One-Pot Synthesis of β-Alanine from Maleic Acid via Three-Enzyme Cascade Biotransformation
Abstract
1. Introduction
2. Results
2.1. Design the Cascade Biotransformation by Whole Cell Biocatalysts
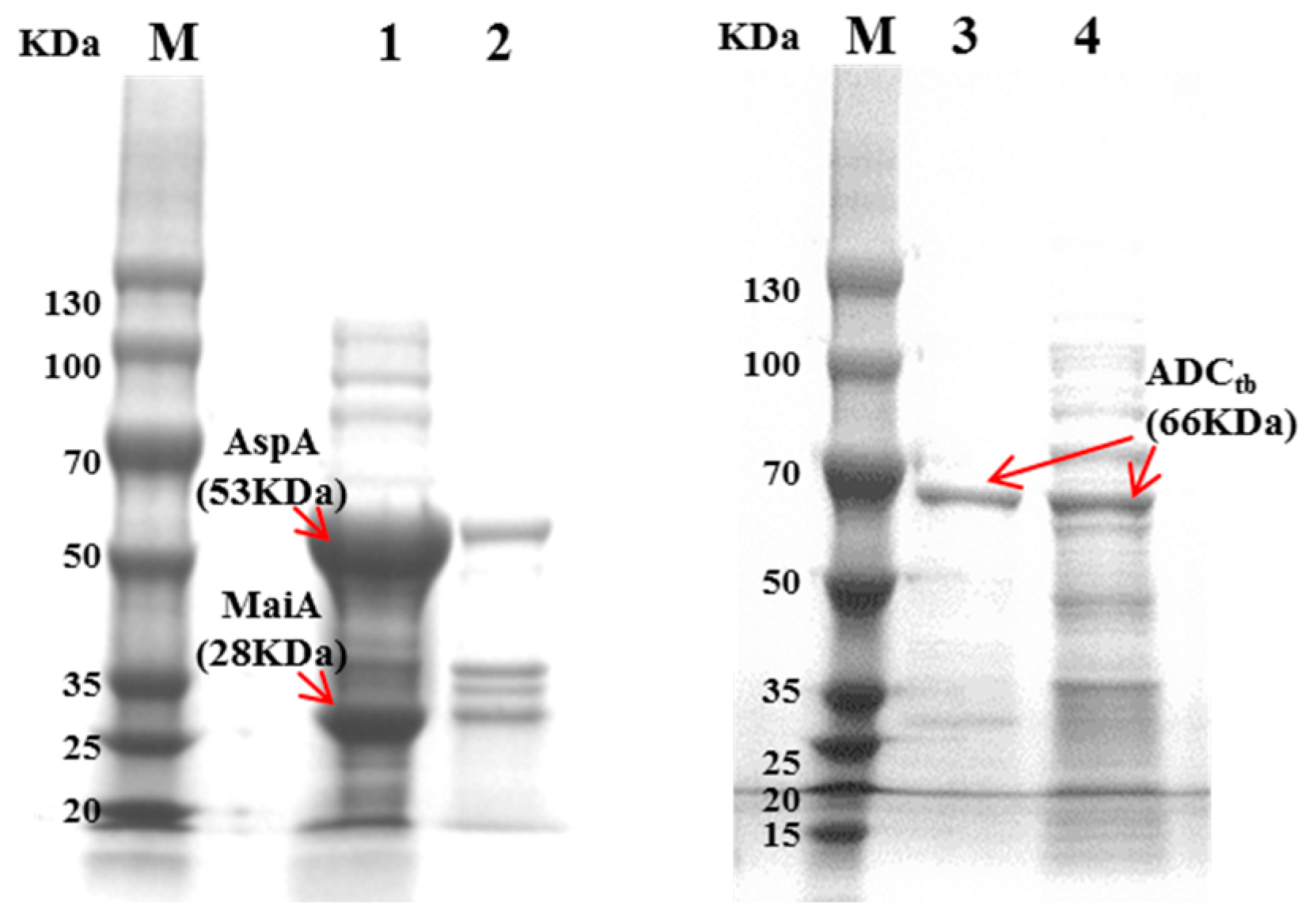
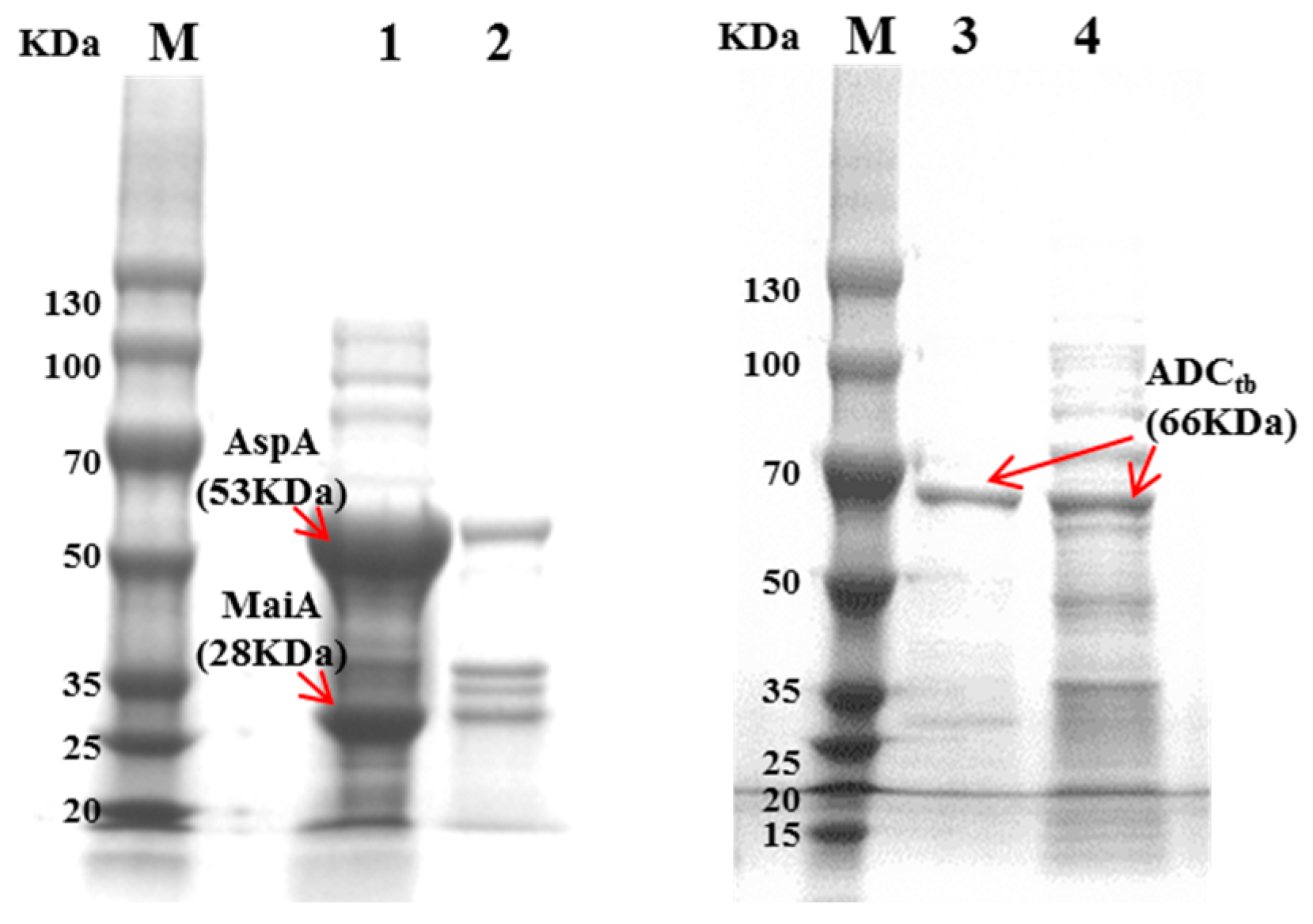
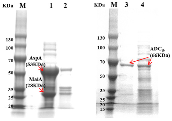
2.2. Construction of Engineered Strains
2.3. Optimizing the Bioconversion of Maleic Acid to L-Aspartic Acid by Whole Cells of E. coli (MaiA–AspA)
2.4. Optimizing the Bioconversion of L-Aspartic Acid to β-Alanine by Whole Cells of E. coli (ADCtb)
2.5. Optimization of the One-Pot Three-Enzyme Cascade Reaction
3. Discussion
4. Materials and Methods
4.1. Strains, Primers, and Chemicals
4.2. Cell Culture, Expression, and Enzyme Activity Assay of MaiA, AspB, and ADCtb
4.2.1. Cell Culture and Expression of MaiA and AspB
4.2.2. Cell Culture and Expression of ADCtb
4.2.3. Enzyme Activity Assay of MaiA, AspB, and ADCtb
4.3. Determination of Maleic Acid, Fumaric Acid, L-Aspartic Acid, and β-Alanine
4.4. Optimization of the Dual-Enzyme Catalyzed Reaction
4.4.1. Optimization of Reaction pH
4.4.2. Optimization of Substrate Concentration
4.4.3. Optimization of Catalyst Concentration
4.5. Optimization of ADCtb Catalyzed Reaction
4.5.1. Permeabilization of ADCtb Cells
4.5.2. Optimization of Reaction pH
4.5.3. Optimization of Catalyst Concentration
4.5.4. Optimization of PLP Concentration
4.5.5. Optimization of Substrate Concentration
4.6. Optimization of the One-Pot Three-Enzyme Cascade Reaction
4.6.1. Selection of Two Resting Cells Addition Mode
4.6.2. Optimization of the Three-Enzyme Cascade Reaction
5. Conclusions
Author Contributions
Funding
Data Availability Statement
Conflicts of Interest
References
- Luo, J.X.; Xue, J.P.; Shen, Y.C. Synthesis and application of β-Alanine. Amino Acids Biotic Resour. 2005, 27, 52–55. (In Chinese) [Google Scholar]
- Buc, S.R.; Ford, J.H.; Wise, E.C. An improved synthesis of β-Alanine. J. Am. Chem. Soc. 1945, 67, 92–94. [Google Scholar] [CrossRef]
