Sudden Intrauterine Unexplained Death (SIUD) and Oxidative Stress: Placental Immunohistochemical Markers
Abstract
1. Introduction
2. Materials and Methods
2.1. Subjects and Data Collection
2.2. Methods
Description of Oxidative Stress Markers
| Primary Antibody | Dilution |
|---|---|
| NOX2 (Santa Cruz, CA, USA) | 1:50 |
| iNOS (Santa Cruz, CA, USA) | 1:100 |
| NT (Santa Cruz, CA, USA) | 1:600 |
| 8-OHdG (JalCA, Tokyo, Japan) | 1:10 |
| IL-6 (Santa Cruz, CA, USA) | 1:200 |
| Marker | Characteristics |
|---|---|
| NOX 2 | Protein encoded by the CYBB gene in humans actively generates reactive oxygen species (ROS). |
| iNOS | The NOS2 gene in humans encodes the inducible form of enzyme, nitric oxide synthase. |
| NT | NT is a crucial marker of cell damage, inflammation, and NO production, formed as a result of tyrosine nitration mediated by reactive nitrogen species like peroxynitrite anion and nitrogen dioxide. |
| 8-HODG | 8-hydroxy-2′-deoxyguanosine is an oxidized derivate of deoxyguanosine and one of the significant products of DNA oxidation. Concentrations of 8-HODG serve as indicators of oxidative stress levels within the cell. |
| IL-6 | IL-6 is a multifunctional cytokine secreted by macrophages and T lymphocytes to stimulate the immune response in various situations, such as trauma or infection. It can penetrate the blood–brain barrier. |
2.3. Statistical Analysis
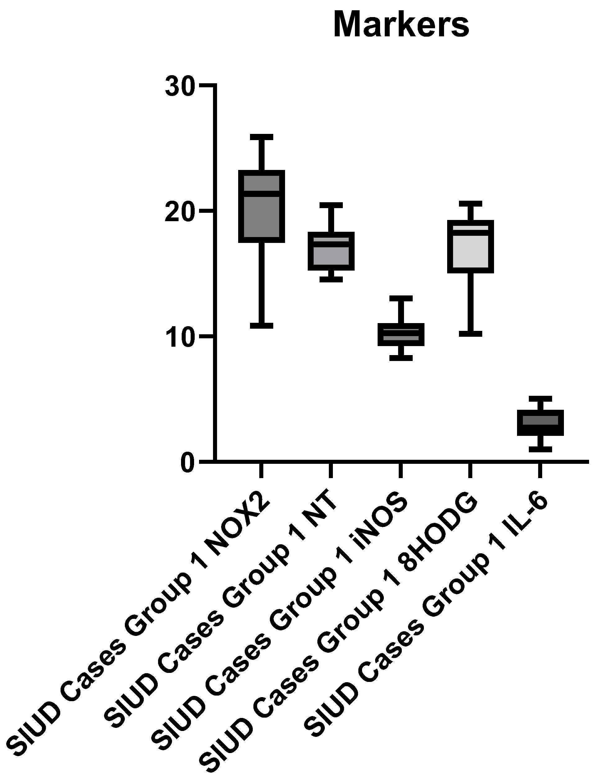
3. Results
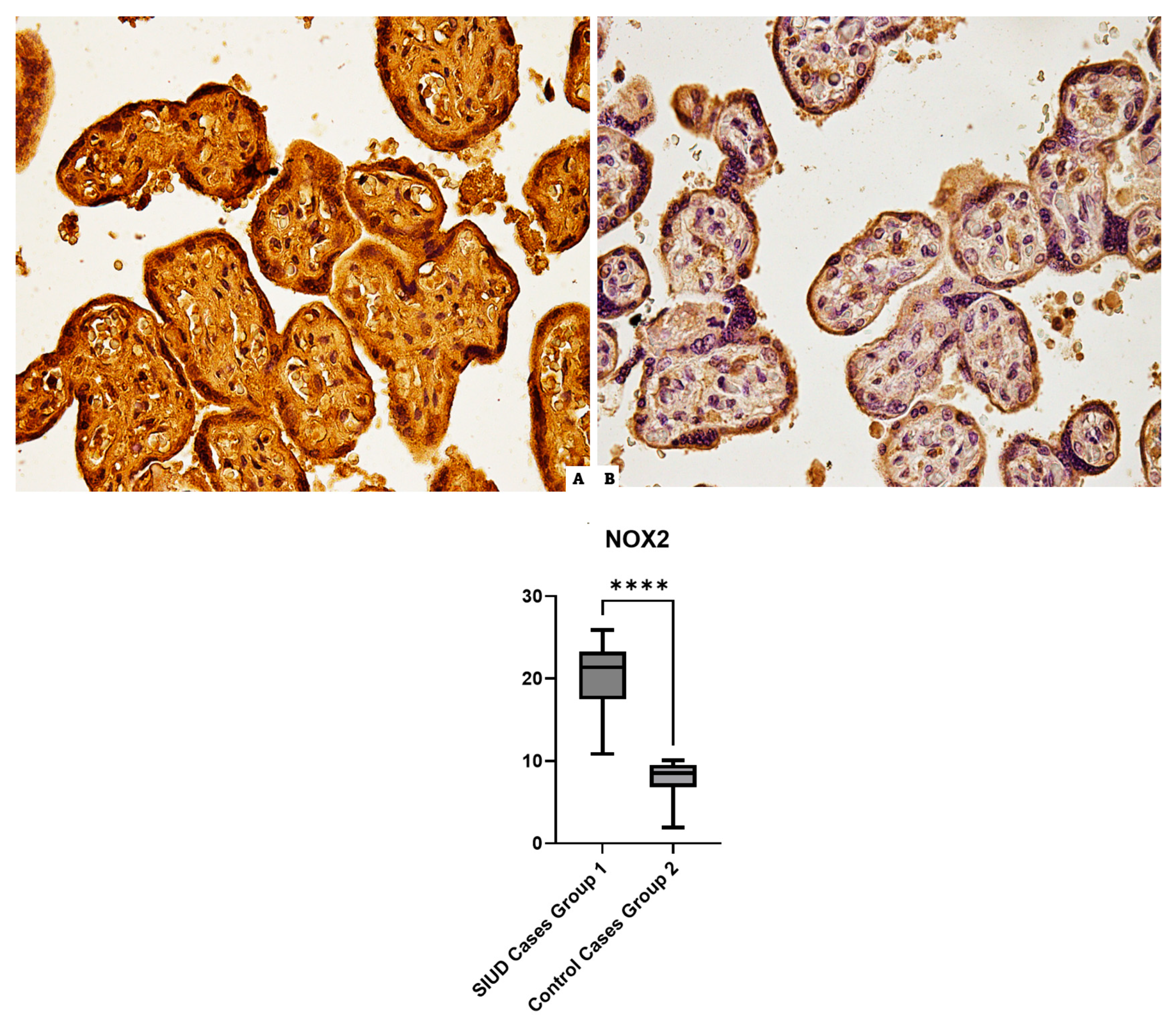
3.1. NOX2
3.2. NT
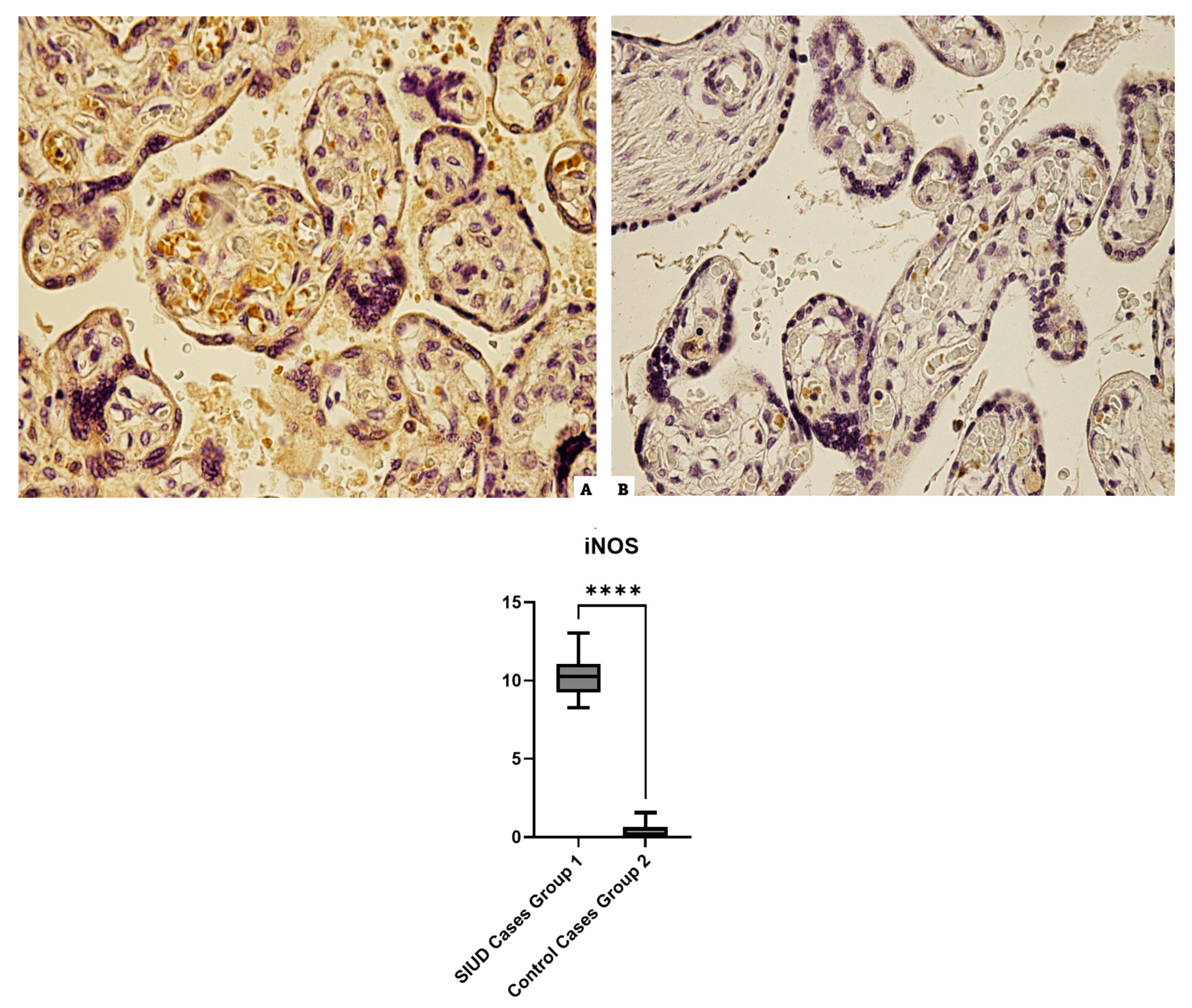
3.3. iNOS
3.4. 8-HODG
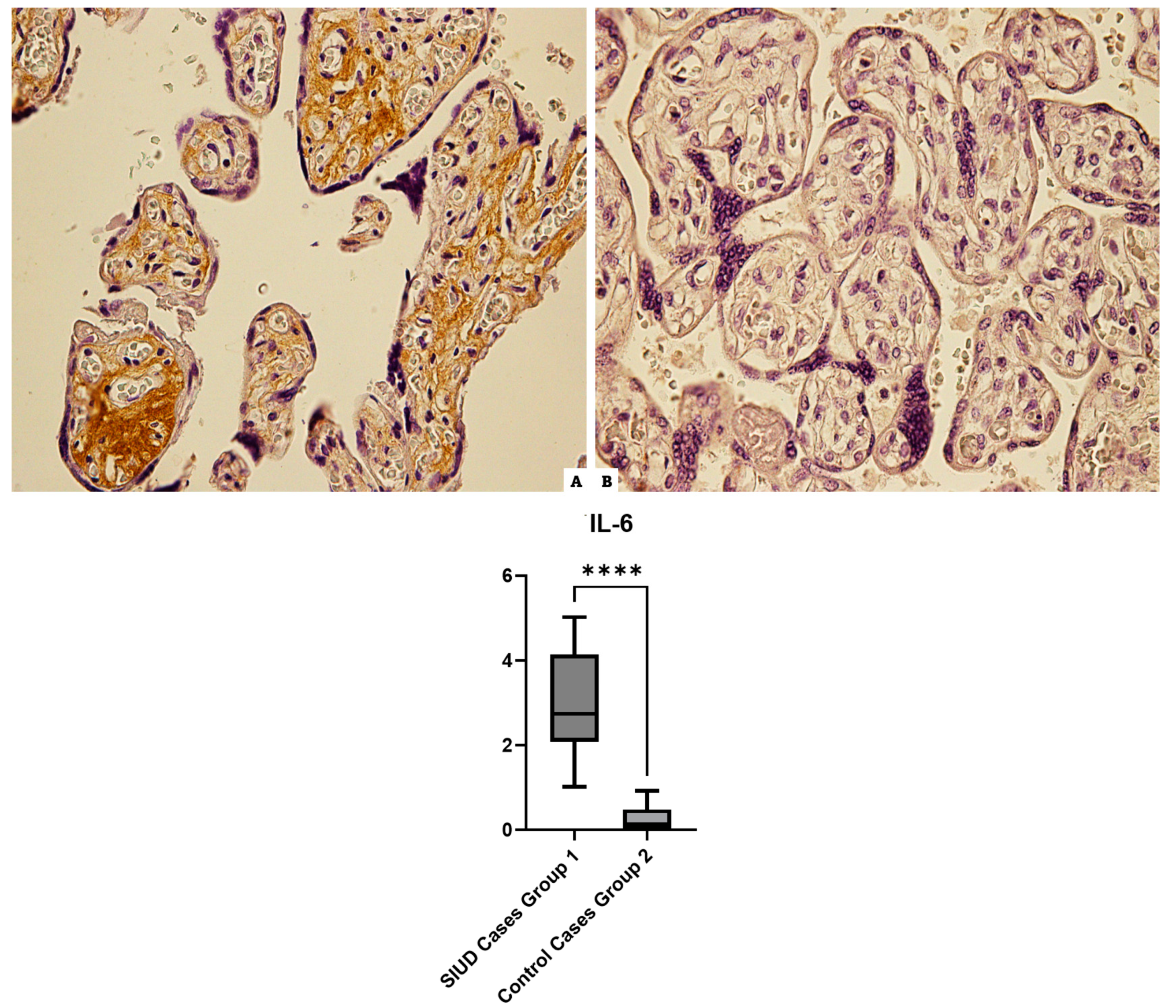
3.5. IL-6
4. Discussion
