Human PrimPol Discrimination against Dideoxynucleotides during Primer Synthesis
Abstract
:1. Introduction

2. Materials and Methods
2.1. Reagents and Oligonucleotides
2.2. Human PrimPol and Mutants
2.3. Polymerase Assay on Specific Primer:Template Molecules
2.4. Steady-State Kinetics Assay
2.5. Exonuclease and Pyrophosphorolysis Assay
2.6. Primase Assay on Specific Oligonucleotide Templates
2.7. EMSA for PrimPol:dNTP Binary and PrimPol:ssDNA:dNTP Preternary Complex
2.8. EMSA for PrimPol:ssDNA Binary Complex
3. Results
3.1. Human PrimPol Discriminates against ddNTPs during Polymerization and TLS
3.2. Human PrimPol Cannot Remove Inserted Dideoxynucleotides
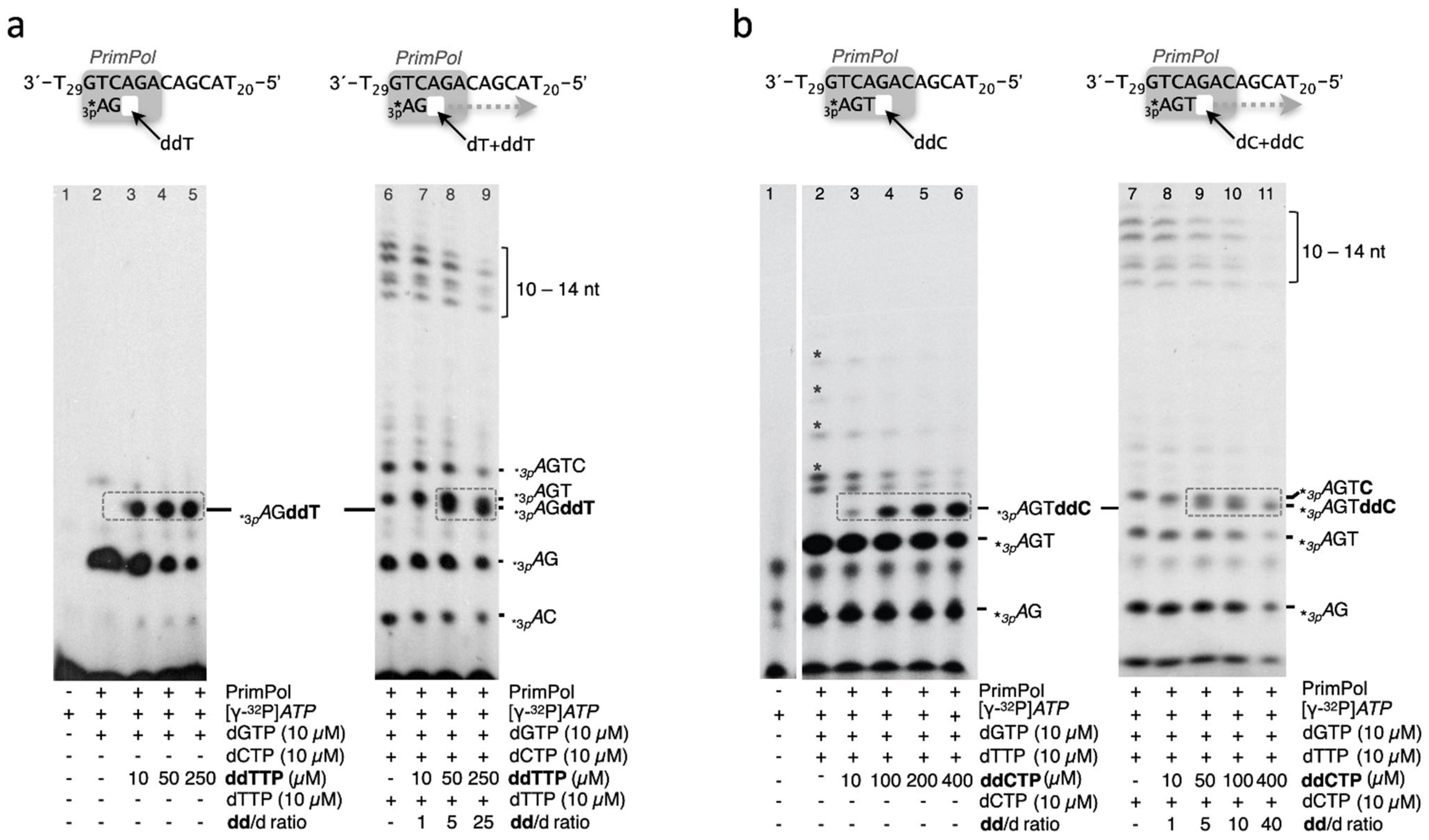
3.3. Human PrimPol Discriminates against ddNTPs When Synthesizing Primers
3.4. Human PrimPol Residue Arg291 Is Crucial for dNTP Binding and ddNTP Discrimination
4. Discussion
5. Conclusions
Author Contributions
Funding
Institutional Review Board Statement
Informed Consent Statement
Data Availability Statement
Conflicts of Interest
References
- Arnaudo, E.; Dalakas, M.; Shanske, S.; Moraes, C.T.; DiMauro, S.; Schon, E.A. Depletion of muscle mitochondrial DNA in AIDS patients with zidovudine-induced myopathy. Lancet 1991, 337, 508–510. [Google Scholar] [CrossRef]
- Kakuda, T.N. Pharmacology of nucleoside and nucleotide reverse transcriptase inhibitor-induced mitochondrial toxicity. Clin. Ther. 2000, 22, 685–708. [Google Scholar] [CrossRef]
- Prasad, R.; Caglayan, M.; Dai, D.P.; Nadalutti, C.A.; Zhao, M.L.; Gassman, N.R.; Janoshazi, A.K.; Stefanick, D.F.; Horton, J.K.; Krasich, R.; et al. DNA polymerase β: A missing link of the base excision repair machinery in mammalian mitochondria. DNA Repair 2017, 60, 77–88. [Google Scholar] [CrossRef]
- Sykora, P.; Kanno, S.; Akbari, M.; Kulikowicz, T.; Baptiste, B.A.; Leandro, G.S.; Lu, H.; Tian, J.; May, A.; Becker, K.A.; et al. DNA Polymerase β Participates in Mitochondrial DNA Repair. Mol. Cell. Biol. 2017, 37, e00237-17. [Google Scholar] [CrossRef] [PubMed] [Green Version]
- Lim, S.E.; Copeland, W.C. Differential incorporation and removal of antiviral deoxynucleotides by human DNA polymerase γ. J. Biol. Chem. 2001, 276, 23616–23623. [Google Scholar] [CrossRef] [PubMed] [Green Version]
- Young, C.K.J.; Wheeler, J.H.; Rahman, M.M.; Young, M.J. The antiretroviral 2′,3′-dideoxycytidine causes mitochondrial dysfunction in proliferating and differentiated HepaRG human cell cultures. J. Biol. Chem. 2021, 296, 100206. [Google Scholar] [CrossRef]
- Garcia-Gomez, S.; Reyes, A.; Martinez-Jimenez, M.I.; Chocron, E.S.; Mouron, S.; Terrados, G.; Powell, C.; Salido, E.; Mendez, J.; Holt, I.J.; et al. PrimPol, an archaic primase/polymerase operating in human cells. Mol. Cell 2013, 52, 541–553. [Google Scholar] [CrossRef] [Green Version]
