, L.; Liu, Y.; Yan, X.; Shen, J.; et al. Downregulation of miR-486-5p contributes to tumor progression and metastasis by targeting protumorigenic ARHGAP5 in lung cancer. Oncogene 2014, 33, 1181–1189. [Google Scholar] [CrossRef] [PubMed]
- Gomez, J.; Wapinski, O.; Yang, Y.; Bureau, J.; Gopinath, S.; Monack, D.; Chang, H.Y.; Brahic, M.; Kirkegaard, K. The NeST long ncRNA controls microbial susceptibility and epigenetic activation of the interferon-γ locus. Cell 2013, 152, 743–754. [Google Scholar] [CrossRef] [PubMed]
- Shen, Z.; Han, Y.; Wang, Y.; Xie, H. LncRNA and mRNA expression profiles and functional networks of hyposalivation of the submandibular gland in hypertension. Sci. Rep. 2020, 10, 13972. [Google Scholar] [CrossRef] [PubMed]
- Fu, J.; Shi, H.; Wang, B.; Zhan, T.; Shao, Y.; Ye, L.; Ye, L.; Wu, S.; Yu, C.; Zheng, L. LncRNA PVT1 links Myc to glycolytic metabolism upon CD4 T cell activation and Sjögren’s syndrome-like autoimmune response. J. Autoimmun. 2020, 107, 102358. [Google Scholar] [CrossRef]
- Salmena, L.; Poliseno, L.; Tay, Y.; Kats, L.; Pandolfi, P.P.J.C. A ceRNA hypothesis: The Rosetta Stone of a hidden RNA language? Cell 2011, 146, 353–358. [Google Scholar] [CrossRef]
- Feng, J.; Xu, H.; Pan, F.; Hu, J.; Wu, Y.; Lin, N.; Zhang, X.; Ji, C.; Hu, Y.; Yan, L.; et al. An Integrated Analysis of mRNA and lncRNA Expression Profiles Indicates Their Potential Contribution to Brown Fat Dysfunction With Aging. Front. Endocrinol. 2020, 11, 46. [Google Scholar] [CrossRef]
- Ma, L.; Zhang, M.; Jin, Y.; Erdenee, S.; Hu, L.; Chen, H.; Cai, Y.; Lan, X. Comparative transcriptome profiling of mRNA and lncRNA related to tail adipose tissues of sheep. Front. Genet. 2018, 9, 365. [Google Scholar] [CrossRef]
- Ling, Y.; Zheng, Q.; Zhu, L.; Xu, L.; Sui, M.; Zhang, Y.; Liu, Y.; Fang, F.; Chu, M.; Ma, Y.; et al. Trend analysis of the role of circular RNA in goat skeletal muscle development. BMC Genom. 2020, 21, 220. [Google Scholar] [CrossRef]
- Yu, S.; Zhao, Y.; Lai, F.; Chu, M.; Hao, Y.; Feng, Y.; Zhang, H.; Li, J.; Cheng, M.; Li, L.; et al. LncRNA as ceRNAs may be involved in lactation process. Oncotarget 2017, 8, 98014. [Google Scholar] [CrossRef]
- Patop, I.L.; Kadener, S. circRNAs in Cancer. Curr. Opin. Genet. Dev. 2018, 48, 121–127. [Google Scholar] [CrossRef]
- Patop, I.L.; Wüst, S.; Kadener, S. Past, present, and future of circ RNA s. EMBO J. 2019, 38, e100836. [Google Scholar] [CrossRef]
- Memczak, S.; Jens, M.; Elefsinioti, A.; Torti, F.; Krueger, J.; Rybak, A.; Maier, L.; Mackowiak, S.D.; Gregersen, L.H.; Munschauer, M.; et al. Circular RNAs are a large class of animal RNAs with regulatory potency. Nature 2013, 495, 333–338. [Google Scholar] [CrossRef] [PubMed]
- Cai, Y.; Lei, X.; Chen, Z.; Mo, Z. The roles of cirRNA in the development of germ cells. Acta Histochem. 2020, 122, 151506. [Google Scholar] [CrossRef] [PubMed]
