Cancer-Testis Gene Biomarkers Discovered in Colon Cancer Patients
Abstract
1. Introduction
2. Materials and Methods
2.1. Ethical Approval and Collection of Samples
2.2. RNA Extraction from Tissues and Whole Blood
2.3. cDNA Preparation
2.4. RT-PCR and Agarose Gel Electrophoresis
2.5. Primer Design for RT-PCR
2.6. Purification and Sequencing of RT-PCR Products
2.7. Primer Design for Real Time Quantitative PCR (qRT-PCR)
2.8. PCR Setup for qRT-PCR
2.9. Statistical Analysis
3. Results
3.1. Clinical Data on the Studied Subjects
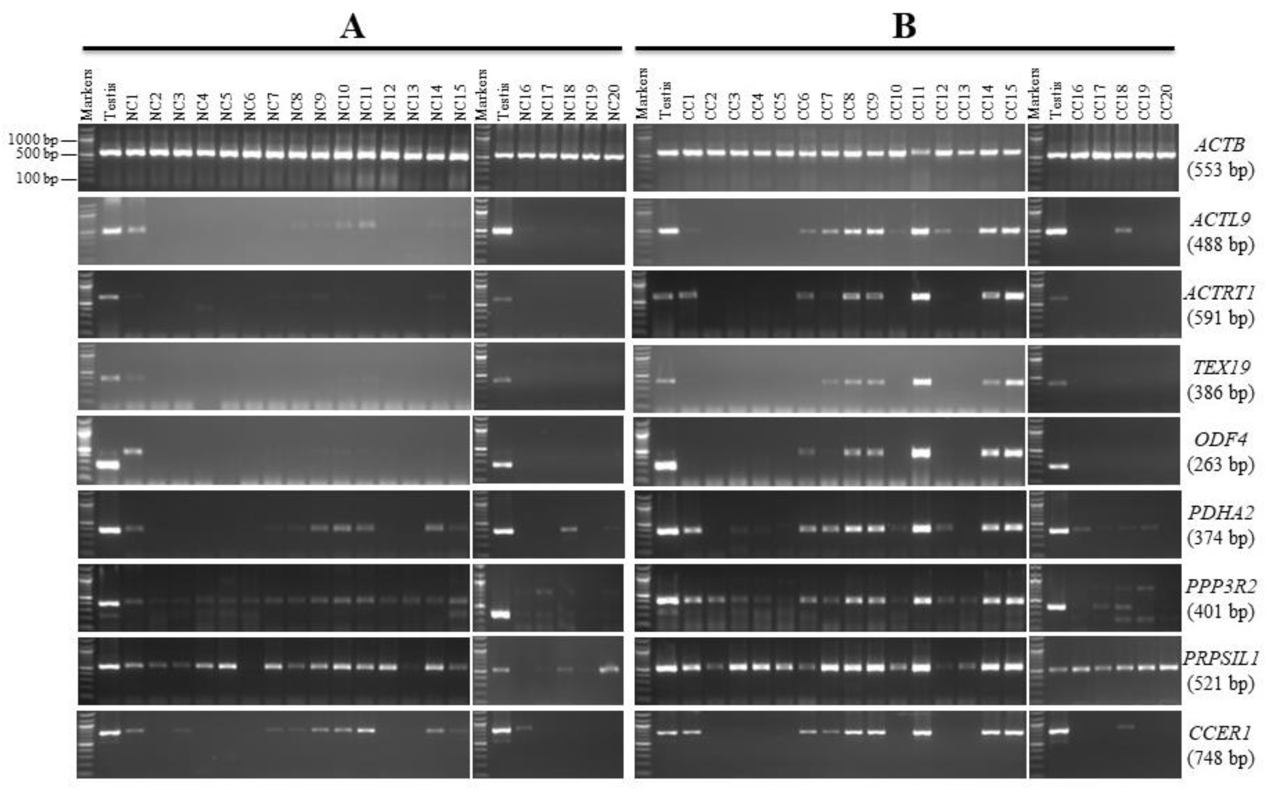
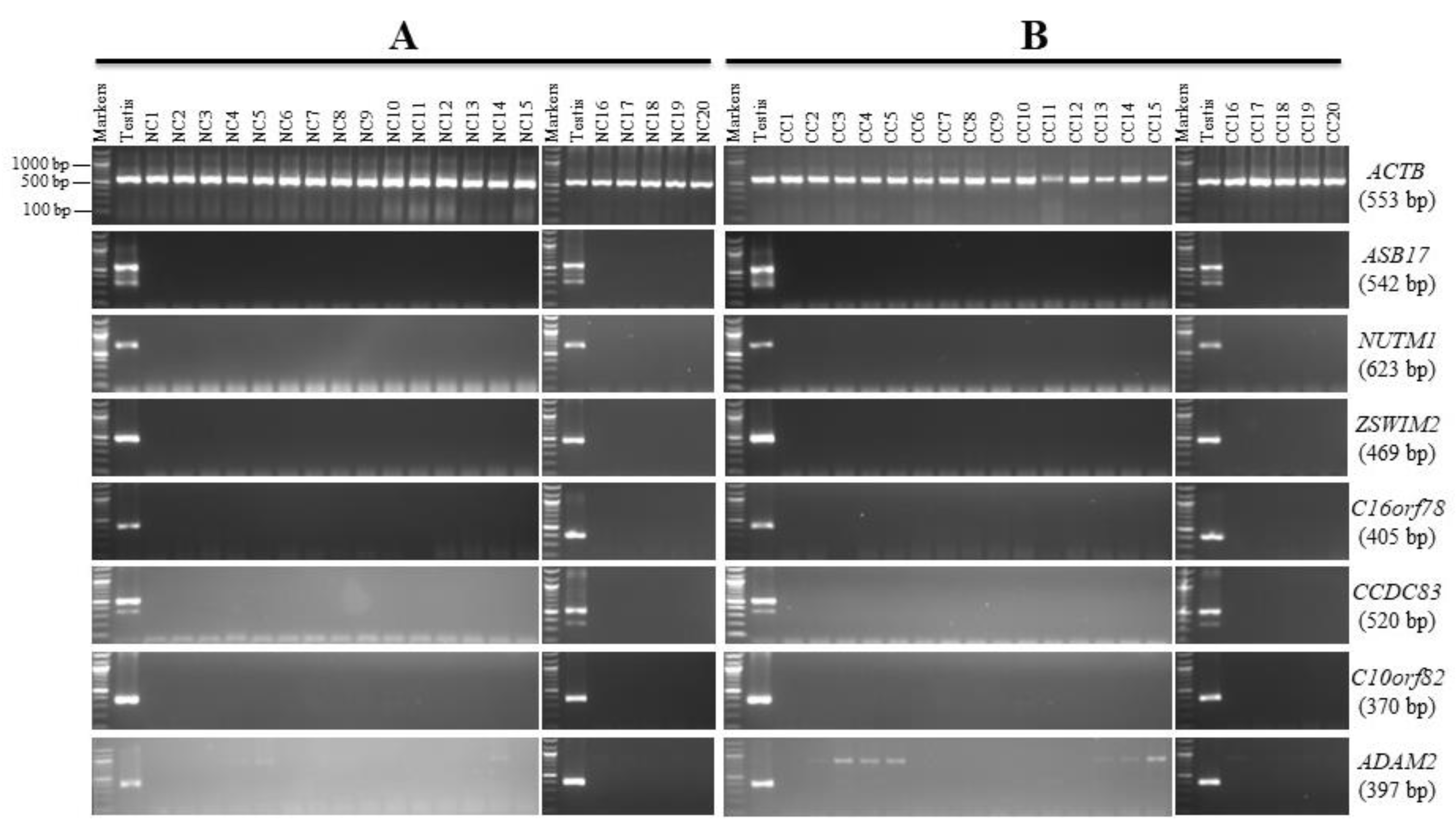
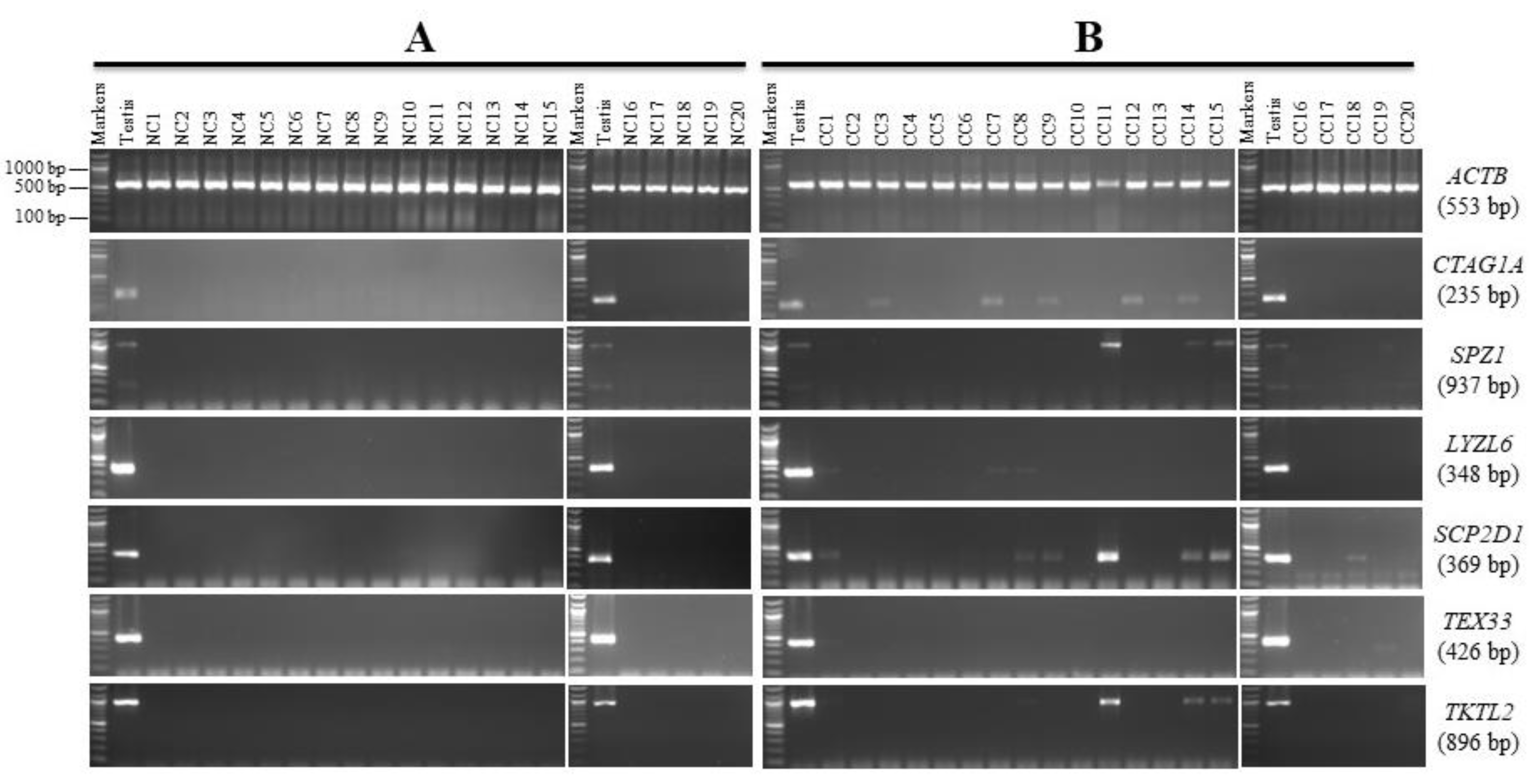
3.2. Expression Profile of The Selected Genes in CC Tissues and Matching NC Tissues
3.3. Studying the Specificity of the CC Biomarkers Identified in the Selected Genes
3.4. Screening of Meiotic Genes in CML, CLL, and BC Tissues
3.5. qRT-PCR Analysis of ACTL9, PDHA2, SCP2D1, and TKTL2 Expressions in CC and NC Tissues
4. Discussion
5. Conclusions
Supplementary Materials
Author Contributions
Funding
Institutional Review Board Statement
Informed Consent Statement
Data Availability Statement
Acknowledgments
Conflicts of Interest
Abbreviations
| CC | Colon cancer |
| CTAs | Cancer-testis antigens |
| CT | Cancer-testis |
| NC | Normal colon |
| BC | Breast cancer |
| CML | Chronic myeloid leukemia |
| CLL | Chronic lymphoblastic leukemia |
| mRNA | messenger RNA |
| RNA | Ribonucleic acid |
| mg | Milligram |
| cDNA | Complementary DNA |
| PCR | Polymerase chain reaction |
| RT-PCR | Reverse transcription PCR |
| qRT-PCR | quantitative, real-time PCR |
| bp | Base pair |
| kb | Kilobase |
| BLAST | Basic Local Alignment Search Tool |
| Ta | Annealing temperature |
| pmol | picomole |
| μg | Microgram |
| ng | Nanogram |
| mL | Milliliter |
| μL | Microliter |
References
- Arnold, M.; Sierra, M.S.; Laversanne, M.; Soerjomataram, I.; Jemal, A.; Bray, F. Global patterns and trends in colorectal cancer incidence and mortality. Gut 2017, 66, 683–691. [Google Scholar] [CrossRef] [PubMed]