- Ren, Y.; Wang, Y.Q.; Shu, H.; Guo, C. New synthetic process of β-Aminopropanoic Acid. Liaoning Chem. Ind. 2006, 35, 187–188. (In Chinese) [Google Scholar]
- Ford, J.H. The alkaline hydrolysis of β-aminopropionitrile. J. Am. Chem. Soc. 1945, 67, 876–877. [Google Scholar] [CrossRef]
- Lou, J. Study on the production of β-alanine by biotransformation. Ph.D. Thesis, Zhejiang University of Technology, Hang Zhou, China, 2006. (In Chinese). [Google Scholar]
- Liang, L.Y.; Zheng, Y.G.; Shen, Y.C. Optimization of β-alanine production from β-aminopropionitrile by resting cells of Rhodococcus sp. G20 in a bubble column reactor using response surface methodology. Process Biochem. 2008, 43, 758–764. [Google Scholar] [CrossRef]
- Nozaki, S.; Webb, M.E.; Niki, H. An activator for pyruvoyl-dependent L-aspartate -α-decarboxylase is conserved in a small group of the γ-proteobacteria including Escherichia coli. MicrobiologyOpen 2012, 1, 298–310. [Google Scholar] [CrossRef]
- Shen, Y.; Zhao, L.Z.; Li, Y.R.; Zhang, L.; Shi, G.Y. Synthesis of β-alanine from L-aspartate using L-aspartate-α-decarboxylase from Corynebacterium glutamicum. Biotechnol. Lett. 2014, 36, 1681–1686. [Google Scholar] [CrossRef]
- Pei, W.L.; Zhang, J.L.; Deng, S.Y.; Tigu, F.; Li, Y.X.; Li, Q.; Cai, Z.; Li, Y. Molecular engineering of L-aspartate-α-decarboxylase for improved activity and catalytic stability. Appl. Microbiol. Biot. 2017, 101, 1–7. [Google Scholar] [CrossRef]
- Mo, Q.; Li, Y.R.; Wang, J.H.; Shi, G.Y. Identifcation of mutations restricting autocatalytic activation of bacterial L-aspartate-α-decarboxylase. Amino Acids 2018, 50, 1433–1440. [Google Scholar] [CrossRef]
- Zhao, L.Z.; Zhang, L.; Shi, G.Y. Expression of Corynebacterium glutamate L-aspartate-α-decarboxylase in Escherichia coli and enzyme transformation to produce β-alanine. Microbiol. China 2013, 40, 2161–2170. (In Chinese) [Google Scholar]
