Genetic Variation Analysis of Avenin Components in the Population of F2 Common Oat Hybrids
Abstract
1. Introduction
2. Materials and Methods
2.1. Source Material for Hybridization
2.2. Carrying Out Hybridization
2.3. Obtaining Populations of F2 Hybrids
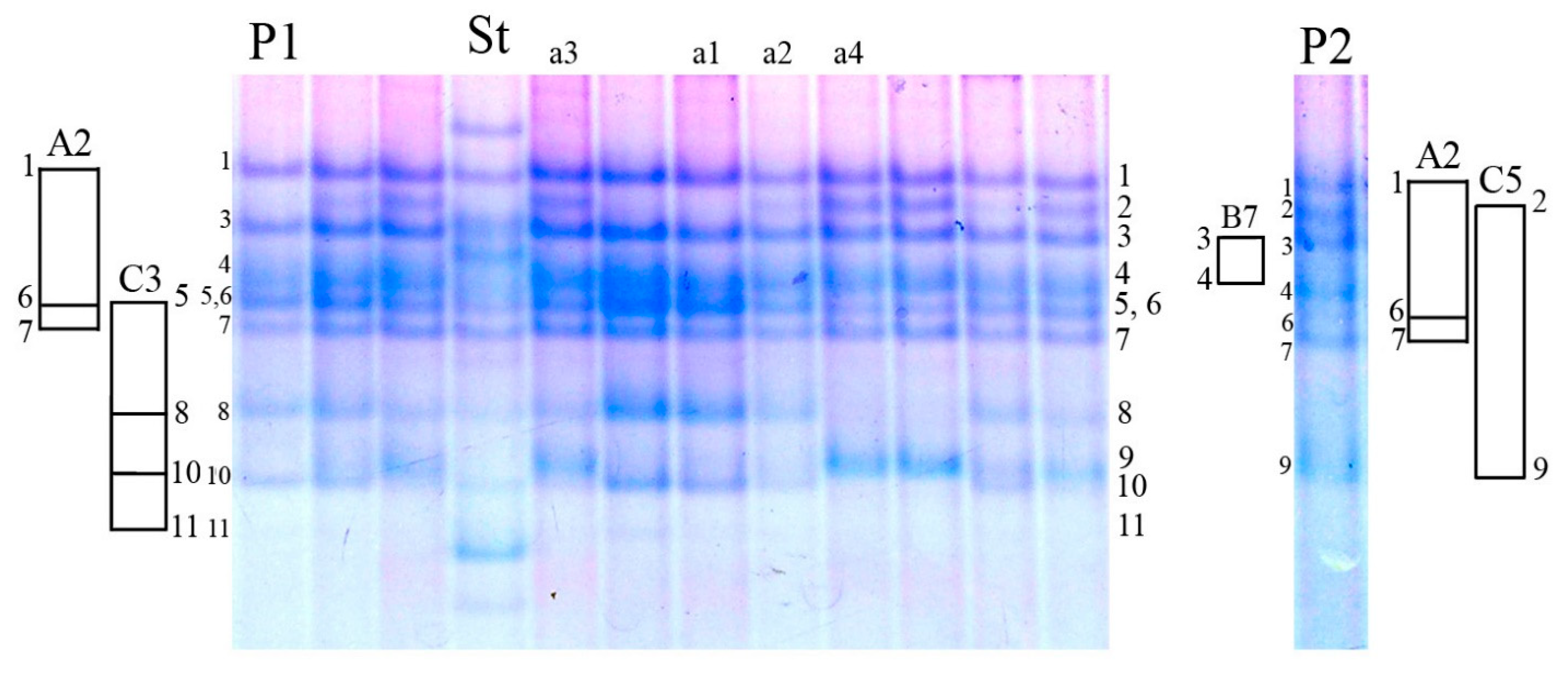
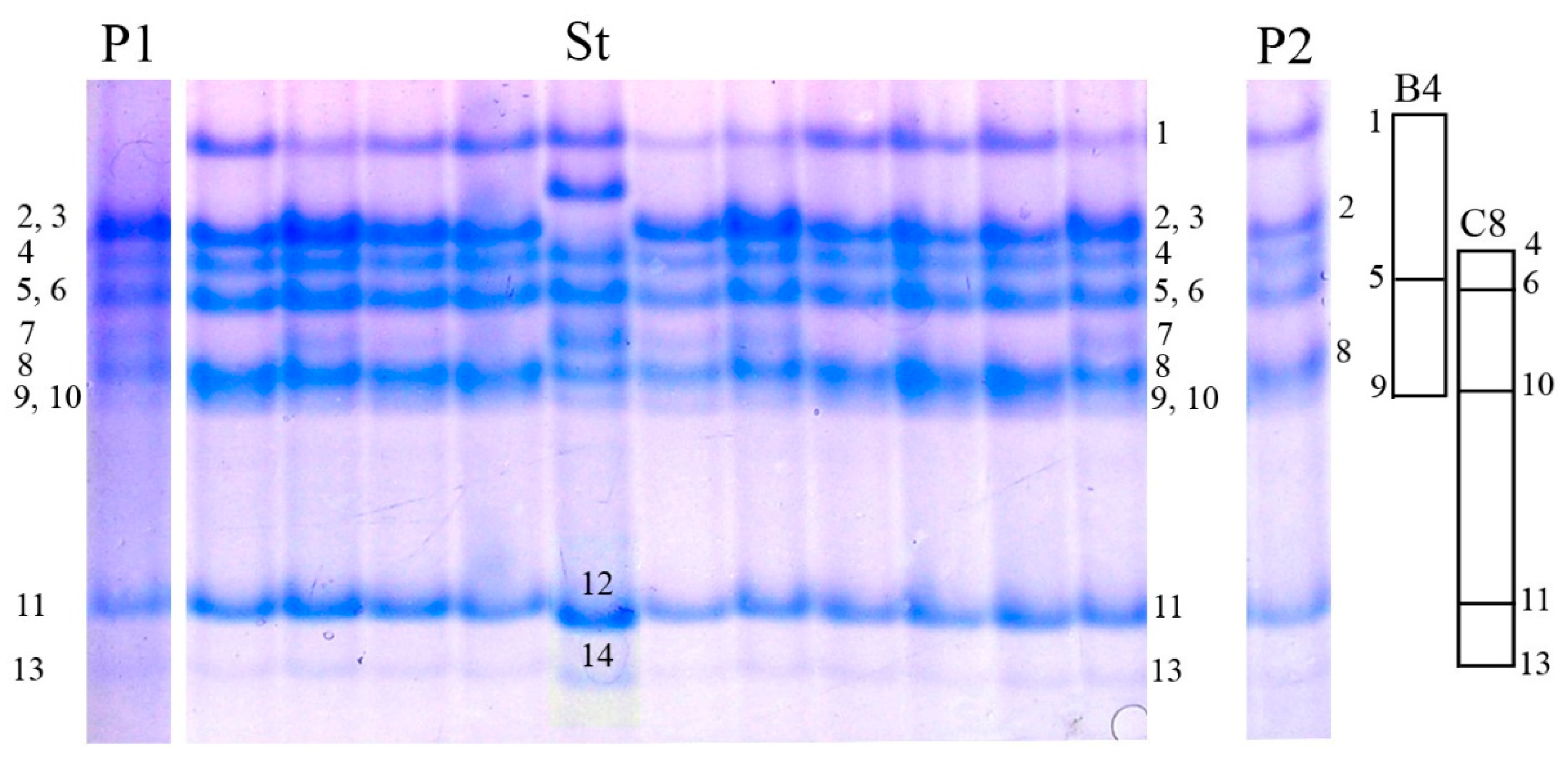
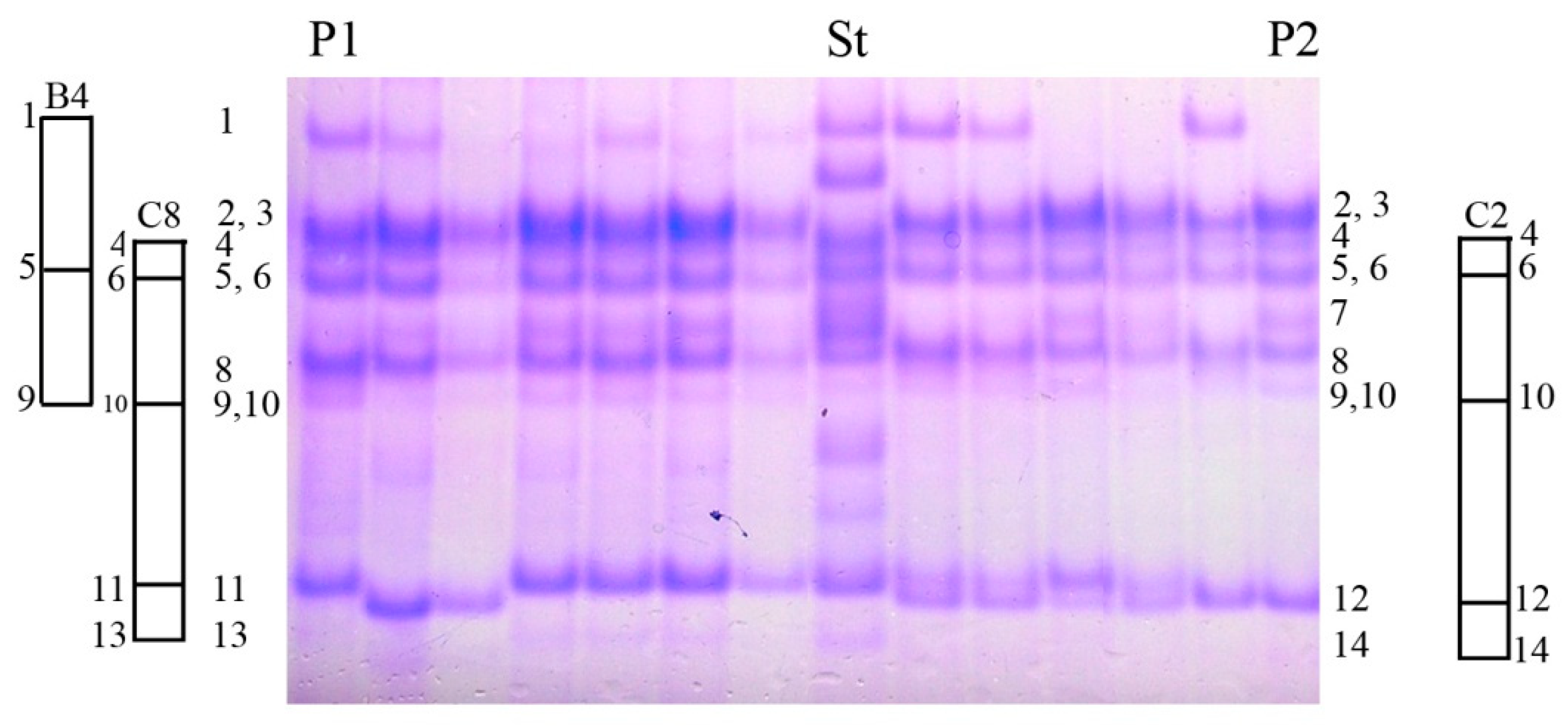
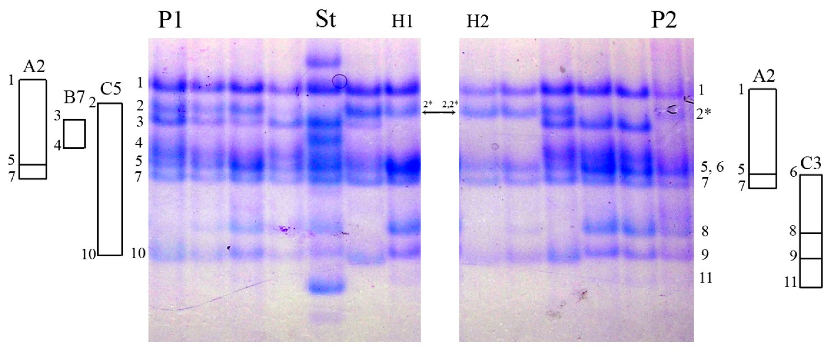
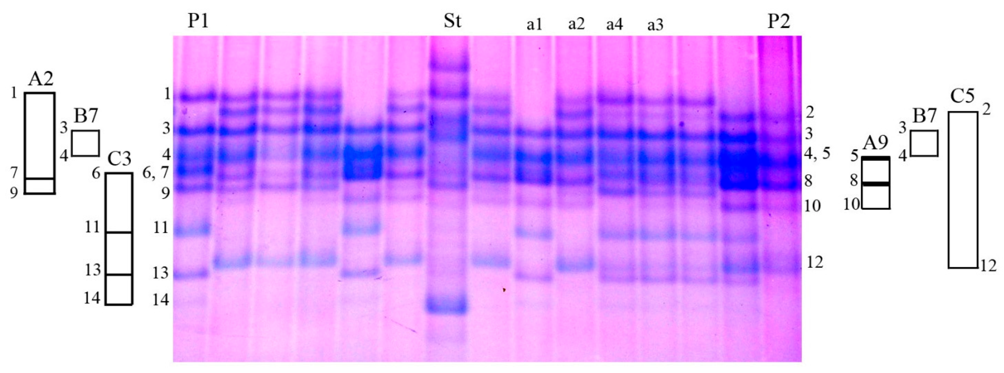
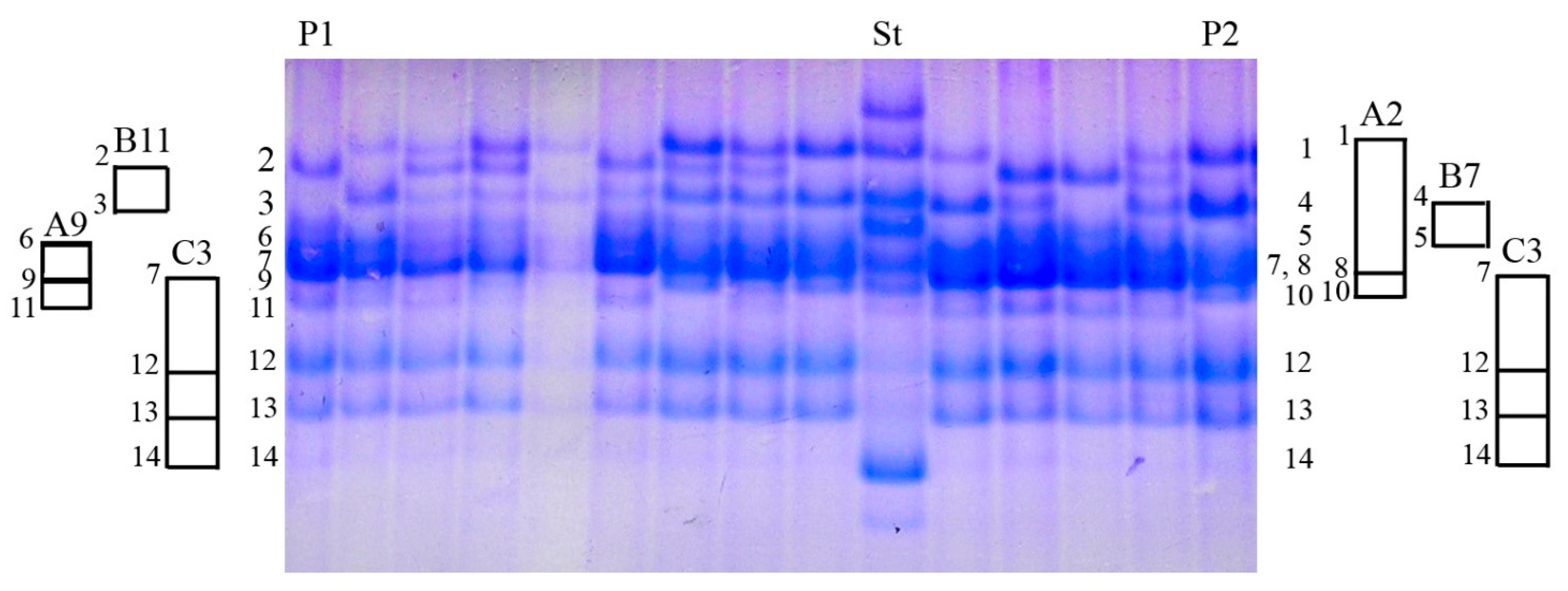
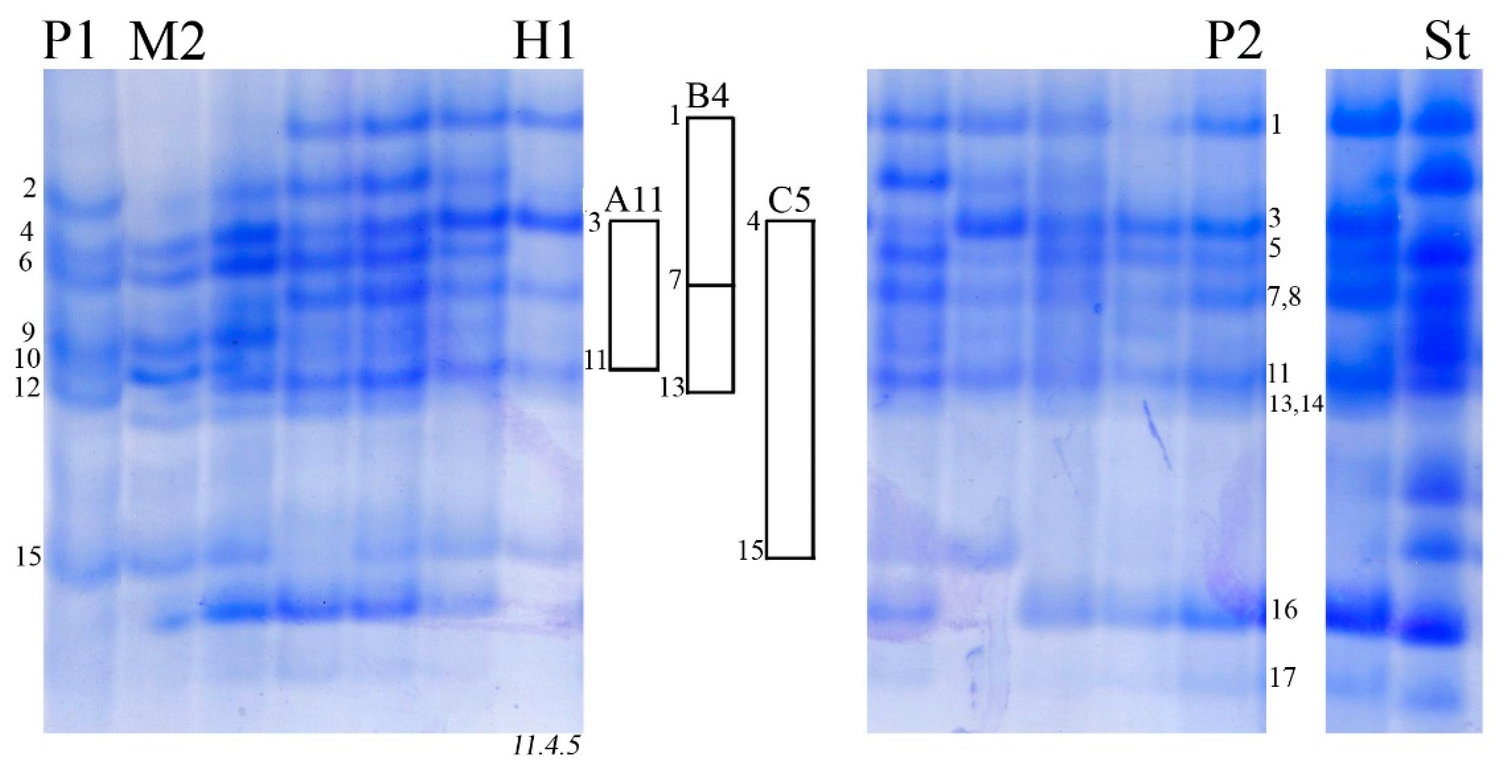
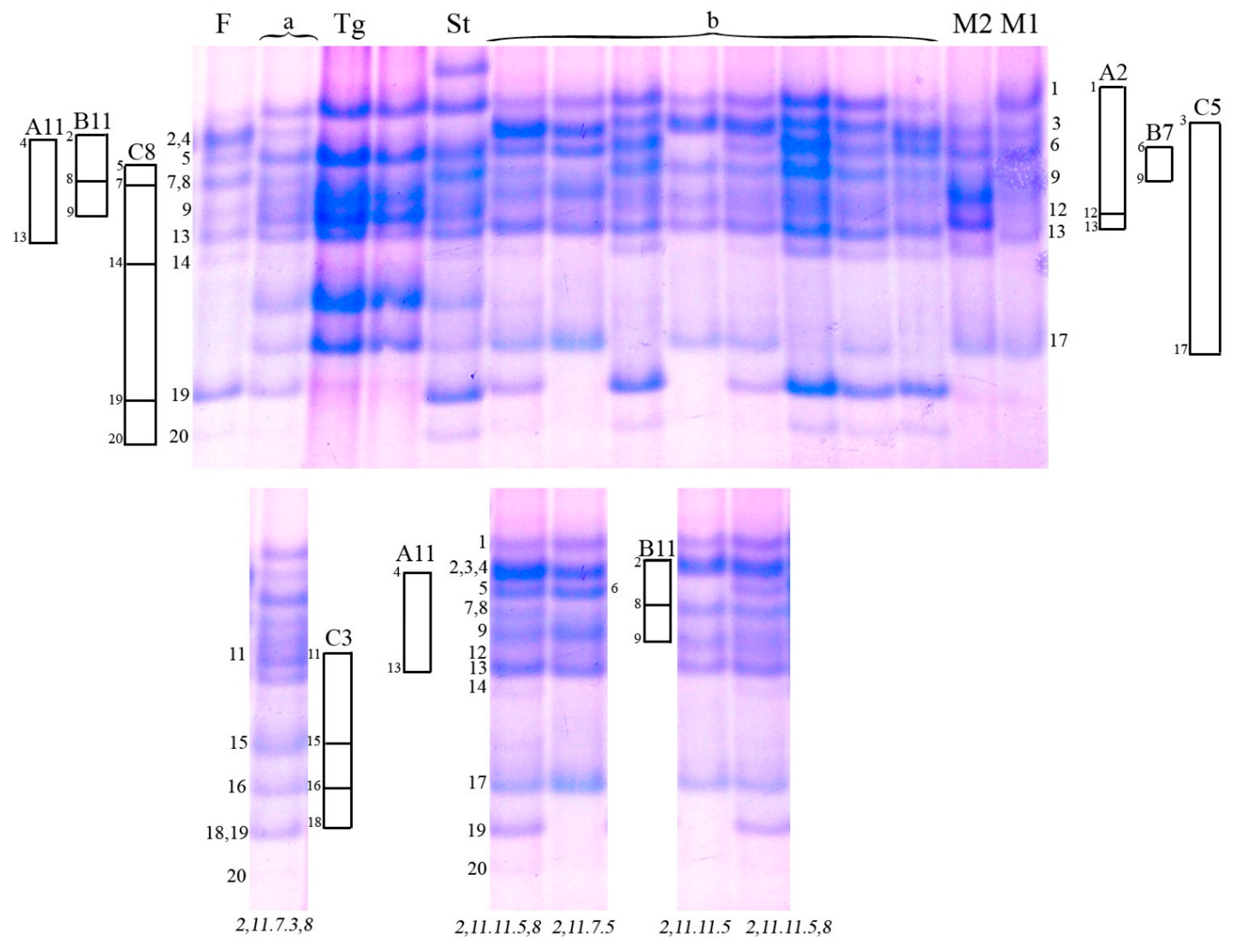
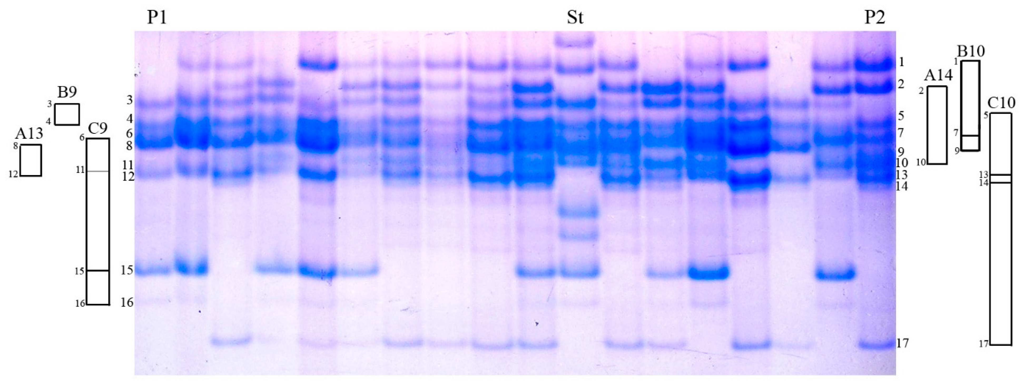
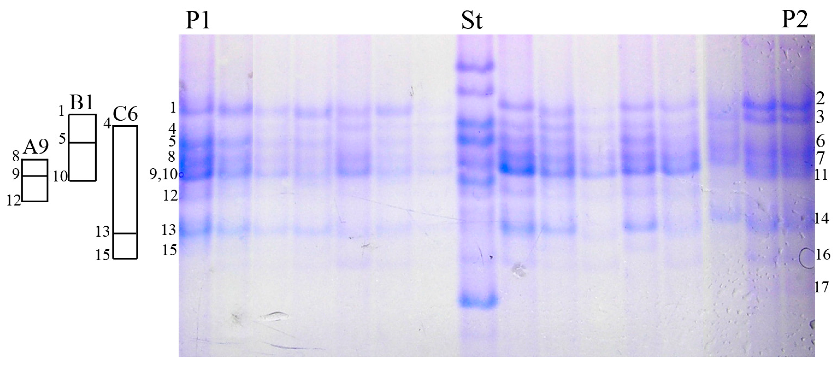
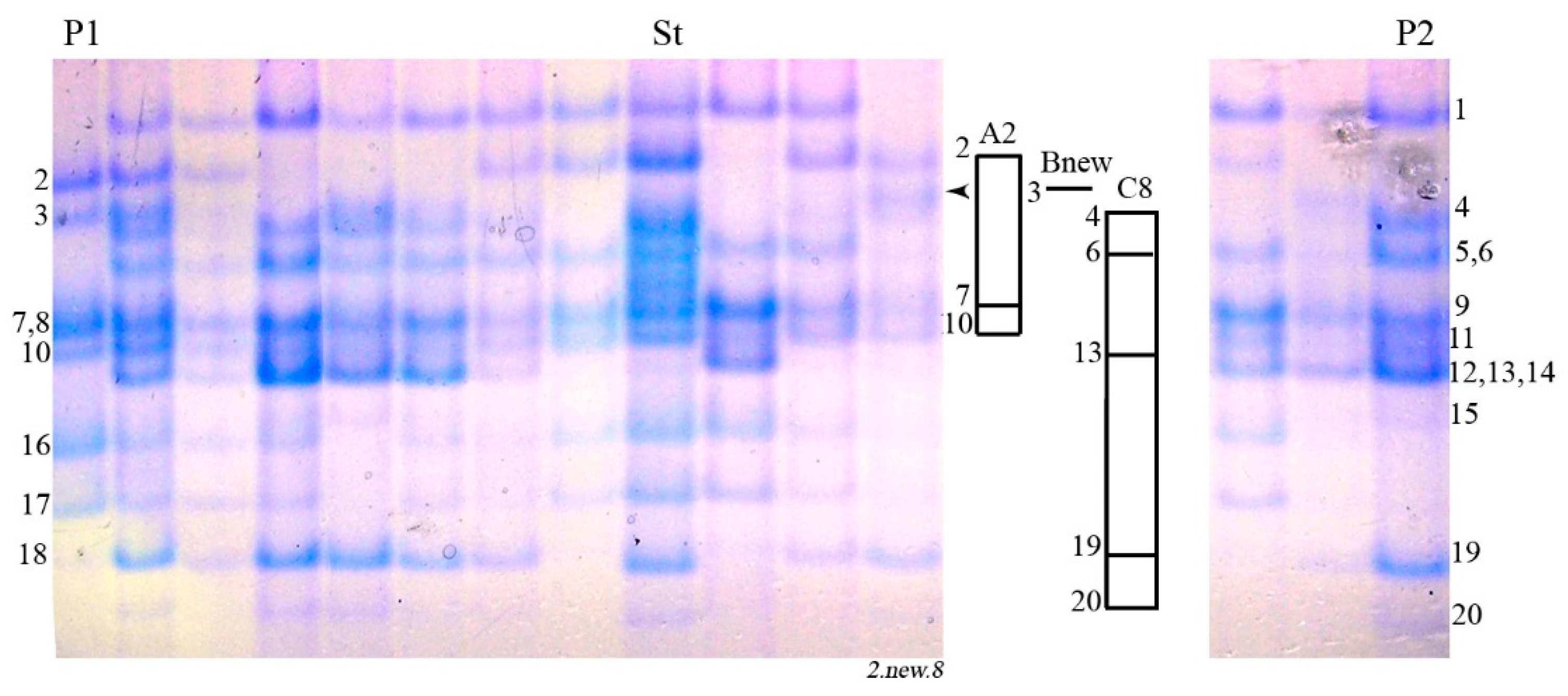
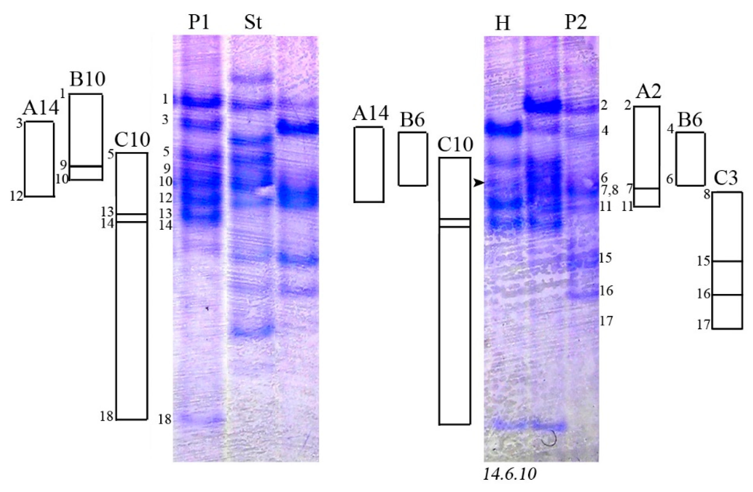
2.4. Electrophoretic Analysis of Avenins
2.4.1. Buffer Preparation
2.4.2. Avenin Extraction
2.4.3. Preparation of Polyacrylamide Gel
2.4.4. Electrophoresis
2.4.5. Identification of Avenin-Coding Loci Alleles
2.5. Statistical Processing of Results
3. Results
3.1. Shapiro–Wilks Test Results
3.2. Monohybrid Crossing
3.3. Dihybrid Crossing
3.4. Trihybrid Crossing
4. Discussion
5. Conclusions
Author Contributions
Funding
Data Availability Statement
Acknowledgments
Conflicts of Interest
References
- Deepmala, J.; Prabha, S.; Kanika, R.; Sanjay, K.; Vinay, K.; Arun, P. Oat, a Distinct Cereal: Origin, History, Production Practices, and Production Economics. In Oat (Avena sativa): Production to Plate; Maharishi, T., Prabha, S., Eds.; CRC Press: Boca Raton, FL, USA, 2024; p. 412. [Google Scholar]
- Pathi, K.M.; Sprink, T. From Petri Dish to Field: Plant Tissue Culture and Genetic Engineering of Oats for Improved Agricultural Outcomes. Plants 2023, 12, 3782. [Google Scholar] [CrossRef] [PubMed]
- Martinez, M.F.; Arelovich, H.M.; Wehrhahne, L.N. Grain yield, nutrient content and lipid profile of oat genotypes grown in a semiarid environment. Field Crops Res. 2010, 116, 92–100. [Google Scholar] [CrossRef]
- Ibrahim, M.S.; Ahmad, A.; Sohail, A.; Asad, M.J. Nutritional and Functional Characterization of Different Oat (Avena sativa L). Cultivars. Int. J. Food Prop. 2020, 23, 1373–1385. [Google Scholar] [CrossRef]
- Grundy, M.M.L.; McClements, D.J.; Balance, S.; Wilde, P.J. Influence of oat components on lipid digestion using an in vitro model: Impact of viscosity and depletion flocculation mechanism. Food Hydrocoll. 2018, 83, 253–264. [Google Scholar] [CrossRef]
- Carlson, M.O.; Montilla-Bascon, G.; Hoekenga, O.A.; Tinker, N.A.; Poland, J.; Baseggio, M.; Sorrells, M.E.; Jannink, J.-L.; Gore, M.A.; Yeats, T.H. Multivariate Genome-Wide Association Analyses Reveal the Genetic Basis of Seed Fatty Acid Composition in Oat (Avena sativa L.). G3 Genes Genomes Genet. 2019, 9, 2963–2975. [Google Scholar] [CrossRef]
- Kaur, M.; Singh, S. Influence of heat-moisture treatment (HMT) on physicochemical and functional properties of starches from different Indian oat (Avena sativa L.) cultivars. Int. J. Biol. Macromol. 2019, 122, 312–319. [Google Scholar] [CrossRef]
- Bouchard, J.; Raj, P.; Yu, L.; Sobhi, B.; Malalgoda, M.; Malunga, L.; Netticadan, T.; Thandapilly, S.J. Oat protein modulates cholesterol metabolism and improves cardiac systolic function in high fat, high sucrose fed rats. Appl. Physiol. Nutr. Metab. 2023, 49, 738–750. [Google Scholar] [CrossRef]
