Occurrence and Identification of Root-Knot Nematodes on Red Dragon Fruit (Hylocereus polyrhizus) in Hainan, China
Abstract
:1. Introduction
2. Materials and Methods
2.1. Survey and Sample Collection
2.2. Histological Observation
2.3. Morphological Identification
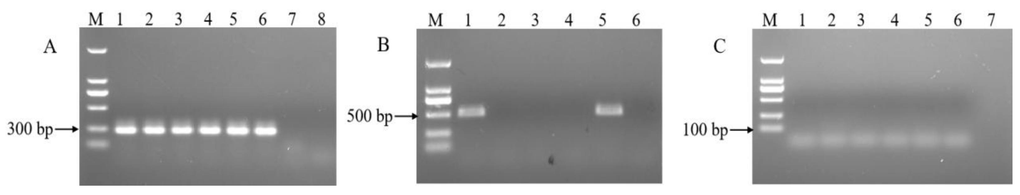
2.4. Molecular Identification
3. Results
3.1. Disease Symptoms Caused by Root-Knot Nematodes
3.2. Frequency and Severity of Root-Knot Nematode Diseases
3.3. Identification of Root-Knot Nematode Species
3.4. Distribution of Root-Knot Nematode Species
4. Discussion
5. Conclusions
Author Contributions
Funding
Conflicts of Interest
References
- Tenore, G.C.; Novellino, E.; Basile, A. Nutraceutical potential and antioxidant benefits of red pitaya (Hylocereus polyrhizus) extracts. J. Funct. Foods 2012, 4, 129–136. [Google Scholar] [CrossRef]
- Abirami, K.; Swain, S.; Baskaran, V.; Venkatesan, K.; Sakthivel, K.; Bommayasamy, N. Distinguishing three dragon fruit (Hylocereus spp.) species grown in Andaman and Nicobar Islands of India using morphological, biochemical and molecular traits. Sci. Rep. 2021, 11, 2894. [Google Scholar] [CrossRef] [PubMed]
- Mizrahi, Y.; Nerd, A.; Nobel, P.S. Cacti as crops. In Horticultural Reviews; John Wiley & Sons, Inc.: New York, NY, USA, 2010; pp. 291–319. [Google Scholar]
- Xu, M.; Liu, C.-L.; Luo, J.; Qi, Z.; Yan, Z.; Fu, Y.; Wei, S.-S.; Tang, H. Transcriptomic de novo analysis of pitaya (Hylocereus polyrhizus) canker disease caused by Neoscytalidium dimidiatum. BMC Genom. 2019, 20, 10. [Google Scholar] [CrossRef] [PubMed]
- De Dios, H.C. A new subspecies of Hylocereus undatus (Cactaceae) from southeastern Mexico. Haseltonia 2005, 11, 11–17. [Google Scholar] [CrossRef]
- Hernández, Y.D.O.; Salazar, J.A.C. Pitahaya (Hylocereus spp.): A short review. Comun. Sci. 2012, 3, 220–237. [Google Scholar]
- Karssen, G.; Moens, M. Root-knot nematodes. In Plant Nematology; CABI Publishing: Wallingford, UK, 2006; pp. 59–90. [Google Scholar]
- Wesemael, W.; Viaene, N.; Moens, M. Root-knot nematodes (Meloidogyne spp.) in Europe. Nematology 2011, 13, 3–16. [Google Scholar] [CrossRef]
- Trudgill, D.L.; Bala, G.; Blok, V.C.; Daudi, A.; Davies, K.G.; Gowen, S.R.; Fargette, M.; Madulu, J.D.; Mateille, T.; Mwageni, W. The importance of tropical root-knot nematodes (Meloidogyne spp.) and factors affecting the utility of Pasteuria penetrans as a biocontrol agent. Nematology 2000, 2, 823–845. [Google Scholar]
- Hunt, D.J.; Handoo, Z.A. Taxonomy, identification and principal species. In Root-Knot Nematodes; CAB International: Wallingford, UK, 2009; Volume 1, pp. 55–88. [Google Scholar]
- Azeem, W.; Mukhtar, T.; Hamid, T. Evaluation of Trichoderma harzianum and Azadirachta indica in the management of Meloidogyne incognita in Tomato. Pak. J. Zool. 2020, 52, 1–7. [Google Scholar] [CrossRef]
