Pre-Surgical Endoscopic Biopsies Are Representative of Esophageal and Esophago-Gastric Junction Adenocarcinoma Histologic Classes and Survival Risk
Simple Summary
Abstract
1. Introduction
2. Materials and Methods
2.1. Cohort Composition and Data Collection
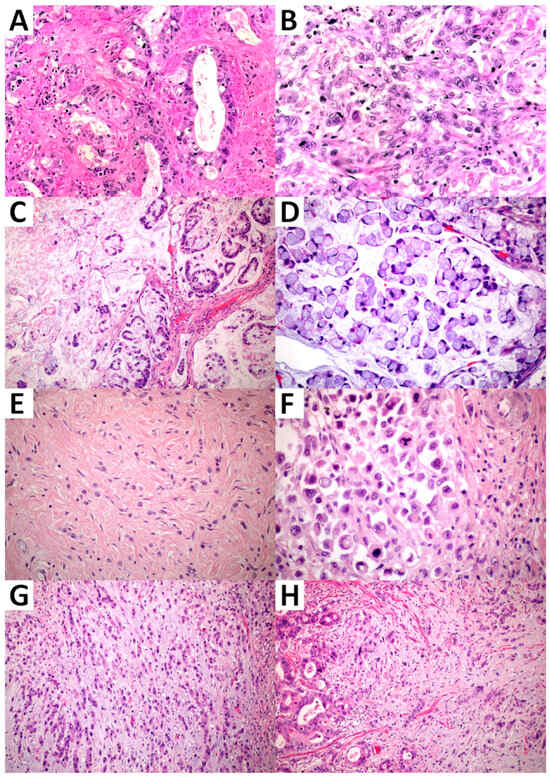
2.2. Histologic Classification and Variable Evaluation
2.3. Statistical Analysis
3. Results
3.1. Baseline Characteristics: Our Cohort Is Representative of the EA-EGJA Population
3.2. Histologic Classes of EA-EGJA: Data from Diagnostic Biopsies and Surgical Resection Specimens
3.3. Biopsies Provided Reliable Histologic Classification and Survival Risk Subgroup Assessment
3.4. Numbers Matter: How Many Biopsies Do We Need to Classify EA-EGJAs?
4. Discussion
5. Conclusions
Supplementary Materials
Author Contributions
Funding
Institutional Review Board Statement
Informed Consent Statement
Data Availability Statement
Acknowledgments
Conflicts of Interest
References
- Morgan, E.; Soerjomataram, I.; Rumgay, H.; Coleman, H.G.; Thrift, A.P.; Vignat, J.; Laversanne, M.; Ferlay, J.; Arnold, M. The Global Landscape of Esophageal Squamous Cell Carcinoma and Esophageal Adenocarcinoma Incidence and Mortality in 2020 and Projections to 2040: New Estimates From GLOBOCAN 2020. Gastroenterology 2022, 163, 649–658.e642. [Google Scholar] [CrossRef] [PubMed]
- Lander, S.; Lander, E.; Gibson, M.K. Esophageal Cancer: Overview, Risk Factors, and Reasons for the Rise. Curr. Gastroenterol. Rep. 2023, 25, 275–279. [Google Scholar] [CrossRef] [PubMed]
- Yang, H.; Wang, F.; Hallemeier, C.L.; Lerut, T.; Fu, J. Oesophageal cancer. Lancet 2024, 404, 1991–2005. [Google Scholar] [CrossRef] [PubMed]
- Umar, S.B.; Fleischer, D.E. Esophageal cancer: Epidemiology, pathogenesis and prevention. Nat. Clin. Pract. Gastroenterol. Hepatol. 2008, 5, 517–526. [Google Scholar] [CrossRef]
- Thrift, A.P. Global burden and epidemiology of Barrett oesophagus and oesophageal cancer. Nat. Rev. Gastroenterol. Hepatol. 2021, 18, 432–443. [Google Scholar] [CrossRef]
- Weaver, J.M.; Ross-Innes, C.S.; Fitzgerald, R.C. The ‘-omics’ revolution and oesophageal adenocarcinoma. Nat. Rev. Gastroenterol. Hepatol. 2014, 11, 19–27. [Google Scholar] [CrossRef]
- Edgren, G.; Adami, H.O.; Weiderpass, E.; Nyren, O. A global assessment of the oesophageal adenocarcinoma epidemic. Gut 2013, 62, 1406–1414. [Google Scholar] [CrossRef]
- Arnold, M.; Ferlay, J.; van Berge Henegouwen, M.I.; Soerjomataram, I. Global burden of oesophageal and gastric cancer by histology and subsite in 2018. Gut 2020, 69, 1564–1571. [Google Scholar] [CrossRef]
- Quante, M.; Wang, T.C.; Bass, A.J. Adenocarcinoma of the oesophagus: Is it gastric cancer? Gut 2023, 72, 1027–1029. [Google Scholar] [CrossRef]
- Dong, J.; Thrift, A.P. Alcohol, smoking and risk of oesophago-gastric cancer. Best. Pract. Res. Clin. Gastroenterol. 2017, 31, 509–517. [Google Scholar] [CrossRef]
