Next Article in Journal
YOLO-YSTs: An Improved YOLOv10n-Based Method for Real-Time Field Pest Detection
Next Article in Special Issue
An Exploration of the Chemical Signals and Neural Pathways Driving the Attraction of Meloidogyne incognita and Caenorhabditis elegans to Favorable Bacteria
Previous Article in Journal
First Report of Drought-Tolerant Halobacteria Associated with Agave potatorum Zucc
 
 
Font Type:
Arial Georgia Verdana
Font Size:
Aa Aa Aa
Line Spacing:
Column Width:
Background:
Article

In Silico Characterization of GmbHLH18 and Its Role in Improving Soybean Cyst Nematode Resistance via Genetic Manipulation

Key Laboratory of Soybean Biology in Chinese Ministry of Education (Key Laboratory of Soybean Biology and Breeding/Genetics of Chinese Agriculture Ministry), Northeast Agricultural University, Harbin 150030, China
*
Authors to whom correspondence should be addressed.
Agronomy 2025, 15(3), 574; https://doi.org/10.3390/agronomy15030574
Submission received: 24 January 2025 / Revised: 13 February 2025 / Accepted: 25 February 2025 / Published: 26 February 2025

Abstract

Soybean is crucial to food processing and agricultural output. However, pests and diseases can easily impact soybeans, reducing their production. Soybean cyst nematode (SCN) is a soilborne pathogen that has a large geographic range, a long lifespan, and the potential to inflict substantial harm to the soybean industry. Persistent use of major resistance genes leads to a progressive loss of resistance; therefore, continuous identification of new soybean strains and genes is essential for continued sustainable soybean production. In this research, the SCN-resistant and SCN-sensitive germplasm DN-L10 and Heinong 37 were inoculated with SCN 3. After stress treatment, the stressed roots were collected for RNA-Seq analysis. The sequencing results screened out the differentially expressed gene GmbHLH18. The GmbHLH18 gene was cloned, and the overexpression vector pCAMBIA3300-GmbHLH18 was constructed. Agrobacterium infected soybean hairy roots and genetically modified the roots of DN50 soybeans, and transgenic root seedlings were obtained. The transgenically identified root seedlings were transplanted in soil infested with SCN 3, and resistance to root nematodes was determined by magenta staining. The secondary and tertiary structures of the protein, phosphorylation sites, as well as the hydrophilicity related to the GmbHLH18 gene were analyzed. Subsequently, the recombinant subcellular localization vector pCAMBIA1302-GmbHLH18 was employed. Agrobacterium was injected into tobacco leaves, and organelle-specific expression was observed. Finally, stress resistance-related indexes of the roots of overexpressing plants and WT plants under SCN 3 stress were measured. The results showed that overexpression and subcellular localization vectors were successfully constructed and transformed into Agrobacterium K599 and GV3101, respectively. The encoded protein had 1149 amino acids, a molecular weight of 95.76 kDa, an isoelectric point of 5.04, 60 phosphorylation sites, a tertiary structure of a-helix (36.39%), random coil (53.40%), extended chain (8.64%), and corner (1.57%), and was hydrophilic. The protein that the gene encoded was a nuclear-localized protein, according to the results of subcellular localization analysis. Moreover, the Agrobacterium-induced hairy root test revealed that the number of overexpressed pCAMBIA3300-GmbHLH18 transgenic roots in the unit area of DN50 was substantially lower than in the control group, which at first suggested that the gene had partial resistance to SCN 3. Stress resistance-related indexes suggest that the contents of POD, SOD, and proline in the overexpressing root significantly increase after SCN 3 stress, demonstrating that this gene can enhance the plant’s resistance to the SCN 3 pathogen. Future research could focus on further elucidating the molecular mechanism underlying the gene’s resistance to SCN 3 and exploring its potential application in breeding soybean varieties with enhanced resistance.

1. Introduction

Soybean (Glycine max (L.) Merr.), also known as “Shu” in Old Chinese, is one of the most important food crops in China and has a long history of cultivation. It is mostly produced in northeast China, and its seeds are high in protein and oil [1]. Due to the high demand for soybeans in China and the fact that the domestic supply of soybeans fails to meet this demand, there is an excessive reliance on imports. In response to this situation, the goal of every soybean breeder is to continually improve the yield and quality of soybeans. Heterodera glycines Ichinohe, known as soybean cyst nematode (SCN), is a soil-borne pathogen that impairs soybean growth and development by entering the roots of the plant and reducing soybean production. SCN has an extensive range, a quick transmission speed, and potent infectivity. The primary physiological subspecies of soybean cyst nematodes are No. 1, No. 3, No. 4, and No. 14. Other subspecies are also present. The most prevalent physiological subspecies among them in northeast China and the Huanghuai region is SCN 3 [2]. SCN are difficult to avoid and treat because they have a long dormant period and a long lifespan. Moreover, in order to establish syncytium during the invasion of soybean roots by SCN, cell walls must be destroyed. The secondary component of the cell wall, lignin, can build up and enhance the thickness of the cell wall, which will stop SCN from killing plant roots [3]. Crop rotation, chemical control, biological control, and the breeding of resistant varieties are currently the principal management techniques. At present, SCN-resistant genes are predominantly employed in cultivars such as PI88788 and Peaking. However, gene-related research primarily centers on the regions around the rhg1 and Rhg4 loci. Eventually, the over-utilization of resistance genes is bound to lead to the loss of SCN resistance, which is the main focus of this research. Therefore, one of the most efficient approaches to speed up the breeding of nematode resistance is the investigation of novel resistance loci and genes. Numerous studies have demonstrated that several genes cooperate synergistically to protect plants from diseases, and transcription factors (TFs) such as bHLH, AP2, bZIP, NAC, WRKY, EIN3, VOZ, MYB, and ZFP regulate the ability of plants to withstand external biotic or abiotic stimuli. Transcription factors will selectively bind cis-acting elements and increase DNA–protein interactions when plants are infected by SCNs. Gene expression regulation is a crucial aspect of plant defense. Transcription factors account for about 7% of the coding proteins in plants [4]. The second largest transcription factor family in plants, basic helix-loop-helix (bHLH) proteins, are widely distributed in plants and comprise the largest transcription factor family in Arabidopsis thaliana [5]. A member of this family contains two conserved motifs, the DNA-binding region and the basic helix-loop-helix (bHLH) region, which regulate plant growth and development, stress response, metabolic processes, and signaling networks. The bHLH domain is made up of about 60 conserved amino acid residues. In recent years, Arabidopsis thaliana has been used to elucidate the function of the bHLH superfamily, and members of this family are essential for plant growth, development, light signal transduction, and stress response [6,7,8,9,10]. The hormones salicylic acid (SA), jasmonic acid (JA), brassinosteroid (BR), and abscisic acid (ABA) [11,12,13], which are necessary for development and survival in plant settings, are also regulated by these substances. Zou Xiaoyue et al. (2022) studied the rust resistance of foxtail millet and found that the SibHLH19 gene responded to the biotic stress of Puccinia setariae within 24 h, with the gene being significantly upregulated at 8 h and 16 h during the disease resistance response. It is speculated that SibHLH19 plays a positive regulatory role in the rust resistance response of foxtail millet [14]. Fengtao Wang et al. (2015) studied the bHLH060 gene in wheat and found that a new bHLH-type gene, TabHLH060, was present in Triticum aestivum. TabHLH060 was highly expressed in wheat leaves and was involved in the response to infection by Puccinia striiformis f. sp. tritici, an obligate parasite. The Arabidopsis plants overexpressing TabHLH060 showed significantly enhanced susceptibility to Pseudomonas syringae DC3000 [15]. Fan Ruochen et al. (2022) successfully isolated the cassava bHLH79 gene for the first time and conducted a phenotypic analysis of Manihot esculenta Crantz in response to bacterial blight. They found that the MebHLH79 gene was silenced through virus-induced gene silencing (VIGS) technology. The results showed that the expression of MebHLH79 was significantly downregulated. The disease-resistance test following virus infection indicated that the leaf lesion area of the silenced plants was significantly larger than that of the control plants. It was speculated that MebHLH79 positively regulates the resistance of cassava to bacterial blight [16].
In this study, the root transcriptome data of DN-L10 (resistant to SCN 3) and HN37 (susceptible to SCN 3) were utilized to screen out the gene GmbHLH18, which exhibits a high fold-change in differential expression. RT-qPCR was employed to verify the relative expression levels in different tissue parts. Subsequently, using the cDNA of soybean DN-L10 as a template, the full-length CDS sequence of GmbHLH18 was cloned, and the overexpression vector pCAMBIA3300-GFP-GmbHLH18 was constructed. Transgenic hairy roots were obtained via Agrobacterium K599-induced hairy roots and then planted in the disease-infested soil containing SCN 3 for identification and analysis. After 14 d of stress-induced treatment, the relative water content, relative electrical conductivity, as well as the activities of peroxidase (POD) and superoxide dismutase (SOD), along with the contents of malondialdehyde (MDA) and proline (Pro) in the transgenic and wild-type roots were analyzed. Bioinformatics analysis methods were utilized to conduct an in-depth analysis of the phosphorylation sites and protein secondary and tertiary structures of the protein encoded by GmbHLH18. This study provides a reference for researching the mechanism through which this gene contributes to soybean resistance to the SCN pathogen.

2. Materials and Methods

2.1. Materials

2.1.1. Plant Materials

Both DN-L10, a resource for SCN resistance, and Heinong37 and DN50, which are susceptible to SCN, were obtained from the Northeast Key Laboratory of Soybean Biology and Genetic Breeding, Ministry of Agriculture and Rural Affairs, Northeast Agricultural University. All soybean germplasm resources were planted in Xiangyang Farm on Northeast Agricultural University in Harbin City, Heilongjiang Province (45°45′16.2″ N, 126°54′39.6″ E), China, in 2024. The field experiment was conducted using a randomized block design. In this design, each plot had a row length of 1 m, a row width of 0.65 m, and a plant spacing of 0.06 m. There were three replications, and each replication was set up in a way that ensured random allocation of different treatments (if applicable) to minimize experimental errors. Nicotiana benthamiana was planted in the greenhouse at the Northeast Agricultural University.

