Next Article in Journal
Comparative Evaluation of the Performance of the PTD and CSF Algorithms on UAV LiDAR Data for Dynamic Canopy Height Modeling in Densely Planted Cotton
Next Article in Special Issue
In Vitro Screening of Endophytic Micromonospora Strains Associated with White Clover for Antimicrobial Activity against Phytopathogenic Fungi and Promotion of Plant Growth
Previous Article in Journal
Advancing Crop Yield Predictions: AQUACROP Model Application in Poland’s JECAM Fields
Previous Article in Special Issue
Genome-Wide Identification and Characterization of Tea SGR Family Members Reveal Their Potential Roles in Chlorophyll Degradation and Stress Tolerance
 
 
Font Type:
Arial Georgia Verdana
Font Size:
Aa Aa Aa
Line Spacing:
Column Width:
Background:
Article

Evaluation of Maize Hybrids for Resistance to Ear Rot Caused by Dominant Fusarium Species in Northeast China

1
Maize Research Institute, Shanxi Agricultural University, Xinzhou 034000, China
2
College of Life Sciences, Yan’an University, Yan’an 716000, China
3
College of Plant Protection, Shenyang Agricultural University, Shenyang 031000, China
*
Authors to whom correspondence should be addressed.
Agronomy 2024, 14(4), 855; https://doi.org/10.3390/agronomy14040855
Submission received: 26 March 2024 / Revised: 17 April 2024 / Accepted: 18 April 2024 / Published: 19 April 2024
(This article belongs to the Special Issue Research Progress on Pathogenicity of Fungi in Crops—2nd Edition)

Abstract

Ear rot caused by the Fusarium species has led to a decline in maize yield and kernel quality worldwide. The changes in the population structure of pathogens and the widespread planting of susceptible maize varieties have exacerbated the occurrence and harm of ear rot in China. Therefore, it is very important to establish the species composition of Fusarium and evaluate the resistance of the main cultivated hybrids. In this study, 366 single conidial isolates of Fusarium spp. were obtained from three provinces of Northeast China. F. verticillioides, F. subglutinans, F. proliferatum, F. oxysporum, and F. graminearum species complex (FGSC) were identified, with F. verticillioides being the most prevalent with a frequency of 44.0%. Based on the TEF-1α gene sequences analysis, the FGSC populations consisted of two independent species: F. boothii and F. graminearum, which account for 23.8% and 5.7% of the total isolates, respectively. Additionally, the resistance to ear rot by 97 maize hybrids commonly planted in Northeast China was evaluated by inoculation with F. verticillioides during 2021 and 2022. The results showed that the disease parameters of different hybrids varied significantly (p < 0.05). Approximately half of the hybrids had damage rates ranging from 0 to 15%, and 79.4% of the hybrids had a severity rating of less than 5.5. In total, 49 (50.5%) hybrids were rated as moderately resistant, which was the dominant resistance category, and 71 hybrids (73.2%) were identified as moderately to highly resistant to ear rot. Current research confirms that Fusarium ear rot in maize is mainly caused by F. verticillioides in Northeast China, and many hybrids are resistant to the disease. This study will guide growers to scientifically deploy resistant commercial hybrids to control ear rot.

1. Introduction

Maize (Zea mays L.) is an important cereal crop extensively used as a raw material in forage and edible oil production worldwide. Multiple fungal pathogens can infect maize ears and kernels, causing whole ears or part of the kernels to rot during the late growth stage, harvest, or storage. Not only does infection seriously affect maize yield and kernel quality, it also reduces germination and seedling survival rates [1,2,3]. Furthermore, fungi in maize kernels synthesize toxic secondary metabolites, which are a major food and feed safety hazard, directly threatening the health of humans and livestock [4,5,6,7].
In recent years, Fusarium species have threatened maize cultivation, with ear rot frequently occurring in the maize-growing areas of China [8]. Fusarium species represent the main pathogenic fungi causing maize ear rot globally, including F. verticillioides, F. graminearum, F. subglutinans, F. proliferatum, and F. temperatum. Fusarium verticillioides is one of the most commonly isolated pathogens on maize ears throughout the world [9,10,11,12]. The population structure of Fusarium species changes with environmental conditions [13]. In Europe, F. verticillioides and F. proliferatum are mainly distributed in drier, warmer regions such as Italy, France, Belgium, Switzerland, and Spain, while F. subglutinans and F. temperatum are more dominant in colder, wetter climates [14,15,16,17,18,19,20]. Moreover, countries including Canada, Brazil, South Africa, Ethiopia, and Nepal have also reported that maize ear rot, mainly caused by F. verticillioides, has caused serious crop losses [21,22,23,24,25]. Previous investigations have shown that F. verticillioides is the most prevalent of the Fusarium species, followed by F. graminearum and F. proliferatum, while F. subglutinans, F. temperatum, F. equiseti, and F. oxysporum have only been isolated in a limited number of regions in China [26,27,28,29]. Significantly, some newly described toxigenic species (including F. concentricum, F. sacchari, F. miscanthi, and F. sporotrichioides) that cause ear rot have been observed in maize kernels from China in 2021 and 2022 [30,31,32,33].
Currently, the most effective and environmentally safe method of controlling maize ear rot is cultivating genetically resistant hybrids [34,35]. The search for resistant inbred lines and hybrids has been the focus of many studies [36,37,38,39,40]. Due to the effects of global warming, conservation tillage technology, and changes to crop rotation systems, the occurrence of Fusarium ear rot damage has shown a tendency to increase worldwide [41,42]. Although China is the world’s largest maize producer and consumer after the United States, few maize hybrids with high resistance to ear rot have been identified in the region [43,44,45,46]. Moreover, almost all commercial hybrids in China are developed and sold by private companies that do not disclose genetic information, which makes it impossible for growers to predict the resistance of hybrid plants to various diseases. Therefore, this study was undertaken to clarify the population structure of Fusarium spp., and screen maize hybrids with superior resistance to ear rot caused by the dominant Fusarium species in Northeast China under artificial inoculated conditions.