- Dekker, E.; Tanis, P.J.; Vleugels, J.L.A.; Kasi, P.M.; Wallace, M.B. Colorectal cancer. Lancet 2019, 394, 1467–1480. [Google Scholar] [CrossRef]
- Issa, I.A.; Noureddine, M. Colorectal cancer screening: An updated review of the available options. World J. Gastroenterol. 2017, 23, 5086–5096. [Google Scholar] [CrossRef] [PubMed]
- Althubiti, M.A.; Nour Eldein, M.M. Trends in the incidence and mortality of cancer in Saudi Arabia. Saudi Med. J. 2018, 39, 1259–1262. [Google Scholar] [CrossRef]
- Herzallah, H.K.; Antonisamy, B.R.; Shafee, M.H.; Al-Otaibi, S.T. Temporal trends in the incidence and demographics of cancers, communicable diseases, and non-communicable diseases in Saudi Arabia over the last decade. Saudi Med. J. 2019, 40, 277–286. [Google Scholar] [CrossRef]
- Kanojia, D.; Garg, M.; Gupta, S.; Gupta, A.; Suri, A. Sperm-associated antigen 9 is a novel biomarker for colorectal cancer and is involved in tumor growth and tumorigenicity. Am. J. Pathol. 2011, 178, 1009–1020. [Google Scholar] [CrossRef]
- Fearon, E.R.; Vogelstein, B. A genetic model for colorectal tumorigenesis. Cell 1990, 61, 759–767. [Google Scholar] [CrossRef]
- Sameer, A.S. Colorectal cancer: Molecular mutations and polymorphisms. Front. Oncol. 2013, 3, 114. [Google Scholar] [CrossRef]
- Suri, A.; Jagadish, N.; Saini, S.; Gupta, N. Targeting cancer testis antigens for biomarkers and immunotherapy in colorectal cancer: Current status and challenges. World J. Gastrointest. Oncol. 2015, 7, 492–502. [Google Scholar] [CrossRef]
- Whitehurst, A.W. Cause and consequence of cancer/testis antigen activation in cancer. Annu. Rev. Pharmacol. Toxicol. 2014, 54, 251–272. [Google Scholar] [CrossRef] [PubMed]
- Krishnadas, D.K.; Bai, F.; Lucas, K.G. Cancer testis antigen and immunotherapy. Immunotargets Ther. 2013, 2, 11–19. [Google Scholar] [CrossRef] [PubMed]