5. Conclusions
Author Contributions
Funding
Institutional Review Board Statement
Informed Consent Statement
Data Availability Statement
Acknowledgments
Conflicts of Interest
References
- Matturri, L.; Ottaviani, G.; Lavezzi, A.M. Autoptic Examination in Sudden Infant Death Syndrome and Sudden Intrauterine Unexpected Death: Proposal of a National Law. J. Matern.-Fetal Neonatal Med. 2004, 16 (Suppl. S2), 43–45. [Google Scholar] [CrossRef]
- Lavezzi, A. Proposal of the Acronym “SIUDS” for Unexplained Stillbirths, Like “SIDS”. J. Neonatal Biol. 2014, 3, 5. [Google Scholar] [CrossRef]
- Ottaviani, G. Defining Sudden Infant Death and Sudden Intrauterine Unexpected Death Syndromes with Regard to Anatomo-Pathological Examination. Front. Pediatr. 2016, 4, 103. [Google Scholar] [CrossRef] [PubMed]
- Ottaviani, G. Crib Death-Sudden Infant Death Syndrome (SIDS): Sudden Infant and Perinatal Unexplained Death: The Pathologist’s Viewpoint, 2nd ed.; Springer: Berlin/Heidelberg, Germany, 2014; ISBN 978-3-319-08347-6. [Google Scholar]
- Simeoni, S.; Frova, L.; De Curtis, M. Inequalities in Infant Mortality in Italy. Ital. J. Pediatr. 2019, 45, 11. [Google Scholar] [CrossRef] [PubMed]
- Frøen, J.F.; Arnestad, M.; Vege, A.; Irgens, L.M.; Rognum, T.O.; Saugstad, O.D.; Stray-Pedersen, B. Comparative Epidemiology of Sudden Infant Death Syndrome and Sudden Intrauterine Unexplained Death. Arch. Dis. Child. Fetal Neonatal Ed. 2002, 87, F118–F121. [Google Scholar] [CrossRef] [PubMed]
- Grzeszczak, K.; Łanocha-Arendarczyk, N.; Malinowski, W.; Ziętek, P.; Kosik-Bogacka, D. Oxidative Stress in Pregnancy. Biomolecules 2023, 13, 1768. [Google Scholar] [CrossRef] [PubMed]
