De Novo 1q21.3q22 Duplication Revaluation in a “Cold” Complex Neuropsychiatric Case with Syndromic Intellectual Disability
Abstract
1. Introduction
2. Material and Methods
2.1. Patient
2.2. Molecular Analysis
3. Results
3.1. Case Report
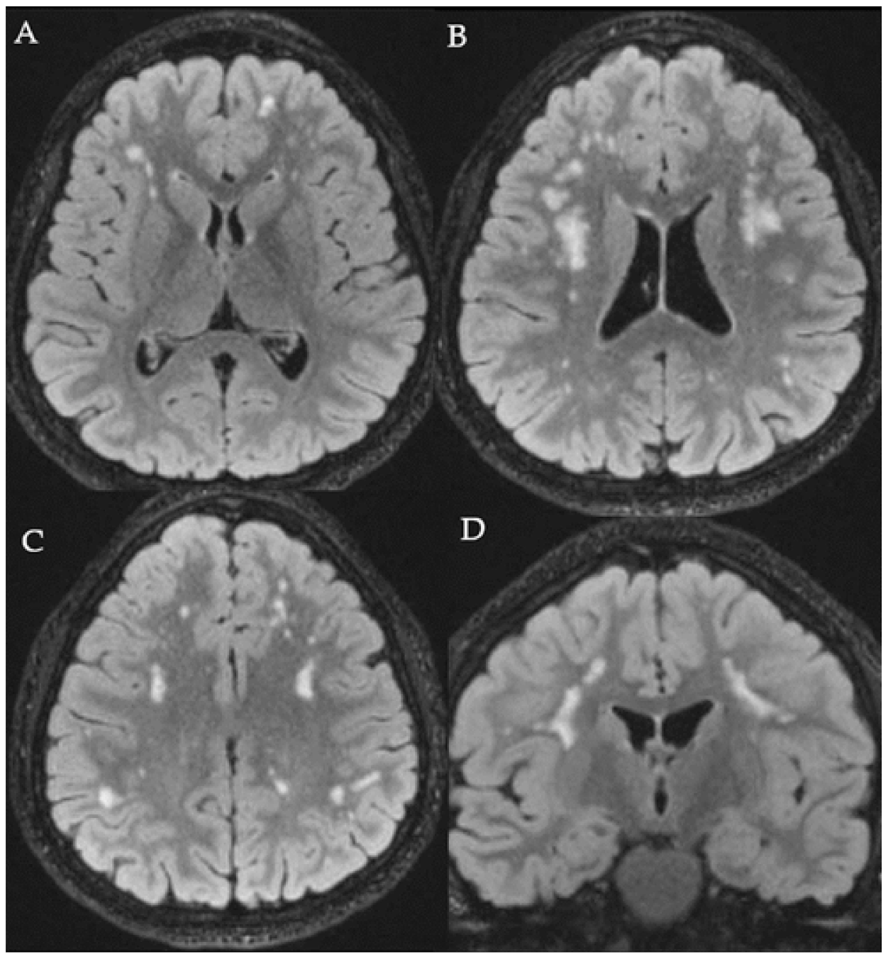
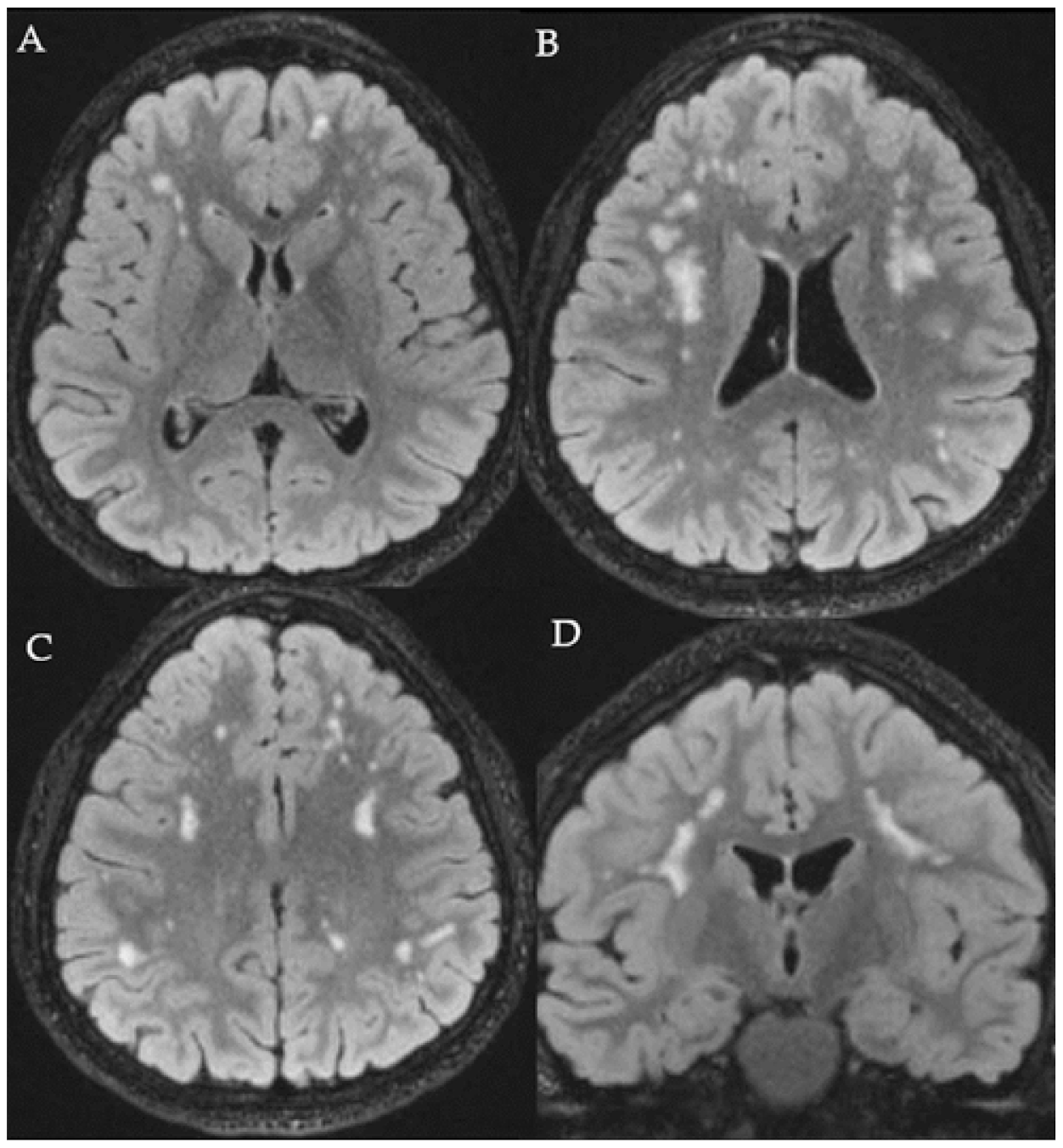
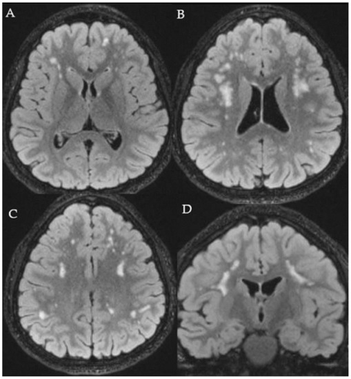
3.2. Instrumental Examination
3.3. Biochemical and Molecular Analysis
4. Discussion
5. Conclusions
Author Contributions
Funding
Institutional Review Board Statement
Informed Consent Statement
Ethics Statements
Data Availability Statements
Acknowledgments
Conflicts of Interest
References
- Ilyas, M.; Mir, A.; Efthymiou, S.; Houlden, H. The genetics of intellectual disability: Advancing technology and gene editing. F1000Research 2020, 9. [Google Scholar] [CrossRef]
- American Psychiatric Association. Diagnostic and Statistical Manual of Mental Disorders, 5th ed.; American Psychiatric Publishing, Inc.: Washington, DC, USA, 2013. [Google Scholar]
- Kvarnung, M.; Nordgren, A. Intellectual Disability & Rare Disorders: A Diagnostic Challenge. Adv. Exp. Med. Biol. 2017, 1031, 39–54. [Google Scholar]
- Harripaul, R.; Noor, A.; Ayub, M.; Vincent, J.B. The Use of Next-Generation Sequencing for Research and Diagnostics for Intellectual Disability. Cold Spring Harb. Perspect. Med. 2017, 7, a026864. [Google Scholar] [CrossRef] [PubMed]
- Mu, W.; Lu, H.M.; Chen, J.; Li, S.; Elliott, A.M. Sanger Confirmation Is Required to Achieve Optimal Sensitivity and Specificity in Next-Generation Sequencing Panel Testing. J. Mol. Diagn. 2016, 18, 923–932. [Google Scholar] [CrossRef] [PubMed]
- Di Gregorio, E.; Riberi, E.; Belligni, E.F.; Biamino, E.; Spielmann, M.; Ala, U.; Calcia, A.; Bagnasco, I.; Carli, D.; Gai, G.; et al. Copy number variants analysis in a cohort of isolated and syndromic developmental delay/intellectual disability reveals novel genomic disorders, position effects and candidate disease genes. Clin. Genet. 2017, 92, 415–422. [Google Scholar] [CrossRef]