2.1.2. Diseased Soil Materials

Riggs and Schmitt models were used to determine the physiological species of soybean cyst nematode Number 3, which is native to the Anda area of Daqing, China (124°53′–125°55′ E, 46°01′–47°01′ N). The Northeast Key Laboratory of Soybean Biology and Genetic Breeding, Ministry of Agriculture and Rural Affairs, Northeast Agricultural University (Harbin, China) separated, purified, and conserved the infected soil.

2.2. Methods

2.2.1. Preparation of Transcriptome Sequencing Materials

DN-L10 and Heinong 37 seeds were planted in pots and kept in an incubator where the relative humidity was set to 65% to 75%, and the temperature was set to 27 °C to 28 °C. Ten seeds of each type were sown, and the randomized complete block design (RCBD) was repeated three times, inoculating J2 SCN when soybeans reached the V2 stage. Subsequently, diseased soil was injected with about 2000 juvenile worms (J2) (Figure 1). To confirm successful SCN inoculation of the roots, the root tissues of SCN-treated soybeans were removed 9 d after inoculation, and portions of the roots were randomly chosen for acid fuchsin staining [17]. This staining method is mainly used to visualize the nematodes within the root tissues, helping to establish successful nematode entry into the root system.
The J2 stage of the soybean cyst nematodes (SCNs) in the soil secrete cellulase and pectinase through their stylets, form a syncytium with soybean roots, and then enter the roots to parasitize the soybean roots. This disease can infect soybean roots throughout the whole growth period.

2.2.2. Transcriptome Sequencing

First, SCN 3-susceptible Heinong 37 and SCN 3-resistant DN-L10 were inoculated in SCN 3-diseased soil. Then, at 0 d and 14 d, 3 g of the root system was taken, and the samples were immediately frozen in liquid nitrogen. Three replications were set up for both the treatment and experimental groups. Upon successful completion of RNA sample detection, eukaryotic mRNA was enriched by magnetic beads with Oligo (dT). Subsequently, a fragmentation buffer was added to break the mRNA into short fragments. Using the mRNA as a template, single-strand cDNA was synthesized with random hexamers. Then, buffer, dNTPs, DNA polymerase I, and RNaseH were added to synthesize the double-strand cDNA. Thereafter, the double-strand cDNA was purified using AMPURE XP beads. The purified double-stranded cDNA underwent end repair, A-tail addition, and sequencing adapter ligation. Fragment size selection was then carried out using AMPURE XP beads. Subsequently, the USER enzyme was used to degrade the second-strand cDNA containing U, ensuring that the final sequencing information was derived solely from the first-strand cDNA, thus preserving the strand directionality of the mRNA. Finally, PCR amplification was performed, and the PCR products were purified with AMPURE XP beads to obtain a strand-specific cDNA library. After library construction, preliminary quantification was first conducted using Qubit 3.0, and the library was diluted to 1 ng/μL. Subsequently, Qsep100 (Guangding, BiOptic, Jiangsu, China) was used to detect the insert size of the library. Once the insert size met the expected criteria, the Q-PCR method was employed to accurately quantify the effective concentration of the library (with an effective library concentration > 2 nM). After passing the library inspection, single-end sequencing was performed on the HiSeq3000.

2.2.3. Extraction of Soybean Root RNA

DN-L10, a disease-resistant soybean, was sown in a container, and investigators monitored its growth until it reached the second stage (V2). Subsequently, after the soybean root had been cleansed with sterile water and 3 g of it had been trimmed, RNA from the root was extracted using the TRIzol method.

2.2.4. Reverse Transcription of cDNA

RNA was reverse-transcribed into cDNA using a reverse transcription kit (TOYOBO, Osaka, Japan). The specific operation process was as follows: First, 4 μL of the RNA was incubated at 65 °C for 5 min. Then, after adding ddH2O and 4× DN master mix (including gDNA Remover) at 37 °C, genomic DNA was removed for 5 min. Finally, soybean root cDNA was obtained by adding 5× RT Master mix Ⅱ and subjecting it to the following temperature and time conditions: 37 °C for 15 min, 50 °C for 5 min, and 98 °C for 5 min in the reverse transcription step for subsequent gene cloning.

2.2.5. Specific PCR Amplification

For gene cloning, cDNA from DN-L10 was employed as a template, and a 20 μL PCR system was set up as follows: 2 μL of cDNA, 10 μL of KOD One PCR Master Mix (TOYOBO, Japan), 1 μL each of forward primer GmbHLH18-F and reverse primer GmbHLH18-R (Supplementary Table S1), and 6 μL of ddH2O were combined. PCR amplification conditions consisted of pre-denaturation at 98 °C for 3 min followed by 35 cycles of denaturation at 98 °C for 10 s, annealing at 57 °C for 5 s, extension at 68 °C for 5 s, and extension at 68 °C for 10 s, and preservation at 12 °C. A gel purification kit was used to clean the DNA of linearized GmbHLH18, and the target bands were observed using the gel imager.

2.2.6. Linearization of pCAMBIA3300 and pCAMBIA1302

Single enzyme digestion was used to linearize the plasmid DNA; the pCAMBIA3300 and pCAMBIA1302 vectors were linearized by enzymes. The particular PCR protocol was run at 37 °C for 4 h and 65 °C for 20 min, and the PCR products were then stored at 12 °C. The enzyme digestion system contained a 20 μL reaction mix consisting of 2 μL of enzyme, 5 μL of buffer, 10 μL of plasmid (200 ng/μL), and 3 μL of water.

2.2.7. Homologous Recombination Connection and Transformation of Linearized Fragments

Using a CloneExpressⅡ One-step Cloning kit (Vazyme, Nanjing, China), a linearized vector was ligated to a portion of the GmbHLH18 gene. The homologous recombination system had a total volume of 20 μL, consisting of the following components: 2 μL of homologous recombination enzyme, which plays a crucial role in facilitating the ligation process; 4 μL of buffer, which helps maintain a stable reaction environment; 3 μL of the linearized carrier; 1 μL of the target fragment; and 10 μL of water. These components work together to provide suitable reaction conditions for the homologous recombination reaction. Subsequently, after the homologous recombination, DH5α transformation was carried out in a water bath at 37 °C for 30 min. This step allows the recombinant DNA to be introduced into the DH5α cells for further amplification and analysis.
After being shaken at 37 °C for 12 h, single colonies were chosen, and the bacterial solution turned turbid. After incubation at 37 °C, PCR was carried out for preliminary verification. Plasmid DNA was then extracted using a plasmid extraction kit (Omega, USA) and sent to Ruibo Biotechnology Company for sequencing. The target fragment was compared to the sequencing data using the DNAman v8.0 software.

2.2.8. Transformation and Preservation of Agrobacterium K599 Receptor States

The plasmid was successfully transformed into Agrobacterium K599 by sequencing. The specific steps were as follows [18]: Agrobacterium K599 was removed from the −80 °C refrigerator and placed on ice for 5 min. On a super-clean workbench, 1 μg of plasmid DNA was added and mixed vigorously. The mixture was then subjected to sequential temperature treatments as follows: ice bath for 5 min, liquid nitrogen for 5 min, water bath (37 °C) for 5 min, and ice bath for 5 min to facilitate plasmid entry into the Agrobacterium cells. On the super-clean workbench, 700 μL of antibiotic-free LB liquid medium was added, and the mixture was then incubated on a shaking table for 2 h at a constant temperature of 28 °C. This was followed by centrifugation at 6000 rpm for 90 s to collect bacteria. A 600 μL volume of the supernatant was discarded, and the bacteria was gently resuspended in the remaining liquid. A 50 μL volume of the bacterial suspension was taken and spread on an LB plate containing Kan (Kanamycin sulfate) and Str (streptomycin). The plate was placed upside-down in a 28 °C incubator for 2–3 d. Once single colonies appeared, one was selected for bacterial liquid PCR verification. The bacterial liquid was preserved with target bacteria at −80 °C for future use.

2.2.9. Bioinformatics and Phylogenetic Analysis of GmbHLH18

NetPhos 3.1 was used to analyze the protein phosphorylation site encoded by the GmbHLH18 gene (https://services.healthtech.dtu.dk/services/NetPhos-3.1 accessed on 1 January 2025), proteins across the membrane were analyzed using Novopro (https://www.novopro.cn/tools/tmhmm.html accessed on 1 January 2025), protein seconary was analyzed using SOPMA (https://npsa-prabi.ibcp.fr/cgi-bin/npsa_automat.pl?page=npsa%20_sopma.html accessed on 1 January 2025), the tertiary structure was analyzed using SWISS-MODEL (https://swissmodel.expasy.org/ accessed on 1 January 2025), and the promoter regions were analyzed using plant CARE (https://bioinformatics.psb.ugent.be/webtools/plantcare/html/ accessed on 1 January 2025). GmbHLH18 protein sequences of soybean, maize, Arabidopsis, and other plants were arranged in Fasta format, and homologous protein comparison was performed by Mega X. The specific steps were as follows: the protein sequences were loaded and aligned, phylogenetic analysis was conducted using the Neighbor-Joining method for comparison using 1000 bootstraps, the evolutionary tree was constructed, and Chiplot tools were used for visualization of the phylogenetic tree (https://www.chiplot.online/tvbot.html accessed on 1 January 2025).

