Unexpected Low DNA Methylation in Transposable Elements at the 5′-CCGG Sites in Three Fruit Tree Cultivars
Abstract
:1. Introduction
2. Materials and Methods
2.1. Plant Material
2.2. MSAP Analysis
2.3. Sequencing of Selected MSAP Bands
2.4. Southern Blot Analysis
3. Results
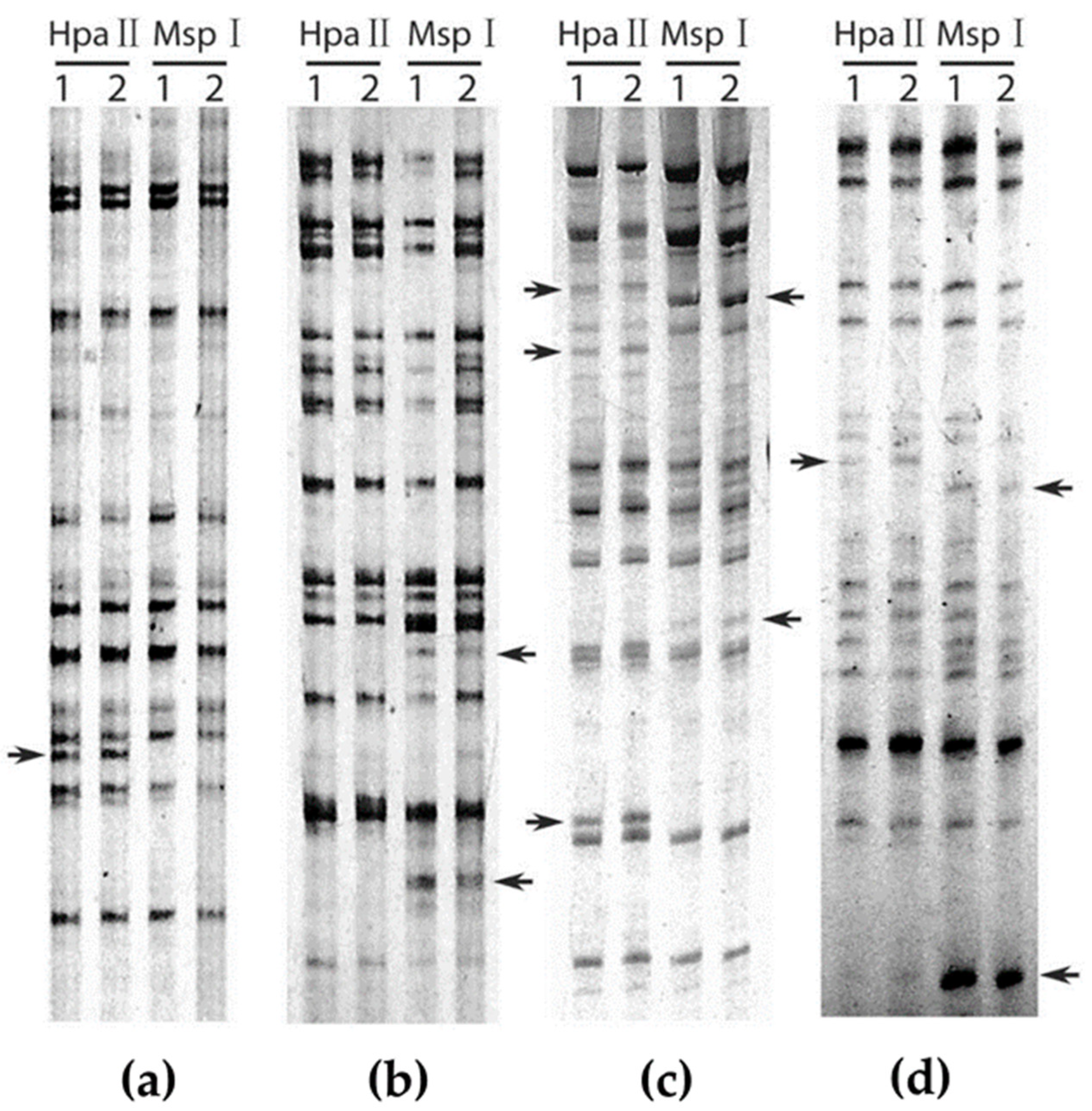
3.1. Overall Levels of Methylated Cytosines at the 5′-CCGG Sites in the Three Fruit Tree Genomes Are Lower Than Expected Based on the MSAP Profiles
3.2. Classification of a Subset of Genomic Loci Methylated at the 5′-CCGG Sites
3.3. Validation of Methylation States at the 5′-CCGG Sites of Genic Sequences by Gel Blotting
3.4. Low Level DNA Methylation of TEs at the 5′-CCGG Sites Detected by DNA Gel-Blotting Hybridization
4. Discussion
5. Conclusions
Supplementary Materials
Author Contributions
Funding
Conflicts of Interest
References
- Law, J.A.; Jacobsen, S.E. Establishing, maintaining and modifying DNA methylation patterns in plants and animals. Nat. Rev. Genet. 2010, 11, 204–220. [Google Scholar] [CrossRef] [PubMed]
- Martienssen, R.A.; Colot, V. DNA methylation and epigenetic inheritance in plants and filamentous fungi. Science 2001, 293, 1070–1074. [Google Scholar] [CrossRef] [PubMed] [Green Version]
- Zhang, H.M.; Lang, Z.B.; Zhu, J.K. Dynamics and function of DNA methylation in plants. Nat. Rev. Mol. Cell Biol. 2018, 19, 489–506. [Google Scholar] [CrossRef] [PubMed]
- Okano, M.; Bell, D.W.; Haber, D.A.; Li, E. DNA methyltransferases Dnmt3a and Dnmt3b are essential for de novo methylation and mammalian development. Cell 1999, 99, 247–257. [Google Scholar] [CrossRef] [Green Version]
- Finnegan, E.J.; Peacock, W.J.; Dennis, E.S. DNA methylation, a key regulator of plant development and other processes. Curr. Opin. Genet. Dev. 2000, 10, 217–223. [Google Scholar] [CrossRef]
- Hu, L.J.; Li, N.; Xu, C.M.; Zhong, S.L.; Lin, X.Y.; Yang, J.J.; Zhou, T.Q.; Yliang, A.Z.; Wu, Y.; Chen, Y.R. Mutation of a major CG methylase in rice causes genome-wide hypomethylation, dysregulated genome expression, and seedling lethality. Proc. Natl. Acad. Sci. USA 2014, 111, 10642–10647. [Google Scholar] [CrossRef] [Green Version]
- Hu, L.J.; Li, N.; Zhang, Z.B.; Meng, X.C.; Dong, Q.L.; Xu, C.M.; Gong, L.; Liu, B. CG hypomethylation leads to complex changes in DNA methylation and transpositional burst of diverse transposable elements in callus cultures of rice. Plant. J. 2020, 101, 188–203. [Google Scholar] [CrossRef]