- Zhang, X.-O.; Dong, R.; Zhang, Y.; Zhang, J.-L.; Luo, Z.; Zhang, J.; Chen, L.-L.; Yang, L. Diverse alternative back-splicing and alternative splicing landscape of circular RNAs. Genome Res. 2016, 26, 1277–1287. [Google Scholar] [CrossRef] [PubMed]
- Wang, Z.; Guo, Z.; Li, J.; Zhao, Z.; Fu, Y.; Zhang, C.; Zhang, Y.; Liu, L.-N.; Qian, J.; Liu, L.-N. Genome-Wide Search for Competing Endogenous RNAs Responsible for the Effects Induced by Ebola Virus Replication and Transcription Using a trVLP System. Front. Cell. Infect. Microbiol. 2017, 7, 479. [Google Scholar] [CrossRef] [PubMed]
- Huang, Z.; Yao, F.; Xu, J.; Deng, Z.; Su, R.; Peng, Y.; Luo, Q.; Li, J.-M. Microarray Expression Profile of Circular RNAs in Peripheral Blood Mononuclear Cells from Active Tuberculosis Patients. Cell. Physiol. Biochem. Int. J. Exp. Cell. Physiol. Biochem. Pharmacol. 2018, 45, 1230–1240. [Google Scholar] [CrossRef]
- Wang, A.; Chao, T.; Ji, Z.; Xuan, R.; Liu, S.; Guo, M.; Wang, G.; Wang, J. Transcriptome analysis reveals potential immune function-related regulatory genes/pathways of female Lubo goat submandibular glands at different developmental stages. PeerJ 2020, 8, e9947. [Google Scholar] [CrossRef]
- Suresh, V.; Liu, L.; Adjeroh, D.; Zhou, X. RPI-Pred: Predicting ncRNA-protein interaction using sequence and structural information. Nucleic Acids Res. 2015, 43, 1370–1379. [Google Scholar] [CrossRef]
- Carpenter, G.H.; Proctor, G.B.; Ebersole, L.E.; Garrett, J.R. Secretion of IgA by rat parotid and submandibular cells in response to autonomimetic stimulation in vitro. Int. Immunopharmacol. 2004, 4, 1005–1014. [Google Scholar] [CrossRef]
- Messana, I.; Cabras, T.; Inzitari, R.; Lupi, A.; Zuppi, C.; Olmi, C.; Fadda, M.B.; Cordaro, M.; Giardina, B.; Castagnola, M. Characterization of the human salivary basic proline-rich protein complex by a proteomic approach. J. Proteome Res. 2004, 3, 792–800. [Google Scholar] [CrossRef]
- Wang, A.; Ji, Z.; Xuan, R.; Zhao, X.; Hou, L.; Li, Q.; Chu, Y.; Chao, T.; Wang, J. Differentially Expressed MiRNAs of Goat Submandibular Glands Among Three Developmental Stages Are Involved in Immune Functions. Front. Genet. 2021, 12, 678194. [Google Scholar] [CrossRef] [PubMed]
- Langmead, B.; Salzberg, S.L. Fast gapped-read alignment with Bowtie 2. Nat. Methods 2012, 9, 357. [Google Scholar] [CrossRef]
- Kim, D.; Pertea, G.; Trapnell, C.; Pimentel, H.; Kelley, R.; Salzberg, S.L. TopHat2: Accurate alignment of transcriptomes in the presence of insertions, deletions and gene fusions. Genome Biol. 2013, 14, R36. [Google Scholar] [CrossRef] [PubMed]
- Jariwala, N.; Sarkar, D. Emerging role of lncRNA in cancer: A potential avenue in molecular medicine. Ann. Transl. Med. 2016, 4, 286. [Google Scholar] [CrossRef] [PubMed]
- Zhan, S.; Qin, C.; Li, D.; Zhao, W.; Nie, L.; Cao, J.; Guo, J.; Zhong, T.; Wang, L.; Li, L.; et al. A Novel Long Noncoding RNA, lncR-125b, Promotes the Differentiation of Goat Skeletal Muscle Satellite Cells by Sponging miR-125b. Front. Genet. 2019, 10, 1171. [Google Scholar] [CrossRef]
