Dermoscopic Criteria, Histopathological Correlates and Genetic Findings of Thin Melanoma on Non-Volar Skin
Abstract
1. Introduction
2. Clinico-Pathologic-Genetic Correlation of Melanocytic Skin Neoplasms
2.1. Globules (Clods)
2.1.1. Dermoscopy
2.1.2. Histopathological Correlate
2.1.3. Genetic Findings
2.2. Pigment Network (Reticular Pattern)
2.2.1. Dermoscopy
2.2.2. Histopathological Correlate
2.2.3. Genetic Findings
2.3. Pseudonetwork
2.3.1. Dermoscopy
2.3.2. Histopathological Correlate of Pseduonetwork
2.4. Streaks (Pseudopods)
2.4.1. Dermoscopy
2.4.2. Histopathological Correlate
2.4.3. Genetic Findings
2.5. Structureless Pattern
2.5.1. Dermoscopy
2.5.2. Histopathological Correlate
2.5.3. Genetic Findings
2.6. Black-Brown-Gray Dots
2.6.1. Dermoscopy
2.6.2. Histopathological Correlate
2.6.3. Genetic Findings
2.7. Black Blotches (Structureless Black Pattern)
2.7.1. Dermoscopy
2.7.2. Histopathological Correlate
2.7.3. Genetic Findings
2.8. White Structureless Areas
2.8.1. Dermoscopy
2.8.2. Histopathological Correlate
2.8.3. Genetic Findings
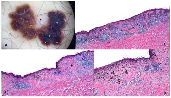
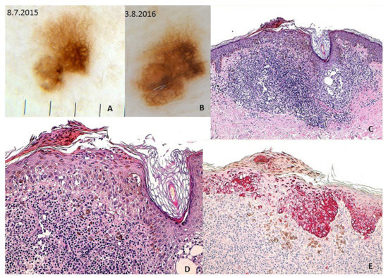
2.9. Regression Pattern
2.9.1. Dermoscopy
2.9.2. Histopathological Correlate
2.9.3. Genetic Findings
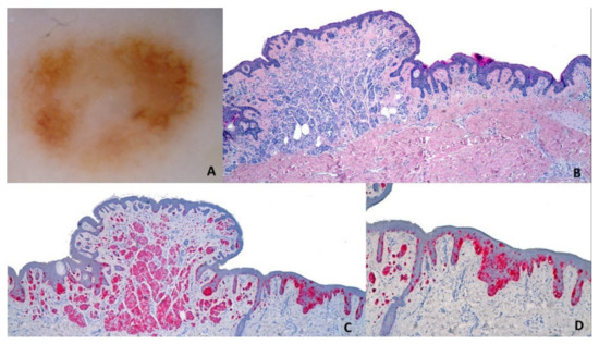
2.10. Blue-White Veil (Structureless Blue-White Pigmentation)
2.10.1. Dermoscopy
2.10.2. Histopathological Correlate
2.10.3. Genetic Findings
2.11. Shiny White Structures (Shiny White Streaks)
2.11.1. Dermoscopy
2.11.2. Histopathological Correlate
2.11.3. Genetic Findings
2.12. Vascular Structures
Dermoscopy
3. Low-CSD Melanoma or Superficial Spreading Melanoma
3.1. Clinical Features
3.2. Genetic
Familial Melanoma
3.3. Histopathology
Tumor Microenvironment
3.4. Correlation between Dermoscopic Criteria, Histopathology and Genetic Findings
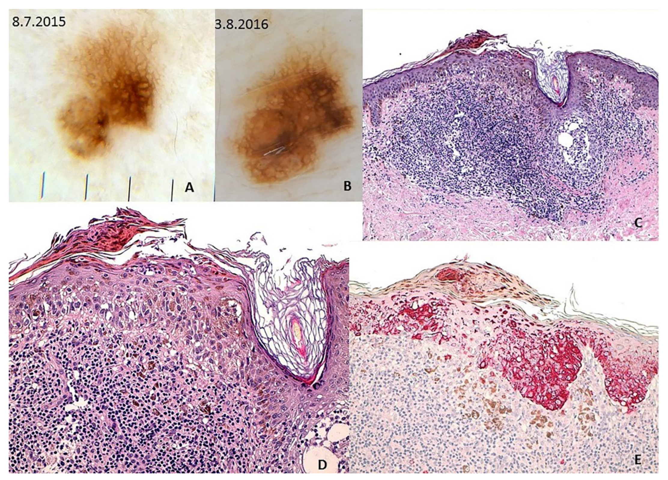
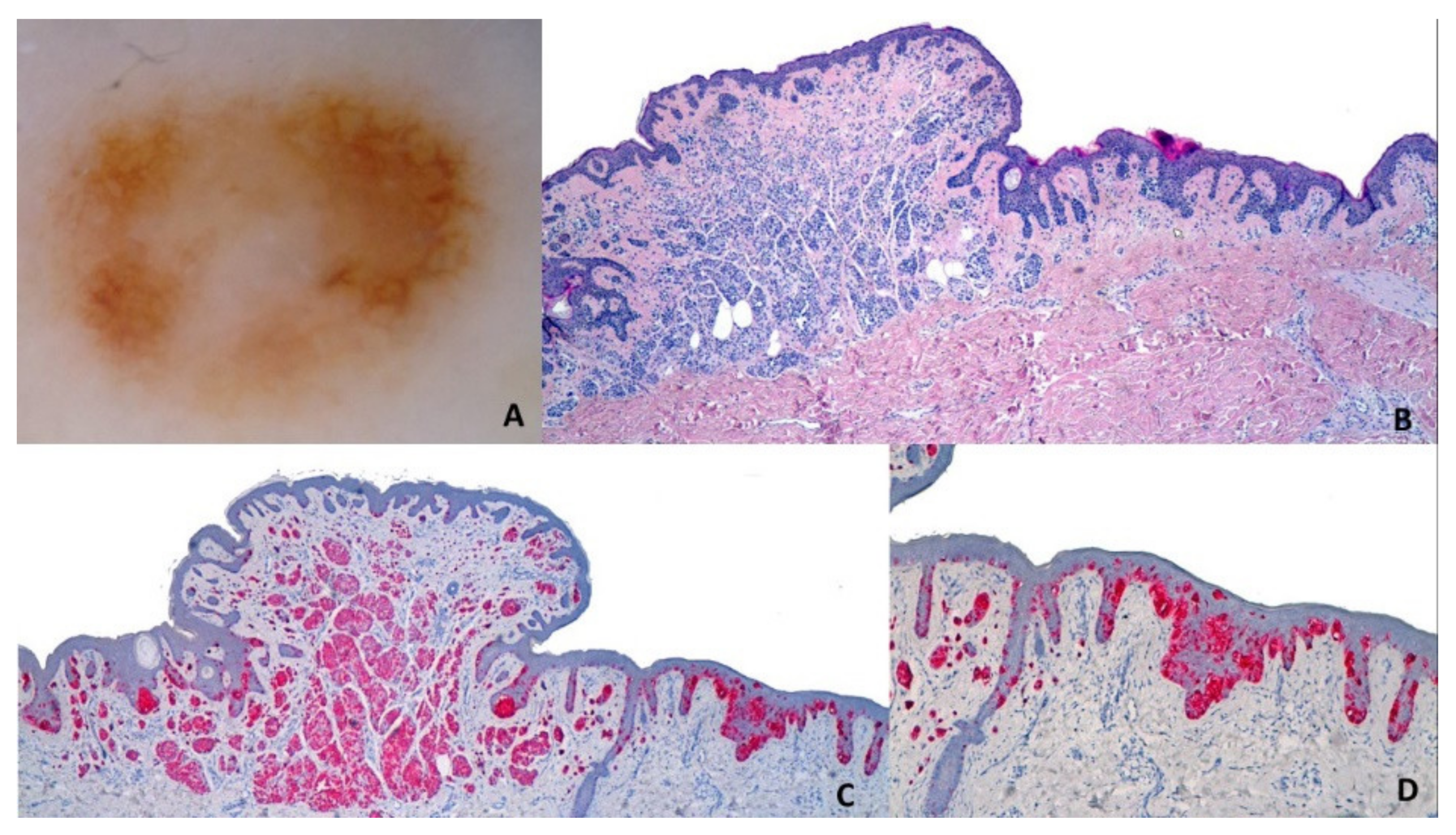
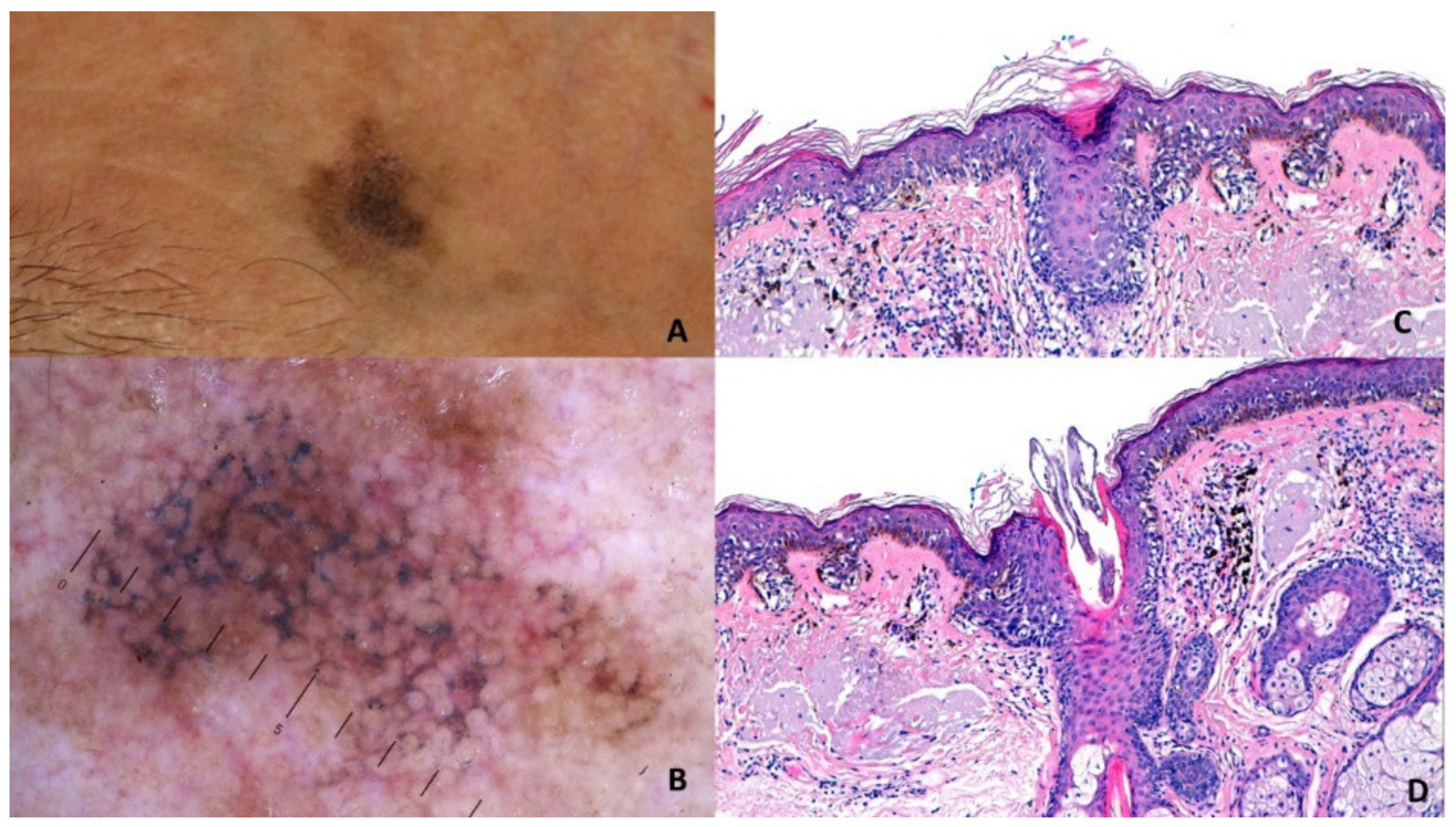
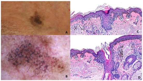
3.4.1. Early Superficial Spreading Melanoma
3.4.2. Invasive Superficial Spreading Melanoma
3.4.3. Amelanotic/Hypomelanotic Melanoma
3.4.4. Familial Melanoma
4. Nevus Associated Melanoma
4.1. Clinical Features
4.2. Histopathology
4.3. Genetic
4.4. Dermoscopic Features
5. High-CSD Melanomas/Lentigo Maligna Melanoma
5.1. Clinical Features
5.2. Histopathology
5.3. Genetic
5.4. Correlation between Dermoscopic Criteria, Histopathology