- Shribman, S.; Reid, E.; Crosby, A.H.; Houlden, H.; Warner, T.T. Hereditary spastic paraplegia: From diagnosis to emerging therapeutic approaches. Lancet Neurol. 2019, 18, 1136–1146. [Google Scholar] [CrossRef]
- Balint, B.; Mencacci, N.E.; Valente, E.M.; Pisani, A.; Rothwell, J.; Jankovic, J.; Vidailhet, M.; Bhatia, K.P. Dystonia. Nat. Rev. Dis. Prim. 2018, 4, 25. [Google Scholar] [CrossRef]
- Grande, I.; Berk, M.; Birmaher, B.; Vieta, E. Bipolar disorder. Lancet 2016, 387, 1561–1572. [Google Scholar] [CrossRef]
- Bernier, R.; Steinman, K.J.; Reilly, B.; Wallace, A.S.; Sherr, E.H.; Pojman, N.; Mefford, H.C.; Gerdts, J.; Earl, R.; Hanson, E.; et al. Simons VIP consortium. Clinical phenotype of the recurrent 1q21.1 copy-number variant. Genet. Med. 2016, 18, 341–349. [Google Scholar] [CrossRef]
- D’Amore, A.; Tessa, A.; Casali, C.; Dotti, M.T.; Filla, A.; Silvestri, G.; Antenora, A.; Astrea, G.; Barghigiani, M.; Battini, R.; et al. Next generation molecular diagnosis of hereditary spastic paraplegias: An Italian cross-sectional study. Front. Neurol. 2018, 9, 981. [Google Scholar] [CrossRef] [PubMed]
- Tim-Aroon, T.; Jinawath, N.; Thammachote, W.; Sinpitak, P.; Limrungsikul, A.; Khongkhatithum, C.; Wattanasirichaigoon, D. 1q21.3 deletion involving GATAD2B: An emerging recurrent microdeletion syndrome. Am. J. Med. Genet. A 2017, 173, 766–770. [Google Scholar] [CrossRef] [PubMed]
- Muhle, H.; Steinich, I.; Von Spiczak, S.; Franke, A.; Weber, Y.; Lerche, H.; Wittig, M.; Heidemann, S.; Suls, A.; De Jonghe, P.; et al. A duplication in 1q21.3 in a family with early onset and childhood absence epilepsy. Epilepsia 2010, 51, 2453–2456. [Google Scholar] [CrossRef]
- Sowińska-Seidler, A.; Olech, E.M.; Socha, M.; Larysz, D.; Jamsheer, A. Novel 1q22-q23.1 duplication in a patient with lambdoid and metopic craniosynostosis, muscular hypotonia, and psychomotor retardation. J. Appl. Genet. 2018, 59, 281–289. [Google Scholar] [CrossRef] [PubMed]