- Hong, L.; Hu, Q.; Zang, X.; Xie, Y.; Zhou, C.; Zou, X.; Li, Y.; Deng, M.; Guo, Y.; Liu, G.; et al. Analysis and Screening of Reproductive Long Non-coding RNAs Through Genome-Wide Analyses of Goat Endometrium During the Pre-attachment Phase. Front. Genet. 2020, 11, 568017. [Google Scholar] [CrossRef]
- Ji, Z.; Chao, T.; Liu, Z.; Hou, L.; Wang, J.; Wang, A.; Zhou, J.; Xuan, R.; Wang, G.; Wang, J. Genome-wide integrated analysis demonstrates widespread functions of lncRNAs in mammary gland development and lactation in dairy goats. BMC Genom. 2020, 21, 254. [Google Scholar] [CrossRef]
- Satpathy, A.T.; Chang, H.Y. Long noncoding RNA in hematopoiesis and immunity. Immunity 2015, 42, 792–804. [Google Scholar] [CrossRef]
- Wei, S.; Zhao, M.; Wang, X.; Li, Y.; Wang, K. PU.1 controls the expression of long noncoding RNA HOTAIRM1 during granulocytic differentiation. J. Hematol. Oncol. 2016, 9, 44. [Google Scholar] [CrossRef]
- Willingham, A.; Orth, A.; Batalov, S.; Peters, E.; Wen, B.; Aza-Blanc, P.; Schultz, P.G. A strategy for probing the function of noncoding RNAs finds a repressor of NFAT. Science 2005, 309, 1570–1573. [Google Scholar] [CrossRef]
- Yang, L.; Li, P.; Yang, W.; Ruan, X.; Kiesewetter, K.; Zhu, J.; Cao, H. Integrative transcriptome analyses of metabolic responses in mice define pivotal LncRNA metabolic regulators. Cell Metab. 2016, 24, 627–639. [Google Scholar] [CrossRef]
- Davis, M.M.; Boniface, J.J.; Reich, Z.; Lyons, D.; Hampl, J.; Arden, B.; Chien, Y.-h. Ligand recognition by αβ T cell receptors. Annu. Rev. Immunol. 1998, 16, 523–544. [Google Scholar] [CrossRef] [PubMed]
- Resh, M.D. Fyn, a Src family tyrosine kinase. Int. J. Biochem. Cell Biol. 1998, 30, 1159–1162. [Google Scholar] [CrossRef] [PubMed]
- Van Oers, N.S.; Lowin-Kropf, B.; Finlay, D.; Connolly, K.; Weiss, A. αβ T cell development is abolished in mice lacking both Lck and Fyn protein tyrosine kinases. Immunity 1996, 5, 429–436. [Google Scholar] [CrossRef] [PubMed]
- Kofler, K.; Köchl, S.; Parson, W.; Erdel, M.; Utermann, G.; Baier, G. Molecular characterization of the human protein kinase C θ* gene locus (PRKCQ). Mol. Gen. Genet. MGG 1998, 259, 398–403. [Google Scholar] [CrossRef] [PubMed]
- Zhang, Y.W.; Xu, X.Y.; Zhang, J.; Yao, X.; Lu, C.; Chen, C.X.; Yu, H.; Sun, J. Missense mutation in PRKCQ is associated with Crohn’s disease. J. Dig. Dis. 2019, 20, 243–247. [Google Scholar] [CrossRef]
- Iellem, A.; Mariani, M.; Lang, R.; Recalde, H.; Panina-Bordignon, P.; Sinigaglia, F.; D’Ambrosio, D. Unique chemotactic response profile and specific expression of chemokine receptors CCR4 and CCR8 by CD4+ CD25+ regulatory T cells. J. Exp. Med. 2001, 194, 847–854. [Google Scholar] [CrossRef]
- Rapp, M.; Wintergerst, M.W.; Kunz, W.G.; Vetter, V.K.; Knott, M.M.; Lisowski, D.; Haubner, S.; Moder, S.; Thaler, R.; Eiber, S.; et al. CCL22 controls immunity by promoting regulatory T cell communication with dendritic cells in lymph nodes. J. Exp. Med. 2019, 216, 1170–1181. [Google Scholar] [CrossRef]
