The Value of Magnetic Resonance Diffusion-Weighted Imaging and Dynamic Contrast Enhancement in the Diagnosis and Prognosis of Treatment Response in Patients with Epithelial Serous Ovarian Cancer
Abstract
:Simple Summary
Abstract
1. Introduction
2. Material and Methods
2.1. Study Protocol and Patients Population
2.2. Treatment Protocol
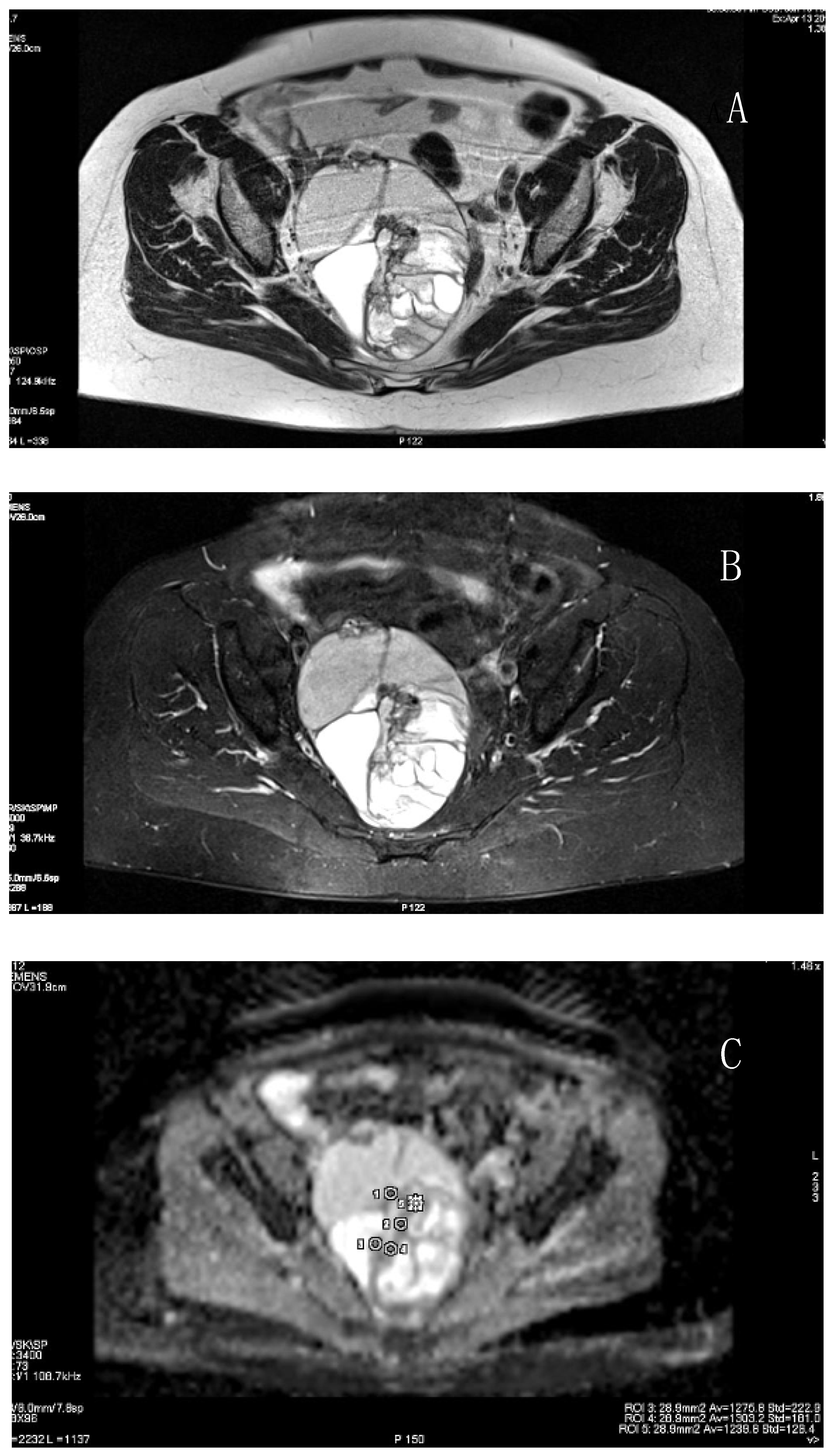
2.3. MRI Protocol
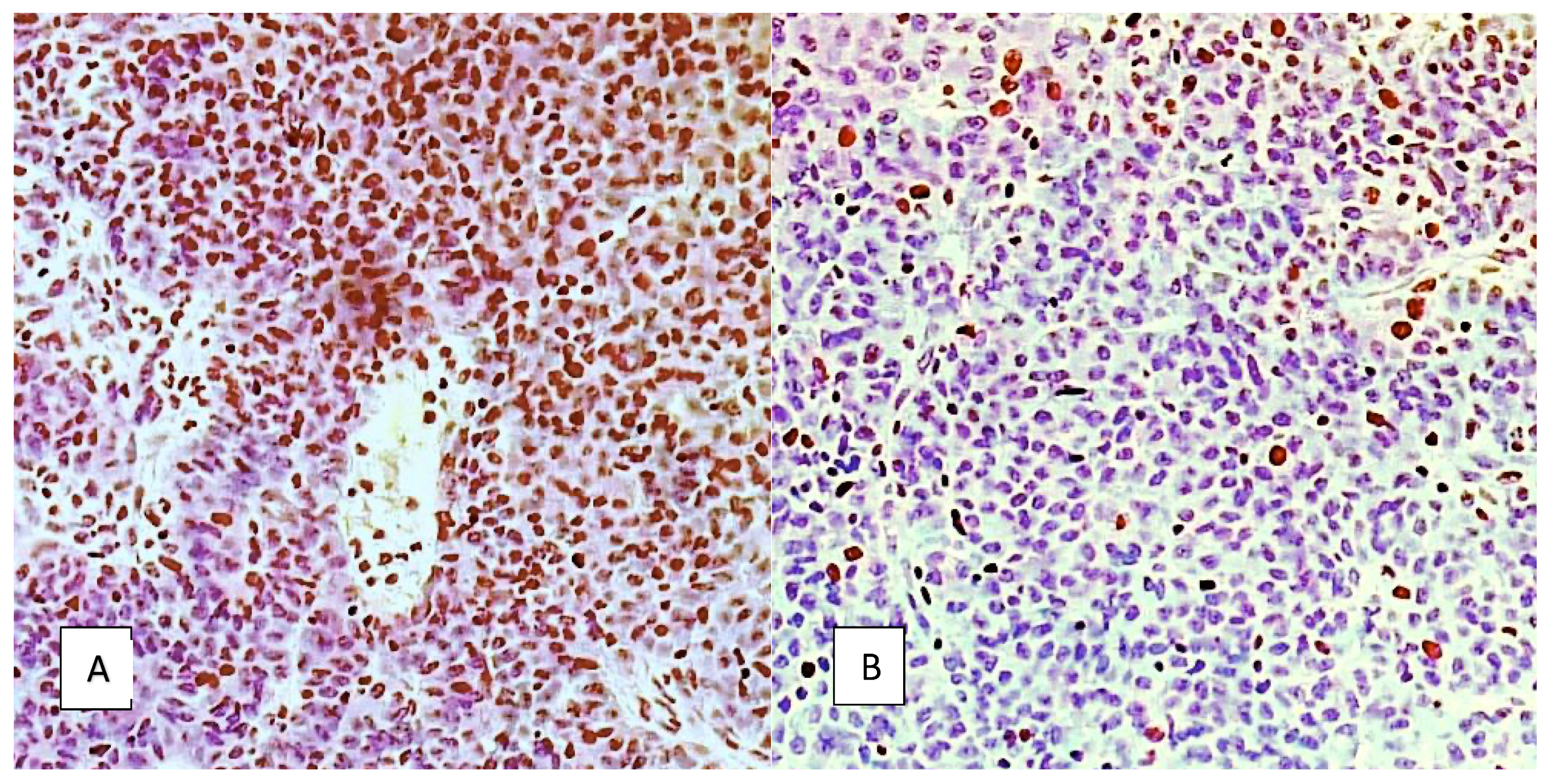
2.4. Immunohistochemistry
2.5. Statistical Analysis
3. Results
3.1. Primary Tumor
3.2. MRI DWI and DCE Parameters and Immunohistochemistry
3.3. Relapse of the Disease
4. Discussion
5. Conclusions
Supplementary Materials
Author Contributions
Funding
Institutional Review Board Statement
Informed Consent Statement
Data Availability Statement
Conflicts of Interest
References
- Ledermann, J.A.; Raja, F.A.; Fotopoulou, C.; Gonzales-Martín, A.; Colombo, N.; Sessa, C.; ESMO Guidelines Working Group. Newly diagnosed and relapsed epithelial ovarian carcinoma: ESMO Clinical Practice Guidelines for diagnosis, treatment and follow-up. Ann. Oncol. 2013, 24 (Suppl. 6), vi24–vi32. [Google Scholar] [CrossRef] [PubMed]
- Lowe, K.A.; Chia, V.M.; Taylor, A.; O’Malley, C.; Kelsh, M.; Mohamed, M.; Mowat, F.S.; Goff, B. An international assessment of ovarian cancer incidence and mortality. Gynecol. Oncol. 2013, 130, 107–114. [Google Scholar] [CrossRef]
- Sioulas, V.D.; Schiavone, M.B.; Kadouri, D.; Zivanovic, O.; Roche, K.L.; O’Cearbhaill, R.; Abu-Rustum, N.R.; Levine, D.A.; Sonoda, Y.; Gardner, G.J.; et al. Optimal primary management of bulky stage IIIC ovarian, fallopian tube and peritoneal carcinoma: Are the only options complete gross resection at primary debulking surgery or neoadjuvant chemotherapy? Gynecol. Oncol. 2017, 145, 15–20. [Google Scholar] [CrossRef] [PubMed] [Green Version]
- Vergote, I.; Tropé, C.G.; Amant, F.; Kristensen, G.B.; Ehlen, T.; Johnson, N.; Verheijen, R.H.; van der Burg, M.E.; Lacave, A.J.; Panici, P.B.; et al. Neoadjuvant chemotherapy or primary surgery in stage IIIC or IV ovarian cancer. N. Engl. J. Med. 2010, 363, 943–953. [Google Scholar] [CrossRef] [Green Version]
