FoxP3+ Regulatory T-Cell Quantities in Nodal T-Follicular Helper Cell Lymphomas and Peripheral T-Cell Lymphomas Not Otherwise Specified and Their Impact on Overall Survival
Simple Summary
Abstract
1. Introduction
2. Materials and Methods
2.1. Patients and Study Design
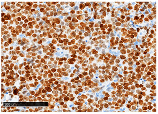
2.2. Immunohistochemical Staining for FoxP3+
2.3. Statistical Methods
3. Results
3.1. Subtypes of Nodal PTCL and Clinical Characteristics
3.2. FoxP3+ Cell Quantity in nTFHLs, PTCLs-NOS, CLs, and Reactive LNs
3.3. Survival Analysis Associated with FoxP3+ Cell Quantity
4. Discussion
5. Conclusions
Supplementary Materials
Author Contributions
Funding
Institutional Review Board Statement
Informed Consent Statement
Data Availability Statement
Acknowledgments
Conflicts of Interest
References
- Petrulio, C.A.; Kim-Schulze, S.; Kaufman, H.L. The tumour microenvironment and implications for cancer immunotherapy. Expert. Opin. Biol. Ther. 2006, 6, 671–684. [Google Scholar] [CrossRef]
- Gaulard, P.; de Leval, L. The microenvironment in T-cell lymphomas: Emerging themes. Semin. Cancer Biol. 2014, 24, 49–60. [Google Scholar] [CrossRef]
- Menter, T.; Tzankov, A. Lymphomas and Their Microenvironment: A Multifaceted Relationship. Pathobiology 2019, 86, 225–236. [Google Scholar] [CrossRef]
- Bennani, N.N.; Ansell, S.M. Tumor Microenvironment in T-Cell Lymphomas. In T-Cell and NK-Cell Lymphomas; Querfeld, C., Zain, J., Rosen, S.T., Eds.; Springer: Cham, Switzerland, 2019; Volume 176, pp. 69–82. [Google Scholar] [CrossRef]
- Peng, F.; Qin, Y.; Mu, S.; Li, J.; Ai, L.; Hu, Y. Prognostic role of regulatory T cells in lymphoma: A systematic review and meta-analysis. J. Cancer Res. Clin. Oncol. 2020, 146, 3123–3135. [Google Scholar] [CrossRef]
- Hori, S.; Nomura, T.; Sakaguchi, S. Control of regulatory T cell development by the transcription factor Foxp3. Science 2003, 299, 981–985. [Google Scholar] [CrossRef]
- Fontenot, J.D.; Gavin, M.A.; Rudensky, A.Y. Foxp3 programs the development and function of CD4+CD25+ regulatory T cells. Nat. Immunol. 2003, 4, 330–336. [Google Scholar] [CrossRef]
- Wei, W.Z.; Morris, G.P.; Kong, Y.C. Anti-tumor immunity and autoimmunity: A balancing act of regulatory T cells. Cancer Immunol. Immunother. 2004, 53, 73–78. [Google Scholar] [CrossRef]
- Bates, G.J.; Fox, S.B.; Han, C.; Leek, R.D.; Garcia, J.F.; Harris, A.L.; Banham, A.H. Quantification of regulatory T cells enables the identification of high-risk breast cancer patients and those at risk of late relapse. J. Clin. Oncol. 2006, 24, 5373–5380. [Google Scholar] [CrossRef]
- Curiel, T.J.; Coukos, G.; Zou, L.; Alvarez, X.; Cheng, P.; Mottram, P.; Evdemon-Hogan, M.; Conejo-Garcia, J.R.; Zhang, L.; Burow, M.; et al. Specific recruitment of regulatory T cells in ovarian carcinoma fosters immune privilege and predicts reduced survival. Nat. Med. 2004, 10, 942–949. [Google Scholar] [CrossRef]
