Preoperative and Intraoperative Identification of Sentinel Lymph Nodes in Melanoma Surgery
Abstract
Simple Summary
Abstract
1. Introduction
2. Techniques for Preoperative Identification of SLNs
3. Techniques for Intraoperative Identification of SLNs

4. The Synergistic Effect of Neoprobe® and Sentinella (New Data)
5. Pitfalls of Identification of SLNs by Sentinella (New Data)
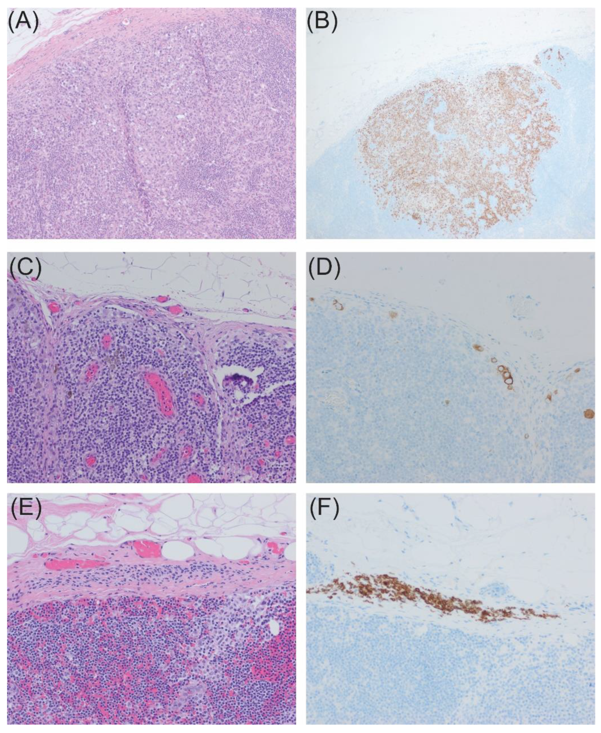
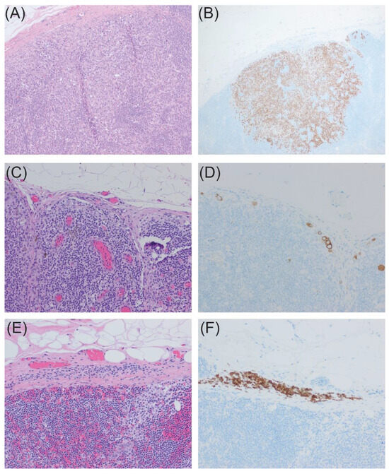
6. Intraoperative Localization of Nerves in Different Sites for SLNB (New Data)
7. Ex Vivo Dissection of SLN Clusters into SLNs and Non-SLNs Using the 10% Rule (New Data)
8. Pathologic Examination of Sentinel and Non-SLNs (New Data)
9. Presentation of Melanoma Patients to the Melanoma Tumor Board (New Data)
10. Conclusions and Future Perspectives
Supplementary Materials
Author Contributions
Funding
Institutional Review Board Statement
Informed Consent Statement
Data Availability Statement
Acknowledgments
Conflicts of Interest
References
- Siegel, R.; Naishadham, D.; Jemal, A. Cancer statistics, 2013. CA Cancer J. Clin. 2013, 63, 11–30. [Google Scholar] [CrossRef]
- Gershenwald, J.E.; Scolyer, R.A.; Hess, K.R.; Sondak, V.K.; Long, G.V.; Ross, M.I.; Lazar, A.J.; Faries, M.B.; Kirkwood, J.M.; McArthur, G.A.; et al. Melanoma staging: Evidence-based changes in the American Joint Committee on Cancer eighth edition cancer staging manual. CA Cancer J. Clin. 2017, 67, 472–492. [Google Scholar] [CrossRef]
- Morton, D.L.; Thompson, J.F.; Cochran, A.J.; Mozzillo, N.; Nieweg, O.E.; Roses, D.F.; Hoekstra, H.J.; Karakousis, C.P.; Puleo, C.A.; Coventry, B.J.; et al. Final trial report of sentinel-node biopsy versus nodal observation in melanoma. N. Engl. J. Med. 2014, 370, 599–609. [Google Scholar] [CrossRef] [PubMed]
- Faries, M.B.; Thompson, J.F.; Cochran, A.J.; Andtbacka, R.H.; Mozzillo, N.; Zager, J.S.; Jahkola, T.; Bowles, T.L.; Testori, A.; Beitsch, P.D.; et al. Completion Dissection or Observation for Sentinel-Node Metastasis in Melanoma. N. Engl. J. Med. 2017, 376, 2211–2222. [Google Scholar] [CrossRef] [PubMed]
- Mraz-Gernhard, S.; Sagebiel, R.W.; Kashani-Sabet, M.; Miller, J.R., 3rd; Leong, S.P. Prediction of sentinel lymph node micrometastasis by histological features in primary cutaneous malignant melanoma. Arch. Dermatol. 1998, 134, 983–987. [Google Scholar] [CrossRef]
- Venna, S.S.; Thummala, S.; Nosrati, M.; Leong, S.P.; Miller, J.R.; Sagebiel, R.W.; Kashani-Sabet, M. Analysis of sentinel lymph node positivity in patients with thin primary melanoma. J. Am. Acad. Dermatol. 2013, 68, 560–567. [Google Scholar] [CrossRef]