5.4.1. Melanoma Occurring on Facial Chronically Sun Exposed Skin
5.4.2. Melanoma Occurring on Non-Facial Chronically Sun Exposed Skin
6. Conclusions
Author Contributions
Funding
Conflicts of Interest
References
- Argenziano, G.; Cerroni, L.; Zalaudek, I.; Staibano, S.; Hofmann-Wellenhof, R.; Arpaia, N.; Bakos, R.M.; Balme, B.; Bandic, J.; Bandelloni, R.; et al. Accuracy in melanoma detection: A 10-year multicenter survey. J. Am. Acad. Dermatol. 2012, 67, 54–59.e1. [Google Scholar] [CrossRef] [PubMed]
- Marghoob, A.A.; Jaimes, N. Overview of Dermoscopy. UpToDate. Available online: https://www.wolterskluwer.com/en/solutions/uptodate (accessed on 27 April 2021).
- Massone, C.; Di Stefani, A.; Soyer, H.P. Dermoscopy for skin cancer detection. Curr. Opin. Oncol. 2005, 17, 147–153. [Google Scholar] [CrossRef]
- Papageorgiou, V.; Apalla, Z.; Sotiriou, E.; Lazaridou, E.; Vakirlis, S.; Ioannides, D.; Lallas, A. The limitations of dermoscopy: False-positive and false-negative tumours. J. Eur. Acad. Dermatol. Venereol. 2018, 32, 879–888. [Google Scholar] [CrossRef] [PubMed]
- Argenziano, G.; Soyer, H.P.; Chimenti, S.; Talamini, R.; Corona, R.; Sera, F.; Binder, M.; Cerroni, L.; De Rosa, G.; Ferrara, G.; et al. Dermoscopy of pigmented skin lesions: Results of a consensus meeting via the Internet. J. Am. Acad. Dermatol. 2003, 48, 679–693. [Google Scholar] [CrossRef] [PubMed]
- Cerroni, L. Melanoma: The morphological dimension. In Melanocytic Lesions of the Skin; Soyer, H.P., Argenziano, G., Hofmann-Wellenhof, R., Johr, R., Eds.; Springer: Berlin/Heidelberg, Germany, 2007; pp. 22–38. [Google Scholar]
- Ferrara, G.; Argenziano, G.; Soyer, H.P.; Staibano, S.; Ruocco, E.; De Rosa, G. Dermoscopic-pathologic correlation: An atlas of 15 cases. Clin. Dermatol. 2002, 20, 228–235. [Google Scholar] [CrossRef]
- Soyer, H.P.; Kenet, R.O.; Wolf, I.H.; Kenet, B.J.; Cerroni, L. Clinicopathological correlation of pigmented skin lesions using dermoscopy. Eur. J. Dermatol. 2000, 10, 22–28. [Google Scholar]
- Zalaudek, I.; Argenziano, G.; Ferrara, G.; Soyer, H.P.; Corona, R.; Sera, F.; Cerroni, L.; Carbone, A.; Chiominto, A.; Cicale, L.; et al. Clinically equivocal melanocytic skin lesions with features of regression: A dermoscopic-pathological study. Br. J. Dermatol. 2004, 150, 64–71. [Google Scholar] [CrossRef]