- Yao, P.Y.; Cui, Y.F.; Yu, S.S.; Du, Y.C.; Feng, J.H.; Wu, Q.Q.; Zhu, D.M. Efficient biosynthesis of (R)- or (S)-2-hydroxybutyrate from L-threonine through a synthetic biology approach. Adv. Synth. Catal. 2016, 358, 2923–2928. [Google Scholar] [CrossRef]
- Zhang, J.D.; Wu, S.; Wu, J.C.; Li, Z. Enantioselective cascade biocatalysis via epoxide hydrolysis and alcohol oxidation: One-pot synthesis of (R)-α-hydroxy ketones from meso- or racemic epoxides. ACS Catal. 2015, 5, 51–58. [Google Scholar] [CrossRef]
- Wu, S.; Liu, J.; Li, Z. Biocatalytic formal anti-markovnikov hydroamination and hydration of aryl alkenes. ACS Catal. 2017, 7, 5225–5233. [Google Scholar] [CrossRef]
- Busto, E.; Gerstmann, M.; Tobola, F.; Dittmann, E.; Wiltschi, B.; Kroutil, W. Systems biocatalysis: Para-alkenylation of unprotected phenols. Catal. Sci. Technol. 2016, 6, 8098–8103. [Google Scholar] [CrossRef]
- Hernandez, K.; Bujons, J.; Joglar, J.; Charnock, S.J.; Pablo, D.D.M.; Fessner, W.D.; Clapés, P. Combining aldolases and transaminases for the synthesis of 2-Amino-4-hydroxybutanoic Acid. ACS Catal. 2017, 7, 1707–1711. [Google Scholar] [CrossRef]
- Zhou, Y.; Sekar, B.S.; Wu, S.; Li, Z. Benzoic acid production via cascade biotransformation and coupled fermentation-biotransformation. Biotechnol. Bioeng. 2020, 117, 2340–2350. [Google Scholar] [CrossRef]
- Busto, E.; Richter, N.; Grischek, B.; Wolfgang, K. Biocontrolled formal inversion or retention of L-α-amino acids to enantiopure (R)- or (S)-hydroxyacids. Chem. Eur. J. 2014, 20, 11225–11228. [Google Scholar] [CrossRef]
- Zhang, J.D.; Zhao, J.W.; Gao, L.L.; Zhao, J.; Chang, H.H.; Wei, W.L. One-pot three-step consecutive transformation of L-α-amino acids to (R)- and (S)-vicinal 1,2-diols via combined chemical and biocatalytic process. ChemCatChem 2019, 11, 5032–5037. [Google Scholar] [CrossRef]
- Gourinchas, G.; Busto, E.; Killinger, M. A synthetic biology approach for the transformation of L-α-amino acids to the corresponding enantiopure (R)- or (S)-α-hydroxy acids. Chem. Commun. 2015, 51, 2828–2831. [Google Scholar] [CrossRef]
