Primary Gastrointestinal T/NK Cell Lymphoma
Abstract
Simple Summary
Abstract
1. Introduction
2. Materials and Methods
2.1. Patient Selection and Histological Review
2.2. Statistical Analysis
3. Results
3.1. Clinicopathologic Characteristics of Primary Gastrointestinal T/NK Cell Lymphoma
3.2. Comparison of Clinical Features of Primary Gastrointestinal T/NK Cell Lymphoma Subtypes
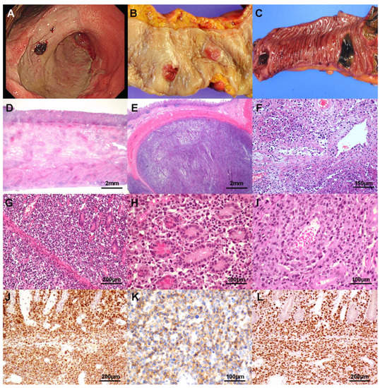
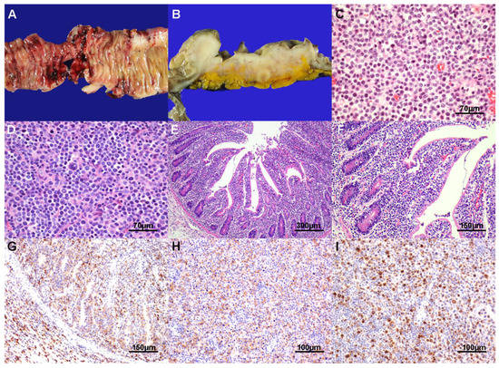
3.3. Morphologic and Immunophenotypic Features of Primary Gastrointestinal T/NK Cell Lymphoma Subtypes
3.4. Survival Analysis
4. Discussion
5. Conclusions
Supplementary Materials
Author Contributions
Funding
Institutional Review Board Statement
Informed Consent Statement
Data Availability Statement
Conflicts of Interest
Abbreviations
| ALCL: ALK- | anaplastic large cell lymphoma, ALK-negative |
| ALCL, ALK+ | anaplastic large cell lymphoma, ALK-positive |
| B2M | beta-2 microglobulin |
| CR | complete remission |
| CT | computed tomography |
| EBER | Epstein-Barr virus-encoded RNA |
| EBV | Epstein-Barr virus |
| ECOG | Eastern Cooperative Oncology Group |
| ENKTL | extranodal NK/T-cell lymphoma, nasal type |
| FISH | fluorescence in situ hybridization |
| GI-TNKL | primary gastrointestinal T/NK cell lymphoma |
| HR | hazard ratio |
| IHC | immunohistochemical staining |
| IPI | international prognostic index |
| ITCL, NOS | intestinal T-cell lymphoma, NOS |
| LDH | lactate dehydrogenase |
| MALT | mucosa-associated lymphoid tissue |
| MEITL | monomorphic epitheliotropic intestinal T-cell lymphoma |
| OS | overall survival |
| PD | progressive disease |
| PFS | progression-free survival |
| PR | partial response |
| SD | stable disease |
| TCR | T-cell receptor |
| WHO | World Health Organization |
References
- Kohno, S.; Ohshima, K.; Yoneda, S.; Kodama, T.; Shirakusa, T.; Kikuchi, M. Clinicopathological analysis of 143 primary malignant lymphomas in the small and large intestines based on the new WHO classification. Histopathology 2003, 43, 135–143. [Google Scholar] [CrossRef]
- Kim, S.J.; Choi, C.W.; Mun, Y.-C.; Oh, S.Y.; Kang, H.J.; Lee, S.I.; Won, J.H.; Kim, M.K.; Kwon, J.H.; Kim, J.S.; et al. Multicenter retrospective analysis of 581 patients with primary intestinal non-hodgkin lymphoma from the Consortium for Improving Survival of Lymphoma (CISL). BMC Cancer 2011, 11, 321. [Google Scholar] [CrossRef]
- Ding, W.; Zhao, S.; Wang, J.; Yang, Q.; Sun, H.; Yan, J.; Gao, L.; Yao, W.; Zhang, W.; Liu, W. Gastrointestinal Lymphoma in Southwest China: Subtype Distribution of 1,010 Cases Using the WHO (2008) Classification in a Single Institution. Acta Haematol. 2016, 135, 21–28. [Google Scholar] [CrossRef]
- Kim, J.-M.; Ko, Y.-H.; Lee, S.-S.; Huh, J.; Kang, C.S.; Kim, C.W.; Kang, Y.K.; Go, J.H.; Kim, M.K.; Kim, W.-S.; et al. WHO Classification of Malignant Lymphomas in Korea: Report of the Third Nationwide Study. Korean J. Pathol. 2011, 45, 254–260. [Google Scholar] [CrossRef]