- Soyer, H.P.; Massone, C.; Ferrara, G.; Argenziano, G. Limitations of histopathologic analysis in the recognition of melanoma: A plea for a combined diagnostic approach of histopathologic and dermoscopic evaluation. Arch. Dermatol. 2005, 141, 209–211. [Google Scholar] [CrossRef] [PubMed]
- Elder, D.E.; Piepkorn, M.W.; Barnhill, R.L.; Longton, G.M.; Nelson, H.D.; Knezevich, S.R.; Pepe, M.S.; Carney, P.A.; Titus, L.J.; Onega, T.; et al. Pathologist characteristics associated with accuracy and reproducibility of melanocytic skin lesion interpretation. J. Am. Acad. Dermatol. 2018, 79, 52–59. [Google Scholar] [CrossRef]
- Ferrara, G.; Argenyi, Z.; Argenziano, G.; Cerio, R.; Cerroni, L.; Di Blasi, A.; Feudale, E.A.A.; Giorgio, C.M.; Massone, C.; Nappi, O.; et al. The Influence of Clinical Information in the Histopathologic Diagnosis of Melanocytic Skin Neoplasms. PLoS ONE 2009, 4, e5375. [Google Scholar] [CrossRef]
- Argenziano, G.; Kittler, H.; Ferrara, G.; Rubegni, P.; Malvehy, J.; Puig, S.; Cowell, L.; Stanganelli, I.; de Giorgi, V.; Thomas, L.; et al. Slow-growing melanoma: A dermoscopy follow-up study. Br. J. Dermatol. 2009, 162, 267–273. [Google Scholar] [CrossRef]
- Zalaudek, I.; Marghoob, A.A.; Scope, A.; Leinweber, B.; Ferrara, G.; Hofmann-Wellenhof, R.; Pellacani, G.; Soyer, H.P.; Argenziano, G. Three Roots of Melanoma. Arch. Dermatol. 2008, 144, 1375–1379. [Google Scholar] [CrossRef]
- Liu, W.; Dowling, J.P.; Murray, W.K. Rate of grow thin melanomas. Arch. Dermatol 2006, 142, 1551–1558. [Google Scholar]
- Tejera-Vaquerizo, A.; Barrera-Vigo, M.; LãPez-Navarro, N.; Herrera-Ceballos, E.; Lopez-Navarro, N. Growth rate as a prognostic factor in localized invasive cutaneous melanoma. J. Eur. Acad. Dermatol. Venereol. 2010, 24, 147–154. [Google Scholar] [CrossRef] [PubMed]
- Moscarella, E.; Tion, I.; Zalaudek, I.; Lallas, A.; Kyrgidis, A.; Longo, C.; Lombardi, M.; Raucci, M.; Satta, R.; Alfano, R.; et al. Both short-term and long-term dermoscopy monitoring is useful in detecting melanoma in patients with multiple atypical nevi. J. Eur. Acad. Dermatol. Venereol. 2016, 31, 247–251. [Google Scholar] [CrossRef]
- Elder, D.E.; Massi, D.; Scolyer, R.A.; Willemze, R. WHO Classification of Skin Tumors; IARC: Lyon, France, 2018. [Google Scholar]
- Curiel-Lewandrowski, C.; Risk Factors for the Development of Melanoma. UpToDate. Available online: https://www.wolterskluwer.com/en/solutions/uptodate (accessed on 17 August 2021).
