Hump-Nosed Pit Viper (Hypnale hypnale) Venom-Induced Irreversible Red Blood Cell Aggregation, Inhibition by Monovalent Anti-Venom and N-Acetylcysteine
Abstract
1. Introduction
2. Materials and Methods
2.1. Chemicals, Reagents, Anti-Venoms, and Snake Venom
2.2. Ethics Statement
2.3. Preparation of Hh Monovalent Anti-Venom and Affinity Purification of Immunoglobulin G Fraction
2.4. Preparation of Bioactives, Sugars, and Anti-Venoms for Inhibition of RBCs Aggregation or Disaggregation Studies
2.5. Isolation of Human Red Blood Cells (RBCs)
2.6. Preparation of Platelet-Rich Plasma and Washed Platelets
2.7. Bright-Field Microscopic Images of RBCs Using Giemsa Stain
2.8. Methemoglobin Formation in Washed RBCs and Whole Blood
2.9. Estimation of Lactate Dehydrogenase (LDH) Release
2.10. Estimation of Reactive Oxygen Species (ROS) and Intracellular Calcium (Ca2+) Ion Concentration
2.11. Measurement of Osmotic Fragility
2.12. Determination of Glucose-6 Phosphate Dehydrogenase Activity
2.13. Measurement of Glucose Utilization
2.14. Measurement of Na+/K+ -ATPase Activity
2.15. Flow Cytometric Analysis (FACS)
2.16. Effect of RBC Aggregates on Plasma Recalcification Time
2.17. Effect of RBC Aggregates on Platelet Aggregation
2.18. Determination of Viability of RBCs Using Calcein-AM
2.19. Cytoskeletal F-Actin Disorganization in RBCs
2.20. Scanning Electron Microscopy (SEM) of Hhv-Treated RBCs
2.21. Statistical Analysis
3. Results and Discussion
3.1. Hhv-Induced Crenation and Aggregation of RBCs
3.2. Hhv-Induced RBCs Aggregation Which Was Independent of ROS and Intracellular Calcium Ion Concentration
3.3. Hhv-Induced F-Actin Disarray and Deformability of RBCs
3.4. Hhv-Induced RBC Aggregates Exhibit Pro-Coagulant Activity but Did Not Affect Platelets
3.5. Hhv-Induced Alterations in Membrane Fluidity and Metabolic Functions in Washed RBCs
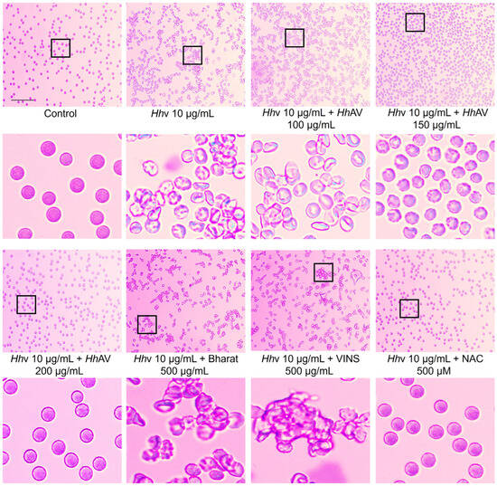
3.6. Hhv-Induced RBCs Aggregation, Inhibition, or Dis-Aggregation by Bioactives, Sugars, and Anti-Venoms
4. Conclusions
Supplementary Materials
Author Contributions
Funding
Institutional Review Board Statement
Informed Consent Statement
Data Availability Statement
Acknowledgments
Conflicts of Interest
References
- Williams, D.J.; Faiz, M.A.; Abela-Ridder, B.; Ainsworth, S.; Bulfone, T.C.; Nickerson, A.D.; Habib, A.G.; Junghanss, T.; Fan, H.W.; Turner, M. Strategy for a globally coordinated response to a priority neglected tropical disease: Snakebite envenoming. PLoS Neglected Trop. Dis. 2019, 13, e0007059. [Google Scholar] [CrossRef] [PubMed]
- Suraweera, W.; Warrell, D.; Whitaker, R.; Menon, G.; Rodrigues, R.; Fu, S.H.; Begum, R.; Sati, P.; Piyasena, K.; Bhatia, M. Trends in snakebite deaths in India from 2000 to 2019 in a nationally representative mortality study. Elife 2020, 9, e54076. [Google Scholar] [CrossRef]