- Du Bois, A.; Reuss, A.; Pujade-Lauraine, E.; Harter, P.; Ray-Coquard, I.; Pfisterer, J.; Arbeitsgemeinschaft Gynaekologische Onkologie Studiengruppe Ovarialkarzinom (AGO-OVAR); The Groupe d’Investigateurs Nationaux Pour les Etudes des Cancers de l’Ovaire (GINECO). Role of surgical outcome as prognostic factor in advanced epithelial ovarian cancer: A combined exploratory analysis of 3 prospectively randomized phase 3 multicenter trials. Cancer 2009, 115, 1234–1244. [Google Scholar] [CrossRef] [PubMed]
- Du Bois, A.; Reuss, A.; Pujade-Lauraine, E.; Harter, P.; Ray-Coquard, I.; Pfisterer, J. Survival effect of maximal cytoreductive surgery for advanced ovarian carcinoma during the platinum era: A meta-analysis. J. Clin. Oncol. 2002, 20, 1248–1259. [Google Scholar]
- Oza, A.M.; Cook, A.D.; Pfisterer, J.; Embleton, A.; Ledermann, J.A.; Pujade-Lauraine, E.; Kristensen, G.; Carey, M.S.; Beale, P.; Cervantes, A.; et al. Standard chemotherapy with or without bevacizumab for women with newly diagnosed ovarian cancer (ICON7): Overall survival results of a phase 3 randomised trial. Lancet Oncol. 2015, 16, 928–936. [Google Scholar] [CrossRef]
- Burger, R.A.; Brady, M.F.; Bookman, M.A.; Fleming, G.F.; Monk, B.J.; Huang, H.; Mannel, R.S.; Homesley, H.D.; Fowler, J.; Greer, B.E.; et al. Incorporation of Bevacizumab in the Primary Treatment of Ovarian Cancer. N. Engl. J. Med. 2011, 365, 2473–2483. [Google Scholar] [CrossRef] [Green Version]
- Perren, T.J.; Swart, A.M.; Pfisterer, J.; Ledermann, J.A.; Pujade-Lauraine, E.; Kristensen, G.; Carey, M.S.; Beale, P.; Cervantes, A.; Kurzeder, C.; et al. A Phase 3 trial of bevacizumab in ovarian cancer. N. Engl. J. Med. 2011, 365, 2484–2496. [Google Scholar] [CrossRef] [Green Version]
- Kaijser, J.; Bourne, T.; Valentin, L.; Sayasneh, A.; van Holsbeke, C.; Vergote, I.; Testa, A.C.; Franchi, D.; van Calster, B.; Timmerman, D. Improving strategies for diagnosing ovarian cancer: A summary of the International Ovarian Tumor Analysis (IOTA) studies. Ultrasound Obstet. Gynecol. 2013, 41, 9–20. [Google Scholar] [CrossRef]
- Forstner, R.; Sala, E.; Kinkel, K.; Spencer, J.A. ESUR guidelines: Ovarian cancer staging and follow-up. Eur. Radiol. 2010, 20, 2773–2780. [Google Scholar] [CrossRef]
- Michielsen, K.; Dresen, R.; Vanslembrouck, R.; de Keyzer, F.; Amant, F.; Mussen, E.; Leunen, K.; Berteloot, P.; Moerman, P.; Vergote, I.; et al. Diagnostic value of whole body diffusion-weighted MRI compared to computed tomography for pre-operative assessment of patients suspected for ovarian cancer. Eur. J. Cancer 2017, 83, 88–98. [Google Scholar] [CrossRef] [PubMed]
