Deep Learning Algorithms for Bladder Cancer Segmentation on Multi-Parametric MRI
Abstract
Simple Summary
Abstract
1. Introduction
2. Materials and Methods
2.1. Patients
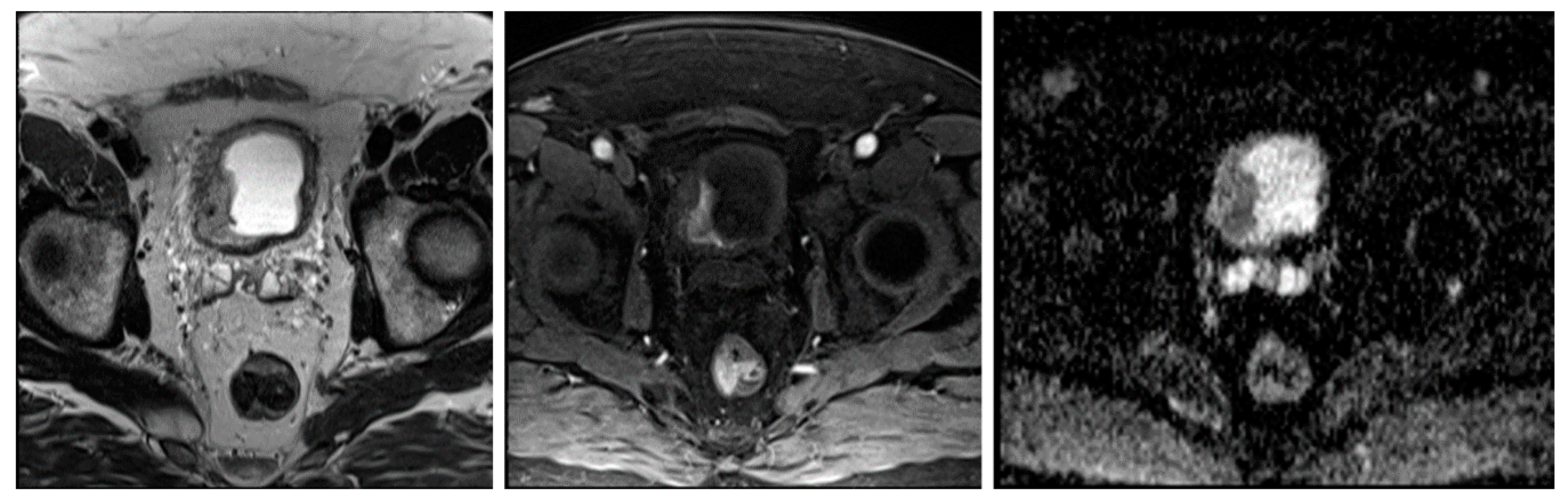
2.2. Magnetic Resonance Imaging
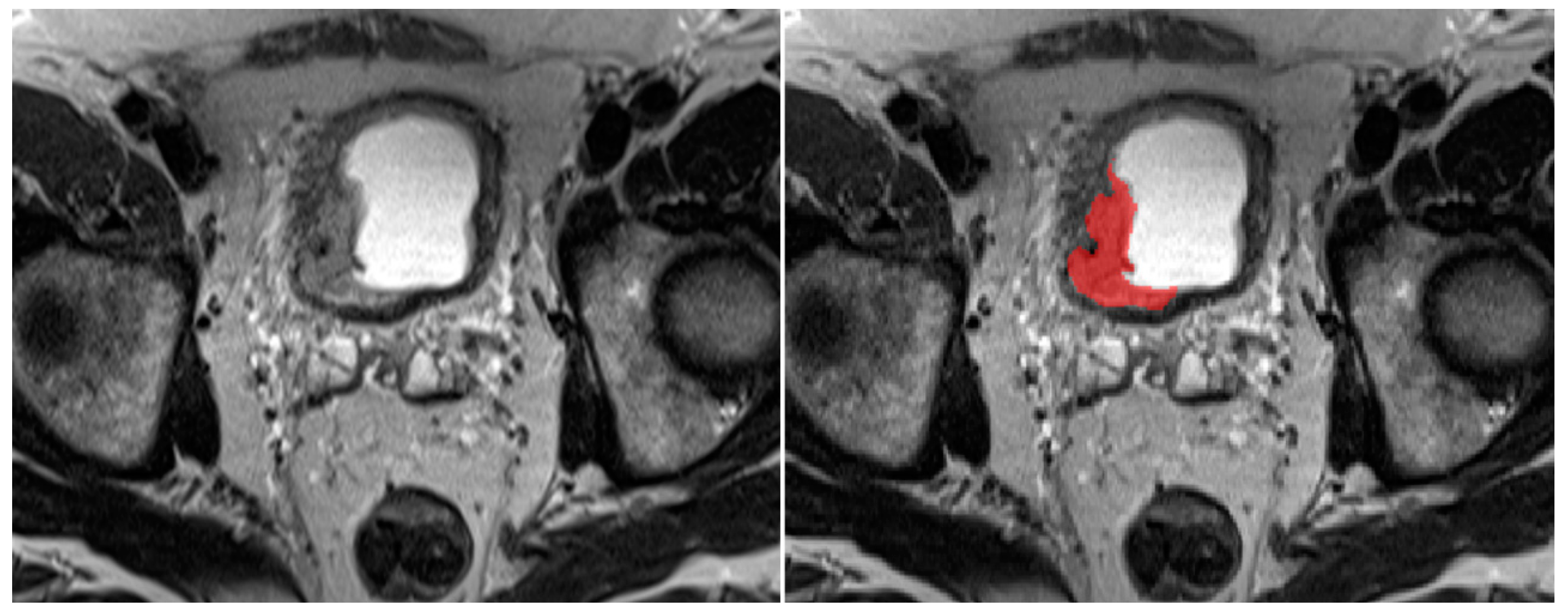
2.3. Image Segmentation
2.4. Deep Learning Models: Training and Evaluation
3. Results
4. Discussion
5. Conclusions
Author Contributions
Funding
Institutional Review Board Statement
Informed Consent Statement
Data Availability Statement
Conflicts of Interest
References
- World Cancer Research Fund International. Bladder Cancer Statistics. Available online: https://www.wcrf.org/cancer-trends/bladder-cancer-statistics/ (accessed on 1 February 2024).
- Cao, C.; Friedenreich, C.M.; Yang, L. Association of Daily Sitting Time and Leisure-Time Physical Activity with Survival among US Cancer Survivors. JAMA Oncol. 2022, 8, 395–403. [Google Scholar] [CrossRef] [PubMed]
- Bladder Cancer Advocay Network. Bladder Cancer Advocacy Network Responds to American Cancer Society’s 2024 Projections. Available online: https://bcan.org/bladder-cancer-advocacy-network-responds-to-american-cancer-societys-2024-projections/ (accessed on 5 February 2024).
- National Cancer Institute. Surveillance, Epidemiology, and End Results Program. Cancer Stat Facts: Bladder Cance. Available online: https://seer.cancer.gov/statfacts/html/urinb.html (accessed on 5 February 2024).