- Senji Laxme, R.R.; Khochare, S.; de Souza, H.F.; Ahuja, B.; Suranse, V.; Martin, G.; Whitaker, R.; Sunagar, K. Beyond the ‘big four’: Venom profiling of the medically important yet neglected Indian snakes reveals disturbing antivenom deficiencies. PLoS Neglected Trop. Dis. 2019, 13, e0007899. [Google Scholar] [CrossRef] [PubMed]
- Gopalakrishnan, M.; Saurabh, S.; Sagar, P.; Bammigatti, C.; Dutta, T.K. A simple mortality risk prediction score for viper envenoming in India (VENOMS): A model development and validation study. PLoS Neglected Trop. Dis. 2022, 16, e0010183. [Google Scholar] [CrossRef] [PubMed]
- Gutiérrez, J.M.; Calvete, J.J.; Habib, A.G.; Harrison, R.A.; Williams, D.J.; Warrell, D.A. Snakebite envenoming. Nat. Rev. Dis. Primers 2017, 3, 17063. [Google Scholar] [CrossRef] [PubMed]
- Oliveira, A.L.; Viegas, M.F.; da Silva, S.L.; Soares, A.M.; Ramos, M.J.; Fernandes, P.A. The chemistry of snake venom and its medicinal potential. Nat. Rev. Chem. 2022, 6, 451–469. [Google Scholar] [CrossRef] [PubMed]
- Petejova, N.; Martinek, A.; Zadrazil, J.; Teplan, V. Acute toxic kidney injury. Ren. Fail. 2019, 41, 576–594. [Google Scholar] [CrossRef] [PubMed]
- Joseph, J.K.; Simpson, I.D.; Menon, N.C.S.; Jose, M.P.; Kulkarni, K.J.; Raghavendra, G.B.; Warrell, D.A. First authenticated cases of life-threatening envenoming by the hump-nosed pit viper (Hypnale hypnale) in India. Trans. R. Soc. Trop. Med. Hyg. 2007, 101, 85–90. [Google Scholar] [CrossRef] [PubMed]
- Maduwage, K.; Silva, A.; Manamendra-Arachchi, K.; Pethiyagoda, R. A taxonomic revision of the South Asian hump-nosed pit vipers (Squamata: Viperidae: Hypnale). Zootaxa 2009, 2232, 1–28. [Google Scholar] [CrossRef]
- Sandesha, V.D.; Darshan, B.; Tejas, C.; Girish, K.S.; Kempaiah, K. A comparative cross-reactivity and paraspecific neutralization study on Hypnale hypnale, Echis carinatus, and Daboia russelii monovalent and therapeutic polyvalent anti-venoms. PLoS Neglected Trop. Dis. 2022, 16, e0010292. [Google Scholar] [CrossRef]
- Katkar, G.D.; Sundaram, M.S.; Hemshekhar, M.; Sharma, D.R.; Santhosh, M.S.; Sunitha, K.; Rangappa, K.S.; Girish, K.S.; Kemparaju, K. Melatonin alleviates Echis carinatus venom-induced toxicities by modulating inflammatory mediators and oxidative stress. J. Pineal Res. 2014, 56, 295–312. [Google Scholar] [CrossRef] [PubMed]
- Cotrim, C.A.; de Oliveira, S.C.; Diz Filho, E.B.; Fonseca, F.V.; Baldissera, L., Jr.; Antunes, E.; Ximenes, R.M.; Monteiro, H.S.; Rabello, M.M.; Hernandes, M.Z.; et al. Quercetin as an inhibitor of snake venom secretory phospholipase A2. Chem. Biol. Interact. 2011, 189, 9–16. [Google Scholar] [CrossRef] [PubMed]
- Ferreira, L.A.; Henriques, O.B.; Andreoni, A.A.; Vital, G.R.; Campos, M.M.; Habermehl, G.G.; de Moraes, V.L. Antivenom and biological effects of ar-turmerone isolated from Curcuma longa (Zingiberaceae). Toxicon 1992, 30, 1211–1218. [Google Scholar] [CrossRef]
- Katkar, G.D.; Sharma, R.D.; Vishalakshi, G.J.; Naveenkumar, S.K.; Madhur, G.; Thushara, R.M.; Narender, T.; Girish, K.S.; Kemparaju, K. Lupeol derivative mitigates Echis carinatus venom-induced tissue destruction by neutralizing venom toxins and protecting collagen and angiogenic receptors on inflammatory cells. Biochim. Biophys. Acta BBA Gen. Subj. 2015, 1850, 2393–2409. [Google Scholar] [CrossRef] [PubMed]