2.2.10. Agrobacterium Induced Hairy Root

Vermiculite and soil were combined in equal volumes before the DN50 soybeans were planted. After the young and fragile roots germinated, the soybean roots were inoculated with Agrobacterium harboring pCAMBIA3300-GmbHLH18. The Agrobacterium with an OD600 set to about 0.8 was placed in a shaking table at 28 °C and shaken at 80 rpm for 30 min. In order to increase the unit density of SCN in the soil, 2000 soybean cyst nematodes were selected for each pot and added to the soil containing SCN 3.
First, healthy DN50 soybean was chosen and put in a glass dish to be sterilized. Then, 96 mL of sodium hypochlorite and 6 mL of hydrochloric acid (AR) were mixed together and sterilized in a fume hood for 15 h using the chlorine sterilization procedure. After this, sterile air was blown into the ultra-clean workbench for 1.5 h to evaporate the chlorine gas. Co-culture: the soybean seed peel was first removed and the soybean divided into two pieces. Germination culture: Next, the soybean was placed in a germination medium for 5 d. Before scratching the soybean’s growth point, the CCM infection solution was applied to the scalpel. Then, the soybean was immersed in the CCM infection solution for 30 min at 28 °C at 5000 rpm. After drying on a sterile surface, it was transferred to the CCM solid medium and cultured for 5 d in a dark environment. Root culture: After this, the soybean was washed three times in sterile water and then three times in water diluted with 2% cephalosporin. After drying on a sterile table, the soybean was placed in the root media. Finally, after 20 d of light treatment, bar test strips were performed on soybean hairy roots.

2.2.11. Identification of Transgenic Plants and Identification of Soybean SCN

First, DN50, a susceptible soybean, was sown in a basin with SCN 3. Then, 14 d later, 2 g of soybean roots were removed. They tested positive on a bar strip and were identified by magenta staining. The following steps were followed for root decolorization: First, the roots were rinsed under water and then soaked in 5% NaClO for 60 min. The steps for dyeing the roots are as follows: First, the roots were cleaned with clean water and then soaked in distilled water for 15 min. After this, they were diluted 30 times. The stock solution was prepared by mixing 3.5 g of magenta, 250 mL of glacial acetic acid, and 750 mL of distilled water. Next, the roots were boiled for 60 s. They were then removed and pat-dried with clean paper. Finally, for microscopy, a 20× microscope (Leica, Germany, Wetzlar) was used to count the number of females.

2.2.12. Subcellular Localization of GmbHLH18

First, tobacco seeds were sown in MS medium. Once the seedlings had grown to an appropriate stage, they were transplanted into a pot with a vermiculite/soil ratio of 2:1. This ratio of vermiculite to soil was chosen to provide a suitable growth medium for the tobacco plants, ensuring good drainage and nutrient supply. Subsequently, after 30 d of growth in the pot, the tobacco plants were placed in the dark for 24 h. The purpose of this dark treatment was to adjust the physiological state of the tobacco plants, making them more receptive to subsequent infection. Then, one hour after being exposed to light, the third and fourth expanded leaves (from the top down) were infected. Next, the tobacco conversion solution was re-mixed, and its OD600 was adjusted to 1.0 using a spectrophotometer. The Agrobacterium GV3101 (Psoup-p19) containing pCAMBIA3300-GmbHLH18 was cultured for 24 h on a shaking table at a constant temperature of 28 °C. After this, the tobacco plants were incubated with this cultured Agrobacterium at a constant temperature for 4 h. After injection, the tobacco plants were left in the dark for 12 h to allow the Agrobacterium to interact with the plant cells effectively. Then, they were exposed to light for 24 h to resume normal growth and physiological processes. Finally, the tobacco plants were observed and photographed using a laser confocal microscope to analyze the localization regions of the encoded protein.

2.2.13. Analysis of Root Scan Results of Transgenic Root Stress

Agrobacterium induced hairy roots, which were then subjected to a 14 d SCN 3 treatment with transgenic soybean hairy root nematodes. For the WT (wild-type) soybeans and those subjected to SCN 3 stress treatment, their root-associated soil was meticulously washed away using clean water. This was carried out to facilitate subsequent photography and statistical analysis. The Epson Perfection V850 Pro A4 flagship image scanner was used to scan the roots. The multifunctional software system of the WinRHIZO root system was used. The results obtained were verified using SPSS Statistics 29 software, and intra-group correlation analyses were performed using the corrplot tool in the R language.
Agrobacterium was used to transform soybean hairy roots. Then, these transgenic soybean hairy roots were subjected to 14 d of infection by nematodes. After this, both transgenic and wild-type root systems were sampled and cleaned. Subsequently, the Epson Perfection V850 Pro A4 flagship image scanner (Beijing, China) was used to scan the roots. The WinRHIZO root system’s multifunctional software was employed. The results obtained were checked using EXCEL 2010, and intra-group correlation analyses were performed using the corrplot tool in the R language (Supplementary S1).

2.2.14. qRT-PCR

With the help of the TOYOBO reverse transcription kit, RNA was extracted from the roots, stems, and leaves of soybeans in the nematode stress treatment group and the control group using the TRIzol method. The particular procedure is as follows: 4 μL of RNA was denatured at 65 °C for 5 min and immediately placed on ice. Then, 4 μL of DNA master mix (with gRNA remover), 2 μL of thermally denatured RNA template, 8 μL of nuclease water, and 4 μL of 5× RT Master Mix II were added and thoroughly mixed. The PCR program was then set at 37 °C for 15 min, 50 °C for 5 min, 98 °C for 5 min, and then held at 4 °C. After extraction, the cDNA was kept in a −20 °C freezer.
The TB Green® Premix Ex Taq II (Tli RNaseH Plus) kit (TakaRa, Japan) was used for fluorescent quantitative PCR. The system setup was 20 μL, consisting of 10 μL of TB green premix taq II, 1 μL of RT-bHLH18-F, 1 μL of RT-bHLH18-R, 2 μL of cDNA, and 6 μL of ddH2O. Three biological replicates were set up, with the β-Actin gene serving as the reference. The PCR process used a two-step approach, with 40 cycles of the dissolution curve stage at 95 °C for 15 s, 58 °C for 30 s, and 95 °C for 15 s. Following the completion of the experiment, the relative expression was calculated using the formula 2−∆∆CT as follows: ∆∆CT = (CT target gene − CT β-actin) Experimental group − (CT target gene − CT β-actin) control group. There were 5 biological replicates in the experiment. The tissues were all taken from the same anatomical location to ensure the accuracy of the experiment.

2.2.15. Determination of Indices Associated with Root SCN Stress Resistance

Transgenic hairy root soybeans and wild-type soybeans were obtained by in vitro transformation, and seedlings grown to the V1 period were transplanted into SCN 3-diseased soil. Relative water content, relative conductivity, POD activity, SOD activity, MDA content, and proline content were measured as the physiological and biochemical indexes of the stress-treated and control groups after 14 d of SCN 3 stress. The effect of transferring the GmbHLH18 gene into the plant root system on plant stress tolerance was also analyzed.
Relative water content determination: Three empty sample tubes of the same size were weighed. Then, root tissues were cut with a razor blade and immediately placed in the test tubes, and the fresh weights of the samples were weighed. The three test tubes containing the samples were then dried in an oven at 105 °C. The samples were then cooled and weighed. The relative water content was measured as follows: Relative water content = (Wf − Wd)/Wf × 100 (wf: Root fresh weight; Wd: Root dry weight).
Determination of relative conductivity: The roots were rinsed about 5–8 times with sterile water, dried with clean gauze, cut into 1 cm × 1 cm pieces, mixed well, and quickly weighed; this was repeated three times. One gram of fresh sample was weighed, placed in 50 mL of deionized water, crushed using a juicer, transferred into a beaker, and left at 25 °C for 1 h. Conductivity R1 was measured using a conductivity meter with automatic temperature compensation. The samples were transferred to boiling water (100 °C) and heated for 30 min. The samples were then cooled to room temperature, and the conductivity R2 of the extracts was measured to calculate the relative conductivity using the formula Relative conductivity = Conductivity before the boiling water bath R1/Conductivity after the boiling water bath R2 × 100%.
POD determination: To obtain the crude enzyme extract, 1 g of soybean root was weighed and mixed with 5 mL of Tris-HCl buffer. The mixture was crushed using a juicer and transferred to test tubes. The sample was centrifuged at 4000 rpm for 5 min, and the supernatant transferred to a new centrifuge tube. A 5 mL volume of phosphate buffer was added to the remaining residue and centrifuged at 4000 rpm for 5 min; then, the two liquids were mixed. To calibrate (zero) the spectrophotometer, 3 mL of the reaction mixture and 1 mL of phosphate buffer were added to a cuvette. Then, 3 mL of the reaction mixture and 1 mL of the enzyme solution of the sample under test were added to the cuvette. The absorbance was measured by adjusting the wavelength to 470 nm, and three readings were taken at 1 min intervals. POD activity was calculated using the formula peroxidase activity [U × (g × mm)−1] = ΔA470 × V. (A 470, change in absorbance during reaction time; total volume of VT crude enzyme extract, mL; V, volume of crude enzyme solution, mL).
SOD activity determination: One gram of fresh roots was added to 3 mL of 0.05 mol/L sodium phosphate buffer (pH= 7.8). A small amount of quartz sand was added, and the mixture was ground into a homogenate using a mortar and pestle in an ice bath and then dispensed into a 5 mL centrifuge tube. Centrifugation was carried out at 8000 rpm for 30 min and 4 °C to generate a supernatant containing the crude extract of the SOD enzyme. SOD activity was calculated using the formula SOD (U × g−1 FW × h−1) = (A0 − As) × Vt × 60/A0 × 0.5 × FW × Vs ×t (A0: the absorbance of the control tube under light; AS: the absorbance of the sample measuring tube; Vt: the total volume of the sample extraction solution (mL); Vs: the amount of crude enzyme solution (mL); t: the color reaction light time (min); FW: fresh weight of the sample (g)).
MDA determination: A 0.5 g mass of the root was combined with 2 mL of pre-cooled 0.05 mol /L phosphate buffer (pH 7.8 ). A small amount of quartz sand was added, and the mixture was ground into a pulp in an ice bath. The buffer was used to wash the pestle, and the sample transferred to a centrifuge tube. Finally, the buffer was used to top up the volume to 5 mL. Centrifugation was conducted at 6000 rpm for 10 min. The supernatant is the malondialdehyde extraction solution. A 2 mL volume of the supernatant was mixed with 3 mL of 0.5% thiobarbituric acid solution, heated in a boiling water bath for 10 min, and cooled rapidly on ice. The absorbance of the supernatant was measured at a wavelength of 535–600 nm by adjusting the transmittance to 100% with distilled water as the blank. The results were then calculated.
Proline determination: To generate the standard curve, 7 test tubes of the same size were taken and reagents (Supplementary Table S2) added, mixed, placed in boiling water, and heated for 40 min. The samples were then removed and cooled, and 5 mL of toluene was added and oscillated to extract the red material. After leaving the samples to stand, the toluene layer was aspirated and measured in the spectrophotometer at a wavelength of 520 nm with No. 0 as the control group. The absorbance value was taken as the vertical coordinate and the proline content as the horizontal coordinate, and the standard curve was plotted to find the linear regression equation. First, 0.5 g of cut soybean roots was placed in a large test tube, and then 5 mL of 3% nitrosalicylic acid was added. The test tube was placed in boiling water for 5 min to extract proline. The test tube was removed and cooled to room temperature. Finally, 2 mL of supernatant was aspirated, and 2 mL of glacial acetic acid and 3 mL of acidic ninhydrin chromogenic solution were added and heated in boiling water for 40 min. Toluene extraction and colorimetry were carried out in accordance with the method used to generate the standard curve, and the results were calculated.

