Experiences with Glofitamab Administration following CAR T Therapy in Patients with Relapsed Mantle Cell Lymphoma
Abstract
1. Introduction
2. Patients
3. Methods
4. Patient Case Descriptions
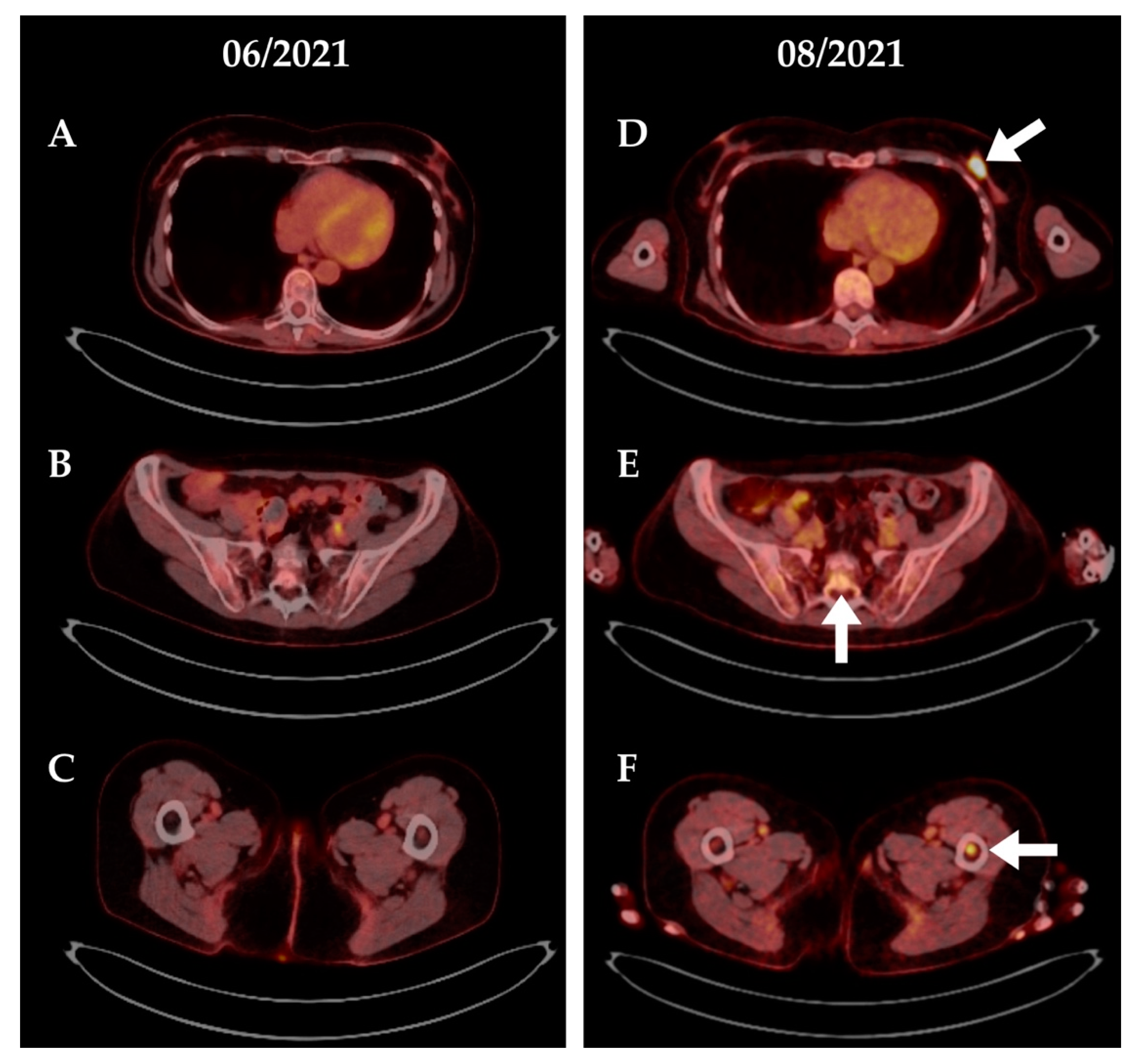
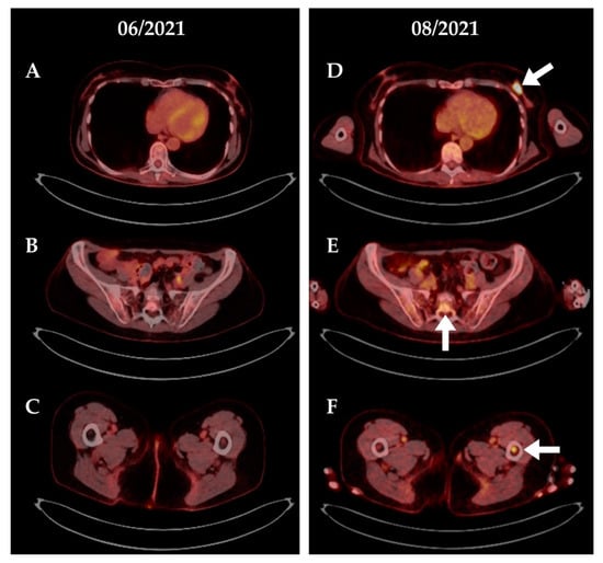
4.1. Patient #1
4.2. Patient #2
5. Discussion
Supplementary Materials
Author Contributions
Funding
Institutional Review Board Statement
Informed Consent Statement
Conflicts of Interest
References
- Cheah, C.Y.; Seymour, J.F.; Wang, M.L. Mantle cell lymphoma. J. Clin. Oncol. 2016, 34, 1256–1269. [Google Scholar] [CrossRef] [PubMed]
- Berger, M.D.; Branger, G.; Leibundgut, K.; Baerlocher, G.M.; Seipel, K.; Mueller, B.U.; Gregor, M.; Ruefer, A.; Pabst, T. CD34+ selected versus unselected autologous stem cell transplantation in patients with advanced-stage mantle cell and diffuse large B-cell lymphoma. Leuk. Res. 2015, 39, 561–567. [Google Scholar] [CrossRef] [PubMed]
- Le Gouill, S.; Thieblemont, C.; Oberic, L.; Moreau, A.; Bouabdallah, K.; Dartigeas, C.; Damaj, G.; Gastinne, T.; Ribrag, V.; Feugier, P.; et al. Rituximab after Autologous Stem-Cell Transplantation in Mantle-Cell Lymphoma. N. Engl. J. Med. 2017, 377, 1250–1260. [Google Scholar] [CrossRef]
- Wang, M.L.; Rule, S.; Martin, P.; Goy, A.; Auer, R.; Kahl, B.S.; Jurczak, W.; Advani, R.H.; Romaguera, J.E.; Williams, M.E.; et al. Targeting BTK with Ibrutinib in Relapsed or Refractory Mantle-Cell Lymphoma. N. Engl. J. Med. 2013, 369, 507–516. [Google Scholar] [CrossRef]
- Cheah, C.Y.; Chihara, D.; Romaguera, J.E.; Fowler, N.H.; Seymour, J.F.; Hagemeister, F.B.; Champlin, R.E.; Wang, M.L. Patients with mantle cell lymphoma failing ibrutinib are unlikely to respond to salvage chemotherapy and have poor outcomes. Ann. Oncol. 2015, 26, 1175–1179. [Google Scholar] [CrossRef] [PubMed]
- Wang, M.; Munoz, J.; Goy, A.; Locke, F.L.; Jacobson, C.A.; Hill, B.T.; Timmerman, J.M.; Holmes, H.; Jaglowski, S.; Flinn, I.W.; et al. KTE-X19 CAR T-Cell Therapy in Relapsed or Refractory Mantle-Cell Lymphoma. N. Engl. J. Med. 2020, 382, 1331–1342. [Google Scholar] [CrossRef] [PubMed]