- Feichtinger, J.; Aldeailej, I.; Anderson, R.; Almutairi, M.; Almatrafi, A.; Alsiwiehri, N.; Griffiths, K.; Stuart, N.; Wakeman, J.A.; Larcombe, L.; et al. Meta-analysis of clinical data using human meiotic genes identifies a novel cohort of highly restricted cancer-specific marker genes. Oncotarget 2012, 3, 843–853. [Google Scholar] [CrossRef]
- Sammut, S.J.; Feichtinger, J.; Stuart, N.; Wakeman, J.A.; Larcombe, L.; McFarlane, R.J. A novel cohort of cancer-testis biomarker genes revealed through meta-analysis of clinical data sets. Oncoscience 2014, 1, 349–359. [Google Scholar] [CrossRef]
- Almeida, L.G.; Sakabe, N.J.; Deoliveira, A.R.; Silva, M.C.C.; Mundstein, A.S.; Cohen, T.; Chen, Y.; Chua, R.; Gurung, S.; Gnjatic, S.; et al. CTdatabase: A knowledge-base of high-throughput and curated data on cancer-testis antigens. Nucleic Acids Res. 2009, 37, D816–D819. [Google Scholar] [CrossRef] [PubMed]
- Hofmann, O.; Caballero, O.L.; Stevenson, B.J.; Chen, Y.T.; Cohen, T.; Chua, R.; Maher, C.A.; Panji, S.; Schaefer, U.; Kruger, A.; et al. Genome-wide analysis of cancer/testis gene expression. Proc. Natl. Acad. Sci. USA 2008, 105, 20422–20427. [Google Scholar] [CrossRef]
- Zhong, J.; Chen, Y.; Liao, X.; Li, J.; Wang, H.; Wu, C.; Zou, X.; Yang, G.; Shi, J.; Luo, L.; et al. Testis expressed 19 is a novel cancer-testis antigen expressed in bladder cancer. Tumour Biol. 2016, 37, 7757–7765. [Google Scholar] [CrossRef]
- Kazemi-Oula, G.; Ghafouri-Fard, S.; Mobasheri, M.B.; Geranpayeh, L.; Modarressi, M.H. Upregulation of RHOXF2 and ODF4 Expression in Breast Cancer Tissues. Cell J. 2015, 17, 471–477. [Google Scholar]
- Almatrafi, A.; Feichtinger, J.; Vernon, E.G.; Escobar, N.G.; Wakeman, J.A.; Larcombe, L.D.; McFarlane, R.J. Identification of a class of human cancer germline genes with transcriptional silencing refractory to the hypomethylating drug 5-aza-2′-deoxycytidine. Oncoscience 2014, 1, 745–750. [Google Scholar] [CrossRef] [PubMed]
- Li, Y.; Song, R.; Li, X.; Xu, F. Expression and immunogenicity of NY-ESO-1 in colorectal cancer. Exp. Ther. Med. 2017, 13, 3581–3585. [Google Scholar] [CrossRef]