- Elsherif, S.B.; Faria, S.C.; Lall, C.; Iyer, R.; Bhosale, P.R. Ovarian Cancer Genetics and Implications for Imaging and Therapy. J. Comput. Assist. Tomogr. 2019, 43, 835–845. [Google Scholar] [CrossRef] [PubMed]
- Vargas, H.A.; Barrett, T.; Sala, E. MRI of ovarian masses. J. Magn. Reson. Imaging 2013, 37, 265–281. [Google Scholar] [CrossRef]
- Lindgren, A.; Anttila, M.; Rautiainen, S.; Arponen, O.; Kivelä, A.; Mäkinen, P.; Härmä, K.; Hämäläinen, K.; Kosma, V.M.; Ylä-Herttuala, S.; et al. Primary and metastaic ovarian cancer: Characterization by 3.0T diffusion-weighted MRI. Eur. Radiol. 2017, 27, 4002–4012. [Google Scholar] [CrossRef] [Green Version]
- Li, M.-M.; Qiang, J.-W.; Ma, F.-H.; Zhao, S.-H. The value of dynamic contrast-en-hanced MRI in characterizing complex ovarian tumors. J. Ovarian Res. 2017, 10, 4. [Google Scholar] [CrossRef] [Green Version]
- Lindgren, A.; Anttila, M.; Arponen, O.; Rautiainen, S.; Könönen, M.; Vanninen, R.; Sallinen, H. Prognosti value of preoperative dynamic contrast-enhancement magnetic resonance imaging in epithelial ovarian cancer. Eur. J. Radiol. 2019, 115, 66–73. [Google Scholar] [CrossRef] [PubMed]
- Torre, L.A.; Trabert, B.; DeSantis, C.E.; Miller, K.D.; Samimi, G.; Runowicz, C.D.; Gaudet, M.M.; Jemal, A.; Siegel, R.L. Ovarian cancer statistics, 2018. CA Cancer J. Clin. 2018, 68, 284–296. [Google Scholar] [CrossRef] [PubMed]
- Colombo, N.; Sessa, C.; du Bois, A.; Ledermann, J.; McCluggage, W.G.; McNeish, I.; Morice, P.; Pignata, S.; Ray-Coquard, I.; Vergote, I.; et al. ESMO–ESGO Ovarian Cancer consensus Conference Working Group ESMO-ESGO consensus conference recommendations on ovarian cancer: Pathology and molecular biology, early and advanced stages, borderline tumours and recurrent disease. Ann. Oncol. 2019, 30, 672–705. [Google Scholar] [CrossRef] [PubMed] [Green Version]
- Eisenhauer, E.L.; Abu-Rustum, N.R.; Sonoda, Y.; Aghajanian, C.; Barakat, R.R.; Chi, D.S. The effect of maximal surgical cytoreduction on sensitivity to platinum-taxane chemotherapy and subsequent survival in patients with advanced ovarian cancer. Gynecol. Oncol. 2008, 108, 276–281. [Google Scholar] [CrossRef]