- Tyner, J.W.; Uchida, O.; Kajiwara, N.; Kim, E.Y.; Patel, A.C.; O’Sullivan, M.P.; Walter, M.J.; Schwendener, R.A.; Cook, D.N.; Danoff, T.M. CCL5-CCR5 interaction provides antiapoptotic signals for macrophage survival during viral infection. Nat. Med. 2005, 11, 1180–1187. [Google Scholar] [CrossRef]
- Zenatti, P.P.; Ribeiro, D.; Li, W.; Zuurbier, L.; Silva, M.C.; Paganin, M.; Tritapoe, J.; Hixon, J.A.; Silveira, A.B.; Cardoso, B.A. Oncogenic IL7R gain-of-function mutations in childhood T-cell acute lymphoblastic leukemia. Nat. Genet. 2011, 43, 932–939. [Google Scholar] [CrossRef]
- Kawabata, K.; Ehata, S.; Komuro, A.; Takeuchi, K.; Miyazono, K. TGF-β-induced apoptosis of B-cell lymphoma Ramos cells through reduction of MS4A1/CD20. Oncogene 2013, 32, 2096–2106. [Google Scholar] [CrossRef] [PubMed]
- Salzman, J.; Gawad, C.; Wang, P.; Lacayo, N.; Brown, P. Circular RNAs are the predominant transcript isoform from hundreds of human genes in diverse cell types. PLoS ONE 2012, 7, e30733. [Google Scholar] [CrossRef] [PubMed]
- Zhu, Z.; Ma, Y.; Li, Y.; Li, P.; Tang, Z. The comprehensive detection of miRNA, lncRNA and circRNA in regulation of mouse melanocyte and skin development. Biol. Res. 2020, 53, 4. [Google Scholar] [CrossRef]
- Robic, A.; Faraut, T.; Djebali, S.; Weikard, R.; Kuehn, C. Analysis of pig transcriptomes suggests a global regulation mechanism enabling temporary bursts of circular RNAs. RNA Biol. 2019, 16, 1190–1204. [Google Scholar] [CrossRef] [PubMed]
- Zheng, Y.; Hui, T.; Yue, C.; Sun, J.; Bai, W. Comprehensive analysis of circRNAs from cashmere goat skin by next generation RNA sequencing (RNA-seq). Sci. Rep. 2020, 10, 516. [Google Scholar] [CrossRef] [PubMed]
- Ma, D.; Zhao, Y.; Yu, S.; Zhang, H.; Cheng, M.; Cao, H.; Li, Q.; Min, L. CircRNA as CeRNA mediated by microRNA may be involved in goat lactation. Small Rumin. Res. 2019, 171, 63–72. [Google Scholar] [CrossRef]
- Song, Y.; Zhang, L.; Liu, X.; Niu, M.; Cui, J.; Che, S.; Liu, Y.; An, X.; Cao, B. Analyses of circRNA profiling during the development from pre-receptive to receptive phases in the goat endometrium. J. Anim. Husb. Biotechnol. 2019, 10, 633–647. [Google Scholar]
- Urick, M.E.; Rudd, M.L.; Godwin, A.K.; Sgroi, D.; Merino, M.; Bell, D.W. PIK3R1 (p85α) is somatically mutated at high frequency in primary endometrial cancer. Cancer Res. 2011, 71, 4061–4067. [Google Scholar] [CrossRef]
- Engelman, J. Targeting PI3K signalling in cancer: Opportunities, challenges and limitations. Nat. Rev. Cancer 2009, 9, 550–562. [Google Scholar] [CrossRef]
- Lucas, C.L.; Zhang, Y.; Venida, A.; Wang, Y.; Hughes, J.; McElwee, J.; Butrick, M.; Matthews, H.; Price, S.; Biancalana, M. Heterozygous splice mutation in PIK3R1 causes human immunodeficiency with lymphoproliferation due to dominant activation of PI3K. J. Exp. Med. 2014, 211, 2537–2547. [Google Scholar] [CrossRef]
- Yu, J.; Wjasow, C.; Backer, J.M. Regulation of the p85/p110α phosphatidylinositol 3′-kinase: Distinct roles for the N-terminal and C-terminal SH2 domains. J. Biol. Chem. 1998, 273, 30199–30203. [Google Scholar] [CrossRef]