- Santhosh, M.S.; Thushara, R.M.; Hemshekhar, M.; Sunitha, K.; Devaraja, S.; Kemparaju, K.; Girish, K.S. Alleviation of viper venom induced platelet apoptosis by crocin (Crocus sativus): Implications for thrombocytopenia in viper bites. J. Thromb. Thrombolysis 2013, 36, 424–432. [Google Scholar] [CrossRef] [PubMed]
- Sunitha, K.; Hemshekhar, M.; Santhosh, M.S.; Kumar, M.S.; Kemparaju, K.; Girish, K.S. Inhibition of hemorrhagic activity of viper venoms by N-acetyl cysteine: Involvement of N-acetyl and thiol groups. Curr. Top. Med. Chem. 2011, 11, 2589–2600. [Google Scholar] [CrossRef]
- Sunitha, K.; Hemshekhar, M.; Thushara, R.M.; Santhosh, M.S.; Yariswamy, M.; Kemparaju, K.; Girish, K.S. N-Acetylcysteine amide: A derivative to fulfill the promises of N-Acetylcysteine. Free Radic. Res. 2013, 47, 357–367. [Google Scholar] [CrossRef] [PubMed]
- Bavarsad Shahripour, R.; Harrigan, M.R.; Alexandrov, A.V. N-acetylcysteine (NAC) in neurological disorders: Mechanisms of action and therapeutic opportunities. Brain Behav. 2014, 4, 108–122. [Google Scholar] [CrossRef] [PubMed]
- Sirur, F.M.; Balakrishnan, J.M.; Lath, V. Hump-Nosed Pit Viper Envenomation in Western Coastal India: A Case Series. Wilderness Environ. Med. 2022, 33, 399–405. [Google Scholar] [CrossRef]
- Kuhn, V.; Diederich, L.; Keller, T.C.S.; Kramer, C.M.; Lückstädt, W.; Panknin, C.; Suvorava, T.; Isakson, B.E.; Kelm, M.; Cortese-Krott, M.M. Red Blood Cell Function and Dysfunction: Redox Regulation, Nitric Oxide Metabolism, Anemia. Antioxid. Redox Signal. 2017, 26, 718–742. [Google Scholar] [CrossRef]
- Shashidharamurthy, R.; Jagadeesha, D.K.; Girish, K.S.; Kemparaju, K. Variations in biochemical and pharmacological properties of Indian cobra (Naja naja naja) venom due to geographical distribution. Mol. Cell. Biochem. 2002, 229, 93–101. [Google Scholar] [CrossRef]
- Lowry, O.H.; Rosebrough, N.J.; Farr, A.L.; Randall, R.J. Protein measurement with the Folin phenol reagent. J. Biol. Chem. 1951, 193, 265–275. [Google Scholar] [CrossRef]
- Sugawara, Y.; Shigemasa, Y.; Hayashi, Y.; Abe, Y.; Ohgushi, I.; Ueno, E. New mode (molecular-sensing) of heinz body formation mechanisms inherent in human erythrocytes: Basis for understanding of clinical aspects of drug-induced hemolytic anemia and the like. J. Bioanal. Biomed. 2013, 5, 36–56. [Google Scholar] [CrossRef]
- NaveenKumar, S.K.; SharathBabu, B.N.; Hemshekhar, M.; Kemparaju, K.; Girish, K.S.; Mugesh, G. The role of reactive oxygen species and ferroptosis in heme-mediated activation of human platelets. ACS Chem. Biol. 2018, 13, 1996–2002. [Google Scholar] [CrossRef]
- Vishalakshi, G.J.; Hemshekhar, M.; Kemparaju, K.; Girish, K.S. Para-tertiary butyl catechol induces eryptosis in vitro via oxidative stress and hemoglobin leakage in human erythrocytes. Toxicol. Vitr. 2018, 52, 286–296. [Google Scholar] [CrossRef]