2. Materials and Methods

2.1. Fungal Isolation and Species Identification

In the autumn of 2020, 298 samples of maize ear rot were collected from 15 regions in Northeast China, including: 101 samples from Yichun (23), jiamusi (22), Qiqihar (16), Harbin (19), Mudanjiang (21) in Heilongjiang Province; 93 samples from Baicheng (20), Songyuan (21), Changchun (19), Siping (18), Tonghua (15) in Jilin Province; and 104 samples from Tieling (22), Huludao (23), Yingkou (21), Dandong (19), and Dalian (19) in Liaoning Province where severe ear rot has occurred (Figure 1). The samples collected from different plots (at least three plots per site) were individually packed in kraft paper bags and stored in a ventilated area at 25 °C. To isolate pathogens, one infected maize kernel on each ear was surface disinfected by soaking in 5% sodium hypochlorite solution for 5 min, rinsed with sterile water 3 times, dried, and cultivated on potato dextrose agar (PDA: 200 g potato, 20 g glucose, and 20 g agar in 1 L distilled water) with streptomycin (100 μg/mL). The hyphae growing inside the kernels were transferred to a spezieller närstoffarmer agar (SNA: 1 g KNO3, 1 g KH2PO4, 0.5 g KCl, 0.5 g MgSO4·7H2O, 0.2 g sucrose, 0.2 g glucose, and 20 g agar in 1 L distilled water) to promote sporulation. Based on the monospore separation method proposed by Leslie et al. [11], a single spore was transferred onto a Petri dish containing PDA under a 40× upright microscope (Eclipes E100, Nikon, Tokyo, Japan) using a simple homemade needle. All isolates were cultured at 25 °C under 12:12 h light:dark cycles for 5 days, and morphological and cultural characterizations were used to identify Fusarium isolates to the species level [11]. Finally, the mycelial discs were suspended in 20% glycerol solution and stored at −80 °C until plant resistance was evaluated. In total, 366 isolates (132 from Heilongjiang, 105 from Jilin, and 129 from Liaoning) were isolated from samples and preserved at the Institute of Plant Immunology, Shenyang Agricultural University.
Fungal morphological identification was based on the morphology of conidia. Subsequently, the isolates were validated by species-specific polymerase chain reaction (PCR) to support morphological identification. To extract DNA, the purified isolate was transferred to a sterile conical flask containing 100 mL potato dextrose broth (PDB: 200 g potato and 20 g glucose in 1 L distilled water) and incubated at 25 °C with 150 rpm shaking for 5 days. The collected mycelia were filtered with sterile gauze, washed three times with sterile distilled water, transferred to a centrifuge tube, dried with a vacuum freeze dryer (Modulyo-D, Labconco, Kansas City, MO, USA) for at least 24 h, poured into a cold mortar, and ground with a pestle in liquid nitrogen. The mycelial genomic DNA was extracted using the Plant Genomic DNA Kit (Tiangen, Beijing, China), and the relative purity and concentration of DNA were determined by Ultramicro spectrophotometer (NanoDrop 2000c, Thermo, Waltham, MA, USA). The specific primer sequences were described in Table 1 and each PCR reaction system (25 μL) contained 1 μL template DNA, 12.5 μL 2× Power Taq PCR MasterMix (Takara, Dalian, China), 1 μL each primer, and 9.5 μL double distilled H2O. PCR amplification conditions were as follows: initiation at 94 °C for 4 min; 35 cycles with denaturation at 94 °C for 40 s, annealing (the temperature depended on the primer pairs) for 40 s, and extension at 72 °C for 1 min, and final extension at 72 °C for 10 min. The amplified products and DL2000 DNA marker (Takara, Dalian, China) were electrophoresed on a 1% agarose gel containing 1× TAE and 4S Green Plus Nucleic Acid Stain (Sangon, Shanghai, China), and visualized by the gel imaging analysis system (FireReader V10, UVItec, Cambridge, UK).
A partial gene fragment of translation elongation factor 1-alpha (TEF-1α) was amplified and sequenced to determine Fusarium species in isolates of F. graminearum species complex (FGSC). The TEF-1α region was amplified using EF1 (5′-ATGGGTAAGGAGGACAAGAC-3′) and EF2 (5′-GGAAGTACCAGTGATCATGTT-3′) as primers [51]. The PCR reaction system was the same as in the previous section. PCR amplifications were performed for 94 °C for 2 min; 35 cycles of 94 °C for 30 s; 53 °C for 30 s; and 72 °C for 1 min; and final extension at 72 °C for 10 min. Amplified products were sequenced by Sangon Biotech (Shanghai, China), and sequence data was assembled using DNAMAN v. 7.0. The final sequences were BLAST compared to sequences of Fusarium species from GenBank (http://blast.ncbi.nlm.nih.gov (accessed on 25 October 2021)) and a phylogenetic tree was constructed using MEGA v. 4.0.

2.2. Field Experiment Design and Inoculum Preparation

The test materials included 97 commercial hybrids mainly planted in Northeast China, and 2 inbred lines, X178 (resistant) and B73 (highly susceptible), as controls. Evaluation of the resistance to maize ear rot was carried out at the research base of Shenyang Agricultural University, which is located at 41.84° N and 123.58° E, at an elevation of 89.36 m AMSL. The soil of the test field was loam with a pH of 6.8, and the organic matter content was 2.5%. The study was repeated twice, with maize seeds sown in experimental fields on 27 April 2021, and 30 April 2022. Hybrid seeds were randomly distributed, and each row was 4 m long and repeated three times, with 60 cm between rows and 10 equally spaced hills per row. Three seeds of the same hybrid were sown in the hills of each plot, and one plant per hill was maintained for two weeks after emergence. Field management measures, including timely manual weeding and pesticide spraying, were implemented throughout the growing season. The preparation of inoculum followed the method proposed by Xu et al. [44]: wooden toothpicks were washed in boiling water until the water did not contain color solubles, and then autoclaved and spread over the coagulated PDA medium. The inoculated pathogen was an isolate of F. verticillioides named TL1803, a proven aggressive toxin-producing isolate (with a disease index of 89.30 after inoculating the variety Xianyu335) adapted to the environment of Northeast China. Five mycelium discs with a diameter of 8 mm from the initially isolated and purified TL1803 isolate were evenly inverted onto toothpicks, and then the toothpicks were incubated until they were completely covered by mycelia and conidia.

2.3. Inoculation and Evaluation

One ear from each plant was randomly marked for inoculation approximately 7 days after silking. Two toothpicks with mycelia were inserted into the cob from the outside of the bract at the middle part of the ear. Bracts of the 10 inoculated ears of each hybrid were removed, and the damage rates (DR: ratio of infected kernels areas to total kernels areas) were recorded at growth stage R6 of the maize plants. The severity rating (SR) of maize ear rot was measured on a five-point scale (1 = 0–1%; 3 = 2–10%; 5 = 11–25%; 7 = 26–50%; and 9 = 51–100% of total kernels showing visual symptoms of infection) proposed by Yang et al. [45]. Five resistance categories (RC) were evaluated based on the average SR of the 10 ears from each hybrid, where values between 0.1 and 1.5, 1.6 and 3.5, 3.6 and 5.5, 5.6 and 7.5, and 7.6 and 9.0 were defined as highly resistant (HR), resistant (R), moderately resistant (MR), susceptible (S), and highly susceptible (HS) responses, respectively. When control B73 showed HS to ear rot in the field test, inoculation was considered effective. Where the average SR was inconsistent between the two planting years, the higher value was used as the criterion for evaluating the final resistance category. The frequency and distribution of different Fusarium species, as well as the average values of DRs and SRs of each hybrid, were calculated using Microsoft Excel 2007. SAS version 9.4 was used for statistical analysis, and the mean comparisons were performed using LSD(p = 0.05) test. Separate analysis was conducted on the annual disease parameters data due to the interaction between genotype and year.

3. Results

3.1. Weather Conditions

During the maize growth season (May to September), the average temperature in 2021 and 2022 were 22.08 °C and 21.75 °C, respectively, and the temperature fluctuated slightly in different months of the same year (Figure 2). The total precipitation in the summer (June to August) of 2022 was 347.32 mm, which was significantly lower than the 527.90 mm in 2021. Furthermore, the precipitation in August had increased significantly compared with other months in the past two years, and it was in the R2 and R3 stages of maize plants, which was conducive to the occurrence and prevalence of ear rot.

3.2. Occurrence Frequency and Distribution of Different Species of Fusarium

In this study, F. verticillioides, F. subglutinans, F. proliferatum, F. oxysporum, and FGSC were identified through morphological structural analysis and species-specific PCR, respectively, and no other Fusarium species were detected in Northeast China (Figure 3). The TEF-1α gene sequences of 108 FGSC isolates were BLAST compared with the standard reference isolates of Fusarium in GenBank and a phylogenetic tree was constructed, indicating FGSC isolates that were divided into two distinct clades, with 87 isolates (e.g., LN011, JL032, and HLJ053) expressing 99% to 100% homology with F. boothii (KX269073.1 and KX269077.1), while the other 21 isolates (e.g., LN004, LN078, and HLJ019) exhibited 99% to 100% homology with F. graminearum (KX269094.1 and MW620073.1) (Figure 4). However, the isolation frequency of each species varied greatly (Table 2). Fusarium verticillioides was the dominant species with a frequency of 44.0%, followed by F. boothii with a frequency of 23.8%. In addition, F. subglutinans, F. proliferatum, F. graminearum and F. oxysporum were only found at a few study sites, accounting for 12.0%, 9.8%, 5.7% and 4.6% of total isolates, respectively.
The frequencies and distributions of Fusarium species varied within and among provinces. All six identified species were found in Heilongjiang and Liaoning, while all except F. graminearum were found in Jilin. Fusarium verticillioides was the most prevalent species in Heilongjiang, Jilin, and Liaoning provinces, and its frequency of occurrence was 36.4%, 47.6%, and 48.8%, respectively. The number of F. boothii isolates detected in Jilin was only higher than that of F. oxysporum and F. graminearum, while in the other two provinces, this species was the second most prevalent species after F. verticillioides. The population structure was also different within and between each site. Fusarium verticillioides was present in all 15 sites, whereas F. boothii was described for 13 sites, F. subglutinans and F. oxysporum for 8 sites, and F. proliferatum and F. graminearum for 5 sites. Significantly, five species of Fusarium were distributed in Jiamusi of Heilongjiang and Yingkou of Liaoning, while only F. verticillioides and F. boothii were detected in Siping of Jilin and Dalian of Liaoning.