- Mueller, J.; Werner, M.; Stolte, M. Barrett’s esophagus: Histopathologic definitions and diagnostic criteria. World J. Surg. 2004, 28, 148–154. [Google Scholar] [CrossRef] [PubMed]
- Pohl, H.; Pech, O.; Arash, H.; Stolte, M.; Manner, H.; May, A.; Kraywinkel, K.; Sonnenberg, A.; Ell, C. Length of Barrett’s oesophagus and cancer risk: Implications from a large sample of patients with early oesophageal adenocarcinoma. Gut 2016, 65, 196–201. [Google Scholar] [CrossRef] [PubMed]
- Fitzgerald, R.C. Barrett’s oesophagus and oesophageal adenocarcinoma: How does acid interfere with cell proliferation and differentiation? Gut 2005, 54 (Suppl. S1), i21–i26. [Google Scholar] [CrossRef] [PubMed]
- Grillo, F.; Mastracci, L.; Saragoni, L.; Vanoli, A.; Limarzi, F.; Gullo, I.; Ferro, J.; Paudice, M.; Parente, P.; Fassan, M. Neoplastic and pre-neoplastic lesions of the oesophagus and gastro-oesophageal junction. Pathologica 2020, 112, 138–152. [Google Scholar] [CrossRef]
- Anaparthy, R.; Sharma, P. Progression of Barrett oesophagus: Role of endoscopic and histological predictors. Nat. Rev. Gastroenterol. Hepatol. 2014, 11, 525–534. [Google Scholar] [CrossRef]
- Salimian, K.J.; Birkness-Gartman, J.; Waters, K.M. The path(ology) from reflux oesophagitis to Barrett oesophagus to oesophageal adenocarcinoma. Pathology 2022, 54, 147–156. [Google Scholar] [CrossRef]
- Rubenstein, J.H.; Shaheen, N.J. Epidemiology, Diagnosis, and Management of Esophageal Adenocarcinoma. Gastroenterology 2015, 149, 302–317.e301. [Google Scholar] [CrossRef]
- Malhotra, G.K.; Yanala, U.; Ravipati, A.; Follet, M.; Vijayakumar, M.; Are, C. Global trends in esophageal cancer. J. Surg. Oncol. 2017, 115, 564–579. [Google Scholar] [CrossRef]
- Zhang, A.; Li, Y.; Zhang, H.; Liu, H.; Han, C.; Shi, G. Comparison of TNM AJCC/UICC 8th with JES 11th staging systems for prognostic prediction in patients with esophageal squamous cell carcinoma who underwent radical (chemo) radiotherapy in China. J. Cancer Res. Ther. 2023, 19, 1610–1619. [Google Scholar] [CrossRef]
- Cree, I.A.; Lokuhetty, D.; Tan, P.H. The World Health Organization Classification of Tumors and External Quality Assurance for Immunohistochemistry and Molecular Pathology. Arch. Pathol. Lab. Med. 2022, 146, 1303–1307. [Google Scholar] [CrossRef]
- Zhang, X.Q.; Miao, C.W.; Liu, L.P.; Wang, C.L.; Chen, J.Z.; Li, W.H.; Hu, X.D. The prognostic value of 11(th) Japanese classification and 8(th) AJCC staging systems in Chinese patients with esophageal squamous cell carcinoma. J. Cardiothorac. Surg. 2023, 18, 251. [Google Scholar] [CrossRef] [PubMed]
- Zhang, D.; Zheng, Y.; Wang, Z.; Huang, Q.; Cao, X.; Wang, F.; Liu, S. Comparison of the 7th and proposed 8th editions of the AJCC/UICC TNM staging system for esophageal squamous cell carcinoma underwent radical surgery. Eur. J. Surg. Oncol. 2017, 43, 1949–1955. [Google Scholar] [CrossRef] [PubMed]
- Udagawa, H.; Ueno, M. Comparison of two major staging systems of esophageal cancer-toward more practical common scale for tumor staging. Ann. Transl. Med. 2018, 6, 76. [Google Scholar] [CrossRef] [PubMed]