2.2.16. Screening for SCN Resistance

The soybeans were planted in vermiculite basins. Once the soybeans had grown to the V1 stage, their roots were cleaned with water. Then, the Agrobacterium K599 carrying the pCAMBIA3300-GmBHLH18 gene was removed from the −80 °C freezer and incubated in a shaking incubator at a constant temperature of 28 °C for 28 h. The soybean roots were treated with needles after being soaked with the K599 bacterial solution absorbed by a sterile needle tube. Then, the treated soybean roots were placed in the Agrobacterium solution and incubated at 80 rpm for 30 min. After this, the soybeans were replanted in the vermiculite pots. Once the soybeans had grown to the V2 stage, they were transplanted into the pathogen soil infected by the third physiological race of SCN. Fourteen days later, the roots were stained with an acid magenta solution, and the root diseases and insects infecting a single plant were observed under a 10× microscope [19,20].

3. Results

3.1. Results of RNA Seq Analysis

The differential genes were visually analyzed using a volcano plot. The fold change was screened with the thresholds |log2(Fold change)| > 1 and p < 0.05. On the volcano plot, blue represents downregulated genes, red represents upregulated genes, and gray represents non-differentially expressed genes. Compared with the sensitive SCN 3 control group, there were 4185 upregulated genes and 3195 downregulated genes in the SCN 3-resistant strain (Supplementary Figure S7A). KEGG enrichment analysis of the top 25 metabolic pathways showed that the top four metabolic pathways were Metabolic pathways, Phenylpropanoid biosynthesis, Biosynthesis of secondary metabolites, and MAPK signaling pathway—plant (Supplementary Figure S7B). Among them, the GmbHLH18 gene had a high differential expression fold, with |log2(Fold change)| > 8 and 1.25 × 10−148. This gene was taken as a potential candidate gene for subsequent exploration of gene function.

3.2. Analysis of the Nucleotide Sequence of the Target Gene

The sequence of the study gene was subjected to blast analysis on the NCBI website (https://blast.ncbi.nlm.nih.gov/Blast.cgi accessed on 1 January 2025). The results indicated 100% homology with GmbHLH18, identifying the target gene as GmbHLH18 (Supplementary Figure S1). Subsequently, CD search was conducted using the conserved domains tool in NCBI. The results showed that within the 610–700 amino-acid region, the GmbHLH18 gene domain, belonging to the BHLH-SF superfamily, encodes proteins with a characteristic alkaline helix-loop-helix (bHLH) structure that regulates the expression of NAI2, PYK10, and PBP1 (Supplementary Figure S2). This domain is essential for the development of endoplasmic reticulum (ER) bodies. The segment contains five DNA-binding sites and 16 bHLH-binding sites.

3.3. Results of Specific PCR Amplification

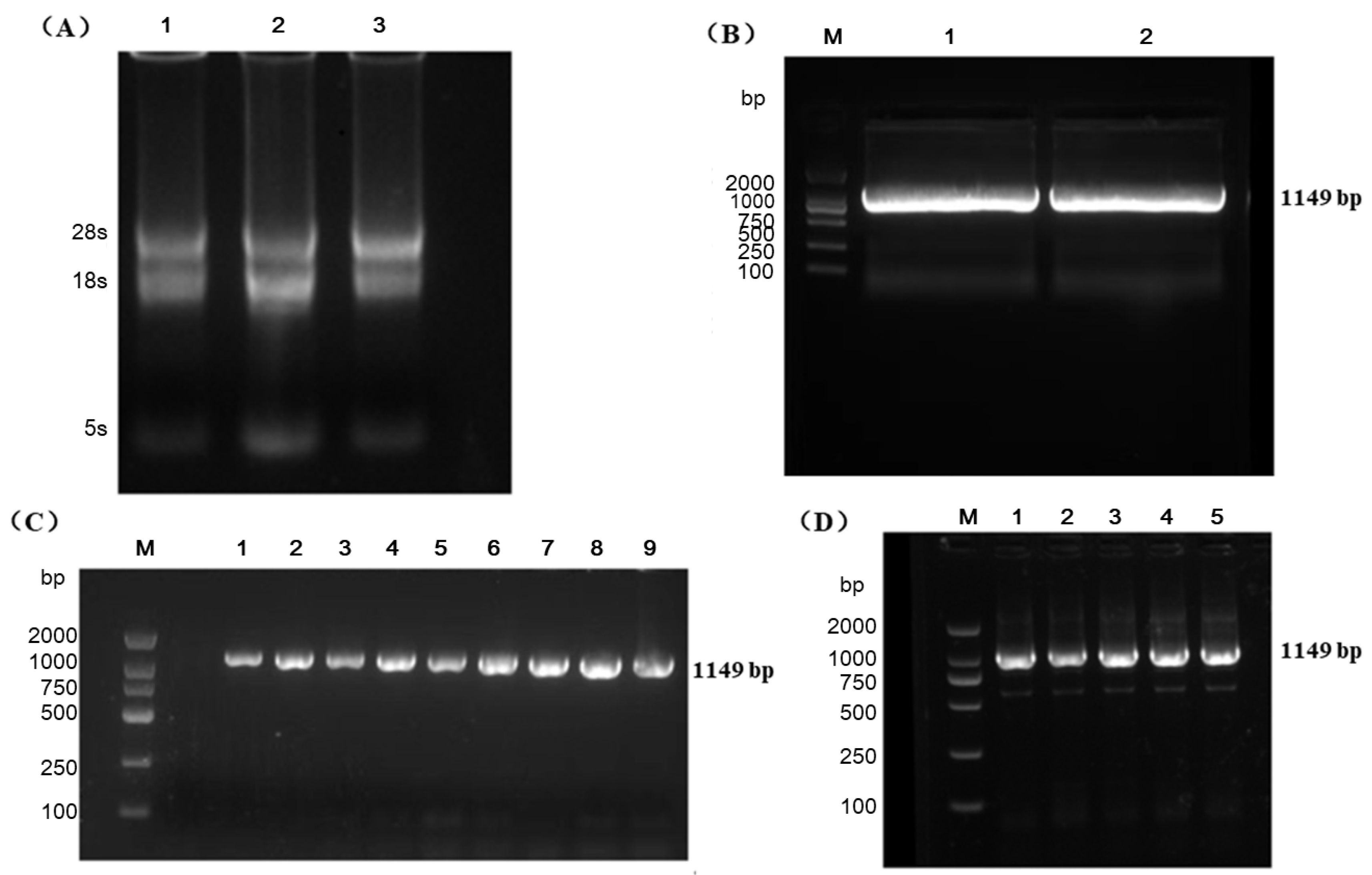
The completion of the RNA extraction was demonstrated by the presence of three distinct electrophoretic bands corresponding to 28 S, 18 S, and 5 S in the agarose gel. The isolated RNA was kept in a refrigerator at −80 °C for later reverse transcription (Figure 2A). The cDNA of soybean DN-L10 was amplified specifically as the clone template, and the results of agarose gel electrophoresis showed that the GmbHLH18 gene fragment size was about 1149 bp (Figure 2B). A gel purification kit was used to prepare the cDNA for subsequent DNA homologous recombination.
Using a sterile toothpick, the converted single colony was transferred into an LB medium containing kanamycin sulfate (1000:1). The target bands in the bacterial solution were confirmed by PCR at 37 °C for 24 h. The set test system adhered to the requirements of 1.2.5. The outcomes demonstrated that the target gene was successfully cloned, and the target band of the specific PCR product was around 1149 bp. DNAman software V9.0 compared the sequencing results, and the findings revealed no single base mutations or frameshift mutations. The pCAMBIA3300 overexpression vector was successfully built. Both the transformed GV3101 (psoup-p19) solution and the transformed Agrobacterium K599 solution yielded approximately 1149 bp products in the PCR test. These outcomes demonstrate that receptive cells underwent effective transformation of the target gene (Figure 2C,D).