- Boukid, F. Oat proteins as emerging ingredients for food formulation: Where we stand? Eur. Food Res. Technol. 2021, 247, 535–544. [Google Scholar] [CrossRef]
- Campbell, M.T.; Hu, H.; Yeats, T.H.; Brzozowski, L.J.; Caffe-Treml, M.; Gutiérrez, L.; Smith, K.P.; Sorrells, M.E.; Gore, M.A.; Jannink, J.-L. Improving Genomic Prediction for Seed Quality Traits in Oat (Avena sativa L.) Using Trait-Specific Relationship Matrices. Front. Genet. 2021, 12, 643733. [Google Scholar] [CrossRef]
- Daly, M.; Bromilow, S.N.; Nitride, C.; Shewry, P.R.; Gethings, L.A.; Mills, E.N.C. Mapping Coeliac Toxic Motifs in the Prolamin Seed Storage Proteins of Barley, Rye, and Oats Using a Curated Sequence Database. Front. Nutr. 2020, 7, 87. [Google Scholar] [CrossRef]
- Rustgi, S.; Wettstein, D.; Ankrah, N.; Brew-Appiah, R.A.T.; Wen, N.; Mitchell, S.M.; Gemini, R.; Reisenauer, P.; Brabb, I. Breeding celiac-safe wheat cultivars: A future market class of wheat. Annu. Wheat Newsl. 2014, 60, 143–146. [Google Scholar]
- Fehily, S.R.; Wright, E.K.; Kamm, M.A. The gut microbiota and gut disease. Intern. Med. J. 2021, 51, 1594–1604. [Google Scholar] [CrossRef] [PubMed]
- Cardo, A.; Churruca, I.; Lasa, A.; Navarro, V.; Vázquez-Polo, M.; Perez-Junkera, G.; Larretxi, I. Nutritional Imbalances in Adult Celiac Patients Following a Gluten-Free Diet. Nutrients 2021, 13, 2877. [Google Scholar] [CrossRef] [PubMed]
- Panda, R.; Garber, E.A.E. Detection and Quantitation of Gluten in Fermented-Hydrolyzed Foods by Antibody-Based Methods: Challenges, Progress, and a Potential Path Forward. Front. Nutr. 2019, 6, 97. [Google Scholar] [CrossRef] [PubMed]
- Janatuinen, E.K.; Pikkarainen, P.H.; Kemppainen, T.A.; Kosma, V.-M.; Järvinen, R.M.; Uusitupa, M.I.; Julkunen, R.J. A comparison of diets with and without oats in adults with celiac disease. N. Engl. J. Med. 1995, 333, 1033–1037. [Google Scholar] [CrossRef]
- Comino, I.; Moreno, M.d.L.; Sousa, C. Role of oats in celiac disease. World J. Gastroenterol. 2015, 21, 11825–11831. [Google Scholar] [CrossRef]
- Aaltonen, K.; Laurikka, P.; Huhtala, H.; Mäki, M.; Kaukinen, K.; Kurppa, K. The Long-Term Consumption of Oats in Celiac Disease Patients Is Safe: A Large Cross-Sectional Study. Nutrients 2017, 9, 611. [Google Scholar] [CrossRef]
- Lionetti, E.; Gatti, S.; Galeazzi, T.; Caporelli, N.; Francavilla, R.; Cucchiara, S.; Roggero, P.; Malamisura, B.; Iacono, G.; Tomarchio, S.; et al. Safety of oats in children with celiac disease: A double-blind, randomized, placebo-controlled trial. J. Pediatr. 2018, 194, 116–122.e2. [Google Scholar] [CrossRef]
- Rubio-Tapia, A.; Hill, I.D.; Semrad, C.; Kelly, C.P.; Greer, K.B.; Limketkai, B.N.; Lebwohl, B. American College of Gastroenterology Guidelines Update: Diagnosis and Management of Celiac Disease. Am. J. Gastroenterol. 2023, 118, 59–76. [Google Scholar] [CrossRef]
- Lundin, K.E.A.; Nilsen, E.M.; Scott, H.G.; Løberg, E.M.; Gjøen, A.; Bratlie, J.; Skar, V.; Mendez, E.; Løvik, A.; Kett, K. Oats induced villous atrophy in coeliac disease. Gut 2003, 52, 1649–1652. [Google Scholar] [CrossRef]