- Chang, S.S.; Bochner, B.H.; Chou, R.; Dreicer, R.; Kamat, A.M.; Lerner, S.P.; Lotan, Y.; Meeks, J.J.; Michalski, J.M.; Morgan, T.M.; et al. Treatment of Non-Metastatic Muscle-Invasive Bladder Cancer: AUA/ASCO/ASTRO/SUO Guideline. J. Urol. 2017, 198, 552–559. [Google Scholar] [CrossRef] [PubMed]
- Milowsky, M.I.; Rumble, R.B.; Booth, C.M.; Gilligan, T.; Eapen, L.J.; Hauke, R.J.; Boumansour, P.; Lee, C.T. Guideline on Muscle-Invasive and Metastatic Bladder Cancer (European Association of Urology Guideline): American Society of Clinical Oncology Clinical Practice Guideline Endorsement. J. Clin. Oncol. 2016, 34, 1945–1952. [Google Scholar] [CrossRef] [PubMed]
- Kulkarni, G.S.; Hakenberg, O.W.; Gschwend, J.E.; Thalmann, G.; Kassouf, W.; Kamat, A.; Zlotta, A. An Updated Critical Analysis of the Treatment Strategy for Newly Diagnosed High-grade T1 (Previously T1G3) Bladder Cancer. Eur. Urol. 2010, 57, 60–70. [Google Scholar] [CrossRef]
- Sylvester, R.J.; van der Meijden, A.P.; Oosterlinck, W.; Witjes, J.A.; Bouffioux, C.; Denis, L.; Newling, D.W.; Kurth, K. Predicting recurrence and progression in individual patients with stage Ta T1 bladder cancer using EORTC risk tables: A combined analysis of 2596 patients from seven EORTC trials. Eur. Urol. 2006, 49, 466–477. [Google Scholar] [CrossRef] [PubMed]
- Jones, H.C.; Swinney, J. The treatment of tumours of the bladder by transurethral resection. Br. J. Urol. 1962, 34, 215–220. [Google Scholar] [CrossRef] [PubMed]
- Mostafid, H.; Brausi, M. Measuring and improving the quality of transurethral resection for bladder tumour (TURBT). BJU Int. 2012, 109, 1579–1582. [Google Scholar] [CrossRef] [PubMed]
- Naselli, A.; Hurle, R.; Paparella, S.; Buffi, N.M.; Lughezzani, G.; Lista, G.; Casale, P.; Saita, A.; Lazzeri, M.; Guazzoni, G. Role of Restaging Transurethral Resection for T1 Non-muscle invasive Bladder Cancer: A Systematic Review and Meta-analysis. Eur. Urol. Focus 2018, 4, 558–567. [Google Scholar] [CrossRef] [PubMed]
- Huang, L.; Kong, Q.; Liu, Z.; Wang, J.; Kang, Z.; Zhu, Y. The Diagnostic Value of MR Imaging in Differentiating T Staging of Bladder Cancer: A Meta-Analysis. Radiology 2018, 286, 502–511. [Google Scholar] [CrossRef] [PubMed]
- Caglic, I.; Panebianco, V.; Vargas, H.A.; Bura, V.; Woo, S.; Pecoraro, M.; Cipollari, S.; Sala, E.; Barrett, T. MRI of Bladder Cancer: Local and Nodal Staging. J. Magn. Reson. Imaging 2020, 52, 649–667. [Google Scholar] [CrossRef] [PubMed]
- Woo, S.; Suh, C.H.; Kim, S.Y.; Cho, J.Y.; Kim, S.H. Diagnostic performance of MRI for prediction of muscle-invasiveness of bladder cancer: A systematic review and meta-analysis. Eur. J. Radiol. 2017, 95, 46–55. [Google Scholar] [CrossRef] [PubMed]
- Juri, H.; Narumi, Y.; Panebianco, V.; Osuga, K. Staging of bladder cancer with multiparametric MRI. Br. J. Radiol. 2020, 93, 20200116. [Google Scholar] [CrossRef] [PubMed]