- Greco, P.; Nencini, G.; Piva, I.; Scioscia, M.; Volta, C.A.; Spadaro, S.; Neri, M.; Bonaccorsi, G.; Greco, F.; Cocco, I.; et al. Pathophysiology of Hypoxic-Ischemic Encephalopathy: A Review of the Past and a View on the Future. Acta Neurol. Belg. 2020, 120, 277–288. [Google Scholar] [CrossRef] [PubMed]
- McCord, J.M.; Fridovich, I. Superoxide Dismutase. An Enzymic Function for Erythrocuprein (Hemocuprein). J. Biol. Chem. 1969, 244, 6049–6055. [Google Scholar] [CrossRef] [PubMed]
- Valko, M.; Rhodes, C.J.; Moncol, J.; Izakovic, M.; Mazur, M. Free Radicals, Metals and Antioxidants in Oxidative Stress-Induced Cancer. Chem. Biol. Interact. 2006, 160, 1–40. [Google Scholar] [CrossRef]
- Danielson, P.B. The Cytochrome P450 Superfamily: Biochemistry, Evolution and Drug Metabolism in Humans. Curr. Drug Metab. 2002, 3, 561–597. [Google Scholar] [CrossRef]
- Fuchs, J. Oxidative Injury in Dermatopathology; Springer: Berlin/Heidelberg, Germany, 1992. [Google Scholar]
- Haber, F.; Weiss, J. Über Die Katalyse Des Hydroperoxydes. Naturwissenschaften 1932, 20, 948–950. [Google Scholar] [CrossRef]
- Culotta, V.C.; Yang, M.; O’Halloran, T.V. Activation of Superoxide Dismutases: Putting the Metal to the Pedal. Biochim. Biophys. Acta 2006, 1763, 747–758. [Google Scholar] [CrossRef] [PubMed]
- Hayes, J.D.; Flanagan, J.U.; Jowsey, I.R. Glutathione Transferases. Annu. Rev. Pharmacol. Toxicol. 2005, 45, 51–88. [Google Scholar] [CrossRef] [PubMed]
- Rahuman, A.A.; Gopalakrishnan, G.; Ghouse, B.S.; Arumugam, S.; Himalayan, B. Effect of Feronia Limonia on Mosquito Larvae. Fitoterapia 2000, 71, 553–555. [Google Scholar] [CrossRef] [PubMed]