- Conte, C.; Fagotti, A.; Avesani, G.; Trombadori Federico, A.; D’Indinosante, M.; Giudice, M.T.; Pelligra, S.; Lodoli, C.; Marchetti, C.; Ferrandina, G.; et al. Update on the secondary cytoreduction in platinum-sensitive recurrent ovarian cancer: A narrative review. Ann. Transl. Med. 2021, 9, 510–522. [Google Scholar] [CrossRef]
- Elsherif, S.B.; Bhosale, P.R.; Lall, C.; Menias, C.O.; Itani, M.; Butler, K.A.; Ganeshan, D. Current update on malignant epithelial ovarian tumors. Abdom. Radiol. 2021, 46, 2264–2280. [Google Scholar] [CrossRef] [PubMed]
- Iafrate, F.; Ciolina, M.; Sammartino, P.; Baldassari, P.; Rengo, M.; Lucchesi, P.; Sibio, S.; Accarpio, F.; di Giorgio, A.; Laghi, A. Peritoneal carcinomatosis: Imaging with 64-MDCT and 3T MRI with diffusion-weighted imaging. Abdom. Imaging 2012, 37, 616–627. [Google Scholar] [CrossRef] [PubMed]
- Rizzo, S.; del Grande, M.; Manganaro, L.; Papadia, A.; del Grande, F. Imaging before cytoreductive surgery in advanced ovarian cancer patients. Int. J. Gynecol. Cancer 2020, 29, 133–138. [Google Scholar] [CrossRef] [PubMed]
- Xu, M.; Tang, Q.; Li, M.; Liu, Y.; Li, F. An analysis of Ki-67 expression in stage 1 invasive ductal breast carcinoma using apparent diffusion coefficient histograms. Quant. Imaging Med. Surg. 2021, 11, 1518–1531. [Google Scholar] [CrossRef] [PubMed]
- Ma, T.; Yang, S.; Jing, H.; Cong, L.; Cao, Z.; Liu, Z.; Huang, Z. Apparent diffusion coefficients in prostate cancer: Correlation with molecular markers Ki-67, HIF-1α and VEGF. NMR Biomed. 2018, 31, e3884. [Google Scholar] [CrossRef]
- Meng, X.; Li, H.; Kong, L.; Zhao, X.; Huang, Z.; Zhao, H.; Zhu, W.; Li, X.; Yu, J.; Xing, L. MRI In rectal cancer: Correlations between MRI features and molecular markers Ki-67, HIF-1α, and VEGF. J. Magn. Reson. Imaging 2016, 44, 594–600. [Google Scholar] [CrossRef]
- Li, H.M.; Zhang, R.; Gu, W.Y.; Zhao, S.H.; Lu, N.; Zhang, G.F.; Peng, W.J.; Qiang, J.W. Whole solid tumour volume histogram analysis of the apparent diffusion coefficient for differentiating high-grade from low-grade serous ovarian carcinoma: Correlation with Ki-67 proliferation status. Clin. Radiol. 2019, 74, 918–925. [Google Scholar] [CrossRef]
- Jian, J.; Li, Y.; Pickhardt, P.J.; Xia, W.; He, Z.; Zhang, R.; Zhao, S.; Zhao, X.; Cai, S.; Zhang, J.; et al. MR image-based radiomics to differentiate type Ι and type ΙΙ epithelial ovarian cancers. Eur. Radiol. 2021, 31, 403–410. [Google Scholar] [CrossRef]
