Nitric Oxide Synthase Dependency in Hydroxyurea Inhibition of Erythroid Progenitor Growth
Abstract
1. Introduction
2. Materials and Methods
2.1. The Two-Phase Liquid Erythroid Cell Cultures
2.2. Human Erythroleukemic K562 Cell Cultures
2.3. DNA Cell Cycle Analysis
2.4. Immunoblotting
2.5. Immunocytochemistry
2.6. Measurement of Nitric Oxide Synthase Activity
2.7. Measurement of NO Levels
2.8. Colony Forming Assays
2.9. Hematologic Parameters
2.10. Statistical Analysis
3. Results
3.1. Effects of NO Donors and Hydroxyurea on Erythroid Cell Growth and Proliferation
3.2. Hydroxyurea Induction of NOS Activity in Erythroleukemic K562 Cells
3.3. Effects of NO Donors and Hydroxyurea on Cell Cycle and Apoptosis
3.4. Effects of Hydroxyurea and NO Metabolites on Myeloid Progenitor Growth
3.5. Hydroxyurea and NO Effects on Bone Marrow and Peripheral Blood of Mice
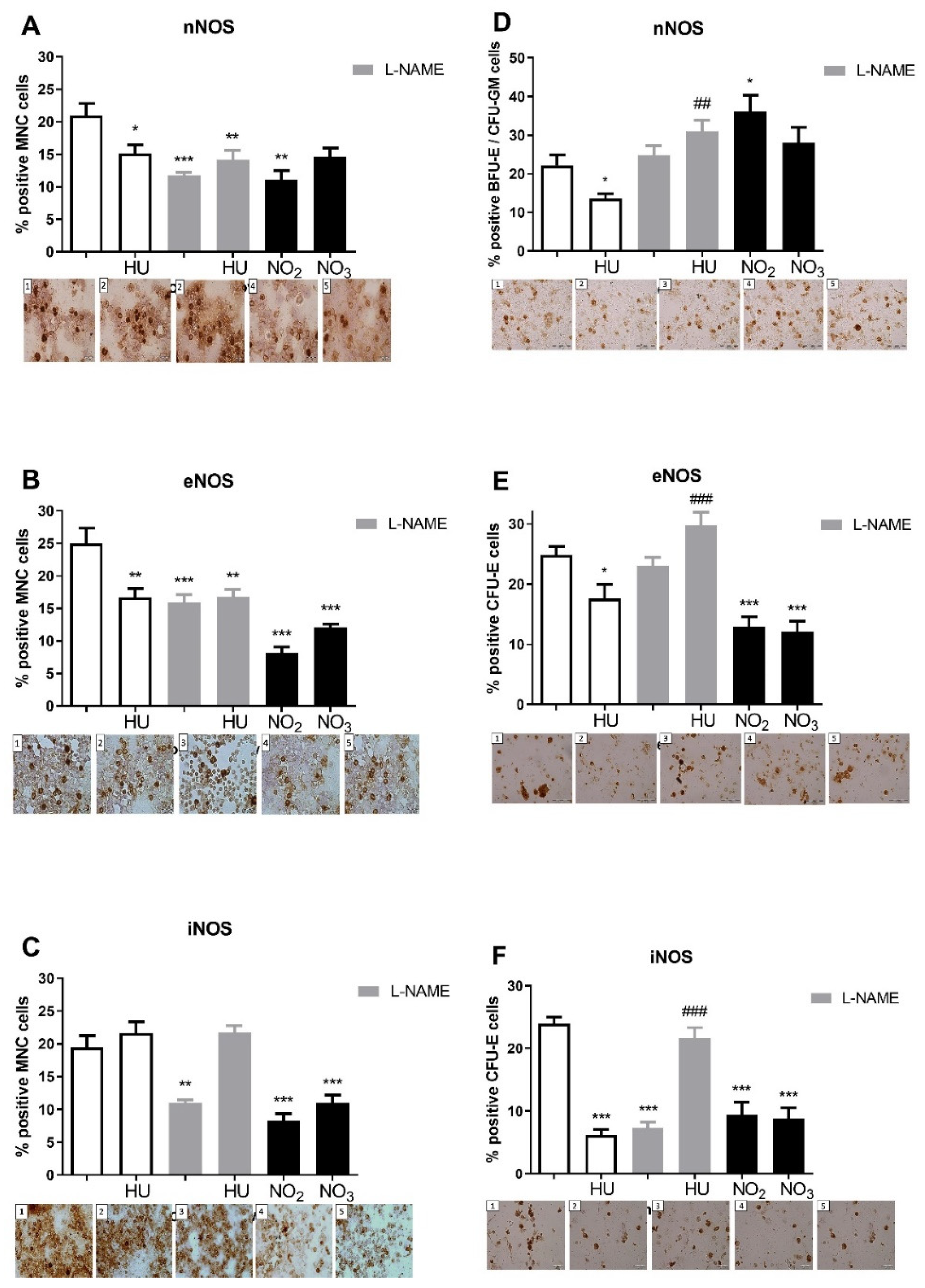
3.6. NOS Isoforms Level in Bone Marrow Cells and Erythroid Progenitors after Hydroxyurea and NO Metabolites Treatment
4. Discussion
5. Conclusions
Supplementary Materials
Author Contributions
Funding
Institutional Review Board Statement
Informed Consent Statement
Data Availability Statement
Acknowledgments
Conflicts of Interest
References
- Lassmann, G.; Thelander, L.; Graslund, A. EPR stopped-flow studies of the reaction of the tyrosyl radical of protein R2 from ribonucleotide reductase with hydroxyurea. Biochem. Biophys. Res. Commun. 1992, 188, 879–887. [Google Scholar] [CrossRef]
- Gladwin, M.T.; Shelhamer, J.H.; Ognibene, F.P.; Pease-Fye, M.E.; Nichols, J.S.; Link, B.; Patel, D.B.; Jankowski, M.A.; Pannell, L.K.; Schechter, A.N.; et al. Nitric oxide donor properties of hydroxyurea in patients with sickle cell disease. Br. J. Haematol. 2002, 116, 436–444. [Google Scholar] [CrossRef] [PubMed]
- Huang, J.; Sommers, E.M.; Kim-Shapiro, D.B.; King, S.B. Horseradish peroxidase catalyzed nitric oxide formation from hydroxyurea. J. Am. Chem. Soc. 2002, 124, 3473–3480. [Google Scholar] [CrossRef]
- Huang, J.; Kim-Shapiro, D.B.; King, S.B. Catalase-mediated nitric oxide formation from hydroxyurea. J. Med. Chem. 2004, 47, 3495–3501. [Google Scholar] [CrossRef]
- Sakano, K.; Oikawa, S.; Hasegawa, K.; Kawanishi, S. Hydroxyurea induces site-specific DNA damage via formation of hydrogen peroxide and nitric oxide. Jpn. J. Cancer. Res. 2001, 92, 1166–1174. [Google Scholar] [CrossRef] [PubMed]
- Lemaire, G.; Alvarez-Pachon, F.J.; Beuneu, C.; Lepoivre, M.; Petit, J.F. Differential cytostatic effects of NO donors and NO producing cells. Free. Radic. Biol. Med. 1999, 26, 1274–1283. [Google Scholar] [CrossRef]