- Marrocco, I.; Altieri, F.; Peluso, I. Measurement and Clinical Significance of Biomarkers of Oxidative Stress in Humans. Oxid. Med. Cell. Longev. 2017, 2017, 6501046. [Google Scholar] [CrossRef]
- Fussell, J.C.; Jauniaux, E.; Smith, R.B.; Burton, G.J. Ambient Air Pollution and Adverse Birth Outcomes: A Review of Underlying Mechanisms. BJOG Int. J. Obstet. Gynaecol. 2024, 131, 538–550. [Google Scholar] [CrossRef] [PubMed]
- Burton, G.J.; Yung, H.W.; Murray, A.J. Mitochondrial–Endoplasmic Reticulum Interactions in the Trophoblast: Stress and Senescence. Placenta 2017, 52, 146–155. [Google Scholar] [CrossRef] [PubMed]
- Cox, L.S.; Redman, C. The Role of Cellular Senescence in Ageing of the Placenta. Placenta 2017, 52, 139–145. [Google Scholar] [CrossRef] [PubMed]
- Sinding, M.; Peters, D.A.; Frøkjær, J.B.; Christiansen, O.B.; Uldbjerg, N.; Sørensen, A. Reduced Placental Oxygenation during Subclinical Uterine Contractions as Assessed by BOLD MRI. Placenta 2016, 39, 16–20. [Google Scholar] [CrossRef] [PubMed]
- Hung, T.-H.; Skepper, J.N.; Charnock-Jones, D.S.; Burton, G.J. Hypoxia-Reoxygenation: A Potent Inducer of Apoptotic Changes in the Human Placenta and Possible Etiological Factor in Preeclampsia. Circ. Res. 2002, 90, 1274–1281. [Google Scholar] [CrossRef]
- Rodier, F.; Coppé, J.-P.; Patil, C.K.; Hoeijmakers, W.A.M.; Muñoz, D.P.; Raza, S.R.; Freund, A.; Campeau, E.; Davalos, A.R.; Campisi, J. Persistent DNA Damage Signalling Triggers Senescence-Associated Inflammatory Cytokine Secretion. Nat. Cell Biol. 2009, 11, 973–979. [Google Scholar] [CrossRef]
