Adipose-Derived Mesenchymal Stem Cells (ADSCs) Have Anti-Fibrotic Effects on Lung Fibroblasts from Idiopathic Pulmonary Fibrosis (IPF) Patients
Abstract
1. Introduction
2. Materials and Methods
2.1. Human Lung Samples
2.2. Cell Preparation
2.3. Coculture System for Both ADSCs and LFs
2.4. Overexpression of PTPRR Gene in LFs
2.5. Mouse PF Model
2.6. Pathological Analysis
2.7. RNA Analysis (Quantitative PCR (qPCR))
2.8. Microarray Analysis
2.9. Western Blotting for Protein Analysis
2.10. Flow Cytometry
2.11. Statistical Analysis
3. Results
3.1. ADSCs Have Anti-Fibrotic Effects on IPF Patient-Derived LFs
3.2. ADSC Treatment Upregulates the Expression of PTPRR in LFs
3.3. PTPRR Is One of the Key Regulators of Lung Fibrosis
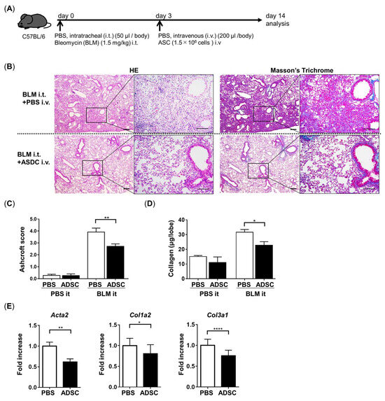
3.4. ADSCs Improved BLM-Induced Pulmonary Fibrosis (PF) in a Mouse Model
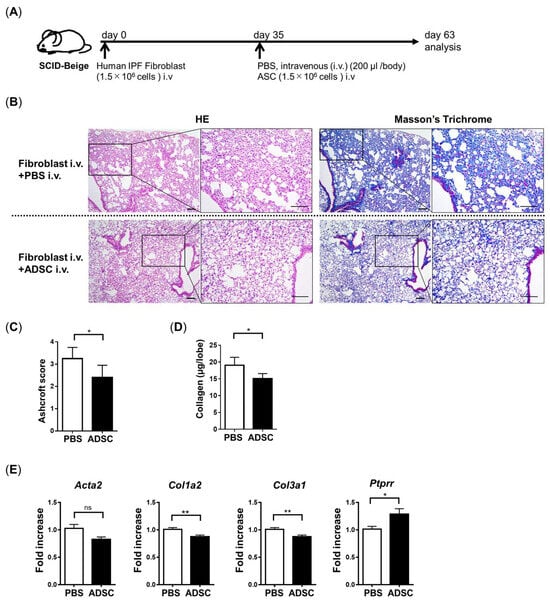
3.5. ADSCs Improved PF in IPF-Humanized Mice
4. Discussion
5. Conclusions
Author Contributions
Funding
Institutional Review Board Statement
Informed Consent Statement
Data Availability Statement
Acknowledgments
Conflicts of Interest
References
- Sgalla, G.; Iovene, B.; Calvello, M.; Ori, M.; Varone, F.; Richeldi, L. Idiopathic pulmonary fibrosis: Pathogenesis and management. Respir. Res. 2018, 19, 32. [Google Scholar] [CrossRef] [PubMed]
- Poletti, V.; Tomassetti, S.; Ravaglia, C. Idiopathic Pulmonary Fibrosis. N. Engl. J. Med. 2018, 379, 797. [Google Scholar] [PubMed]
- King, T.E., Jr.; Bradford, W.Z.; Castro-Bernardini, S.; Fagan, E.A.; Glaspole, I.; Glassberg, M.K.; Gorina, E.; Hopkins, P.M.; Kardatzke, D.; Lancaster, L.; et al. A phase 3 trial of pirfenidone in patients with idiopathic pulmonary fibrosis. N. Engl. J. Med. 2014, 370, 2083–2092. [Google Scholar] [CrossRef] [PubMed]
- Mazzei, M.E.; Richeldi, L.; Collard, H.R. Nintedanib in the treatment of idiopathic pulmonary fibrosis. Ther. Adv. Respir. Dis. 2015, 9, 121–129. [Google Scholar] [CrossRef]
- Blackwell, T.S.; Tager, A.M.; Borok, Z.; Moore, B.B.; Schwartz, D.A.; Anstrom, K.J.; Bar-Joseph, Z.; Bitterman, P.; Blackburn, M.R.; Bradford, W.; et al. Future directions in idiopathic pulmonary fibrosis research. An NHLBI workshop report. Am. J. Respir. Crit. Care Med. 2014, 189, 214–222. [Google Scholar] [CrossRef]
- Murphy, M.B.; Moncivais, K.; Caplan, A.I. Mesenchymal stem cells: Environmentally responsive therapeutics for regenerative medicine. Exp. Mol. Med. 2013, 45, e54. [Google Scholar] [CrossRef]
- Zhou, Y.; Yuan, J.; Zhou, B.; Lee, A.J.; Lee, A.J.; Ghawji, M., Jr.; Yoo, T.J. The therapeutic efficacy of human adipose tissue-derived mesenchymal stem cells on experimental autoimmune hearing loss in mice. Immunology 2011, 133, 133–140. [Google Scholar] [CrossRef]