- Miller, J.R., 3rd; Lo, S.N.; Nosrati, M.; Stretch, J.R.; Spillane, A.J.; Saw, R.P.M.; Shannon, K.F.; Nieweg, O.E.; Ch’ng, S.; Kim, K.B.; et al. Improving Selection for Sentinel Lymph Node Biopsy Among Patients With Melanoma. JAMA Netw. Open 2023, 6, e236356. [Google Scholar] [CrossRef]
- Wrightson, W.R.; Wong, S.L.; Edwards, M.J.; Chao, C.; Reintgen, D.S.; Ross, M.I.; Noyes, R.D.; Viar, V.; Cerrito, P.B.; McMasters, K.M.; et al. Complications associated with sentinel lymph node biopsy for melanoma. Ann. Surg. Oncol. 2003, 10, 676–680. [Google Scholar] [CrossRef] [PubMed]
- De Vries, M.; Hoekstra, H.J.; Hoekstra-Weebers, J.E. Quality of life after axillary or groin sentinel lymph node biopsy, with or without completion lymph node dissection, in patients with cutaneous melanoma. Ann. Surg. Oncol. 2009, 16, 2840–2847. [Google Scholar] [CrossRef]
- Cabanas, R.M. An approach for the treatment of penile carcinoma. Cancer 1977, 39, 456–466. [Google Scholar] [CrossRef]
- Morton, D.L.; Wen, D.-R.; Wong, J.H.; Economou, J.S.; Cagle, L.A.; Storm, F.K.; Foshag, L.J.; Cochran, A.J. Technical details of intraoperative lymphatic mapping for early-stage melanoma. Arch. Surg. 1992, 127, 392–399. [Google Scholar] [CrossRef] [PubMed]
- Giuliano, A.E. The evolution of sentinel node biopsy for breast cancer: Personal experience. Breast J. 2020, 26, 17–21. [Google Scholar] [CrossRef] [PubMed]
- Krag, D.N.; Weaver, D.L.; Alex, J.C.; Fairbank, J.T. Surgical resection and radiolocalization of the sentinel lymph node in breast cancer using a gamma probe. Surg. Oncol. 1993, 2, 335–339, discussion 340. [Google Scholar] [CrossRef] [PubMed]
- Balch, C.M. Detection of melanoma metastases with the sentinel node biopsy: The legacy of Donald L. Morton, MD (1934–2014). Clin. Exp. Metastasis 2018, 35, 425–429. [Google Scholar] [CrossRef]
- Kawase, K.; Gayed, I.W.; Hunt, K.K.; Kuerer, H.M.; Akins, J.; Yi, M.; Grimes, L.; Babiera, G.V.; Ross, M.I.; Feig, B.W.; et al. Use of lymphoscintigraphy defines lymphatic drainage patterns before sentinel lymph node biopsy for breast cancer. J. Am. Coll. Surg. 2006, 203, 64–72. [Google Scholar] [CrossRef] [PubMed]
- Leong, S.P. Detection of melanoma, breast cancer and head and neck squamous cell cancer sentinel lymph nodes by Tc-99m Tilmanocept (Lymphoseek(R)). Clin. Exp. Metastasis 2022, 39, 39–50. [Google Scholar] [CrossRef] [PubMed]
- Ariyan, S.; Ariyan, C.; Farber, L.R.; Fischer, D.S.; Flynn, S.D.; Truini, C. Reliability of identification of 655 sentinel lymph nodes in 263 consecutive patients with malignant melanoma. J. Am. Coll. Surg. 2004, 198, 924–932. [Google Scholar] [CrossRef] [PubMed]
- Bartolomei, M.; Testori, A.; Chinol, M.; Gennari, R.; De Cicco, C.; Leonardi, L.; Paganelli, G. Sentinel node localization in cutaneous melanoma: Lymphoscintigraphy with colloids and antibody fragments versus blue dye mapping. Eur. J. Nucl. Med. 1998, 25, 1489–1494. [Google Scholar] [CrossRef] [PubMed]