- Fichera, M.; Barone, R.; Grillo, L.; De Grandi, M.; Fiore, V.; Morana, I.; Maniscalchi, T.; Vinci, M.; Amata, S.; Spalletta, A.; et al. Familial 1q22 microduplication associated with psychiatric disorders, intellectual disability and late-onset autoimmune inflammatory response. Mol. Cytogenet. 2014, 7, 90. [Google Scholar] [CrossRef][Green Version]
- Edens, B.M.; Yan, J.; Miller, N.; Deng, H.X.; Siddique, T.; Ma, Y.C. A novel ALS-associated variant in UBQLN4 regulates motor axon morphogenesis. Elife 2017, 6, e25453. [Google Scholar] [CrossRef]
- Huang, S.; Dong, X.; Wang, J.; Ding, J.; Li, Y.; Li, D.; Lin, H.; Wang, W.; Zhao, M.; Chang, Q.; et al. Overexpression of the Ubiquilin-4 (UBQLN4) is Associated with in Human Normal Gastric Epithelial Cell Lines GES-1 Cells by Activation of the ERK Signaling Pathway. Med. Sci. Monit. 2018, 24, 3564–3570. [Google Scholar] [CrossRef]
- Teinert, J.; Behne, R.; Wimmer, M.; Ebrahimi-Fakhari, D. Novel insights into the clinical and molecular spectrum of congenital disorders of autophagy. J. Inherit. Metab. Dis. 2020, 43, 51–62. [Google Scholar] [CrossRef]
- Wang, C.; Kang, X.; Zhou, L.; Chai, Z.; Wu, Q.; Huang, R.; Xu, H.; Hu, M.; Sun, X.; Sun, S.; et al. Synaptotagmin-11 is a critical mediator of parkin-linked neurotoxicity and Parkinson’s disease-like pathology. Nat. Commun. 2018, 9, 81. [Google Scholar] [CrossRef]
- Aoki, Y.; Niihori, T.; Banjo, T.; Okamoto, N.; Mizuno, S.; Kurosawa, K.; Ogata, T.; Takada, F.; Yano, M.; Ando, T.; et al. Gain-of-function mutations in RIT1 cause Noonan syndrome, a RAS/MAPK pathway syndrome. Am. J. Hum. Genet. 2013, 93, 173–180. [Google Scholar] [CrossRef] [PubMed]
- Zhang, C.; Xu, L.; Zheng, X.; Liu, S.; Che, F. Role of Ash1l in Tourette syndrome and other neurodevelopmental disorders. Dev. Neurobiol. 2020. Epub ahead of print. [Google Scholar] [CrossRef]
- Chiou, Y.J.; Huang, T.L. Brain-derived neurotrophic factor (BDNF) and bipolar disorder. Psychiatry Res. 2019, 274, 395–399. [Google Scholar] [CrossRef] [PubMed]
- Chandy, K.G.; Fantino, E.; Wittekindt, O.; Kalman, K.; Tong, L.L.; Ho, T.H.; Gutman, G.A.; Crocq, M.-A.; Ganguli, R.; Nimgaonkar, V.; et al. Isolation of a novel potassium channel gene hSKCa3 containing a polymorphic CAG repeat: A candidate for schizophrenia and bipolar disorder? Mol. Psychiatry 1998, 3, 32–37. [Google Scholar] [CrossRef] [PubMed]
