Head and Neck Osteosarcoma—The Ongoing Challenge about Reconstruction and Dental Rehabilitation
Abstract
1. Introduction
2. Results
2.1. Sample Characteristic
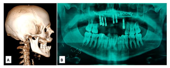
2.2. Surgical Treatment Details
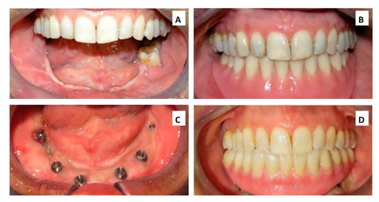
2.3. Dental-Rehabilitation Details
3. Discussion
3.1. Surgical Treatment
3.2. Dental-Rehabilitation
4. Materials and Methods
5. Conclusions
Author Contributions
Funding
Conflicts of Interest
References
- Makary, R.F.; Gopinath, A.; Markiewicz, M.R.; Fernandes, R. Margin Analysis: Sarcoma of the Head and Neck. Oral Maxil. Surg. Clin. N. Am. 2017, 29, 355–366. [Google Scholar] [CrossRef] [PubMed]
- Brown, H.K.; Schiavone, K.; Gouin, F.; Heymann, M.-F.; Heymann, D. Biology of Bone Sarcomas and New Therapeutic Developments. Calcif. Tissue Int. 2017, 102, 174–195. [Google Scholar] [CrossRef]
- Mendenhall, W.M.; Fernandes, R.; Werning, J.; Vaysberg, M.; Malyapa, R.S.; Mendenhall, N.P. Head and neck osteosarcoma. Am. J. Otolaryngol. 2011, 32, 597–600. [Google Scholar] [CrossRef] [PubMed]
- Thiele, O.; Freier, K.; Bacon, C.; Egerer, G.; Hofele, C. Interdisciplinary combined treatment of craniofacial osteosarcoma with neoadjuvant and adjuvant chemotherapy and excision of the tumour: A retrospective study. Br. J. Oral Maxillofac. Surg. 2008, 46, 533–536. [Google Scholar] [CrossRef] [PubMed]
- Delgado, R.; Maafs, E.; Alfeirán, A.; Mohar, A.; Barrera, J.-L.; Zinser, J.; Beltran, A. Osteosarcoma of the jaw. Head Neck 1994, 16, 246–252. [Google Scholar] [CrossRef] [PubMed]
- Heymann, M.-F.; Schiavone, K.; Heymann, D. Bone sarcomas in the immunotherapy era. Br. J. Pharmacol. 2020. [Google Scholar] [CrossRef]
- Fleshman, R.; Mayerson, J.; Wakelu, P.E., Jr. Fine-needle aspiration biopsy of high-grade sarcoma. Cancer 2007, 111, 491–498. [Google Scholar] [CrossRef]
- Guadagnolo, B.A.; Zagars, G.K.; Raymond, A.K.; Benjamin, R.S.; Sturgis, E.M. Osteosarcoma of the jaw/craniofacial region. Cancer 2009, 115, 3262–3270. [Google Scholar] [CrossRef]
- Kassir, R.; Rassekh, C.H.; Kinsella, J.B.; Segas, J.; Carrau, R.L.; Hokanson, J.A. Osteosarcoma of the Head and Neck: Meta-analysis of Nonrandomized Studies. Laryngoscope 1997, 107, 56–61. [Google Scholar] [CrossRef]
- Seikaly, H. Osteogenic Sarcoma of the Mandible and Maxilla: A Canadian Review (1980–2000). J. Otolaryngol. 2004, 33, 139–143. [Google Scholar]
- Huber, G.F.; Dziegielewski, P.; Matthews, T.W.; Dort, J.C. Head and neck osteosarcoma in adults: The province of alberta experience over 26 years. J. Otolaryngol. Head Neck Surg. 2008, 37, 738–743. [Google Scholar] [PubMed]
- Ha, P.K.; Eisele, D.W.; Frassica, F.J.; Zahurak, M.L.; McCarthy, E.F. Osteosarcoma of the head and neck: A review of the Johns Hopkins experience. Laryngoscope 1999, 109, 964–969. [Google Scholar] [CrossRef]
- Schwarz, M.B.; Burgess, L.P.A.; Fee, W.E.; Donaldson, S.S. Postirradiation Sarcoma in Retinoblastoma: Induction or Predisposition? Arch. Otolaryngol. Head Neck Surg. 1988, 114, 640–644. [Google Scholar] [CrossRef] [PubMed]
- Terenzi, V.; Cassoni, A.; Della Monaca, M.; Di Benedetto, G.; Priore, P.; Battisti, A.; Valentini, V. The difficult management of radio-incuced head and neck sarcomas. Oral Oncol. 2017, 73, 173–174. [Google Scholar] [CrossRef] [PubMed]