- Zhang, T.; Dutton-Regester, K.; Brown, K.M.; Hayward, N.K. The genomic landscape of cutaneous melanoma. Pigment. Cell Melanoma Res. 2016, 29, 266–283. [Google Scholar] [CrossRef] [PubMed]
- Scatena, C.; Murtas, D.; Tomei, S. Cutaneous Melanoma Classification: The Importance of High-Throughput Genomic Technologies. Front. Oncol. 2021, 11. [Google Scholar] [CrossRef] [PubMed]
- Majem, M.; Manzano, J.L.; Marquez-Rodas, I.; Mujika, K.; Muñoz-Couselo, E.; Pérez-Ruiz, E.; de la Cruz-Merino, L.; Espinosa, E.; Gonzalez-Cao, M.; Berrocal, A. SEOM clinical guideline for the management of cutaneous melanoma (2020). Clin. Transl. Oncol. 2021, 23, 948–960. [Google Scholar] [CrossRef] [PubMed]
- Salemi, R.; Falzone, L.; Madonna, G.; Polesel, J.; Cinà, D.; Mallardo, D.; Ascierto, P.A.; Libra, M.; Candido, S. MMP-9 as a Candidate Marker of Response to BRAF Inhibitors in Melanoma Patients With BRAFV600E Mutation Detected in Circulating-Free DNA. Front. Pharmacol. 2018, 9, 856. [Google Scholar] [CrossRef]
- Leonardi, G.C.; Candido, S.; Falzone, L.; Spandidos, D.A.; Libra, M. Cutaneous melanoma and the immunotherapy revolution (Review). Int. J. Oncol. 2020, 57, 609–618. [Google Scholar] [CrossRef]
- Burns, D.; George, J.; Aucoin, D.; Bower, J.; Burrell, S.; Gilbert, R.; Bower, N. The Pathogenesis and Clinical Management of Cutaneous Melanoma: An Evidence-Based Review. J. Med. Imaging Radiat. Sci. 2019, 50, 460–469.e1. [Google Scholar] [CrossRef]
- Yélamos, O.; Braun, R.P.; Liopyris, K.; Wolner, Z.J.; Kerl, K.; Gerami, P.; Marghoob, A.A. Dermoscopy and dermatopathology correlates of cutaneous neoplasms. J. Am. Acad. Dermatol. 2019, 80, 341–363. [Google Scholar] [CrossRef]
- Pizzichetta, M.A.; Stanganelli, I.; Bono, R.; Soyer, H.P.; Magi, S.; Canzonieri, V.; Lanzanova, G.; Annessi, G.; Massone, C.; Cerroni, L.; et al. Dermoscopic Features of Difficult Melanoma. Dermatol. Surg. 2007, 33, 91–99. [Google Scholar] [CrossRef] [PubMed]
- Zalaudek, I.; Nowotny, T.; Kittler, H.; Hofmann-Wellenhof, R.; Massone, C. The Brown and Black rule: A simple clue to differentiate common naevi from spitzoid neoplasms with a dermoscopic uniform globular (clod) pattern. J. Eur. Acad. Dermatol. Venereol. 2016, 30, 875–876. [Google Scholar] [CrossRef] [PubMed]
- Di Stefani, A.; Campbell, T.M.; Malvehy, J.; Massone, C.; Soyer, H.P.; Hofmann-Wellenhof, R. Shiny white streaks: An additional dermoscopic finding in melanomas viewed using contact polarised dermoscopy. Australas. J. Dermatol. 2010, 51, 295–298. [Google Scholar] [CrossRef]
- Marchetti, M.; Kiuru, M.; Busam, K.; Marghoob, A.; Scope, A.; Dusza, S.; Cordova, M.; Fonseca, M.; Wu, X.; Halpern, A. Melanocytic naevi with globular and reticular dermoscopic patterns display distinctBRAFV600E expression profiles and histopathological patterns. Br. J. Dermatol. 2014, 171, 1060–1065. [Google Scholar] [CrossRef] [PubMed]
- Zalaudek, I.; Guelly, C.; Pellacani, G.; Hofmann-Wellenhof, R.; Trajanoski, S.; Kittler, H.; Scope, A.; Marghoob, A.A.; Longo, C.; Leinweber, B.; et al. The Dermoscopical and Histopathological Patterns of Nevi Correlate with the Frequency of BRAF Mutations. J. Investig. Dermatol. 2011, 131, 542–545. [Google Scholar] [CrossRef] [PubMed]
- Tan, J.-M.; Tom, L.N.; Soyer, H.P.; Stark, M.S. Defining the Molecular Genetics of Dermoscopic Naevus Patterns. Dermatology 2018, 235, 19–34. [Google Scholar] [CrossRef] [PubMed]
- Yélamos, O.; Navarrete-Dechent, C.; Marchetti, M.A.; Rogers, T.; Apalla, Z.; Bahadoran, P.; Blázquez-Sánchez, N.; Busam, K.; Carrera, C.; Dusza, S.W.; et al. Clinical and dermoscopic features of cutaneous BAP1-inactivated melanocytic tumors: Results of a multicenter case-control study by the International Dermoscopy Society. J. Am. Acad. Dermatol. 2019, 80, 1585–1593. [Google Scholar] [CrossRef]