- Jin, S.; Cao, S.; Li, J.; Meng, Q.; Wang, C.; Yao, L.; Lang, Y.; Cao, J.; Shen, J.; Pan, B.; et al. Cancer/testis antigens (CTAs) expression in resected lung cancer. Onco Targets Ther. 2018, 11, 4491–4499. [Google Scholar] [CrossRef]
- Tang, G.; Cho, M.; Wang, X. OncoDB: An interactive online database for analysis of gene expression and viral infection in cancer. Nucleic Acids Res. 2022, 50, D1334–D1339. [Google Scholar] [CrossRef] [PubMed]
- Consortium, G.T. Human genomics. The Genotype-Tissue Expression (GTEx) pilot analysis: Multitissue gene regulation in humans. Science 2015, 348, 648–660. [Google Scholar] [CrossRef] [PubMed]
- Jager, E.; Chen, Y.T.; Drijfhout, J.W.; Karbach, J.; Ringhoffer, M.; Jäger, D.; Arand, M.; Wada, H.; Noguchi, Y.; Stockert, E.; et al. Simultaneous humoral and cellular immune response against cancer-testis antigen NY-ESO-1: Definition of human histocompatibility leukocyte antigen (HLA)-A2-binding peptide epitopes. J. Exp. Med. 1998, 187, 265–270. [Google Scholar] [CrossRef]
- Yang, Z.; Chevolot, Y.; Géhin, T.; Solassol, J.; Mange, A.; Souteyrand, E.; Laurenceau, E. Improvement of protein immobilization for the elaboration of tumor-associated antigen microarrays: Application to the sensitive and specific detection of tumor markers from breast cancer sera. Biosens. Bioelectron. 2013, 40, 385–392. [Google Scholar] [CrossRef]
- Fujiwara, S.; Wada, H.; Kawada, J.; Kawabata, R.; Takahashi, T.; Fujita, J.; Hirao, T.; Shibata, K.; Makari, Y.; Iijima, S.; et al. NY-ESO-1 antibody as a novel tumour marker of gastric cancer. Br. J. Cancer 2013, 108, 1119–1125. [Google Scholar] [CrossRef]
- Xu, Y.W.; Peng, Y.H.; Chen, B.; Wu, Z.Y.; Wu, J.Y.; Shen, J.H.; Zheng, C.P.; Wang, S.H.; Guo, H.P.; Li, E.M.; et al. Autoantibodies as potential biomarkers for the early detection of esophageal squamous cell carcinoma. Am. J. Gastroenterol. 2014, 109, 36–45. [Google Scholar] [CrossRef]