3.3. Evaluation of Maize Hybrids

All hybrids showed visible symptoms of ear rot after being inoculated with F. verticillioides, and the disease parameters DR and SR of different hybrids planted in the same year varied significantly (p < 0.05; Table 3). In 2021 and 2022, the lowest disease parameters occurred in the Huanong887 hybrid, which had DR of 1.07% and 0.54%, and SR of 1.20 and 1.00, respectively. The Jiudan318 hybrid had the highest disease parameters in 2021 (DR and SR were 64.07% and 8.20, respectively), while the Jinyuan15 hybrid demonstrated the highest disease parameters in 2022 (DR and SR were 59.97% and 8.07, respectively). The proportion distribution of maize hybrids in the two disease parameters in different years is shown in Figure 5. The DR values of the tested hybrids were distributed between 1.07 and 64.07% in 2021, and 0.54 and 59.97% in 2022, of which approximately half varied within a range of 0 to 15%. The resistance response of each hybrid was sorted into different categories based on the SR value investigated during the R6 growth stage of the maize plants. The RC distribution results indicated that 79.4% of the hybrids had values below 5.5 in 2021 and 2022, which were determined to be resistant to ear rot (evaluated as HR, R and MR). The resistance categories of all hybrids fluctuated slightly between 2021 and 2022, and 52.6% of hybrids were observed to have the same resistance response in both sowing years. Significant correlation existed between disease parameters (r > 0.95), and the control inbred lines B73 and X178 achieved theoretical HS and R responses, respectively. This indicated that the field environment was suitable for the occurrence of ear rot, and the evaluation results were true and effective.
Statistical analysis of the resistance category for all tested hybrids in this study confirmed that MR hybrids were most common (n = 49; 50.5%), followed by R (n = 20; 20.6%), and S (n = 20; 20.6%) hybrids. In contrast, only six HS and two HR hybrids were observed, with identification frequencies of 6.2% and 2.1%, respectively. Overall, 71 hybrids (73.2%) were identified as resistant (HR, R, MR) to ear rot, and 26 hybrids (26.8%) were rated as HS or S. The distribution of resistance categories for the planted maize hybrids varied between each province (Figure 6). Compared with other provinces, more hybrids in Heilongjiang were classified as MR and HS, accounting for 53.1% and 9.4% of the total, respectively. Among the planted hybrids in Jilin, 27 were identified as resistant to ear rot (including 10 R and 17 MR hybrids), with a resistance level of 77.1%, which was significantly higher than that of the other two provinces. Conversely, up to 30% of the hybrids in Liaoning were designated as S or HS.

4. Discussion

Ear rot caused by Fusarium spp. poses a serious threat to maize yield and kernel quality. Fusarium verticillioides was the most frequently observed and widely distributed Fusarium species in this study, which concurs with a previous report on the isolation and identification of maize ear rot pathogens in Northeast China [52]. However, the population structure of Fusarium that causes ear rot in maize varies widely across countries and regions. The dominant species was F. verticillioides in Switzerland, Poland, Ethiopia, Iran, and Eastern China; F. graminearum in France and Belgium; and F. subglutinans in the Harbin area of China [16,18,20,25,28,41,53,54,55]. The frequency and distribution of Fusarium species varied among provinces and sites, which was closely related to environmental conditions [41]. In general, dry and hot conditions are conducive to infection by F. verticillioides and F. proliferatum, while F. subglutinans and F. graminearum prefer frequent rainfall and cold temperatures [1,3]. In summer, high temperature lasted for an extended period in the Liaoning Province (http://ln.cma.gov.cn/zfxxgk/zwgk/zcwj/gfxwj/202106/t20210607_3387749.html (accessed on 16 March 2022)), which may be a reason for the highest isolation frequency of F. verticillioides being observed in this area. The population structure of Fusarium has changed significantly over time, demonstrated by a change in the dominant fungus in Northeast China from F. semitectum in 2011 [56], to F. verticillioides in this study. The isolation frequency of various species in the same region also fluctuated in different years. In 2015, ear rot caused by F. subglutinans did not occur in maize-producing areas of Liaoning [57]; however, by 2020, F. subglutinans was the fourth most dominant species in the area with a frequency of 6.2%, which may have been influenced by cultivated hybrids, location and time of sample collection. The population structure of Fusarium was influenced by the sources of collected maize ear rot samples. Furthermore, the samples were only collected from 15 regions in 2020, which could have led to a bias in the results, and more samples across regions and years should be examined in future studies.
The toxicity of Fusarium species, the complexity of the population structure, and current production practices strongly influence the occurrence and development of ear rot [58,59,60]. An aggressive fumonisin-producing F. verticillioides adapted to the local environment was selected for artificial inoculation to accurately evaluate the disease resistance of these plants in Northeast China. Experiments conducted in greenhouses do not reflect the true resistance levels of maize hybrids in the diverse cultivation environments of different regions. Therefore, the experiment conducted by Reid et al. [61] was carried out under field conditions to evaluate the resistance of maize hybrids to ear rot caused by F. verticillioides. The selection of an inoculation method suitable for local conditions was particularly important for the identification of resistance to maize ear rot. Since the inoculum was easy to culture, and the amount of inoculum could be accurately controlled, pathogens were in direct contact with the ears and kernels; thus, double toothpick inoculation proved to be a relatively simple and effective method [44,62]. Moreover, climatic conditions in different years have a profound impact on the response of plants to ear rot [13,63]. In our study, the resistance category controls X178 and B73 reached the theoretical level of using double toothpicks to inoculate maize ears in both years.
As a fungal disease commonly occurring in maize-producing areas of the world, ear rot has attracted more and more attention from growers. Planting resistant hybrids is considered to be the most economical and effective way to prevent ear rot, but the resistance of maize hybrids to ear rot differs greatly [64,65]. Many countries and regions have carried out evaluations of the resistance of maize inbred lines and hybrids to ear rot. Inoculation trials undertaken in Urbana, Illinois, evaluated the severity of Fusarium ear rot in 68 food-grade dent maize hybrids, and found 13 had a consistent ear rot rate of less than 5% over two years [38]. A total of 103 maize inbred lines were inoculated with F. verticillioides in Ikenne and Ibadan, Nigeria, during 2003 and 2004. Results of the study showed that 02C14683, 02C14624, 02C14606, 02C14603, 02C14593, and 02C14585 were consistently highly resistant to ear rot across years and locations [36]. Maize materials from Canada and the United States have been reported to show significant genotypic differences in resistance to F. verticillioides [37]. After analyzing the germplasms from the Misión Biológica de Galicia Bank, Spain, in 2010 and 2011, 61 inbred lines were determined to have the highest resistance to Fusarium ear rot and fumonisin accumulation [40]. Inoculated by the toothpick method, the flint maize proved to be more easily infected by F. verticillioides than dent maize [66]. The responses of three maturity groups (early, mid-late, late) of maize inbred lines to ear rot was studied in France, Germany, Hungary, and Italy during the 2003 and 2004 crop seasons. The focus of the analysis was on the correlation between resistance to F. verticillioides and F. graminearum. The results indicated that the severity of ear rot caused by F. graminearum was significantly higher than that caused by F. verticillioides, with the moderate correlation occurring in early maturing dent and flint lines [39]. In this study, 71 hybrids were ultimately evaluated as MR, R, and HR in their resistance to ear rot caused by F. verticillioides. However, ear rot is often caused by a combination of multiple Fusarium species under natural conditions in the field. Thus, it is necessary to increase the inoculation analysis of other Fusarium species.
In recent years, the incidence of maize ear rot in China has increased annually, which may be due to changes in climate and cultivation systems, increased insect vector activity, and large-scale planting of susceptible hybrids [34,41,42]. In this study, 97 maize hybrids commonly planted in Northeast China were inoculated with the dominant fungal species F. verticillioides under natural field conditions. These trials found that 79.4% of the hybrids were resistant (HR, R, or MR) to ear rot in 2021 and 2022, and response levels were slightly higher than previously reported [43,67]. Only two hybrids were designated as HR, which was consistent with there being almost no reports of maize hybrids with high resistance to ear rot [44,62]. The resistance of maize to ear rot varies under different environmental conditions and management practices [68,69], which may be an important reason for the differences in maize resistance levels among provinces. Multiyear and multisite resistance monitoring should be conducted to evaluate the more accurate resistance level of maize hybrids in future studies. Significantly, up to 30% of the hybrids in Liaoning province were susceptible to ear rot caused by F. verticillioides, indicating a higher epidemic risk of ear rot appearing in Liaoning province; therefore, the monitoring of ear rot, and the screening of resistant hybrids should be strengthened.
The data showed that although DR and SR disease parameters differed among hybrids, significant correlations occurred within the same hybrids, one of which can be used to evaluate the resistance of maize hybrids to ear rot. Moreover, despite the monthly average temperature during the maize growing season having remained relatively stable, the rainfall had plummeted from 527.90 mm in 2021 to 347.32 mm in 2022, which may affect the severity of maize hybrid infections. Unexpectedly, individual hybrids evaluated as HS were already widely planted with an expanding range in Northeast China, which may promote outbreaks and increased prevalence of ear rot. In summary, our study suggests that on the basis of strengthening field disease management measures, resistant hybrids should be actively cultivated and promoted to sustainably control ear rot.