- Barchetti, G.; Simone, G.; Ceravolo, I.; Salvo, V.; Campa, R.; Del Giudice, F.; De Berardinis, E.; Buccilli, D.; Catalano, C.; Gallucci, M.; et al. Multiparametric MRI of the bladder: Inter-observer agreement and accuracy with the Vesical Imaging-Reporting and Data System (VI-RADS) at a single reference center. Eur. Radiol. 2019, 29, 5498–5506. [Google Scholar] [CrossRef] [PubMed]
- Del Giudice, F.; Barchetti, G.; De Berardinis, E.; Pecoraro, M.; Salvo, V.; Simone, G.; Sciarra, A.; Leonardo, C.; Gallucci, M.; Catalano, C.; et al. Prospective Assessment of Vesical Imaging Reporting and Data System (VI-RADS) and Its Clinical Impact on the Management of High-risk Non-muscle-invasive Bladder Cancer Patients Candidate for Repeated Transurethral Resection. Eur. Urol. 2020, 77, 101–109. [Google Scholar] [CrossRef] [PubMed]
- Ueno, Y.; Takeuchi, M.; Tamada, T.; Sofue, K.; Takahashi, S.; Kamishima, Y.; Hinata, N.; Harada, K.; Fujisawa, M.; Murakami, T. Diagnostic Accuracy and Interobserver Agreement for the Vesical Imaging-Reporting and Data System for Muscle-invasive Bladder Cancer: A Multireader Validation Study. Eur. Urol. 2019, 76, 54–56. [Google Scholar] [CrossRef] [PubMed]
- Tekes, A.; Kamel, I.; Imam, K.; Szarf, G.; Schoenberg, M.; Nasir, K.; Thompson, R.; Bluemke, D. Dynamic MRI of bladder cancer: Evaluation of staging accuracy. AJR Am. J. Roentgenol. 2005, 184, 121–127. [Google Scholar] [CrossRef] [PubMed]
- Pecoraro, M.; Takeuchi, M.; Vargas, H.A.; Muglia, V.F.; Cipollari, S.; Catalano, C.; Panebianco, V. Overview of VI-RADS in Bladder Cancer. AJR Am. J. Roentgenol. 2020, 214, 1259–1268. [Google Scholar] [CrossRef] [PubMed]
- Litjens, G.; Kooi, T.; Bejnordi, B.E.; Setio, A.A.A.; Ciompi, F.; Ghafoorian, M.; van der Laak, J.; van Ginneken, B.; Sanchez, C.I. A survey on deep learning in medical image analysis. Med. Image Anal. 2017, 42, 60–88. [Google Scholar] [CrossRef] [PubMed]
- Yushkevich, P.A.; Piven, J.; Hazlett, H.C.; Smith, R.G.; Ho, S.; Gee, J.C.; Gerig, G. User-guided 3D active contour segmentation of anatomical structures: Significantly improved efficiency and reliability. Neuroimage 2006, 31, 1116–1128. [Google Scholar] [CrossRef] [PubMed]
- Fan, T.L.; Wang, G.L.; Li, Y.; Wang, H.R. MA-Net: A Multi-Scale Attention Network for Liver and Tumor Segmentation. IEEE Access 2020, 8, 179656–179665. [Google Scholar] [CrossRef]
- Ronneberger, O.; Fischer, P.; Brox, T. U-Net: Convolutional Networks for Biomedical Image Segmentation. arXiv 2015, arXiv:1505.04597. [Google Scholar]
- Zhao, H.; Shi, J.; Qi, X.; Wang, X.; Jia, J. Pyramid Scene Parsing Network. arXiv 2016, arXiv:1612.01105. [Google Scholar]
- Milletari, F.; Navab, N.; Ahmadi, S.A. V-Net: Fully Convolutional Neural Networks for Volumetric Medical Image Segmentation. In Proceedings of the 2016 Fourth International Conference on 3D Vision (3DV), Stanford, CA, USA, 25–28 October 2016; pp. 565–571. [Google Scholar]