- Benesch, R.E.; Kwong, S. The stability of the heme-globin linkage in some normal, mutant, and chemically modified hemoglobins. J. Biol. Chem. 1990, 265, 14881–14885. [Google Scholar] [CrossRef]
- Driver, A.S.; Kodavanti, P.R.; Mundy, W.R. Age-related changes in reactive oxygen species production in rat brain homogenates. Neurotoxicol. Teratol. 2000, 22, 175–181. [Google Scholar] [CrossRef]
- Gyulkhandanyan, A.V.; Mutlu, A.; Freedman, J.; Leytin, V. Markers of platelet apoptosis: Methodology and applications. J. Thromb. Thrombolysis 2012, 33, 397–411. [Google Scholar] [CrossRef]
- Jain, S.K. Hyperglycemia Can Cause Membrane Lipid Peroxidation and Osmotic Fragility in Human Red Blood Cells. J. Biol. Chem. 1989, 264, 21340–21345. [Google Scholar] [CrossRef] [PubMed]
- Sundaram, M.S.; Hemshekhar, M.; Thushara, R.M.; Santhosh, M.S.; Kumar, S.K.N.; Paul, M.; Devaraja, S.; Kemparaju, K.; Rangappa, K.S.; Girish, K.S. Tamarind seed extract mitigates the liver oxidative stress in arthritic rats. Food Funct. 2014, 5, 587–597. [Google Scholar] [CrossRef] [PubMed]
- Jagadish, S.; Hemshekhar, M.; NaveenKumar, S.K.; Kumar, K.S.S.; Sundaram, M.S.; Girish, K.S.; Rangappa, K.S. Novel oxolane derivative DMTD mitigates high glucose-induced erythrocyte apoptosis by regulating oxidative stress. Toxicol. Appl. Pharmacol. 2017, 334, 167–179. [Google Scholar] [CrossRef] [PubMed]
- Sompong, W.; Cheng, H.; Adisakwattana, S. Protective Effects of Ferulic Acid on High Glucose-Induced Protein Glycation, Lipid Peroxidation, and Membrane Ion Pump Activity in Human Erythrocytes. PLoS ONE 2015, 10, e0129495. [Google Scholar] [CrossRef] [PubMed]
- Lang, P.A.; Kempe, D.S.; Tanneur, V.; Eisele, K.; Klarl, B.A.; Myssina, S.; Jendrossek, V.; Ishii, S.; Shimizu, T.; Waidmann, M. Stimulation of erythrocyte ceramide formation by platelet-activating factor. J. Cell Sci. 2005, 118, 1233–1243. [Google Scholar] [CrossRef] [PubMed]
- NaveenKumar, S.K.; Hemshekhar, M.; Sundaram, M.S.; Kemparaju, K.; Girish, K.S. Cell-free methemoglobin drives platelets to apoptosis via mitochondrial ROS-mediated activation of JNK and p38 MAP kinase. Biochem. Biophys. Res. Commun. 2017, 491, 183–191. [Google Scholar] [CrossRef] [PubMed]
- Rosenberg, P.; Condrea, E.; Fletcher, J.E.; Rapuano, B.E.; Yang, C.-C. Dissociation between enzymatic activity and pharmacological properties of snake venom phospholipases A2. Toxicon 1983, 21, 371–375. [Google Scholar] [CrossRef]
- Born, G.V.; Cross, M.J. The Aggregation of Blood Platelets. J. Physiol. 1963, 168, 178–195. [Google Scholar] [CrossRef] [PubMed]
- Chakrabarty, G.; NaveenKumar, S.K.; Kumar, S.; Mugesh, G. Modulation of redox signaling and thiol homeostasis in red blood cells by peroxiredoxin mimetics. ACS Chem. Biol. 2020, 15, 2673–2682. [Google Scholar] [CrossRef] [PubMed]