- McInnis, M.G.; Breschel, T.S.; Margolis, R.L.; Chellis, J.; MacKinnon, D.F.; McMahon, F.J.; Simpson, S.G.; Lan, T.H.; Chen, H.; Ross, C.A.; et al. Family-based association analysis of the hSKCa3 potassium channel gene in bipolar disorder. Mol. Psychiatry 1999, 4, 217–219. [Google Scholar] [CrossRef] [PubMed][Green Version]
- Jin, D.K.; Hwang, H.Z.; Oh, M.R.; Kim, J.S.; Lee, M.; Kim, S.; Shinn-Won, L.; Min Young, S.; Ji-Hae, K.; Kim, D.K.; et al. CAG repeats of CTG18.1 and KCNN3 in Korean patients with bipolar affective disorder. J. Affect. Disord. 2001, 66, 19–24. [Google Scholar] [CrossRef]
- Rutter, M. Categories, dimensions, and the mental health of children and adolescents. Ann. N. Y. Acad. Sci. 2003, 1008, 11–21. [Google Scholar] [CrossRef]
- Crow, Y.J. Aicardi-Goutières Syndrome. In GeneReviews® [Internet]; 1993–2020; Adam, M.P., Ardinger, H.H., Pagon, R.A., Wallace, S.E., Bean, L.J.H., Stephens, K., Amemiya, A., Eds.; University of Washington: Seattle, WA, USA, 29 June 2005; [updated 22 November 2016]. [Google Scholar]
- Worman, H.J.; Bonne, G. “Laminopathies”: A wide spectrum of human diseases. Exp. Cell Res. 2007, 313, 2121–2133. [Google Scholar] [CrossRef]
- Bonati, U.; Bechtel, N.; Heinimann, K.; Rutz, E.; Schneider, J.; Frank, S.; Weber, P.; Fischer, D. Congenital muscular dystrophy with dropped head phenotype and cognitive impairment due to a novel mutation in the LMNA gene. Neuromuscul. Disord. 2014, 24, 529–532. [Google Scholar] [CrossRef] [PubMed]
- Gal, A.; Balicza, P.; Weaver, D.; Naghdi, S.; Joseph, S.K.; Várnai, P.; Gyuris, T.; Horváth, A.; Nagy, L.; Seifert, E.L.; et al. MSTO1 is a cytoplasmic pro-mitochondrial fusion protein, whose mutation induces myopathy and ataxia in humans. EMBO Mol. Med. 2017, 9, 967–984. [Google Scholar] [CrossRef]
- Poland, P.A.; Kinlough, C.L.; Hughey, R.P. Cloning, expression, and purification of galectins for in vitro studies. Methods Mol. Biol. 2015, 1207, 37–49. [Google Scholar]