- Lin, T.Y.; Goyal, P.; Girshick, R.; He, K.; Dollar, P. Focal Loss for Dense Object Detection. IEEE Trans. Pattern Anal. Mach. Intell. 2020, 42, 318–327. [Google Scholar] [CrossRef] [PubMed]
- Li, L.; Doroslovacki, M.; Loew, M.H. Approximating the Gradient of Cross-Entropy Loss Function. IEEE Access 2020, 8, 111626–111635. [Google Scholar] [CrossRef]
- Dice, L.R. Measures of the Amount of Ecologic Association between Species. Ecology 1945, 26, 297–302. [Google Scholar] [CrossRef]
- Karimi, D.; Salcudean, S.E. Reducing the Hausdorff Distance in Medical Image Segmentation With Convolutional Neural Networks. IEEE Trans. Med. Imaging 2020, 39, 499–513. [Google Scholar] [CrossRef] [PubMed]
- Naeini, M.P.; Cooper, G.F.; Hauskrecht, M. Obtaining Well Calibrated Probabilities Using Bayesian Binning. Proc. AAAI Conf. Artif. Intell. 2015, 2015, 2901–2907. [Google Scholar]
- Yeung, M.; Sala, E.; Schönlieb, C.B.; Rundo, L. Unified Focal loss: Generalising Dice and cross entropy-based losses to handle class imbalanced medical image segmentation. Comput. Med. Imag. Grap 2022, 95, ARTN 102026. [Google Scholar] [CrossRef]
- Dolz, J.; Xu, X.; Rony, J.; Yuan, J.; Liu, Y.; Granger, E.; Desrosiers, C.; Zhang, X.; Ben Ayed, I.; Lu, H. Multiregion segmentation of bladder cancer structures in MRI with progressive dilated convolutional networks. Med. Phys. 2018, 45, 5482–5493. [Google Scholar] [CrossRef]
- Yu, J.; Cai, L.; Chen, C.; Fu, X.; Wang, L.; Yuan, B.; Yang, X.; Lu, Q. Cascade Path Augmentation Unet for bladder cancer segmentation in MRI. Med. Phys. 2022, 49, 4622–4631. [Google Scholar] [CrossRef] [PubMed]
- Moribata, Y.; Kurata, Y.; Nishio, M.; Kido, A.; Otani, S.; Himoto, Y.; Nishio, N.; Furuta, A.; Onishi, H.; Masui, K.; et al. Automatic segmentation of bladder cancer on MRI using a convolutional neural network and reproducibility of radiomics features: A two-center study. Sci. Rep. 2023, 13, 628. [Google Scholar] [CrossRef] [PubMed]
- Duan, C.J.; Liang, Z.R.; Bao, S.L.; Zhu, H.B.; Wang, S.; Zhang, G.X.; Chen, J.J.; Lu, H.B. A Coupled Level Set Framework for Bladder Wall Segmentation With Application to MR Cystography. IEEE Trans. Med. Imaging 2010, 29, 903–915. [Google Scholar] [CrossRef] [PubMed]
- Duan, C.J.; Yuan, K.H.; Liu, F.H.; Xiao, P.; Lv, G.Q.; Liang, Z.R. An Adaptive Window-Setting Scheme for Segmentation of Bladder Tumor Surface via MR Cystography. IEEE Trans. Inf. Technol. B 2012, 16, 720–729. [Google Scholar] [CrossRef] [PubMed][Green Version]
- Qin, X.J.; Li, X.L.; Liu, Y.; Lu, H.B.; Yan, P.K. Adaptive Shape Prior Constrained Level Sets for Bladder MR Image Segmentation. IEEE J. Biomed. Health 2014, 18, 1707–1716. [Google Scholar] [CrossRef] [PubMed]
- Gordon, M.N.; Hadjiiski, L.M.; Cha, K.H.; Samala, R.K.; Chan, H.P.; Cohan, R.H.; Caoili, E.M. Deep-learning convolutional neural network: Inner and outer bladder wall segmentation in CT urography. Med. Phys. 2019, 46, 634–648. [Google Scholar] [CrossRef] [PubMed]