- Pittenger, M.F.; Mackay, A.M.; Beck, S.C.; Jaiswal, R.K.; Douglas, R.; Mosca, J.D.; Moorman, M.A.; Simonetti, D.W.; Craig, S.; Marshak, D.R. Multilineage potential of adult human mesenchymal stem cells. Science 1999, 284, 143–147. [Google Scholar] [CrossRef]
- Lee, R.H.; Kim, B.; Choi, I.; Kim, H.; Choi, H.S.; Suh, K.; Bae, Y.C.; Jung, J.S. Characterization and expression analysis of mesenchymal stem cells from human bone marrow and adipose tissue. Cell Physiol. Biochem. 2004, 14, 311–324. [Google Scholar] [CrossRef]
- Dong, L.; Li, X.; Leng, W.; Guo, Z.; Cai, T.; Ji, X.; Xu, C.; Zhu, Z.; Lin, J. Adipose stem cells in tissue regeneration and repair: From bench to bedside. Regen. Ther. 2023, 24, 547–560. [Google Scholar] [CrossRef]
- Kern, S.; Eichler, H.; Stoeve, J.; Kluter, H.; Bieback, K. Comparative analysis of mesenchymal stem cells from bone marrow, umbilical cord blood, or adipose tissue. Stem Cells 2006, 24, 1294–1301. [Google Scholar] [CrossRef] [PubMed]
- Kocan, B.; Maziarz, A.; Tabarkiewicz, J.; Ochiya, T.; Banas-Zabczyk, A. Trophic Activity and Phenotype of Adipose Tissue-Derived Mesenchymal Stem Cells as a Background of Their Regenerative Potential. Stem Cells Int. 2017, 2017, 1653254. [Google Scholar] [CrossRef] [PubMed]
- Tashiro, J.; Rubio, G.A.; Limper, A.H.; Williams, K.; Elliot, S.J.; Ninou, I.; Aidinis, V.; Tzouvelekis, A.; Glassberg, M.K. Exploring Animal Models That Resemble Idiopathic Pulmonary Fibrosis. Front. Med. 2017, 4, 118. [Google Scholar] [CrossRef] [PubMed]
- Habiel, D.M.; Espindola, M.S.; Coelho, A.L.; Hogaboam, C.M. Modeling Idiopathic Pulmonary Fibrosis in Humanized Severe Combined Immunodeficient Mice. Am. J. Pathol. 2018, 188, 891–903. [Google Scholar] [CrossRef]
- Saito, S.; Kitabatake, M.; Ouji-Sageshima, N.; Ogawa, T.; Oda, A.; Nishimura, T.; Nishioka, T.; Fushimi, S.; Hara, A.; Shichino, S.; et al. Angiopoietin-like 4 Is a Critical Regulator of Fibroblasts during Pulmonary Fibrosis Development. Am. J. Respir. Cell Mol. Biol. 2023, 69, 328–339. [Google Scholar] [CrossRef]
- Hogaboam, C.M.; Gallinat, C.S.; Bone-Larson, C.; Chensue, S.W.; Lukacs, N.W.; Strieter, R.M.; Kunkel, S.L. Collagen deposition in a non-fibrotic lung granuloma model after nitric oxide inhibition. Am. J. Pathol. 1998, 153, 1861–1872. [Google Scholar] [CrossRef]
- Ashcroft, T.; Simpson, J.M.; Timbrell, V. Simple method of estimating severity of pulmonary fibrosis on a numerical scale. J. Clin. Pathol. 1988, 41, 467–470. [Google Scholar] [CrossRef]
- Zhao, X.; Wu, J.; Yuan, R.; Li, Y.; Yang, Q.; Wu, B.; Zhai, X.; Wang, J.; Magalon, J.; Sabatier, F.; et al. Adipose-derived mesenchymal stem cell therapy for reverse bleomycin-induced experimental pulmonary fibrosis. Sci. Rep. 2023, 13, 13183. [Google Scholar] [CrossRef]
- Nakagami, H.; Morishita, R.; Maeda, K.; Kikuchi, Y.; Ogihara, T.; Kaneda, Y. Adipose tissue-derived stromal cells as a novel option for regenerative cell therapy. J. Atheroscler. Thromb. 2006, 13, 77–81. [Google Scholar] [CrossRef]