- Busto, E.; Simon, R.C.; Richter, N.; Kroutil, W. One-pot, two-module three-step cascade to transform phenol derivatives to enantiomerically pure (R)- or (S)-p-hydroxyphenyl lactic acids. ACS Catal. 2016, 6, 2393–2397. [Google Scholar] [CrossRef]
- Zhou, H.; Meng, L.; Yin, X.; Liu, Y.; Yang, L. Biocatalytic asymmetric synthesis of L-phosphinothricin using a one-pot three enzyme system and a continuous substrate fed-batch strategy. Appl. Catal. A Gen. 2019, 589, 117239. [Google Scholar] [CrossRef]
- Lukito, B.R.; Wu, S.; Saw, H.; Li, Z. One-pot production of natural 2-phenylethanol from L-phenylalanine via cascade biotransformations. ChemCatChem 2019, 11, 831–840. [Google Scholar] [CrossRef]
- Sun, Z.B.; Zhang, Z.J.; Li, F.L.; Nie, Y.; Yu, H.L.; Xu, J.H. One pot asymmetric synthesis of (R)-phenylglycinol from racemic styrene oxide via cascade biocatalysis. ChemCatChem 2019, 11, 3802–3807. [Google Scholar] [CrossRef]
- Yu, L.; Chen, Y.; Zhou, L.; Zhou, Z.M. Whole-cell biocatalysis of maleic acid into L-aspartic acid by dual-enzyme coupling. Food Ferment. Ind. 2018, 44, 20–26. (In Chinese) [Google Scholar]
- Gao, Y.; Liu, Z.M.; Liu, K.; Zhou, Z.M.; Cui, W.J. Biocatalytic access to β-alanine by a two-enzyme cascade synthesis. Chin. J. Biotech. 2017, 33, 875–879. (In Chinese) [Google Scholar]
- Wang, C.; Ye, W.Q.; Xue, L.; Liu, Z.M.; Zhou, Z.M. Molecular modification of aspartate α-decarboxylase from Tribolium castaneum and its application in the production of β-alanine. Food Ferment. Ind. 2019, 45, 7–13. (In Chinese) [Google Scholar]
- Liu, P.Y.; Ding, H.Z.; Bruce, M.C.; Li, J.Y. Cysteine sulfinic acid decarboxylase activity of Aedes aegypti aspartate 1-decarboxylase: The structural basis of its substrate selectivity. Insect Biochem. Mol. Biol. 2012, 42, 396–403. [Google Scholar] [CrossRef]




| Entry | Maleic Acid (mM) | Cell Amount (g/L) | pH | Conv. (%) |
|---|---|---|---|---|
| 1 | 300 | 3 | 8.5 | 93.3 |
| 2 | 400 | 3 | 8.5 | 85.4 |
| 3 | 600 | 3 | 8.5 | 75.2 |
| 4 | 800 | 3 | 8.5 | 73.5 |