- Messmer, A.S.; Que, Y.A.; Schankin, C.; Banz, Y.; Bacher, U.; Novak, U.; Pabst, T. CAR T-cell therapy and critical care: A survival guide for medical emergency teams. Wien. Klin. Wochenschr. 2021, 133, 1318–1325. [Google Scholar] [CrossRef]
- Einsele, H.; Borghaei, H.; Orlowski, R.Z.; Subklewe, M.; Roboz, G.J.; Zugmaier, G.; Kufer, P.; Iskander, K.; Kantarjian, H.M. The BiTE (bispecific T-cell engager) platform: Development and future potential of a targeted immuno-oncology therapy across tumor types. Cancer 2020, 126, 3192–3201. [Google Scholar] [CrossRef]
- Budde, L.E.; Sehn, L.H.; Matasar, M.J.; Schuster, S.J.; Assouline, S.; Giri, P.; Kuruvilla, J.; Canales, M.; Dietrich, S.; Fay, K.; et al. Mosunetuzumab Monotherapy Is an Effective and Well-Tolerated Treatment Option for Patients with Relapsed/Refractory (R/R) Follicular Lymphoma (FL) Who Have Received ≥2 Prior Lines of Therapy: Pivotal Results from a Phase I/II Study. Blood 2021, 138, 127. [Google Scholar] [CrossRef]
- Bannerji, R.; Arnason, J.E.; Advani, R.H.; Brown, J.R.; Allan, J.N.; Ansell, S.M.; Barnes, J.A.; O’Brien, S.M.; Chávez, J.C.; Duell, J.; et al. Odronextamab, a human CD20 × CD3 bispecific antibody in patients with CD20-positive B-cell malignancies (ELM-1): Results from the relapsed or refractory non-Hodgkin lymphoma cohort in a single-arm, multicentre, phase 1 trial. Lancet Haematol. 2022, 9, e327–e339. [Google Scholar] [CrossRef]
- Hutchings, M.; Morschhauser, F.; Iacoboni, G.; Carlo-Stella, C.; Offner, F.C.; Sureda, A.; Salles, G.; Martinez-Lopez, J.; Crump, M.; Thomas, D.N.; et al. Glofitamab, a Novel, Bivalent CD20-targeting t-cell-engaging bispecific antibody, induces durable complete remissions in relapsed or refractory B-Cell Lymphoma: A phase i trial. J. Clin. Oncol. 2021, 39, 1959–1970. [Google Scholar] [CrossRef] [PubMed]
- Phillips, T.; Dickinson, M.; Morschhauser, F.; Bachy, E.; Crump, M.; Trněný, M.; Bartlett, N.L.; Zaucha, J.; Humphrey, K.; Perez-Callejo, D.; et al. Glofitamab Step-up Dosing Induces High Response Rates in Patients (pts) with Relapsed or Refractory (R/R) Mantle Cell Lymphoma (MCL), Most of Whom Had Failed Prior Bruton’s Tyrosine Kinase Inhibitor (BTKi) Therapy. Blood 2021, 138, 130. [Google Scholar] [CrossRef]