- McMasters, K.M.; Reintgen, D.S.; Ross, M.I.; Wong, S.L.; Gershenwald, J.E.; Krag, D.N.; Noyes, R.D.; Viar, V.; Cerrito, P.B.; Edwards, M.J. Sentinel lymph node biopsy for melanoma: How many radioactive nodes should be removed? Ann. Surg. Oncol. 2001, 8, 192–197. [Google Scholar] [CrossRef]
- Liu, L.-C.; Parrett, B.M.; Jenkins, T.; Lee, W.; Morita, E.; Treseler, P.; Huang, L.; Thummala, S.; Allen, R.E.; Kashani-Sabet, M.; et al. Selective sentinel lymph node dissection for melanoma: Importance of harvesting nodes with lower radioactive counts without the need for blue dye. Ann. Surg. Oncol. 2011, 18, 2919–2924. [Google Scholar] [CrossRef]
- Hu, Y.; Melmer, P.D.; Slingluff, C.L., Jr. Localization of the Sentinel Lymph Node in Melanoma Without Blue Dye. Ann. Surg. 2016, 263, 588–592. [Google Scholar] [CrossRef] [PubMed][Green Version]
- Sondak, V.K.; King, D.W.; Zager, J.S.; Schneebaum, S.; Kim, J.; Leong, S.P.L.; Faries, M.B.; Averbook, B.J.; Martinez, S.R.; Puleo, C.A.; et al. Combined analysis of phase III trials evaluating [(9)(9)mTc]tilmanocept and vital blue dye for identification of sentinel lymph nodes in clinically node-negative cutaneous melanoma. Ann. Surg. Oncol. 2013, 20, 680–688. [Google Scholar] [CrossRef] [PubMed]
- Gumus, M.; Gumus, H.; Jones, S.E.; Jones, P.A.; Sever, A.R.; Weeks, J. How long will I be blue? Prolonged skin staining following sentinel lymph node biopsy using intradermal patent blue dye. Breast Care 2013, 8, 199–202. [Google Scholar] [CrossRef] [PubMed] [PubMed Central]
- Leong, S.P.; Donegan, E.; Heffernon, W.; Dean, S.; Katz, J.A. Adverse reactions to isosulfan blue during selective sentinel lymph node dissection in melanoma. Ann. Surg. Oncol. 2000, 7, 361–366. [Google Scholar] [CrossRef] [PubMed]
- Clarke, S.A.; Molajo, A.; Powell, B.W. Incidence of adverse reactions to patent blue dye in melanoma sentinel node biopsy: A major UK centre experience. J. Plast. Reconstr. Aesthet. Surg. 2013, 66, 1299–1300. [Google Scholar] [CrossRef] [PubMed]
- Sondak, V.K.; Zager, J.S. Who is to blame for false-negative sentinel node biopsies in melanoma? Ann. Surg. Oncol. 2010, 17, 670–673. [Google Scholar] [CrossRef][Green Version]
- Scoggins, C.R.; Martin, R.C.G.; Ross, M.I.; Edwards, M.J.; Reintgen, D.S.; Urist, M.M.; Gershenwald, J.E.; Sussman, J.J.; Noyes, R.D.; Goydos, J.S.; et al. Factors associated with false-negative sentinel lymph node biopsy in melanoma patients. Ann. Surg. Oncol. 2010, 17, 709–717. [Google Scholar] [CrossRef] [PubMed]