- Swerdlow, S.H.; Campo, E.; Harris, N.L.; Jaffe, E.S.; Pileri, S.; Stein, H.; Thiele, J.; Swiatowa Organizacja Zdrowia; International Agency for Research on Cancer. WHO Classification of Tumours of Haematopoietic and Lymphoid Tissues, Revised 4th ed.; International Agency for Research on Cancer: Lyon, France, 2017. [Google Scholar]
- Delabie, J.; Holte, H.; Vose, J.M.; Ullrich, F.; Jaffe, E.S.; Savage, K.J.; Connors, J.M.; Rimsza, L.; Harris, N.L.; Müller-Hermelink, K.; et al. Enteropathy-associated T-cell lymphoma: Clinical and histological findings from the International Peripheral T-Cell Lymphoma Project. Blood 2011, 118, 148–155. [Google Scholar] [CrossRef]
- Kim, Y.-H.; Lee, J.H.; Yang, S.K.; Kim, T.I.; Kim, J.S.; Kim, H.J.; Kim, S.W.; Jung, I.K.; Jung, S.A.; Myung, S.J.; et al. Primary Colon Lymphoma in Korea: A KASID (Korean Association for the Study of Intestinal Diseases) Study. Dig. Dis. Sci. 2005, 50, 2243–2247. [Google Scholar] [CrossRef] [PubMed]
- Kim, J.H.; Lee, J.H.; Oh, S.-O.; Chang, D.K.; Rhee, P.-L.; Rhee, J.C.; Kim, W.S.; Ko, Y.H. Primary NK-/T-cell lymphoma of the gastrointestinal tract: Clinical characteristics and endoscopic findings. Endoscopy 2007, 39, 156–160. [Google Scholar] [CrossRef] [PubMed]
- Lewin, K.J.; Ranchod, M.; Dorfman, R.F. Lymphomas of the gastrointestinal tract.A study of 117 cases presenting with gastrointestinal disease. Cancer 1978, 42, 693–707. [Google Scholar] [CrossRef]
- Rohatiner, A.; D’Amore, F.; Coiffier, B.; Crowther, D.; Gospodarowicz, M.; Isaacson, P.; Lister, T.; Norton, A.; Salem, P.; Shipp, M.; et al. Report on a workshop convened to discuss the pathological and staging classifications of gastrointestinal tract lymphoma. Ann. Oncol. 1994, 5, 397–400. [Google Scholar] [CrossRef]
- Tang, X.-F.; Yang, L.; Duan, S.; Guo, H.; Guo, Q.-N. Intestinal T-cell and NK/T-cell lymphomas: A clinicopathological study of 27 Chinese patients. Ann. Diagn. Pathol. 2018, 37, 107–117. [Google Scholar] [CrossRef] [PubMed]
- Kim, D.H.; Lee, D.; Kim, J.W.; Huh, J.; Park, S.H.; Ha, H.K.; Suh, C.; Yoon, S.M.; Kim, K.-J.; Choi, K.D.; et al. Endoscopic and clinical analysis of primary T-cell lymphoma of the gastrointestinal tract according to pathological subtype. J. Gastroenterol. Hepatol. 2014, 29, 934–943. [Google Scholar] [CrossRef] [PubMed]
- Au, W.-Y.; Pang, A.; Choy, C.; Chim, C.-S.; Kwong, Y.-L. Quantification of circulating Epstein-Barr virus (EBV) DNA in the diagnosis and monitoring of natural killer cell and EBV-positive lymphomas in immunocompetent patients. Blood 2004, 104, 243–249. [Google Scholar] [CrossRef] [PubMed]
- Wang, Z.-Y.; Liu, Q.-F.; Wang, H.; Jin, J.; Wang, W.-H.; Wang, S.-L.; Song, Y.-W.; Liu, Y.-P.; Fang, H.; Ren, H.; et al. Clinical implications of plasma Epstein-Barr virus DNA in early-stage extranodal nasal-type NK/T-cell lymphoma patients receiving primary radiotherapy. Blood 2012, 120, 2003–2010. [Google Scholar] [CrossRef]