- Hayakawa, E.H.; Matsuoka, H. Detailed methodology for high resolution scanning electron microscopy (SEM) of murine malaria parasitized-erythrocytes. Parasitol. Int. 2016, 65, 539–544. [Google Scholar] [CrossRef] [PubMed]
- Baldo, C.; Jamora, C.; Yamanouye, N.; Zorn, T.M.; Moura-da-Silva, A.M. Mechanisms of vascular damage by hemorrhagic snake venom metalloproteinases: Tissue distribution and in situ hydrolysis. PLoS Neglected Trop. Dis. 2010, 4, e727. [Google Scholar] [CrossRef]
- Maduwage, K.; Isbister, G.K. Current treatment for venom-induced consumption coagulopathy resulting from snakebite. PLoS Neglected Trop. Dis. 2014, 8, e3220. [Google Scholar] [CrossRef]
- Henriksen, J.R.; Andresen, T.L.; Feldborg, L.N.; Duelund, L.; Ipsen, J.H. Understanding detergent effects on lipid membranes: A model study of lysolipids. Biophys. J. 2010, 98, 2199–2205. [Google Scholar] [CrossRef] [PubMed]
- Fletcher, J.E.; Jiang, M.S.; Tripolitis, L.; Smith, L.A.; Beech, J. Interactions in red blood cells between fatty acids and either snake venom cardiotoxin or halothane. Toxicon 1990, 28, 657–667. [Google Scholar] [CrossRef] [PubMed]
- Xie, C.; Bittenbinder, M.A.; Slagboom, J.; Arrahman, A.; Bruijns, S.; Somsen, G.W.; Vonk, F.J.; Casewell, N.R.; García-Vallejo, J.J.; Kool, J. Erythrocyte haemotoxicity profiling of snake venom toxins after nanofractionation. J. Chromatogr. B 2021, 1176, 122586. [Google Scholar] [CrossRef] [PubMed]
- Gasanov, S.E.; Dagda, R.K.; Rael, E.D. Snake Venom Cytotoxins, Phospholipase A2s, and Zn2+-dependent Metalloproteinases: Mechanisms of Action and Pharmacological Relevance. J. Clin. Toxicol. 2014, 4, 1000181. [Google Scholar] [CrossRef] [PubMed]
- Jeican, I.I.; Matei, H.; Istrate, A.; Mironescu, E.; Bâlici, Ş. Changes observed in erythrocyte cells exposed to an alternating current. Clujul Med. 2017, 90, 154–160. [Google Scholar] [CrossRef]
- Ouyang, C.; Teng, C.-M. Red blood cell aggregation by Trimeresurus mucrosquamatus snake venom. Toxicon 1978, 16, 503–508. [Google Scholar] [CrossRef] [PubMed]
- Tan, C.H.; Tan, N.H.; Sim, S.M.; Fung, S.Y.; Gnanathasan, C.A. Proteomic investigation of Sri Lankan hump-nosed pit viper (Hypnale hypnale) venom. Toxicon 2015, 93, 164–170. [Google Scholar] [CrossRef] [PubMed]
- Chanda, A.; Mukherjee, A.K. Mass spectrometric analysis to unravel the venom proteome composition of Indian snakes: Opening new avenues in clinical research. Expert Rev. Proteom. 2020, 17, 411–423. [Google Scholar] [CrossRef] [PubMed]
- Clemetson, K.J.; Morita, T.; Kini, R.M. Classification and nomenclature of snake venom C-type lectins and related proteins. Toxicon 2009, 54, 83. [Google Scholar] [CrossRef]
- Drickamer, K. C-type lectin-like domains. Curr. Opin. Struct. Biol. 1999, 9, 585–590. [Google Scholar] [CrossRef]
- Lu, Q.; Navdaev, A.; Clemetson, J.M.; Clemetson, K.J. Snake venom C-type lectins interacting with platelet receptors. Structure-function relationships and effects on haemostasis. Toxicon 2005, 45, 1089–1098. [Google Scholar] [CrossRef] [PubMed]