- Cui, L.; Yin, S.; Liu, W.; Li, N.; Zhang, W.; Cao, Y. Expanded adipose-derived stem cells suppress mixed lymphocyte reaction by secretion of prostaglandin E2. Tissue Eng. 2007, 13, 1185–1195. [Google Scholar] [CrossRef]
- Liu, K.; Liu, R.; Cao, G.; Sun, H.; Wang, X.; Wu, S. Adipose-derived stromal cell autologous transplantation ameliorates pulmonary arterial hypertension induced by shunt flow in rat models. Stem Cells Dev. 2011, 20, 1001–1010. [Google Scholar] [CrossRef] [PubMed]
- Peng, R.; Sridhar, S.; Tyagi, G.; Phillips, J.E.; Garrido, R.; Harris, P.; Burns, L.; Renteria, L.; Woods, J.; Chen, L.; et al. Bleomycin induces molecular changes directly relevant to idiopathic pulmonary fibrosis: A model for “active” disease. PLoS ONE 2013, 8, e59348. [Google Scholar] [CrossRef] [PubMed]
- Gharaee-Kermani, M.; Gyetko, M.R.; Hu, B.; Phan, S.H. New insights into the pathogenesis and treatment of idiopathic pulmonary fibrosis: A potential role for stem cells in the lung parenchyma and implications for therapy. Pharm. Res. 2007, 24, 819–841. [Google Scholar] [CrossRef] [PubMed]
- Chen, S.; Cui, G.; Peng, C.; Lavin, M.F.; Sun, X.; Zhang, E.; Yang, Y.; Guan, Y.; Du, Z.; Shao, H. Transplantation of adipose-derived mesenchymal stem cells attenuates pulmonary fibrosis of silicosis via anti-inflammatory and anti-apoptosis effects in rats. Stem Cell Res. Ther. 2018, 9, 110. [Google Scholar] [CrossRef]
- Yuan, D.; Bao, Y.; El-Hashash, A. Mesenchymal stromal cell-based therapy in lung diseases; from research to clinic. Am. J. Stem Cells 2024, 13, 37–58. [Google Scholar] [CrossRef]
- De Ugarte, D.A.; Morizono, K.; Elbarbary, A.; Alfonso, Z.; Zuk, P.A.; Zhu, M.; Dragoo, J.L.; Ashjian, P.; Thomas, B.; Benhaim, P.; et al. Comparison of multi-lineage cells from human adipose tissue and bone marrow. Cells Tissues Organs 2003, 174, 101–109. [Google Scholar] [CrossRef]
- Kotani, T.; Masutani, R.; Suzuka, T.; Oda, K.; Makino, S.; Ii, M. Anti-inflammatory and anti-fibrotic effects of intravenous adipose-derived stem cell transplantation in a mouse model of bleomycin-induced interstitial pneumonia. Sci. Rep. 2017, 7, 14608. [Google Scholar] [CrossRef]
- Lee, S.H.; Lee, E.J.; Lee, S.Y.; Kim, J.H.; Shim, J.J.; Shin, C.; In, K.H.; Kang, K.H.; Uhm, C.S.; Kim, H.K.; et al. The effect of adipose stem cell therapy on pulmonary fibrosis induced by repetitive intratracheal bleomycin in mice. Exp. Lung Res. 2014, 40, 117–125. [Google Scholar] [CrossRef]
- Rathinasabapathy, A.; Bruce, E.; Espejo, A.; Horowitz, A.; Sudhan, D.R.; Nair, A.; Guzzo, D.; Francis, J.; Raizada, M.K.; Shenoy, V.; et al. Therapeutic potential of adipose stem cell-derived conditioned medium against pulmonary hypertension and lung fibrosis. Br. J. Pharmacol. 2016, 173, 2859–2879. [Google Scholar] [CrossRef]