- Lu, S.; Zhou, G.; Chen, M.; Liu, W.; Zhao, S. Monomorphic Epitheliotropic Intestinal T-cell Lymphoma of the Stomach: Two Case Reports and a Literature Review. Int. J. Surg. Pathol. 2021, 29, 410–419. [Google Scholar] [CrossRef] [PubMed]
- Tse, E.; Gill, H.; Loong, F.; Kim, S.J.; Ng, S.-B.; Tang, T.; Ko, Y.-H.; Chng, W.-J.; Lim, S.-T.; Kim, W.S.; et al. Type II enteropathy-associated T-cell lymphoma: A multicenter analysis from the Asia Lymphoma Study Group. Am. J. Hematol. 2012, 87, 663–668. [Google Scholar] [CrossRef] [PubMed]
- Tan, S.-Y.; Chuang, S.-S.; Tang, T.; Tan, L.; Ko, Y.-H.; Chuah, K.-L.; Ng, S.-B.; Chng, W.-J.; Gatter, K.; Loong, F.; et al. Type II EATL (epitheliotropic intestinal T-cell lymphoma): A neoplasm of int ra-epithelial T-cells with predominant CD8αα phenotype. Leukemia 2013, 27, 1688–1696. [Google Scholar] [CrossRef] [PubMed]
- Chan, J.K.; Chan, A.C.; Cheuk, W.; Wan, S.-K.; Lee, W.-K.; Lui, Y.-H.; Chan, W.-K. Type II Enteropathy-Associated T-Cell Lymphoma. Am. J. Surg. Pathol. 2011, 35, 1557–1569. [Google Scholar] [CrossRef] [PubMed]
- Castellar, E.R.P.; Jaffe, E.S.; Said, J.W.; Swerdlow, S.H.; Ketterling, R.P.; Knudson, R.A.; Sidhu, J.S.; Hsi, E.D.; Karikehalli, S.; Jiang, L.; et al. ALK-negative anaplastic large cell lymphoma is a genetically heterogeneous disease with widely disparate clinical outcomes. Blood 2014, 124, 1473–1480. [Google Scholar] [CrossRef] [PubMed]
- Wang, X.; Boddicker, R.L.; Dasari, S.; Sidhu, J.S.; Kadin, M.E.; Macon, W.R.; Ansell, S.M.; Ketterling, R.P.; Rech, K.L.; Feldman, A.L. Expression of p63 protein in anaplastic large cell lymphoma: Implications for genetic subtyping. Hum. Pathol. 2017, 64, 19–27. [Google Scholar] [CrossRef]
- Lee, G.; Ryu, H.J.; Choi, J.W.; Kang, H.; Yang, W.I.; Yang, I.S.; Seo, M.-K.; Kim, S.; Yoon, S.O. Characteristic gene alterations in primary gastrointestinal T- and NK-cell lymphomas. Leukemia 2019, 33, 1797–1832. [Google Scholar] [CrossRef]
- Nicolae, A.; Xi, L.; Pham, T.H.; Pham, T.-A.; Navarro, W.; Meeker, H.G.; Pittaluga, S.; Jaffe, E.S.; Raffeld, M. Mutations in the JAK/STAT and RAS signaling pathways are common in intestinal T-cell lymphomas. Leukemia 2016, 30, 2245–2247. [Google Scholar] [CrossRef] [PubMed]
- Roberti, A.; Dobay, M.P.; Bisig, B.; Vallois, D.; Boéchat, C.; Lanitis, E.; Bouchindhomme, B.; Parrens, M.-C.; Bossard, C.; Quintanilla-Martinez, L.; et al. Type II enteropathy-associated T-cell lymphoma features a unique genomic profile with highly recurrent SETD2 alterations. Nat. Commun. 2016, 7, 1–13. [Google Scholar] [CrossRef] [PubMed]
- Yi, J.H.; Lee, G.-W.; Do, Y.R.; Jung, H.R.; Hong, J.Y.; Yoon, D.H.; Suh, C.; Choi, Y.S.; Yi, S.Y.; Sohn, B.S.; et al. Multicenter retrospective analysis of the clinicopathologic features of monomorphic epitheliotropic intestinal T-cell lymphoma. Ann. Hematol. 2019, 98, 2541–2550. [Google Scholar] [CrossRef]
