An Update on the Role of MRI in Treatment Stratification of Patients with Cervical Cancer
Abstract
:Simple Summary
Abstract
1. Introduction
2. The Role of Different Imaging Modalities in the Assessment of Cervical Cancer
MRI Protocol for Uterine Cervical Cancer
3. FIGO STAGING with MRI
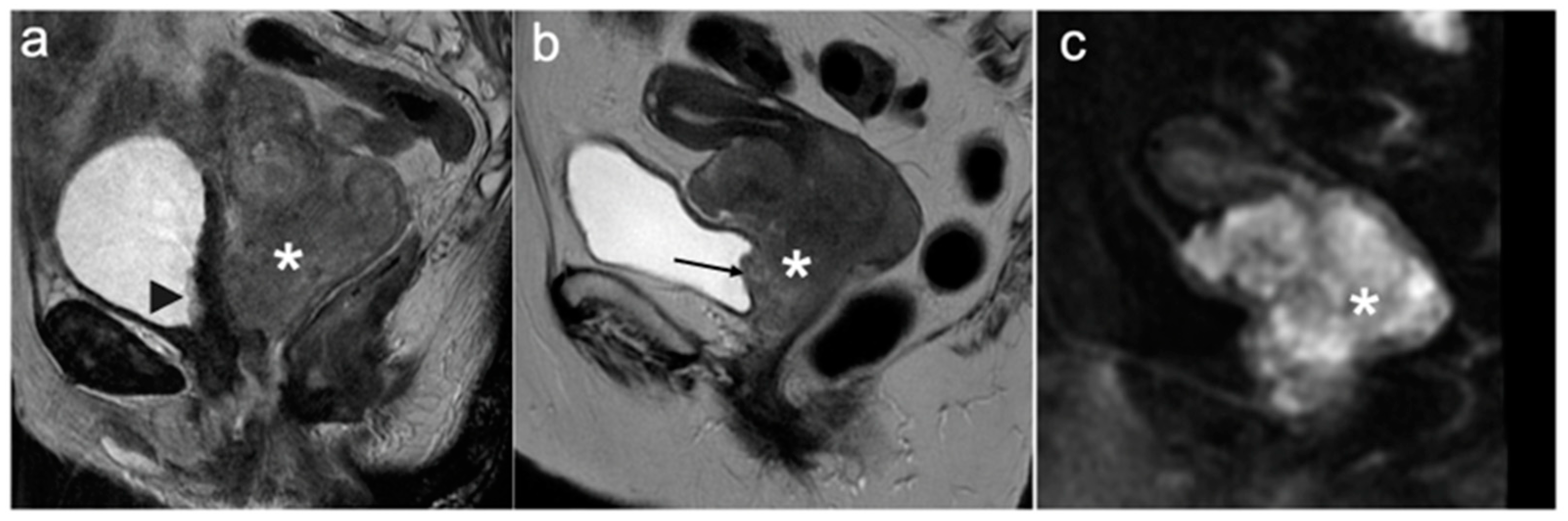
4. FIGO Stage I
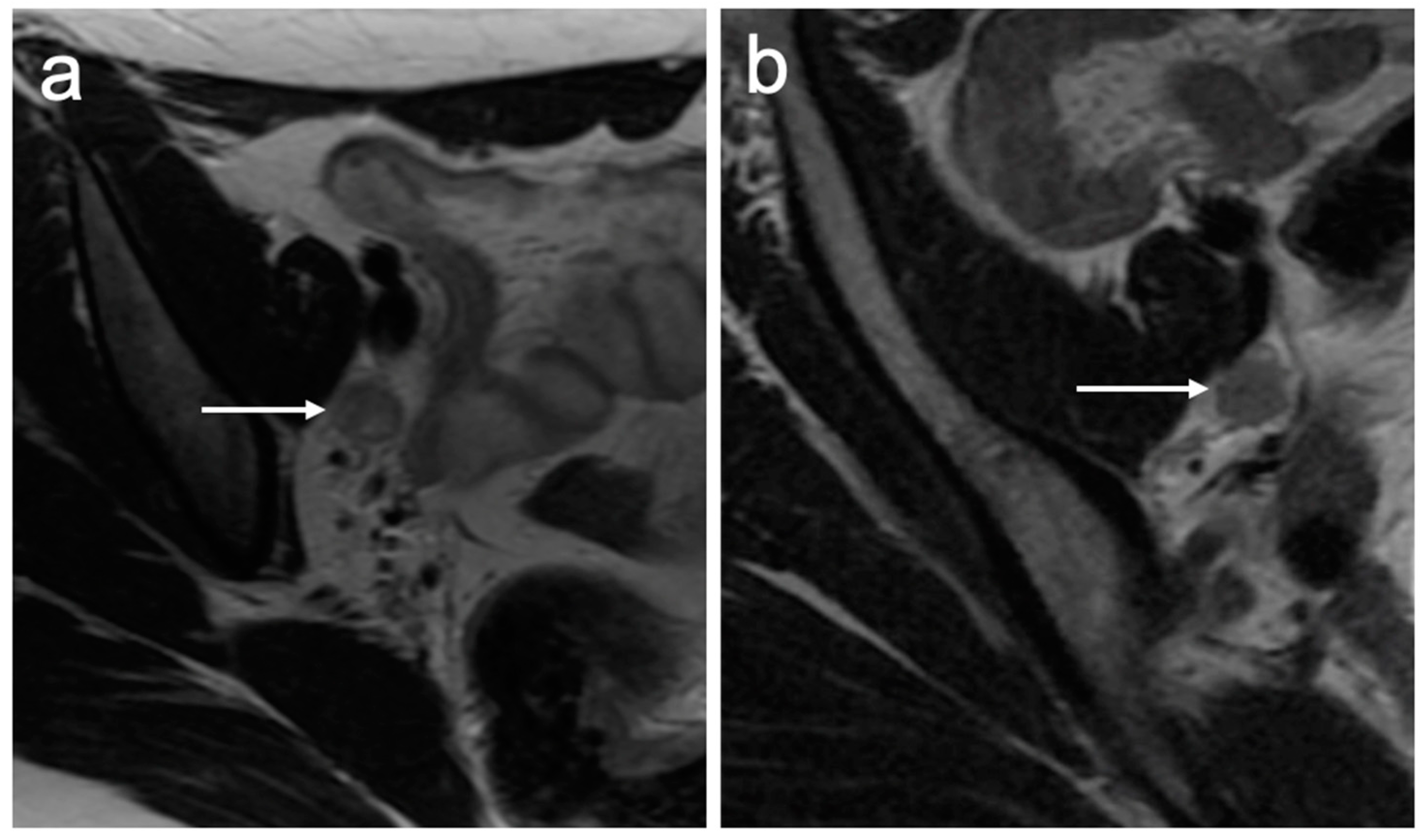
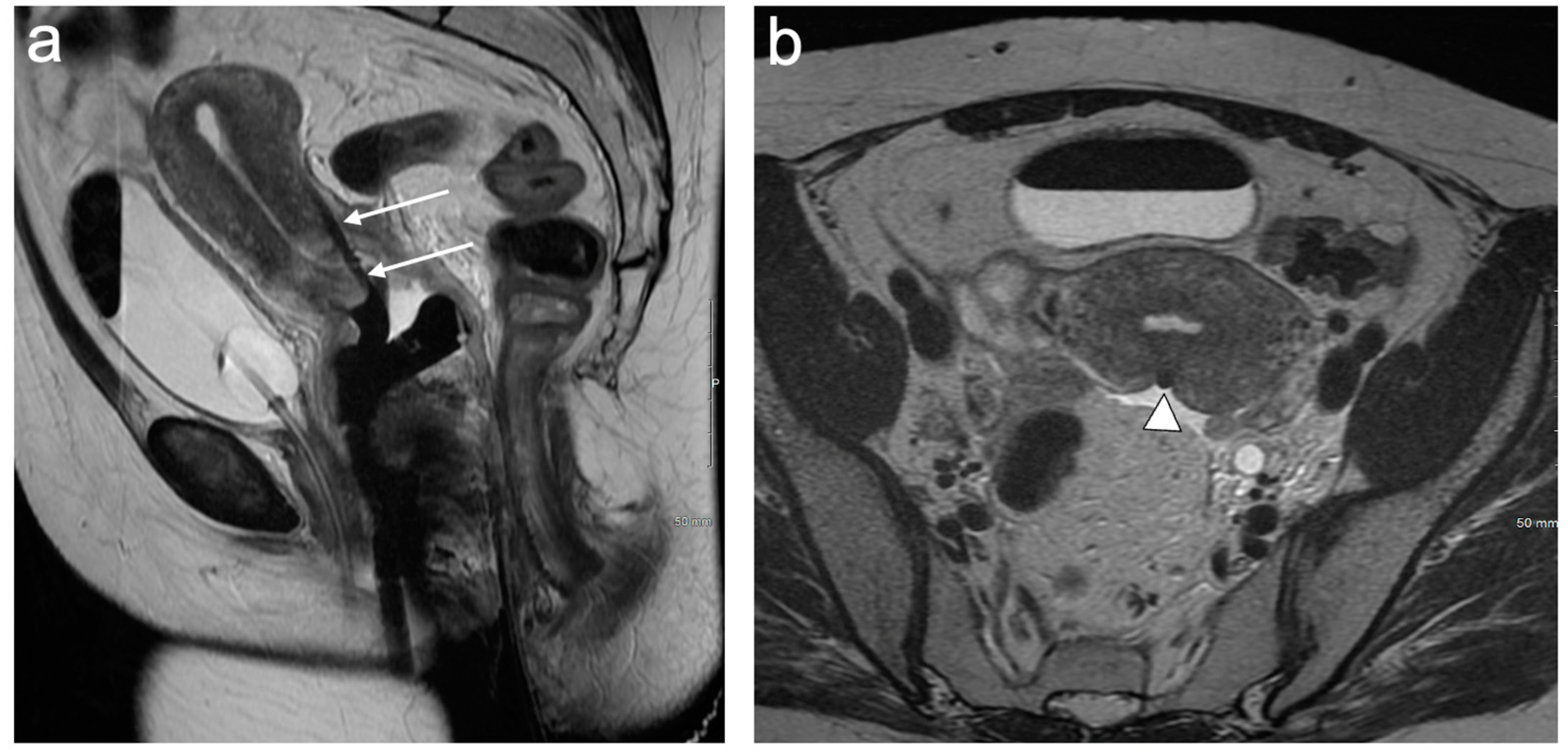
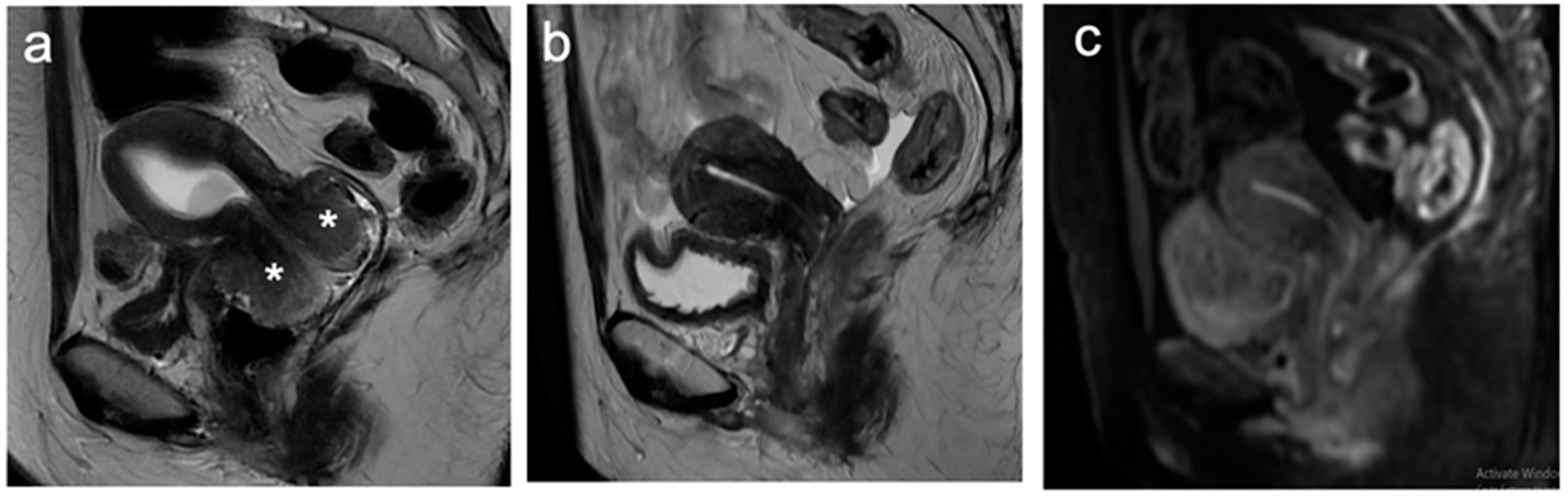
5. FIGO Stage II
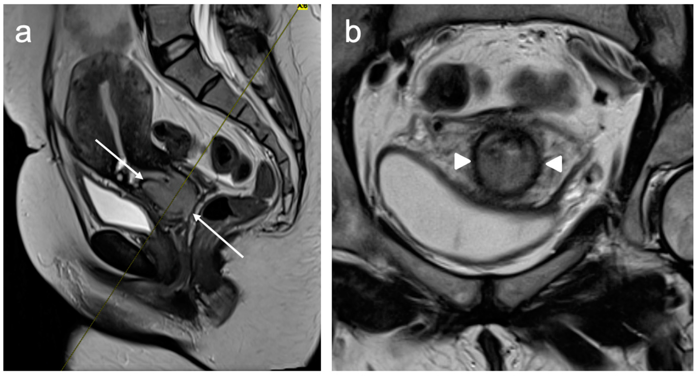
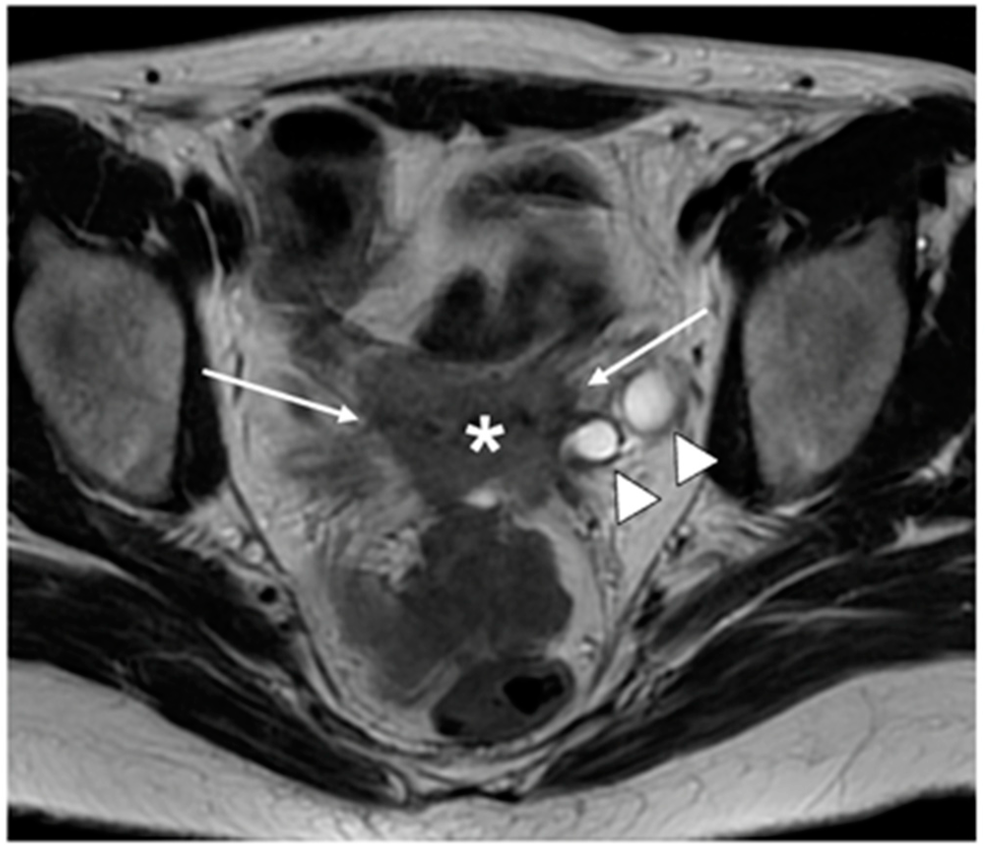
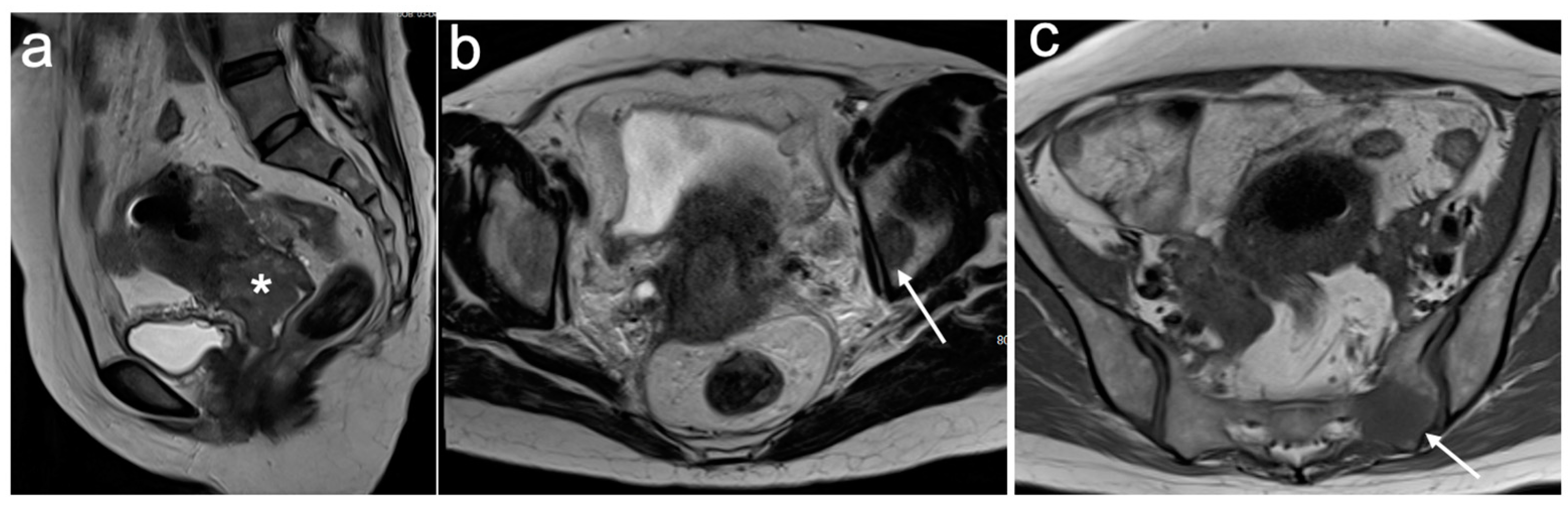
6. FIGO Stage III
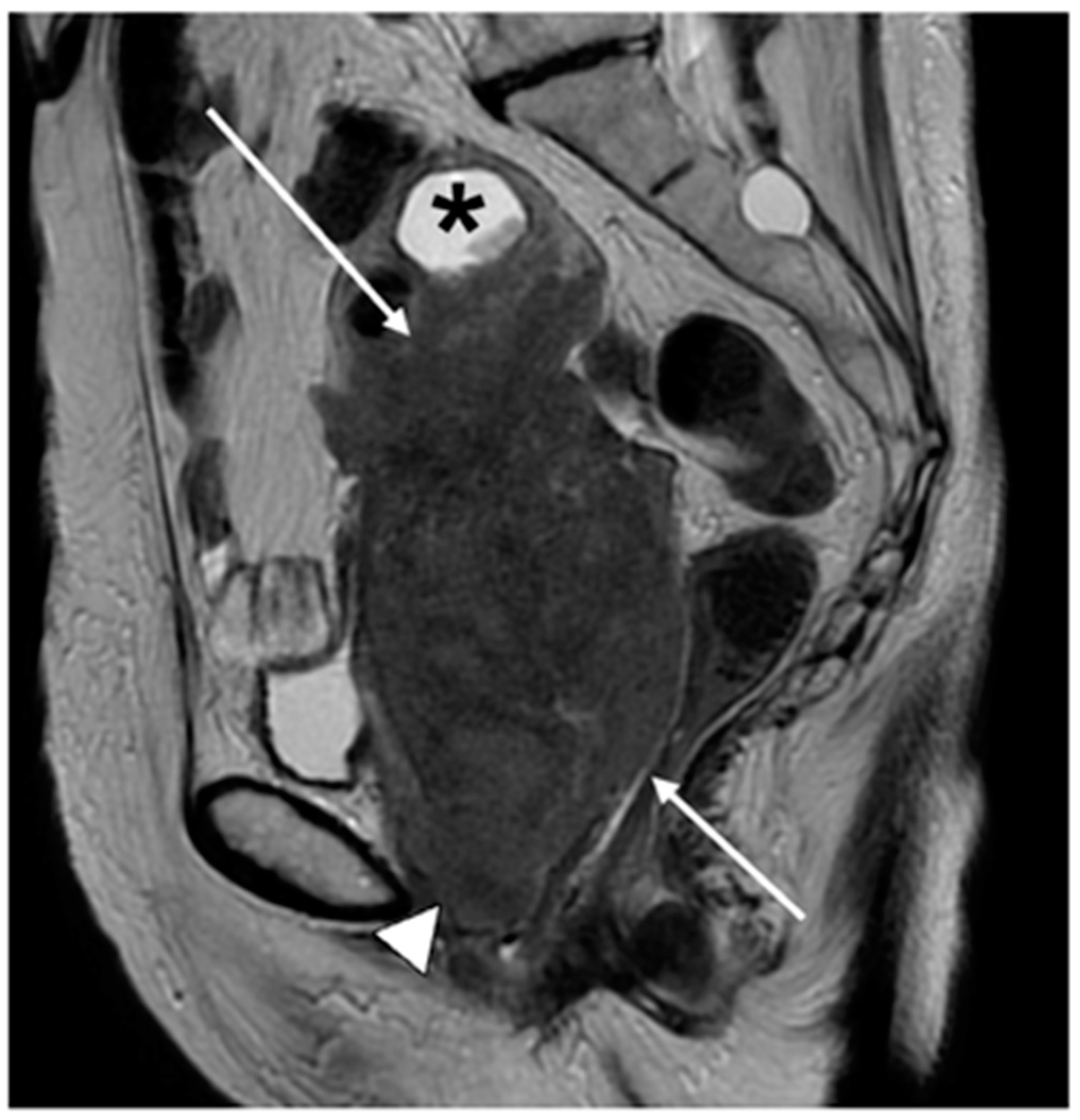
7. FIGO Stage IV
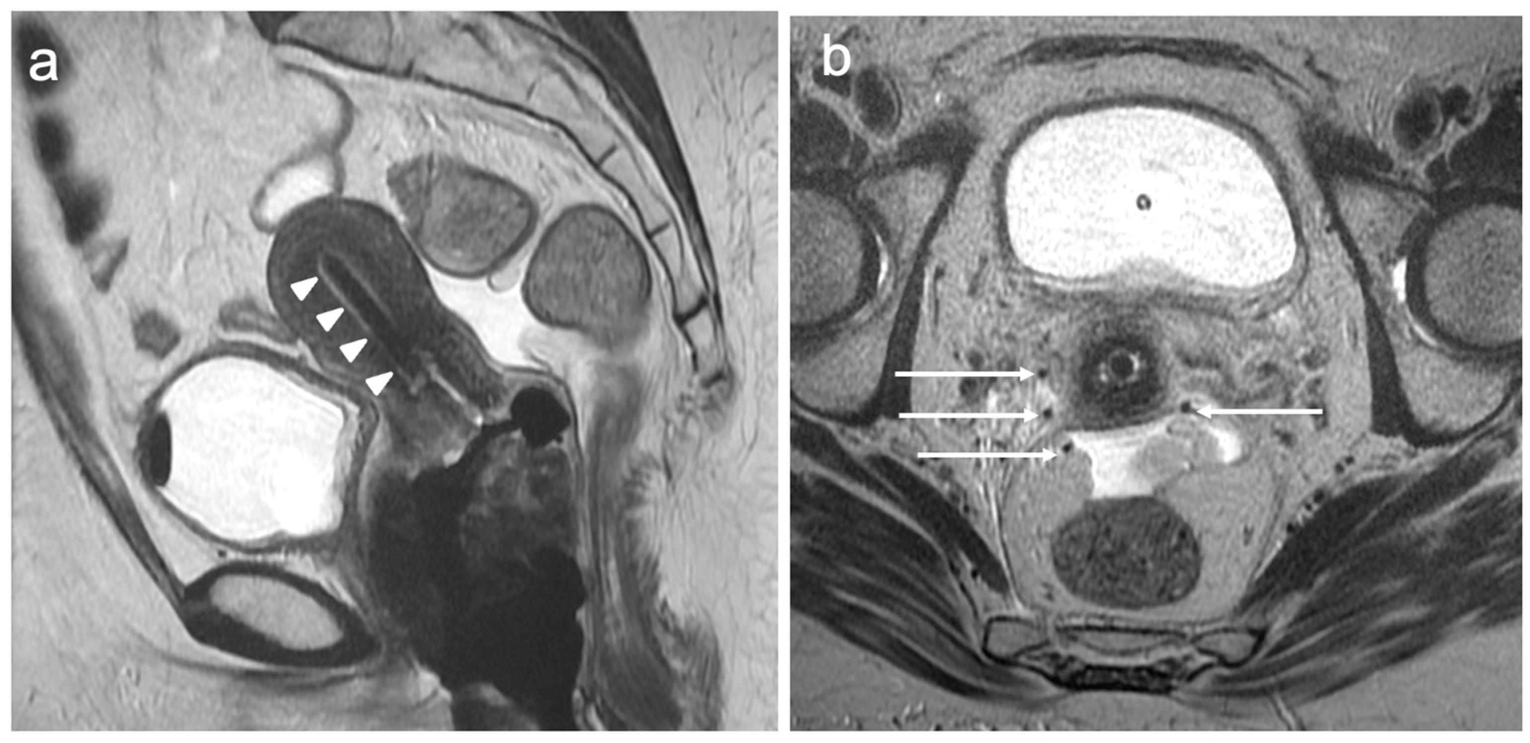
8. Impact of MRI Findings on Treatment Selection
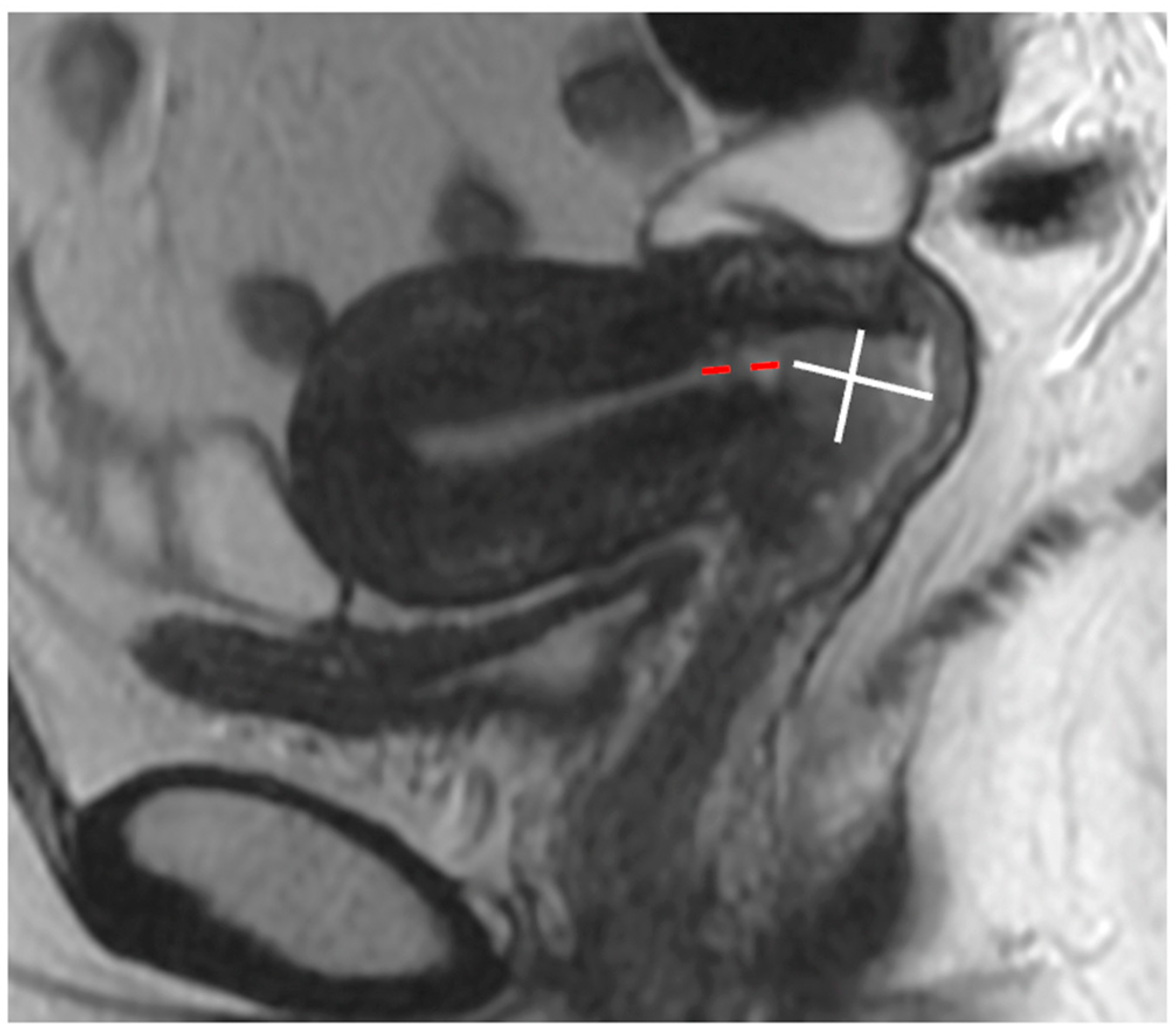
9. Recurrent Cervical Cancer
10. Conclusions
Author Contributions
Funding
Informed Consent Statement
Data Availability Statement
Conflicts of Interest
References
- Sung, H.; Ferlay, J.; Siegel, R.L.; Laversanne, M.; Soerjomataram, I.; Jemal, A.; Bray, F. Global Cancer Statistics 2020: GLOBOCAN Estimates of Incidence and Mortality Worldwide for 36 Cancers in 185 Countries. CA. Cancer J. Clin. 2021, 71, 209–249. [Google Scholar] [CrossRef] [PubMed]
- Bosch, F.X.; Lorincz, A.; Muñoz, N.; Meijer, C.J.L.M.; Shah, K.V. The causal relation between human papillomavirus and cervical cancer. J. Clin. Pathol. 2002, 55, 244–265. [Google Scholar] [CrossRef] [PubMed]
- Bhatla, N.; Aoki, D.; Sharma, D.N.; Sankaranarayanan, R. Cancer of the cervix uteri: 2021 update. Int. J. Gynecol. Obstet. 2021, 155, 28–44. [Google Scholar] [CrossRef]
- Global Strategy to Accelerate the Elimination of Cervical Cancer as a Public Health Problem. Available online: https://www.who.int/publications-detail-redirect/9789240014107 (accessed on 22 August 2023).
- Hu, K.; Wang, W.; Liu, X.; Meng, Q.; Zhang, F. Comparison of treatment outcomes between squamous cell carcinoma and adenocarcinoma of cervix after definitive radiotherapy or concurrent chemoradiotherapy. Radiat. Oncol. Lond. Engl. 2018, 13, 249. [Google Scholar] [CrossRef]
- Alcazar, J.L.; García, E.; Machuca, M.; Quintana, R.; Escrig, J.; Chacón, E.; Mínguez, J.A.; Chiva, L. Magnetic resonance imaging and ultrasound for assessing parametrial infiltration in cervical cancer. A systematic review and meta-analysis. Med. Ultrason. 2020, 22, 85–91. [Google Scholar] [CrossRef] [PubMed]