- Shan, Q.; Lou, X.; Xiao, T.; Zhang, J.; Sun, H.; Gao, Y.; Cheng, S.; Wu, L.; Xu, N.; Liu, S. A cancer/testis antigen microarray to screen autoantibody biomarkers of non-small cell lung cancer. Cancer Lett. 2013, 328, 160–167. [Google Scholar] [CrossRef]
- Middleton, C.H.; Irving, W.; Robertson, J.F.; Murray, A.; Parsy-Kowalska, C.B.; Macdonald, I.K.; McElveen, J.; Allen, J.; Healey, G.F.; Thomson, B.J.; et al. Serum autoantibody measurement for the detection of hepatocellular carcinoma. PLoS ONE 2014, 9, e103867. [Google Scholar] [CrossRef]
- Liu, X.Y.; Zheng, C.B.; Wang, T.; Xu, J.; Zhang, M.; Gou, L.S.; Jin, L.; Qi, X.; Zeng, X.; Li, H.; et al. SPZ1 promotes deregulation of Bim to boost apoptosis resistance in colorectal cancer. Clin. Sci. 2020, 134, 155–167. [Google Scholar] [CrossRef] [PubMed]
- Zhao, M.; Ye, M.; Zhou, J.; Zhu, X. Prognostic values of transketolase family genes in ovarian cancer. Oncol. Lett. 2019, 18, 4845–4857. [Google Scholar] [CrossRef]
- Li, N.; Zhan, X. Identification of clinical trait-related lncRNA and mRNA biomarkers with weighted gene co-expression network analysis as useful tool for personalized medicine in ovarian cancer. EPMA J. 2019, 10, 273–290. [Google Scholar] [CrossRef] [PubMed]
- Song, M.H.; Ha, J.M.; Shin, D.H.; Lee, C.H.; Old, L.; Lee, S.Y. KP-CoT-23 (CCDC83) is a novel immunogenic cancer/testis antigen in colon cancer. Int. J. Oncol. 2012, 41, 1820–1826. [Google Scholar] [CrossRef] [PubMed][Green Version]
- Maheswaran, E.; Pedersen, C.B.; Ditzel, H.J.; Gjerstorff, M.F. Lack of ADAM2, CALR3 and SAGE1 Cancer/Testis Antigen Expression in Lung and Breast Cancer. PLoS ONE 2015, 10, e0134967. [Google Scholar] [CrossRef] [PubMed]






| Gene (Official Symbol) | Chromosomal Location | Primer Direction | Primer Sequence (From 5’→3’) | Ta * | Product Size (bp) |
|---|---|---|---|---|---|
| ACTB | 7 | Forward | AGAAAATCTGGCACCACACC | 58 | 553 |
| Reverse | AGGAAGGAAGGCTGGAAGAG | ||||