- Qian, L.D.; Ren, J.L.; Liu, A.S.; Gao, Y.; Hao, F.E.; Zhao, L.; Wu, H.; Niu, G.M. MR imaging of epithelial ovarian cancer: A combined model to predict histologic subtypes. Eur. Radiol. 2020, 30, 5815–5825. [Google Scholar] [CrossRef]
- Frumovitz, M.; Sood, A.K. Vascular endothelial growth factor (VEGF) pathway as a therapeutic target in gynecologic malignancies. Gynecol. Oncol. 2007, 104, 768–778. [Google Scholar] [CrossRef] [PubMed] [Green Version]
- Gadducci, A.; Viacava, P.; Cosio, S.; Cecchetti, D.; Fanelli, G.; Fanucchi, A.; Teti, G.; Genazzani, A.R. Vascular endothelial growth factor (VEGF) expression in primary tumors and peritoneal metastases from patients with advanced ovarian carcinoma. Anticancer Res. 2003, 23, 3001–3008. [Google Scholar] [PubMed]
- Yokoyama, Y.; Charnock-Jones, D.S.; Licence, D.; Yanaihara, A.; Hastings, J.M.; Holland, C.M.; Emoto, M.; Umemoto, M.; Sakamoto, T.; Sato, S.; et al. Vascular endothelial growth factor-D is an independent prognostic factor in epithelial ovarian carcinoma. Br. J. Cancer 2003, 88, 237–244. [Google Scholar] [CrossRef] [PubMed] [Green Version]
- Hall, M.; Gourley, C.; McNeish, I.; Ledermann, J.; Gore, M.; Jayson, G.; Perren, T.; Rustin, G.; Kaye, S. Targeted anti-vascular therapies for ovarian cancer: Current evidence. Br. J. Cancer 2013, 108, 250–258. [Google Scholar] [CrossRef]
- Eskander, R.N.; Tewari, K.S. Incorporation of anti-angiogenesis therapy in the management of advanced ovarian carcinoma—Mechanistics, review of phase III randomized clinical trials, and regulatory implications. Gynecol. Oncol. 2014, 132, 496–505. [Google Scholar] [CrossRef] [PubMed] [Green Version]
- Wu, Y.S.; Shui, L.; Shen, D.; Chen, X. Bevacizumab combined with chemotherapy for ovarian cancer: An updated systematic review and meta-analysis of randomized controlled trials. Oncotarget 2017, 8, 10703–10713. [Google Scholar] [CrossRef] [PubMed]












| Variable | n (%)/Median [Range] |
|---|---|
| Age | 57 (30–78) |
| FIGO stage | |
| I | 12 |
| II | 2 |
| III | 36 |
| IV | 5 |
| Histological type | |
| Serous high-grade | 39 |
| Serous low-grade | 16 |
| Chemotherapy | |
| Yes | 50 |
| No | 5 |
| Neoadjuvant chemotherapy FIGO III/IV | 19 |