- Cohen, I.S.; Day, A.S.; Shaoul, R. To Be Oats or Not to Be? An Update on the Ongoing Debate on Oats for Patients With Celiac Disease. Front. Pediatr. 2019, 7, 384. [Google Scholar] [CrossRef]
- Real, A.; Comino, I.; De Lorenzo, L.; Merchán, F.; Gil-Humanes, J.; Gimenez, M.J.; López-Casado, M.A.; Torres, M.A.; Cebolla, A.; Sousa, C.; et al. Molecular and Immunological Characterization of Gluten Proteins Isolated from Oat Cultivars That Differ in Toxicity for Celiac Disease. PLoS ONE 2012, 7, e48365. [Google Scholar] [CrossRef] [PubMed]
- Silano, M.; Pozo, E.P.; Uberti, F.; Manferdelli, S.; Del Pinto, T.; Felli, C.; Budelli, A.; Vincentini, O.; Restani, P. Diversity of oat varieties in eliciting the early inflammatory events in celiac disease. Eur. J. Nutr. 2014, 53, 1177–1186. [Google Scholar] [CrossRef] [PubMed]
- Gavrilyuk, I.P.; Gubareva, N.K.; Perchuk, I.N.; Loskutov, I.G.; Konarev, A.V.; Oreshko, L.S. The avenins and celiac disease. In Proceedings of the 3rd International Symposium on Gluten-Free Cereal Products and Beverages, Vienna, Austria, 12–14 June 2013; p. 15. [Google Scholar]
- Rafique, H.; Dong, R.; Wang, X.L.; Alim, A.; Aadil, R.M.; Li, L.; Zou, L.; Hu, X.Z. Dietary-Nutraceutical Properties of Oat Protein and Peptides. Front. Nutr. 2022, 9, 950400. [Google Scholar] [CrossRef]
- Hu, X.; Wang, Y.; Qiu, D.; He, L. Comparison of Prolamins from Different Cereals Based on Structure and Functionality. J. Cereal Sci. 2024, 120, 104052. [Google Scholar] [CrossRef]
- Wani, S.A.; Shah, T.R.; Bazaria, B.; Naik, G.A.; Gull, A.; Muzaffar, K.; Kumar, P. Oats as a Functional Food: A Review. Univers. J. Pharm. 2014, 3, 14–20. [Google Scholar]
- Paudel, D.; Dhungana, B.; Caffe, M.; Krishnan, P. A Review of Health-Beneficial Properties of Oats. Foods 2021, 10, 2591. [Google Scholar] [CrossRef]
- Sha, X.M.; Sun, H.L.; Li, Y.; Wu, J.C.; Zhang, H.T.; Yang, R. The prolamins, from structure, property, to the function in encapsulation and delivery of bioactive compounds. Food Hydrocoll. 2024, 149, 109508. [Google Scholar] [CrossRef]
- Perchuk, I.N.; Konarev, A.V.; Loskutov, I.G.; Blinova, E.V.; Novikova, L.Y.; Horeva, V.I.; Kolodinska-Brantestam, A. Protein markers, morphological and breeding-oriented characters in duplicate accession identification in the VIR (Russia) and NordGen (Sweden) cultivated oat collections. Proc. Appl. Bot. Genet. Breed. 2016, 177, 82–93. (In Russian) [Google Scholar] [CrossRef]
- Gavrilyuk, I.P.; Gubareva, N.K.; Perchuk, I.N.; Alpatyeva, N.V.; Martynenko, N.M.; Loskutov, I.G.; Krasilnikov, V.N. The oat for glutenfree food. Proc. Appl. Bot. Genet. Breed. 2013, 171, 269–270. (In Russian) [Google Scholar]
- Shewry, P.R. Avenins: The Prolamins of Oats. In Seed Proteins; Shewry, P.R., Casey, R., Eds.; Springer: Dordrecht, The Netherlands, 1999; pp. 79–92. [Google Scholar] [CrossRef]
- Giménez, M.; Real, A.; García-Molina, M.; Sousa, C.; Barro, F. Characterization of celiac disease related oat proteins: Bases for the development of high quality oat varieties suitable for celiac patients. Sci. Rep. 2017, 7, 42588. [Google Scholar] [CrossRef] [PubMed]