- Nascimento, D.D.; Lopes, A.P.M.; Ferreira, R.J.; Carvalho, V.R.; Bombonato, L.T.; Diniz, D.B.; Silva, J.A.A.; Wilcker, E.; Soares, P.L.M. First report of Meloidogyne javanica infecting Hylocereus megalanthus in Brazil. Plant Dis. 2020, 104, 2526. [Google Scholar] [CrossRef] [Green Version]
- De Souza, V.H.M.; Inomoto, M.M.; Silva, A.M.G.B.; Souto, T.G. First report of Meloidogyne incognita infecting white Pitahaya plants. Rev. Bras. Frutic. 2022, 44, e822. [Google Scholar] [CrossRef]
- Chen, M.; Xie, S.; Xiao, T.; Xiao, M.; Wu, F. Occurrence and control of season-off vegetable root-knot nematode disease in Hainan Island. J. Shenyang Agric. Univ. 2001, 32, 186–188. [Google Scholar]
- Wang, Z.; Wen, Z.; Xiao, R. Root-knot nematode disease in Hainan and the affinity between the nematode and Pasteuria penetrans. Chin. J. Trop. Crops 2007, 28, 102–107. [Google Scholar]
- Huang, W.; Chen, M.; Xiao, T. A preliminary report on damage investigation and species identification of the root-knot nematodes on Cucurbitaceae vegetables in Hainan Island. Plant Prot. 2010, 36, 134–137. [Google Scholar]
- Hu, M.X.; Zhuo, K.; Liao, J.L. Multiplex PCR for the simultaneous identification and detection of Meloidogyne incognita, M. enterolobii, and M. javanica using DNA extracted directly from individual galls. Phytopathology 2011, 101, 1270–1277. [Google Scholar] [CrossRef] [Green Version]
- Jia, B.; Wang, H.; Chen, M. Species identification of root-knot nematode on solanaceous vegetable in Hainan Island. Guangdong Agric. Sci. 2012, 7, 104–106. [Google Scholar]
- Long, H.; Sun, Y.; Bai, C.; Guo, J.; Zeng, F. Identification of the root knot nematode Meloidogyne enterolobii in Hainan Province. Chin. J. Trop. Crops 2015, 36, 371–376. [Google Scholar]
- Li, Z.; Long, H.; Sun, Y.; Pei, Y.; Chen, Y.; Feng, T. Occurrence and distribution of the root-knot nematode species in vegetables in Hainan province. Plant Prot. 2020, 46, 213–216. [Google Scholar]
- Taylor, A.L.; Sasser, J.N. Histology and pathogenesis. In Biology, Identification and Control of Root-Knot Nematodes (Meloidogyne species); North Carolina State University: Raleigh, NC, USA, 1978; pp. 17–19. [Google Scholar]
- Iberkleid, I.; Vieira, P.; de Almeida Engler, J.; Firester, K.; Spiegel, Y.; Horowitz, S.B. Fatty acid-and retinol-binding protein, Mj-FAR-1 induces tomato host susceptibility to root-knot nematodes. PLoS ONE 2013, 8, e64586. [Google Scholar] [CrossRef]
- Eisenback, J.D.; Hrischmann, H.; Sasser, J.N.; Triantaphyllou, A.C. A more complete characterization of the four most common Meloidogyne species. In A Guide to the Four Most Common Species of Root-Knot Nematodes (Meloidogyne spp.), with a Pictorial Key; North Carolina State University: Raleigh, NC, USA, 1981; pp. 17–44. [Google Scholar]