- Reykdal, S.; Abboud, C.; Liesveld, J. Effect of nitric oxide production and oxygen tension on progenitor preservation in ex vivo culture. Exp. Hematol. 1999, 27, 441–450. [Google Scholar] [CrossRef]
- Shami, P.J.; Weinberg, J.B. Differential effects of nitric oxide on erythroid and myeloid colony growth from CD34+ human bone marrow cells. Blood 1996, 87, 977–982. [Google Scholar] [CrossRef]
- Maciejewski, J.P.; Selleri, C.; Sato, T.; Cho, H.J.; Keefer, L.K.; Nathan, C.F.; Young, N.S. Nitric oxide suppression of human hematopoiesis in vitro. Contribution to inhibitory action of interferon-gamma and tumor necrosis factor-alpha. J. Clin. Investig. 1995, 96, 1085–1092. [Google Scholar] [CrossRef][Green Version]
- Yang, Y.M.; Pace, B.; Kitchens, D.; Ballas, S.K.; Shah, A.; Baliga, B.S. BFU-E colony growth in response to hydroxyurea: Correlation between in vitro and in vivo fetal hemoglobin induction. Am. J. Hematol. 1997, 56, 252–258. [Google Scholar] [CrossRef]
- Mankad, V.N.; Baliga, S.; Phillips, K.; Shah, A.K.; Yang, Y.M. Relationship of burst-forming-unit-erythroid progenitors and their DNA-synthesis stage to fetal hemoglobin levels in hydroxyurea-treated patients with sickle cell anemia. Am. J. Hematol. 1994, 46, 259–263. [Google Scholar] [CrossRef]
- Lou, T.F.; Singh, M.; Mackie, A.; Li, W.; Pace, B.S. Hydroxyurea generates nitric oxide in human erythroid cells: Mechanisms for gamma-globin gene activation. Exp. Biol. Med. 2009, 234, 1374–1382. [Google Scholar] [CrossRef]
- Čokić, V.P.; Smith, R.D.; Beleslin-Čokić, B.B.; Njoroge, J.M.; Miller, J.L.; Gladwin, M.T.; Schechter, A.N. Hydroxyurea induces fetal hemoglobin by the nitric oxide-dependent activation of soluble guanylyl cyclase. J. Clin. Investig. 2003, 111, 231–239. [Google Scholar] [CrossRef] [PubMed]
- Baliga, B.S.; Haynes, J., Jr.; Obiako, B.; Mishra, N. Combined effects of arginine and hydroxyurea on BFU-E derived colony growth and HbF synthesis in erythroid progenitors isolated from sickle cell blood. Cell. Mol. Biol. 2010, 56, 1290–1298. [Google Scholar]
- Čokić, V.P.; Andrić, S.A.; Stojilković, S.S.; Noguchi, C.T.; Schechter, A.N. Hydroxyurea nitrosylates and activates soluble guanylyl cyclase in human erythroid cells. Blood 2008, 111, 1117–1123. [Google Scholar] [CrossRef]
- Čokić, V.P.; Beleslin-Čokić, B.B.; Tomić, M.; Stojilković, S.S.; Noguchi, C.T.; Schechter, A.N. Hydroxyurea induces the eNOS-cGMP pathway in endothelial cells. Blood 2006, 108, 184–191. [Google Scholar] [CrossRef] [PubMed]