- Woo, S.; Atun, R.; Ward, Z.J.; Scott, A.M.; Hricak, H.; Vargas, H.A. Diagnostic performance of conventional and advanced imaging modalities for assessing newly diagnosed cervical cancer: Systematic review and meta-analysis. Eur. Radiol. 2020, 30, 5560–5577. [Google Scholar] [CrossRef] [PubMed]
- Pannu, H.K.; Corl, F.M.; Fishman, E.K. CT Evaluation of Cervical Cancer: Spectrum of Disease. RadioGraphics 2001, 21, 1155–1168. [Google Scholar] [CrossRef]
- Tsili, A.C.; Tsangou, V.; Koliopoulos, G.; Stefos, T.; Argyropoulou, M.I. Early-stage cervical carcinoma: The role of multidetector CT in correlation with histopathological findings. J. Obstet. Gynaecol. 2013, 33, 882–887. [Google Scholar] [CrossRef]
- Mirpour, S.; Mhlanga, J.C.; Logeswaran, P.; Russo, G.; Mercier, G.; Subramaniam, R.M. The Role of PET/CT in the Management of Cervical Cancer. Am. J. Roentgenol. 2013, 201, W192–W205. [Google Scholar] [CrossRef]
- Cibula, D.; Raspollini, M.R.; Planchamp, F.; Centeno, C.; Chargari, C.; Felix, A.; Fischerová, D.; Jahnn-Kuch, D.; Joly, F.; Kohler, C.; et al. ESGO/ESTRO/ESP Guidelines for the management of patients with cervical cancer—Update 2023. Int. J. Gynecol. Cancer 2023, 33, 649–666. [Google Scholar] [CrossRef]
- Ruan, J.; Zhang, Y.; Ren, H. Meta-analysis of PET/CT Detect Lymph Nodes Metastases of Cervical Cancer. Open Med. 2018, 13, 436–442. [Google Scholar] [CrossRef] [PubMed]
- Balleyguier, C.; Sala, E.; Da Cunha, T.; Bergman, A.; Brkljacic, B.; Danza, F.; Forstner, R.; Hamm, B.; Kubik-Huch, R.; Lopez, C.; et al. Staging of uterine cervical cancer with MRI: Guidelines of the European Society of Urogenital Radiology. Eur. Radiol. 2011, 21, 1102–1110. [Google Scholar] [CrossRef] [PubMed]
- Hricak, H.; Powell, C.B.; Yu, K.K.; Washington, E.; Subak, L.L.; Stern, J.L.; Cisternas, M.G.; Arenson, R.L. Invasive cervical carcinoma: Role of MR imaging in pretreatment work-up--cost minimization and diagnostic efficacy analysis. Radiology 1996, 198, 403–409. [Google Scholar] [CrossRef] [PubMed]
- Manganaro, L.; Lakhman, Y.; Bharwani, N.; Gui, B.; Gigli, S.; Vinci, V.; Rizzo, S.; Kido, A.; Cunha, T.M.; Sala, E.; et al. Staging, recurrence and follow-up of uterine cervical cancer using MRI: Updated Guidelines of the European Society of Urogenital Radiology after revised FIGO staging 2018. Eur. Radiol. 2021, 31, 7802–7816. [Google Scholar] [CrossRef]
- Gala, F.B.; Gala, K.B.; Gala, B.M. Magnetic Resonance Imaging of Uterine Cervix: A Pictorial Essay. Indian J. Radiol. Imaging 2021, 31, 454–467. [Google Scholar] [CrossRef]