- Kim, S.J.; Yang, D.-H.; Kim, J.S.; Kwak, J.-Y.; Eom, H.-S.; Hong, D.S.; Won, J.H.; Lee, J.H.; Yoon, D.H.; Cho, J.; et al. Concurrent chemoradiotherapy followed by l-asparaginase-containing chemotherapy, VIDL, for localized nasal extranodal NK/T cell lymphoma: CISL08-01 phase II study. Ann. Hematol. 2014, 93, 1895–1901. [Google Scholar] [CrossRef] [PubMed]
- Yamaguchi, M.; Kwong, Y.-L.; Kim, W.S.; Maeda, Y.; Hashimoto, C.; Suh, C.; Izutsu, K.; Ishida, F.; Isobe, Y.; Sueoka, E.; et al. Phase II Study of SMILE Chemotherapy for Newly Diagnosed Stage IV, Relapsed, or Refractory Extranodal Natural Killer (NK)/T-Cell Lymphoma, Nasal Type: The NK-Cell Tumor Study Group Study. J. Clin. Oncol. 2011, 29, 4410–4416. [Google Scholar] [CrossRef]
- Li, X.; Cui, Y.; Sun, Z.; Zhang, L.; Li, L.; Wang, X.; Wu, J.; Fu, X.; Ma, W.; Zhang, X.; et al. DDGP versus SMILE in Newly Diagnosed Advanced Natural Killer/T-Cell Lymphoma: A Randomized Controlled, Multicenter, Open-label Study in China. Clin. Cancer Res. 2016, 22, 5223–5228. [Google Scholar] [CrossRef]
- Kwong, Y.-L.; Chan, T.S.Y.; Tan, D.; Kim, S.J.; Poon, L.-M.; Mow, B.; Khong, P.-L.; Loong, F.; Au-Yeung, R.; Iqbal, J.; et al. PD1 blockade with pembrolizumab is highly effective in relapsed or refractory NK/T-cell lymphoma failing l-asparaginase. Blood 2017, 129, 2437–2442. [Google Scholar] [CrossRef]
- Cho, S.-G.; Kim, N.; Sohn, H.-J.; Lee, S.K.; Oh, S.T.; Lee, H.-J.; Cho, H.-I.; Yim, H.W.; Jung, S.E.; Park, G.; et al. Long-term Outcome of Extranodal NK/T Cell Lymphoma Patients Treated With Postremission Therapy Using EBV LMP1 and LMP2a-specific CTLs. Mol. Ther. 2015, 23, 1401–1409. [Google Scholar] [CrossRef]
- Jeong, S.H. Extranodal NK/T cell lymphoma. Blood Res. 2020, 55, S63–S71. [Google Scholar] [CrossRef]
- Simpson, H.M.; Furusawa, A.; Sadashivaiah, K.; Civin, C.I.; Banerjee, A. STAT5 inhibition induces TRAIL/DR4 dependent apoptosis in peripheral T-cell lymphoma. Oncotarget 2018, 9, 16792–16806. [Google Scholar] [CrossRef][Green Version]
- Huang, D.; Lim, J.Q.; Cheah, D.M.Z.; Kahliab, K.H.B.M.; Laurensia, Y.; Pang, J.W.L.; Wong, E.K.Y.; Chia, B.K.H.; Goh, J.; Zhang, X.; et al. Whole-genome sequencing reveals potent therapeutic strategy for monomorphic epitheliotropic intestinal T-cell lymphoma. Blood Adv. 2020, 4, 4769–4774. [Google Scholar] [CrossRef] [PubMed]
- Vu, K.; Ai, W. Update on the Treatment of Anaplastic Large Cell Lymphoma. Curr. Hematol. Malign Rep. 2018, 13, 135–141. [Google Scholar] [CrossRef]
- Pro, B.; Advani, R.; Brice, P.; Bartlett, N.L.; Rosenblatt, J.D.; Illidge, T.; Matous, J.; Ramchandren, R.; Fanale, M.; Connors, J.M.; et al. Five-year results of brentuximab vedotin in patients with relapsed or refractory systemic anaplastic large cell lymphoma. Blood 2017, 130, 2709–2717. [Google Scholar] [CrossRef] [PubMed]
