Cutaneous Nevoid Melanoma: A Retrospective Study on Clinico-Pathological Characteristics, with a Focus on Dermoscopic Features and Survival Analysis
Simple Summary
Abstract
1. Introduction
2. Materials and Methods
2.1. Patients
2.2. Data Collection
2.3. Statistical Analysis
3. Results
3.1. Clinical and Histologic Characteristics
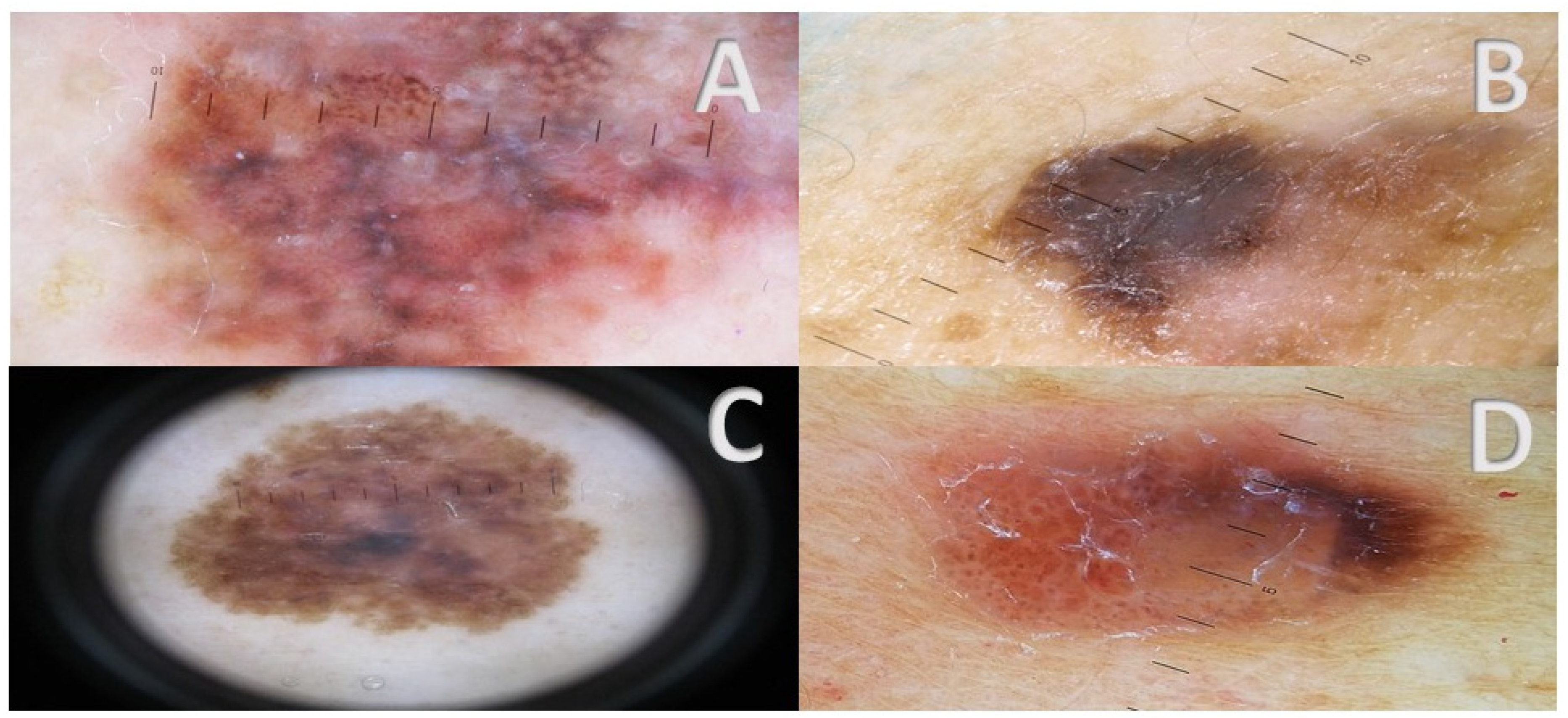
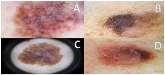
3.2. Clinical and Dermoscopic Characteristics
3.3. Follow Up
3.4. Survival Analysis
4. Discussion
5. Conclusions
Supplementary Materials
Author Contributions
Funding
Institutional Review Board Statement
Informed Consent Statement
Data Availability Statement
Acknowledgments
Conflicts of Interest
References
- Cook, M.G.; Massi, D.; Blokx, W.A.M.; Oord, J.V.D.; Koljenović, S.; De Giorgi, V.; Kissin, E.; Grant, M.; Mandal, A.; Gremel, G.; et al. New insights into naevoid melanomas: A clinicopathological reassessment. Histopathology 2017, 71, 943–950. [Google Scholar] [CrossRef] [PubMed]
- McNutt, N.S.; Urmacher, C.; Hakimian, J.; Hoss, D.M.; Lugo, J. Nevoid malignant melanoma: Morphologic patterns and immunohistochemical reactivity. J. Cutan. Pathol. 1995, 22, 502–517. [Google Scholar] [CrossRef]
- Zembowicz, A.; McCusker, M.; Chiarelli, C.; Tos, A.P.D.; Granter, S.R.; Calonje, E.; McKee, P.H. Morphological analysis of nevoid melanoma: A study of 20 cases with a review of the literature. Am. J. Dermatopathol. 2001, 23, 167–175. [Google Scholar] [CrossRef] [PubMed]
- Levene, A. On the histological diagnosis and prognosis of malignant melanoma. J. Clin. Pathol. 1980, 33, 101–124. [Google Scholar] [CrossRef]
- Schmoeckel, C.; Castro, C.E.; Braun-Falco, O. Nevoid malignant melanoma. Arch. Dermatol. Res. 1985, 277, 362–369. [Google Scholar] [CrossRef] [PubMed]
- Diwan, A.H.; Lazar, A.J. Nevoid Melanoma. Clin. Lab. Med. 2011, 31, 243–253. [Google Scholar] [CrossRef]
- Longo, C.; Piana, S.; Marghoob, A.; Cavicchini, S.; Rubegni, P.; Cota, C.; Ferrara, G.; Cesinaro, A.; Baade, A.; Bencini, P.; et al. Morphological features of naevoid melanoma: Results of a multicentre study of the International Dermoscopy Society. Br. J. Dermatol. 2015, 172, 961–967. [Google Scholar] [CrossRef] [PubMed]
- Pampena, R.; Lai, M.; Lombardi, M.; Mirra, M.; Raucci, M.; Lallas, A.; Apalla, Z.; Argenziano, G.; Pellacani, G.; Longo, C. Clinical and Dermoscopic Features Associated With Difficult-to-Recognize Variants of Cutaneous Melanoma: A Systematic Review. JAMA Dermatol. 2020, 156, 430–439. [Google Scholar] [CrossRef]