- Feschotte, C.; Jiang, N.; Wessler, S.R. Plant transposable elements: Where genetics meets genomics. Nat. Rev. Genet. 2002, 3, 329–341. [Google Scholar] [CrossRef]
- Alonso, C.; Pérez, R.; Bazaga, P.; Medrano, M.; Herrera, C.M. MSAP markers and global cytosine methylation in plants: A literature survey and comparative analysis for a wild-growing species. Mol. Ecol. Res. 2016, 16, 80–90. [Google Scholar] [CrossRef] [Green Version]
- Kidwell, K.K.; Osborn, T.C. Simple plant DNA isolation procedures. In Plant Genomes: Methods for Genetic and Physical Mapping; Osborn, T.C., Ed.; Kluwer Academic Publishers: Dordrecht, The Netherlands, 1992; pp. 1–13. [Google Scholar]
- Dong, Z.Y.; Wang, Y.M.; Zhang, Z.J.; Shen, Y.; Lin, X.Y.; Ou, X.F.; Han, F.P.; Liu, B. Extent and pattern of DNA methylation alteration in rice lines derived from introgressive hybridization of rice and Zizania latifolia Griseb. Theor. Appl. Genet. 2006, 113, 196–205. [Google Scholar] [CrossRef]
- Daccord, N.; Celton, J.; Linsmith, G.; Becker, C.; Choisne, N.; Schijlen, E.; van de Geest, H.; Bianco, L.; Micheletti, D.; Velasco, R.; et al. High-quality de novo assembly of the apple genome and methylome dynamics of early fruit development. Nat. Genet. 2017, 49, 1099–1106. [Google Scholar] [CrossRef] [PubMed]
- Vos, P.; Hogers, R.; Bleeker, M. AFLP: A new technique for DNA fingerprinting. Nucleic Acids Res. 1995, 23, 4407–4414. [Google Scholar] [CrossRef] [PubMed] [Green Version]
- Richards, C.L.; Alonso, C.; Becker, C.; Bossdorf, O.; Bossdorf, B.E.; Colomé-Tatché, M.; Durka, W.; Engelhardt, J.; Gaspar, B.; Gogol-Döring, A. Ecological plant epigenetics: Evidence from model and non-model species, and the way forward. Ecol. Lett. 2017, 20, 1576–1590. [Google Scholar] [CrossRef] [PubMed] [Green Version]
- Zhao, N.; Zhu, B.; Li, M.; Wang, L.; Xu, L.Y.; Zhang, H.K.; Zheng, S.S.; Qi, B.; Han, F.P.; Liu, B. Extensive and heritable epigenetic remodeling and genetic stability accompany allohexaploidization of wheat. Genetics 2011, 188, 499–510. [Google Scholar] [CrossRef]
- Liu, C.; Feng, C.; Peng, W.; Hao, J.J.; Wang, J.T.; Pan, J.J.; He, Y.H. Chromosome-level draft genome of a diploid plum (Prunus salicina). GigaScience 2021, 9, giaa130. [Google Scholar] [CrossRef]