- Baldari, B.; De Simone, S.; Cipolloni, L.; Frisoni, P.; Alfieri, L.; D’Errico, S.; Fineschi, V.; Turillazzi, E.; Greco, P.; Vitagliano, A.; et al. Oxidative Stress Markers in Human Brain and Placenta May Reveal the Timing of Hypoxic-Ischemic Injury: Evidence from an Immunohistochemical Study. Int. J. Mol. Sci. 2023, 24, 12221. [Google Scholar] [CrossRef] [PubMed]
- Schiavone, S.; Neri, M.; Trabace, L.; Turillazzi, E. The NADPH Oxidase NOX2 Mediates Loss of Parvalbumin Interneurons in Traumatic Brain Injury: Human Autoptic Immunohistochemical Evidence. Sci. Rep. 2017, 7, 8752. [Google Scholar] [CrossRef] [PubMed]
- Schiavone, S.; Neri, M.; Maffione, A.B.; Frisoni, P.; Morgese, M.G.; Trabace, L.; Turillazzi, E. Increased iNOS and Nitrosative Stress in Dopaminergic Neurons of MDMA-Exposed Rats. Int. J. Mol. Sci. 2019, 20, 1242. [Google Scholar] [CrossRef] [PubMed]
- Burton, G.J.; Jauniaux, E. Oxidative Stress. Best Pract. Res. Clin. Obstet. Gynaecol. 2011, 25, 287–299. [Google Scholar] [CrossRef] [PubMed]
- Grossini, E.; Aquino, C.I.; Venkatesan, S.; Troìa, L.; Tizzoni, E.; Fumagalli, F.; Ferrante, D.; Vaschetto, R.; Remorgida, V.; Surico, D. Plasma Redox Balance in Advanced-Maternal-Age Pregnant Women and Effects of Plasma on Umbilical Cord Mesenchymal Stem Cells. Int. J. Mol. Sci. 2024, 25, 4869. [Google Scholar] [CrossRef] [PubMed]
- Lattuada, D.; Alfonsi, G.; Roncati, L.; Pusiol, T.; Bulfoni, A.; Ferrero, S.; Lavezzi, A.M. Mitochondrial DNA Content: A New Biomarker for Sudden Intrauterine Unexplained Death Syndrome (SIUDS). Mitochondrion 2018, 40, 13–15. [Google Scholar] [CrossRef] [PubMed]