3.4. Bioinformatics and Phylogenetic Analyses of GmbHLH18

The GmbHLH18 gene encodes a protein with 382 amino acids, a molecular weight of 95.76 ku, an amino acid isoelectric point of 5.04, a chemical formula of C3506H5865N1149O1444S266, and a fat coefficient of 30.81. These data were obtained from bioinformatics analysis of the protein. Positive and negative charges (Asp + Glu) have a residual base of zero. The average hydrophilicity coefficient was 0.872. Signal peptide analysis revealed that the protein was not released and lacked any signal peptide structure (Supplementary Figure S3A). The protein GmbHLH18 has 60 possible phosphorylation sites, including 13 threonine (Thr), 45 serine (Ser), and 2 tyrosine (Tyr) sites, according to the results of the phosphorylation sites analysis (Supplementary Figure S3B). Analysis of the transmembrane region of the protein demonstrated that neither cell migration nor transmembrane transport of the encoded protein occurred (Supplementary Figure S3C). The protein’s secondary structure (Supplementary Figure S3D) revealed four distinct spatial configurations, with the -helix and irregular curling making up the majority (36.39%), followed by extended chain (8.64%) and -corner (1.57%). The hydrophilicity of proteins was greatest at locations 213–214, where the lowest peak of hydrophilicity was visible (Supplementary Figure S3E). At position 223, where the protein’s hydrophobicity was greatest, the peak was largest. The protein is hydrophilic, given that the hydrophilic amino acids make up 74.40% and 25.60% of the entire polypeptide chain. The protein’s three-dimensional structure shared 95.62% of its sequence with the homologous protein from the Arabidopsis plant, according to projected results of its tertiary structure and secondary structure (Supplementary Figure S3F).
Phylogenetic tree construction results showed that the GmbHLH18 gene had homologous genes in different plants (Figure 3). According to the homologous comparison of soybean, maize, arabidopsis, bean, and other plants, it can be divided into three branches. The target gene had the highest homologous relationship with Cajanus cajan (L.) Druce bHLH18 gene and Mucuna pruriens var.utilis (Wall.ex Wight) Baker ex Burck bHLH25.

3.5. GmbHLH18 Promoter Analysis

Plant CARE analysis was used to analyze the promoter region of the GmbHLH18 gene 2000 bp upstream, and the results revealed (Supplementary Figure S4) that there were a number of elements connected to stress and disease. The TCA component reacting to salicylic acid is one of them and can encourage high quality, high yield, and quality improvement of crops. MYB initiation elements and associated MYB-like sequences are engaged in plant growth and development and can also respond to some abiotic stimuli (drought, cold damage, etc.) in order to increase plant adaptation to environmental stress. It can be deduced that the GmbHLH18 gene is linked to the SCN pathogen because the MYC element controls the expression of the ABA-responsive gene, which has a number of disease-related response elements.

3.6. Collinearity Analysis Results of the GmbHLH18 Gene

A collinearity analysis of differentially expressed genes in soybean and Arabidopsis thaliana was conducted, and the relationship between the origin and evolution of the soybean bHLH18 transcription factor and that of other crops was investigated. The findings (Supplementary Figure S5) revealed that there was a single gene that was highly similar to both the soybean and Arabidopsis bHLH genes. Chromosome 5 in soybean and chromosome 4 in Arabidopsis were in close proximity to one another. The outcomes demonstrated that the gene shared specific similarities across several animals. This contributes to our understanding of the bHLH gene’s evolution in anti-SCN.

3.7. Analysis of Soybean GmbHLH18 Encoding Protein String

The outcomes of the String analysis demonstrated that GmbHLH18 interacted with 10 gene-encoded proteins, five of which contained GATA domains. There was also one protein trehalase and one protein kinase domain. Three of the proteins were glucose-6-phosphate isomerase, a member of the GPI family that is critical for the control of cell development, differentiation, apoptosis, and life processes (Supplementary Figure S6).

3.8. Identification of Transgenic Plants and Soybean SCN

Hairy roots of soybeans grew successfully after around 20 d of growing in the rooting culture. These roots were detected in the dark using a LUYOR-3415RG dual-wavelength fluorescent protein analyzer (Figure 4A). The findings revealed green fluorescence in the soybean hairy root, demonstrating that the GmbHLH18 gene had successfully been inserted into the soybean hairy root and that the genetic transformation of the GmbHLH18 gene had been entirely completed in the soybean hairy root. Two bars occurred in every test strip used to look for soybean root tissue, indicating that the samples had positive hairy roots (Figure 4B). The root of the soybean was needled and tested using a bar test strip. The test strip results showed that the root of the soybean was transgenic positive. The transgenic soybean hairy root phenotype and test strip are shown in Figure 4C.

3.9. Subcellular Localization Results

Agrobacterium harboring pCAMBIA1302-GmbHLH18 was injected into young, healthy tobacco leaves in order to investigate the precise subcellular location of the GmbHLH18 gene, with empty vector PCAMBIA1302-unloaded serving as the control. Confocal laser microscopy was used to determine the location of GFP in the plants (Figure 5). The outcomes demonstrated that the cell membrane, nucleus, and cytoplasm all expressed pCAMBIA1302-GFP. The protein encoded by the GmbHLH18 gene is largely expressed in the nucleus as a nuclear localization protein since pCAMBIA1302-GmbHLH18 was brightest in plant nuclei.

3.10. Root Scanner Correlation Analysis Results

According to the results of the root scanner, the stress-positive root system grew more successfully than the control root system. For SCN stress-positive roots, the average total root length was 314.2663 cm, compared to 252.7179 cm for the SCN stress control, 19.7607 cm2 for SCN stress-positive roots, and 17.0256 cm2 for the SCN stress control group. According to the data, after SCN stress, the transformed positive root’s development potential was greater than that of the control group. The stress response of this gene is demonstrated in Figure 6.
In this study, 10 positive roots (positive roots under nematode stress and positive roots under control conditions) were scanned and correlations were found between total root length, surface area, total projected area, number of forks, number of crosses, number of root tips, and EI (primary taproot), EE (primary lateral root), II (secondary taproot), and IL (secondary lateral root) of soybean roots (Figure 7). The experimental group and the control group had a number of correlations. The bifurcation number and II had an extremely significant correlation coefficient of 1.0, the cross number and EI had an extremely significant correlation coefficient of 0.87, the root tip and EI had an extremely significant correlation coefficient of 0.97, and the EE had an extremely significant correlation coefficient of 0.94. The correlation coefficient between surface area and total root length was 1.0, and the difference was very significant.

3.11. Results of RT-qPCR of Soybean Under Nematode Stress

RT-qPCR results showed that the gene was differentially expressed in the roots, stems, and leaves of DN-L10 (resistant to SCN 3) and DN50 (susceptible to SCN 3) soybeans. In comparison to DN50 soybeans subjected to SCN 3 stress, the GmbHLH18 gene in DN-L10 soybeans was upregulated in all three tissues (roots, stems, and leaves). Analysis of the three tissues showed that the relative expression level of GmbHLH18 is highest in the root system of soybeans. Specifically, the average relative expression in the root systems of DN-L10 soybeans is 5.6 (five biological replicates), while the relative expression in the root systems of DN50 soybeans is 3.1 (five biological replicates). Notably, the most pronounced upregulation was observed in the roots, where the gene’s expression level was 1.8 times higher than in the DN50. These findings clearly demonstrate that the GmbHLH18 gene responds to SCN 3 stress in soybeans (Figure 8). Based on these results, we hypothesize that the GmbHLH18 gene is involved in soybean’s response to SCN 3.

3.12. Identification of Physiological and Biochemical Indicators of the Root System

After 14 d of SCN 3 stress, in the roots of GmbHLH18-overexpressing plants and wild-type (WT) plants, the growth trend of the overexpressing plants was more vigorous than that of the WT plants. As shown in Figure 9, the relative water content of WT plants changed slightly, and there were no significant changes in relative conductivity, peroxidase (POD) activity, malondialdehyde (MDA) content, and proline content. However, the relative water content increased in the roots of OE-GmBHLH18-overexpressing plants exposed to SCN 3 stress for 14 d, enhancing the plant’s resistance; the conductivity decreased, improving the stress resistance; POD activity, superoxide dismutase (SOD) activity, and proline content all increased significantly, further enhancing the plant’s resistance; additionally, the MDA activity decreased, also contributing to the enhancement of the plant’s resistance.

3.13. Results of the Identification of Soybean Cyst Nematode by Magenta Staining

The magenta solution staining method was used to stain soybean roots, and the results were observed under a 10× microscope. Results indicate that the observational data within a unit field of view amounted to 15 instances. In the GmbHLH18-OE transgenic plants, the average count of SCN 3 was 1.88, whereas in the wild-type (WT) plants, the average number of SCN 3 was 3.94 (Figure 10, Table 1). The two-tailed p-value of the mean was 8.7341 × 10−10. The coefficient of variation for GmbHLH18-OE was 0.13, and for WT it was 0.10. These findings suggest that there exists a highly significant difference in the average number of SCN per unit area between the GmbHLH18-OE group and the WT group.
The distribution of SCN per unit area (Figure 11A) with multiple replications showed that the average number of nematodes per unit area of overexpressed bHLH18 plants was significantly reduced, and the overall number of SCN in the plants showed a decreasing trend (Figure 11B).