- Zafar, M.K.; Ketkar, A.; Lodeiro, M.F.; Cameron, C.E.; Eoff, R.L. Kinetic analysis of human PrimPol DNA polymerase activity reveals a generally error-prone enzyme capable of accurately bypassing 7,8-dihydro-8-oxo-2′-deoxyguanosine. Biochemistry 2014, 53, 6584–6594. [Google Scholar] [CrossRef] [Green Version]
- Rechkoblt, O.; Johnson, R.E.; Gupta, Y.K.; Prakash, L.; Prakash, S.; Aggarwal, A.K. Structural basis of DNA synthesis opposite 8-oxoguanine by human PrimPol primase-polymerase. Nat. Commun. 2021, 12, 4020. [Google Scholar] [CrossRef]
- Mouron, S.; Rodriguez-Acebes, S.; Martinez-Jimenez, M.I.; Garcia-Gomez, S.; Chocron, S.; Blanco, L.; Mendez, J. Repriming of DNA synthesis at stalled replication forks by human PrimPol. Nat. Struct. Mol. Biol. 2013, 20, 1383–1389. [Google Scholar] [CrossRef] [Green Version]
- Torregrosa-Munumer, R.; Forslund, J.M.E.; Goffart, S.; Pfeiffer, A.; Stojkovic, G.; Carvalho, G.; Al-Furoukh, N.; Blanco, L.; Wanrooij, S.; Pohjoismaki, J.L.O. PrimPol is required for replication reinitiation after mtDNA damage. Proc. Natl. Acad. Sci. USA 2017, 114, 11398–11403. [Google Scholar] [CrossRef] [Green Version]
- Kobayashi, K.; Guilliam, T.A.; Tsuda, M.; Yamamoto, J.; Bailey, L.J.; Iwai, S.; Takeda, S.; Doherty, A.J.; Hirota, K. Repriming by PrimPol is critical for DNA replication restart downstream of lesions and chain-terminating nucleosides. Cell Cycle 2016, 15, 1997–2008. [Google Scholar] [CrossRef]
- Torregrosa-Munumer, R.; Goffart, S.; Haikonen, J.A.; Pohjoismaki, J.L. Low doses of ultraviolet radiation and oxidative damage induce dramatic accumulation of mitochondrial DNA replication intermediates, fork regression, and replication initiation shift. Mol. Biol. Cell 2015, 26, 4197–41208. [Google Scholar] [CrossRef] [PubMed]
- Duong, V.N.; Zhou, L.; Martinez-Jimenez, M.I.; He, L.; Cosme, M.; Blanco, L.; Paintsil, E.; Anderson, K.S. Identifying the role of PrimPol in TDF-induced toxicity and implications of its loss of function mutation in an HIV+ patient. Sci. Rep. 2020, 10, 9343. [Google Scholar] [CrossRef]
- Mislak, A.C.; Anderson, K.S. Insights into the Molecular Mechanism of Polymerization and Nucleoside Reverse Transcriptase Inhibitor Incorporation by Human PrimPol. Antimicrob. Agents Chemother. 2015, 60, 561–569. [Google Scholar] [CrossRef] [PubMed] [Green Version]
- Martinez-Jimenez, M.I.; Calvo, P.A.; Garcia-Gomez, S.; Guerra-Gonzalez, S.; Blanco, L. The Zn-finger domain of human PrimPol is required to stabilize the initiating nucleotide during DNA priming. Nucleic Acids Res. 2018, 46, 4138–4151. [Google Scholar] [CrossRef] [Green Version]