- Kontio, R.; Hagström, J.; Lindholm, P.; Böhling, T.; Sampo, M.; Mesimäki, K.; Saarilahti, K.; Koivunen, P.; Mäkitie, A. Craniomaxillofacial osteosarcoma—The role of surgical margins. J. Cranio Maxillofac. Surg. 2019, 47, 922–925. [Google Scholar] [CrossRef] [PubMed]
- Chen, Y.M.; Gokavarapu, S.; Shen, Q.; Liu, F.; Cao, W.; Ling, Y.; Ji, T. Chemotherapy in head and neck osteosarcoma: Adjuvant chemotherapy improves overall survival. Oral Oncol. 2017, 73, 124–131. [Google Scholar] [CrossRef]
- Smith, R.B.; Apostolakis, L.W.; Karnell, L.H.; Koch, B.B.; Robinson, R.A.; Zhen, W.; Menck, H.R.; Hoffman, H.T. National Cancer Data Base report on osteosarcoma of the head and neck. Cancer 2003, 98, 1670–1680. [Google Scholar] [CrossRef]
- Boon, E.; Van Der Graaf, W.T.A.; Gelderblom, H.; Tesselaar, M.E.T.; Van Es, R.J.J.; Oosting, S.F.; De Bree, R.; Van Meerten, E.; Hoeben, A.; Smeele, L.E.; et al. Impact of chemotherapy on the outcome of osteosarcoma of the head and neck in adults. Head Neck 2017, 39, 140–146. [Google Scholar] [CrossRef]
- Liang, L.; Zhang, T.; You, Y.; He, Q.; Fan, Y.; Liao, G.-Q. An individual patient data meta-analysis on the effect of chemotherapy on survival in patients with craniofacial osteosarcoma. Head Neck 2019, 41, 2016–2023. [Google Scholar] [CrossRef]
- Gobin, B.; Baud’Huin, M.; Lamoureux, F.; Ory, B.; Charrier, C.; Lanel, R.; Battaglia, S.; Rédini, F.; Lézot, F.; Blanchard, F.; et al. BYL719, a new α-specific PI3K inhibitor: Single administration and in combination with conventional chemotherapy for the treatment of osteosarcoma. Int. J. Cancer 2015, 136, 784–796. [Google Scholar] [CrossRef]
- Navet, B.; Ando, K.; Vargas-Franco, J.W.; Brion, R.; Amiaud, J.; Mori, K.; Yagita, H.; Mueller, C.; Verrecchia, F.; Dumars, C.; et al. The Intrinsic and Extrinsic Implications of RANKL/RANK Signaling in Osteosarcoma: From Tumor Initiation to Lung Metastases. Cancers 2018, 10, 398. [Google Scholar] [CrossRef] [PubMed]
- Ory, B.; Baud’Huin, M.; Verrecchia, F.; Royer, B.B.-L.; Quillard, T.; Amiaud, J.; Battaglia, S.; Heymann, D.; Rédini, F.; Lamoureux, F. Blocking HSP90 addiction inhibits tumor cell proliferation, metastasis development and synergistically acts with zoledronic acid to delay osteosarcoma progression. Clin. Cancer Res. 2015, 22, 2520–2533. [Google Scholar] [CrossRef] [PubMed]
- Huh, W.; Holsinger, F.C.; Levy, A.; Palla, F.S.L.; Anderson, P.M. Osteosarcoma of the jaw in children and young adults. Head Neck 2011, 34, 981–984. [Google Scholar] [CrossRef] [PubMed]
- Brady, J.S.; Chung, S.Y.; Marchiano, E.; Eloy, J.A.; Baredes, S.; Park, R.C.W. Pediatric head and neck bone sarcomas: An analysis of 204 cases. Int. J. Pediatric Otorhinolaryngol. 2017, 100, 71–76. [Google Scholar] [CrossRef]
- Tanaka, K.; Ozaki, T. New TNM classification (AJCC eighth edition) of bone and soft tissue sarcomas: JCOG Bone and Soft Tissue Tumor Study Group. Jpn. J. Clin. Oncol. 2018, 49, 103–107. [Google Scholar] [CrossRef]
- Bjordal, K.; Hammerlid, E.; Ahlner-Elmqvist, M.; De Graeff, A.; Boysen, M.; Evensen, J.F.; Biörklund, A.; De Leeuw, J.R.J.; Fayers, P.; Jannert, M.; et al. Quality of Life in Head and Neck Cancer Patients: Validation of the European Organization for Research and Treatment of Cancer Quality of Life Questionnaire-H&N35. J. Clin. Oncol. 1999, 17, 1008. [Google Scholar] [CrossRef]