- Fischer, E.; Delibrias, C.; Kazatchkine, M. Expression of CR2 (the C3dg/EBV receptor, CD21) on normal human peripheral blood T lymphocytes. J. Immunol. 1991, 146, 865–869. [Google Scholar] [CrossRef] [PubMed]
- Fearon, D.; Carter, R. The CD19/CR2/TAPA-1 complex of B lymphocytes: Linking natural to acquired immunity. Annu. Rev. Immunol. 1995, 13, 127–149. [Google Scholar] [CrossRef] [PubMed]
- Gomez-Rodriguez, J.; Kraus, Z.J.; Schwartzberg, P.L. Tec family kinases Itk and Rlk/Txk in T lymphocytes: Cross-regulation of cytokine production and T-cell fates. FEBS J. 2011, 278, 1980–1989. [Google Scholar] [CrossRef]
- Lee, Y.G.; Chain, B.M.; Cho, J.Y. Distinct role of spleen tyrosine kinase in the early phosphorylation of inhibitor of κBα via activation of the phosphoinositide-3-kinase and Akt pathways. Int. J. Biochem. Cell Biol. 2009, 41, 811–821. [Google Scholar] [CrossRef]
- Li, X.; Liu, C.; Xue, W.; Zhang, Y.; Jiang, S.; Yin, Q.; Wei, J.; Yao, R.-W.; Yang, L.; Chen, L.-L. Coordinated circRNA Biogenesis and Function with NF90/NF110 in Viral Infection. Mol. Cell 2017, 67, 214–227.e217. [Google Scholar] [CrossRef]
- Fincham, V.; Chudleigh, A.; Frame, M. Regulation of p190 Rho-GAP by v-Src is linked to cytoskeletal disruption during transformation. J. Cell Sci. 1999, 112, 947–956. [Google Scholar] [CrossRef]
- Chakravarty, G.; Hadsell, D.; Buitrago, W.; Settleman, J.; Rosen, J. p190-B RhoGAP regulates mammary ductal morphogenesis. Mol. Endocrinol. 2003, 17, 1054–1065. [Google Scholar] [CrossRef]
- Vargo-Gogola, T.; Heckman, B.; Gunther, E.; Chodosh, L.; Rosen, J. P190-B Rho GTPase-activating protein overexpression disrupts ductal morphogenesis and induces hyperplastic lesions in the developing mammary gland. Mol. Endocrinol. 2006, 20, 1391–1405. [Google Scholar] [CrossRef]
- Mao, C.; Near, R.; Shibad, V.; Zhong, X.; Gao, W. An IgA mimicry of IgG that binds polymeric immunoglobulin receptor for mucosa transcytosis. Antib. Ther. 2020, 3, 157–162. [Google Scholar] [CrossRef]
- Rheinländer, A.; Schraven, B.; Bommhardt, U. CD45 in human physiology and clinical medicine. Immunol. Lett. 2018, 196, 22–32. [Google Scholar] [PubMed]
- Courtney, A.H.; Lo, W.L.; Weiss, A. TCR Signaling: Mechanisms of Initiation and Propagation. Trends Biochem. Sci. 2018, 43, 108–123. [Google Scholar] [CrossRef] [PubMed]
- Chakraborty, A.K.; Weiss, A. Insights into the initiation of TCR signaling. Nat. Immunol. 2014, 15, 798–807. [Google Scholar] [CrossRef] [PubMed]
- Amin, S.; Parker, A.; Mann, J. ZAP70 in chronic lymphocytic leukaemia. Int. J. Biochem. Cell Biol. 2008, 40, 1654–1658. [Google Scholar] [CrossRef] [PubMed]









| Name | Primer Sequences for Circle Amplification | Primer Sequences for Line Amplification | ||
|---|---|---|---|---|
| novel_circ_012271 | F R | AAGGTAGCCGAGGAGCAGTA | F | ACCTCCACTAGACTGGCCTT |
| GGGACCACTTAATGGGCTGT | R | GGCCGTAAGTATCGGTCGTC | ||