- Wu, J.; Wang, Z.; Shi, Z.; Zhang, S.; Ming, R.; Zhu, S.; Khan, M.A.; Tao, S.; Korban, S.S.; Wang, H.; et al. The genome of the pear (Pyrus bretschneideri Rehd.). Genome Res. 2013, 23, 396–408. [Google Scholar] [CrossRef] [Green Version]
- Pontvianne, F.; Liu, C. Chromatin domains in space and their functional implications. Curr. Opin. Plant. Biol. 2020, 54, 1–10. [Google Scholar] [CrossRef]
- Li, Q.; Qiao, X.; Yin, H.; Zhou, Y.; Dong, H.; Qi, K.; Li, L.; Zhang, S. Unbiased subgenome evolution following a recent whole-genome duplication in pear (Pyrus bretschneideri Rehd.). Hortic. Res. 2019, 6, 34. [Google Scholar] [CrossRef] [Green Version]
- D’Amico-Willman, K.M.; Ouma, W.Z.; Meulia, T.; Sideli, G.M.; Gradziel, T.M.; Fresnedo-Ramírez, J. Whole-genome sequence and methylome profiling of the almond (prunus dulcis [mill.] D.A.Webb) cultivar ‘nonpareil’. G3 2022, 12, jkac065. [Google Scholar] [CrossRef]
- Li, Z.J.; Wang, M.Y.; Lin, K.; Xie, Y.L.; Guo, J.Y.; Ye, L.H.; Zhuang, Y.L.; Teng, W.; Ran, X.J.; Tong, Y.P.; et al. The bread wheat epigenomic map reveals distinct chromatin architectural and evolutionary features of functional genetic elements. Genome. Biol. 2019, 20, 139. [Google Scholar] [CrossRef] [Green Version]
- Song, Q.X.; Guan, X.Y.; Chen, Z.J. Dynamic Roles for Small RNAs and DNA Methylation during Ovule and Fiber Development in Allotetraploid Cotton. PLoS Genet. 2015, 11, e1005724. [Google Scholar] [CrossRef] [PubMed] [Green Version]
- Wu, R.; Wang, X.R.; Lin, Y.; Ma, Y.Q.; Liu, G.; Yu, X.M.; Zhong, S.L.; Liu, B. Inter-Species Grafting Caused Extensive and Heritable Alterations of DNA Methylation in Solanaceae Plants. PLoS ONE 2013, 8, e61995. [Google Scholar] [CrossRef]
- Huang, H.; Liu, R.; Niu, Q.; Tang, K.; Zhang, B.; Zhang, H.; Chen, K.; Zhu, J.K.; Lang, Z. Global increase in DNA methylation during orange fruit development and ripening. Proc. Natl. Acad. Sci. USA 2019, 116, 1430–1436. [Google Scholar] [CrossRef] [PubMed] [Green Version]
- Shangguan, L.; Fang, X.; Jia, H.; Chen, M.; Zhang, K.; Fang, J. Characterization of DNA methylation variations during fruit develop ment and ripening of Vitis vinifera (cv. ‘Fujiminori’). Physiol. Mol. Biol. Plants 2020, 26, 617–637. [Google Scholar] [CrossRef] [PubMed]
