Correction: Krayem et al. Kinome Profiling to Predict Sensitivity to MAPK Inhibition in Melanoma and to Provide New Insights into Intrinsic and Acquired Mechanism of Resistance. Cancers 2020, 12, 512
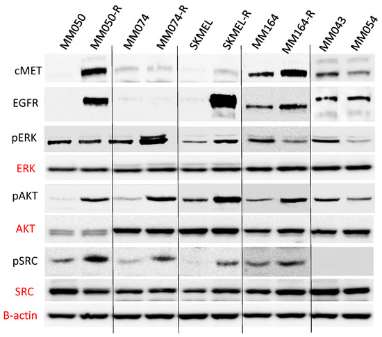
Error in Figure
Reference
- Krayem, M.; Aftimos, P.; Najem, A.; van den Hooven, T.; van den Berg, A.; Hovestad-Bijl, L.; de Wijn, R.; Hilhorst, R.; Ruijtenbeek, R.; Sabbah, M.; et al. Kinome Profiling to Predict Sensitivity to MAPK Inhibition in Melanoma and to Provide New Insights into Intrinsic and Acquired Mechanism of Resistance. Cancers 2020, 12, 512. [Google Scholar] [CrossRef] [PubMed]
Disclaimer/Publisher’s Note: The statements, opinions and data contained in all publications are solely those of the individual author(s) and contributor(s) and not of MDPI and/or the editor(s). MDPI and/or the editor(s) disclaim responsibility for any injury to people or property resulting from any ideas, methods, instructions or products referred to in the content. |
© 2024 by the authors. Licensee MDPI, Basel, Switzerland. This article is an open access article distributed under the terms and conditions of the Creative Commons Attribution (CC BY) license (https://creativecommons.org/licenses/by/4.0/).
Share and Cite
Krayem, M.; Aftimos, P.; Najem, A.; van den Hooven, T.; van den Berg, A.; Hovestad-Bijl, L.; de Wijn, R.; Hilhorst, R.; Ruijtenbeek, R.; Sabbah, M.; et al. Correction: Krayem et al. Kinome Profiling to Predict Sensitivity to MAPK Inhibition in Melanoma and to Provide New Insights into Intrinsic and Acquired Mechanism of Resistance. Cancers 2020, 12, 512. Cancers 2024, 16, 2587. https://doi.org/10.3390/cancers16142587
Krayem M, Aftimos P, Najem A, van den Hooven T, van den Berg A, Hovestad-Bijl L, de Wijn R, Hilhorst R, Ruijtenbeek R, Sabbah M, et al. Correction: Krayem et al. Kinome Profiling to Predict Sensitivity to MAPK Inhibition in Melanoma and to Provide New Insights into Intrinsic and Acquired Mechanism of Resistance. Cancers 2020, 12, 512. Cancers. 2024; 16(14):2587. https://doi.org/10.3390/cancers16142587
Chicago/Turabian StyleKrayem, Mohammad, Philippe Aftimos, Ahmad Najem, Tim van den Hooven, Adriënne van den Berg, Liesbeth Hovestad-Bijl, Rik de Wijn, Riet Hilhorst, Rob Ruijtenbeek, Malak Sabbah, and et al. 2024. "Correction: Krayem et al. Kinome Profiling to Predict Sensitivity to MAPK Inhibition in Melanoma and to Provide New Insights into Intrinsic and Acquired Mechanism of Resistance. Cancers 2020, 12, 512" Cancers 16, no. 14: 2587. https://doi.org/10.3390/cancers16142587
APA StyleKrayem, M., Aftimos, P., Najem, A., van den Hooven, T., van den Berg, A., Hovestad-Bijl, L., de Wijn, R., Hilhorst, R., Ruijtenbeek, R., Sabbah, M., Kerger, J., Awada, A., Journe, F., & Ghanem, G. E. (2024). Correction: Krayem et al. Kinome Profiling to Predict Sensitivity to MAPK Inhibition in Melanoma and to Provide New Insights into Intrinsic and Acquired Mechanism of Resistance. Cancers 2020, 12, 512. Cancers, 16(14), 2587. https://doi.org/10.3390/cancers16142587