5. Conclusions

In conclusion, our study showed that the population structure of Fusarium causing maize ear rot in Northeast China had changed significantly over time, with the dominant fungus shifting from the past F. semitectum to F. verticillioides, the F. graminearum species complex populations consisted of F. boothii and F. graminearum, and the isolation frequency of various species in the same region also fluctuated in different years. Moreover, the field evaluation of common maize hybrids inoculated with the dominant fungus F. verticillioides confirmed that disease parameters differed among hybrids, and 73.2% of hybrids were moderately to highly resistant to ear rot. Finally, individual highly susceptible hybrids were widely planted in some areas of Northeast China, which indicated the need to strengthen the screening of resistant varieties and reasonable layout to prevent the further occurrence and spread of Fusarium ear rot.

Author Contributions

Conceptualization, Z.M. and Z.G.; methodology, Z.M., J.W. and S.W.; software, Z.M. and J.R.; validation, H.H., Y.H. and B.L.; formal analysis, J.Y.; investigation, B.Z.; resources, Z.G.; data curation, Z.M., J.W. and B.Z.; writing—original draft preparation, Z.M.; writing—review and editing, B.L. and Z.G.; visualization, B.L.; supervision, Z.G.; project administration, Z.M. and Z.G.; funding acquisition, Z.M. and Z.G. All authors have read and agreed to the published version of the manuscript.

Funding

This research was funded by the National Key Technology Research and Development Program of China (2018YFD0300307), the Science and Technology Plan Project of Xinzhou City (20230503) and the Doctoral Research Initiation Project of Shanxi Agricultural University (2023BQ44).

Data Availability Statement

The data presented in this study are available on request from the corresponding author (due to privacy restriction).

Conflicts of Interest

The authors declare no conflicts of interest.