- Baliarsing, A.S.; Kumar, V.V.; Malik, N.A.; Kumar, D. Reconstruction of maxillectomy defects using deep circumflex iliac artery–based composite free flap. Oral Surgery, Oral Med. Oral Pathol. Oral Radiol. Endodon. 2010, 109, e8–e13. [Google Scholar] [CrossRef]
- Rohrich, R.J.; Lowe, J.B.; Schwartz, M.R.; Muzaffar, A.R.; Adams, W.P.; Hartog, J.M.; Byrd, H.S. The Role of Open Rhinoplasty in the Management of Nasal Dermoid Cysts. Plast. Reconstr. Surg. 1999, 104, 1459–1468. [Google Scholar] [CrossRef]
- Kumar, V.V.; Jacob, P.; Ebenezer, S.; Kuriakose, M.A.; Kekatpure, V.; Baliarsing, A.S.; Al-Nawas, B.; Wagner, W. Implant supported dental rehabilitation following segmental mandibular reconstruction-quality of life outcomes of a prospective randomized trial. J. Cranio Maxillofac. Surg. 2016, 44, 800–810. [Google Scholar] [CrossRef]
- Pompa, G.; Saccucci, M.; Di Carlo, G.; Brauner, E.; Valentini, V.; Di Carlo, S.; Gentile, T.; Guarino, G.; Polimeni, A. Survival of dental implants in patients with oral cancer treated by surgery and radiotherapy: A retrospective study. BMC Oral Health 2015, 15, 5. [Google Scholar] [CrossRef]
- Sharaf, M.Y.; Ibrahim, S.I.; Eskander, A.E.; Shaker, A.F. Prosthetic versus surgical rehabilitation in patients with maxillary defect regarding the quality of life: Systematic review. Oral Maxillofac. Surg. 2018, 22, 1–11. [Google Scholar] [CrossRef] [PubMed]
- Batstone Reconstruction of major defects of the jaws. Aust. Dent. J. 2018, 63, S108–S113. [CrossRef] [PubMed]
- Rydholm, A. Surgical margins for soft tissue sarcoma. Acta Orthop. Scand. 1997, 68, 81–85. [Google Scholar] [CrossRef] [PubMed]
- Enneking, W.F.; Spanier, S.S.; Malawer, M.M. The effect of the anatomic setting on the results of surgical procedures for soft parts sarcoma of the thigh. Cancer 1981, 47, 1005–1022. [Google Scholar] [CrossRef]
- Pucci, R.; Weyh, A.; Smotherman, C.; Valentini, V.; Bunnell, A.; Fernandes, R. Accuracy of virtual planned surgery versus conventional free-hand surgery for reconstruction of the mandible with osteocutaneous free flaps. Int. J. Oral Maxillofac. Surg. 2020. [Google Scholar] [CrossRef]
- Cordeiro, P.G.; Henderson, P.; Matros, E. A 20-Year Experience with 202 Segmental Mandibulectomy Defects. Plast. Reconstr. Surg. 2018, 141, 571e–581e. [Google Scholar] [CrossRef]
- Papi, P.; Brauner, E.; Di Carlo, S.; Musio, D.; Tombolini, M.; De Angelis, F.; Valentini, V.; Tombolini, V.; Polimeni, A.; Pompa, G. Crestal bone loss around dental implants placed in head and neck cancer patients treated with different radiotherapy techniques: A prospective cohort study. Int. J. Oral Maxillofac. Surg. 2019, 48, 691–696. [Google Scholar] [CrossRef]
- Lou, C.; Yang, X.; Hu, L.; Hu, Y.; Loh, J.S.; Ji, T.; Zhang, C. Oromandibular reconstruction using microvascularized bone flap: Report of 1038 cases from a single institution. Int. J. Oral Maxillofac. Surg. 2019, 48, 1001–1008. [Google Scholar] [CrossRef]
- Valentini, V.; Califano, L.; Cassoni, A.; Marco, D.M.; Raponi, I.; Priore, P.; Fadda, M.T.; Dell’Aversana, G.O.; Terenzi, V. Maxillo-Mandibular Reconstruction in Pediatric Patients. J. Craniofacial Surg. 2018, 29, 761–766. [Google Scholar] [CrossRef]