- Lawn, J.E.; Blencowe, H.; Waiswa, P.; Amouzou, A.; Mathers, C.; Hogan, D.; Flenady, V.; Frøen, J.F.; Qureshi, Z.U.; Calderwood, C.; et al. Stillbirths: Rates, Risk Factors, and Acceleration towards 2030. Lancet 2016, 387, 587–603. [Google Scholar] [CrossRef] [PubMed]
- de Bernis, L.; Kinney, M.V.; Stones, W.; Ten Hoope-Bender, P.; Vivio, D.; Leisher, S.H.; Bhutta, Z.A.; Gülmezoglu, M.; Mathai, M.; Belizán, J.M.; et al. Stillbirths: Ending Preventable Deaths by 2030. Lancet 2016, 387, 703–716. [Google Scholar] [CrossRef] [PubMed]
- Nappi, L.; Trezza, F.; Bufo, P.; Riezzo, I.; Turillazzi, E.; Borghi, C.; Bonaccorsi, G.; Scutiero, G.; Fineschi, V.; Greco, P. Classification of Stillbirths Is an Ongoing Dilemma. J. Perinat. Med. 2016, 44, 837–843. [Google Scholar] [CrossRef]
- Watson, A.; Palmer, M.; Jauniaux, E.; Burton, G. Evidence for Oxygen-Derived Free Radical Mediated Damage to First Trimester Human Trophoblast in Vitro. Placenta 1998, 19, 259–276. [Google Scholar] [CrossRef]
- Ferrari, F.; Facchinetti, F.; Saade, G.; Menon, R. Placental Telomere Shortening in Stillbirth: A Sign of Premature Senescence? J. Matern.-Fetal Neonatal Med. 2016, 29, 1283–1288. [Google Scholar] [CrossRef]
- Hung, T.H.; Skepper, J.N.; Burton, G.J. In Vitro Ischemia-Reperfusion Injury in Term Human Placenta as a Model for Oxidative Stress in Pathological Pregnancies. Am. J. Pathol. 2001, 159, 1031–1043. [Google Scholar] [CrossRef]
- Many, A.; Hubel, C.A.; Fisher, S.J.; Roberts, J.M.; Zhou, Y. Invasive Cytotrophoblasts Manifest Evidence of Oxidative Stress in Preeclampsia. Am. J. Pathol. 2000, 156, 321–331. [Google Scholar] [CrossRef]