- Jiang, G.; Wang, Z.; Cheng, Z.; Wang, W.; Lu, S.; Zhang, Z.; Anene, C.A.; Khan, F.; Chen, Y.; Bailey, E.; et al. The integrated molecular and histological analysis defines subtypes of esophageal squamous cell carcinoma. Nat. Commun. 2024, 15, 8988. [Google Scholar] [CrossRef] [PubMed]
- Lin, J.P.; Chen, X.F.; Zhou, H.; Zhuang, F.N.; He, H.; Chen, W.J.; Wang, F.; Liu, S.Y. The association between histological subtypes and lymph node metastasis and prognosis in early esophageal cancer: A population-based study. Eur. J. Cancer Prev. 2024, 33, 152–160. [Google Scholar] [CrossRef]
- Ajani, J.A.; Barthel, J.S.; Bentrem, D.J.; D’Amico, T.A.; Das, P.; Denlinger, C.S.; Fuchs, C.S.; Gerdes, H.; Glasgow, R.E.; Hayman, J.A.; et al. Esophageal and esophagogastric junction cancers. J. Natl. Compr. Canc Netw. 2011, 9, 830–887. [Google Scholar] [CrossRef]
- Ajani, J.A.; D’Amico, T.A.; Bentrem, D.J.; Cooke, D.; Corvera, C.; Das, P.; Enzinger, P.C.; Enzler, T.; Farjah, F.; Gerdes, H.; et al. Esophageal and Esophagogastric Junction Cancers, Version 2.2023, NCCN Clinical Practice Guidelines in Oncology. J. Natl. Compr. Canc Netw. 2023, 21, 393–422. [Google Scholar] [CrossRef]
- Khan, N.; Donohoe, C.L.; Phillips, A.W.; Griffin, S.M.; Reynolds, J.V. Signet ring gastric and esophageal adenocarcinomas: Characteristics and prognostic implications. Dis. Esophagus 2020, 33, doaa016. [Google Scholar] [CrossRef]
- Nagtegaal, I.D.; Odze, R.D.; Klimstra, D.; Paradis, V.; Rugge, M.; Schirmacher, P.; Washington, K.M.; Carneiro, F.; Cree, I.A. The 2019 WHO classification of tumours of the digestive system. Histopathology 2020, 76, 182–188. [Google Scholar] [CrossRef]
- Ferrari, M.; Ghislandi, E.; Landonio, G.; Majno, M.; Porretta, T.; Scanzi, F. Histology as a prognostic factor in early gastric cancer. Tumori 1992, 78, 181–184. [Google Scholar] [CrossRef]
- Chiaravalli, A.M.; Klersy, C.; Vanoli, A.; Ferretti, A.; Capella, C.; Solcia, E. Histotype-based prognostic classification of gastric cancer. World J. Gastroenterol. 2012, 18, 896–904. [Google Scholar] [CrossRef] [PubMed]
- Zhu, Z.; Sun, X.; Wang, J.; Sun, Z.; Wang, Z.; Zheng, X.; Xu, H. Histopathology-based prognostic score is independent prognostic factor of gastric carcinoma. BMC Cancer 2014, 14, 663. [Google Scholar] [CrossRef] [PubMed]
- Liu, K.; Wan, J.; Bei, Y.; Chen, X.; Lu, M. Prognostic Impact of Different Histological Types on Gastric Adenocarcinoma: A Surveillance, Epidemiology, and End Results Database Analysis. Pathol. Oncol. Res. 2017, 23, 881–887. [Google Scholar] [CrossRef] [PubMed]
- Rice, T.W.; Patil, D.T.; Blackstone, E.H. 8th edition AJCC/UICC staging of cancers of the esophagus and esophagogastric junction: Application to clinical practice. Ann. Cardiothorac. Surg. 2017, 6, 119–130. [Google Scholar] [CrossRef]