- Salib, M.Y.; Russell, J.H.B.; Stewart, V.R.; Sudderuddin, S.A.; Barwick, T.D.; Rockall, A.G.; Bharwani, N. 2018 FIGO Staging Classification for Cervical Cancer: Added Benefits of Imaging. RadioGraphics 2020, 40, 1807–1822. [Google Scholar] [CrossRef]
- Sala, E.; Rockall, A.G.; Freeman, S.J.; Mitchell, D.G.; Reinhold, C. The Added Role of MR Imaging in Treatment Stratification of Patients with Gynecologic Malignancies: What the Radiologist Needs to Know. Radiology 2013, 266, 717–740. [Google Scholar] [CrossRef]
- Baliyan, V.; Das, C.J.; Sharma, R.; Gupta, A.K. Diffusion weighted imaging: Technique and applications. World J. Radiol. 2016, 8, 785–798. [Google Scholar] [CrossRef]
- Chenevert, T.L.; Stegman, L.D.; Taylor, J.M.; Robertson, P.L.; Greenberg, H.S.; Rehemtulla, A.; Ross, B.D. Diffusion magnetic resonance imaging: An early surrogate marker of therapeutic efficacy in brain tumors. J. Natl. Cancer Inst. 2000, 92, 2029–2036. [Google Scholar] [CrossRef]
- Nougaret, S.; Tirumani, S.H.; Addley, H.; Pandey, H.; Sala, E.; Reinhold, C. Pearls and Pitfalls in MRI of Gynecologic Malignancy With Diffusion-Weighted Technique. Am. J. Roentgenol. 2013, 200, 261–276. [Google Scholar] [CrossRef]
- Otero-García, M.M.; Mesa-Álvarez, A.; Nikolic, O.; Blanco-Lobato, P.; Basta-Nikolic, M.; de Llano-Ortega, R.M.; Paredes-Velázquez, L.; Nikolic, N.; Szewczyk-Bieda, M. Role of MRI in staging and follow-up of endometrial and cervical cancer: Pitfalls and mimickers. Insights Imaging 2019, 10, 19. [Google Scholar] [CrossRef] [PubMed]
- Duarte, A.L.; Dias, J.L.; Cunha, T.M. Pitfalls of diffusion-weighted imaging of the female pelvis. Radiol. Bras. 2018, 51, 37–44. [Google Scholar] [CrossRef] [PubMed]
- Harry, V.N.; Persad, S.; Bassaw, B.; Parkin, D. Diffusion-weighted MRI to detect early response to chemoradiation in cervical cancer: A systematic review and meta-analysis. Gynecol. Oncol. Rep. 2021, 38, 100883. [Google Scholar] [CrossRef]
- Meyer, H.-J.; Wienke, A.; Surov, A. Pre-treatment Apparent Diffusion Coefficient Does Not Predict Therapy Response to Radiochemotherapy in Cervical Cancer: A Systematic Review and Meta-Analysis. Anticancer Res. 2021, 41, 1163–1170. [Google Scholar] [CrossRef] [PubMed]
- Shakur, A.; O’Shea, A.; Harisinghani, M.G. Pelvic Lymph Node Anatomy. In Atlas of Lymph Node Anatomy; Harisinghani, M.G., Ed.; Springer International Publishing: Cham, Switzerland, 2021; pp. 93–152. ISBN 978-3-030-80899-0. [Google Scholar]