- Fanale, M.A.; Horwitz, S.M.; Forero-Torres, A.; Bartlett, N.L.; Advani, R.H.; Pro, B.; Chen, R.W.; Davies, A.; Illidge, T.; Huebner, D.; et al. Brentuximab Vedotin in the Front-Line Treatment of Patients With CD30+ Peripheral T-Cell Lymphomas: Results of a Phase I Study. J. Clin. Oncol. 2014, 32, 3137–3143. [Google Scholar] [CrossRef]
- Kharfan-Dabaja, M.A.; Kumar, A.; Ayala, E.; Hamadani, M.; Reimer, P.; Gisselbrecht, C.; D’Amore, F.; Jantunen, E.; Ishida, T.; Bazarbachi, A.; et al. Clinical Practice Recommendations on Indication and Timing of Hematopoietic Cell Transplantation in Mature T Cell and NK/T Cell Lymphomas: An International Collaborative Effort on Behalf of the Guidelines Committee of the American Society for Blood and Marrow Transplantation. Biol. Blood Marrow Transpl. 2017, 23, 1826–1838. [Google Scholar] [CrossRef]




| Characteristics | n (%) |
|---|---|
| Median age (range) | 58 years (34–84) |
| Male/Female (M:F ratio) | 22/16 (1.4:1) |
| Subtypes of lymphoma | |
| ENKTL | 13 (34.2) |
| MEITL | 12 (31.6) |
| ITCL, NOS | 7 (18.4) |
| ALCL, ALK- | 5 (13.2) |
| ALCL, ALK+ | 1 (2.6) |
| Location | |
| Esophagus | 1 (2.6) |
| Stomach | 9 (23.7) |
| Small intestine | 27 (71.1) |
| Duodenum | 4 (10.5) |
| Jejunum | 15 (39.5) |
| Ileum | 8 (21.1) |
| Ileocecum | 5 (13.2) |
| Large intestine | 13 (34.2) |
| Ascending/transverse | 6 (15.8) |
| Descending/sigmoid | 6 (15.8) |
| Rectum | 1 (2.6) |
| Multiple site involvement | 12 (31.6) |
| Initial presentation | |
| Abdominal pain and discomfort | 20 (52.6) |
| Weight loss and poor oral intake | 8 (21.1) |
| Diarrhea | 7 (18.4) |
| GI bleeding | 5 (13.2) |
| Vomiting | 3 (7.9) |
| No symptom | 2 (5.3) |
| GI complication | 24 (63.2) |
| Perforation | 15 (39.5) |
| Hemorrhage | 4 (10.5) |
| Fistula formation | 3 (7.9) |
| Obstruction | 2 (5.3) |
| No initial GI complication | 14 (36.8) |
| Lugano stage | |
| I | 8 (21) |
| II | 12 (31.6) |
| IV | 18 (47.4) |
| ECOG performance status ≥ 2 | 3/34 (7.9) |
| IPI score ≥ 3 | 12 (31.6) |
| Anemia | 21 (55.3) |
| Lymphopenia | 21 (55.3) |
| Thrombocytopenia | 2 (5.3) |
| Diagnostic procedure | |
| Endoscopic biopsy | 19 (50) |
| Surgery | 19 (50) |
| First treatment | |
| Surgery with adjuvant therapy | 15 (39.5) |
| Non-surgical therapy | 14 (36.8) |
| Surgery | 4 (10.5) |
| Unknown | 5 (13.2) |
| First line non-surgical treatment | 29 |
| CTx alone | 24 (82.8) |
| CTx + autoPBSCT | 3 (10.3) |
| CTx + RTx + autoPBSCT | 1 (3.5) |
| RTx + CTx | 1 (3.4) |
| Variable | Total | ENKTL | MEITL | ITCL, NOS | ALCL, ALK- | ALCL, ALK+ | p Value | |
|---|---|---|---|---|---|---|---|---|
| n = 38 (100%) | n = 13 (34.2%) | n = 12 (31.6%) | n = 7 (18.4%) | n = 5 (13.2%) | n = 1 (2.6%) | |||
| Age > 60 | 13 (34.2) | 5 (38.5) | 2 (16.7) | 4 (57.1) | 2 (40) | 0 (0) | 0.882 | |
| Mean age | 58.3 | 58.9 | 55.5 | 62 | 63 | 34 | 0.297 | |