- Dvořáček, V.; Čurn, V.; Moudrý, J. Suitability of oat-seed storage-protein markers for identification of cultivars in grain and mixed flour samples. Plant Soil Environ. 2003, 49, 486–491. [Google Scholar] [CrossRef]
- Leišová-Svobodová, L.; Sovová, T.; Dvořáček, V. Analysis of oat seed transcriptome with regards to proteins involved in celiac disease. Sci. Rep. 2022, 12, 8660. [Google Scholar] [CrossRef] [PubMed]
- Kamal, N.; Renhuldt, N.T.; Bentzer, J.; Gundlach, H.; Haberer, G.; Juhász, A.; Lux, T.; Bose, U.; Tye-Din, J.A.; Lang, D.; et al. The mosaic oat genome gives insights into a uniquely healthy cereal crop. Nature 2022, 606, 113–119. [Google Scholar] [CrossRef]
- Gregova, E.; Šliková, S.; Hozlár, P. Seed protein electrophoresis for identification of oat registered cultivars. Potravinarstvo 2015, 9, 411–416. [Google Scholar] [CrossRef]
- Sagu, S.T.; Wiedemann, L.T.; Nichani, K.; Henze, A.; Rawel, H.M. The Optimization of the Osborne Extraction Method for the Fractionation and Characterization of Oat Proteins. Separations 2024, 11, 271. [Google Scholar] [CrossRef]
- Chňapek, M.; Galova, Z.; Balážová, Ž.; Hromadová, Z.; Mikolášová, L.; Vivodík, M.; Drábeková, J.; Rajnincová, D. Application of two-dimensional electrophoresis and mass spectrometry for the detection of allergens in selected varieties of wheat, oats and buckwheat. J. Microbiol. Biotechnol. Food Sci. 2023, 13, e9934. [Google Scholar] [CrossRef]
- Metakovsky, E.; Melnik, V.A.; Pascual, L.; Wrigley, C.W. How Important Are Genetic Diversity and Cultivar Uniformity in Wheat? The Case of Gliadins. Genes 2024, 15, 927. [Google Scholar] [CrossRef]
- Fantahun, B.; Woldesemayate, T.; Shiferaw, E. The association between hordein polypeptide banding and agronomic traits in partitioning genetic diversity in six-rowed Ethiopian barley lines (Hordeum vulgare L.). BMC Plant Biol. 2023, 23, 102. [Google Scholar] [CrossRef]
- Camerlengo, F.; Kiszonas, A.M. Genetic factors influencing triticale quality for food. J. Cereal Sci. 2023, 113, 103744. [Google Scholar] [CrossRef]
- Kim, S.I.; Saur, L.; Mossé, J. Some features of the inheritance of avenins, the alcohol soluble proteins of oat. Theoret. Appl. Genet. 1979, 54, 49–54. [Google Scholar] [CrossRef] [PubMed]
- Omelyanchuk, N.A.; Kontareva, N.I. Study of the spectra of storage proteins during intervarietal hybridization of oats. In Proceedings of the V Congress of the All-Union Society of Geneticists and Breeders Named After N.I. Vavilov, Moscow, Russia, 24–28 November 1987; p. 116. (In Russian). [Google Scholar]
- Souza, E.; Sorrells, M.E. Inheritance and distribution of variation at four avenin loci in North American oat germ plasm. Genome 1990, 33, 416–424. [Google Scholar] [CrossRef]
- Shotwell, M.A.; Boyer, S.K.; Chesnut, R.S.; Larkins, B.A. Analysis of seed storage protein genes of oats. J. Biol. Chem. 1990, 265, 9652–9658. [Google Scholar] [CrossRef] [PubMed]
- Rayapati, P.J.; Gregory, J.W.; Lee, M.; Wise, R.P. A linkage map of diploid Avena based on RFLP loci and a locus conferring resistance to nine isolates of Puccinia coronata var ‘avenae’. Theor. Appl. Genet. 1994, 89, 831–837. [Google Scholar] [CrossRef]