- Theodosiou, G.; Johansson, I.; Hamnerius, N.; Svensson, Å. Naevoid Malignant Melanoma: A Diagnosis of a Naevus That You Later Regret. Acta Derm. Venereol. 2017, 97, 745–746. [Google Scholar] [CrossRef]
- Yélamos, O.; Busam, K.J.; Lee, C.; Sholl, L.M.; Amin, S.M.; Merkel, E.A.; Obregon, R.; Guitart, J.; Gerami, P. Morphologic clues and utility of fluorescence in situ hybridization for the diagnosis of nevoid melanoma. J. Cutan. Pathol. 2015, 42, 796–806. [Google Scholar] [CrossRef]
- Papageorgiou, V.; Apalla, Z.; Sotiriou, E.; Papageorgiou, C.; Lazaridou, E.; Vakirlis, S.; Ioannides, D.; Lallas, A.; Papageorgiou, V.; Apalla, Z.; et al. The limitations of dermoscopy: False-positive and false-negative tumours. J. Eur. Acad. Dermatol. Venereol. 2018, 32, 879–888. [Google Scholar] [CrossRef] [PubMed]
- Cassarino, D.S.; Fullen, D.R.; Sondak, V.K.; Duray, P.H. Metastatic nevoid melanoma in a 41/2-year-old child. J. Cutan. Pathol. 2003, 30, 647–651. [Google Scholar] [CrossRef] [PubMed]
- Gerami, P.; Wass, A.; Mafee, M.; Fang, Y.; Pulitzer, M.P.; Busam, K.J. Fluorescence in Situ Hybridization for Distinguishing Nevoid Melanomas From Mitotically Active Nevi. Am. J. Surg. Pathol. 2009, 33, 1783. [Google Scholar] [CrossRef] [PubMed]
- Massi, G.; LeBoit, P.E. Histological Diagnosis of Nevi and Melanoma, 2nd ed.; Springer Nature: Berlin/Heidelberg, Germany, 2013. [Google Scholar]
- Wong, T. Nevoid melanoma: A clinicopathological study of seven cases of malignant melanoma mimicking spindle and epithelioid cell nevus and verrucous dermal nevus. Hum. Pathol. 1995, 26, 171–179. [Google Scholar] [CrossRef] [PubMed]
- Gershenwald, J.E.; Scolyer, R.A.; Hess, K.R.; Sondak, V.K.; Long, G.V.; Ross, M.I.; Lazar, A.J.; Faries, M.B.; Kirkwood, J.M.; McArthur, G.A.; et al. Melanoma staging: Evidence-based changes in the American Joint Committee on Cancer eighth edition cancer staging manual. CA Cancer J. Clin. 2017, 67, 472–492. [Google Scholar] [CrossRef]
- Martín-Alcalde, J.; Gamo-Villegas, R.; Floristán-Muruzábal, M.U.; Pampín-Franco, A.; Pinedo-Moraleda, F.; López-Estebaranz, J.L. Nevoid melanoma: Dermoscopic and in vivo reflectance confocal microscopic aspects in 4 cases. JAAD Case Rep. 2021, 11, 132–136. [Google Scholar] [CrossRef] [PubMed]
- Blessing, K.; Evans, A.T.; Al-Nafussi, A. Verrucous naevoid and keratotic malignant melanoma: A clinico-pathological study of 20 cases. Histopathology 1993, 23, 453458. [Google Scholar] [CrossRef] [PubMed]