4. Discussion

Yellow wilt, another name for soybean Heterodera glycines, is a terrible disease that affects soybeans globally. The main region of China where soybeans are produced also has this deadly disease, with 14 provinces and cities in Beijing, Inner Mongolia, Henan, Hebei, Anhui, and Shandong being severely impacted. Short stature, yellow leaves, emaciation, a 20–30% decline in productivity, and significant loss of yield are the main symptoms of soybean disease. Male and female nematodes are heteromorphic, with males having a linear shape and females having a pear or lemon shape. The nematode has three stages in its life cycle: egg (J1), larva (J2), and adult (J3). Nematodes are most invasive at the J2 (larvae) stage. There are also No. 14, No. 4, and No. 1 subspecies in the northeast; the Huanghuai area has a preponderance of No. 1 and 4, Beijing has a preponderance of Nos. 4 and 5, and Shandong has a preponderance of No. 1. Soybean cyst nematodes can endure harsh weather conditions in the soil for up to 10 years. Once the circumstances are ideal, the eggs will hatch into J2 larvae, which then move from the root hairs of the soybean to its root and penetrate the soil. Female worms only penetrate the epidermis after expanding their abdomens and adsorb the root surface cells using their oral needles. Male adult worms only enter the soil after mating. When mature, the cell sac detaches and either overwinters on the sick roots or falls off into the earth. Soybean cyst nematodes thrive in dry soils and their development is well suited to the texture and quality of sandy soils. Currently, the primary control strategy for nematodes is breeding resistant soybean varieties; crop rotation is also a successful strategy.
The second-largest transcription factor in plants is the bHLH transcription factor. DNA can be bound and dimerized by the bHLH protein. Stress brought on by cold temperatures, salt, and dryness has reactions [21]. In their research on the phosphorylation of the bHLH transcription factor’s role in the regulation of plant physiological processes, Liu Chengxia et al. (2023) discovered that bHLH could control the degree of phosphorylation to enhance plant quality and stress resistance [22]. Liu Yuan et al. (2023) subjected the apple bHLH137-like gene to salt and drought stress. RT-qPCR results revealed that the bHLH137-like gene’s relative expression was upregulated, the relative conductivity, MDA, and H2O2 levels were decreased, and the levels of POD and SOD chlorophyll content were significantly increased. These findings demonstrate that the apple bHLH137-like gene has a specific expression and sensitivity to salt and drought stress [23]. By studying the bHLH transcription factor GmPIB1 gene, Chen et al. (2018) discovered that RNAi interfered with soybean hairy roots to improve resistance to soybean Phytophthora root rot [24]. Although there are reports on the roles of the transcription factor bHLH in disease resistance and stress tolerance, research on its resistance to SCN pathogens is relatively scarce. Therefore, it is becoming increasingly important to continuously discover new genes resistant to SCN.
In this research, the root transcriptome (RNA-seq) was sequenced under stress treatment after the resistant and susceptible soybeans DN-L10 and Heinong 37 were inoculated with SCN 3. The differentially expressed gene GmbHLH18 was chosen for further analysis. Using pCAMBIA3300 as the basic vector, the overexpression vector for PCAMBIA3300-GmbHLH18 was constructed. The hairy-root Agrobacterium infection that genetically altered the DN50 soybean led to the collection and identification of seedlings with roots positive for SCN 3. Analysis was conducted on the secondary and tertiary proteins, phosphorylation sites, and hydrophilicity of the proteins encoded by GmbHLH18. With pCAMBIA1302 as the base vector, the subcellular vector pCAMBIA1302-GmbHLH18 was created, and gene localization was assessed using an inverted fluorescence microscope. The relative expression of GmbHLH18 in resistant and susceptible soybeans under SCN 3 stress was identified by RT-qPCR. Furthermore, stress resistance-related indexes were measured in overexpressed and WT root systems under nematode stress for 14 d. Overexpressed and WT root systems were planted in SCN 3-diseased soil and the number of nematodes per unit area and the number of nematodes in the whole root system were identified with the objective of determining the involvement of genes in the process of SCN response (Figure 12).

5. Conclusions

The GmbHLH18 gene was successfully cloned, and the overexpression vector pCAMBIA3300-GmbHLH18 and the subcellular pCAMBIA1302-GmbHLH18 were recombined. The bioinformatics analysis revealed that GmbHLH18 has a molecular weight of 95.76 ku and encodes 1149 amino acids. The protein’s tertiary structure featured α-helix (36.39%), irregular curling (53.40%), prolonged chain (8.64%), and β-turning angle (1.57%), and its isoelectric point was 5.04 with 60 phosphorylation sites. The largest percentage was found in the -helix and irregular curling. The protein was shown to be hydrophilic. Analysis showed that the protein is localized in the nucleus. qRT-PCR results showed that the gene can respond to nematode stress. In response to the stress induced by SCN 3, stress resistance-related indexes of overexpression and WT after SCN stress showed that root resistance was significantly increased in overexpressed soybeans. SCN phenotyping demonstrated that the control group overexpressing the pCAMBIA3300-GmbHLH18-positive root was greatly reduced, demonstrating that the GmbHLH18 gene exhibited improved resistance to SCN 3.

Supplementary Materials

The following supporting information can be downloaded at: https://www.mdpi.com/article/10.3390/agronomy15030574/s1. Supplementary Figure S1 Blast results of target gene; Supplementary Figure S2 Domain of soybean GmbHLH18 gene; Supplementary Figure S3 Results of bioinformatics research on GmbHLH18 gene; Supplementary Figure S4 Analysis of GmbHLH18 gene promoter; Supplementary Figure S5 Collinearity analysis of the GmbHLH18 gene; Supplementary Figure S6 Analysis of GmbHLH18 gene encoding protein String; Supplementary Figure S7 Analysis of gene expression levels and KEGG enrichment; Supplementary Table S1 Primers sequence information; Supplementary Table S2 Standard curve formulation; Supplementary S1 The specific R code is as follows.

Author Contributions

Conceptualization, S.Q. and G.S.; methodology, S.Q.; software, S.Q., S.H. and M.Z.; validation, W.T. and Y.Z.; formal analysis, S.Q. and Y.L.; investigation, Y.H.; resources, Y.H.; data curation, S.Q. and F.L.; writing—original draft preparation, S.Q.; writing—review and editing, Y.H. and X.Z.; visualization, S.Q.; supervision, S.Q.; project administration, Y.H., H.L. and X.Z.; funding acquisition, Y.H. and X.Z. All authors have read and agreed to the published version of the manuscript.

Funding

This study was conducted in the Key Laboratory of Soybean Biology of the Chinese Education Ministry, Soybean Research & Development Center (CARS) and the Key Laboratory of Northeastern Soybean Biology and Breeding/Genetics of the Chinese Agriculture Ministry, and was financially supported by The Inner Mongolia Science and Technology project (2023DXZD0002), The Chinese National Natural Science Foundation (32472196), The Chinese National Natural Science Foundation (U22A20473), The Natural Science Foundation of Heilongjiang Province (ZD2022C002), The Natural Science Foundation of Heilongjiang Province (JD22A015), The National Key Research and Development Project of China (2021YFD1201604), The National Key Research and Development Project of China (2021YFF1001204), The National Key Research and Development Project of China (2021YFD1201103), The Youth Leading Talent Project, The Ministry of Science and Technology in China (2015RA228), The National Ten-thousand Talents Project, Postdoctoral Fund in Heilongjiang Province (LBH-Q20004), The national project (CARS-04-PS07), and Young leading talents of Northeast Agricultural University (NEAU2023QNLJ-003).

Data Availability Statement

The original contributions presented in this study are included in the article. Further inquiries can be directed to the corresponding authors. Data will be made available upon request.

Acknowledgments

all individuals included in this section have consented to the acknowledgement.

Conflicts of Interest

The authors declare no conflicts of interest.