| ACTL9 | 19 | Forward | CAGTCGGTGCTGTCTGTCTA | 60 | 488 |
| Reverse | CCGCAGAGAAGCACGTTTTG | ||||
| ADAM2 | 8 | Forward | GTCTTGTTTCTGCTCAGCGG | 60 | 397 |
| Reverse | AGCCAACTGAAGACTCCAGG | ||||
| ASB17 | 1 | Forward | GTGGGGATATCACTGTTACG | 58 | 542 |
| Reverse | GCACTCTGGAACATAGTACC | ||||
| C10orf82 | 10 | Forward | CTGCCAAGGAATGTCCAAG | 60 | 370 |
| Reverse | ATGTGCCTTCTTGGCCCTCT | ||||
| C16orf78 | 16 | Forward | CAGGGGAAGAAGAAACAAGC | 58 | 405 |
| Reverse | GTCTCTTATGAAGGTTGCCC | ||||
| CCDC83 | 11 | Forward | GAGAGGATGTTGAAGAAGCG | 58 | 520 |
| Reverse | CTGGGTATCTTGAGATCCAC | ||||
| LYZL6 | 17 | Forward | GGCGCTACTCATCTATTTGG | 58 | 348 |
| Reverse | CCGGACACAATCCTTTTTGC | ||||
| CTAG1A | X | Forward | CCTGCTTGAGTTCTACCTCG | 60 | 235 |
| Reverse | CTGCGTGATCCACATCAACA | ||||
| PDHA2 | 4 | Forward | CGAGTTGCCCAGAAATCAGC | 60 | 374 |
| Reverse | AGCTCTGCGAGAATGGATCG | ||||
| PPP3R2 | 9 | Forward | GGGCAGGAGGTTTAAGAAGT | 58 | 401 |
| Reverse | CCACAGCACTGAATTCCTCA | ||||
| PRPS1L1 | 7 | Forward | GTCTACATCGTTCAGAGTGG | 58 | 521 |
| Reverse | CAAGTGTCTGCCATGTCATC | ||||
| NUTM1 | 15 | Forward | CACCACCAGTTGCTCAACTG | 60 | 623 |
| Reverse | CTCCTTCACAGCTTCTGGTG | ||||
| TEX19 | 17 | Forward | GCTTCAACATGGAGATCAGC | 58 | 386 |
| Reverse | GAAGCTCCTCAAATCTCCAG | ||||
| SPZ1 | 5 | Forward | CTGCTAAGTCAGCTGAGATG | 58 | 937 |
| Reverse | GAATAGGTGTCATGGCTCAG | ||||
| TKTL2 | 4 | Forward | AGGTACTGCATGTGGAATGG | 58 | 896 |
| Reverse | CATCTTCTCCAGTGGATACC | ||||
| ZSWIM2 | 2 | Forward | GACAAACACCTTGGGATTCC | 58 | 469 |
| Reverse | GGCATGAATTGCACTTGTGG | ||||
| ODF4 | 17 | Forward | CCTTCATCTTCTCCACCCTC | 60 | 263 |
| Reverse | GGTGTCTGTGATCGTCTGTG | ||||
| CCER1 | 12 | Forward | CAGCGTACAATAGACCGCAC | 60 | 748 |
| Reverse | CACACCTCCTGGTCATACTC | ||||
| ACTRT1 | X | Forward | GGGATGACATGGAGAAACTC | 58 | 591 |
| Reverse | CCATTTTTGAGAGTCCTGGG | ||||
| SCP2D1 | 20 | Forward | CAGTTCGAGGTTCTGGGTTC | 60 | 369 |
| Reverse | GCTAAGCAGAACCTTGCCAC | ||||