- Eisenback, J.D.; Sasser, J.; Carter, C. Diagnostic characters useful in the identification of the four most common species of root-knot nematodes (Meloidogyne spp.). Adv. Treatise Meloidogyne 1985, 1, 95–112. [Google Scholar]
- Holterman, M.; van der Wurff, A.; van den Elsen, S.; van Megen, H.; Bongers, T.; Holovachov, O.; Bakker, J.; Helder, J. Phylum-wide analysis of SSU rDNA reveals deep phylogenetic relationships among nematodes and accelerated evolution toward crown clades. Mol. Biol. Evol. 2006, 23, 1792–1800. [Google Scholar] [CrossRef]
- Long, H.; Liu, H.; Xu, J.H. Development of a PCR diagnostic for the root-knot nematode Meloidogyne enterolobii. Acta Phytopathol. Sin. 2006, 36, 109–115. [Google Scholar]
- Meng, Q.P.; Long, H.; Xu, J.H. PCR assays for rapid and sensitive identification of three major root-knot nematodes, Meloidogyne incognita, M. javanica and M. arenaria. Acta Phytopathol. Sin. 2004, 34, 204–210. [Google Scholar]
- Yang, B.; Eisenback, J.D. Meloidogyne enterolobii n. sp. (Meloidogynidae), a root-knot nematode parasitizing pacara earpod tree in China. J. Nematol. 1983, 15, 381–391. [Google Scholar] [PubMed]
- Song, Z.Q.; Cheng, F.X.; Zhang, D.Y.; Liu, Y.; Chen, X.W. First report of Meloidogyne javanica infecting hemp (Cannabis sativa) in China. Plant Dis. 2017, 101, 842. [Google Scholar] [CrossRef]
- Carrillo-Fasio, J.A.; Angúlo-Castro, A.; Martínez-Gallardo, J.Á.; Ayala-Tafoya, F.; Yáñez-Juárez, M.G.; Retes-Manjarrez, J.E. Distribution and incidence of root-knot nematodes (Meloidogyne spp.) on pepper in Sinaloa, Mexico. Trop. Plant Pathol. 2021, 46, 195–200. [Google Scholar] [CrossRef]
- Kiewnick, S.; Dessimoz, M.; Franck, L. Effects of the Mi-1 and the N root-knot nematode-resistance gene on infection and reproduction of Meloidogyne enterolobii on tomato and pepper cultivars. J. Nematol. 2009, 41, 134. [Google Scholar]
- Castagnone-Sereno, P. Meloidogyne enterolobii (= M. mayaguensis): Profile of an emerging, highly pathogenic, root-knot nematode species. Nematology 2012, 14, 133–138. [Google Scholar] [CrossRef]
- Zhuo, K.; Hu, M.; Liao, J. Identification of Meloidogyne enterolobii in Guangdong Province and Hainan Province. J. Huazhong Agric. Univ. 2008, 27, 193–197. [Google Scholar]
- Long, H.B.; Bai, C.; Peng, J.; Zeng, F.Y. First report of the root-knot nematode Meloidogyne enterolobii infecting jujube in China. Plant Dis. 2014, 98, 1451. [Google Scholar] [CrossRef]
- Long, H.B.; Sun, Y.F.; Bai, C.; Peng, D.L. First report of the root-knot nematode Meloidogyne enterolobii infecting jackfruit tree in China. Plant Dis. 2015, 99, 1868. [Google Scholar] [CrossRef]
- Sun, Y.F.; Long, H.B.; Lu, F.P. First report of the root-knot nematode Meloidogyne enterolobii infecting mulberry in China. Plant Dis. 2019, 103, 2481. [Google Scholar] [CrossRef]