References

  1. Qu, S.; Jiao, Y.L.; Fu, J.Y.; Cui, H.M.; Cai, Q.; Cai, P.W. Genetic transformation of disease resistance gene PR1 in soybean and cultivation of multi-resistance materials. J. Mol. Plant Breed. 2023, 21, 174–184. [Google Scholar]
  2. Jiang, H.P.; Tian, L.Z.; Bu, F.S.; Zhao, X.; Han, Y.P. Bioinformatics analysis of bZIP transcription factors associated with cyst nematode disease resistance in soybean. Soybean Sci. 2019, 39, 703–711. [Google Scholar]
  3. Veronico, P.; Paciolla, C.; Pomar, F.; De, L.S.; García-Ulloa, A.; Melillo, M.T. Changes in lignin biosynthesis and monomer composition in response to benzothiadiazole and root-knot nematode Meloidogyne incognita infection in tomato. J. Plant Physiol. 2018, 230, 40–50. [Google Scholar] [CrossRef] [PubMed]
  4. Udvardi, M.K.; Kakar, K.; Wandrey, M.; Montanari, O.; Murray, J.; Andriankaja, A.; Zhang, J.Y.; Benedito, V.; Hofer, J.M.; Chueng, F.; et al. Legume transcription factors: Global regulators of plant development and response to the environment. Plant Physiol. 2007, 144, 538–549. [Google Scholar] [CrossRef] [PubMed]
  5. Hao, Y.Q.; Zong, X.M.; Ren, P.; Qian, Y.Q.; Fu, A.G. Basic Helix-Loop-Helix (bHLH) Transcription Factors Regulate a Wide Range of Functions in Arabidopsis. Int. J. Mol. Sci. 2021, 22, 7152. [Google Scholar] [CrossRef] [PubMed]
  6. Castelain, M.; Hir, R.L.; Bellini, C. The non-DNA-binding bHLH transcription factor PRE3/bHLH135/ATBS1/TMO7 is involved in the regulation of light signaling pathway in Arabidopsis. Physiol. Plant. 2012, 145, 450–460. [Google Scholar] [CrossRef]
  7. Abe, H.; Urao, T.; Ito, T.; Seki, M.; Shinozaki, K.; Yamaguchi-Shinozaki, K. Arabidopsis AtMYC2 (bHLH) and AtMYB2 (MYB) function as transcriptional activators in abscisic acid signaling. Plant Cell 2003, 15, 63–78. [Google Scholar] [CrossRef]
  8. Friedrichsen, D.M.; Nemhauser, J.; Muramitsu, T.; Maloof, J.N.; Alonso, J.; Ecker, J.R.; Furuya, M.; Chory, J. Three redundant brassinosteroid early response genes encode putative bHLH transcription factors required for normal growth. Genetics 2002, 162, 1445–1456. [Google Scholar] [CrossRef] [PubMed]
  9. Liu, Y.; Li, X.; Li, K.; Liu, H.; Lin, C. Multiple bHLH Proteins form Heterodimers to Mediate CRY2-Dependent Regulation of Flowering-Time in Arabidopsis. PLoS Genet. 2013, 9, e1003861. [Google Scholar] [CrossRef]
  10. Yao, X.; Cai, Y.; Yu, D.; Liang, G. bHLH104 confers tolerance to cadmium stress in Arabidopsis thaliana. J. Integr. Plant Biol. 2018, 60, 691–702. [Google Scholar] [CrossRef] [PubMed]
  11. Murre, C.; McCaw, P.S.; Baltimore, D. A new DNA binding and dimerization motif in immunoglobulin enhancer binding, daughterless, MyoD, and myc proteins. Cell 1989, 56, 777–783. [Google Scholar] [CrossRef] [PubMed]
  12. Feller, A.; Machemer, K.; Braun, E.L.; Grotewold, E. Evolutionary and comparative analysis of MYB and bHLH plant transcription factors. Plant J. 2011, 66, 94–116. [Google Scholar] [CrossRef] [PubMed]
  13. Heim, M.A.; Jakoby, M.; Werber, M.; Marti, C.; Weisshaar, B.; Bailey, P.C. The basic Helix-Loop-Helix transcription factor family in plants: A genome-wide study of Protein structure and functional diversity. Mol. Biol. Evol. 2003, 20, 735–747. [Google Scholar] [CrossRef]
  14. Zou, X.Y.; Liu, J.; Li, Z.Y.; Ma, J.F.; Wang, Y.F.; Quan, J.Z.; Liu, L.; Bai, H.; Dong, Z.P. Cloning and Expression Analysis of SibHLH19 Gene in Foxtail Millet. Acta Agric. Boreali-Sin. 2022, 37, 16–24. [Google Scholar]
  15. Wang, F.T.; Lin, R.M.; Feng, J.; Qiu, D.; Chen, W.Q.; Xu, S.C. Wheat bHLH transcription factor gene, TabHLH060, enhances susceptibility of transgenic Arabidopsis thaliana to Pseudomonas syringae. Physiol. Mol. Plant Pathol. 2015, 90, 123–130. [Google Scholar] [CrossRef]
  16. Fan, R.C.; Wang, Y.P.; Wang, R.; Li, M.K.; Geng, M.T.; Li, C.X.; Chen, Y.H. Cloning and Disease Resistance Phenotype Analysis of Cassava bHLH79 Gene. Mol. Plant Breed. 2022, 20, 6668–6675. [Google Scholar]
  17. Wang, Z.H.; Shi, L.B.; Wu, H.Y.; Liu, J.; Li, X.X. Distribution and developmental process of Heterodera glycines in soybean root. Sci. Agric. Sin. 2009, 42, 3147–3153. [Google Scholar]
  18. Su, H.; Zhang, M.; Grundy, E.B.; Ferguson, B.J. New Integrative Vectors Increase Agrobacterium rhizogenes Transformation and Help Characterise Roles for Soybean GmTML Gene Family Members. Plant Cell Environ. 2025; advance online publication. [Google Scholar]
  19. Qu, S.; Liu, F.; Song, G.C.; Hu, S.H.; Fang, Y.Y.; Zhao, X.; Han, Y.P. Cloning and preliminary functional analysis of the zinc finger protein gene GmC2H2-2like resistant to soybean cyst nematode in soybean. Acta Agric. Boreali-Sin. 2024, 39, 195–207. [Google Scholar]
  20. Zhan, Y.H.; Hu, S.H.; Qu, S.; Song, G.C.; Liu, F.; Zhao, K.Y.; Sun, H.W.; Han, Y.P. Cloning and bioinformatics analysis of soybean GmMYB48 gene and its functional analysis in resistance to soybean cyst nematode disease. J. Northeast. Agric. Univ. 2024, 55, 1–12. [Google Scholar]
  21. Qian, Y.C.; Zhang, T.Y.; Yu, Y.; Gou, L.P.; Yang, J.T.; Xu, J.; Pi, E.X. Regulatory mechanisms of bHLH transcription factors in plant adaptive responses to various abiotic stresses. Front. Plant Sci. 2021, 12, 677611. [Google Scholar] [CrossRef]
  22. Liu, C.X.; Sun, Z.Y.; Luo, Y.B.; Zhu, H.L.; Qu, G.Q. Research progress on the regulation of plant physiological function by phosphorylation of bHLH transcription factor. Biotechnol. Bull. 2023, 39, 26–34. [Google Scholar]
  23. Liu, Y. Functional Analysis of bHLH137-like Gene in Apple Under Drought and Salt Stress. Master’s Thesis, Northwest Agriculture and Forestry University of Science and Technology, Xi’an, China, 2023. [Google Scholar]
  24. Cheng, Q.; Dong, L.D.; Gao, T.J.; Liu, T.F.; Li, N.H.; Wang, L.; Chang, X.; Wu, J.J.; Xu, P.F.; Zhang, S.Z. The bHLH transcription factor GmPIB1 facilitates resistance to Phytophthora sojae in Glycine max. J. Exp. Bot. 2018, 69, 2527–2541. [Google Scholar] [CrossRef]
Figure 1. Schematic diagram of inoculation of soybean cystitis nematode (SCN).
Figure 1. Schematic diagram of inoculation of soybean cystitis nematode (SCN).
Agronomy 15 00574 g001
Figure 2. PCR and agarose gel electrophoresis of GmbHLH18 clone. (A) Agarose gel electrophoresis of Donong L-10 RNA. (B) Results of PCR electrophoresis of GmbHLH18 gene, M: DS2000 Marker; 1–2 are the study samples. (C) PCR results of transformed Agrobacterium tumefaciens K599 bacteriological fluid, M: DS2000 Marker, 1–9 are the study samples. (D) PCR results of transformed Agrobacterium tumefaciens GV3101 (psoup-p19) bacteriophage. M: DS2000 Marker; 1–5 are the study samples.
Figure 2. PCR and agarose gel electrophoresis of GmbHLH18 clone. (A) Agarose gel electrophoresis of Donong L-10 RNA. (B) Results of PCR electrophoresis of GmbHLH18 gene, M: DS2000 Marker; 1–2 are the study samples. (C) PCR results of transformed Agrobacterium tumefaciens K599 bacteriological fluid, M: DS2000 Marker, 1–9 are the study samples. (D) PCR results of transformed Agrobacterium tumefaciens GV3101 (psoup-p19) bacteriophage. M: DS2000 Marker; 1–5 are the study samples.
Agronomy 15 00574 g002
Figure 3. Results of phylogenetic tree construction. A, B and C are three groups from different categories.
Figure 3. Results of phylogenetic tree construction. A, B and C are three groups from different categories.
Agronomy 15 00574 g003
Figure 4. Results of green fluorescence (GFP) detection of Agrobacterium transforming hairy root. (A): Agrobacterium transforming hairy root; (The transgenic roots of pCAMBIA3300-GFP-GmbHLH18 were obtained using soybean DN50 as the transformation recipient); (B) Plant root bar test strip results (QuickStix™ Kit for LibertyLink ® (bar) Cotton Leaf and Seed); (C) Test results of bar test strip of hairy root infected by Agrobacterium (the transgenic roots of pCAMBIA3300-GFP-GmbHLH18 were obtained using soybean DN50 as the transformation recipient).
Figure 4. Results of green fluorescence (GFP) detection of Agrobacterium transforming hairy root. (A): Agrobacterium transforming hairy root; (The transgenic roots of pCAMBIA3300-GFP-GmbHLH18 were obtained using soybean DN50 as the transformation recipient); (B) Plant root bar test strip results (QuickStix™ Kit for LibertyLink ® (bar) Cotton Leaf and Seed); (C) Test results of bar test strip of hairy root infected by Agrobacterium (the transgenic roots of pCAMBIA3300-GFP-GmbHLH18 were obtained using soybean DN50 as the transformation recipient).
Agronomy 15 00574 g004
Figure 5. Analysis of the subcellular localization of the GmbHLH18 protein. 35s-GFP:Emply pCAMBIA1302-GFP: inject the bacterial liquid into tobacco; 35S-GmbHLH18-GFP: pCAMBAI1302-GFP-GmbHLH18, GFP: Green fluorescent protein field; Chloroplast fluorescence: Chloroplast fluorescence field; Bright: bright field; Merge: merge field.
Figure 5. Analysis of the subcellular localization of the GmbHLH18 protein. 35s-GFP:Emply pCAMBIA1302-GFP: inject the bacterial liquid into tobacco; 35S-GmbHLH18-GFP: pCAMBAI1302-GFP-GmbHLH18, GFP: Green fluorescent protein field; Chloroplast fluorescence: Chloroplast fluorescence field; Bright: bright field; Merge: merge field.
Agronomy 15 00574 g005
Figure 6. Root scanner results. (A) Phenotypes of transgenic roots under SCN stress. (B) Phenotypes of wild-type roots under SCN stress. EI: Primary taproot, EE: Primary lateral root, II: Secondary taproot, IL: Secondary lateral root, Tip: Root tip; Red color block: thick roots; Yellow color block: roots in the transitional growth stage; Blue color block: slender roots; Green color block: vigorously growing roots; Dark blue color block: aged roots.
Figure 6. Root scanner results. (A) Phenotypes of transgenic roots under SCN stress. (B) Phenotypes of wild-type roots under SCN stress. EI: Primary taproot, EE: Primary lateral root, II: Secondary taproot, IL: Secondary lateral root, Tip: Root tip; Red color block: thick roots; Yellow color block: roots in the transitional growth stage; Blue color block: slender roots; Green color block: vigorously growing roots; Dark blue color block: aged roots.
Agronomy 15 00574 g006
Figure 7. Correlation analysis between groups. Significant * p ≤ 0.05, significant ** p ≤ 0.01, significant *** p ≤ 0.001. EI: Primary taproot, EE: Primary lateral root, II: Secondary taproot, IL: Secondary lateral root, Tip: Root tip; −1–1: The closer the correlation is to 1, the stronger the positive correlation; the closer it is to −1, the stronger the negative correlation.
Figure 7. Correlation analysis between groups. Significant * p ≤ 0.05, significant ** p ≤ 0.01, significant *** p ≤ 0.001. EI: Primary taproot, EE: Primary lateral root, II: Secondary taproot, IL: Secondary lateral root, Tip: Root tip; −1–1: The closer the correlation is to 1, the stronger the positive correlation; the closer it is to −1, the stronger the negative correlation.
Agronomy 15 00574 g007
Figure 8. Results of RT-qPCR of soybean under nematode stress. (A) Cartoon heatmap of DN-L10 soybean under SCN 3 nematode stress. (B) Cartoon heatmap of DN50 soybean under SCN 3 nematode stress. (C) Color blocks of relative expression in different tissue sites. The average relative expression level is 5.6 in the roots of DN–L10 and 3.1 in the roots of DN50. The average relative expression level is 2.4 in the stems of DN–L10 and 1.1 in the stems of DN50. The average relative expression level is 2.2 in the leaves of DN–L10 and 1.2 in the leaves of DN50.
Figure 8. Results of RT-qPCR of soybean under nematode stress. (A) Cartoon heatmap of DN-L10 soybean under SCN 3 nematode stress. (B) Cartoon heatmap of DN50 soybean under SCN 3 nematode stress. (C) Color blocks of relative expression in different tissue sites. The average relative expression level is 5.6 in the roots of DN–L10 and 3.1 in the roots of DN50. The average relative expression level is 2.4 in the stems of DN–L10 and 1.1 in the stems of DN50. The average relative expression level is 2.2 in the leaves of DN–L10 and 1.2 in the leaves of DN50.
Agronomy 15 00574 g008
Figure 9. Determination of SCN 3 stress-related indices in transgenic root systems. Different letters in the figure indicate that the difference is extremely significant (p < 0.01). (A) Determination of relative water content in OE-GmbHLH18 and WT (DN50). (B) Determination of electrical conductivity in OE-GmbHLH18 and WT (DN50). (C) Determination of SOD content in OE-GmbHLH18 and WT (DN50). (D) Determination of proline synthetase content in OE-GmbHLH18 and WT (DN50). (E): Determination of POD content in OE-GmbHLH18 and WT (DN50). (F) Determination of MDA content in OE-GmbHLH18 and WT (DN50).
Figure 9. Determination of SCN 3 stress-related indices in transgenic root systems. Different letters in the figure indicate that the difference is extremely significant (p < 0.01). (A) Determination of relative water content in OE-GmbHLH18 and WT (DN50). (B) Determination of electrical conductivity in OE-GmbHLH18 and WT (DN50). (C) Determination of SOD content in OE-GmbHLH18 and WT (DN50). (D) Determination of proline synthetase content in OE-GmbHLH18 and WT (DN50). (E): Determination of POD content in OE-GmbHLH18 and WT (DN50). (F) Determination of MDA content in OE-GmbHLH18 and WT (DN50).
Agronomy 15 00574 g009
Figure 10. Results of soybean cyst nematode identification. (A) Total number of nematodes in the roots after SCN 3 stress. WT: DN50 soybeans; OE-GmbHLH18: Soybeans overexpressing GmbHLH18 (DN50 as genetic transformation recipient). (B) Number of SCN 3 in the roots under a 10× stereo fiber microscope after SCN 3 stress. WT: DN50; OE-GmbHLH18: Soybeans overexpressing GmbHLH18 (DN50 as genetic transformation recipient). (C) Box plot of the number of SCN per unit area. Significant significant *** p ≤ 0.001. OE-GmbHLH18: Distribution of nematodes per unit area in the OE-GmbHLH18 group; WT: Distribution of nematodes per unit area in the DN50 (wild-type) group.
Figure 10. Results of soybean cyst nematode identification. (A) Total number of nematodes in the roots after SCN 3 stress. WT: DN50 soybeans; OE-GmbHLH18: Soybeans overexpressing GmbHLH18 (DN50 as genetic transformation recipient). (B) Number of SCN 3 in the roots under a 10× stereo fiber microscope after SCN 3 stress. WT: DN50; OE-GmbHLH18: Soybeans overexpressing GmbHLH18 (DN50 as genetic transformation recipient). (C) Box plot of the number of SCN per unit area. Significant significant *** p ≤ 0.001. OE-GmbHLH18: Distribution of nematodes per unit area in the OE-GmbHLH18 group; WT: Distribution of nematodes per unit area in the DN50 (wild-type) group.
Agronomy 15 00574 g010
Figure 11. Distribution of SCN numbers. (A) Total number of nematodes in the roots after SCN 3 stress. WT: DN50 soybeans; OE-GmbHLH18: Soybeans overexpressing bHLH18 (DN50 as genetic transformation recipient). significant *** p ≤ 0.001 (B) Number of SCN 3 in the roots under a 10× stereo fiber microscope after SCN 3 stress. WT: DN50; OE-GmbHLH18: Soybeans overexpressing bHLH18 (DN50 as genetic transformation recipient). Numbers 1–5 represent five biological replicates of the observation of the number per unit area in Group 1 of (A); 6–10 represent five biological replicates of the observation of the number per unit area in Group 2 of (A); 11–15 represent five biological replicates of the observation of the number per unit area in Group 3 of (A).
Figure 11. Distribution of SCN numbers. (A) Total number of nematodes in the roots after SCN 3 stress. WT: DN50 soybeans; OE-GmbHLH18: Soybeans overexpressing bHLH18 (DN50 as genetic transformation recipient). significant *** p ≤ 0.001 (B) Number of SCN 3 in the roots under a 10× stereo fiber microscope after SCN 3 stress. WT: DN50; OE-GmbHLH18: Soybeans overexpressing bHLH18 (DN50 as genetic transformation recipient). Numbers 1–5 represent five biological replicates of the observation of the number per unit area in Group 1 of (A); 6–10 represent five biological replicates of the observation of the number per unit area in Group 2 of (A); 11–15 represent five biological replicates of the observation of the number per unit area in Group 3 of (A).
Agronomy 15 00574 g011
Figure 12. Diagram of the mechanism by which the GmbHLH18 gene in soybean mediates and participates in the regulation of SCN 3. ↑: increase↓: decrease.
Figure 12. Diagram of the mechanism by which the GmbHLH18 gene in soybean mediates and participates in the regulation of SCN 3. ↑: increase↓: decrease.
Agronomy 15 00574 g012
Table 1. T-test analysis of variance.
Table 1. T-test analysis of variance.
TreatmentsAverageVarianceObserved ValuePoisson Correlation Coefficientp (T ≤ t) Two-Tailed
GmbHLH18-OE1.880.13153.148.7341 × 10−10
WT3.940.1015--
Disclaimer/Publisher’s Note: The statements, opinions and data contained in all publications are solely those of the individual author(s) and contributor(s) and not of MDPI and/or the editor(s). MDPI and/or the editor(s) disclaim responsibility for any injury to people or property resulting from any ideas, methods, instructions or products referred to in the content.