- Secrier, M.; Li, X.; de Silva, N.; Eldridge, M.D.; Contino, G.; Bornschein, J.; MacRae, S.; Grehan, N.; O’Donovan, M.; Miremadi, A.; et al. Mutational signatures in esophageal adenocarcinoma define etiologically distinct subgroups with therapeutic relevance. Nat. Genet. 2016, 48, 1131–1141. [Google Scholar] [CrossRef]
- The Cancer Genome Atlas Research Network. Integrated genomic characterization of oesophageal carcinoma. Nature 2017, 541, 169–175. [Google Scholar] [CrossRef]
- Orsini, A.; Mastracci, L.; Bozzarelli, I.; Ferrari, A.; Isidori, F.; Fiocca, R.; Lugaresi, M.; D’Errico, A.; Malvi, D.; Cataldi-Stagetti, E.; et al. Correlations between Molecular Alterations, Histopathological Characteristics, and Poor Prognosis in Esophageal Adenocarcinoma. Cancers 2023, 15, 1408. [Google Scholar] [CrossRef]
- Lim, H.; Gingras, M.C.; Zhao, J.; Byun, J.; Castro, P.D.; Tsavachidis, S.; Hu, J.; Doddapaneni, H.; Han, Y.; Muzny, D.M.; et al. Somatic mutations of esophageal adenocarcinoma: A comparison between Black and White patients. Sci. Rep. 2024, 14, 8988. [Google Scholar] [CrossRef]
- Isidori, F.; Malvi, D.; Fittipaldi, S.; Forcato, C.; Bozzarelli, I.; Sala, C.; Raulli, G.; D’Errico, A.; Fiorentino, M.; Seri, M.; et al. Genomic profiles of primary and metastatic esophageal adenocarcinoma identified via digital sorting of pure cell populations: Results from a case report. BMC Cancer 2018, 18, 889. [Google Scholar] [CrossRef]
- Frankell, A.M.; Jammula, S.; Li, X.; Contino, G.; Killcoyne, S.; Abbas, S.; Perner, J.; Bower, L.; Devonshire, G.; Ococks, E.; et al. The landscape of selection in 551 esophageal adenocarcinomas defines genomic biomarkers for the clinic. Nat. Genet. 2019, 51, 506–516. [Google Scholar] [CrossRef]
- Ahuja, P.; Yadav, R.; Goyal, S.; Yadav, C.; Ranga, S.; Kadian, L. Targeting epigenetic deregulations for the management of esophageal carcinoma: Recent advances and emerging approaches. Cell Biol. Toxicol. 2023, 39, 2437–2465. [Google Scholar] [CrossRef] [PubMed]
- Greenawalt, D.M.; Duong, C.; Smyth, G.K.; Ciavarella, M.L.; Thompson, N.J.; Tiang, T.; Murray, W.K.; Thomas, R.J.; Phillips, W.A. Gene expression profiling of esophageal cancer: Comparative analysis of Barrett’s esophagus, adenocarcinoma, and squamous cell carcinoma. Int. J. Cancer 2007, 120, 1914–1921. [Google Scholar] [CrossRef] [PubMed]
- Pera, M.; Manterola, C.; Vidal, O.; Grande, L. Epidemiology of esophageal adenocarcinoma. J. Surg. Oncol. 2005, 92, 151–159. [Google Scholar] [CrossRef] [PubMed]
- Keeney, S.; Bauer, T.L. Epidemiology of adenocarcinoma of the esophagogastric junction. Surg. Oncol. Clin. N. Am. 2006, 15, 687–696. [Google Scholar] [CrossRef]
- Agarwal, S.; Bell, M.G.; Dhaliwal, L.; Codipilly, D.C.; Dierkhising, R.A.; Lansing, R.; Gibbons, E.E.; Leggett, C.L.; Kisiel, J.B.; Iyer, P.G. Population Based Time Trends in the Epidemiology and Mortality of Gastroesophageal Junction and Esophageal Adenocarcinoma. Dig. Dis. Sci. 2024, 69, 246–253. [Google Scholar] [CrossRef]
- Smyth, E.C.; Lagergren, J.; Fitzgerald, R.C.; Lordick, F.; Shah, M.A.; Lagergren, P.; Cunningham, D. Oesophageal cancer. Nat. Rev. Dis. Primers 2017, 3, 17048. [Google Scholar] [CrossRef]