- Portyanko, V.A.; Pomortsev, A.A.; Kalashnik, N.A.; Bogachkov, V.I.; Sozinov, A.A. The genetic control of avenins and the principles of classification. Russ. J. Genet. 1987, 23, 845–853. (In Russian) [Google Scholar]
- Portyanko, V.A. Genetic Control and Polymorphism of Oat Prolamine: Author. Dis. Cand. of Biol. Sciences; Vavilov Institute of General Genetics: Moscow, Russia, 1987; 16p. (In Russian) [Google Scholar]
- Portyanko, V.A.; Sharopova, N.R.; Sozinov, A.A. Characterization of European oat germ plasm: Allelic variation at complex avenin loci detected by acid polyacrylamide gel electrophoresis. Euphytica 1998, 102, 15–27. [Google Scholar] [CrossRef]
- Lyubimova, A.V.; Fomina, M.N.; Eremin, D.I.; Mamaeva, V.S.; Mishechkina, V.S.; Bragin, N.A.; Belousov, S.A.; Bragina, M.V. Allelic state of prolamin-coding loci in the new oat cultivar ‘Tobolyak’. Proc. Appl. Bot. Genet. Breed. 2022, 83, 123–131. (In Russian) [Google Scholar] [CrossRef]
- Shapiro, S.S.; Wilk, M.B.; Chen, H.J. A comparative study of various tests for normality. J. Am. Stat. Assoc. 1968, 63, 1343–1372. [Google Scholar] [CrossRef]
- Sunilkumar, B.A.; Tareke, E. Identification of discrepancies in grain quality and grain protein composition through avenin proteins of oat after an effort to increase protein content. Agric. Food Secur. 2016, 5, 7. [Google Scholar] [CrossRef][Green Version]
- Dvořáček, V.; Kotrbová-Kozak, A.; Kozová-Doležalová, J.; Jágr, M.; Hlásná Čepková, P.; Vítámvás, P.; Kosová, K. Specific Avenin Cross-Reactivity with G12 Antibody in a Wide Range of Current Oat Cultivars. Foods 2022, 11, 567. [Google Scholar] [CrossRef]
- Tanner, G.J.; Juhász, A.; Florides, C.G.; Nye-Wood, M.; Békés, F.; Colgrave, M.L.; Tye-Din, J.A. Preparation and characterization of avenin-enriched oat protein by chill precipitation for feeding trials in celiac disease. Front. Nutr. 2019, 6, 1–15. [Google Scholar] [CrossRef] [PubMed]
- Ostapenko, A.V.; Tobolova, G.V. Application of electrophoresis of oat prolamins for the definition of grains F1 hybrid nature. Bull. KrasSAU 2017, 2, 14–21. (In Russian) [Google Scholar]
- Metakovsky, E.; Melnik, V.; Rodriguez-Quijano, M.; Upelniek, V.; Carrillo, J.M. A catalog of gliadin alleles: Polymorphism of 20th-century common wheat germplasm. Crop J. 2018, 6, 628–641. [Google Scholar] [CrossRef]
- Kozub, N.A.; Sozinov, I.A.; Karelov, A.V.; Bidnyk, H.Y.; Demianova, N.A.; Sozinova, O.I.; Blume, Y.B.; Sozinov, A.A. Studying Recombination between the 1RS Arms from the Rye Petkus and Insave Involved in the 1BL.1RS and 1AL.1RS Translocations using Storage Protein Loci as Genetic Markers. Cytol. Genet. 2018, 52, 440–447. [Google Scholar] [CrossRef]
- Pomortsev, A.A.; Rubanovich, A.V.; Lialina, E.V. Structure and Formation Mechanisms of Polymorphism of Hordein-Coding Loci in Domesticated Barley (Hordeum vulgare L.). Russ. J. Genet. 2021, 57, 548–560. [Google Scholar] [CrossRef]
- Pomortsev, A.A.; Lyalina, E.V.; Kalabushkin, B.A. Hordein coding loci as barley genetic markers. Proc. Appl. Bot. Genet. Breed. 2009, 165, 36–40. (In Russian) [Google Scholar]
- Sozinov, A.A. Protein Polymorphism and Its Importance in Genetics and Breeding; Nauka: Moscow, Russia, 1985; p. 272. (In Russian) [Google Scholar]