- Steffensen, K.R.; Bouzga, M.; Skjeldal, F.; Kasi, C.; Karahasan, A.; Matre, V.; Bakke, O.; Guérin, S.; Eskild, W. Human NCU-G1 can function as a transcription factor and as a nuclear receptor co-activator. BMC Mol. Biol. 2007, 8, 106. [Google Scholar] [CrossRef]
- Verbitsky, M.; Westland, R.; Perez, A.; Kiryluk, K.; Liu, Q.; Krithivasan, P.; Mitrotti, A.; Fasel, D.A.; Batourina, E.; Sampson, M.G.; et al. The copy number variation landscape of congenital anomalies of the kidney and urinary tract. Nat. Genet. 2019, 51, 117–127. [Google Scholar] [CrossRef] [PubMed]



Publisher’s Note: MDPI stays neutral with regard to jurisdictional claims in published maps and institutional affiliations. |
© 2021 by the authors. Licensee MDPI, Basel, Switzerland. This article is an open access article distributed under the terms and conditions of the Creative Commons Attribution (CC BY) license (https://creativecommons.org/licenses/by/4.0/).
Share and Cite
Milone, R.; Scalise, R.; Pasquariello, R.; Berloffa, S.; Ricca, I.; Battini, R. De Novo 1q21.3q22 Duplication Revaluation in a “Cold” Complex Neuropsychiatric Case with Syndromic Intellectual Disability. Genes 2021, 12, 511. https://doi.org/10.3390/genes12040511
Milone R, Scalise R, Pasquariello R, Berloffa S, Ricca I, Battini R. De Novo 1q21.3q22 Duplication Revaluation in a “Cold” Complex Neuropsychiatric Case with Syndromic Intellectual Disability. Genes. 2021; 12(4):511. https://doi.org/10.3390/genes12040511
Chicago/Turabian StyleMilone, Roberta, Roberta Scalise, Rosa Pasquariello, Stefano Berloffa, Ivana Ricca, and Roberta Battini. 2021. "De Novo 1q21.3q22 Duplication Revaluation in a “Cold” Complex Neuropsychiatric Case with Syndromic Intellectual Disability" Genes 12, no. 4: 511. https://doi.org/10.3390/genes12040511
APA StyleMilone, R., Scalise, R., Pasquariello, R., Berloffa, S., Ricca, I., & Battini, R. (2021). De Novo 1q21.3q22 Duplication Revaluation in a “Cold” Complex Neuropsychiatric Case with Syndromic Intellectual Disability. Genes, 12(4), 511. https://doi.org/10.3390/genes12040511