References

  1. Li, L.N.; Qu, Q.; Cao, Z.Y.; Guo, Z.Y.; Jia, H.; Liu, N.; Wang, Y.H.; Dong, J.G. The relationship analysis on corn stalk rot and ear rot according to Fusarium species and fumonisin contamination in kernels. Toxins 2019, 11, 320. [Google Scholar] [CrossRef]
  2. Logrieco, A.; Mulè, G.; Moretti, A.; Bottalico, A. Toxigenic Fusarium species and mycotoxins associated with maize ear rot in Europe. Eur. J. Plant Pathol. 2002, 108, 597–609. [Google Scholar] [CrossRef]
  3. Mesterhazy, A.; Lemmens, M.; Reid, L.M. Breeding for resistance to ear rots caused by Fusarium spp. in maize—A review. Plant Breed. 2012, 131, 1–19. [Google Scholar] [CrossRef]
  4. Vigier, B.; Reid, L.M.; Seifert, K.A.; Stewart, D.W.; Halminton, R.I. Distribution and prediction of Fusarium species associated with maize ear rot in Ontario. Can. J. Plant Pathol. 1997, 19, 60–65. [Google Scholar] [CrossRef]
  5. Munkvold, G.P. Epidemiology of Fusarium diseases and their mycotoxins in maize ears. Eur. J. Plant Pathol. 2003, 109, 705–713. [Google Scholar] [CrossRef]
  6. Reddy, K.; Salleh, B.; Saad, B.; Abbas, H.; Abel, C.; Shier, W. An overview of mycotoxin contamination in foods and its implications for human health. Toxin Rev. 2010, 29, 3–26. [Google Scholar] [CrossRef]
  7. Sundheim, L.; Tsehaye, H. Fumonisin in Zambia and neighboring countries in a changing climate. Adv. Environ. Res. 2015, 39, 69–84. [Google Scholar]
  8. Wu, F. Measuring the economic impacts of Fusarium toxins in animal feeds. Anim. Feed Sci. Technol. 2007, 137, 363–374. [Google Scholar] [CrossRef]
  9. Ammar, M.; Merfat, A.; Walid, N.; Paul, H.V.; Mohammad, H. Morphological and molecular characterization of Fusarium isolated from maize in Syria. J. Phytopathol. 2013, 161, 452–458. [Google Scholar]
  10. Borah, S.N.; Goswami, D.; Sarma, H.K.; Cameotra, S.S.; Deka, S. Rhamnolipid biosurfactant against Fusarium verticillioides to control stalk and ear rot disease of maize. Front. Microbiol. 2016, 7, 1505. [Google Scholar] [CrossRef]
  11. Leslie, J.F.; Anderson, L.L.; Bowden, R.L.; Lee, Y.W. Inter- and intra-specific genetic variationin Fusarium. Int. J. Food Mircobiol. 2007, 119, 25–32. [Google Scholar] [CrossRef] [PubMed]
  12. Presello, D.A.; Iglesiasm, J.; Botta, G.; Reid, L.M.; Lori, G.A.; Eyhérabide, G.H. Stability of maize resistance to the ear rots caused by Fusarium graminearum and F. verticillioides in Argentinian and Canadian environments. Euphytica 2006, 147, 403–407. [Google Scholar] [CrossRef]
  13. Stewart, D.W.; Reid, L.M.; Nicol, R.W.; Schaafsma, A.W. A mathematical simulation of growth of Fusarium in maize ears after artificial inoculation. Phytopathology 2002, 92, 534–541. [Google Scholar] [CrossRef] [PubMed]
  14. Aguín, O.; Cao, A.; Pintos, C.; Santiago, R.; Mansilla, P.; Butrón, A. Occurrence of Fusarium species in maize kernels grown in northwestern Spain. Plant Pathol. 2014, 63, 946–951. [Google Scholar] [CrossRef]
  15. Bottalico, A. Fusarium diseases of cereals: Species complex and related mycotoxins profiles, in Europe. J. Plant Pathol. 1998, 80, 85–103. [Google Scholar]
  16. Boutigny, A.L.; Ward, T.J.; Ballois, N.; Iancu, G.; Ioos, R. Diversity of the Fusarium graminearum species complex on French cereals. Eur. J. Plant Pathol. 2014, 138, 133–148. [Google Scholar] [CrossRef]
  17. Covarelli, L.; Stifano, S.; Beccari, G.; Raggi, L.; Lattanzio, V.M.T.; Albertini, E. Characterization of Fusarium verticillioides strains isolated from maize in Italy: Fumonis in production, pathogenicity and genetic variability. Food Microbiol. 2012, 31, 17–24. [Google Scholar] [CrossRef] [PubMed]
  18. Dorn, B.; Forrer, H.R.; Schurch, S.; Vogelgsang, S. Fusarium species complex on maize in Switzerland: Occurrence, prevalence, impact and mycotoxins in commercial hybrids under natural infection. Eur. J. Plant Pathol. 2009, 125, 51–61. [Google Scholar] [CrossRef]
  19. Lew, H.; Adler, A.; Edinger, W. Moniliformin and the European corn borer (Ostrinia nubilalis). Mycotoxin Res. 1991, 7A, 71–76. [Google Scholar] [CrossRef]
  20. Scauflaire, J.; Mahieu, O.; Louvieaux, J.; Foucart, G.; Renard, F.; Munaut, F. Biodiversity of Fusarium species in ears and stalks of maize plants in Belgium. Eur. J. Plant Pathol. 2011, 131, 59–66. [Google Scholar] [CrossRef]
  21. Desjardins, A.E.; Manandhar, G.; Plattner, R.D.; Margos, C.M.; Shrestha, K.; McCormick, S.P. Occurrence of Fusarium species and mycotoxins in Nepalese maize and wheat and the effect of traditional processing methods on mycotoxin levels. J. Agric. Food Chem. 2000, 48, 1377–1383. [Google Scholar] [CrossRef] [PubMed]
  22. Schaafsma, A.W.; Limay-rios, V.; Tamburic-illincic, L. Mycotoxins and Fusarium species associated with maize ear rot in Ontario, Canada. Cereal Res. Commun. 2008, 36, 525–527. [Google Scholar]
  23. Sliva, J.J.; Viaro, H.P.; Ferranti, L.S.; Oliveira, A.L.M.; Ferreira, J.M.; Ruas, C.F.; Ono, E.Y.S.; Fungaro, M.H.P. Genetic structure of Fusarium verticillioides populations and occurrence of fumonisins in maize grown in Southern Brazil. Crop Prot. 2017, 99, 160–167. [Google Scholar] [CrossRef]
  24. Small, I.M.; Flett, B.C.; Marasas, W.F.O.; McLeod, A.; Stander, M.A.; Viljoen, A. Resistance in maize inbred lines to Fusarium verticillioides and fumonisin accumulation in South Africa. Plant Dis. 2012, 96, 881–888. [Google Scholar] [CrossRef] [PubMed]
  25. Tsehaye, H.; Brurberg, M.B.; Sundheim, L.; Assefa, D.; Tronsmo, A.; Tronsmo, A.M. Natural occurrence of Fusarium species and fumonisin on maize grains in Ethiopia. Eur. J. Plant Pathol. 2017, 147, 141–155. [Google Scholar] [CrossRef]
  26. Duan, C.X.; Qin, Z.H.; Yang, Z.H.; Li, W.X.; Sun, S.L.; Zhu, Z.D.; Wang, X.M. Identification of pathogenic Fusarium spp. causing maize ear rot and potential mycotoxin production in China. Toxins 2016, 8, 186. [Google Scholar] [CrossRef] [PubMed]
  27. Qin, P.W.; Xu, J.; Jiang, Y.; Hu, L.; van der Lee, T.; Waalwijk, C.; Zhang, W.M.; Xu, X.D. Survey for toxigenic Fusarium species on maize kernels in China. World Mycotoxin J. 2020, 13, 213–223. [Google Scholar] [CrossRef]
  28. Qiu, J.B.; Xu, J.H.; Dong, F.; Yin, X.C.; Shi, J.R. Isolation and characterization of Fusarium verticillioides from maize in eastern China. Eur. J. Plant Pathol. 2015, 142, 791–800. [Google Scholar] [CrossRef]
  29. Sun, H.; Li, P.; Guo, N.; Shi, J.; Zhang, J.Q.; Zhang, H.J. Identification and biological characteristics of Fusarium temperatum causing maize ear rot. J. Maize Sci. 2020, 28, 177–183. [Google Scholar]
  30. Du, Q.; Duan, C.X.; Li, S.C.; Tang, Z.L.; Luo, J.Y. First report of maize ear rot caused by Fusarium concentricum in China. Plant Dis. 2020, 104, 1539–1540. [Google Scholar] [CrossRef]
  31. Duan, C.X.; Du, Q.; Wang, B.B. First report of maize ear rot caused by Fusarium sacchari in China. Plant Dis. 2019, 103, 2674. [Google Scholar] [CrossRef]
  32. Shang, G.F.; Yu, H.; Yang, J.; Zeng, Z.; Hu, Z.Q. First report of Fusarium miscanthi causing ear rot on maize in China. Plant Dis. 2021, 105, 1565. [Google Scholar] [CrossRef]
  33. Wang, B.B.; Guo, C.; Sun, S.L.; Zhu, Z.D.; Duan, C.X. First report of maize ear rot caused by Fusarium sporotrichioides in China. Plant Dis. 2020, 104, 567–568. [Google Scholar] [CrossRef]
  34. Munkvold, G.P. Cultural and genetic approaches to managing mycotoxins in maize. Annu. Rev. Phytopathol. 2003, 41, 99–116. [Google Scholar] [CrossRef] [PubMed]
  35. Presello, D.A.; Reid, L.M.; Butler, G.; Mather, D.E. Pedigree selection for Gibberella ear rot resistance in maize populations. Euphytica 2005, 143, 1–8. [Google Scholar] [CrossRef]
  36. Afolabi, C.G.; Ojiambo, P.S.; Ekpo, E.J.A.; Menkir, A.; Bandyopadhyay, R. Evaluation of maize inbred lines for resistance to Fusarium ear rot and fumonisin accumulation in grain in tropical Africa. Plant Dis. 2007, 91, 279–286. [Google Scholar] [CrossRef] [PubMed]
  37. Clements, M.J.; Maragos, C.A.; Pataky, J.K.; White, D.G. Sources of resistance to fumonisin accumulation in grain and Fusarium ear and kernel rot of corn. Phytopathology 2004, 94, 251–260. [Google Scholar] [CrossRef]
  38. Kleinschmidt, C.E.; Clements, M.J.; Maragos, C.M.; Pataky, J.K.; White, D.G. Evaluation of food-grade dent corn hybrids for severity of Fusarium ear rot and fumonisin accumulation in grain. Plant Dis. 2005, 89, 291–297. [Google Scholar] [CrossRef]
  39. Löffler, M.; Kessel, B.; Ouzunova, M.; Miedaner, T. Population parameters for resistance to Fusarium graminearum and Fusarium verticillioides ear rot among large sets of early, mid-late and late maturing European maize (Zea mays L.) inbred lines. Theor. Appl. Genet. 2010, 120, 1053–1062. [Google Scholar] [CrossRef]
  40. Santiago, R.; Cao, A.; Malvar, R.A.; Reid, L.M.; Butrón, A. Assessment of corn resistance to fumonisin accumulation in a broad collection of inbred lines. Field Crops Res. 2013, 149, 193–202. [Google Scholar] [CrossRef]
  41. Czembor, E.; Stepien, L.; Waskiewicz, A. Effect of environmental factors on Fusarium species and associated mycotoxins in maize grain grown in Poland. PLoS ONE 2015, 10, e0133644. [Google Scholar] [CrossRef] [PubMed]