- Utebayev, M.U.; Dashkevich, S.M.; Kradetskaya, O.O.; Chilimova, I.V.; Bome, N.A. Assessment of the genetic diversity of the alleles of gliadin-coding loci in common wheat (Triticum aestivum L.) collections in Kazakhstan and Russia. Vavilovskii Zhurnal Genet. Sel. 2024, 28, 263–275. [Google Scholar] [CrossRef]

















| No. | VIR Catalog No. | Cultivar | Number of Biotypes | Avenin Formula | Origin |
|---|---|---|---|---|---|
| 1 | 10103 | Local | 1 | new.1.6 | Russia |
| 2 | 11132 | Severyanin | 2 | new + new.new + new.3 | Russia |
| 3 | 12245 | Tayozhnik | 2 | 2 + 1.new.2 | Russia |
| 4 | 14039 | Megion | 2 | 2 + new.new.5 | Russia |
| 5 | 14784 | Tyumensky golozerny | 1 | 2.new.3 | Russia |
| 6 | 15274 | Bucephal | 1 | new.new.new | Russia |
| 7 | 15380 | Otrada | 2 | new + new. 4.new | Russia |
| 8 | 15451 | Foma | 1 | new.new.new | Russia |
| 9 | 1926 | Hull-less | 1 | new.new.3 | China |
| 10 | 15090 | MF 9224-164 | 1 | new.new.new | USA |
| 11 | 15157 | MF9116-150 | 1 | 2.new.3 | USA |
| 12 | 7965 | Pobeda | 2 | 2 + new.new.2 | Sweden |
| 13 | 8494 | Orel | 1 | new.new.2 | Sweden |
| No. | Hybrid Combination |
|---|---|
| 1 | ♀ Tyumensky golozerny × ♂ Megion (2nd biotype) |
| 2 | ♀ Tyumensky golozerny × ♂ Megion (1st biotype) |
| 3 | ♀ Tyumensky golozerny × ♂ Otrada (1st biotype) |
| 4 | ♀ Tyumensky golozerny × ♂ Hull-less |
| 5 | ♀ MF 9224-164 × ♂ MF 9116-150 |
| 6 | ♀ MF 9116-150 × ♂ Otrada (1st biotype) |
| 7 | ♀ Bucephal × ♂ MF 9224-164 |
| 8 | ♀ Bucephal × ♂ Local |
| 9 | ♀ Otrada (2nd biotype) × ♂ Tyumensky golozerny |
| 10 | ♀ Otrada (2nd biotype) × ♂ Orel |
| 11 | ♀ Megion (1st biotype) × ♂ MF 9116-150 |
| 12 | ♀ Megion (1st biotype) × ♂ Otrada (2nd biotype) |
| 13 | ♀ Foma × ♂ Otrada (2nd biotype) |
| 14 | ♀ Foma × ♂ Megion (1st biotype) |
| 15 | ♀ Foma × ♂ Tyumensky golozerny |
| 16 | ♀ Foma × ♂ Tayozhnik (1st biotype) |
| 17 | ♀ Pobeda (2nd biotype) × ♂ Foma |
| 18 | ♀ Severyanin (1st biotype) × ♂ Tyumensky golozerny |
| 19 | ♀ Local × ♂ Hull-less |
| No. | Cross * | Locus Avn A | Locus Avn B | Locus Avn C | |||
|---|---|---|---|---|---|---|---|
| W Test | Probability | W Test | Probability | W Test | Probability | ||
| 1 | Cross 1 | 0.786 | 0.081 | - | - | 0.858 | 0.263 |
| 2 | Cross 2 | - | - | - | - | 0.858 | 0.263 |
| 3 | Cross 3 | 0.750 | 0.000 | 0.750 | 0.000 | 0.750 | 0.000 |
| 4 | Cross 4 | 0.923 | 0.463 | 0.950 | 0.573 | - | - |
| 5 | Cross 5 | 0.944 | 0.544 | 0.956 | 0.596 | 0.829 | 0.186 |
| 6 | Cross 6 | 0.855 | 0.253 | 0.931 | 0.493 | 0.888 | 0.350 |
| 7 | Cross 7 | 0.824 | 0.174 | 0.999 | 0.942 | 0.801 | 0.117 |
| 8 | Cross 8 | 0.964 | 0.637 | 0.867 | 0.289 | 0.913 | 0.429 |
| 9 | Cross 9 | 0.750 | 0.000 | 0.816 | 0.152 | 0.750 | 0.000 |
| 10 | Cross 10 | - | - | 0.821 | 0.167 | 0.801 | 0.117 |
| 11 | Cross 11 | - | - | 0.858 | 0.263 | 0.986 | 0.780 |
| 12 | Cross 12 | 0.750 | 0.000 | 0.750 | 0.000 | 0.953 | 0.583 |
| 13 | Cross 13 | 0.865 | 0.281 | 0.854 | 0.253 | 0.972 | 0.678 |
| 14 | Cross 14 | 0.750 | 0.000 | 0.822 | 0.167 | 0.923 | 0.463 |
| 15 | Cross 15 | 0.959 | 0.612 | 0.864 | 0.278 | 0.913 | 0.493 |
| 16 | Cross 16 | 0.972 | 0.679 | 0.992 | 0.830 | 0.838 | 0.210 |