- Budde, L.E.; Assouline, S.; Sehn, L.H.; Schuster, S.J.; Yoon, S.S.; Yoon, D.H.; Matasar, M.J.; Bosch, F.; Kim, W.S.; Nastoupil, L.J.; et al. Single-Agent Mosunetuzumab Shows Durable Complete Responses in Patients with Relapsed or Refractory B-Cell Lymphomas: Phase I Dose-Escalation Study. J. Clin. Oncol. 2022, 40, 481–491. [Google Scholar] [CrossRef] [PubMed]
- Rentsch, V.; Seipel, K.; Banz, Y.; Wiedemann, G.; Porret, N.; Pabst, T. Glofitamab treatment in relapsed or refractory DLBCL after CAR T-cell therapy. Cancers 2022, 14, 2516. [Google Scholar] [CrossRef]
- Pabst, T.; Joncourt, R.; Shumilov, E.; Heini, A.; Wiedemann, G.; Legros, M.; Seipel, K.; Schild, C.; Jalowiec, K.; Mansouri Taleghani, B.; et al. Analysis of IL-6 serum levels and CAR T cell-specific digital PCR in the context of cytokine release syndrome. Exp. Hematol. 2020, 88, 7–14. [Google Scholar] [CrossRef]
- Kochenderfer, J.N.; Feldman, S.A.; Zhao, Y.; Xu, H.; Black, M.A.; Morgan, R.A.; Wilson, W.H.; Rosenberg, S.A. Construction and preclinical evaluation of an anti-CD19 chimeric antigen receptor. J. Immunother. 2009, 32, 689–702. [Google Scholar] [CrossRef]
- Flores-Montero, J.; Grigore, G.; Fluxá, R.; Hernández, J.; Fernandez, P.; Almeida, J.; Muñoz, N.; Böttcher, S.; Sedek, L.; van der Velden, V.; et al. EuroFlow Lymphoid Screening Tube (LST) data base for automated identification of blood lymphocyte subsets. J. Immunol. Methods 2019, 475, 112662. [Google Scholar] [CrossRef]
- Shumilov, E.; Mazzeo, P.; Zinkernagel, M.S.; Legros, M.; Porret, N.; Romagna, L.; Haase, D.; Lenz, G.; Novak, U.; Banz, Y.; et al. Comprehensive Laboratory Diagnostic Workup for Patients with Suspected Intraocular Lymphoma including Flow Cytometry, Molecular Genetics and Cytopathology. Curr. Oncol. 2022, 29, 766–776. [Google Scholar] [CrossRef]
- Miltenyi Biotec B.V. & Co. KG. CD19 CAR Detection Reagent (Biotin) Flyer. Available online: https://www.miltenyibiotec.com/_Resources/Persistent/05b3a1b4dc07c7e4447e6d348428e215d591bebc/CD19_CAR_Detection_Reagent_%28Biotin%29_flyer.pdf (accessed on 5 July 2022).