- Keshavarz, E.; Ahangaran, A.; Pouya, E.K.; Maheronnaghsh, R.; Chavoshi, M.; Rouzrokh, P. Effects of Obesity on Axillary Lymph Node Structure: Association of Hilar Fat Deposition and Alterations in Cortex Width. Maedica 2020, 15, 99–104. [Google Scholar] [CrossRef]
- Avesani, G.; Perazzolo, A.; Amerighi, A.; Celli, V.; Panico, C.; Sala, E.; Gui, B. The Utility of Contrast-Enhanced Magnetic Resonance Imaging in Uterine Cervical Cancer: A Systematic Review. Life 2023, 13, 1368. [Google Scholar] [CrossRef] [PubMed]
- Akita, A.; Shinmoto, H.; Hayashi, S.; Akita, H.; Fujii, T.; Mikami, S.; Tanimoto, A.; Kuribayashi, S. Comparison of T2-weighted and contrast-enhanced T1-weighted MR imaging at 1.5 T for assessing the local extent of cervical carcinoma. Eur. Radiol. 2011, 21, 1850–1857. [Google Scholar] [CrossRef]
- Tomaszewski, M.R.; Gillies, R.J. The Biological Meaning of Radiomic Features. Radiology 2021, 298, 505–516. [Google Scholar] [CrossRef]
- Becker, A.S.; Ghafoor, S.; Marcon, M.; Perucho, J.A.; Wurnig, M.C.; Wagner, M.W.; Khong, P.-L.; Lee, E.Y.; Boss, A. MRI texture features may predict differentiation and nodal stage of cervical cancer: A pilot study. Acta Radiol. Open 2017, 6, 2058460117729574. [Google Scholar] [CrossRef]
- Wormald, B.W.; Doran, S.J.; Ind, T.E.J.; D’Arcy, J.; Petts, J.; deSouza, N.M. Radiomic features of cervical cancer on T2-and diffusion-weighted MRI: Prognostic value in low-volume tumors suitable for trachelectomy. Gynecol. Oncol. 2020, 156, 107–114. [Google Scholar] [CrossRef]
- Laliscia, C.; Gadducci, A.; Mattioni, R.; Orlandi, F.; Giusti, S.; Barcellini, A.; Gabelloni, M.; Morganti, R.; Neri, E.; Paiar, F. MRI-based radiomics: Promise for locally advanced cervical cancer treated with a tailored integrated therapeutic approach. Tumori 2022, 108, 376–385. [Google Scholar] [CrossRef] [PubMed]
- Li, L.; Zhang, J.; Zhe, X.; Tang, M.; Zhang, X.; Lei, X.; Zhang, L. A meta-analysis of MRI-based radiomic features for predicting lymph node metastasis in patients with cervical cancer. Eur. J. Radiol. 2022, 151, 110243. [Google Scholar] [CrossRef] [PubMed]
- Subak, L.L.; Hricak, H.; Powell, C.B.; Azizi, L.; Stern, J.L. Cervical carcinoma: Computed tomography and magnetic resonance imaging for preoperative staging. Obstet. Gynecol. 1995, 86, 43–50. [Google Scholar] [CrossRef] [PubMed]
- Salvo, G.; Odetto, D.; Saez Perrotta, M.C.; Noll, F.; Perrotta, M.; Pareja, R.; Wernicke, A.; Ramirez, P.T. Measurement of tumor size in early cervical cancer: An ever-evolving paradigm. Int. J. Gynecol. Cancer 2020, 30, 1215–1223. [Google Scholar] [CrossRef] [PubMed]