- Sheikh, M.; Roshandel, G.; McCormack, V.; Malekzadeh, R. Current Status and Future Prospects for Esophageal Cancer. Cancers 2023, 15, 765. [Google Scholar] [CrossRef]
- Schlansky, B.; Dimarino, A.J., Jr.; Loren, D.; Infantolino, A.; Kowalski, T.; Cohen, S. A survey of oesophageal cancer: Pathology, stage and clinical presentation. Aliment. Pharmacol. Ther. 2006, 23, 587–593. [Google Scholar] [CrossRef]
- Muir, C.S.; McKinney, P.A. Cancer of the oesophagus: A global overview. Eur. J. Cancer Prev. 1992, 1, 259–264. [Google Scholar] [CrossRef]
- Patel, N.; Benipal, B. Incidence of Esophageal Cancer in the United States from 2001–2015: A United States Cancer Statistics Analysis of 50 States. Cureus 2018, 10, e3709. [Google Scholar] [CrossRef]
- Pennathur, A.; Gibson, M.K.; Jobe, B.A.; Luketich, J.D. Oesophageal carcinoma. Lancet 2013, 381, 400–412. [Google Scholar] [CrossRef] [PubMed]
- Bray, F.; Laversanne, M.; Sung, H.; Ferlay, J.; Siegel, R.L.; Soerjomataram, I.; Jemal, A. Global cancer statistics 2022: GLOBOCAN estimates of incidence and mortality worldwide for 36 cancers in 185 countries. CA Cancer J. Clin. 2024, 74, 229–263. [Google Scholar] [CrossRef] [PubMed]
- He, H.; Chen, N.; Hou, Y.; Wang, Z.; Zhang, Y.; Zhang, G.; Fu, J. Trends in the incidence and survival of patients with esophageal cancer: A SEER database analysis. Thorac. Cancer 2020, 11, 1121–1128. [Google Scholar] [CrossRef] [PubMed]
- Domper Arnal, M.J.; Ferrandez Arenas, A.; Lanas Arbeloa, A. Esophageal cancer: Risk factors, screening and endoscopic treatment in Western and Eastern countries. World J. Gastroenterol. 2015, 21, 7933–7943. [Google Scholar] [CrossRef] [PubMed]
- Hur, C.; Miller, M.; Kong, C.Y.; Dowling, E.C.; Nattinger, K.J.; Dunn, M.; Feuer, E.J. Trends in esophageal adenocarcinoma incidence and mortality. Cancer 2013, 119, 1149–1158. [Google Scholar] [CrossRef]
- Fiocca, R.; Mastracci, L.; Lugaresi, M.; Grillo, F.; D’Errico, A.; Malvi, D.; Spaggiari, P.; Tomezzoli, A.; Albarello, L.; Ristimaki, A.; et al. The Prognostic Impact of Histology in Esophageal and Esophago-Gastric Junction Adenocarcinoma. Cancers 2021, 13, 5211. [Google Scholar] [CrossRef]
- Angerilli, V.; Parente, P.; Campora, M.; Ugolini, C.; Battista, S.; Cassoni, P.; Gambella, A.; Cavallin, F.; De Lisi, G.; Vanoli, A.; et al. HER2-low in gastro-oesophageal adenocarcinoma: A real-world pathological perspective. J. Clin. Pathol. 2023, 76, 815–821. [Google Scholar] [CrossRef]
- Bozzarelli, I.; Orsini, A.; Isidori, F.; Mastracci, L.; Malvi, D.; Lugaresi, M.; Fittipaldi, S.; Gozzellino, L.; Astolfi, A.; Rasanen, J.; et al. miRNA-221 and miRNA-483-3p Dysregulation in Esophageal Adenocarcinoma. Cancers 2024, 16, 591. [Google Scholar] [CrossRef]
- Lauren, P. The Two Histological Main Types of Gastric Carcinoma: Diffuse and So-Called Intestinal-Type Carcinoma. An Attempt at a Histo-Clinical Classification. Acta Pathol. Microbiol. Scand. 1965, 64, 31–49. [Google Scholar] [CrossRef]