| 17 | Cross 17 | 0.858 | 0.263 | 0.994 | 0.853 | 0.959 | 0.611 |
| 18 | Cross 18 | 0.814 | 0.150 | 0.801 | 0.117 | 0.931 | 0.493 |
| 19 | Cross 19 | 0.956 | 0.599 | 0.832 | 0.193 | 0.829 | 0.186 |
| No. | Locus | Alternative Pairs of Component Blocks | Genotype (Presence of Corresponding Blocks of Components), pcs. | χ2 | ||
|---|---|---|---|---|---|---|
| 1 | Tyumensky golozerny | Heterozygote | Megion (1 biotype) | |||
| Avn C | 3 and 5 | 27 | 50 | 23 | 0.32 | |
| 2 | Tyumensky golozerny | Heterozygote | Hull-less | |||
| Avn B | new and new | 22 | 56 | 22 | 1.44 | |
| 3 | Foma | Heterozygote | Otrada (2 biotype) | |||
| Avn B | new and 4 | 21 | 55 | 24 | 1.18 | |
| 4 | Pobeda (2 biotype) | Heterozygote | Foma | |||
| Avn C | 2 and new | 30 | 48 | 22 | 1.44 | |
| No. | Locus | Alternative Pairs of Component Blocks | Genotype (Presence of Corresponding Blocks of Components) | χ2 | ||
|---|---|---|---|---|---|---|
| 1 | Otrada (2nd biotype) | Heterozygote | Orel | |||
| Avn B | 4 and new | 25 | 53 | 22 | 0.54 | |
| Avn C | 8 and 2 | 25 | 52 | 23 | 0.24 | |
| 2 | Megion (1st biotype) | Heterozygote | MF 9116-150 | |||
| Avn B | 7 * and new | 24 | 43 | 33 | 2.12 | |
| Avn C | 5 and 3 | 24 | 52 | 23 | 2.72 | |
| 3 | Tyumensky golozerny | Heterozygote | Megion (2nd biotype) | |||
| Avn A | 2 and new | 26 | 47 | 27 | 0.38 | |
| Avn C | 3 and 5 | 23 | 50 | 27 | 0.32 | |
| 4 | Severyanin (1st biotype) | Heterozygote | Tyumensky golozerny | |||
| Avn A | new and 2 | 28 | 52 | 20 | 1.44 | |
| Avn B | new and 7 * | 19 | 52 | 29 | 2.16 | |
| No. | Locus | Alternative Pairs of Component Blocks | Genotype (Presence of Corresponding Blocks of Components) | χ2 | ||
|---|---|---|---|---|---|---|
| 1 | Tyumensky golozerny | Heterozygote | Otrada (1 biotype) | |||
| Avn A | 2 and new | 28 | 55 | 17 | 3.42 | |
| Avn B | 7 and 4 | 18 | 53 | 29 | 2.78 | |
| Avn C | 3 and 8 | 23 | 51 | 26 | 0.22 | |
| 2 | Megion (1st biotype) | Heterozygote | Otrada (2nd biotype) | |||
| Avn A | 2 and new | 24 | 45 | 31 | 1.98 | |
| Avn B | 7 and 4 | 19 | 56 | 25 | 2.16 | |
| Avn C | 5 and 8 | 21 | 51 | 28 | 1.02 | |
| 3 | Otrada (2 biotype) | Heterozygote | Tyumensky golozerny | |||
| Avn A | new and 2 | 25 | 55 | 20 | 1.50 | |
| Avn B | 4 and 7 | 28 | 53 | 19 | 1.98 | |
| Avn C | 8 and 3 | 27 | 52 | 21 | 0.88 | |
| 4 | Foma | Heterozygote | Megion (1 biotype) | |||
| Avn A | new and 2 | 29 | 45 | 26 | 1.18 | |
| Avn B | new and 7 | 20 | 55 | 25 | 1.50 | |
| Avn C | 8 and 5 | 18 | 52 | 30 | 3.04 | |
| 5 | Foma | Heterozygote | Tyumensky golozerny | |||
| Avn A | new and 2 | 30 | 40 | 30 | 4.00 | |
| Avn B | new and 7 | 22 | 53 | 25 | 0.54 | |
| Avn C | 8 and 3 | 25 | 45 | 25 | 1.50 | |
| 6 | Bucephal | Heterozygote | MF 9224-164 | |||
| Avn A | new and new | 18 | 52 | 30 | 3.04 | |
| Avn B | new and new | 21 | 47 | 32 | 2.78 | |
| Avn C | new and new | 24 | 49 | 27 | 0.22 | |
| 7 | Bucephal | Heterozygote | Local | |||
| Avn A | new and new | 23 | 50 | 27 | 0.32 | |
| Avn B | new and 1 | 19 | 49 | 32 | 3.42 | |
| Avn C | new and 6 | 21 | 49 | 30 | 1.66 | |
| 8 | Foma | Heterozygote | Tayozhnik (1 biotype) | |||
| Avn A | new and 2 | 21 | 49 | 30 | 1.66 | |