- Simmen, M.W.; Leitgeb, S.; Charlton, J.; Jones, S.J.; Harris, B.R.; Clark, V.H.; Bird, A. Nonmethylated transposable elements and methylated genes in a chordate genome. Science 1999, 283, 1164–1167. [Google Scholar] [CrossRef] [PubMed]




| Fruit Tree Cultivars | Total 5′-CCGG Loci Scored | Non-Methylated 5′-CCGG Sites | Methylated 5′-CCGG Sites | ||
|---|---|---|---|---|---|
| CG Fully Methylated | CHG Hemi-Methylated | Total | |||
| Pear (scion cv. Cold-Delicious) | 2542 | 2404 (94.6%) | 76 (3.0%) | 62 (2.4%) | 138 (5.4%) |
| Plum (scion cv. Northern-Red) | 2700 | 2496 (92.5%) | 139 (5.1%) | 65 (2.4%) | 204 (7.5%) |
| Apple (scion cv. Golden-Red) | 1688 | 1535 (91.0%) | 83 (4.9%) | 70 (4.1%) | 153 (9.0%) |
| Category | No. DNA Segment | Percentage (%) |
|---|---|---|
| Known-function gene/putative protein-coding gene | 26 | 34.7 |
| TEs | 5 | 6.7 |
| No similarity | 44 | 58.7 |
| Total | 75 | 100 |
Publisher’s Note: MDPI stays neutral with regard to jurisdictional claims in published maps and institutional affiliations. |
© 2022 by the authors. Licensee MDPI, Basel, Switzerland. This article is an open access article distributed under the terms and conditions of the Creative Commons Attribution (CC BY) license (https://creativecommons.org/licenses/by/4.0/).
Share and Cite
Yu, Y.; Wang, M.; Zhou, X.; Du, H.; Liu, B.; Jiang, L.; Wang, Y. Unexpected Low DNA Methylation in Transposable Elements at the 5′-CCGG Sites in Three Fruit Tree Cultivars. Agronomy 2022, 12, 1347. https://doi.org/10.3390/agronomy12061347
Yu Y, Wang M, Zhou X, Du H, Liu B, Jiang L, Wang Y. Unexpected Low DNA Methylation in Transposable Elements at the 5′-CCGG Sites in Three Fruit Tree Cultivars. Agronomy. 2022; 12(6):1347. https://doi.org/10.3390/agronomy12061347
Chicago/Turabian StyleYu, Yingjie, Meixin Wang, Xiaofu Zhou, Huishi Du, Bao Liu, Lili Jiang, and Yongming Wang. 2022. "Unexpected Low DNA Methylation in Transposable Elements at the 5′-CCGG Sites in Three Fruit Tree Cultivars" Agronomy 12, no. 6: 1347. https://doi.org/10.3390/agronomy12061347
APA StyleYu, Y., Wang, M., Zhou, X., Du, H., Liu, B., Jiang, L., & Wang, Y. (2022). Unexpected Low DNA Methylation in Transposable Elements at the 5′-CCGG Sites in Three Fruit Tree Cultivars. Agronomy, 12(6), 1347. https://doi.org/10.3390/agronomy12061347