- Ming, S.C. Gastric carcinoma. A pathobiological classification. Cancer 1977, 39, 2475–2485. [Google Scholar] [CrossRef]
- Mariette, C.; Carneiro, F.; Grabsch, H.I.; van der Post, R.S.; Allum, W.; de Manzoni, G. Consensus on the pathological definition and classification of poorly cohesive gastric carcinoma. Gastric Cancer 2019, 22, 1–9. [Google Scholar] [CrossRef] [PubMed]
- Siewert, J.R.; Stein, H.J. Carcinoma of the gastroesophageal junction—Classification, pathology and extent of resection. Dis. Esophagus 1996, 9, 173–182. [Google Scholar] [CrossRef]
- Siewert, J.R.; Stein, H.J. Classification of adenocarcinoma of the oesophagogastric junction. Br. J. Surg. 1998, 85, 1457–1459. [Google Scholar] [CrossRef]
- Pera, M.; Pera, M. Recent changes in the epidemiology of esophageal cancer. Surg. Oncol. 2001, 10, 81–90. [Google Scholar] [CrossRef]
- Pohl, H.; Wrobel, K.; Bojarski, C.; Voderholzer, W.; Sonnenberg, A.; Rosch, T.; Baumgart, D.C. Risk factors in the development of esophageal adenocarcinoma. Am. J. Gastroenterol. 2013, 108, 200–207. [Google Scholar] [CrossRef]
- Cancer Genome Atlas Research Network. Comprehensive molecular characterization of gastric adenocarcinoma. Nature 2014, 513, 202–209. [Google Scholar] [CrossRef]
- Nakamura, Y.; Kawazoe, A.; Lordick, F.; Janjigian, Y.Y.; Shitara, K. Biomarker-targeted therapies for advanced-stage gastric and gastro-oesophageal junction cancers: An emerging paradigm. Nat. Rev. Clin. Oncol. 2021, 18, 473–487. [Google Scholar] [CrossRef]
- Isidori, F.; Bozzarelli, I.; Mastracci, L.; Malvi, D.; Lugaresi, M.; Molinari, C.; Soderstrom, H.; Rasanen, J.; D’Errico, A.; Fiocca, R.; et al. Targeted Sequencing of Sorted Esophageal Adenocarcinoma Cells Unveils Known and Novel Mutations in the Separated Subpopulations. Clin. Transl. Gastroenterol. 2020, 11, e00202. [Google Scholar] [CrossRef]
- Hezova, R.; Kovarikova, A.; Srovnal, J.; Zemanova, M.; Harustiak, T.; Ehrmann, J.; Hajduch, M.; Svoboda, M.; Sachlova, M.; Slaby, O. Diagnostic and prognostic potential of miR-21, miR-29c, miR-148 and miR-203 in adenocarcinoma and squamous cell carcinoma of esophagus. Diagn. Pathol. 2015, 10, 42. [Google Scholar] [CrossRef]
- Jiang, X.H.; Liu, Q.; Fu, M.; Wang, C.F.; Zou, R.H.; Liu, L.; Wang, M. Long-term outcomes of endoscopic submucosal dissection for early esophageal adenocarcinoma in the Eastern population: A comprehensive analysis. J. Gastrointest. Surg. 2024, in press. [Google Scholar] [CrossRef]
- Lee, C.T.; Chang, C.Y.; Lee, Y.C.; Tai, C.M.; Wang, W.L.; Tseng, P.H.; Hwang, J.C.; Hwang, T.Z.; Wang, C.C.; Lin, J.T. Narrow-band imaging with magnifying endoscopy for the screening of esophageal cancer in patients with primary head and neck cancers. Endoscopy 2010, 42, 613–619. [Google Scholar] [CrossRef] [PubMed]
- Yang, Q.; Liu, Z.; Sun, H.; Jiao, F.; Zhang, B.; Chen, J. A narrative review: Narrow-band imaging endoscopic classifications. Quant. Imaging Med. Surg. 2023, 13, 1138–1163. [Google Scholar] [CrossRef] [PubMed]