- Valsecchi, M.E.; Silbermins, D.; de Rosa, N.; Wong, S.L.; Lyman, G.H. Lymphatic mapping and sentinel lymph node biopsy in patients with melanoma: A meta-analysis. J. Clin. Oncol. 2011, 29, 1479–1487. [Google Scholar] [CrossRef] [PubMed]
- Kwizera, A.; Obaid, A.; Tran, D.; Rubarth, C.; Preskitt, J.T. Use of indocyanine green for sentinel lymph node biopsy in melanoma. Proc. Bayl. Univ. Med. Cent. 2023, 36, 201–204. [Google Scholar] [CrossRef]
- Aldenhoven, L.; Frotscher, C.; Körver-Steeman, R.; Martens, M.H.; Kuburic, D.; Janssen, A.; Beets, G.L.; van Bastelaar, J. Sentinel lymph node mapping with superparamagnetic iron oxide for melanoma: A pilot study in healthy participants to establish an optimal MRI workflow protocol. BMC Cancer 2022, 22, 1062. [Google Scholar] [CrossRef]
- Rubio, I.; Diaz-Botero, S.; Esgueva, A.; Rodriguez, R.; Cortadellas, T.; Cordoba, O.; Espinosa-Bravo, M. The superparamagnetic iron oxide is equivalent to the Tc99 radiotracer method for identifying the sentinel lymph node in breast cancer. Eur. J. Surg. Oncol. 2015, 41, 46–51. [Google Scholar] [CrossRef] [PubMed]
- Rasilla, J.M.; Arboniés, J.C.; Bolton, R.D.; Pereyra, L.I.; Andía, G.S.; Soriano, A.P.; Fernández, R.A.; Martínez, J.M.; Gutiérrez, L.L.; Maté, A.G.; et al. SPECT-CT in sentinel node detection in patients with melanoma. Rev. Esp. Med. Nucl 2009, 28, 229–234. [Google Scholar] [CrossRef]
- Van der Ploeg, I.M.; Valdes Olmos, R.A.; Nieweg, O.E.; Rutgers, E.J.; Kroon, B.B.; Hoefnagel, C.A. The additional value of SPECT/CT in lymphatic mapping in breast cancer and melanoma. J. Nucl. Med. 2007, 48, 1756–1760. [Google Scholar] [CrossRef]
- Balkin, D.M.; Tranah, G.J.; Wang, F.; O’donoghue, C.; Morell, E.A.; Porubsky, C.; Nosrati, M.; Vaquero, E.M.; Kim, H.; Carr, M.J.; et al. Lymphoscintigraphy Using Tilmanocept Detects Multiple Sentinel Lymph Nodes in Melanoma Patients. Cancer Control. 2023, 30, 10732748231153775. [Google Scholar] [CrossRef]
- Vidal-Sicart, S.; Paredes, P.; Zanón, G.; Pahisa, J.; Martinez-Román, S.; Caparrós, X.; Vilalta, A.; Rull, R.; Pons, F. Added value of intraoperative real-time imaging in searches for difficult-to-locate sentinel nodes. J. Nucl. Med. 2010, 51, 1219–1225. [Google Scholar] [CrossRef][Green Version]
- Leong, S.P.; Wu, M.; Lu, Y.; Torre, D.M.; von Bakonyi, A.; Ospina, A.M.; Newsom, J.D.; Luckett, W.S.; Soon, C.W.; Kim, K.B.; et al. Correction to: Intraoperative Imaging with a Portable Gamma Camera May Reduce the False-Negative Rate for Melanoma Sentinel Lymph Node Surgery. Ann Surg Oncol. 2019, 26 (Suppl. S3), 883. [Google Scholar] [CrossRef]
- Ghosh, D.; Michalopoulos, N.V.; Davidson, T.; Wickham, F.; Williams, N.R.; Keshtgar, M.R. Sentinel node detection in early breast cancer with intraoperative portable gamma camera: UK experience. Breast 2017, 32, 53–59. [Google Scholar] [CrossRef] [PubMed][Green Version]