- Pizzichetta, M.A.; Canzonieri, V.; Soyer, H.P.; Rubegni, P.; Talamini, R.; Massone, C. Negative Pigment Network and Shiny White Streaks. Am. J. Dermatopathol. 2014, 36, 433–438. [Google Scholar] [CrossRef]
- Zalaudek, I.; Kittler, H.; Hofmann-Wellenhof, R.; Kreusch, J.; Longo, C.; Malvehy, J.; Puig, S.; Moscarella, E.; Piana, S.; Massone, C.; et al. “White” network in Spitz nevi and early melanomas lacking significant pigmentation. J. Am. Acad. Dermatol. 2013, 69, 56–60. [Google Scholar] [CrossRef]
- Tan, J.M.; Tom, L.N.; Jagirdar, K.; Lambie, D.; Schaider, H.; Sturm, R.A.; Soyer, H.P.; Stark, M. The BRAF and NRAS mutation prevalence in dermoscopic subtypes of acquired naevi reveals constitutive mitogen-activated protein kinase pathway activation. Br. J. Dermatol. 2018, 178, 191–197. [Google Scholar] [CrossRef]
- Fargnoli, M.; Sera, F.; Suppa, M.; Piccolo, D.; Landi, M.; Chiarugi, A.; Pellegrini, C.; Seidenari, S.; Peris, K. Dermoscopic features of cutaneous melanoma are associated with clinical characteristics of patients and tumours and with MC1R genotype. J. Eur. Acad. Dermatol. Venereol. 2014, 28, 1768–1775. [Google Scholar] [CrossRef]
- Pozzobon, F.; Puig-Butillé, J.; González-Alvarez, T.; Carrera, C.; Aguilera, P.; Alos, L.; Badenas, C.; Grichnik, J.; Malvehy, J.; Puig, S. Dermoscopic criteria associated with BRAF and NRAS mutation status in primary cutaneous melanoma. Br. J. Dermatol. 2014, 171, 754–759. [Google Scholar] [CrossRef]
- Gouillon, L.; Perier-Muzet, M.; Amini-Adle, M.; Poulalhon, N.; Debarbieux, S.; Boespflug, A.; Balme, B.; Depaepe, L.; Harou, O.; Lopez, J.; et al. Dermoscopic features in BRAF and NRAS primary cutaneous melanoma: Association with peppering and blue-white veil. J. Eur. Acad. Dermatol. Venereol. 2019, 34. [Google Scholar] [CrossRef] [PubMed]
- Tschandl, P.; Berghoff, A.S.; Preusser, M.; Burgstaller-Muehlbacher, S.; Pehamberger, H.; Okamoto, I.; Kittler, H. NRAS and BRAF Mutations in Melanoma-Associated Nevi and Uninvolved Nevi. PLoS ONE 2013, 8, e69639. [Google Scholar] [CrossRef]
- Deinlein, T.; Arzberger, E.; Zalaudek, I.; Massone, C.; Garcias-Ladaria, J.; Oliveira, A.; Schulter, G.; Hofmann-Wellenhof, R. Dermoscopic characteristics of melanoma according to the criteria “ulceration” and “mitotic rate” of the AJCC 2009 staging system for melanoma. PLoS ONE 2017, 12, e0174871. [Google Scholar] [CrossRef]
- Armengot-Carbó, M.; Nagore, E.; García-Casado, Z.; Botella-Estrada, R. The association between dermoscopic features and BRAF mutational status in cutaneous melanoma: Significance of the blue-white veil. J. Am. Acad. Dermatol. 2018, 78, 920–926.e4. [Google Scholar] [CrossRef] [PubMed]
- Zalaudek, I.; Kreusch, J.; Giacomel, J.; Ferrara, G.; Catricalà, C.; Argenziano, G. How to diagnose nonpigmented skin tumors: A review of vascular structures seen with dermoscopy: Part I. Melanocytic skin tumors. J. Am. Acad. Dermatol. 2010, 63, 361–374. [Google Scholar] [CrossRef] [PubMed]
- Pampena, R.; Lai, M.; Piana, S.; Lallas, A.; Pellacani, G.; Longo, C. Nevus-associated melanoma: Facts and controversies. G. Ital. Dermatol. Venereol. 2020, 155, 65–75. [Google Scholar] [CrossRef]
- Ponti, G.; Manfredini, M.; Tomasi, A.; Pellacani, G. Distinctive clinical and dermoscopic features of BRAF V600K mutated melanomas. Br. J. Dermatol. 2015, 172, 1438–1440. [Google Scholar] [CrossRef] [PubMed]
- Vanni, I.; Tanda, E.T.; Spagnolo, F.; Andreotti, V.; Bruno, W.; Ghiorzo, P. The Current State of Molecular Testing in the BRAF-Mutated Melanoma Landscape. Front. Mol. Biosci. 2020, 7, 113. [Google Scholar] [CrossRef] [PubMed]
- Tsao, H.; McCormick, S.R.; Inherited Susceptibility to Melanoma. UpToDate. Available online: https://www.wolterskluwer.com/en/solutions/uptodate (accessed on 26 July 2021).