- Mochizuki, Y.; Saito, Y.; Kobori, A.; Ban, H.; Shioya, M.; Nishimura, T.; Inatomi, O.; Bamba, S.; Tsujikawa, T.; Ishida, M.; et al. Magnified endoscopy combined with narrow band imaging of minimal superficial esophageal neoplasia-indicators to differentiate intraepithelial neoplasias. J. Gastrointest. Cancer 2012, 43, 599–606. [Google Scholar] [CrossRef] [PubMed][Green Version]
- Dobashi, A.; Goda, K.; Yoshimura, N.; Ohya, T.R.; Kato, M.; Sumiyama, K.; Matsushima, M.; Hirooka, S.; Ikegami, M.; Tajiri, H. Simplified criteria for diagnosing superficial esophageal squamous neoplasms using Narrow Band Imaging magnifying endoscopy. World J. Gastroenterol. 2016, 22, 9196–9204. [Google Scholar] [CrossRef]




| Class | Defining Criteria |
|---|---|
| Well-Differentiated Glandular Adenocarcinoma (WD-GAC) | Carcinomas showing well-defined glandular formation, a pattern of growth that is mostly expansive, and a loss of glandular architecture in ≤5% of the tumor area |
| Poorly Differentiated Glandular Adenocarcinoma (PD-GAC) | Similar to WD-GAC, but the loss of glandular architecture is observed in >5% of the tumor area; there is a loss of cell cohesion (i.e., clusters of individual cells are observed); and the pattern of growth is mostly invasive |
| Mucinous Muconodular Carcinoma (MMC) | Carcinomas showing mucinous component (i.e., mucin lakes with floating tumor cells, a predominance of extracellular mucin over tumor cells) in ≥80% of the tumor; moderate cellular anaplasia; and a mostly expansive growth pattern |
| Invasive Mucinous Carcinoma (IMC) | Similar to MMC, but the pattern of growth is mostly infiltrative; higher cellularity is observed; and tumor cells show more pronounced cellular atypia |
| Diffuse Desmoplastic Carcinoma (DDC) | Non-cohesive carcinomas characterized by a fibroblast-rich desmoplastic stroma embedding scant clusters or individual tumor cells with moderate atypia |
| Diffuse Anaplastic Carcinoma (DAC) | Carcinomas characterized by scarce stroma and are poorly cohesive; large- to medium-sized tumor cells with large, pleomorphic, highly atypical nuclei and prominent nucleoli; tumor cellularity and proliferative rates are high |
| Mixed (MIX) | Tumors with two (or more) distinct histologic components (glandular/tubular/papillary and poorly cohesive/signet ring) according to the WHO criteria for gastric adenocarcinoma (no specific criteria are available for E-EGJCA) |
| Biopsies (n = 106) | Surgical Resection Specimens (n = 106) | |
|---|---|---|
| Histologic Class | ||
| WD-GAC | 52 (49.1%) | 43 (40.6%) |
| PD-GAC | 40 (37.7%) | 43 (40.6%) |
| MMC | 4 (3.8%) | 3 (2.8%) |
| IMC | 5 (4.7%) | 4 (3.8%) |
| DDC | 0 (0%) | 1 (0.9%) |
| DAC | 5 (4.7%) | 3 (2.8%) |
| MIX | 0 (0%) | 9 (8.5%) |
| Risk Stratification | ||
| Low-Risk | 56 (52.8%) | 47 (44.3%) |
| High-Risk | 50 (47.2%) | 59 (55.7%) |
| Histologic Class | Sensitivity | Specificity | Accuracy | PPV | NPV | TP | FP | FN | TN | Total |