| novel_circ_002834 | F | CCTATGAGCAGTATTTCGGCCC | F | CCCTGAGCCCTACAAAGAGG |
| R | GGAGTCATTCTGCGTGAGGT | R | AGCCCGTAGAACTGGACTTG | |
| novel_circ_002839 | F | ACCCAGTACTTTGGGCCTG | F | CCCTGAGCCCTACAAAGAGG |
| R | ACTGGACTTGGCATCGGAAG | R | AGCCCGTAGAACTGGACTTG | |
| novel_circ_006927 | F | CCCTCCGAAACATCCCTCAG | F | GGCACGTTGAAGGTTGTGTG |
| R | AGGTCATAGGGGGTTGGGAA | R | TGAGCATGATTCGCTCACCT | |
| novel_circ_003764 | F | GAGAAGTGGTGGCTTCCAGAC | F | GAGAAGTGGTGGCTTCCAGAC |
| R | TTTCGGGCAGTGGTAAAGGC | R | GCCATGCCCATTCTTTGCTT | |
| novel_circ_009665 | F | TTTTCCGTGCTCTTGGAGGT | F | TTTTCCGTGCTCTTGGAGGT |
| R | GCCGTGGGTTTTCTTTTGCC | R | GGCAACACTGTCTGGTCTGA | |
| novel_circ_017193 | F | CCCACCTATGAGTTGCTGGT | F | TTGGTGCTGTCAATAAAGCG |
| R | GTCCCGGGGGTTGCATATTT | R | GGCTCACCAGATTCCCACTC | |
| Pairs | Diffgenes (Up) | Diffgenes (Down) | All Diffgenes |
|---|---|---|---|
| A vs. B | 98 | 190 | 288 |
| A vs. C | 100 | 162 | 262 |
| B vs. C | 0 | 1 | 1 |
| Pairs | Up-Regulated circRNAs | Down-Regulated circRNAs | All DEcircRNAs |
|---|---|---|---|
| A vs. B | 355 | 478 | 833 |
| A vs. C | 349 | 431 | 780 |
| B vs. C | 86 | 81 | 167 |
| Type | Number of DElncRNAs | Targeted Gene Number |
|---|---|---|
| Antisense analysis | 11 | 10 |
| Cis-regulation | 51 | 70 |
| Trans-regulation | 160 | 141 |
| lncRNA | mRNA | Symbol | KEGG Pathway | GO Term |
|---|---|---|---|---|
| XR_310691.3 XR_001919471.1 XR_001919469.1 | XM_005692177.3 | SMPD3 | Sphingolipid metabolism | phospholipase activity |
| lipase activity | ||||
| peptide secretion | ||||
| immune system process | ||||
| peptide transport | ||||
| phospholipid metabolic process | ||||
| TCONS_00062254 | XM_018066366.1 | ncbi_102170270 | / | protein tyrosine kinase activity |
| immune system process | ||||
| TCONS_00044048 | XM_018058585.1 | ncbi_100750237 | Autoimmune thyroid disease | / |
| Thyroid hormone synthesis |
| lncRNA_ID | chr | Strand | Target Gene ID | Symbol | Up/Down_Stream | Distance | r | p_Value |
|---|---|---|---|---|---|---|---|---|
| TCONS_00011775 | NC_030811.1 | + | TCONS_00013166 | / | DOWNSTREAM | 2254 | 0.33 | 3.92 × 10−1 |
| TCONS_00013148 | NC_030811.1 | - | TCONS_00013145 | V-TCR | UPSTREAM | 1145 | 0.93 | 2.46 × 10−4 |
| TCONS_00013148 | NC_030811.1 | - | TCONS_00013152 | V-TCR | DOWNSTREAM | 4025 | 0.95 | 7.74 × 10−5 |
| TCONS_00013148 | NC_030811.1 | - | XM_013963475.2 | FYN | UPSTREAM | 17,393 | 0.99 | 2.26 × 10−7 |
| TCONS_00028591 | NC_030816.1 | + | XM_018053054.1 | FYN | DOWNSTREAM | 3690 | 0.61 | 8.36 × 10−2 |
| TCONS_00028592 | NC_030816.1 | + | XM_018053054.1 | FYN | DOWNSTREAM | 4978 | 0.91 | 5.61 × 10−4 |
| TCONS_00029100 | NC_030816.1 | + | XM_018053345.1 | LOC102177708 | DOWNSTREAM | 25,010 | 0.86 | 2.82 × 10−3 |
| TCONS_00029100 | NC_030816.1 | + | XM_018053341.1 | LOC102185264 | UPSTREAM | 2709 | 0.93 | 2.43 × 10−4 |
| TCONS_00068293 | NC_030830.1 | - | XM_005696727.3 | LOC102178027 | UPSTREAM | 20,238 | 0.27 | 4.89 × 10−1 |