| T2WI (Axial) | T1WI DCE (Axial) | DWI (Axial) | |
|---|---|---|---|
| Repetition Time (TR), ms | 5970 | 2.96 | TR = 4600 |
| Echo Time (TE), ms | 86 | 1.18 | TE = 84 |
| Field of View (FOV), mm | 199 × 199 | 240 × 240 | 220 × 260 |
| Matrix | 448 × 448 | 256 × 256 | 136 × 160 |
| Slice Thickness (ST), mm | 3 | 3 | 4 |
| b-value, s/mm2 | - | - | 0 and 500 |
| Tumor | ||||||||||
|---|---|---|---|---|---|---|---|---|---|---|
| DSC | HD | ECE | ||||||||
| Model | Modality Loss | ADC | T1 | T2 | ADC | T1 | T2 | ADC | T1 | T2 |
| MAnet | LCE | 0.4550 | 0.3175 | 0.2875 | 47.54 | 67.62 | 76.91 | 0.0200 | 0.0200 | 0.0350 |
| LCE + LDSC | 0.5925 | 0.5600 | 0.4650 | 23.92 | 27.52 | 41.23 | 0.0150 | 0.0075 | 0.0100 | |
| LFL | 0.3700 | 0.2575 | 0.2450 | 46.83 | 72.58 | 74.64 | 0.0525 | 0.1025 | 0.1125 | |
| PSPnet | LCE | 0.4200 | 0.4500 | 0.2700 | 52.84 | 56.28 | 78.27 | 0.0175 | 0.0250 | 0.0325 |
| LCE + LDSC | 0.5650 | 0.5075 | 0.4175 | 10.71 | 21.94 | 31.34 | 0.0150 | 0.0175 | 0.0200 | |
| LFL | 0.3825 | 0.3925 | 0.2600 | 47.26 | 45.68 | 80.85 | 0.0125 | 0.0150 | 0.0250 | |
| Unet | LCE | 0.4950 | 0.2900 | 0.2750 | 39.21 | 87.53 | 85.57 | 0.0200 | 0.0200 | 0.0250 |
| LCE + LDSC | 0.5825 | 0.5250 | 0.4525 | 33.86 | 46.09 | 57.34 | 0.0150 | 0.0075 | 0.0150 | |
| LFL | 0.3850 | 0.2725 | 0.2100 | 36.32 | 85.04 | 82.97 | 0.0475 | 0.0925 | 0.1275 |
Disclaimer/Publisher’s Note: The statements, opinions and data contained in all publications are solely those of the individual author(s) and contributor(s) and not of MDPI and/or the editor(s). MDPI and/or the editor(s) disclaim responsibility for any injury to people or property resulting from any ideas, methods, instructions or products referred to in the content. |
© 2024 by the authors. Licensee MDPI, Basel, Switzerland. This article is an open access article distributed under the terms and conditions of the Creative Commons Attribution (CC BY) license (https://creativecommons.org/licenses/by/4.0/).
Share and Cite
Gumus, K.Z.; Nicolas, J.; Gopireddy, D.R.; Dolz, J.; Jazayeri, S.B.; Bandyk, M. Deep Learning Algorithms for Bladder Cancer Segmentation on Multi-Parametric MRI. Cancers 2024, 16, 2348. https://doi.org/10.3390/cancers16132348
Gumus KZ, Nicolas J, Gopireddy DR, Dolz J, Jazayeri SB, Bandyk M. Deep Learning Algorithms for Bladder Cancer Segmentation on Multi-Parametric MRI. Cancers. 2024; 16(13):2348. https://doi.org/10.3390/cancers16132348
Chicago/Turabian StyleGumus, Kazim Z., Julien Nicolas, Dheeraj R. Gopireddy, Jose Dolz, Seyed Behzad Jazayeri, and Mark Bandyk. 2024. "Deep Learning Algorithms for Bladder Cancer Segmentation on Multi-Parametric MRI" Cancers 16, no. 13: 2348. https://doi.org/10.3390/cancers16132348
APA StyleGumus, K. Z., Nicolas, J., Gopireddy, D. R., Dolz, J., Jazayeri, S. B., & Bandyk, M. (2024). Deep Learning Algorithms for Bladder Cancer Segmentation on Multi-Parametric MRI. Cancers, 16(13), 2348. https://doi.org/10.3390/cancers16132348