- Suster, S.; Ronnen, M.; Bubis, J.J. Verrucous pseudonevoid melanoma. J. Surg. Oncol. 1987, 36, 134–137. [Google Scholar] [CrossRef]
- Jain, M.; Marghoob, A.A. Integrating clinical, dermoscopy, and reflectance confocal microscopy findings into correctly identifying a nevoid melanoma. JAAD Case Rep. 2017, 3, 505–508. [Google Scholar] [CrossRef] [PubMed]
- Knöpfel, N.; Martín-Santiago, A.; Del Pozo, L.J.; Saus, C.; Pascual, M.; Requena, L. Amelanotic naevoid melanoma in a 16-month-old albino infant. Clin. Exp. Dermatol. 2017, 42, 84–88. [Google Scholar] [CrossRef]
- Bellinato, F.; Rosina, P.; Zarattini, M.; Gisondi, P.; Girolomoni, G. Dermoscopic features of nevoid melanoma: A retrospective study. Ital. J. Dermatol. Venereol. 2022, 157, 441–447. [Google Scholar] [CrossRef] [PubMed]
- Marchiori Bakos, R. Dermoscopy of naevoid melanoma. Br. J. Dermatol. 2015, 172, 848–849. [Google Scholar] [CrossRef] [PubMed]
- Idriss, M.H.; Rizwan, L.; Sferuzza, A.; Wasserman, E.; Kazlouskaya, V.; Elston, D.M. Nevoid melanoma: A study of 43 cases with emphasis on growth pattern. J. Am. Acad. Dermatol. 2015, 73, 836–842. [Google Scholar] [CrossRef] [PubMed]
- Schwartz, M.R.; Luo, L.; Berwick, M. Sex Differences in Melanoma. Curr. Epidemiol. Rep. 2019, 6, 112–118. [Google Scholar] [CrossRef] [PubMed]
- Rosendahl, C.; Cameron, A.; Bulinska, A.; Williamson, R.; Kittler, H. Dermatoscopy of a minute melanoma. Australas. J. Dermatol. 2011, 52, 76–78. [Google Scholar] [CrossRef] [PubMed]









| Female (N = 52) | Male (N = 58) | Total (N = 110) | p Value | |
|---|---|---|---|---|
| Age | 0.027 1 | |||
| Mean (SD) | 49.992 (15.290) | 55.789 (17.075) | 53.049 (16.441) | |
| Range | 25.153–86.146 | 15.190–88.307 | 15.190–88.307 | |
| Anatomic location | 0.571 2 | |||
| head and neck | 5 (10.4%) | 8 (14.3%) | 13 (12.5%) | |
| lower limb | 14 (29.2%) | 10 (17.9%) | 24 (23.1%) | |
| trunk | 22 (45.8%) | 28 (50.0%) | 50 (48.1%) | |
| upper limb | 7 (14.6%) | 10 (17.9%) | 17 (16.3%) | |
| Breslow thickness | 0.825 1 | |||
| N-Miss | 0 | 1 | 1 | |
| Mean (SD) | 1.244 (1.024) | 1.543 (1.570) | 1.400 (1.340) | |
| Range | 0.200–6.240 | 0.200–9.000 | 0.200–9.000 | |
| Lymphovascular invasion | 0.031 2 | |||
| absent | 47 (92.2%) | 57 (100.0%) | 104 (96.3%) | |
| present | 4 (7.8%) | 0 (0.0%) | 4 (3.7%) | |
| Regression | 0.697 2 | |||