| TCONS_00068293 | NC_030830.1 | - | XM_018038547.1 | LOC102178318 | UPSTREAM | 20,964 | 0.20 | 6.05 × 10−1 |
| TCONS_00068294 | NC_030830.1 | - | XM_005696727.3 | LOC102178027 | UPSTREAM | 21,924 | 0.66 | 5.10 × 10−2 |
| TCONS_00068294 | NC_030830.1 | - | XM_018038547.1 | LOC102178318 | UPSTREAM | 22,650 | 0.63 | 7.01 × 10−2 |
| TCONS_00080824 | NW_017189517.1 | + | XM_005700359.3 | SH2D1A | DOWNSTREAM | 11,734 | 0.83 | 5.44 × 10−3 |
| XR_001917128.1 | NC_030830.1 | - | XM_005696604.3 | LTB | DOWNSTREAM | 7661 | 0.54 | 1.37 × 10−1 |
| lncRNA_id | mRNA_id | Symbol | Type | Pearson Cor | p-Value |
|---|---|---|---|---|---|
| TCONS_00041162 | TCONS_00013152 | V-TCR | pos | 0.9999 | 3.75 × 10−14 |
| TCONS_00052910 | TCONS_00013152 | V-TCR | pos | 0.9999 | 1.51 × 10−14 |
| XR_001297267.2 | TCONS_00013169 | TCRB | pos | 0.9998 | 1.70 × 10−13 |
| TCONS_00072725 | TCONS_00040879 | PRKCQ | pos | 0.9996 | 5.92 × 10−12 |
| TCONS_00078593 | TCONS_00063963 | HSP90AA1 | pos | 0.9821 | 2.48 × 10−6 |
| TCONS_00011740 | XM_005677288.3 | LOC102179433 | pos | 0.9999 | 5.77 × 10−15 |
| XR_001919673.1 | XM_005690341.3 | MS4A1 | pos | 0.9992 | 5.05 × 10−11 |
| XR_310184.3 | XM_005692018.3 | CCL22 | pos | 0.9999 | 7.11 × 10−15 |
| TCONS_00007637 | XM_005692019.3 | LOC102169211 | pos | 1.0000 | 2.66 × 10−15 |
| TCONS_00020715 | XM_005693201.3 | CCL5 | neg | −0.9648 | 2.60 × 10−5 |
| TCONS_00035813 | XM_005694804.3 | IL7R | pos | 0.9980 | 1.15 × 10−9 |
| TCONS_00072236 | XM_005695522.3 | CCR4 | pos | 0.9996 | 5.66 × 10−12 |
| TCONS_00013889 | XM_018038885.1 | LOC102181347 | pos | 0.9978 | 1.69 × 10−9 |
| circRNA ID | Source_Gene ID | Source_Gene Symbol | Annot_Type | High Expression |
|---|---|---|---|---|
| novel_circ_012271 | ncbi_102180958 | NFATC3 | annot_exons | A |
| novel_circ_017193 | ncbi_102189946 | LOC102189946 | exon_intron | A |
| novel_circ_011088 | ncbi_102186615 | CR2 | annot_exons | A |
| novel_circ_004727 | ncbi_102188026 | TXK | annot_exons | A |
| novel_circ_014760 | ncbi_102180664 | LOC102180664 | annot_exons | A |
| novel_circ_012149 | ncbi_102180337 | PLCG2 | annot_exons | A |
| novel_circ_013769 | ncbi_102178574 | ARHGAP5 | one_exon | B |
| novel_circ_012441 | ncbi_102177274 | ARHGAP35 | one_exon | B |
| novel_circ_011081 | ncbi_102176714 | PIGR | antisense | B |
| novel_circ_014758 | ncbi_100860813 | LOC100860813 | exon_intron | C |
| miRNA Gene | CCR7 | CD28 | ITGB2 | LCP2 | MYC | PTPRC | SELL | SYK | ZAP70 | |
|---|---|---|---|---|---|---|---|---|---|---|
| chi-miR-193b-3p | r | −0.743 * | −0.778 * | −0.769 * | −0.782 * | −0.732 * | −0.796 * | / | −0.800 ** | −0.756 * |
| p | 0.022 | 0.014 | 0.015 | 0.013 | 0.025 | 0.01 | / | 0.01 | 0.018 | |
| chi-miR-29b-3p | r | −0.774 * | −0.853 ** | −0.856 ** | −0.859 ** | −0.796* | −0.919 ** | −0.795 * | −0.884 ** | −0.946 ** |
| p | 0.014 | 0.003 | 0.003 | 0.003 | 0.01 | 0 | 0.01 | 0.002 | 0 | |
| miR-141-x | r | −0.832 ** | −0.884 ** | −0.909 ** | −0.900 ** | −0.836 ** | −0.949 ** | −0.824 ** | −0.928 ** | −0.928 ** |