  42. Doohan, F.M.; Brennan, J.; Cooke, B.M. Influence of climatic factors on Fusarium species pathogenic to cereals. Eur. J. Plant Pathol. 2003, 109, 755–768. [Google Scholar] [CrossRef]
  43. Duan, C.X.; Wang, X.M.; Wu, X.F.; Yang, Z.H.; Song, F.J.; Zhao, L.P.; Sun, S.L.; Zhu, Z.D. Analysis of maize accessions resistance to Pythium stalk rot and Fusarium ear rot. J. Plant Genet. Resour. 2015, 16, 947–954. [Google Scholar]
  44. Xu, J.; Jiang, Y.; Qin, P.W.; Liu, K.J.; Hu, L.; Sun, H.J.; Xu, X.D. Test for ear rot resistance against Fusarium verticillioides and Fusarium graminearum in imported maize germplasm. J. Plant Genet. Resour. 2019, 20, 20–25. [Google Scholar]
  45. Yang, J.W.; Wang, J.J.; Zhao, B.P.; Li, Y.N.; Jia, X.; Wang, F.R. Identification and evaluation of resistance of maize hybrids to Fusarium graminearum ear rot. J. Hebei Agric. Sci. 2020, 24, 47–49. [Google Scholar]
  46. Zhao, J.R.; Wang, R.H. Factors promoting the steady increase of American maize production and their enlightenments for China. J. Maize Sci. 2009, 17, 156–159. [Google Scholar]
  47. Bluhm, B.H.; Flaherty, J.E.; Cousin, M.A.; Woloshuk, C.P. Multiplex polymerase chain reaction assay for the differential detection of trichothecene- and fumonisin-producing species of Fusarium in cornmeal. J. Food Prot. 2002, 65, 1955–1961. [Google Scholar] [CrossRef] [PubMed]
  48. Mishra, P.K.; Fox, R.T.V.; Culham, A. Development of a PCR-based assay for rapid and reliable identification of pathogenic Fusariam. FEMS Microbiol. Lett. 2003, 218, 329–332. [Google Scholar] [CrossRef] [PubMed]
  49. Mulè, G.; Susca, A.; Stea, G.; Moretti, A. A species-specific PCR assay based on the calmodulin partial gene for identification of Fusarium verticillioides, F. proliferatum and F. subglutinans. Eur. J. Plant Pathol. 2004, 110, 495–502. [Google Scholar] [CrossRef]
  50. Nicholson, P.; Simpson, D.R.; Weston, G.; Rezanoor, H.N.; Joyce, D. Detection and quantification of Fusarium culmorum and Fusarium graminearum in cereals using PCR assays. Physiol. Mol. Plant P. 1998, 53, 17–37. [Google Scholar] [CrossRef]
  51. O’Donnell, K.; Nirenberg, H.I.; Aoki, T.; Cigelnik, E. A multigene phylogeny of the Gibberella fujikuroi species complex: Detection of additional phylogenetically distinct species. Mycoscience 2000, 41, 61–78. [Google Scholar] [CrossRef]
  52. Li, X.Y.; Ma, Z.J.; Gai, X.T.; Wang, H.D.; Yao, Y.; Sun, Y.Q.; Gao, Z.G. Identification of Fusarium species causing maize ear rot in Northeast China and the diversity of F. verticillioides. J. Shenyang Agric. Univ. 2018, 49, 136–142. [Google Scholar]
  53. Fallahi, M.; Saremi, H.; Javan-Nikkhah, M.; Somma, S.; Haidukowski, M.; Legrieco, A.F.; Moretti, A. Isolation, molecular identification and mycotoxin profile of Fusarium species isolated from maize kernels in Iran. Toxins 2019, 11, 297. [Google Scholar] [CrossRef] [PubMed]
  54. Guo, C.C.; Liu, Y.X.; Jiang, Y.; Li, R.J.; Pang, M.H.; Liu, Y.C.; Dong, J.G. Fusarium species identification and fumonisin production in maize kernels from Shandong Province, China, from 2012 to 2014. Food Addit. Contam. B 2016, 9, 203–209. [Google Scholar] [CrossRef] [PubMed]
  55. Li, Y.G.; Jiang, D.; Xu, L.K.; Zhang, S.Q.; Ji, P.S.; Pan, H.Y.; Jiang, B.W.; Shen, Z.B. Evaluation of diversity and resistance of maize varieties to Fusarium spp. causing ear rot in maize under conditions of natural infection. Czech J. Genet. Plant Breed. 2019, 55, 131–137. [Google Scholar] [CrossRef]
  56. Zhang, T.; Sun, X.D.; Lv, G.Z. Fusarium species and its isolation frequency from rot ears of maize in Northeast China. J. Fungal Res. 2011, 9, 9–24, 36. [Google Scholar]
  57. Xiao, S.Q.; Xu, J.N.; Yan, L.B.; Sui, Y.H.; Xue, C.S.; Chen, J. Identification and distribution of Fusarium species causing maize ear rot in Liaoning Province. J. Plant Prot. 2017, 44, 803–808. [Google Scholar]
  58. Arias, S.L.; Theumer, M.G.; Mary, V.S.; Rubinstein, H.R. Fumonisins: Probable role as effectors in the complex interaction of susceptible and resistant maize hybrids and Fusarium verticillioides. J. Agric. Food Chem. 2012, 60, 5667–5675. [Google Scholar] [CrossRef]
  59. Blandino, M.; Reyneri, A.; Vanara, F.; Tamietti, G.; Pietri, A. Influence of agricultural practices on Fusarium infection, fumonisin and deoxynivalenol contamination of maize kernels. World Mycotoxin J. 2009, 2, 409–418. [Google Scholar] [CrossRef]
  60. Chatterjee, S.; Kuang, Y.; Splivallo, R.; Chatterjee, P.; Karlovsky, P. Interactions among filamentous fungi Aspergillus niger, Fusarium verticillioides and Clonostachys rosea: Fungal biomass, diversity of secreted metabolites and fumonisin production. BMC Microbiol. 2016, 6, 83. [Google Scholar] [CrossRef]
  61. Reid, L.M.; Spaner, D.; Mather, D.E.; Bolton, A.T.; Hamilton, R.I. Resistance of maize hybrids and inbreds following silk inoculation with three isolates of Fusarium graminearum. Plant Dis. 1993, 77, 1248–1251. [Google Scholar] [CrossRef]
  62. Wang, L.J.; Xu, X.D.; Liu, Z.H.; Dong, H.Y.; Jiang, Y.; Zhang, M.H. Inoculation technique and screening maize germplasm resistance to Fusarium ear rot. J. Plant Genet. Resour. 2007, 8, 145–148. [Google Scholar]
  63. Cao, A.; Santiago, R.; Ramos, A.J.; Souto, X.C.; Aguín, O.; Malvar, R.A.; Butrón, A. Critical environmental and genotypic factors for Fusarium verticillioides infection, fungal growth and fumonisin contamination in maize grown in Northwestern Spain. Int. J. Food Microbiol. 2014, 177, 63–71. [Google Scholar] [CrossRef]
  64. Chen, J.F.; Ding, J.Q.; Li, H.M.; Li, Z.M.; Sun, X.D.; Li, J.J.; Wang, R.X.; Dai, X.D.; Dong, H.F.; Song, W.B.; et al. Detection and verification of quantitative trait loci for resistance to Fusarium ear rot in maize. Mol. Breed. 2012, 30, 1649–1656. [Google Scholar] [CrossRef]
  65. Kebede, A.Z.; Johnston, A.; Schneiderman, D.; Bosnich, W.; Harris, L.J. Transcriptome profiling of two maize inbreds with distinct responses to Gibberella ear rot disease to identify candidate resistance genes. BMC Genom. 2018, 19, 131–143. [Google Scholar] [CrossRef]
  66. Czembor, E.; Ochodzki, R. Resistance of flint and dent maize forms for colonization by Fusarium spp. and mycotoxins contamination. Maydica 2009, 54, 263–267. [Google Scholar]
  67. Guo, C.; Guo, M.K.; Wei, H.Y.; Guo, J.G. Identification of resistance of maize germplasm resources to ear rot. Acta Agric. Jiangxi 2015, 27, 50–52. [Google Scholar]
  68. Duan, C.X.; Cui, L.N.; Xia, Y.S.; Dong, H.Y.; Yang, Z.H.; Hu, Q.Y.; Sun, S.L.; Li, X.; Zhu, Z.D.; Wang, X.M. Precise characterization and analysis of maize germplasm resources for resistance to Fusarium ear rot and Gibberella ear rot. Acta Agron. Sin. 2022, 48, 2155–2167. [Google Scholar]
  69. Nerbass, F.R.; Casa, R.T.; Kuhnem, P.R.; Vieira, J.A.L.; Valente, J.B. Field evaluation of maize for Gibberella ear rot resistance using silk channel and kernel inoculation with Fusarium meridionale. Trop. Plant Pathol. 2015, 40, 388–393. [Google Scholar] [CrossRef]
Figure 1. Regions for collection of maize ear rot samples in Northeast China. Squares, triangles, and dots indicate the sites in three different provinces, respectively. HLJ = Heilongjiang; JL = Jilin; LN = Liaoning.
Figure 1. Regions for collection of maize ear rot samples in Northeast China. Squares, triangles, and dots indicate the sites in three different provinces, respectively. HLJ = Heilongjiang; JL = Jilin; LN = Liaoning.
Agronomy 14 00855 g001
Figure 2. Mean monthly rainfall and temperature during the maize growth season in 2021 (A) and 2022 (B). RF = Rainfall; temp = Temperature.
Figure 2. Mean monthly rainfall and temperature during the maize growth season in 2021 (A) and 2022 (B). RF = Rainfall; temp = Temperature.
Agronomy 14 00855 g002
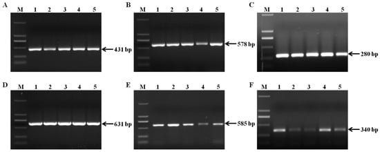
Figure 3. Molecular identification of Fusarium species by species-specific polymerase chain reaction (PCR). M: DL2000 DNA marker. (A) PCR amplification of Fusarium spp., 1–5: LN001, LN017, JL012, JL031, HLJ003; (B) PCR amplification of F. verticillioides, 1–5: LN001, JL012, JL035, HLJ007, HLJ014; (C) PCR amplification of F. graminearum species complex, 1–5: LN004, LN011, JL022, JL031, HLJ002; (D) PCR amplification of F. subglutinans, 1–5: LN007, LN043, JL004, JL018, HLJ032; (E) PCR amplification of F. proliferatum, 1–5: LN017, LN027, JL006, JL019, HLJ003; and (F) PCR amplification of F. oxysporum, 1–5: LN044, JL036, JL059, HLJ028; HLJ041.
Figure 3. Molecular identification of Fusarium species by species-specific polymerase chain reaction (PCR). M: DL2000 DNA marker. (A) PCR amplification of Fusarium spp., 1–5: LN001, LN017, JL012, JL031, HLJ003; (B) PCR amplification of F. verticillioides, 1–5: LN001, JL012, JL035, HLJ007, HLJ014; (C) PCR amplification of F. graminearum species complex, 1–5: LN004, LN011, JL022, JL031, HLJ002; (D) PCR amplification of F. subglutinans, 1–5: LN007, LN043, JL004, JL018, HLJ032; (E) PCR amplification of F. proliferatum, 1–5: LN017, LN027, JL006, JL019, HLJ003; and (F) PCR amplification of F. oxysporum, 1–5: LN044, JL036, JL059, HLJ028; HLJ041.