| Primer | Primer Sequences (5′-3′) | Species | Fragment Size (bp) |
|---|---|---|---|
| MeF | AACTTTTGTGAAAGTGCCGCTG | M. enterolobii | 293 |
| MeR | TCAGTTCAGGCAGGATCAACC | ||
| MjF | ACGCTAGAATTCGACCCTGG | M. javanica | 517 |
| MjR | GGTACCAGAAGCAGCCATGC | ||
| MiF | GTGAGGATTCAGCTCCCCAG | M. incognita | 955 |
| MiR | ACGAGGAACATACTTCTCCGTCC |
| Location (County) | Total Number of Orchards Inspected | Number of Orchards Infected | Frequency (%) | Gall Index (Average) |
|---|---|---|---|---|
| Ledong | 9 | 9 | 100.0 | 5.0 |
| Dongfang | 8 | 8 | 100.0 | 5.0 |
| Sanya | 8 | 6 | 75.0 | 4.7 |
| Changjiang | 7 | 7 | 100.0 | 4.6 |
| Danzhou | 5 | 4 | 80.0 | 4.5 |
| Qionghai | 5 | 4 | 80.0 | 4.0 |
| Lingao | 5 | 3 | 60.0 | 4.0 |
| Chengmai | 5 | 3 | 60.0 | 4.0 |
| Wenchang | 5 | 3 | 60.0 | 4.0 |
| Haikou | 5 | 2 | 40.0 | 3.5 |
| Locations (County) | Samples Analyzed | M. enterolobii | M. javanica | ||
|---|---|---|---|---|---|
| Infected | Percentage (%) | Infected | Percentage (%) | ||
| Ledong | 9 | 8 | 88.9 | 1 | 11.1 |
| Dongfang | 8 | 7 | 87.5 | 1 | 12.5 |
| Sanya | 6 | 6 | 100.0 | 0 | 0.0 |
| Changjiang | 7 | 7 | 100.0 | 0 | 0.0 |
| Danzhou | 4 | 4 | 100.0 | 0 | 0.0 |
| Qionghai | 4 | 3 | 75.0 | 1 | 25.0 |
| Lingao | 3 | 3 | 100.0 | 0 | 0.0 |
| Chengmai | 3 | 3 | 100.0 | 0 | 0.0 |
| Wenchang | 3 | 3 | 100.0 | 0 | 0.0 |
| Haikou | 2 | 2 | 100.0 | 0 | 0.0 |
| Total | 49 | 46 | 93.9 | 3 | 6.1 |
Publisher’s Note: MDPI stays neutral with regard to jurisdictional claims in published maps and institutional affiliations. |
© 2022 by the authors. Licensee MDPI, Basel, Switzerland. This article is an open access article distributed under the terms and conditions of the Creative Commons Attribution (CC BY) license (https://creativecommons.org/licenses/by/4.0/).
Share and Cite
Long, H.; Chen, Y.; Pei, Y.; Li, H.; Sun, Y.; Feng, T. Occurrence and Identification of Root-Knot Nematodes on Red Dragon Fruit (Hylocereus polyrhizus) in Hainan, China. Agronomy 2022, 12, 1064. https://doi.org/10.3390/agronomy12051064
Long H, Chen Y, Pei Y, Li H, Sun Y, Feng T. Occurrence and Identification of Root-Knot Nematodes on Red Dragon Fruit (Hylocereus polyrhizus) in Hainan, China. Agronomy. 2022; 12(5):1064. https://doi.org/10.3390/agronomy12051064
Chicago/Turabian StyleLong, Haibo, Yuan Chen, Yueling Pei, Huadong Li, Yanfang Sun, and Tuizi Feng. 2022. "Occurrence and Identification of Root-Knot Nematodes on Red Dragon Fruit (Hylocereus polyrhizus) in Hainan, China" Agronomy 12, no. 5: 1064. https://doi.org/10.3390/agronomy12051064
APA StyleLong, H., Chen, Y., Pei, Y., Li, H., Sun, Y., & Feng, T. (2022). Occurrence and Identification of Root-Knot Nematodes on Red Dragon Fruit (Hylocereus polyrhizus) in Hainan, China. Agronomy, 12(5), 1064. https://doi.org/10.3390/agronomy12051064