| 5 | 1000 | 3 | 8.5 | 57.0 |
| 6 | 400 | 1.5 | 8.5 | 77.5 |
| 7 | 400 | 4.5 | 8.5 | 95.1 |
| 8 | 400 | 6 | 8.5 | 97.5 |
| 9 | 400 | 10 | 8.5 | 99.4 |
| 10 | 400 | 3 | 5.5 | 75.2 |
| 11 | 400 | 3 | 6.5 | 88.0 |
| 12 | 400 | 3 | 7.5 | 90.6 |
| 13 | 400 | 3 | 9.5 | 82.7 |
| Entry | Substrate (mM) | E. coli (g/L) | pH | PLP (mM) | Time (h) | Conv. (%) |
|---|---|---|---|---|---|---|
| 1 | 400 | 30 | 6.5 | 4 | 6 | 100.0 |
| 2 | 400 | 30 | 7.0 | 4 | 6 | 72.2 |
| 3 | 400 | 30 | 7.5 | 4 | 6 | 58.8 |
| 4 | 400 | 30 | 8.0 | 4 | 6 | 45.3 |
| 5 | 400 | 30 | 8.5 | 4 | 6 | 36.5 |
| 6 | 200 | 20 | 6.5 | 1 | 1 | 65.2 |
| 7 | 200 | 30 | 6.5 | 1 | 1 | 80.2 |
| 8 | 200 | 40 | 6.5 | 1 | 1 | 94.2 |
| 9 | 200 | 50 | 6.5 | 1 | 1 | 98.8 |
| 10 | 200 | 20 | 6.5 | 0.5 | 6 | 89.2 |
| 11 | 200 | 20 | 6.5 | 1 | 6 | 91.2 |
| 12 | 200 | 20 | 6.5 | 2 | 6 | 89.4 |
| 13 | 200 | 20 | 6.5 | 4 | 6 | 93.1 |
| 14 | 200 | 20 | 6.5 | 6 | 6 | 90.0 |
| 15 | 500 | 30 | 6.5 | 4 | 24 (6) | 100 (89.7) |
| 16 | 600 | 30 | 6.5 | 4 | 24 | 100 |
| 17 | 700 | 30 | 6.5 | 4 | 24 | 97.1 |
| 18 | 800 | 30 | 6.5 | 4 | 24 | 91.2 |
| Entry | Sub. Conc. /mM | MaiA–AspA (g/L) | ADCtb (g/L) | Vol. (mL) | Time (h) | Yield of 3-AP (%) | Space–Time Yield (g/L/d) | Ways to Add Enzymes | Initial pH |
|---|---|---|---|---|---|---|---|---|---|
| 1 | 400 | 6 | 30 | 5 | 6 | 94.0 | 134.0 | One step | 6.5 |
| 2 | 400 | 6 | 30 | 30 | 6 | 95.6 | 136.3 | One step | 6.5 |
| 3 | 400 | 6 | 30 | 30 | 9 | 93.9 | 89.2 | Two step | 6.5 |
| 4 | 400 | 6 | 30 | 30 | 9 | 94.0 | 89.3 | Two step | 8.5 |
| 5 | 600 | 7 | 35 | 30 | 6 | 94.7 | 202.5 | One step | 6.5 |
| 6 | 800 | 10 | 40 | 30 | 9 | 93.9 | 178.4 | One step | 6.5 |
| Gene | Primer | Restriction Site | Sequence(5′→3′) |
|---|---|---|---|
| MaiA | F1 | BamH I | CGGGATCCGATGAGTAATCATTATCGTATTGGTCAGA |
| R1 | Hind Ⅲ | CCCAAGCTTTTAATATGCGCCAGAGAGAAGGG | |
| AspA | F2 | Ned I | GGAATTCCATATGATGTCAAACAACATTCGTATCGAAG |
| R2 | Sac I | CGAGCTCTTACTGTTCGCTTTCATCAGTATAG | |
| R2’ | Xho I | CCGCTCGAGTTACTGTTCGCTTTCATCAGTATAGCG | |