| TEX33 | 22 | Forward | GATCCTCCTCGAGAGAGAAC | 60 | 426 |
| Reverse | GCCAGTGTTCTAAGTCCCTC |
| Gene (Official Symbol) | Primer Direction | Primer Sequence (From 5’→3’) | Product Size (bp) |
|---|---|---|---|
| GAPDH | Forward | GGGAAGCTTGTCATCAATGG | 173 |
| Reverse | GAGATGATGACCCTTTTGGC | ||
| ACTL9 | Forward | CAAGGAGCTGTTCCAGTGTC | 153 |
| Reverse | CCGCAGAGAAGCACGTTTTG | ||
| PDHA2 | Forward | GATGGTCAGGAAGCTTGTTG | 133 |
| Reverse | TCAGCTCTGCGAGAATGGAT | ||
| TKTL2 | Forward | CATGGTAAGTGTGGCACTAG | 149 |
| Reverse | CACAGTGGGAACCAATAAGG | ||
| SCP2D1 | Forward | CCAGCAGACACTGTCTTTAC | 129 |
| Reverse | CTTCCAGCTAAGCAGAACCT |
| Variables | Colon Cancer N (%) | Normal Colon N (%) | Breast Cancer N (%) | Leukemia N (%) |
|---|---|---|---|---|
| Participants | 20 (100%) | 20 (100%) | 8 (100%) | 8 (100%) |
| Sex | ||||
| Males | 20 (100%) | 20 (100%) | ----- | 8 (100%) |
| Females | ----- | ----- | 8 (100%) | ----- |
| Mean age (min–max) | 60 (24–83) | 54 (46–74) | 52 (32–61) | |
| Below 60 | 7 (35%) | 7 (35%) | ----- | ----- |
| Above 60 | 13 (65%) | 13 (65%) | ----- | ----- |
| Below 54 | ----- | ----- | 5 (62.5%) | ----- |
| Above 54 | ----- | ----- | 3 (37.5%) | ----- |
| Below 52 | ----- | ----- | ----- | 5 (62.5%) |
| Above 52 | ----- | ----- | ----- | 3 (37.5%) |
| Estrogen Receptor (ER) | ||||
| ER+ | ----- | ----- | 1 (12.5%) | ----- |
| ER- | ----- | ----- | 7 (87.5%) | ----- |
| Progesterone Receptor (PR) | ||||
| PR+ | ----- | ----- | 2 (25%) | ----- |
| PR- | ----- | ----- | 6 (75%) | ----- |
| Type of Leukemia | ||||
| Chronic myeloid | ----- | ----- | ----- | 5 (62.5%) |
| Chronic lymphoblastic | ----- | ----- | ----- | 3 (37.5%) |
| Variable | CC Patients | |||||||||||||||||||
|---|---|---|---|---|---|---|---|---|---|---|---|---|---|---|---|---|---|---|---|---|
| Sample | 1 | 2 | 3 | 4 | 5 | 6 | 7 | 8 | 9 | 10 | 11 | 12 | 13 | 14 | 15 | 16 | 17 | 18 | 19 | 20 |
| Ages | 79 | 49 | 63 | 38 | 79 | 73 | 54 | 24 | 69 | 61 | 38 | 69 | 65 | 47 | 55 | 83 | 61 | 73 | 48 | 78 |