- Periera-Simon, S.; Xia, X.; Catanuto, P.; Coronado, R.; Kurtzberg, J.; Bellio, M.; Lee, Y.S.; Khan, A.; Smith, R.; Elliot, S.J.; et al. Anti-fibrotic effects of different sources of MSC in bleomycin-induced lung fibrosis in C57BL6 male mice. Respirology 2021, 26, 161–170. [Google Scholar] [CrossRef]
- Li, Y.; Zhang, W.; Gao, J.; Liu, J.; Wang, H.; Li, J.; Yang, X.; He, T.; Guan, H.; Zheng, Z.; et al. Adipose tissue-derived stem cells suppress hypertrophic scar fibrosis via the p38/MAPK signaling pathway. Stem Cell Res. Ther. 2016, 7, 102. [Google Scholar] [CrossRef] [PubMed]
- Cahill, E.F.; Kennelly, H.; Carty, F.; Mahon, B.P.; English, K. Hepatocyte Growth Factor Is Required for Mesenchymal Stromal Cell Protection Against Bleomycin-Induced Pulmonary Fibrosis. Stem Cells Transl. Med. 2016, 5, 1307–1318. [Google Scholar] [CrossRef] [PubMed]
- Li, X.; Liu, Z.; Li, W.; Sun, N.; Xu, Y.; Xie, Z.; Zhang, K. PTPRR regulates ERK dephosphorylation in depression mice model. J. Affect. Disord. 2016, 193, 233–241. [Google Scholar] [CrossRef] [PubMed]
- Shukla, L.; Yuan, Y.; Shayan, R.; Greening, D.W.; Karnezis, T. Fat Therapeutics: The Clinical Capacity of Adipose-Derived Stem Cells and Exosomes for Human Disease and Tissue Regeneration. Front. Pharmacol. 2020, 11, 158. [Google Scholar] [CrossRef]
- Jenkins, R.G.; Moore, B.B.; Chambers, R.C.; Eickelberg, O.; Konigshoff, M.; Kolb, M.; Laurent, G.J.; Nanthakumar, C.B.; Olman, M.A.; Pardo, A.; et al. An Official American Thoracic Society Workshop Report: Use of Animal Models for the Preclinical Assessment of Potential Therapies for Pulmonary Fibrosis. Am. J. Respir. Cell Mol. Biol. 2017, 56, 667–679. [Google Scholar] [CrossRef]
- Pierce, E.M.; Carpenter, K.; Jakubzick, C.; Kunkel, S.L.; Flaherty, K.R.; Martinez, F.J.; Hogaboam, C.M. Therapeutic targeting of CC ligand 21 or CC chemokine receptor 7 abrogates pulmonary fibrosis induced by the adoptive transfer of human pulmonary fibroblasts to immunodeficient mice. Am. J. Pathol. 2007, 170, 1152–1164. [Google Scholar] [CrossRef]
- Fujioka, N.; Kitabatake, M.; Ouji-Sageshima, N.; Ibaraki, T.; Kumamoto, M.; Fujita, Y.; Hontsu, S.; Yamauchi, M.; Yoshikawa, M.; Muro, S.; et al. Human Adipose-Derived Mesenchymal Stem Cells Ameliorate Elastase-Induced Emphysema in Mice by Mesenchymal-Epithelial Transition. Int. J. Chronic Obstr. Pulm. Dis. 2021, 16, 2783–2793. [Google Scholar] [CrossRef]






| GeneSymbol | log2 Fold Change (Control vs. ADSCs Treated) | log2 Mean Expression | |
|---|---|---|---|
| 1 | ZNF91 | 2.9433 | −3.8617 |
| 2 | C10orf99 | 2.6767 | −4.1783 |
| 3 | LINC01115 | 2.6267 | −4.0167 |
| 4 | NA | 2.6100 | −4.2617 |
| 5 | lnc-NPHS2-1 | 2.5833 | −4.2717 |
| 6 | NA | 2.4533 | −4.1000 |
| 7 | DKFZP547J0410 | 2.4467 | −4.1033 |
| 8 | ABRA | 2.4467 | −4.1133 |
| 9 | TMEM71 | 2.4267 | −3.2933 |
| 10 | NA | 2.3667 | −4.0800 |