| ADCtb | F3 | - | CCGGATATTAAAAAAAGAGGCTTACATAGTCTG |
| R3 | - | CAGACTATGTAAGCCTCTTTTTTTAATATCCGG |
| Compound | L-Aspartic Acid & β-Alanine | Maleic Acid & Fumaric Acid |
|---|---|---|
| Column | C18 column (Diamonsil plus, 4.6 mm × 250 mm × 5 µm) | |
| Phase | Phase A: 80% ACN-H2O solution Phase B: 97:3 (0.1 M Sodium acetate: ACN solution; adjust pH to 6.5 by acetic acid) | 25 mM KH2PO4 solution (pH = 2.5) |
| Methods | 0–15 min: 95%–65% phase B 15–20 min: 65%–95% phase B 20–30 min: 95% phase B | 10 min |
| Flow rate | 1 mL/min | 1 mL/min |
| Wavelength | 254 nm | 210 nm |
Disclaimer/Publisher’s Note: The statements, opinions and data contained in all publications are solely those of the individual author(s) and contributor(s) and not of MDPI and/or the editor(s). MDPI and/or the editor(s) disclaim responsibility for any injury to people or property resulting from any ideas, methods, instructions or products referred to in the content. |
© 2023 by the authors. Licensee MDPI, Basel, Switzerland. This article is an open access article distributed under the terms and conditions of the Creative Commons Attribution (CC BY) license (https://creativecommons.org/licenses/by/4.0/).
Share and Cite
Wu, J.; Ma, B.-D.; Xu, Y. One-Pot Synthesis of β-Alanine from Maleic Acid via Three-Enzyme Cascade Biotransformation. Catalysts 2023, 13, 267. https://doi.org/10.3390/catal13020267
Wu J, Ma B-D, Xu Y. One-Pot Synthesis of β-Alanine from Maleic Acid via Three-Enzyme Cascade Biotransformation. Catalysts. 2023; 13(2):267. https://doi.org/10.3390/catal13020267
Chicago/Turabian StyleWu, Jia, Bao-Di Ma, and Yi Xu. 2023. "One-Pot Synthesis of β-Alanine from Maleic Acid via Three-Enzyme Cascade Biotransformation" Catalysts 13, no. 2: 267. https://doi.org/10.3390/catal13020267
APA StyleWu, J., Ma, B.-D., & Xu, Y. (2023). One-Pot Synthesis of β-Alanine from Maleic Acid via Three-Enzyme Cascade Biotransformation. Catalysts, 13(2), 267. https://doi.org/10.3390/catal13020267