- Sun, L.; Xu, G.; Liao, W.; Yang, H.; Xu, H.; Du, S.; Zhao, H.; Lu, X.; Sang, X.; Mao, Y. Clinicopathologic and prognostic significance of regulatory T cells in patients with hepatocellular carcinoma: A meta-analysis. Oncotarget 2017, 8, 39658–39672. [Google Scholar] [CrossRef]
- Shang, B.; Liu, Y.; Jiang, S.J.; Liu, Y. Prognostic value of tumor-infiltrating FoxP3+ regulatory T cells in cancers: A systematic review and meta-analysis. Sci. Rep. 2015, 5, 15179. [Google Scholar] [CrossRef]
- Xu, P.; Fan, W.; Zhang, Z.; Wang, J.; Wang, P.; Li, Y.; Yu, M. The clinicopathological and prognostic implications of FoxP3+ regulatory T cells in patients with colorectal cancer: A meta-analysis. Front. Physiol. 2017, 8, 950. [Google Scholar] [CrossRef]
- Salama, P.; Phillips, M.; Grieu, F.; Morris, M.; Zeps, N.; Joseph, D.; Platell, C.; Iacopetta, B. Tumor-infiltrating FOXP3+ T regulatory cells show strong prognostic significance in colorectal cancer. J. Clin. Oncol. 2009, 27, 186–192. [Google Scholar] [CrossRef]
- Frey, D.M.; Droeser, R.A.; Viehl, C.T.; Zlobec, I.; Lugli, A.; Zingg, U.; Oertli, D.; Kettelhack, C.; Terracciano, L.; Tornillo, L.; et al. High frequency of tumor-infiltrating FOXP3+ regulatory T cells predicts improved survival in mismatch repair-proficient colorectal cancer patients. Int. J. Cancer 2010, 126, 2635–2643. [Google Scholar] [CrossRef]
- Tzankov, A.; Meier, C.; Hirschmann, P.; Went, P.; Pileri, S.A.; Dirnhofer, S. Correlation of high numbers of intratumoral FOXP3+ regulatory T cells with improved survival in germinal center-like diffuse large B-cell lymphoma, follicular lymphoma and classical Hodgkin’s lymphoma. Haematologica 2008, 93, 193–200. [Google Scholar] [CrossRef]
- Carreras, J.; Lopez-Guillermo, A.; Fox, B.C.; Colomo, L.; Martinez, A.; Roncador, G.; Montserrat, E.; Campo, E.; Banham, A.H. High numbers of tumor-infiltrating FOXP3-positive regulatory T cells are associated with improved overall survival in follicular lymphoma. Blood 2006, 108, 2957–2964. [Google Scholar] [CrossRef]
- Gjerdrum, L.M.; Woetmann, A.; Odum, N.; Burton, C.M.; Rossen, K.; Skovgaard, G.L.; Ryder, L.P.; Ralfkiaer, E. FOXP3+ regulatory T cells in cutaneous T-cell lymphomas: Association with disease stage and survival. Leukemia 2007, 21, 2512–2518. [Google Scholar] [CrossRef]
- Kim, W.Y.; Jeon, Y.K.; Kim, T.M.; Kim, J.E.; Kim, Y.A.; Lee, S.H.; Kim, D.W.; Heo, D.S.; Kim, C.W. Increased quantity of tumor-infiltrating FOXP3-positive regulatory T cells is an independent predictor for improved clinical outcome in extranodal NK/T-cell lymphoma. Ann. Oncol. 2009, 20, 1688–1696. [Google Scholar] [CrossRef]
- Lam, S.T.; Huang, H.; Fang, X.; Wang, Z.; Hong, H.; Ren, Q.; Tian, Y.; Lin, S.; Lin, T. A new immunological prognostic model based on immunohistochemistry for extranodal natural killer/T-cell lymphoma patients after non-anthracycline-based chemotherapy. Cancer Manag. Res. 2020, 12, 1981–1990. [Google Scholar] [CrossRef]