- Miranda, S.G.; Parrett, B.M.; Li, R.R.; Lee, G.; Chang, T.; Fadaki, N.; Cardona-Huerta, S.; Cleaver, J.E.; Kashani-Sabet, M.; Leong, S.P. Selective Sentinel Lymph Node Dissection in Lower Extremity Melanoma. Plast. Reconstr. Surg. 2016, 137, 1031–1038. [Google Scholar] [CrossRef]
- Schuitevoerder, D.; Leong, S.P.; Zager, J.S.; White, R.L.; Avisar, E.; Kosiorek, H.; Dueck, A.; Fortino, J.; Kashani-Sabet, M.; Hart, K.; et al. Is pelvic sentinel node biopsy necessary for lower extremity and trunk melanomas? Am. J. Surg. 2017, 213, 921–925. [Google Scholar] [CrossRef]
- Miura, J.T.; Dossett, L.A.; Thapa, R.; Kim, Y.; Potdar, A.; Daou, H.; Sun, J.; Sarnaik, A.A.; Zager, J.S. Robotic-Assisted Pelvic Lymphadenectomy for Metastatic Melanoma Results in Durable Oncologic Outcomes. Ann. Surg. Oncol. 2020, 27, 196–202. [Google Scholar] [CrossRef]
- Roshan, A.; Shah, B.; Anderson, K.D.; Murphy, S.; Thomas, B.; McPhee, A.S.; Lamb, B.W.; Durrani, A.J.; Patel, A.J.K. Robot-Assisted Pelvic Dissection for Enlarged Lymph Nodes in Melanoma Improves Recovery with Equivalent Oncological Outcomes to Open Pelvic Dissection. Ann. Surg. Oncol. 2024, 31, 2727–2736. [Google Scholar] [CrossRef] [PubMed]
- Rios-Cantu, A.; Lu, Y.; Melendez-Elizondo, V.; Chen, M.; Gutierrez-Range, A.; Fadaki, N.; Thummala, S.; West-Coffee, C.; Cleaver, J.; Kashani-Sabet, M.; et al. Is the non-sentinel lymph node compartment the next site for melanoma progression from the sentinel lymph node compartment in the regional nodal basin? Clin. Exp. Metastasis 2017, 34, 345–350. [Google Scholar] [CrossRef] [PubMed][Green Version]
- Leung, A.M.; Morton, D.L.; Ozao-Choy, J.; Hari, D.M.; Shin-Sim, M.; Difronzo, A.L.; Faries, M.B. Staging of regional lymph nodes in melanoma: A case for including nonsentinel lymph node positivity in the American Joint Committee on Cancer staging system. JAMA Surg. 2013, 148, 879–884. [Google Scholar] [CrossRef] [PubMed]
- Roka, F.; Mastan, P.; Binder, M.; Okamoto, I.; Mittlboeck, M.; Horvat, R.; Pehamberger, H.; Diem, E. Prediction of non-sentinel node status and outcome in sentinel node-positive melanoma patients. Eur. J. Surg. Oncol. 2008, 34, 82–88. [Google Scholar] [CrossRef] [PubMed]
- Cascinelli, N.; Bombardieri, E.; Bufalino, R.; Camerini, T.; Carbone, A.; Clemente, C.; Lenisa, L.; Mascheroni, L.; Maurichi, A.; Pennacchioli, E.; et al. Sentinel and nonsentinel node status in stage IB and II melanoma patients: Two-step prognostic indicators of survival. J. Clin. Oncol. 2006, 24, 4464–4471. [Google Scholar] [CrossRef] [PubMed]