| Therapy response | |
| Complete response | 41 |
| Partial response | 9 |
| Stable disease | 2 |
| Progressive disease | 3 |
| Bevacizumab therapy in FIGO III/IV | |
| Yes | 27 |
| No | 14 |
| Recurrence disease | |
| Yes | 34 |
| No | 21 |
| Final status | |
| Life | 33 |
| Death | 12 |
| Parameter | T2 TSE | T2 TSE Fat-Sat Tra | DW EPI Tra | T2 TIRM | Vibe 3D T1 GRE |
|---|---|---|---|---|---|
| Repetition time [ms] | 4250 | 2110 | 3800 | 6100 | 3.05 |
| Echo time [ms] | 117 | 123 | 73 | 39 | 1.13 |
| Flip angle [deg.] | 137 | 150 | 90 | 150 | 10 |
| iPAT factor | - | 2 | 2 | - | 2 |
| Plane | axial, sagital coronal | axial | axial | axial | axial |
| Number of signal averages | 1 | 1 | 4 | 1 | 1 |
| Field of view—FOV [mm] | 360 | 360 | 360 | 360 | 360 |
| Rectangular FOV [%] | 75, 100, 100 | 100 | 75 | 75 | 75 |
| Breath-hold | No | No | No | No | No |
| Resolution (mm) | 0.7 × 0.7 × 5 | 1.4 × 1.4 × 5 | B value: 0, 50, 500, 1000, 1500 | 0.9 × 0.9 × 5 | 1.7 × 1.3 × 3 |
| t-Tests; Grouping: LG/HG. Group 1-LG, Group 2-HG | |||||||||
|---|---|---|---|---|---|---|---|---|---|
| Mean 1 | Mean 2 | t-Value | df | p | Valid N 1 | Valid N 2 | Std.Dev. 1 | Std.Dev. 2 | |
| ADC | 1151.270 | 8949.186 | 4.709557 | 53 | 0.000018 | 16 | 39 | 2083.173 | 1724.939 |
| TTP | 322.875 | 3175.641 | 0.163592 | 53 | 0.870675 | 16 | 39 | 968.840 | 1138.951 |
| Perf.Max En. | 257.625 | 2422.821 | 0.795021 | 53 | 0.430147 | 16 | 39 | 725.000 | 617.955 |
| Correlations Marked Correlations are Significant at p < 0.05000 | |||||||
|---|---|---|---|---|---|---|---|
| Mean | Std.Dv. | r(X,Y) | r2 | n | p | ||
| KI67 % ADC ave. | 636,364 9694.936 | 335,335 2163.322 | −0.298073 | 0.088848 | −227.334 | 55 | 0.027084 |
| KI67 % Perfusion TTP | 636,364 3191.091 | 335,335 1083.596 | −0.209801 | 0.044016 | −156.214 | 55 | 0.124207 |
| KI67 % Perf. Max. En. | 636,364 2,467,455 | 335,335 647.823 | 0.094630 | 0.008955 | 0.69202 | 55 | 0.491943 |
| VEGF % ADC ave. | 531,373 9517.922 | 276,760 2152.702 | −0.285814 | 0.081689 | −208.779 | 51 | 0.042038 |
| VEGF % Perfusiom TTP | 531,373 3290.196 | 276,760 1062.822 | −0.196590 | 0.038648 | −140.352 | 51 | 0.166768 |
| VEGF % Perf. Max. En. | 531,373 2511.176 | 276,760 651.763 | 0.081618 | 0.006661 | 0.57324 | 51 | 0.569106 |
| Correlations Marked Correlations are Significant at p < 0.05000 | |||||||