| 11 | LOC283140 | 2.3433 | −4.1650 |
| 12 | PRAC1 | 2.3433 | −4.3683 |
| 13 | MYH8 | 2.3333 | −4.4900 |
| 14 | LINC01057 | 2.3333 | −3.9800 |
| 15 | DNAH17 | 2.3267 | −3.7100 |
| 16 | lnc-CHAC1-3 | 2.3167 | −4.3750 |
| 17 | lnc-SLC25A26-1 | 2.2800 | −3.9033 |
| 18 | PTPRR | 2.2667 | −3.5133 |
| 19 | lnc-TMEM64-3 | 2.2400 | −4.3833 |
| 20 | CCNI2 | 2.2167 | −4.2217 |
| 21 | SLC7A11-AS1 | 2.2133 | −3.9800 |
| 22 | lnc-ANTXRL-2 | 2.1967 | −1.9883 |
| 23 | lnc-AC079341.1-2 | 2.1933 | −4.2367 |
| 24 | ZNF252P-AS1 | 2.1800 | −4.3233 |
| 25 | XLOC_l2_009332 | 2.1733 | −4.3700 |
| 26 | DLG2 | 2.1733 | −4.1867 |
| 27 | lnc-PHF3-2 | 2.1633 | −4.5983 |
| 28 | MPL | 2.1500 | −4.0050 |
| 29 | AMER1 | 2.1433 | −3.9417 |
| 30 | SNORD19 | 2.1300 | −3.5850 |
Disclaimer/Publisher’s Note: The statements, opinions and data contained in all publications are solely those of the individual author(s) and contributor(s) and not of MDPI and/or the editor(s). MDPI and/or the editor(s) disclaim responsibility for any injury to people or property resulting from any ideas, methods, instructions or products referred to in the content. |
© 2024 by the authors. Licensee MDPI, Basel, Switzerland. This article is an open access article distributed under the terms and conditions of the Creative Commons Attribution (CC BY) license (https://creativecommons.org/licenses/by/4.0/).
Share and Cite
Ouji-Sageshima, N.; Hiyama, A.; Kumamoto, M.; Kitabatake, M.; Hara, A.; Furukawa, R.; Hontsu, S.; Kawaguchi, T.; Sawabata, N.; Muro, S.; et al. Adipose-Derived Mesenchymal Stem Cells (ADSCs) Have Anti-Fibrotic Effects on Lung Fibroblasts from Idiopathic Pulmonary Fibrosis (IPF) Patients. Cells 2024, 13, 2050. https://doi.org/10.3390/cells13242050
Ouji-Sageshima N, Hiyama A, Kumamoto M, Kitabatake M, Hara A, Furukawa R, Hontsu S, Kawaguchi T, Sawabata N, Muro S, et al. Adipose-Derived Mesenchymal Stem Cells (ADSCs) Have Anti-Fibrotic Effects on Lung Fibroblasts from Idiopathic Pulmonary Fibrosis (IPF) Patients. Cells. 2024; 13(24):2050. https://doi.org/10.3390/cells13242050
Chicago/Turabian StyleOuji-Sageshima, Noriko, Aiko Hiyama, Makiko Kumamoto, Masahiro Kitabatake, Atsushi Hara, Ryutaro Furukawa, Shigeto Hontsu, Takeshi Kawaguchi, Noriyoshi Sawabata, Shigeo Muro, and et al. 2024. "Adipose-Derived Mesenchymal Stem Cells (ADSCs) Have Anti-Fibrotic Effects on Lung Fibroblasts from Idiopathic Pulmonary Fibrosis (IPF) Patients" Cells 13, no. 24: 2050. https://doi.org/10.3390/cells13242050
APA StyleOuji-Sageshima, N., Hiyama, A., Kumamoto, M., Kitabatake, M., Hara, A., Furukawa, R., Hontsu, S., Kawaguchi, T., Sawabata, N., Muro, S., & Ito, T. (2024). Adipose-Derived Mesenchymal Stem Cells (ADSCs) Have Anti-Fibrotic Effects on Lung Fibroblasts from Idiopathic Pulmonary Fibrosis (IPF) Patients. Cells, 13(24), 2050. https://doi.org/10.3390/cells13242050