- Ghaferi, A.A.; Wong, S.L.; Johnson, T.M.; Lowe, L.; Chang, A.E.; Cimmino, V.M.; Bradford, C.R.; Rees, R.S.; Sabel, M.S. Prognostic significance of a positive nonsentinel lymph node in cutaneous melanoma. Ann. Surg. Oncol. 2009, 16, 2978–2984. [Google Scholar] [CrossRef] [PubMed]
- Ariyan, C.; Brady, M.S.; Gonen, M.; Busam, K.; Coit, D. Positive nonsentinel node status predicts mortality in patients with cutaneous melanoma. Ann. Surg. Oncol. 2009, 16, 186–190. [Google Scholar] [CrossRef] [PubMed]
- Brown, R.E.; Ross, M.I.; Edwards, M.J.; Noyes, R.D.; Reintgen, D.S.; Hagendoorn, L.J.; Stromberg, A.J.; Martin, R.C.G.; McMasters, K.M.; Scoggins, C.R. The prognostic significance of nonsentinel lymph node metastasis in melanoma. Ann. Surg. Oncol. 2010, 17, 3330–3335. [Google Scholar] [CrossRef] [PubMed]
- Emery, R.E.; Stevens, J.S.; Nance, R.W.; Corless, C.L.; Vetto, J.T. Sentinel node staging of primary melanoma by the “10% rule”: Pathology and clinical outcomes. Am. J. Surg. 2007, 193, 618–622, discussion 622. [Google Scholar] [CrossRef]
- Keung, E.Z.; Gershenwald, J.E. The eighth edition American Joint Committee on Cancer (AJCC) melanoma staging system: Implications for melanoma treatment and care. Expert. Rev. Anticancer Ther. 2018, 18, 775–784. [Google Scholar] [CrossRef]
- Wong, S.L.; Faries, M.B.; Kennedy, E.B.; Agarwala, S.S.; Akhurst, T.J.; Ariyan, C.; Balch, C.M.; Berman, B.S.; Cochran, A.; Delman, K.A.; et al. Sentinel Lymph Node Biopsy and Management of Regional Lymph Nodes in Melanoma: American Society of Clinical Oncology and Society of Surgical Oncology Clinical Practice Guideline Update. Ann. Surg. Oncol. 2018, 25, 356–377. [Google Scholar] [CrossRef] [PubMed]
- Peach, H.; Board, R.; Cook, M.; Corrie, P.; Ellis, S.; Geh, J.; King, P.; Laitung, G.; Larkin, J.; Marsden, J.; et al. Current role of sentinel lymph. node biopsy in the management of cutaneous melanoma: A UK consensus statement. J. Plast. Reconstr. Aesthet. Surg. 2020, 73, 36–42. [Google Scholar] [CrossRef] [PubMed]
- Brănişteanu, D.E.; Cozmin, M.; Porumb-Andrese, E.; Brănişteanu, D.; Toader, M.P.; Iosep, D.; Sinigur, D.; Brănişteanu, C.I.; Brănişteanu, G.; Porumb, V.; et al. Sentinel Lymph Node Biopsy in Cutaneous Melanoma, a Clinical Point of View. Medicina 2022, 58, 1589. [Google Scholar] [CrossRef]
- Swetter, S.M.; Thompson, J.A.; Albertini, M.R.; Barker, C.A.; Baumgartner, J.; Boland, G.; Chmielowski, B.; DiMaio, D.; Durham, A.; Fields, R.C.; et al. NCCN Guidelines® Insights: Melanoma: Cutaneous, Version 2.2021. J. Natl. Compr. Canc. Netw. 2021, 19, 364–376. [Google Scholar] [CrossRef] [PubMed]
- Wouters, M.W.; Michielin, O.; Bastiaannet, E.; Beishon, M.; Catalano, O.; Del Marmol, V.; Delgado-Bolton, R.; Dendale, R.; Trill, M.D.; Ferrari, A.; et al. ECCO essential requirements for quality cancer care: Melanoma. Crit. Rev. Oncol. Hematol. 2018, 122, 164–178. [Google Scholar] [CrossRef] [PubMed]