- Čokić, V.P.; Beleslin-Čokić, B.B.; Noguchi, C.T.; Schechter, A.N. Hydroxyurea increases eNOS protein levels through inhibition of proteasome activity. Nitric. Oxide. 2007, 16, 371–378. [Google Scholar] [CrossRef] [PubMed]
- Cella, G.; Marchetti, M.; Vianello, F.; Panova-Noeva, M.; Vignoli, A.; Russo, L.; Barbui, T.; Falanga, A. Nitric oxide derivatives and soluble plasma selectins in patients with myeloproliferative neoplasms. Thromb. Haemost. 2010, 104, 151–156. [Google Scholar] [CrossRef]
- Morris, C.R.; Vichinsky, E.P.; van Warmerdam, J.; Machado, L.; Kepka-Lenhart, D.; Morris, S.M.; Kuypers, F.A. Hydroxyurea and arginine therapy: Impact on nitric oxide production in sickle cell disease. J. Pediatr. Hematol. Oncol. 2003, 25, 629–634. [Google Scholar] [CrossRef]
- Iyamu, E.W.; Cecil, R.; Parkin, L.; Woods, G.; Ohene-Frempong, K.; Asakura, T. Modulation of erythrocyte arginase activity in sickle cell disease patients during hydroxyurea therapy. Br. J. Haematol. 2005, 131, 389–394. [Google Scholar] [CrossRef]
- Lockwood, S.Y.; Erkal, J.L.; Spence, D.M. Endothelium-derived nitric oxide production is increased by ATP released from red blood cells incubated with hydroxyurea. Nitric. Oxide 2014, 38, 1–7. [Google Scholar] [CrossRef]
- da Guarda, C.C.; Santiago, R.P.; Pitanga, T.N.; Santana, S.S.; Zanette, D.L.; Borges, V.M.; Goncalves, M.S. Heme changes HIF-α, eNOS and nitrite production in HUVECs after simvastatin, HU, and ascorbic acid therapies. Microvasc. Res. 2016, 106, 128–136. [Google Scholar] [CrossRef]
- Gallastegui, N.; Beck, P.; Arciniega, M.; Huber, R.; Hillebrand, S.; Groll, M. Hydroxyureas as noncovalent proteasome inhibitors. Angew. Chem. Int. Engl. 2012, 51, 247–249. [Google Scholar] [CrossRef] [PubMed]
- Almeida, C.B.; Scheiermann, C.; Jang, J.E.; Prophete, C.; Costa, F.F.; Conran, N.; Frenette, P.S. Hydroxyurea and a cGMP-amplifying agent have immediate benefits on acute vaso-occlusive events in sickle cell disease mice. Blood 2012, 120, 2879–2888. [Google Scholar] [CrossRef] [PubMed]
- Barazia, A.; Li, J.; Kim, K.; Shabrani, N.; Cho, J. Hydroxyurea with AKT2 inhibition decreases vaso-occlusive events in sickle cell disease mice. Blood 2015, 126, 2511–2517. [Google Scholar] [CrossRef] [PubMed]
- Takagi, K.; Isobe, Y.; Yasukawa, K.; Okouchi, E.; Suketa, Y. Nitric oxide blocks the cell cycle of mouse macrophage-like cells in the early G2+M phase. FEBS. Lett. 1994, 340, 159–162. [Google Scholar] [CrossRef]