- Kido, A.; Nakamoto, Y. Implications of the new FIGO staging and the role of imaging in cervical cancer. Br. J. Radiol. 2021, 94, 20201342. [Google Scholar] [CrossRef] [PubMed]
- Young, P.; Daniel, B.; Sommer, G.; Kim, B.; Herfkens, R. Intravaginal gel for staging of female pelvic cancers--preliminary report of safety, distention, and gel-mucosal contrast during magnetic resonance examination. J Comput. Assist. Tomogr. 2012, 36, 253–256. [Google Scholar] [CrossRef] [PubMed]
- Valentini, A.L.; Gui, B.; Miccò, M.; Giuliani, M.; Rodolfino, E.; Ninivaggi, V.; Iacobucci, M.; Marino, M.; Gambacorta, M.A.; Testa, A.C.; et al. MRI anatomy of parametrial extension to better identify local pathways of disease spread in cervical cancer. Diagn. Interv. Radiol. 2016, 22, 319–325. [Google Scholar] [CrossRef]
- Freeman, S.J.; Aly, A.M.; Kataoka, M.Y.; Addley, H.C.; Reinhold, C.; Sala, E. The revised FIGO staging system for uterine malignancies: Implications for MR imaging. Radiographics 2012, 32, 1805–1827. [Google Scholar] [CrossRef] [PubMed]
- Kostov, S.; Selçuk, I.; Watrowski, R.; Kornovski, Y.; Yalçın, H.; Slavchev, S.; Ivanova, Y.; Dzhenkov, D.; Yordanov, A. Pelvic Sidewall Anatomy in Gynecologic Oncology-New Insights into a Potential Avascular Space. Diagnostics 2022, 12, 519. [Google Scholar] [CrossRef]
- Wright, J.D.; Matsuo, K.; Huang, Y.; Tergas, A.I.; Hou, J.Y.; Khoury-Collado, F.; St Clair, C.M.; Ananth, C.V.; Neugut, A.I.; Hershman, D.L. Prognostic Performance of the 2018 International Federation of Gynecology and Obstetrics Cervical Cancer Staging Guidelines. Obstet. Gynecol. 2019, 134, 49–57. [Google Scholar] [CrossRef]
- Jorg, T.; Halfmann, M.C.; Arnhold, G.; Pinto dos Santos, D.; Kloeckner, R.; Düber, C.; Mildenberger, P.; Jungmann, F.; Müller, L. Implementation of structured reporting in clinical routine: A review of 7 years of institutional experience. Insights Imaging 2023, 14, 61. [Google Scholar] [CrossRef] [PubMed]
- McEvoy, S.H.; Nougaret, S.; Abu-Rustum, N.R.; Vargas, H.A.; Sadowski, E.A.; Menias, C.O.; Shitano, F.; Fujii, S.; Sosa, R.E.; Escalon, J.G.; et al. Fertility-sparing for young patients with gynecologic cancer: How MRI can guide patient selection prior to conservative management. Abdom. Radiol. 2017, 42, 2488–2512, Erratum in Abdom. Radiol. 2017, 42, 2966–2973. [Google Scholar]