| Case Id | Group | Gender | Gestational Age (Weeks + Days) | Maternal Age (Years) | Type of Delivery | Weight (Grams) |
|---|---|---|---|---|---|---|
| 1 | 1 | Male | 39 | 38 | Vaginal | 3296 |
| 2 | 1 | Female | 40 | 24 | Vaginal | 3200 |
| 3 | 1 | Male | 38 + 2 | 19 | Cesarean | 3580 |
| 4 | 1 | Male | 41 | 43 | Cesarean | 3000 |
| 5 | 1 | Male | 39 + 2 | 39 | Vaginal | 3450 |
| 6 | 1 | Female | 40 | 23 | Vaginal | 3200 |
| 7 | 1 | Male | 39 + 2 | 45 | Cesarean | 4000 |
| 8 | 1 | Female | 40 | 27 | Vaginal | 2900 |
| 9 | 1 | Female | 41 + 3 | 42 | Vaginal | 3120 |
| 10 | 1 | Male | 41 + 2 | 36 | Cesarean | 3369 |
| 11 | 1 | Female | 40 | 42 | Cesarean | 3560 |
| 12 | 1 | Female | 41 | 39 | Cesarean | 3600 |
| 13 | 1 | Male | 37 + 2 | 25 | Vaginal | 2950 |
| 14 | 1 | Female | 37 + 1 | 44 | Vaginal | 2890 |
| 15 | 1 | Female | 41 + 2 | 39 | Cesarean | 3050 |
| 16 | 2 Control | Male | 40 | 30 | Cesarean | 3600 |
| 17 | 2 Control | Male | 41 | 42 | Vaginal | 3450 |
| 18 | 2 Control | Female | 40 | 24 | Cesarean | 3600 |
| 19 | 2 Control | Male | 41 | 43 | Vaginal | 2920 |
| 20 | 2 Control | Female | 39 + 3 | 25 | Cesarean | 3500 |
| 21 | 2 Control | Female | 41 + 3 | 19 | Vaginal | 2960 |
| 22 | 2 Control | Female | 41 | 45 | Cesarean | 3200 |
| 23 | 2 Control | Male | 38 + 4 | 41 | Vaginal | 3600 |
| 24 | 2 Control | Female | 37 + 4 | 39 | Cesarean | 2900 |
| 25 | 2 Control | Male | 40 + 1 | 42 | Vaginal | 3820 |
Disclaimer/Publisher’s Note: The statements, opinions and data contained in all publications are solely those of the individual author(s) and contributor(s) and not of MDPI and/or the editor(s). MDPI and/or the editor(s) disclaim responsibility for any injury to people or property resulting from any ideas, methods, instructions or products referred to in the content. |