- Blanco, L.; Calvo, P.A.; Diaz-Talavera, A.; Carvalho, G.; Calero, N.; Martínez-Carrón, A.; Velázquez-Ruiz, C.; Villadangos, S.; Guerra, S.; Martínez-Jiménez, M.I. Mechanism of DNA primer synthesis by human PrimPol. Enzymes 2019, 45, 289–310. [Google Scholar] [PubMed]
- Rechkoblit, O.; Gupta, Y.K.; Malik, R.; Rajashankar, K.R.; Johnson, R.E.; Prakash, L.; Prakash, S.; Aggarwal, A.K. Structure and mechanism of human PrimPol, a DNA polymerase with primase activity. Sci. Adv. 2016, 2, e1601317. [Google Scholar] [CrossRef] [Green Version]
- Bernad, A.; Blanco, L.; Lazaro, J.M.; Martin, G.; Salas, M. A conserved 3′–5′ exonuclease active site in prokaryotic and eukaryotic DNA polymerases. Cell 1989, 59, 219–228. [Google Scholar] [CrossRef]
- Hubscher, U.; Maga, G.; Spadari, S. Eukaryotic DNA polymerases. Annu. Rev. Biochem. 2002, 71, 133–163. [Google Scholar] [CrossRef] [PubMed] [Green Version]
- Blanco, L.; Salas, M. Characterization of a 3′–5′ exonuclease activity in the phage phi 29-encoded DNA polymerase. Nucleic Acids Res. 1985, 13, 1239–1249. [Google Scholar] [CrossRef]
- Garmendia, C.; Bernad, A.; Esteban, J.A.; Blanco, L.; Salas, M. The bacteriophage phi 29 DNA polymerase, a proofreading enzyme. J. Biol. Chem. 1992, 267, 2594–2599. [Google Scholar] [CrossRef]
- Crespan, E.; Maga, G.; Hubscher, U. A new proofreading mechanism for lesion bypass by DNA polymerase-lambda. EMBO Rep. 2011, 13, 68–74. [Google Scholar] [CrossRef] [PubMed] [Green Version]
- Calvo, P.A.; Sastre-Moreno, G.; Perpina, C.; Guerra, S.; Martinez-Jimenez, M.I.; Blanco, L. The invariant glutamate of human PrimPol DxE motif is critical for its Mn(2+)-dependent distinctive activities. DNA Repair 2019, 77, 65–75. [Google Scholar] [CrossRef] [PubMed]
- Feng, J.Y.; Johnson, A.A.; Johnson, K.A.; Anderson, K.S. Insights into the molecular mechanism of mitochondrial toxicity by AIDS drugs. J. Biol. Chem. 2001, 276, 23832–23837. [Google Scholar] [CrossRef] [PubMed] [Green Version]
- Lewis, W.; Day, B.J.; Copeland, W.C. Mitochondrial toxicity of NRTI antiviral drugs: An integrated cellular perspective. Nat. Rev. Drug Discov. 2003, 2, 812–822. [Google Scholar] [CrossRef] [PubMed]
- González-Acosta, D.; Blanco-Romero, E.; Ubieto-Capella, P.; Mutreja, K.; Míguez, S.; Llanos, S.; García, F.; Muñoz, J.; Blanco, L.; Lopes, M.; et al. PrimPol-mediated repriming facilitates replication traverse of DNA interstrand crosslinks. EMBO J. 2021, 40, e106355. [Google Scholar] [CrossRef] [PubMed]
- Xu, W.; Zhao, W.; Morehouse, N.; Tree, M.O.; Zhao, L. Divalent cations alter the rate-limiting step of PrimPol-catalyzed DNA elongation. J. Mol. Biol. 2019, 431, 673–686. [Google Scholar] [CrossRef]