| Avn B | new and 8 | 26 | 53 | 21 | 0.86 | |
| Avn C | 8 and 2 | 19 | 53 | 28 | 1.98 | |
| 9 | Local | Heterozygote | Hull-less | |||
| Avn A | new and 12 * | 27 | 48 | 25 | 0.24 | |
| Avn B | 1 and 7 * | 23 | 52 | 25 | 0.24 | |
| Avn C | 6 and 3 | 19 | 53 | 28 | 1.98 | |
| 10 | MF 9116-150 | Heterozygote | Otrada (1st biotype) | |||
| Avn A | 2 and new | 26 | 46 | 28 | 0.72 | |
| Avn B | new and 4 | 24 | 43 | 33 | 3.58 | |
| Avn C | 3 and 8 | 25 | 52 | 23 | 0.24 | |
| 11 | MF 9224-164 | Heterozygote | MF 9116-150 | |||
| Avn A | new and 2 | 25 | 44 | 31 | 2.16 | |
| Avn B | new and new | 20 | 56 | 24 | 1.76 | |
| Avn C | new and 3 | 26 | 51 | 23 | 0.22 | |
| No. | Cultivar | Number of Biotypes | Avenin Formula |
|---|---|---|---|
| 1 | Local | 1 | 9.1.6 |
| 2 | Severyanin | 2 | 9 + new.11 + 1.3 |
| 3 | Tayozhnik | 2 | 2 + 1.8.2 |
| 4 | Megion | 2 | 2 + 9.7.5 |
| 5 | Tyumensky golozerny | 1 | 2.7.3 |
| 6 | Bucephal | 1 | 13.9.9 |
| 7 | Otrada | 2 | 10 + 11. 4.8 |
| 8 | Foma | 1 | 11.11.8 |
| 9 | Hull-less | 1 | 12.7.3 |
| 10 | MF 9224-164 | 1 | 14.10.10 |
| 11 | MF9116-150 | 1 | 2.6.3 |
| 12 | Pobeda | 2 | 2 + 11.11.2 |
| 13 | Orel | 1 | 11.11.2 |
| No. | Locus | Allele | Cultivar |
|---|---|---|---|
| 1 | Avn A | 2 | Tayozhnik, Megion, Tyumensky golozerny, Pobeda (1 biotype), MF9116-150 |
| 9 | Local, Severyanin (1 biotype), Megion | ||
| 11 | Otrada (2 biotype), Foma, Pobeda (2 biotype), Orel | ||
| 2 | Avn B | 1 | Local, Severyanin (2 biotype) |
| 7 | Megion, Tyumensky golozerny, Hull-less | ||
| 11 | Severyanin, Foma, Pobeda, Orel | ||
| 3 | Avn C | 2 | Tayozhnik, Pobeda, Orel |
| 3 | Severyanin, Tyumensky golozerny, MF9116-150 | ||
| 8 | Otrada, Foma |
Disclaimer/Publisher’s Note: The statements, opinions and data contained in all publications are solely those of the individual author(s) and contributor(s) and not of MDPI and/or the editor(s). MDPI and/or the editor(s) disclaim responsibility for any injury to people or property resulting from any ideas, methods, instructions or products referred to in the content. |
© 2024 by the authors. Licensee MDPI, Basel, Switzerland. This article is an open access article distributed under the terms and conditions of the Creative Commons Attribution (CC BY) license (https://creativecommons.org/licenses/by/4.0/).
Share and Cite
Lyubimova, A.V.; Eremin, D.I.; Renev, E.P. Genetic Variation Analysis of Avenin Components in the Population of F2 Common Oat Hybrids. Agronomy 2024, 14, 2899. https://doi.org/10.3390/agronomy14122899
Lyubimova AV, Eremin DI, Renev EP. Genetic Variation Analysis of Avenin Components in the Population of F2 Common Oat Hybrids. Agronomy. 2024; 14(12):2899. https://doi.org/10.3390/agronomy14122899
Chicago/Turabian StyleLyubimova, Anna V., Dmitry I. Eremin, and Evgeny P. Renev. 2024. "Genetic Variation Analysis of Avenin Components in the Population of F2 Common Oat Hybrids" Agronomy 14, no. 12: 2899. https://doi.org/10.3390/agronomy14122899
APA StyleLyubimova, A. V., Eremin, D. I., & Renev, E. P. (2024). Genetic Variation Analysis of Avenin Components in the Population of F2 Common Oat Hybrids. Agronomy, 14(12), 2899. https://doi.org/10.3390/agronomy14122899