- Longo, C.; Barquet, V.; Hernandez, E.; Marghoob, A.; Potrony, M.; Carrera, C.; Aguilera, P.; Badenas, C.; Malvehy, J.; Puig, S. Dermoscopy comparative approach for early diagnosis in familial melanoma: Influence of MC1R genotype. J. Eur. Acad. Dermatol. Venereol. 2021, 35, 403–410. [Google Scholar] [CrossRef]
- Ciccarese, G.; Dalmasso, B.; Bruno, W.; Queirolo, P.; Pastorino, L.; Andreotti, V.; Spagnolo, F.; Tanda, E.; Ponti, G.; Italian Melanoma Intergroup (I.M.I.); et al. Clinical, pathological and dermoscopic phenotype of MITF p.E318K carrier cutaneous melanoma patients. J. Transl. Med. 2020, 18, 78. [Google Scholar] [CrossRef] [PubMed]
- De Giorgi, V.; Savarese, I.; D’Errico, A.; Gori, A.; Papi, F.; Colombino, M.; Sini, M.C.; Stanganelli, I.; Palmieri, G.; Massi, D. CDKN2A mutations could influence the dermoscopic pattern of presentation of multiple primary melanoma: A clinical dermoscopic genetic study. J. Eur. Acad. Dermatol. Venereol. 2015, 29, 574–580. [Google Scholar] [CrossRef]
- Cuéllar, F.; Puig, S.; Kolm, I.; Puig-Butille, J.; Zaballos, P.; Martí-Laborda, R.; Badenas, C.; Malvehy, J. Dermoscopic features of melanomas associated withMC1Rvariants in SpanishCDKN2Amutation carriers. Br. J. Dermatol. 2009, 160, 48–53. [Google Scholar] [CrossRef]
- Pellegrini, C.; Botta, F.; Massi, D.; Martorelli, C.; Facchetti, F.; Gandini, S.; Maisonneuve, P.; Avril, M.-F.; Demenais, F.; Paillerets, B.B.-D.; et al. MC1R variants in childhood and adolescent melanoma: A retrospective pooled analysis of a multicentre cohort. Lancet Child Adolesc. Health 2019, 3, 332–342. [Google Scholar] [CrossRef]
- Swetter, S.; Geller, A.C.; Melanoma: Clinical Features and Diagnosis. UpToDate. Available online: https://www.wolterskluwer.com/en/solutions/uptodate (accessed on 25 May 2021).
- Ferrara, G.; Argenziano, G. The WHO 2018 Classification of Cutaneous Melanocytic Neoplasms: Suggestions From Routine Practice. Front. Oncol. 2021, 11, 675296. [Google Scholar] [CrossRef] [PubMed]
- Romano, V.; Belviso, I.; Venuta, A.; Ruocco, M.; Masone, S.; Aliotta, F.; Fiume, G.; Montagnani, S.; Avagliano, A.; Arcucci, A. Influence of Tumor Microenvironment and Fibroblast Population Plasticity on Melanoma Growth, Therapy Resistance and Immunoescape. Int. J. Mol. Sci. 2021, 22, 5283. [Google Scholar] [CrossRef]
- Indini, A.; Grossi, F.; Mandalà, M.; Taverna, D.; Audrito, V. Metabolic Interplay between the Immune System and Melanoma Cells: Therapeutic Implications. Biomedicines 2021, 9, 607. [Google Scholar] [CrossRef] [PubMed]
- Napoli, S.; Scuderi, C.; Gattuso, G.; Di Bella, V.; Candido, S.; Basile, M.S.; Libra, M.; Falzone, L. Functional Roles of Matrix Metalloproteinases and Their Inhibitors in Melanoma. Cells 2020, 9, 1151. [Google Scholar] [CrossRef]
- Viros, A.; Fridlyand, J.; Bauer, J.; Lasithiotakis, K.; Garbe, C.; Pinkel, D.; Bastian, B.C. Improving Melanoma Classification by Integrating Genetic and Morphologic Features. PLoS Med. 2008, 5, e120. [Google Scholar] [CrossRef]
- Broekaert, S.M.C.; Roy, R.; Okamoto, I.; Oord, J.V.D.; Bauer, J.; Garbe, C.; Barnhill, R.L.; Busam, K.J.; Cochran, A.J.; Cook, M.G.; et al. Genetic and morphologic features for melanoma classification. Pigment. Cell Melanoma Res. 2010, 23, 763–770. [Google Scholar] [CrossRef]
- Shi, K.; Kim, D.; Mohan, L.S.; Garfield, E.M.; Quan, V.L.; Zhang, B.; Panah, E.; Compres, E.V.; Khan, A.U.; Gerami, P. A retrospective cohort study of the diagnostic value of different subtypes of atypical pigment network on dermoscopy. J. Am. Acad. Dermatol. 2020, 83, 1028–1034. [Google Scholar] [CrossRef] [PubMed]
- Borsari, S.; Peccerillo, F.; Pampena, R.; Lai, M.; Spadafora, M.; Moscarella, E.; Lallas, A.; Pizzichetta, M.; Zalaudek, I.; Del Regno, L.; et al. The presence of eccentric hyperpigmentation should raise the suspicion of melanoma. J. Eur. Acad. Dermatol. Venereol. 2020, 34, 2802–2808. [Google Scholar] [CrossRef]
- Borsari, S.; Longo, C.; Ferrari, C.; Benati, E.; Bassoli, S.; Schianchi, S.; Giusti, F.; Cesinaro, A.M.; Pellacani, G.; Seidenari, S. Dermoscopic Island. Arch. Dermatol. 2010, 146, 1257–1262. [Google Scholar] [CrossRef] [PubMed][Green Version]