| Sex | Male | 22 (57.9) | 9 (69.2) | 6 (50) | 3 (42.9) | 3 (60) | 1 (100) | 0.777 |
| Female | 16 (42.1) | 4 (30.8) | 6 (50) | 4 (57.1) | 2 (40) | 0 (0) | ||
| Main-location | Esophagus | 1 (2.6) | 0 (0) | 0 (0) | 0 (0) | 1 (20) | 0 (0) | 0.002 |
| Stomach | 9 (23.7) | 2 (15.4) | 1 (8.3) | 2 (28.6) | 3 (60) | 1 (100) | ||
| SI | 17 (44.7) | 5 (38.5) | 9 (75) | 3 (42.9) | 1 (20) | 0 (0) | ||
| IC | 7 (18.4) | 2 (15.4) | 0 (0) | 2 (28.6) | 0 (0) | 0 (0) | ||
| LI | 4 (10.5) | 4 (30.8) | 2 (16.7) | 0 (0) | 0 (0) | 0 (0) | ||
| Esophageal/gastric involvement | 10 (26.3) | 2 (15.4) | 1 (8.3) | 2 (28.6) | 4 (80) | 1 (100) | 0.003 | |
| Multiple site involvement | 13 (34.2) | 4 (30.8) | 5 (41.7) | 3 (42.9) | 1 (20) | 0 (0) | 0.767 | |
| GI complication | 24 (63.2) | 10 (76.9) | 8 (66.7) | 4 (57.1) | 2 (40) | 0 (0) | 0.074 | |
| GI perforation | 15 (39.5) | 8 (61.5) | 5 (41.7) | 1 (14.3) | 1 (20) | 0 (0) | 0.026 | |
| Lugano stage | I/II | 20 (52.6) | 5 (38.5) | 6 (50) | 4 (57.1) | 4 (80) | 1 (100) | 0.085 |
| IV | 18 (47.4) | 8 (61.5) | 6 (50) | 3 (42.9) | 1 (20) | 0 (0) | ||
| Elevated serum LDH level | 17/36 (42.7) | 5/11 (45.5) | 5 (45.5) | 4 (57.1) | 2 (40) | 1 (100) | 0.663 | |
| Elevated serum B2M level | 22/30 (73.3) | 7/8 (87.5) | 7/11 (63.6) | 4/6 (66.7) | 3/4 (75) | 1 (100) | 0.857 | |
| IPI score ≥ 3 | 12 (31.6) | 5 (38.5) | 4 (33.3) | 2 (28.6) | 1 (20) | 0 (0) | 0.365 | |
| Initial treatment | OP ± CTx/RTx | 23 (62.2) | 10 (83.3) | 8 (66.7) | 4 (57.1) | 1 (20) | 0 (0) | 0.009 |
| CTx/RTx | 14 (37.8) | 2 (16.7) | 4 (33.3) | 3 (42.9) | 4 (80) | 1 (100) | ||
| CTx response | CR | 15/28 (53.6) | 5/8 (62.5) | 5/10 (50) | 3/6 (50) | 1/3 (33.3) | 1 (100) | 0.486 |
| PR | 6/28 (21.4) | 0/8 (0) | 3/10 (30) | 1/6 (16.7) | 2/3 (66.7) | 0 (0) | ||
| SD | 1/28 (3.6) | 0/8 (0) | 0/10 (0) | 1/6 (16.7) | 0/3 (0) | 0 (0) | ||
| PD | 5/28 (21.4) | 3/8 (37.5) | 2/10 (20) | 1/6 (16.7) | 0/3 (0) | 0 (0) | ||
| Recurrence/progression | 32 (84.2) | 9 (69.2) | 12 (100) | 6 (85.7) | 5 (100) | 0 (0) | 0.116 | |
| Median OS (months) | 9.6 | 5.1 | 11.2 | 16.6 | 9.6 | - | 0.829 | |
| Median PFS (months) | 5.1 | 3.8 | 5.8 | 7.7 | 2.8 | - | 0.844 | |
| Variable | Total | ENKTL | MEITL | ITCL, NOS | ALCL, ALK- | ALCL, ALK+ |
|---|---|---|---|---|---|---|
| n = 38 | n = 13 | n = 12 | n = 7 | n = 5 | n = 1 | |
| Endoscopy | ||||||
| Mass | 10/21 (47.6) | 2/6 (33.3) | 2/5 (40) | 2/5 (40) | 3/4 (75) | 1 (100) |
| Deep ulcer | 5/21 (23.8) | 3/6 (50) | 0/5 (0) | 1/5 (20) | 1/4 (25) | 0 (0) |
| Superficial ulcer | 5/21 (23.8) | 1/6 (16.7) | 2/5 (40) | 2/5 (40) | 0/4 (0) | 0 (0) |
| Normal | 1/21 (4.8) | 0/6 (0) | 1/5 (20) | 0/5 (0) | 0/4 (0) | 0 (0) |
| Depth of invasion | ||||||
| Mucosa/submucosa | 0/19 (0) | 0/7 (0) | 0/8 (0) | 0/3 (0) | 0/1 (0) | - |
| Muscularis propria | 2/19 (10.5) | 0/7 (0) | 1/8 (12.5) | 0/3 (0) | 1/1 (100) | - |