|---|---|---|---|---|---|---|---|---|---|---|
| WD-GAC | 91% | 79% | 84% | 75% | 93% | 39 | 13 | 4 | 50 | 106 |
| PD-GAC | 72% | 86% | 80% | 78% | 82% | 31 | 9 | 12 | 54 | 106 |
| MMC | 100% | 99% | 99% | 75% | 100% | 3 | 1 | 0 | 102 | 106 |
| IMC | 100% | 99% | 99% | 80% | 100% | 4 | 1 | 0 | 101 | 106 |
| DAC | 100% | 99% | 99% | 75% | 100% | 3 | 1 | 0 | 102 | 106 |
| Risk Group | Sensitivity | Specificity | Accuracy | PPV | NPV | TP | FP | FN | TN | Total |
|---|---|---|---|---|---|---|---|---|---|---|
| Low-risk | 89% | 76% | 82% | 75% | 90% | 42 | 14 | 5 | 45 | 106 |
| High-risk | 76% | 89% | 82% | 90% | 75% | 45 | 5 | 14 | 42 | 106 |
Disclaimer/Publisher’s Note: The statements, opinions and data contained in all publications are solely those of the individual author(s) and contributor(s) and not of MDPI and/or the editor(s). MDPI and/or the editor(s) disclaim responsibility for any injury to people or property resulting from any ideas, methods, instructions or products referred to in the content. |
© 2024 by the authors. Licensee MDPI, Basel, Switzerland. This article is an open access article distributed under the terms and conditions of the Creative Commons Attribution (CC BY) license (https://creativecommons.org/licenses/by/4.0/).
Share and Cite
Gambella, A.; Fiocca, R.; Lugaresi, M.; D’Errico, A.; Malvi, D.; Spaggiari, P.; Tomezzoli, A.; Albarello, L.; Ristimäki, A.; Bottiglieri, L.; et al. Pre-Surgical Endoscopic Biopsies Are Representative of Esophageal and Esophago-Gastric Junction Adenocarcinoma Histologic Classes and Survival Risk. Cancers 2024, 16, 4045. https://doi.org/10.3390/cancers16234045
Gambella A, Fiocca R, Lugaresi M, D’Errico A, Malvi D, Spaggiari P, Tomezzoli A, Albarello L, Ristimäki A, Bottiglieri L, et al. Pre-Surgical Endoscopic Biopsies Are Representative of Esophageal and Esophago-Gastric Junction Adenocarcinoma Histologic Classes and Survival Risk. Cancers. 2024; 16(23):4045. https://doi.org/10.3390/cancers16234045
Chicago/Turabian StyleGambella, Alessandro, Roberto Fiocca, Marialuisa Lugaresi, Antonietta D’Errico, Deborah Malvi, Paola Spaggiari, Anna Tomezzoli, Luca Albarello, Ari Ristimäki, Luca Bottiglieri, and et al. 2024. "Pre-Surgical Endoscopic Biopsies Are Representative of Esophageal and Esophago-Gastric Junction Adenocarcinoma Histologic Classes and Survival Risk" Cancers 16, no. 23: 4045. https://doi.org/10.3390/cancers16234045
APA StyleGambella, A., Fiocca, R., Lugaresi, M., D’Errico, A., Malvi, D., Spaggiari, P., Tomezzoli, A., Albarello, L., Ristimäki, A., Bottiglieri, L., Bonora, E., Krishnadath, K. K., Raulli, G. D., Rosati, R., Romario, U. F., De Manzoni, G., Räsänen, J., Mattioli, S., Grillo, F., & Mastracci, L., on behalf of the EACSGE Study Group. (2024). Pre-Surgical Endoscopic Biopsies Are Representative of Esophageal and Esophago-Gastric Junction Adenocarcinoma Histologic Classes and Survival Risk. Cancers, 16(23), 4045. https://doi.org/10.3390/cancers16234045