- Heini, A.D.; Bacher, U.; Kronig, M.-N.; Wiedemann, G.; Novak, U.; Zeerleder, S.; Mansouri Taleghani, B.; Daskalakis, M.; Pabst, T. Chimeric antigen receptor T-cell therapy for relapsed mantle cell lymphoma: Real-world experience from a single tertiary care center. Bone Marrow Transplant. 2022, 57, 1010–1012. [Google Scholar] [CrossRef]
- Novak, U.; Fehr, M.; Schär, S.; Dreyling, M.; Scheubeck, G.; Ramadan, S.; Zucca, E.; Zander, T.; Hess, G.; Mey, U.; et al. Sakk 36/13 - Ibrutinib Plus Bortezomib and Ibrutinib Maintenance for Relapsed and Refractory Mantle Cell Lymphoma: Final Report of a Phase I/II Trial of the European Mcl Network. Hematol. Oncol. 2021, 39, 107. [Google Scholar] [CrossRef]
- Bröske, A.-M.E.; James, I.; Belousov, A.; Gomez, E.; Canamero, M.; Ooi, C.-H.; Grabole, N.; Wilson, S.; Korfi, K.; Kratochwil, N.A.; et al. CD20-TCB, a Novel T-Cell-Engaging Bispecific Antibody, Induces T-Cell-Mediated Killing in Relapsed or Refractory Non-Hodgkin Lymphoma: Biomarker Results From a Phase I Dose-Escalation Trial. Blood 2019, 134, 5319. [Google Scholar] [CrossRef]
- Schuster, S.J.; Bartlett, N.L.; Assouline, S.; Yoon, S.-S.; Bosch, F.; Sehn, L.H.; Cheah, C.Y.; Shadman, M.; Gregory, G.P.; Ku, M.; et al. Mosunetuzumab Induces Complete Remissions in Poor Prognosis Non-Hodgkin Lymphoma Patients, Including Those Who Are Resistant to or Relapsing After Chimeric Antigen Receptor T-Cell (CAR-T) Therapies, and Is Active in Treatment through Multiple Lines. Blood 2019, 134, 6. [Google Scholar] [CrossRef]
- Huehls, A.M.; Coupet, T.A.; Sentman, C.L. Bispecific T-cell engagers for cancer immunotherapy. Immunol. Cell Biol. 2015, 93, 290–296. [Google Scholar] [CrossRef] [PubMed]
- Smits, N.C.; Sentman, C.L. Bispecific T-cell engagers (BiTES) as treatment of B-cell lymphoma. J. Clin. Oncol. 2016, 34, 1131–1133. [Google Scholar] [CrossRef]
- Hosseini, I.; Gadkar, K.; Stefanich, E.; Li, C.C.; Sun, L.L.; Chu, Y.W.; Ramanujan, S. Mitigating the risk of cytokine release syndrome in a Phase I trial of CD20/CD3 bispecific antibody mosunetuzumab in NHL: Impact of translational system modeling. npj Syst. Biol. Appl. 2020, 6, 28. [Google Scholar] [CrossRef]
- Thiery, J.; Keefe, D.; Boulant, S.; Boucrot, E.; Walch, M.; Martinvalet, D.; Goping, I.S.; Bleackley, R.C.; Kirchhausen, T.; Lieberman, J. Perforin pores in the endosomal membrane trigger the release of endocytosed granzyme B into the cytosol of target cells. Nat. Immunol. 2011, 12, 770–777. [Google Scholar] [CrossRef]
- Tian, Z.; Liu, M.; Zhang, Y.; Wang, X. Bispecific T cell engagers: An emerging therapy for management of hematologic malignancies. J. Hematol. Oncol. 2021, 14, 75. [Google Scholar] [CrossRef]
- Au-Yeung, B.B.; Zikherman, J.; Mueller, J.L.; Ashouri, J.F.; Matloubian, M.; Cheng, D.A.; Chen, Y.; Shokat, K.M.; Weiss, A. A sharp T-cell antigen receptor signaling threshold for T-cell proliferation. Proc. Natl. Acad. Sci. USA 2014, 111, E3679–E3688. [Google Scholar] [CrossRef]
- Solouki, S.; Huang, W.; Elmore, J.; Limper, C.; Huang, F.; August, A. TCR Signal Strength and Antigen Affinity Regulate CD8 + Memory T Cells. J. Immunol. 2020, 205, 1217–1227. [Google Scholar] [CrossRef]