- Sarkar, R.; Gordon, D.; Stanley, J.C.; Webb, R.C. Cell cycle effects of nitric oxide on vascularsmooth muscle cells. Am. J. Physiol. 1997, 272, H1810–H1818. [Google Scholar]
- Ho, J.A.; Pickens, C.V.; Gamcsik, M.P.; Colvin, O.M.; Ware, R.E. In vitro induction of fetal hemoglobin in human erythroid progenitor cells. Exp. Hematol. 2003, 31, 586–591. [Google Scholar] [CrossRef]
- Mayhew, C.N.; Phillips, J.D.; Greenberg, R.N.; Birch, N.J.; Elford, H.L.; Gallicchio, V.S. In vivo and in vitro comparison of the short-term hematopoietic toxicity between hydroxyurea and trimidox or didox, novel ribonucleotide reductase inhibitors with potential anti-HIV-1 activity. Stem. Cells 1999, 17, 345–356. [Google Scholar] [CrossRef]
- Iyamu, W.E.; Adunyah, S.E.; Fasold, H.; Horiuchi, K.; Elford, H.L.; Asakura, T.; Turner, E.A. Enhancement of hemoglobin and F-cell production by targeting growth inhibition and differentiation of K562 cells with ribonucleotide reductase inhibitors (didox and trimidox) in combination with streptozotocin. Am. J. Hematol. 2000, 63, 176–183. [Google Scholar] [CrossRef]
- Helms, C.; Kim-Shapiro, D.B. Hemoglobin-mediated nitric oxide signaling. Free. Radic. Biol. Med. 2013, 61, 464–472. [Google Scholar] [CrossRef] [PubMed]
- Chalikiopoulou, C.; Tavianatou, A.G.; Sgourou, A.; Kourakli, A.; Kelepouri, D.; Chrysanthakopoulou, M.; Kanelaki, V.K.; Mourdoukoutas, E.; Siamoglou, S.; John, A.; et al. Genomic variants in the ASS1 gene, involved in the nitric oxide biosynthesis and signaling pathway, predict hydroxyurea treatment efficacy in compound sickle cell disease/beta-thalassemia patients. Pharmacogenomics 2016, 17, 393–403. [Google Scholar] [CrossRef] [PubMed]
- Ikuta, T.; Sellak, H.; Odo, N.; Adekile, A.D.; Gaensler, K.M. Nitric Oxide-cGMP Signaling Stimulates Erythropoiesis through Multiple Lineage-Specific Transcription Factors: Clinical Implications and a Novel Target for Erythropoiesis. PLoS ONE 2016, 11, e0144561. [Google Scholar] [CrossRef] [PubMed]
- Yoshida, K.; Kasama, K.; Kitabatake, M.; Imai, M. Biotransformation of nitric oxide, nitrite and nitrate. Int. Arch. Occup. Environ. Health 1983, 52, 103–115. [Google Scholar] [CrossRef]
- Borba, R.; Lima, C.S.; Grotto, H.Z. Reticulocyte parameters and hemoglobin F production in sickle cell disease patients undergoing hydroxyurea therapy. J. Clin. Lab. Anal. 2003, 17, 66–72. [Google Scholar] [CrossRef]
- Subotički, T.; Mitrović Ajtić, O.; Beleslin-Čokić, B.B.; Nienhold, R.; Diklić, M.; Djikić, D.; Leković, D.; Bulat, T.; Marković, D.; Gotić, M.; et al. Angiogenic factors are increased in circulating granulocytes and CD34+ cells of myeloproliferative neoplasms. Mol. Carcinog. 2017, 56, 567–579. [Google Scholar] [CrossRef]