Agronomy 14 00855 g003
Figure 4. Phylogenetic analysis of some Fusarium graminearum species complex isolates based on TEF-1α gene sequences. The numbers in parentheses indicate the accession numbers of standard reference isolates TEF-1α gene sequences in GenBank and the bootstrap values present at the branch node.
Figure 4. Phylogenetic analysis of some Fusarium graminearum species complex isolates based on TEF-1α gene sequences. The numbers in parentheses indicate the accession numbers of standard reference isolates TEF-1α gene sequences in GenBank and the bootstrap values present at the branch node.
Agronomy 14 00855 g004
Figure 5. Proportion distribution of maize hybrids in disease parameters. (A) Damage rate; (B) severity rating (resistance category). HR = highly resistant; R = resistant; MR = moderately resistant; S = susceptible; and HS = highly susceptible.
Figure 5. Proportion distribution of maize hybrids in disease parameters. (A) Damage rate; (B) severity rating (resistance category). HR = highly resistant; R = resistant; MR = moderately resistant; S = susceptible; and HS = highly susceptible.
Agronomy 14 00855 g005
Figure 6. Quantitative distribution of resistance categories of maize hybrids in different provinces. HR = highly resistant; R = resistant; MR = moderately resistant; S = susceptible; and HS = highly susceptible.
Figure 6. Quantitative distribution of resistance categories of maize hybrids in different provinces. HR = highly resistant; R = resistant; MR = moderately resistant; S = susceptible; and HS = highly susceptible.
Agronomy 14 00855 g006
Table 1. Specific primer pairs for Fusarium species.
Table 1. Specific primer pairs for Fusarium species.
SpeciesPrimerSequences (5′-3′)Annealing
Temperature (°C)
Product Size (bp)Reference
Fusarium spp.ITSFAACTCCCAAACCCCTGTGAACATA58431[47]
ITSRTTTAACGGCGTGGCCGC
F. oxysporumFoF1ACATACCACTTGTTGCCTCG58340[48]
FoR1CGCCAATCAATTTGAGGAACG
F. verticillioidesVER1CTTCCTGCGATGTTTCTCC56578[49]
VER2AATTGGCCATTGGTATTATATATCTA
F. proliferatumPRO1CTTTCCGCCAAGTTTCTTC56585[49]
PRO2TGTCAGTAACTCGACGTTGTTG
F. subglutinansSUB1CTGTCGCTAACCTCTTTATCCA56631[49]
SUB2CAGTATGGACGTTGGTATTATATCTAA
F. culmorumFc01FATGGTGAACTCGTCCTGGC59570[50]
Fc01RCCCTTCTTACGCCAATCTCG
F. graminearum species complexFg16NFACAGATGACAAGATTCAGGCACA57280[50]
Fg16NRTTCTTTGACATCTGTTCAACCCA
Table 2. Frequency and distribution of different species of Fusarium in various regions of Northeast China.
Table 2. Frequency and distribution of different species of Fusarium in various regions of Northeast China.
Province NameSite NameNo. of SpeciesNo. of Isolates aAll Species b
FvFsFpFoFbFg
HeilongjiangYichun4978832
Jiamusi5136511035
Qiqihar4624416
Harbin397622
Mudanjiang411331027
All sites c648161363910132
Per site (%)-36.412.19.84.529.57.6-
JilinBaicheng41193225
Songyuan4759324
Changchun396722
Siping214519
Tonghua392415
All sites c5502016514105
Per site (%)-47.619.015.24.813.3-
LiaoningTieling3133925
Huludao41168631
Yingkou515271328
Dandong41026220
Dalian2141125
All sites c6638763411129
Per site (%)-48.86.25.44.726.48.5-
All provinces d 61614436178721366
Per province (%) -44.012.09.84.623.85.7-
a Fusarium species. Fv = F. verticillioides; Fs = F. subglutinans; Fp = F. proliferatum; Fo = F. oxysporum; Fb = F. boothii; and Fg = F. graminearum. b The total number of isolates from different regions. c The total number of isolates of each species in various regions. d The total number of isolates of each species in all provinces.
Table 3. Disease parameters and resistance evaluation of maize hybrids in Northeast China infected by Fusarium verticillioides.
Table 3. Disease parameters and resistance evaluation of maize hybrids in Northeast China infected by Fusarium verticillioides.
No.Hybrid NameProvince a20212022FRC eNo.Hybrid NameProvince a20212022FRC e
DR b (%)SR cRC dDR b (%)SR cRC dDR b (%)SR cRC dDR b (%)SR cRC d
1Damin3307HLJ41.736.40S40.04 6.20 SS52Jinongda598JL46.17 7.07 S49.17 7.47 SS
2Demeiya1HLJ11.543.67MR6.26 3.07 RMR53Jinongyu1881JL5.30 2.80 R4.34 2.47 RR
3Demeiya3HLJ6.033.07R4.61 2.47 RR54Jinongyu719JL14.73 4.33 MR13.08 4.00 MRMR
4Dika517HLJ53.547.60HS38.75 6.53 SHS55Laike818JL7.72 3.40 R7.10 3.07 RR
5Dongnong254HLJ21.674.87MR23.68 5.20 MRMR56Liaoke38JL26.31 5.00 MR22.32 5.07 MRMR
6Dongnong259HLJ5.113.13R18.13 4.53 MRMR57Limin33JL14.63 3.73 MR18.64 4.33 MRMR
7Dunyu213HLJ15.234.00MR8.39 3.13 RMR58Nonghua101JL8.47 3.33 R14.46 4.00 MRMR
8Fuer116HLJ16.244.00MR33.21 6.07 SS59Pingan169JL11.75 3.60 MR11.11 3.47 RMR
9Hetian4HLJ18.864.47MR13.80 4.00 MRMR60Tianyu108JL7.24 3.07 R16.24 3.73 MRMR
10Heyu27HLJ19.084.27MR38.06 5.47 MRMR61Xiangyu998JL32.34 5.67 S53.36 7.87 HSHS
11Huamei2HLJ4.942.73R3.62 2.27 RR62Xiongyu581JL6.32 3.07 R12.37 3.53 MRMR
12Huanong887HLJ1.071.20HR0.54 1.00 HRHR63Yinghe165JL30.25 5.40 MR22.93 4.53 MRMR
13Jingnongke728HLJ55.917.07S56.42 7.53 HSHS64Youdi519JL6.87 3.20 R6.43 3.00 RR
14Jinongda935HLJ17.044.20MR10.38 3.20 RMR65Youdi599JL39.12 5.73 S44.15 6.47 SS
15Jiudan318HLJ64.078.20HS55.55 7.60 HSHS66Youdi919JL55.93 7.00 S48.97 6.60 SS
16Keyu16HLJ14.653.93MR8.26 3.13 RMR67Zeyu517JL25.95 5.07 MR17.90 4.47 MRMR
17Longdan86HLJ16.034.47 MR22.03 5.20 MRMR68Danyu402LN22.43 5.07 MR15.61 4.13 MRMR
18Longfuyu9HLJ8.422.80 R3.47 2.27 RR69Danyu405LN31.75 6.07 S24.08 5.20 MRS
19Longken10HLJ11.743.73 MR29.79 5.53 SS70Dongdan118LN30.16 5.33MR22.15 4.73 MRMR
20Longyu10HLJ12.403.87 MR11.08 3.13 RMR71Dongdan1501LN6.19 3.00 R9.13 3.47 RR
21Longyu828HLJ3.852.47 R3.45 2.33 RR72Dongdan60LN10.16 3.27 R7.54 2.53 RR
22Lvdan2HLJ23.544.73 MR34.54 6.00 SS73Dongdan6531LN27.73 5.67 S21.88 4.73 MRS
23Nendan18HLJ35.676.07 S29.97 5.27 MRS74Dongdan70LN36.71 6.13 S40.79 6.67 SS
24Ruifuer1HLJ17.694.13 MR11.33 3.67 MRMR75Dongtiannuo100LN10.72 3.07 R15.70 3.67 MRMR
25Suiyu23HLJ5.72 3.00 R18.75 4.13 MRMR76Hongkai49LN1.63 1.47 HR0.93 1.13 HRHR
26Xianyu335HLJ54.02 7.13 S43.32 6.20 SS77Hongshuo1798LN13.84 4.07 MR7.64 3.20 RMR
27Xianyu696HLJ11.81 3.20 R8.24 2.73 RR78Hongshuo899LN3.62 1.80 R1.36 1.40 HRR
28Xianzhengda408HLJ4.84 2.47 R18.09 4.07 MRMR79Jiaduoxing939LN11.80 3.13 R10.28 2.80 RR
29Xinkeyu1HLJ6.21 2.73 R22.21 4.60 MRMR80Jinshi566LN20.55 4.53 MR14.57 4.27 MRMR
30Yinongyu10HLJ17.60 4.27 MR13.17 3.20 RMR81Jinyuan15LN50.43 7.33 S59.97 8.07 HSHS
31Zhitai3HLJ15.64 4.27 MR11.07 3.47 RMR82Lianda288LN13.57 4.20 MR9.34 3.13 RMR
32Zhongdan909HLJ8.85 3.33 R16.82 4.27 MRMR83Liangyu88LN32.83 6.20 S26.05 5.40 MRS
33Changdan551JL24.67 5.07 MR17.68 4.40 MRMR84Liangyu911LN10.38 3.87 MR7.13 2.87 RMR
34Deyu919JL5.85 3.00 R5.34 2.53 RR85Liangyu99LN20.23 4.67 MR25.25 5.20 MRMR
35Dika159JL8.69 3.33 R14.63 4.00 MRMR86Liaodan565LN7.34 3.47 R13.37 3.93 MRMR
36Dika516JL28.33 5.07 MR21.37 4.47 MRMR87Liaohe308LN43.79 6.73 S43.72 6.80 SS
37Fulai77JL20.48 4.47 MR11.56 3.33 RMR88Shenhai49LN31.81 5.80 S48.84 7.73 HSHS
38Fulai818JL22.72 4.53 MR33.73 5.73 SS89ShennongT100LN2.73 1.67 R7.76 2.47 RR
39Fumin105JL43.07 6.60 S38.04 6.20 SS90Shennuo18LN27.84 5.33 MR14.21 3.40 RMR
40Fumin108JL23.61 5.27 MR27.82 5.53 SS91Shenyu35LN26.27 5.13 MR33.20 5.73 SS
41Heyu301JL25.60 4.93 MR26.67 5.20 MRMR92Tieyan120LN12.10 3.53 MR6.38 2.80 RMR
42Heyu9JL9.07 3.07 R15.03 3.53 MRMR93Tieyan358LN13.32 3.73 MR19.33 4.47 MRMR
43Huadan398JL10.32 3.20 R9.75 3.00 RR94Tieyan38LN9.75 3.67 MR14.74 4.27 MRMR
44Jidan1402JL7.13 2.53 R1.76 1.40 HRR95Tieyan58LN35.68 5.80 S33.46 5.40 MRS
45Jidan551JL8.75 3.33 R8.29 3.13 RR96Xindan336LN17.91 4.07 MR23.99 4.67 MRMR
46Jidan558JL9.11 3.47 R8.64 3.27 RR97Zhengdan958LN9.82 3.20 R15.82 3.93 MRMR
47Jidan56JL5.32 2.80 R6.73 3.20 RR B73Control66.17 8.27 HS69.13 8.40 HSHS
48Jidan96JL24.85 5.47 MR11.34 2.80 RMR X178Control4.82 2.73 R4.48 2.53 RR
49Jingke968JL6.54 2.93 R5.78 2.87 RR Mean19.86 4.32 20.22 4.29
50Jinkai7JL30.72 5.53 S28.58 5.13 MRS LSD(p=0.05) f2.98 0.30 3.01 0.32
51Jinongda585JL27.76 5.40 MR21.76 4.73 MRMR CV (%)75.27 34.87 74.57 37.74
a HLJ = Heilongjiang; JL = Jilin; LN = Liaoning. b DR = Damage rate: infected kernels area as a percentage of the total kernels area. c SR = Severity rating: the damage rates between 0 and 1%, 2 and 10%, 11 and 25%, 26 and 50%, and 51 and 100% were recorded as severity levels of 1, 3, 5, 7, and 9, respectively. d RC = Resistance category: the severity rating mean values between 0.1 and 1.5, 1.6 and 3.5, 3.6 and 5.5, 5.6 and 7.5, and 7.6 and 9.0 were defined as highly resistant (HR), resistant (R), moderately resistant (MR), susceptible (S), and highly susceptible (HS) responses, respectively. e FRC = Final resistance categories: the higher severity rating mean value in 2021 and 2022 was used as the standard for the final evaluation of the resistance category. f LSD = least significant difference.
Disclaimer/Publisher’s Note: The statements, opinions and data contained in all publications are solely those of the individual author(s) and contributor(s) and not of MDPI and/or the editor(s). MDPI and/or the editor(s) disclaim responsibility for any injury to people or property resulting from any ideas, methods, instructions or products referred to in the content.