- Salerno, F.; Freen-van Heeren, J.J.; Guislain, A.; Nicolet, B.P.; Wolkers, M.C. Costimulation through TLR2 Drives Polyfunctional CD8 + T Cell Responses. J. Immunol. 2019, 202, 714–723. [Google Scholar] [CrossRef]
- Trinklein, N.D.; Pham, D.; Schellenberger, U.; Buelow, B.; Boudreau, A.; Choudhry, P.; Clarke, S.C.; Dang, K.; Harris, K.E.; Iyer, S.; et al. Efficient tumor killing and minimal cytokine release with novel T-cell agonist bispecific antibodies. MAbs 2019, 11, 639–652. [Google Scholar] [CrossRef] [PubMed]
- Delgoffe, G.M.; Xu, C.; Mackall, C.L.; Green, M.R.; Gottschalk, S.; Speiser, D.E.; Zehn, D.; Beavis, P.A. The role of exhaustion in CAR T cell therapy. Cancer Cell 2021, 39, 885–888. [Google Scholar] [CrossRef] [PubMed]
- Zhang, H.; Zhao, P.; Huang, H. Engineering better chimeric antigen receptor T cells. Exp. Hematol. Oncol. 2020, 9, 34. [Google Scholar] [CrossRef] [PubMed]
- Long, A.H.; Haso, W.M.; Shern, J.F.; Wanhainen, K.M.; Murgai, M.; Ingaramo, M.; Smith, J.P.; Walker, A.J.; Kohler, M.E.; Venkateshwara, V.R.; et al. 4-1BB costimulation ameliorates T cell exhaustion induced by tonic signaling of chimeric antigen receptors. Nat. Med. 2015, 21, 581–590. [Google Scholar] [CrossRef] [PubMed]
- Weber, E.W.; Parker, K.R.; Sotillo, E.; Lynn, R.C.; Anbunathan, H.; Lattin, J.; Good, Z.; Belk, J.A.; Daniel, B.; Klysz, D.; et al. Transient rest restores functionality in exhausted CAR-T cells through epigenetic remodeling. Science 2021, 372, eaba1786. [Google Scholar] [CrossRef]
- Mestermann, K.; Giavridis, T.; Weber, J.; Rydzek, J.; Frenz, S.; Nerreter, T.; Mades, A.; Sadelain, M.; Einsele, H.; Hudecek, M. The tyrosine kinase inhibitor dasatinib acts as a pharmacologic on/off switch for CAR T cells. Sci. Transl. Med. 2019, 11, eaau5907. [Google Scholar] [CrossRef]
- Shakiba, M.; Zumbo, P.; Espinosa-Carrasco, G.; Menocal, L.; Dündar, F.; Carson, S.E.; Bruno, E.M.; Sanchez-Rivera, F.J.; Lowe, S.W.; Camara, S.; et al. TCR signal strength defines distinct mechanisms of T cell dysfunction and cancer evasion. J. Exp. Med. 2021, 219, e20201966. [Google Scholar] [CrossRef]
- Bacac, M.; Colombetti, S.; Herter, S.; Sam, J.; Perro, M.; Chen, S.; Bianchi, R.; Richard, M.; Schoenle, A.; Nicolini, V.; et al. CD20-TCB with obinutuzumab pretreatment as next-generation treatment of hematologic malignancies. Clin. Cancer Res. 2018, 24, 4785–4797. [Google Scholar] [CrossRef]
- Furlan, A.; Forner, G.; Cipriani, L.; Vian, E.; Rigoli, R.; Gherlinzoni, F.; Scotton, P. COVID-19 in B Cell-Depleted Patients After Rituximab: A Diagnostic and Therapeutic Challenge. Front. Immunol. 2021, 12, 763412. [Google Scholar] [CrossRef]
- Klein, C.; Lammens, A.; Schäfer, W.; Georges, G.; Schwaiger, M.; Mössner, E.; Hopfner, K.P.; Umaña, P.; Niederfellner, G. Epitope interactions of monoclonal antibodies targeting CD20 and their relationship to functional properties. MAbs 2013, 5, 22–33. [Google Scholar] [CrossRef]
- Tobinai, K.; Klein, C.; Oya, N.; Fingerle-Rowson, G. A Review of Obinutuzumab (GA101), a Novel Type II Anti-CD20 Monoclonal Antibody, for the Treatment of Patients with B-Cell Malignancies. Adv. Ther. 2017, 34, 324–356. [Google Scholar] [CrossRef] [PubMed]