| Cancer grade | II | I | III | II | IIII | II | II | II | II | II | III | II | II | III | III | II | II | II | II | II |
| Variable | BC Patients | Leukemia Patients | ||||||||||||||
|---|---|---|---|---|---|---|---|---|---|---|---|---|---|---|---|---|
| Sample | 1 | 2 | 3 | 4 | 5 | 6 | 7 | 8 | 1 | 2 | 3 | 4 | 5 | 6 | 7 | 8 |
| Ages | 49 | 48 | 46 | 52 | 46 | 67 | 74 | 55 | 51 | 61 | 51 | 58 | 32 | 51 | 61 | 51 |
| Cancer grade | II | III | IIII | III | II | II | II | I | --- | --- | --- | --- | --- | --- | --- | --- |
Publisher’s Note: MDPI stays neutral with regard to jurisdictional claims in published maps and institutional affiliations. |
© 2022 by the authors. Licensee MDPI, Basel, Switzerland. This article is an open access article distributed under the terms and conditions of the Creative Commons Attribution (CC BY) license (https://creativecommons.org/licenses/by/4.0/).
Share and Cite
Almutairi, M.H.; Alrubie, T.M.; Alamri, A.M.; Almutairi, B.O.; Alrefaei, A.F.; Arafah, M.M.; Alanazi, M.; Semlali, A. Cancer-Testis Gene Biomarkers Discovered in Colon Cancer Patients. Genes 2022, 13, 807. https://doi.org/10.3390/genes13050807
Almutairi MH, Alrubie TM, Alamri AM, Almutairi BO, Alrefaei AF, Arafah MM, Alanazi M, Semlali A. Cancer-Testis Gene Biomarkers Discovered in Colon Cancer Patients. Genes. 2022; 13(5):807. https://doi.org/10.3390/genes13050807
Chicago/Turabian StyleAlmutairi, Mikhlid H., Turki M. Alrubie, Abdullah M. Alamri, Bader O. Almutairi, Abdulwahed F. Alrefaei, Maha M. Arafah, Mohammad Alanazi, and Abdelhabib Semlali. 2022. "Cancer-Testis Gene Biomarkers Discovered in Colon Cancer Patients" Genes 13, no. 5: 807. https://doi.org/10.3390/genes13050807
APA StyleAlmutairi, M. H., Alrubie, T. M., Alamri, A. M., Almutairi, B. O., Alrefaei, A. F., Arafah, M. M., Alanazi, M., & Semlali, A. (2022). Cancer-Testis Gene Biomarkers Discovered in Colon Cancer Patients. Genes, 13(5), 807. https://doi.org/10.3390/genes13050807