- Clemetson, K.J. Snaclecs (snake C-type lectins) that inhibit or activate platelets by binding to receptors. Toxicon 2010, 56, 1236–1246. [Google Scholar] [CrossRef] [PubMed]
- Kini, R.M.; Koh, C.Y. Metalloproteases Affecting Blood Coagulation, Fibrinolysis and Platelet Aggregation from Snake Venoms: Definition and Nomenclature of Interaction Sites. Toxins 2016, 8, 284. [Google Scholar] [CrossRef] [PubMed]
- Buehler, P.; Alayash, A. Oxidation of hemoglobin: Mechanisms of control in vitro and in vivo. Transfus. Altern. Transfus. Med. 2008, 9, 204–212. [Google Scholar] [CrossRef]
- Sharma, R.D.; Katkar, G.D.; Sundaram, M.S.; Paul, M.; NaveenKumar, S.K.; Swethakumar, B.; Hemshekhar, M.; Girish, K.S.; Kemparaju, K. Oxidative stress-induced methemoglobinemia is the silent killer during snakebite: A novel and strategic neutralization by melatonin. J. Pineal Res. 2015, 59, 240–254. [Google Scholar] [CrossRef] [PubMed]
- Alghareeb, S.A.; Alfhili, M.A.; Fatima, S. Molecular Mechanisms and Pathophysiological Significance of Eryptosis. Int. J. Mol. Sci. 2023, 24, 5079. [Google Scholar] [CrossRef] [PubMed]
- Orrenius, S.; Nicotera, P.; Zhivotovsky, B. Cell Death Mechanisms and Their Implications in Toxicology. Toxicol. Sci. 2010, 119, 3–19. [Google Scholar] [CrossRef] [PubMed]
- Villalta, M.; Sampaio, T.L.; de Menezes, R.; Lima, D.B.; Jorge, A.R.C.; Alves, R.S.; Monteiro, H.S.A.; Gawarammana, I.; Maduwage, K.; Malleappah, R.; et al. Nephrotoxicity induced by the venom of Hypnale hypnale from Sri Lanka: Studies on isolated perfused rat kidney and renal tubular cell lines. Toxicon 2019, 165, 40–46. [Google Scholar] [CrossRef] [PubMed]
- Maduwage, K.; Hodgson, W.C.; Konstantakopoulos, N.; O’Leary, M.A.; Gawarammana, I.; Isbister, G.K. The in vitro toxicity of venoms from South Asian hump-nosed pit vipers (Viperidae: Hypnale). J. Venom Res. 2011, 2, 17–23. [Google Scholar]
- Diez-Silva, M.; Dao, M.; Han, J.; Lim, C.T.; Suresh, S. Shape and Biomechanical Characteristics of Human Red Blood Cells in Health and Disease. MRS Bull. 2010, 35, 382–388. [Google Scholar] [CrossRef]
- Salomao, M.; Zhang, X.; Yang, Y.; Lee, S.; Hartwig, J.H.; Chasis, J.A.; Mohandas, N.; An, X. Protein 4.1R-dependent multiprotein complex: New insights into the structural organization of the red blood cell membrane. Proc. Natl. Acad. Sci. USA 2008, 105, 8026–8031. [Google Scholar] [CrossRef] [PubMed]
- Li, J.; Lykotrafitis, G.; Dao, M.; Suresh, S. Cytoskeletal dynamics of human erythrocyte. Proc. Natl. Acad. Sci. USA 2007, 104, 4937–4942. [Google Scholar] [CrossRef]
- Yau, T.W.; Kuchel, R.P.; Koh, J.M.; Szekely, D.; Mirtschin, P.J.; Kuchel, P.W. Cytoskeletal rearrangements in human red blood cells induced by snake venoms: Light microscopy of shapes and NMR studies of membrane function. Cell Biol. Int. 2012, 36, 87–97. [Google Scholar] [CrossRef] [PubMed]
- Strydom, M.A.; Bester, J.; Mbotwe, S.; Pretorius, E. The effect of physiological levels of South African puff adder (Bitis arietans) snake venom on blood cells: An in vitro model. Sci. Rep. 2016, 6, 35988. [Google Scholar] [CrossRef] [PubMed]