- Lee, N.R.; Song, E.K.; Jang, K.Y.; Choi, H.N.; Moon, W.S.; Kwon, K.; Lee, J.H.; Yim, C.Y.; Kwak, J.Y. Prognostic impact of tumor infiltrating FOXP3 positive regulatory T cells in diffuse large B-cell lymphoma at diagnosis. Leuk. Lymphoma 2008, 49, 247–256. [Google Scholar] [CrossRef]
- Peng, R.J.; Huang, Z.F.; Zhang, Y.L.; Yuan, Z.Y.; Xia, Y.; Jiang, W.Q.; Zeng, Y.X.; Li, J. Circulating and tumor-infiltrating Foxp3+ regulatory T cell subset in chinese patients with extranodal NK/T cell lymphoma. Int. J. Biol. Sci. 2011, 7, 1027–1036. [Google Scholar] [CrossRef]
- Liu, H.L.; Weng, S.W.; Chou, C.C.; You, H.L.; Wang, M.C.; Ma, M.C.; Huang, W.T. Correlation of low numbers of intratumoral FOXP3+ cells with worse progression-free survival in angioimmunoblastic T cell lymphoma. J. Clin. Pathol. 2024, 77, 743–750. [Google Scholar] [CrossRef]
- Lundberg, J.; Berglund, D.; Molin, D.; Kinch, A. Intratumoral expression of FoxP3-positive regulatory T-cells in T-cell lymphoma: No correlation with survival. Ups. J. Med. Sci. 2019, 124, 105–110. [Google Scholar] [CrossRef]
- Bruneau, J.; Canioni, D.; dé Renand, A.; Marafioti, T.; Paterson, J.C.; Martin-Garcia, N.; Gaulard, P.; Delfau, M.H.; Hermine, O.; Macintyre, E.; et al. Short Communication Regulatory T-Cell Depletion in Angioimmunoblastic T-Cell Lymphoma. Am. J. Pathol. 2010, 177, 570–574. [Google Scholar] [CrossRef]
- Bonzheim, I.; Geissinger, E.; Tinguely, M.; Roth, S.; Grieb, T.; Reimer, P.; Wilhelm, M.; Rosenwald, A.; Müller-Hermelink, H.K.; Rüdiger, T. Evaluation of FoxP3 Expression in Peripheral T-Cell Lymphoma. Am. J. Clin. Pathol. 2008, 130, 613–619. [Google Scholar] [CrossRef]
- Roncador, G.; Garcia, J.F.; Garcia, J.F.; Maestre, L.; Lucas, E.; Menarguez, J.; Ohshima, K.; Nakamura, S.; Banham, A.H.; Piris, M.A. FOXP3, a selective marker for a subset of adult T-cell leukaemia/lymphoma. Leukemia 2005, 19, 2247–2253. [Google Scholar] [CrossRef]
- Satou, A.; Asano, N.; Kato, S.; Katsuya, H.; Ishitsuka, K.; Elsayed, A.A.; Nakamura, S. FoxP3-positive T cell lymphoma arising in non-HTLV1 carrier: Clinicopathological analysis of 11 cases of PTCL-NOS and 2 cases of mycosis fungoides. Histopathology 2016, 68, 1099–1108. [Google Scholar] [CrossRef]
- Beltran, B.E.; Morales, D.; Quinones, P.; Miranda, R.N.; Goswami, M.; Castillo, J.J. Peripheral T-cell lymphoma with a regulatory T-cell phenotype: Report of a nodal and an extranodal case from Peru. Appl. Immunohistochem. Mol. Morphol. 2012, 20, 196–200. [Google Scholar] [CrossRef]
- Llamas-Gutierrez, F.; Espinoza-Macias, G.; Neme-Yunes, Y.; Aguilar-Guadarrama, R.; Agreda-Vásquez, G.; Lome-Maldonado, C. Peripheral T cell lymphoma with a regulatory T cell phenotype: A Mexican case not associated with HTLV-1 virus infection. J. Hematopathol 2014, 7, 39–45. [Google Scholar] [CrossRef]