- Lanaro, C.; Franco-Penteado, C.F.; Albuqueque, D.M.; Saad, S.T.; Conran, N.; Costa, F.F. Altered levels of cytokines and inflammatory mediators in plasma and leukocytes of sickle cell anemia patients and effects of hydroxyurea therapy. J. Leukoc. Biol. 2009, 85, 235–242. [Google Scholar] [CrossRef]







| Treatment | Leukocytes (×109/L) | Erythrocytes (×1012/L) | Hemoglobin % | Hematocrit | Reticulocytes | Thrombocytes (×105) |
|---|---|---|---|---|---|---|
| Control | 7.6 ± 1.9 | 6.3 ± 0.7 | 17.5 ± 2.2 | 46.3 ± 2.7 | 67.5 ± 8 | 10.8 ± 1 |
| HU | 6 ± 1.8 * | 5.3 ± 1.5 | 16.5 ± 2.2 | 44.8 ± 2.1 | 21.5 ± 1 *** | 2.3 ± 0.6 *** |
| L-NAME | 5 ± 0.6 * | 4.9 ± 0.2 * | 16.4 ± 3.2 | 48.2 ± 1.1 | 30.6 ± 7 *** | 5.9 ± 2.8 *** |
| HU + L-NAME | 4.8 ± 0.9 *** | 5.5 ± 0.3 | 17.5 ± 1 | 43.2 ± 3.8 | 39.5 ± 8 ** | 3.4 ± 0.6 *** |
| NO2 | 7.7 ± 1.5 | 5.6 ± 0.6 | 19.1 ± 1.4 | 45.1 ± 1.7 | 90.5 ± 10 * | 9.1 ± 0.6 |
| NO3 | 6.5 ± 1.1 | 5.5 ± 0.6 | 18.8 ± 1.4 | 42.7 ± 3.4 | 167 ± 23 *** | 8 ± 0.3 |
Publisher’s Note: MDPI stays neutral with regard to jurisdictional claims in published maps and institutional affiliations. |
© 2021 by the authors. Licensee MDPI, Basel, Switzerland. This article is an open access article distributed under the terms and conditions of the Creative Commons Attribution (CC BY) license (https://creativecommons.org/licenses/by/4.0/).
Share and Cite
Subotički, T.; Ajtić, O.M.; Đikić, D.; Santibanez, J.F.; Tošić, M.; Čokić, V.P. Nitric Oxide Synthase Dependency in Hydroxyurea Inhibition of Erythroid Progenitor Growth. Genes 2021, 12, 1145. https://doi.org/10.3390/genes12081145
Subotički T, Ajtić OM, Đikić D, Santibanez JF, Tošić M, Čokić VP. Nitric Oxide Synthase Dependency in Hydroxyurea Inhibition of Erythroid Progenitor Growth. Genes. 2021; 12(8):1145. https://doi.org/10.3390/genes12081145
Chicago/Turabian StyleSubotički, Tijana, Olivera Mitrović Ajtić, Dragoslava Đikić, Juan F. Santibanez, Milica Tošić, and Vladan P. Čokić. 2021. "Nitric Oxide Synthase Dependency in Hydroxyurea Inhibition of Erythroid Progenitor Growth" Genes 12, no. 8: 1145. https://doi.org/10.3390/genes12081145
APA StyleSubotički, T., Ajtić, O. M., Đikić, D., Santibanez, J. F., Tošić, M., & Čokić, V. P. (2021). Nitric Oxide Synthase Dependency in Hydroxyurea Inhibition of Erythroid Progenitor Growth. Genes, 12(8), 1145. https://doi.org/10.3390/genes12081145