- Faries, M.B. Sentinel lymph nodes in melanoma: Necessary as ever for optimal treatment. Clin. Exp. Metastasis 2024. [Google Scholar] [CrossRef] [PubMed]
- Zager, J.S.; Hyams, D.M. Management of melanoma: Can we use gene expression profiling to help guide treatment and surveillance? Clin. Exp. Metastasis 2023. online ahead of print. [Google Scholar] [CrossRef] [PubMed]
- Park, J.; Kim, J.; Lewy, T.; Rice, C.M.; Elemento, O.; Rendeiro, A.F.; Mason, C.E. Spatial omics technologies at multimodal and single cell/subcellular level. Genome Biol. 2022, 23, 256. [Google Scholar] [CrossRef]
- Stegle, O.; Teichmann, S.; Marioni, J. Computational and analytical challenges in single-cell transcriptomics. Nat. Rev. Genet. 2015, 16, 133–145. [Google Scholar] [CrossRef]








Disclaimer/Publisher’s Note: The statements, opinions and data contained in all publications are solely those of the individual author(s) and contributor(s) and not of MDPI and/or the editor(s). MDPI and/or the editor(s) disclaim responsibility for any injury to people or property resulting from any ideas, methods, instructions or products referred to in the content. |
© 2024 by the authors. Licensee MDPI, Basel, Switzerland. This article is an open access article distributed under the terms and conditions of the Creative Commons Attribution (CC BY) license (https://creativecommons.org/licenses/by/4.0/).
Share and Cite
Leong, S.P.; Nosrati, M.; Wu, M.C.; Torre, D.M.; Bartley, T.F.; Kim, K.B.; Soon, C.; Moretto, J.; Kashani-Sabet, M. Preoperative and Intraoperative Identification of Sentinel Lymph Nodes in Melanoma Surgery. Cancers 2024, 16, 2767. https://doi.org/10.3390/cancers16152767
Leong SP, Nosrati M, Wu MC, Torre DM, Bartley TF, Kim KB, Soon C, Moretto J, Kashani-Sabet M. Preoperative and Intraoperative Identification of Sentinel Lymph Nodes in Melanoma Surgery. Cancers. 2024; 16(15):2767. https://doi.org/10.3390/cancers16152767
Chicago/Turabian StyleLeong, Stanley P., Mehdi Nosrati, Max C. Wu, Donald M. Torre, Ted F. Bartley, Kevin B. Kim, Christopher Soon, John Moretto, and Mohammed Kashani-Sabet. 2024. "Preoperative and Intraoperative Identification of Sentinel Lymph Nodes in Melanoma Surgery" Cancers 16, no. 15: 2767. https://doi.org/10.3390/cancers16152767
APA StyleLeong, S. P., Nosrati, M., Wu, M. C., Torre, D. M., Bartley, T. F., Kim, K. B., Soon, C., Moretto, J., & Kashani-Sabet, M. (2024). Preoperative and Intraoperative Identification of Sentinel Lymph Nodes in Melanoma Surgery. Cancers, 16(15), 2767. https://doi.org/10.3390/cancers16152767