- van Dongen, J.J.; Langerak, A.W.; Brüggemann, M.; Evans, P.A.; Hummel, M.; Lavender, F.L.; Delabesse, E.; Davi, F.; Schuuring, E.; García-Sanz, R.; et al. Design and standardization of PCR primers and protocols for detection of clonal immunoglobulin and T-cell receptor gene recombinations in suspect lymphoproliferations: Report of the BIOMED-2 Concerted Action BMH4-CT98-3936. Leukemia 2003, 17, 2257–2317. [Google Scholar] [CrossRef] [PubMed]
- van Krieken, J.H.; Langerak, A.W.; Macintyre, E.A.; Kneba, M.; Hodges, E.; Sanz, R.G.; Morgan, G.J.; Parreira, A.; Molina, T.J.; Cabeçadas, J.; et al. Improved reliability of lymphoma diagnostics via PCR-based clonality testing: Report of the BIOMED-2 Concerted Action BHM4-CT98-3936. Leukemia 2007, 21, 201–206. [Google Scholar] [CrossRef] [PubMed]
- Langerak, A.W.; Groenen, P.J.; Brüggemann, M.; Beldjord, K.; Bellan, C.; Bonello, L.; Boone, E.; Carter, G.I.; Catherwood, M.; Davi, F.; et al. EuroClonality/BIOMED-2 guidelines for interpretation and reporting of Ig/TCR clonality testing in suspected lymphoproliferations. Leukemia 2012, 26, 2159–2171. [Google Scholar] [CrossRef] [PubMed] [PubMed Central]
- Alaggio, R.; Amador, C.; Anagnostopoulos, I.; Attygalle, A.D.; Araujo, I.B.O.; Berti, E.; Bhagat, G.; Borges, A.M.; Boyer, D.; Calaminici, M.; et al. The 5th edition of the World Health Organization Classification of Haematolymphoid Tumours: Lymphoid Neoplasms. Leukemia 2022, 36, 1720–1748. [Google Scholar] [CrossRef] [PubMed] [PubMed Central]
- Campo, E.; Jaffe, E.S.; Cook, J.R.; Quintanilla-Martinez, L.; Swerdlow, S.H.; Anderson, K.C.; Brousset, P.; Cerroni, L.; de Leval, L.; Dirnhofer, S.; et al. The International Consensus Classification of mature lymphoid neoplasms: A report from the Clinical Advisory Committee. Blood 2022, 140, 1229–1253. [Google Scholar] [CrossRef]
- Tan, L.H.; Tan, S.Y.; Tang, T.; Lim, S.T.; Tan, D.; Lim, L.C.; Kam, G.L.; Loh, T.P.; Tao, M.; Koay, E.S. Angioimmunoblastic T-cell lymphoma with hyperplastic germinal centres (pattern 1) shows superior survival to patterns 2 and 3: A meta-analysis of 56 cases. Histopathology 2012, 60, 570–585. [Google Scholar] [CrossRef]







| Characteristics | No. of Patients (%) |
|---|---|
| Total | 101 (100) |
| Diagnosis | |
| PTCL-NOS | 5 (5) |
| nTFHL-NOS | 13 (13) |
| nTFHL-F | 3 (3) |
| nTFHL-AI | 72 (71) |
| CL (nTFHL-AI and DLBCL or MZL) | 8 (8) |
| Gender | |
| Male | 56 (55) |
| Female | 45 (45) |
| Age at diagnosis | |
| >60 | 79 (78) |
| ≤60 | 22 (22) |
| Ann Arbor Stage | |
| I | 1 (1) |
| II | 7 (7) |
| III | 24 (24) |
| IV | 69 (68) |
| B-symptoms | |
| No | 32 (32) |
| Yes | 69 (68) |
| Raised serum LDH level | |
| No | 46 (46) |
| Yes | 53 (53) |
| Not available/unknown | 2 (2) |
| ECOG performance status | |
| 0 | 35 (35) |
| 1 | 35 (35) |
| 2 | 19 (19) |
| 3 | 5 (5) |
| 4 | 7 (7) |
| IPI risk groups | |