© 2024 by the authors. Licensee MDPI, Basel, Switzerland. This article is an open access article distributed under the terms and conditions of the Creative Commons Attribution (CC BY) license (https://creativecommons.org/licenses/by/4.0/).
Share and Cite
Montana, A.; Alfieri, L.; Marino, R.; Greco, P.; Taliento, C.; Fulcheri, E.; Tini, A.; Buffelli, F.; Neri, M. Sudden Intrauterine Unexplained Death (SIUD) and Oxidative Stress: Placental Immunohistochemical Markers. Cells 2024, 13, 1347. https://doi.org/10.3390/cells13161347
Montana A, Alfieri L, Marino R, Greco P, Taliento C, Fulcheri E, Tini A, Buffelli F, Neri M. Sudden Intrauterine Unexplained Death (SIUD) and Oxidative Stress: Placental Immunohistochemical Markers. Cells. 2024; 13(16):1347. https://doi.org/10.3390/cells13161347
Chicago/Turabian StyleMontana, Angelo, Letizia Alfieri, Raffaella Marino, Pantaleo Greco, Cristina Taliento, Ezio Fulcheri, Anastasio Tini, Francesca Buffelli, and Margherita Neri. 2024. "Sudden Intrauterine Unexplained Death (SIUD) and Oxidative Stress: Placental Immunohistochemical Markers" Cells 13, no. 16: 1347. https://doi.org/10.3390/cells13161347
APA StyleMontana, A., Alfieri, L., Marino, R., Greco, P., Taliento, C., Fulcheri, E., Tini, A., Buffelli, F., & Neri, M. (2024). Sudden Intrauterine Unexplained Death (SIUD) and Oxidative Stress: Placental Immunohistochemical Markers. Cells, 13(16), 1347. https://doi.org/10.3390/cells13161347