- Stojkovic, G.; Makarova, A.V.; Wanrooij, P.H.; Forslund, J.; Burgers, P.M.; Wanrooij, S. Oxidative DNA damage stalls the human mitochondrial replisome. Sci. Rep. 2016, 6, 28942. [Google Scholar] [CrossRef]
- Lim, S.E.; Ponamarev, M.V.; Longley, M.J.; Copeland, W.C. Structural determinants in human DNA polymerase γ account for mitochondrial toxicity from nucleoside analogs. J. Mol. Biol. 2003, 329, 45–57. [Google Scholar] [CrossRef]




| Template | Nucleotide | Km (µM) | kcat (s−1) | kcat/Km (s−1 · µM−1) | Discrimination (dNTP/ddNTP) a |
|---|---|---|---|---|---|
| G | dCTP | 0.82 | 1.88 × 10−2 | 2.29 × 10−2 | 330 |
| ddCTP | 36.43 | 2.53 × 10−3 | 6.95 × 10−5 | ||
| C | dGTP | 0.48 | 8.43 × 10−3 | 1.74 × 10−2 | 391 |
| ddGTP | 23.52 | 1.04 × 10−3 | 4.44 × 10−5 | ||
| T | dATP | 0.49 | 9.69 × 10−3 | 1.98 × 10−2 | 719 |
| ddATP | 35.37 | 9.73 × 10−4 | 2.75 × 10−5 | ||
| A | dTTP | 0.84 | 1.28 × 10−2 | 1.53 × 10−2 | 325 |
| ddTTP | 13.24 | 6.23 × 10−4 | 4.70 × 10−5 | ||
| 8oxoG | dCTP | 0.78 | 1.50 × 10−2 | 1.93 × 10−2 | 345 |
| ddCTP | 26.54 | 1.48 × 10−3 | 5.59 × 10−5 | ||
| dATP | 1.18 | 1.48 × 10−2 | 1.26 × 10−2 | n.d. | |
| ddATP | n.d. | n.d. | n.d. |
| Protein | Km (µM) | kcat (s−1) | kcat/Km (s−1 · µM−1) | Relative Activity a |
|---|---|---|---|---|
| WT | 0.82 | 1.88 × 10−2 | 2.29 × 10−2 | 100% |
| R291K | 44.46 | 1.26 × 10−2 | 2.86 × 10−4 | 1.25% |
| R291A | 15.5 | 1.05 × 10−3 | 6.75 × 10−5 | 0.29% |
Publisher’s Note: MDPI stays neutral with regard to jurisdictional claims in published maps and institutional affiliations. |
© 2021 by the authors. Licensee MDPI, Basel, Switzerland. This article is an open access article distributed under the terms and conditions of the Creative Commons Attribution (CC BY) license (https://creativecommons.org/licenses/by/4.0/).
Share and Cite
Carvalho, G.; Díaz-Talavera, A.; Calvo, P.A.; Blanco, L.; Martínez-Jiménez, M.I. Human PrimPol Discrimination against Dideoxynucleotides during Primer Synthesis. Genes 2021, 12, 1487. https://doi.org/10.3390/genes12101487
Carvalho G, Díaz-Talavera A, Calvo PA, Blanco L, Martínez-Jiménez MI. Human PrimPol Discrimination against Dideoxynucleotides during Primer Synthesis. Genes. 2021; 12(10):1487. https://doi.org/10.3390/genes12101487
Chicago/Turabian StyleCarvalho, Gustavo, Alberto Díaz-Talavera, Patricia A. Calvo, Luis Blanco, and María I. Martínez-Jiménez. 2021. "Human PrimPol Discrimination against Dideoxynucleotides during Primer Synthesis" Genes 12, no. 10: 1487. https://doi.org/10.3390/genes12101487
APA StyleCarvalho, G., Díaz-Talavera, A., Calvo, P. A., Blanco, L., & Martínez-Jiménez, M. I. (2021). Human PrimPol Discrimination against Dideoxynucleotides during Primer Synthesis. Genes, 12(10), 1487. https://doi.org/10.3390/genes12101487