- Lang, F.; Lang, E.; Föller, M. Physiology and pathophysiology of eryptosis. Transfus. Med. Hemotherapy 2012, 39, 308–314. [Google Scholar] [CrossRef] [PubMed]
- Seifert, S.A.; Armitage, J.O.; Sanchez, E.E. Snake Envenomation. N. Engl. J. Med. 2022, 386, 68–78. [Google Scholar] [CrossRef]
- Latinović, Z.; Leonardi, A.; Koh, C.Y.; Kini, R.M.; Trampuš Bakija, A.; Pungerčar, J.; Križaj, I. The Procoagulant Snake Venom Serine Protease Potentially Having a Dual, Blood Coagulation Factor V and X-Activating Activity. Toxins 2020, 12, 358. [Google Scholar] [CrossRef]
- Tans, G.; Rosing, J. Snake venom activators of factor X: An overview. Haemostasis 2001, 31, 225–233. [Google Scholar] [CrossRef]
- Reinhart, W.H.; Zehnder, L.; Schulzki, T. Stored erythrocytes have less capacity than normal erythrocytes to support primary haemostasis. Thromb Haemost 2009, 101, 720–723. [Google Scholar]
- Orrico, F.; Laurance, S.; Lopez, A.C.; Lefevre, S.D.; Thomson, L.; Möller, M.N.; Ostuni, M.A. Oxidative Stress in Healthy and Pathological Red Blood Cells. Biomolecules 2023, 13, 1262. [Google Scholar] [CrossRef]
- Nagle, J.F.; Tristram-Nagle, S. Structure of lipid bilayers. Biochim. Biophys. Acta BBA Rev. Biomembr. 2000, 1469, 159–195. [Google Scholar] [CrossRef] [PubMed]
- Antwi-Baffour, S.; Adjei, J.K.; Forson, P.O.; Akakpo, S.; Kyeremeh, R.; Seidu, M.A. Comorbidity of Glucose-6-Phosphate Dehydrogenase Deficiency and Sickle Cell Disease Exert Significant Effect on RBC Indices. Anemia 2019, 2019, 3179173. [Google Scholar] [CrossRef] [PubMed]
- Alayash, A.I. Targeting the red cell enzyme pyruvate kinase with a small allosteric molecule AG-348 may correct underlying pathology of a glycolytic enzymopathy. Haematologica 2021, 106, 9–11. [Google Scholar] [CrossRef] [PubMed]
- Reinhart, W.H.; Piety, N.Z.; Shevkoplyas, S.S. Influence of red blood cell aggregation on perfusion of an artificial microvascular network. Microcirculation 2017, 24, e12317. [Google Scholar] [CrossRef] [PubMed]
- Madhushani, U.; Thakshila, P.; Hodgson, W.C.; Isbister, G.K.; Silva, A. Effect of Indian Polyvalent Antivenom in the Prevention and Reversal of Local Myotoxicity Induced by Common Cobra (Naja naja) Venom from Sri Lanka In Vitro. Toxins 2021, 13, 308. [Google Scholar] [CrossRef] [PubMed]
- Isbister, G.K.; Duffull, S.B.; Brown, S.G.A.; ASP Investigators. Failure of antivenom to improve recovery in Australian snakebite coagulopathy. QJM Int. J. Med. 2009, 102, 563–568. [Google Scholar] [CrossRef] [PubMed]
- Isbister, G.K. Antivenom efficacy or effectiveness: The Australian experience. Toxicology 2010, 268, 148–154. [Google Scholar] [CrossRef] [PubMed]
- Silva, A.; Hodgson, W.C.; Isbister, G.K. Antivenom for Neuromuscular Paralysis Resulting From Snake Envenoming. Toxins 2017, 9, 143. [Google Scholar] [CrossRef] [PubMed]