| p | 0.005 | 0.002 | 0.001 | 0.001 | 0.005 | 0 | 0.006 | 0 | 0 | |
| miR-148-x | r | / | / | / | / | / | −0.695 * | / | −0.686 * | −0.698 * |
| p | / | / | / | / | / | 0.038 | / | 0.041 | 0.037 | |
| miR-148-y | r | −0.699 * | −0.732 * | −0.747 * | −0.745 * | −0.679 * | −0.771 * | / | −0.773 * | −0.733 * |
| p | 0.036 | 0.025 | 0.021 | 0.021 | 0.044 | 0.015 | / | 0.015 | 0.025 | |
| miR-29-y | r | −0.766 * | −0.848 ** | −0.859 ** | −0.855 ** | −0.775 * | −0.921 ** | −0.812 ** | −0.891 ** | −0.954 ** |
| p | 0.016 | 0.004 | 0.003 | 0.003 | 0.014 | 0 | 0.008 | 0.001 | 0 | |
| miR-6516-x | r | / | −0.711 * | −0.731 * | −0.726 * | −0.680 * | −0.780 * | −0.703 * | −0.758 * | −0.794 * |
| p | / | 0.032 | 0.025 | 0.027 | 0.044 | 0.013 | 0.035 | 0.018 | 0.011 | |
| miR-885-y | r | −0.671 * | −0.696 * | −0.720 * | −0.711 * | −0.688 * | −0.739 * | / | −0.721 * | −0.706 * |
| p | 0.048 | 0.037 | 0.029 | 0.032 | 0.04 | 0.023 | / | 0.028 | 0.033 | |
| novel-m0357-5p | r | / | −0.672 * | −0.680 * | −0.679 * | -0.633 | −0.733 * | / | −0.705 * | −0.760 * |
| p | / | 0.047 | 0.044 | 0.044 | 0.067 | 0.025 | / | 0.034 | 0.018 | |
Disclaimer/Publisher’s Note: The statements, opinions and data contained in all publications are solely those of the individual author(s) and contributor(s) and not of MDPI and/or the editor(s). MDPI and/or the editor(s) disclaim responsibility for any injury to people or property resulting from any ideas, methods, instructions or products referred to in the content. |
© 2023 by the authors. Licensee MDPI, Basel, Switzerland. This article is an open access article distributed under the terms and conditions of the Creative Commons Attribution (CC BY) license (https://creativecommons.org/licenses/by/4.0/).
Share and Cite
Wang, A.; Wang, J.; Mao, M.; Zhao, X.; Li, Q.; Xuan, R.; Li, F.; Chao, T. Analyses of lncRNAs, circRNAs, and the Interactions between ncRNAs and mRNAs in Goat Submandibular Glands Reveal Their Potential Function in Immune Regulation. Genes 2023, 14, 187. https://doi.org/10.3390/genes14010187
Wang A, Wang J, Mao M, Zhao X, Li Q, Xuan R, Li F, Chao T. Analyses of lncRNAs, circRNAs, and the Interactions between ncRNAs and mRNAs in Goat Submandibular Glands Reveal Their Potential Function in Immune Regulation. Genes. 2023; 14(1):187. https://doi.org/10.3390/genes14010187
Chicago/Turabian StyleWang, Aili, Jianmin Wang, Meina Mao, Xiaodong Zhao, Qing Li, Rong Xuan, Fajun Li, and Tianle Chao. 2023. "Analyses of lncRNAs, circRNAs, and the Interactions between ncRNAs and mRNAs in Goat Submandibular Glands Reveal Their Potential Function in Immune Regulation" Genes 14, no. 1: 187. https://doi.org/10.3390/genes14010187
APA StyleWang, A., Wang, J., Mao, M., Zhao, X., Li, Q., Xuan, R., Li, F., & Chao, T. (2023). Analyses of lncRNAs, circRNAs, and the Interactions between ncRNAs and mRNAs in Goat Submandibular Glands Reveal Their Potential Function in Immune Regulation. Genes, 14(1), 187. https://doi.org/10.3390/genes14010187