|---|---|---|---|---|---|---|---|
| Mean | Std.Dv. | r(X,Y) | r2 | t | n | p | |
| ADC ave. | 945,3801 | 2,183,185 | |||||
| PFS [m] | 176,471 | 104,675 | 0.036697 | 0.001347 | 0.20773 | 34 | 0.836758 |
| TTP | 3,174,706 | 1,134,073 | |||||
| PFS [m] | 176,471 | 104,675 | −0.51257 | 0.262726 | −3.37685 | 34 | 0.001939 |
| Perf. Max. En. | 2,531,176 | 658,459 | |||||
| PFS [m] | 176,471 | 104,675 | −0.49284 | 0.242889 | −3.20405 | 34 | 0.00306 |
Publisher’s Note: MDPI stays neutral with regard to jurisdictional claims in published maps and institutional affiliations. |
© 2022 by the authors. Licensee MDPI, Basel, Switzerland. This article is an open access article distributed under the terms and conditions of the Creative Commons Attribution (CC BY) license (https://creativecommons.org/licenses/by/4.0/).
Share and Cite
Derlatka, P.; Grabowska-Derlatka, L.; Halaburda-Rola, M.; Szeszkowski, W.; Czajkowski, K. The Value of Magnetic Resonance Diffusion-Weighted Imaging and Dynamic Contrast Enhancement in the Diagnosis and Prognosis of Treatment Response in Patients with Epithelial Serous Ovarian Cancer. Cancers 2022, 14, 2464. https://doi.org/10.3390/cancers14102464
Derlatka P, Grabowska-Derlatka L, Halaburda-Rola M, Szeszkowski W, Czajkowski K. The Value of Magnetic Resonance Diffusion-Weighted Imaging and Dynamic Contrast Enhancement in the Diagnosis and Prognosis of Treatment Response in Patients with Epithelial Serous Ovarian Cancer. Cancers. 2022; 14(10):2464. https://doi.org/10.3390/cancers14102464
Chicago/Turabian StyleDerlatka, Pawel, Laretta Grabowska-Derlatka, Marta Halaburda-Rola, Wojciech Szeszkowski, and Krzysztof Czajkowski. 2022. "The Value of Magnetic Resonance Diffusion-Weighted Imaging and Dynamic Contrast Enhancement in the Diagnosis and Prognosis of Treatment Response in Patients with Epithelial Serous Ovarian Cancer" Cancers 14, no. 10: 2464. https://doi.org/10.3390/cancers14102464
APA StyleDerlatka, P., Grabowska-Derlatka, L., Halaburda-Rola, M., Szeszkowski, W., & Czajkowski, K. (2022). The Value of Magnetic Resonance Diffusion-Weighted Imaging and Dynamic Contrast Enhancement in the Diagnosis and Prognosis of Treatment Response in Patients with Epithelial Serous Ovarian Cancer. Cancers, 14(10), 2464. https://doi.org/10.3390/cancers14102464