| Low-risk group (0, 1) | 13 (13) |
| Low-intermediate-risk group (2) | 22 (22) |
| High-intermediate-risk group (3) | 39 (39) |
| High-risk group (4, 5) | 25 (25) |
| Not available/unknown | 2 (2) |
| First-line treatment | |
| CHOP/CHOP-like | 19 (19) |
| COP/modified COP/other low-dose treatments | 58 (57) |
| Other | 18 (18) |
| None | 6 (6) |
| Death | |
| Yes | 26 (26) |
| No | 75 (74) |
| Variables Included | HR [95% CI] | p-Value |
|---|---|---|
| Diagnosis | 0.92 | |
| nTFHL-NOS | 1.25 [0.35–4.42] | |
| nTFHL-AI | 1.48 [0.55–4.01] | |
| Composite lymphoma (CL) | 1.30 [0.38–4.41] | |
| nTFHL-F | 1.80 [0.38–8.6] | |
| IPI risk groups | <0.001 | |
| Low-intermediate | 1.06 [0.39–2.89] | |
| High-intermediate | 1.98 [0.79–4.94] | |
| High | 7.58 [2.82–20.37] | |
| Treg value (50 units) | 0.98 [0.95–1.02] | 0.35 |
Disclaimer/Publisher’s Note: The statements, opinions and data contained in all publications are solely those of the individual author(s) and contributor(s) and not of MDPI and/or the editor(s). MDPI and/or the editor(s) disclaim responsibility for any injury to people or property resulting from any ideas, methods, instructions or products referred to in the content. |
© 2024 by the authors. Licensee MDPI, Basel, Switzerland. This article is an open access article distributed under the terms and conditions of the Creative Commons Attribution (CC BY) license (https://creativecommons.org/licenses/by/4.0/).
Share and Cite
Erzar, E.; Tzankov, A.; Ocvirk, J.; Grčar Kuzmanov, B.; Boltežar, L.; Prevodnik, V.K.; Gašljević, G. FoxP3+ Regulatory T-Cell Quantities in Nodal T-Follicular Helper Cell Lymphomas and Peripheral T-Cell Lymphomas Not Otherwise Specified and Their Impact on Overall Survival. Cancers 2024, 16, 4011. https://doi.org/10.3390/cancers16234011
Erzar E, Tzankov A, Ocvirk J, Grčar Kuzmanov B, Boltežar L, Prevodnik VK, Gašljević G. FoxP3+ Regulatory T-Cell Quantities in Nodal T-Follicular Helper Cell Lymphomas and Peripheral T-Cell Lymphomas Not Otherwise Specified and Their Impact on Overall Survival. Cancers. 2024; 16(23):4011. https://doi.org/10.3390/cancers16234011
Chicago/Turabian StyleErzar, Eva, Alexandar Tzankov, Janja Ocvirk, Biljana Grčar Kuzmanov, Lučka Boltežar, Veronika Kloboves Prevodnik, and Gorana Gašljević. 2024. "FoxP3+ Regulatory T-Cell Quantities in Nodal T-Follicular Helper Cell Lymphomas and Peripheral T-Cell Lymphomas Not Otherwise Specified and Their Impact on Overall Survival" Cancers 16, no. 23: 4011. https://doi.org/10.3390/cancers16234011
APA StyleErzar, E., Tzankov, A., Ocvirk, J., Grčar Kuzmanov, B., Boltežar, L., Prevodnik, V. K., & Gašljević, G. (2024). FoxP3+ Regulatory T-Cell Quantities in Nodal T-Follicular Helper Cell Lymphomas and Peripheral T-Cell Lymphomas Not Otherwise Specified and Their Impact on Overall Survival. Cancers, 16(23), 4011. https://doi.org/10.3390/cancers16234011