- Halaska, M.; Robova, H.; Pluta, M.; Rob, L. The role of trachelectomy in cervical cancer. Ecancermedicalscience 2015, 9, 506. [Google Scholar] [CrossRef]
- Rockall, A.G.; Qureshi, M.; Papadopoulou, I.; Saso, S.; Butterfield, N.; Thomassin-Naggara, I.; Farthing, A.; Smith, J.R.; Bharwani, N. Role of Imaging in Fertility-sparing Treatment of Gynecologic Malignancies. Radiographics 2016, 36, 2214–2233. [Google Scholar] [CrossRef] [PubMed]
- Moro, F.; Bonanno, G.M.; Gui, B.; Scambia, G.; Testa, A.C. Imaging modalities in fertility preservation in patients with gynecologic cancers. Int. J. Gynecol. Cancer 2021, 31, 323–331. [Google Scholar] [CrossRef] [PubMed]
- Noël, P.; Dubé, M.; Plante, M.; St-Laurent, G. Early cervical carcinoma and fertility-sparing treatment options: MR imaging as a tool in patient selection and a follow-up modality. Radiographics 2014, 34, 1099–1119. [Google Scholar] [CrossRef] [PubMed]
- Yan, R.N.; Zeng, Z.; Liu, F.; Zeng, Y.Y.; He, T.; Xiang, Z.Z.; Zhang, B.L.; Gong, H.L.; Liu, L. Primary radical hysterectomy vs chemoradiation for IB2-IIA cervical cancer: A systematic review and meta-analysis. Medicine 2020, 99, e18738. [Google Scholar] [CrossRef]
- Ciulla, S.; Celli, V.; Aiello, A.A.; Gigli, S.; Ninkova, R.; Miceli, V.; Ercolani, G.; Dolciami, M.; Ricci, P.; Palaia, I.; et al. Post treatment imaging in patients with local advanced cervical carcinoma. Front. Oncol. 2022, 12, 1003930. [Google Scholar] [CrossRef]
- Pötter, R.; Tanderup, K.; Schmid, M.P.; Jürgenliemk-Schulz, I.; Haie-Meder, C.; Fokdal, L.U.; Sturdza, A.E.; Hoskin, P.; Mahantshetty, U.; Segedin, B.; et al. MRI-guided adaptive brachytherapy in locally advanced cervical cancer (EMBRACE-I): A multicentre prospective cohort study. Lancet Oncol. 2021, 22, 538–547. [Google Scholar] [CrossRef]
- Tanderup, K.; Viswanathan, A.; Kirisits, C.; Frank, S.J. MRI-guided brachytherapy. Semin. Radiat. Oncol. 2014, 24, 181–191. [Google Scholar] [CrossRef]
- Russo, L.; Lancellotta, V.; Miccò, M.; Fionda, B.; Avesani, G.; Rovirosa, A.; Wojcieszek, P.; Scambia, G.; Manfredi, R.; Tagliaferri, L.; et al. Magnetic resonance imaging in cervical cancer interventional radiotherapy (brachytherapy): A pictorial essay focused on radiologist management. J. Contemp. Brachytherapy 2022, 14, 287–298. [Google Scholar] [CrossRef] [PubMed]
- Olthof, E.P.; Wenzel, H.; van der Velden, J.; Spijkerboer, A.M.; Bekkers, R.; Beltman, J.J.; Nijman, H.W.; Slangen, B.; Smolders, R.; van Trommel, N.; et al. Treatment of bulky lymph nodes in locally advanced cervical cancer: Boosting versus debulking. Int. J. Gynecol. Cancer 2022, 32, 861–868. [Google Scholar] [CrossRef] [PubMed]