- Garcia-Munoz, R.; Aguinaga, L.; Feliu, J.; Anton-Remirez, J.; Jorge del Val, L.; Dominguez-Garrido, E.; Rabasa, P.; Panizo, C. Effects on the Human Immune System After Obinutuzumab Monotherapy Treatment. Hematol. Oncol. 2017, 35, 384–385. [Google Scholar] [CrossRef][Green Version]




| Parameter | Patient #1 | Patient #2 |
|---|---|---|
| Sex | Female | Female |
| Age at diagnosis | 56 years | 73 years |
| BM involvement at diagnosis | No | Yes, 90% |
| Disease stage at diagnosis | IIB | IVB |
| Therapy prior to glofitamab | 02/17 Diagnosis 03/17-06/17 R-CHOP/R-DHAP 07/17 HD BeEAM/ASCT 11/17-05/19 R maintenance 05/19 1st relapse 06/19-10/19 bortezomib/ibrutinib 10/19-12/20 ibrutinib maintenance 12/20 2nd relapse 01/21-03/21 R-bendamustine 03/21 FluCy/CAR T 08/21 3rd relapse 09/21-05/22 glofitamab | 06/19 Diagnosis 07/19-12/19 R-CHOP/R-DHAP 01/20-06/20 R maintenance 07/20 1st relapse 08/20-01/21 ibrutinib 02/21 2nd relapse 02/21-04/21 R-BAC 05/21 FluCy/CAR T 11/21 3rd relapse 12/21 R-bendamustine 12/21-02/22 glofitamab |
| Bridging therapy before CAR T | Yes | Yes |
| Patient #1 | Patient #2 | |
|---|---|---|
| Time from CAR T therapy to relapse | 5 months | 6 months |
| Age at first glofitamab administration | 60 years | 75 years |
| Time to maximum CAR T expansion after glofitamab administration | 6 days | 7 days |
| Maximum CAR T expansion after glofitamab administration | 20-fold | 19-fold |
| Best response after glofitamab | PR | n.a. (PD) * |
Publisher’s Note: MDPI stays neutral with regard to jurisdictional claims in published maps and institutional affiliations. |
© 2022 by the authors. Licensee MDPI, Basel, Switzerland. This article is an open access article distributed under the terms and conditions of the Creative Commons Attribution (CC BY) license (https://creativecommons.org/licenses/by/4.0/).
Share and Cite
Heini, A.D.; Bacher, U.; Porret, N.; Wiedemann, G.; Legros, M.; Stalder Zeerleder, D.; Seipel, K.; Novak, U.; Daskalakis, M.; Pabst, T. Experiences with Glofitamab Administration following CAR T Therapy in Patients with Relapsed Mantle Cell Lymphoma. Cells 2022, 11, 2747. https://doi.org/10.3390/cells11172747
Heini AD, Bacher U, Porret N, Wiedemann G, Legros M, Stalder Zeerleder D, Seipel K, Novak U, Daskalakis M, Pabst T. Experiences with Glofitamab Administration following CAR T Therapy in Patients with Relapsed Mantle Cell Lymphoma. Cells. 2022; 11(17):2747. https://doi.org/10.3390/cells11172747
Chicago/Turabian StyleHeini, Alexander D., Ulrike Bacher, Naomi Porret, Gertrud Wiedemann, Myriam Legros, Denise Stalder Zeerleder, Katja Seipel, Urban Novak, Michael Daskalakis, and Thomas Pabst. 2022. "Experiences with Glofitamab Administration following CAR T Therapy in Patients with Relapsed Mantle Cell Lymphoma" Cells 11, no. 17: 2747. https://doi.org/10.3390/cells11172747
APA StyleHeini, A. D., Bacher, U., Porret, N., Wiedemann, G., Legros, M., Stalder Zeerleder, D., Seipel, K., Novak, U., Daskalakis, M., & Pabst, T. (2022). Experiences with Glofitamab Administration following CAR T Therapy in Patients with Relapsed Mantle Cell Lymphoma. Cells, 11(17), 2747. https://doi.org/10.3390/cells11172747