| Subserosa/serosa | 17/19 (89.5) | 7/7 (100) | 7/8 (87.5) | 3/3 (100) | 0/1 (0) | - |
| Regional lymph node involvement | 24 (63.2) | 10 (76.9) | 6 (50) | 5 (71.4) | 2 (40) | 1 (100) |
| Cell size | ||||||
| Small to medium | 3 (7.9) | 1 (7.7) | 2 (16.7) | 0 (0) | 0 (0) | 0 (0) |
| Medium to large | 26 (68.4) | 10 (76.9) | 10 (83.3) | 5 (71.4) | 2 (40) | 0 (0) |
| Large pleomorphic | 9 (23.7) | 2 (15.4) | 0 (0) | 2 (28.6) | 3 (60) | 1 (100) |
| Cell shape | ||||||
| Heterogeneous | 24/36 (66.7) | 13 (100) | 0 (0) | 5 (71.4) | 5 (100) | 1 (100) |
| Monomorphic | 12/36 (33.3) | 0 (0) | 12 (100) | 2 (28.6) | 0 (0) | 0 (0) |
| Angiocentricity | 6/36 (16.7) | 6 (46.2) | 0 (0) | 0 (0) | 0 (0) | 0 (0) |
| Epitheliotropism | 12/36 (33.3) | 0 (0) | 12 (100) | 0 (0) | 0 (0) | 0 (0) |
| CD3 | 37 (97.4) | 13 (100) | 12 (100) | 7 (100) | 4 (80) | 1 (100) |
| CD4 | 9/25 (36) | 2/8 (25) | 1/9 (11.1) | 4/5 (80) | 2/3 (66.7) | - |
| CD8 | 15/26 (57.7) | 3/9 (33.3) | 8/11 (72.7) | 4/5 (80) | 0/2 (0) | - |
| CD10 | 1/15 (6.7) | 0/6 (0) | 0/5 (0) | 0/1 (0) | 1/2 (50) | 0 (0) |
| CD30 | 12/33 (36.4) | 4/11 (36.4) | 1/8 (12.5) | 1/5 (20) | 5 (100) | 1 (100) |
| CD56 | 21/36 (58.3) | 9 (69.2) | 11 (91.7) | 1 (14.3) | 0/4 (0) | - |
| CD103 | 6/19 (31.6) | 0/5 (0) | 6/10 (60) | 0/2 (0) | 0/2 (0) | - |
| Granzyme B | 28/33 (50.9) | 10/10 (100) | 9/11 (81.8) | 5/6 (83.3) | 3/5 (6)) | 1 (100) |
| TIA-1 | 13/18 (72.2) | 7/7 (100) | 4/6 (66.7) | 0/2 (0) | 2/3 (66.7) | - |
| PD-1 | 1/15 (6.7) | 0/6 (0) | 0/5 (0) | 0/2 (0) | 1/2 (50) | - |
| ALK | 1/16 (6.25) | 0/7 (0) | 0/5 (0) | 0/2 (0) | 0 (0) | 1 (100) |
| Ki-67 L.I. (%, average) | 70.6 | 70 | 83.3 | 41.7 | 75 | 100 |
| EBER ISH | 9/26 (34.6) | 8/8 (100) | 0/9 (0) | 0/6 (0) | 0/3 (0) | - |
| TCR gene rearrange-ment a | 8/11 (72.7) | 2/5 (40) | 5/5 (100) | 1/1 (100) | - | - |
| TCRG | 5/11 | 1/5 | 3/5 | 1/1 | - | - |
| TCRB | 4/11 | 1/5 | 3/5 | 0/1 | - | - |
| TCRD | 1/11 | 0/5 | 1/5 | 0/1 | - | - |
| Overall Survival | Progression Free Survival | |||||||
|---|---|---|---|---|---|---|---|---|
| Variables | Univariate | Multivariate | Univariate | Multivariate | ||||
| p Value | HR (95% CI) | p Value | HR (95% CI) | p Value | HR (95% CI) | p Value | HR (95% CI) | |
| >60 years | 0.066 | 2.369 (0.953–4.350) | - | - | 0.050 | 2.079 (1.001–4.318) | - | - |
| Male | 0.728 | 1.141 (0.542–2.403) | - | - | 0.424 | 1.335 (0.657–2.711) | - | - |
| Subtypes | ||||||||
| ENKTL | 0.831 | 1 (reference) | - | - | 0.846 | 1 (reference) | - | - |
| MEITL | 0.453 | 1.429 (0.563–3.626) | - | - | 0.426 | 1.430 (0.593–3.450) | - | - |
| ITCL, NOS | 0.960 | 1.009 (0.312–3.019) | - | - | 0.762 | 1.175 (0.414–3.340) | - | - |
| ALCL, ALK- | 0.602 | 1.397 (0.439–4.135) | - | - | 0.488 | 1.480 (0.489–4.477) | - | - |
| Location | ||||||||
| Esophagus | 0.171 | 1 (reference) | 0.383 | 1 (reference) | ||||
| Stomach | 0.563 | 1.856 (0.228–15.082) | - | - | 0.496 | 0.477 (0.057–4.025) | - | - |