- Miccò, M.; Lupinelli, M.; Mangialardi, M.; Gui, B.; Manfredi, R. Patterns of Recurrent Disease in Cervical Cancer. J. Pers. Med. 2022, 12, 755. [Google Scholar] [CrossRef] [PubMed]


















| Sequence and Plane | Rationale |
|---|---|
| Large FOV Axial T1WI | Extra pelvic disease, lymph nodes, bone marrow signal |
| Large FOV Axial T2WI | Extra pelvic disease, para-aortic nodal involvement, hydronephrosis |
| Small FOV Sagittal T2WI | Accurate tumour size, local staging (e.g., vaginal, bladder, rectal invasion) |
| Small FOV Axial oblique T2WI | Local staging, parametrial and pelvic sidewall involvement |
| Sagittal and axial oblique DWI and ADC maps (corresponding to sagittal and axial oblique T2WI) | Identifying small isointense tumours, unsuspected bone metastases |
| Stage | Description |
|---|---|
| Stage I | The carcinoma is strictly confined to the cervix |
| IA | Invasive carcinoma that can be diagnosed only by microscopy with a maximum depth of invasion <5 mm |
| IA1 | Measured stromal invasion <3 mm in depth |
| IA2 | Measured stromal invasion 3 mm and <5 mm in depth |
| IB | Invasive carcinoma confined to the uterine cervix with measured deepest invasion 5 mm |
| IB1 | Tumour measures <2 cm in greatest dimension |
| IB2 | Tumour measures 2 cm and <4 cm in greatest dimension |
| IB3 | Tumour measures 4 cm in greatest dimension |
| Stage II | The cervical carcinoma invades beyond the uterus, but has not extended onto the lower third of the vagina or to the pelvic wall |
| IIA | Involvement limited to the upper two-thirds of the vagina without parametrial invasion |
| IIA1 | Invasive carcinoma <4 cm in greatest dimension |
| IIA2 | Invasive carcinoma 4 cm in greatest dimension |
| IIB | With parametrial invasion but not up to the pelvic wall |
| Stage III | Involves the lower third of the vagina and/or extends to the pelvic wall and/or causes hydronephrosis or non-functioning kidney and/or involves pelvic and/or paraaortic lymph nodes |
| IIIA | Involves lower third of the vagina, with no extension to the pelvic wall |
| IIIB | Extension to the pelvic wall and/or hydronephrosis or non-functioning kidney (unless known to be due to another cause) |
| IIIC | Involvement of pelvic and/or paraaortic lymph nodes |
| IIIC1 | Pelvic lymph node metastasis only |
| IIIC2 | Paraaortic lymph node metastasis |
| Stage IV | Spread to adjacent and distant organs |