Share and Cite

MDPI and ACS Style

Ma, Z.; Wang, J.; Wen, S.; Ren, J.; Hui, H.; Huang, Y.; Yang, J.; Zhao, B.; Liu, B.; Gao, Z. Evaluation of Maize Hybrids for Resistance to Ear Rot Caused by Dominant Fusarium Species in Northeast China. Agronomy 2024, 14, 855. https://doi.org/10.3390/agronomy14040855

AMA Style

Ma Z, Wang J, Wen S, Ren J, Hui H, Huang Y, Yang J, Zhao B, Liu B, Gao Z. Evaluation of Maize Hybrids for Resistance to Ear Rot Caused by Dominant Fusarium Species in Northeast China. Agronomy. 2024; 14(4):855. https://doi.org/10.3390/agronomy14040855

Chicago/Turabian Style

Ma, Zhoujie, Jianjun Wang, Shenghui Wen, Jiankai Ren, Hongyan Hui, Yufei Huang, Junwei Yang, Bianping Zhao, Bo Liu, and Zenggui Gao. 2024. "Evaluation of Maize Hybrids for Resistance to Ear Rot Caused by Dominant Fusarium Species in Northeast China" Agronomy 14, no. 4: 855. https://doi.org/10.3390/agronomy14040855

APA Style

Ma, Z., Wang, J., Wen, S., Ren, J., Hui, H., Huang, Y., Yang, J., Zhao, B., Liu, B., & Gao, Z. (2024). Evaluation of Maize Hybrids for Resistance to Ear Rot Caused by Dominant Fusarium Species in Northeast China. Agronomy, 14(4), 855. https://doi.org/10.3390/agronomy14040855

Note that from the first issue of 2016, this journal uses article numbers instead of page numbers. See further details here.

Article Metrics

Back to TopTop