| Small intestine | 0.504 | 2.012 (0.259–15.606) | - | - | 0.434 | 0.437 (0.055–3.470) | - | - |
| Ileocecum | 0.631 | 0.554 (0.050–6.174) | - | - | 0.125 | 0.145 (0.012–1.707) | - | - |
| Large intestine | 0.601 | 0.544 (0.055–5.326) | - | - | 0.212 | 0.242 (0.026–2.249) | - | - |
| Multiple site | 0.990 | 1.005 (0.453–2.228) | - | - | 0.930 | 1.034 (0.493–2.170) | - | - |
| UGI involvement | 0.404 | 0.715 (0.324–1.574) | - | - | 0.282 | 0.651 (0.297–1.424) | - | - |
| GI complication | 0.348 | 1.448 (0.668–3.139) | - | - | 0.112 | 1.854 (0.865–3.971) | - | - |
| GI perforation | 0.219 | 1.598 (0.757–3.376) | - | - | 0.305 | 1.449 (0.713–2.945) | - | - |
| Tx with surgery | 0.798 | 0.906 (0.425–1.930) | - | - | 0.782 | 1.105 (0.545–2.242) | - | - |
| Lugano stage IV | 0.051 | 2.214 (0.996–4.533) | - | - | 0.041 | 2.119 (1.031–4.354) | 0.299 | 0.461 (0.107–1.989) |
| IPI ≥ 3 | <0.001 | 4.922 (2.022–11.979) | 0.485 | 1.570 (0.442–5.581) | 0.001 | 4.209 (1.846–9.597) | 0.391 | 1.686 (0.511–5.556) |
| Elevated LDH | 0.038 | 2.248 (1.045–4.835) | 0.015 | 5.045 (1.365–18.654) | 0.019 | 2.446 (1.155–5.718) | 0.076 | 2.903 (0.894–9.424) |
| Elevated B2M | 0.023 | 3.685 (1.194–11.368) | 0.429 | 1.835 (0.407–8.273) | 0.037 | 2.940 (1.066–8.108) | 0.827 | 1.160 (0.308–4.369) |
| Initial Tx response | ||||||||
| CR | 0.001 | 1 (reference) | 0.003 | 1 (reference) | <0.001 | 1 (reference) | 0.005 | 1 (reference) |
| PR | 0.012 | 5.064 (1.418–18.079) | 0.058 | 6.374 (0.940–43.236) | 0.001 | 10.720 (2.56–44.84) | 0.043 | 5.911 (1.061–32.928) |
| SD | 0.385 | 2.611 (0.299–22.781) | 0.429 | 2.662(0.235–30.093) | 0.002 | 61.45 (4.58–824.33) | 0.006 | 45.692 (3.12–790.67) |
| PD | <0.001 | 24.554 (5.353–112.62) | <0.001 | 63.369 (6.60–608.41) | <0.001 | 24.22 (5.31–110.43) | 0.001 | 16.976 (3.14-91.65) |
Publisher’s Note: MDPI stays neutral with regard to jurisdictional claims in published maps and institutional affiliations. |
© 2021 by the authors. Licensee MDPI, Basel, Switzerland. This article is an open access article distributed under the terms and conditions of the Creative Commons Attribution (CC BY) license (https://creativecommons.org/licenses/by/4.0/).
Share and Cite
Kim, E.K.; Jang, M.; Yang, W.I.; Yoon, S.O. Primary Gastrointestinal T/NK Cell Lymphoma. Cancers 2021, 13, 2679. https://doi.org/10.3390/cancers13112679
Kim EK, Jang M, Yang WI, Yoon SO. Primary Gastrointestinal T/NK Cell Lymphoma. Cancers. 2021; 13(11):2679. https://doi.org/10.3390/cancers13112679
Chicago/Turabian StyleKim, Eun Kyung, Mi Jang, Woo Ick Yang, and Sun Och Yoon. 2021. "Primary Gastrointestinal T/NK Cell Lymphoma" Cancers 13, no. 11: 2679. https://doi.org/10.3390/cancers13112679
APA StyleKim, E. K., Jang, M., Yang, W. I., & Yoon, S. O. (2021). Primary Gastrointestinal T/NK Cell Lymphoma. Cancers, 13(11), 2679. https://doi.org/10.3390/cancers13112679