- Ferrara, G.; Zalaudek, I.; Argenziano, G. Lentiginous melanoma: A distinctive clinicopathological entity. Histopathology 2008, 52, 523–525. [Google Scholar] [CrossRef] [PubMed]
- Apalla, Z.; Nikolaidou, C.; Lallas, A.; Sotiriou, E.; Lazaridou, E.; Venizelos, I.; Bobos, M.; Efstratios, E.; Ioannides, D.; Ferrara, G. Clinicopathologically problematic melanocytic tumors: A case-based review. Dermatol. Pr. Concept. 2018, 8, 306–313. [Google Scholar] [CrossRef] [PubMed]
- Lallas, A.; Longo, C.; Manfredini, M.; Benati, E.; Babino, G.; Chinazzo, C.; Apalla, Z.; Papageorgiou, C.; Moscarella, E.; Kyrgidis, A.; et al. Accuracy of Dermoscopic Criteria for the Diagnosis of Melanoma In Situ. JAMA Dermatol. 2018, 154, 414–419. [Google Scholar] [CrossRef] [PubMed]
- Suzuki, N.; Dalapicola, M.; Argenziano, G.; Lallas, A.; Longo, C.; Piana, S.; Ferrara, G.; Raucci, M.; Moscarella, E. Halo and pseudo-halo melanoma. J. Am. Acad. Dermatol. 2016, 74, e59–e61. [Google Scholar] [CrossRef]
- Megaris, A.; Lallas, A.; Bagolini, L.P.; Balais, G.; Gonzalez-Cuevas, R.; Lallas, K.; Gkentsidi, T.; Manoli, S.-M.; Papageorgiou, C.; Spyridis, I.; et al. Dermoscopy features of melanomas with a diameter up to 5 mm (micromelanomas): A retrospective study. J. Am. Acad. Dermatol. 2020, 83. [Google Scholar] [CrossRef]
- Richtig, G.; Richtig, E.; Massone, C.; Hofmann-Wellenhof, R. Analysis of clinical, dermoscopic and histopathological features of primary melanomas of patients with metastatic disease—A retrospective study at the Department of Dermatology, Medical University of Graz, 2000–2010. J. Eur. Acad. Dermatol. Venereol. 2014, 28, 1776–1781. [Google Scholar] [CrossRef] [PubMed]
- Menzies, S.W.; Kreusch, J.; Byth, K.; Pizzichetta, M.A.; Marghoob, A.; Braun, R.P.; Malvehy, J.; Puig, S.; Argenziano, G.; Zalaudek, I.; et al. Dermoscopic Evaluation of Amelanotic and Hypomelanotic Melanoma. Arch. Dermatol. 2008, 144, 1120–1127. [Google Scholar] [CrossRef] [PubMed]
- Sgouros, D.; Lallas, A.; Kittler, H.; Zarras, A.; Kyrgidis, A.; Papageorgiou, C.; Puig, S.; Scope, A.; Argenziano, G.; Zalaudek, I.; et al. Dermatoscopic features of thin (≤2 mm Breslow thickness) vs. thick (>2 mm Breslow thickness) nodular melanoma and predictors of nodular melanoma versus nodular non-melanoma tumours: A multicentric collaborative study by the International Dermoscopy Society. J. Eur. Acad. Dermatol. Venereol. 2020, 34, 2541–2547. [Google Scholar] [CrossRef]
- Pizzichetta, M.; Talamini, R.; Stanganelli, I.; Puddu, P.; Bono, R.; Argenziano, G.; Veronesi, A.; Trevisan, G.; Rabinovitz, H.; Soyer, H.P. Amelanotic/hypomelanotic melanoma: Clinical and dermoscopic features. Br. J. Dermatol. 2004, 150, 1117–1124. [Google Scholar] [CrossRef]
- Pizzichetta, M.; Kittler, H.; Stanganelli, I.; Ghigliotti, G.; Corradin, M.; Rubegni, P.; Cavicchini, S.; de Giorgi, V.; Bono, R.; Alaibac, M.; et al. Dermoscopic diagnosis of amelanotic/hypomelanotic melanoma. Br. J. Dermatol. 2017, 177, 538–540. [Google Scholar] [CrossRef] [PubMed]
- Zalaudek, I.; Conforti, C.; Guarneri, F.; Vezzoni, R.; Deinlein, T.; Hofmann-Wellenhof, R.; Longo, C.; Moscarella, E.; Kittler, H.; Argenziano, G.; et al. Clinical and dermoscopic characteristics of congenital and noncongenital nevus-associated melanomas. J. Am. Acad. Dermatol. 2020, 83, 1080–1087. [Google Scholar] [CrossRef] [PubMed]
- Pampena, R.; Kyrgidis, A.; Lallas, A.; Moscarella, E.; Argenziano, G.; Longo, C. A meta-analysis of nevus-associated melanoma: Prevalence and practical implications. J. Am. Acad. Dermatol. 2017, 77, 938–945.e4. [Google Scholar] [CrossRef]
- Caccavale, S.; Calabrese, G.; Mattiello, E.; Broganelli, P.; Ramondetta, A.; Pieretti, G.; Alfano, R.; Argenziano, G. Cutaneous Melanoma Arising in Congenital Melanocytic Nevus: A Retrospective Observational Study. Dermatology 2021, 237, 473–478. [Google Scholar] [CrossRef]
- Kiuru, M.; Tartar, D.M.; Qi, L.; Chen, D.; Yu, L.; Konia, T.; McPherson, J.; Murphy, W.J.; Fung, M.A. Improving classification of melanocytic nevi: Association of BRAF V600E expression with distinct histomorphologic features. J. Am. Acad. Dermatol. 2018, 79, 221–229. [Google Scholar] [CrossRef]
- Sullivan, R.J.; Fisher, D.E.; The Molecular Biology of Melanoma. UpToDate. Available online: https://www.wolterskluwer.com/en/solutions/uptodate (accessed on 25 May 2021).