- Earl, S.T.; Robson, J.; Trabi, M.; de Jersey, J.; Masci, P.P.; Lavin, M.F. Characterisation of a mannose-binding C-type lectin from Oxyuranus scutellatus snake venom. Biochimie 2011, 93, 519–527. [Google Scholar] [CrossRef] [PubMed]
- Sartim, M.A.; Sampaio, S.V. Snake venom galactoside-binding lectins: A structural and functional overview. J. Venom. Anim. Toxins Incl. Trop. Dis. 2015, 21, 35. [Google Scholar] [CrossRef]
- Nath, K.A.; Hebbel, R.P. Sickle cell disease: Renal manifestations and mechanisms. Nat. Rev. Nephrol. 2015, 11, 161–171. [Google Scholar] [CrossRef] [PubMed]
- Stotesbury, H.; Kawadler, J.M.; Hales, P.W.; Saunders, D.E.; Clark, C.A.; Kirkham, F.J. Vascular Instability and Neurological Morbidity in Sickle Cell Disease: An Integrative Framework. Front. Neurol. 2019, 10, 871. [Google Scholar] [CrossRef] [PubMed]
- Elendu, C.; Amaechi, D.C.; Alakwe-Ojimba, C.E.; Elendu, T.C.; Elendu, R.C.; Ayabazu, C.P.; Aina, T.O.; Aborisade, O.; Adenikinju, J.S. Understanding Sickle cell disease: Causes, symptoms, and treatment options. Medicine 2023, 102, e35237. [Google Scholar] [CrossRef] [PubMed]






Disclaimer/Publisher’s Note: The statements, opinions and data contained in all publications are solely those of the individual author(s) and contributor(s) and not of MDPI and/or the editor(s). MDPI and/or the editor(s) disclaim responsibility for any injury to people or property resulting from any ideas, methods, instructions or products referred to in the content. |
© 2024 by the authors. Licensee MDPI, Basel, Switzerland. This article is an open access article distributed under the terms and conditions of the Creative Commons Attribution (CC BY) license (https://creativecommons.org/licenses/by/4.0/).
Share and Cite
Sandesha, V.D.; Naveen, P.; Manikanta, K.; Mahalingam, S.S.; Girish, K.S.; Kemparaju, K. Hump-Nosed Pit Viper (Hypnale hypnale) Venom-Induced Irreversible Red Blood Cell Aggregation, Inhibition by Monovalent Anti-Venom and N-Acetylcysteine. Cells 2024, 13, 994. https://doi.org/10.3390/cells13120994
Sandesha VD, Naveen P, Manikanta K, Mahalingam SS, Girish KS, Kemparaju K. Hump-Nosed Pit Viper (Hypnale hypnale) Venom-Induced Irreversible Red Blood Cell Aggregation, Inhibition by Monovalent Anti-Venom and N-Acetylcysteine. Cells. 2024; 13(12):994. https://doi.org/10.3390/cells13120994
Chicago/Turabian StyleSandesha, Vaddaragudisalu D., Puttaswamy Naveen, Kurnegala Manikanta, Shanmuga S. Mahalingam, Kesturu S. Girish, and Kempaiah Kemparaju. 2024. "Hump-Nosed Pit Viper (Hypnale hypnale) Venom-Induced Irreversible Red Blood Cell Aggregation, Inhibition by Monovalent Anti-Venom and N-Acetylcysteine" Cells 13, no. 12: 994. https://doi.org/10.3390/cells13120994
APA StyleSandesha, V. D., Naveen, P., Manikanta, K., Mahalingam, S. S., Girish, K. S., & Kemparaju, K. (2024). Hump-Nosed Pit Viper (Hypnale hypnale) Venom-Induced Irreversible Red Blood Cell Aggregation, Inhibition by Monovalent Anti-Venom and N-Acetylcysteine. Cells, 13(12), 994. https://doi.org/10.3390/cells13120994