| absent | 46 (88.5%) | 49 (86.0%) | 95 (87.2%) | |
| present | 6 (11.5%) | 8 (14.0%) | 14 (12.8%) | |
| Clark level | 0.997 2 | |||
| II | 2 (4.3%) | 2 (3.7%) | 4 (4.0%) | |
| III | 15 (31.9%) | 18 (33.3%) | 33 (32.7%) | |
| IV | 29 (61.7%) | 33 (61.1%) | 62 (61.4%) | |
| V | 1 (2.1%) | 1 (1.9%) | 2 (2.0%) | |
| TIL | 0.202 2 | |||
| absent | 14 (31.8%) | 10 (18.5%) | 24 (24.5%) | |
| present, brisk | 2 (4.5%) | 6 (11.1%) | 8 (8.2%) | |
| present, non-brisk | 28 (63.6%) | 38 (70.4%) | 66 (67.3%) | |
| Ulceration | 0.654 2 | |||
| absent | 46 (88.5%) | 51 (91.1%) | 97 (89.8%) | |
| present | 6 (11.5%) | 5 (8.9%) | 11 (10.2%) | |
| Mitoses per mm2 | 0.368 1 | |||
| N-Miss | 3 | 1 | 4 | |
| Mean (SD) | 2.776 (3.630) | 1.982 (2.232) | 2.349 (2.973) | |
| Range | 0.000–16.000 | 0.000–10.000 | 0.000–16.000 | |
| Microsatellites | 0.258 2 | |||
| absent | 49 (94.2%) | 57 (98.3%) | 106 (96.4%) | |
| present | 3 (5.8%) | 1 (1.7%) | 4 (3.6%) | |
| pTNM stage 8th ed. | 0.901 2 | |||
| I | 30 (63.8%) | 36 (67.9%) | 66 (66.0%) | |
| II | 7 (14.9%) | 7 (13.2%) | 14 (14.0%) | |
| III | 9 (19.1%) | 8 (15.1%) | 17 (17.0%) | |
| IV | 1 (2.1%) | 2 (3.8%) | 3 (3.0%) | |
| SLNB_Status | 0.228 2 | |||
| not conducted | 25 (54.3%) | 24 (44.4%) | 49 (49.0%) | |
| conducted, negative | 13 (28.3%) | 24 (44.4%) | 37 (37.0%) | |
| conducted, positive | 8 (17.4%) | 6 (11.1%) | 14 (14.0%) |
| Non-Palpable Lesion | Palpable Lesion | ||||
|---|---|---|---|---|---|
| Macule 37.5% (N = 9) | Nodule 8.3% (N = 2) | Papule 45.8%(N = 11) | Plaque 8.3% (N = 2) | Total (N = 24) | |
| atypical pigmented reticulum | 7 (46.7%) | 1 (6.7%) | 5 (33.3%) | 2 (13.3%) | 15 |
| irregular globules and dots | 2 (16.7%) | 1 (8.3%) | 7 (58.3%) | 2 (16.7%) | 12 |
| asymmetric periferic strae | 0 (0.0%) | 0 (0.0%) | 2 (100.0%) | 0 (0.0%) | 2 |
| blue-white veil | 2 (50.0%) | 1 (25.0%) | 1 (25.0%) | 0 (0.0%) | 4 |
| areas of regression | 1 (50.0%) | 1 (50.0%) | 0 (0.0%) | 0 (0.0%) | 2 |
| atypical vascular pattern | 0 (0.0%) | 0 (0.0%) | 2 (66.7%) | 1 (33.3%) | 3 |
| multiple milia-like cysts | 1 (20.0%) | 1 (20.0%) | 2 (40.0%) | 1 (20.0%) | 5 |
| multicomponent pattern | 1 (20.0%) | 0 (0.0%) | 0 (0.0%) | 0 (0.0%) | 1 |
| hyperpigmented blotches | 4 (57.1%) | 1 (14.3%) | 1 (14.3%) | 1 (14.3%) | 7 |
| structureless | 1 (100.0%) | 0 (0.0%) | 0 (0.0%) | 0 (0.0%) | 1 |
| brown color | |||||
| - medium brown | 7 (50.0%) | 2 (14.3%) | 4 (28.6%) | 1 (7.1%) | 14 |