Share and Cite

MDPI and ACS Style

Qu, S.; Hu, S.; Zhang, M.; Song, G.; Liu, F.; Teng, W.; Zhan, Y.; Li, Y.; Li, H.; Zhao, X.; et al. In Silico Characterization of GmbHLH18 and Its Role in Improving Soybean Cyst Nematode Resistance via Genetic Manipulation. Agronomy 2025, 15, 574. https://doi.org/10.3390/agronomy15030574

AMA Style

Qu S, Hu S, Zhang M, Song G, Liu F, Teng W, Zhan Y, Li Y, Li H, Zhao X, et al. In Silico Characterization of GmbHLH18 and Its Role in Improving Soybean Cyst Nematode Resistance via Genetic Manipulation. Agronomy. 2025; 15(3):574. https://doi.org/10.3390/agronomy15030574

Chicago/Turabian Style

Qu, Shuo, Shihao Hu, Miaoli Zhang, Gengchen Song, Fang Liu, Weili Teng, Yuhang Zhan, Yongguang Li, Haiyan Li, Xue Zhao, and et al. 2025. "In Silico Characterization of GmbHLH18 and Its Role in Improving Soybean Cyst Nematode Resistance via Genetic Manipulation" Agronomy 15, no. 3: 574. https://doi.org/10.3390/agronomy15030574

APA Style

Qu, S., Hu, S., Zhang, M., Song, G., Liu, F., Teng, W., Zhan, Y., Li, Y., Li, H., Zhao, X., & Han, Y. (2025). In Silico Characterization of GmbHLH18 and Its Role in Improving Soybean Cyst Nematode Resistance via Genetic Manipulation. Agronomy, 15(3), 574. https://doi.org/10.3390/agronomy15030574

Note that from the first issue of 2016, this journal uses article numbers instead of page numbers. See further details here.

Article Metrics

Back to TopTop