- Shain, A.H.; Yeh, I.; Kovalyshyn, I.; Sriharan, A.; Talevich, E.; Gagnon, A.; Dummer, R.; North, J.P.; Pincus, L.B.; Ruben, B.S.; et al. The Genetic Evolution of Melanoma from Precursor Lesions. N. Engl. J. Med. 2015, 373, 1926–1936. [Google Scholar] [CrossRef] [PubMed]
- Di Stefani, A.; Massone, C.; Soyer, H.P.; Zalaudek, I.; Argenziano, G.; Arzberger, E.; Lozzi, G.; Chimenti, S.; Hofmann-Wellenhof, R. Benign dermoscopic features in melanoma. J. Eur. Acad. Dermatol. Venereol. 2013, 28, 799–804. [Google Scholar] [CrossRef]
- Shitara, D.; Nascimento, M.; Ishioka, P.; Carrera, C.; Alós, L.; Malvehy, J.; Puig, S. Dermoscopy of Naevus-associated Melanomas. Acta Derm. Venereol. 2015, 95, 671–675. [Google Scholar] [CrossRef] [PubMed]
- Reiter, O.; Chousakos, E.; Kurtansky, N.; Nanda, J.; Dusza, S.; Marchetti, M.; Jaimes, N.; Moraes, A.; Marghoob, A. Association between the dermoscopic morphology of peripheral globules and melanocytic lesion diagnosis. J. Eur. Acad. Dermatol. Venereol. 2021, 35, 892–899. [Google Scholar] [CrossRef] [PubMed]
- Iznardo, H.; Garcia-Melendo, C.; Yélamos, O. Lentigo Maligna: Clinical Presentation and Appropriate Management. Clin. Cosmet. Investig. Dermatol. 2020, 13, 837–855. [Google Scholar] [CrossRef]
- Weigert, U.; Stolz, W. Melanoma on the face. In Melanocytic Lesions of the Skin; Soyer, H.P., Argenziano, G., Hofmann-Wellenhof, R., Johr, R., Eds.; Springer: Berlin/Heidelberg, Germany, 2007; pp. 22–38. [Google Scholar]
- Schiffner, R.; Schiffner-Rohe, J.; Vogt, T.; Landthaler, M.; Wlotzke, U.; Cognetta, A.B.; Stolz, W. Improvement of early recognition of lentigo maligna using dermatoscopy. J. Am. Acad. Dermatol. 2000, 42, 25–32. [Google Scholar] [CrossRef]
- Jaimes, N.; Marghoob, A.A.; Rabinovitz, H.; Braun, R.P.; Cameron, A.; Rosendahl, C.; Canning, G.; Keir, J. Clinical and dermoscopic characteristics of melanomas on nonfacial chronically sun-damaged skin. J. Am. Acad. Dermatol. 2015, 72, 1027–1035. [Google Scholar] [CrossRef]
- Bagolini, L.P.; Apalla, Z.; Gonzalez-Cuevas, R.; Lallas, K.; Papageorgiou, C.; Bobos, M.; Manoli, S.M.; Gkentsidi, T.; Spyridis, I.; Lazaridou, E.; et al. Dermoscopic predictors to discriminate between in situ and early invasive lentigo maligna melanoma: A retrospective observational study. J. Am. Acad. Dermatol. 2020, 83, 269–271. [Google Scholar] [CrossRef]





| Melanoma | Genomic Mutations and/or Aberrations |
|---|---|
| Melanoma on intermittently sun exposed skin (Low-CSD melanoma) |
|
| Familial melanoma |
|
| Nevus associated melanoma |
|
| Melanoma on chronically sun exposed skin (High-CSD melanoma) |
|
| Melanoma | Histopathologic Features | Dermoscopic Features | Genomic Mutations and/or Aberrations |
|---|---|---|---|
| Early superficial spreading melanoma | Increased upward scatter and nest formation of intraepidermal melanocytes, thickening of the involved epidermis, sharp demarcation from the surrounding skin, a pigmented tumor cells | Atypical pigment network |
|
| Small irregular nests of atypical melanocytes and collections of melanin | Irregular dots |
| |
| Peripheral, confluent, and heavily pigmented junctional (or in the papillary dermis) nests of melanocytes | Irregular streaks |
| |
| Large irregular nests of atypical melanocytes at the DEJ or in the superficial dermis | Irregular globules |
| |
| Heavily pigmented melanin at all levels of the epidermis (but predominantly in stratum corneum) and/or in the superficial dermis | Irregular hyperpigmented areas |
| |
| Areas of fibrosis with thickened collagen fibers in the dermis and/or variable amounts of melanophages | Regression
|
| |
| Invasive superficial spreading melanoma | Acanthotic epidermis with compact orthokeratosis and more or less pronounced hypergranulosis above sheets of heavily pigmented atypical melanocytes and/or melanophages in the superficial dermis | Blue whitish veil |
|
| Undulation/superficial invagination of the epidermis, compact orto-hyperkeratosis, and alteration of the superficial dermis | Shiny white streaks |
| |
| Neoangiogenesis | Atypical vessels, polymorphous vessels, and milky red areas |
Publisher’s Note: MDPI stays neutral with regard to jurisdictional claims in published maps and institutional affiliations. |
© 2021 by the authors. Licensee MDPI, Basel, Switzerland. This article is an open access article distributed under the terms and conditions of the Creative Commons Attribution (CC BY) license (https://creativecommons.org/licenses/by/4.0/).
Share and Cite
Massone, C.; Hofman-Wellenhof, R.; Chiodi, S.; Sola, S. Dermoscopic Criteria, Histopathological Correlates and Genetic Findings of Thin Melanoma on Non-Volar Skin. Genes 2021, 12, 1288. https://doi.org/10.3390/genes12081288
Massone C, Hofman-Wellenhof R, Chiodi S, Sola S. Dermoscopic Criteria, Histopathological Correlates and Genetic Findings of Thin Melanoma on Non-Volar Skin. Genes. 2021; 12(8):1288. https://doi.org/10.3390/genes12081288
Chicago/Turabian StyleMassone, Cesare, Rainer Hofman-Wellenhof, Stefano Chiodi, and Simona Sola. 2021. "Dermoscopic Criteria, Histopathological Correlates and Genetic Findings of Thin Melanoma on Non-Volar Skin" Genes 12, no. 8: 1288. https://doi.org/10.3390/genes12081288
APA StyleMassone, C., Hofman-Wellenhof, R., Chiodi, S., & Sola, S. (2021). Dermoscopic Criteria, Histopathological Correlates and Genetic Findings of Thin Melanoma on Non-Volar Skin. Genes, 12(8), 1288. https://doi.org/10.3390/genes12081288