| IVA | Rectal or bladder involvement |
| IVB | Spread to distant organs outside the pelvis |
| MR Cervical Cancer Staging | |
|---|---|
| Uterus size | CC × AP × TS mm |
| Primary tumour | Not seen (0), Ectocervical (exophytic 1), Endocervical (endophytic 2), Infiltrative (1 predominant expansive or 2 predominant infiltrating) |
| Size | CC × AP × TS mm |
| Presence of necrosis | No Yes (diameter) |
| Parametrial invasion | No Yes: Left/Right/Bilateral (proximal or distal) |
| Uterine invasion | No Yes: Lower/Mid/Upper |
| Extension to vagina | No Yes: Upper 1/3/Mid 1/3/Lower 1/3 |
| Hydronephrosis | No Yes: Left/Right/Bilateral |
| Pelvic sidewall invasion | No Yes: Left/Right/Bilateral |
| Bladder invasion | No Yes |
| Rectal invasion | No Yes: Mesorectum/rectal wall |
| Distant organ invasion | No Yes |
| Lymph nodes | None, External Iliac, Internal Iliac, Obturator, Inguinal, Para-Aortic (above/below renal hilum) |
| Additional findings | |
| FIGO STAGE 2018 | IA IB1 IB2 IB3 IIA1 IIA2 IIB IIIA IIIB IIIC IVA IVB |
Disclaimer/Publisher’s Note: The statements, opinions and data contained in all publications are solely those of the individual author(s) and contributor(s) and not of MDPI and/or the editor(s). MDPI and/or the editor(s) disclaim responsibility for any injury to people or property resulting from any ideas, methods, instructions or products referred to in the content. |
© 2023 by the authors. Licensee MDPI, Basel, Switzerland. This article is an open access article distributed under the terms and conditions of the Creative Commons Attribution (CC BY) license (https://creativecommons.org/licenses/by/4.0/).
Share and Cite
Shakur, A.; Lee, J.Y.J.; Freeman, S. An Update on the Role of MRI in Treatment Stratification of Patients with Cervical Cancer. Cancers 2023, 15, 5105. https://doi.org/10.3390/cancers15205105
Shakur A, Lee JYJ, Freeman S. An Update on the Role of MRI in Treatment Stratification of Patients with Cervical Cancer. Cancers. 2023; 15(20):5105. https://doi.org/10.3390/cancers15205105
Chicago/Turabian StyleShakur, Amreen, Janice Yu Ji Lee, and Sue Freeman. 2023. "An Update on the Role of MRI in Treatment Stratification of Patients with Cervical Cancer" Cancers 15, no. 20: 5105. https://doi.org/10.3390/cancers15205105
APA StyleShakur, A., Lee, J. Y. J., & Freeman, S. (2023). An Update on the Role of MRI in Treatment Stratification of Patients with Cervical Cancer. Cancers, 15(20), 5105. https://doi.org/10.3390/cancers15205105