| - light brown | 2 (25.0%) | 0 (0.0%) | 5 (62.5%) | 1 (12.5%) | 8 |
| - dark brown | 0 (0.0%) | 0 (0.0%) | 2 (100.0%) | 0 (0.0%) | 2 |
| pink color | 4 (36.4%) | 1 (9.1%) | 4 (36.4%) | 2 (18.2%) | 11 |
| red color | 2 (22.2%) | 1 (11.1%) | 4 (44.4%) | 2 (22.2%) | 9 |
| color-blue | 2 (66.7%) | 1 (33.3%) | 0 (0.0%) | 0 (0.0%) | 3 |
| white color | 0 (0.0%) | 1 (50.0%) | 0 (0.0%) | 1 (50.0%) | 2 |
| black color | 2 (100.0%) | 0 (0.0%) | 0 (0.0%) | 0 (0.0%) | 2 |
Disclaimer/Publisher’s Note: The statements, opinions and data contained in all publications are solely those of the individual author(s) and contributor(s) and not of MDPI and/or the editor(s). MDPI and/or the editor(s) disclaim responsibility for any injury to people or property resulting from any ideas, methods, instructions or products referred to in the content. |
© 2024 by the authors. Licensee MDPI, Basel, Switzerland. This article is an open access article distributed under the terms and conditions of the Creative Commons Attribution (CC BY) license (https://creativecommons.org/licenses/by/4.0/).
Share and Cite
Russo, I.; Sartor, E.; Cappellesso, R.; Salmaso, R.; Del Fiore, P.; Sartor, G.; Vecchiato, A.; Alaibac, M.; Mocellin, S. Cutaneous Nevoid Melanoma: A Retrospective Study on Clinico-Pathological Characteristics, with a Focus on Dermoscopic Features and Survival Analysis. Cancers 2025, 17, 65. https://doi.org/10.3390/cancers17010065
Russo I, Sartor E, Cappellesso R, Salmaso R, Del Fiore P, Sartor G, Vecchiato A, Alaibac M, Mocellin S. Cutaneous Nevoid Melanoma: A Retrospective Study on Clinico-Pathological Characteristics, with a Focus on Dermoscopic Features and Survival Analysis. Cancers. 2025; 17(1):65. https://doi.org/10.3390/cancers17010065
Chicago/Turabian StyleRusso, Irene, Emma Sartor, Rocco Cappellesso, Roberto Salmaso, Paolo Del Fiore, Gino Sartor, Antonella Vecchiato, Mauro Alaibac, and Simone Mocellin. 2025. "Cutaneous Nevoid Melanoma: A Retrospective Study on Clinico-Pathological Characteristics, with a Focus on Dermoscopic Features and Survival Analysis" Cancers 17, no. 1: 65. https://doi.org/10.3390/cancers17010065
APA StyleRusso, I., Sartor, E., Cappellesso, R., Salmaso, R., Del Fiore, P., Sartor, G., Vecchiato, A., Alaibac, M., & Mocellin, S. (2025). Cutaneous Nevoid Melanoma: A Retrospective Study on Clinico-Pathological Characteristics, with a Focus on Dermoscopic Features and Survival Analysis. Cancers, 17(1), 65. https://doi.org/10.3390/cancers17010065