- Brauner, E.; Di Carlo, S.; Ciolfi, A.; Pompa, G.; Jamshir, S.; De Angelis, F.; Della Monaca, M.; Valentini, V. Use of Porous Implants for the Prosthetic Rehabilitation of Fibula Free Flap Reconstructed Patients. J. Craniofacial Surg. 2019, 30, 1163–1169. [Google Scholar] [CrossRef]
- Said, M.M.; Otomaru, T.; Sumita, Y.; Khan, Z.; Taniguchi, H.; Leung, K.C. Systematic review of literature: Functional outcomes of implant-prosthetic treatment in patients with surgical resection for oral cavity tumors. J. Investig. Clin. Dent. 2017, 8. [Google Scholar] [CrossRef]
- Tang, J.A.L.; Rieger, J.; Wolfaardt, J.F. A review of functional outcomes related to prosthetic treatment after maxillary and mandibular reconstruction in patients with head and neck cancer. Int. J. Prosthodont. 2008, 21, 337–354. [Google Scholar] [PubMed]
- Korfage, A.; Raghoebar, G.M.; Slater, J.J.H.; Roodenburg, J.L.; Witjes, M.; Vissink, A.; Reintsema, H. Overdentures on primary mandibular implants in patients with oral cancer: A follow-up study over 14 years. Br. J. Oral Maxillofac. Surg. 2014, 52, 798–805. [Google Scholar] [CrossRef] [PubMed]
- Brauner, E.; Valentini, V.; Jamshir, S.; Guarino, G.; Battisti, A.; Fadda, M.T.; Pompa, G. Retrospective review of 78 rehabilitated head and neck postoncological patients: A new classification method. Minerva Stomatol. 2016, 65, 17–38. [Google Scholar] [PubMed]
- Brauner, E.; Pompa, G.; Quarato, A.; Jamshir, S.; De Angelis, F.; Di Carlo, S.; Valentini, V. Maxillofacial Prosthesis in Dentofacial Traumas: A Retrospective Clinical Study and Introduction of New Classification Method. BioMed Res. Int. 2017, 2017, 1–8. [Google Scholar] [CrossRef] [PubMed]
- El-Sayed, W.; Gad, M.; Medra, A. Prosthodontic Management of Maxillectomy Patients with Dental Implants in Residual Zygomatic Bone: A Preliminary Report. Int. J. Prosthodont. 2014, 27, 534–540. [Google Scholar] [CrossRef]
- Brauner, E.; Valentini, V.; de Angelis, F.; Jamshir, S.; Visca, A.; Romeo, U.; Tenore, G.; Pompa, G.; di Carlo, S. Gingival hyperplasia around dental implants in jaws reconstructed with free vascularized flaps: A case report series. J. Int. Dent. Med. Res. 2018, 11, 1–7. [Google Scholar]
- Brauner, E.; Musio, D.; Mezi, S.; Ciolfi, A.; Maghella, F.; Cassoni, A.; De Angelis, F.; Guarino, G.; Romeo, U.; Tenore, G.; et al. Implant placement in oral squamous cells carcinoma patients treated with chemoradiotherapy: “Sapienza Head and Neck Unit” clinical recommendations. Eur. Rev. Med. Pharmacol. Sci. 2019, 23, 9923–9930. [Google Scholar] [CrossRef]
- Cakir, O.; Kazancioglu, H.O.; Çelik, G.; Deger, S.; Ak, G. Evaluation of the Efficacy of Mandibular Conventional and Implant Prostheses in a Group of Turkish Patients: A Quality of Life Study. J. Prosthodont. 2014, 23, 390–396. [Google Scholar] [CrossRef]
- Di Carlo, S.; De Angelis, F.; Armida, M.; Jamshir, S.; Fabretti, M.; Brauner, E. Prosthetic rehabilitation with use of palatal augmentation prosthesis in patients affected by functional limitations of the tongue. J. Int. Dent. Med. Res. 2019, 12, 607–611. [Google Scholar]
- Kende, D.; Szabó, G.; Marada, G.; Szentpétery, A. [Impact of prosthetic care on oral health related quality of life]. Fogorv. Szle. 2008, 101, 49–57. [Google Scholar]
- Sozzi, D.; Novelli, G.; Silva, R.; Connelly, S.T.; Tartaglia, G. Implant rehabilitation in fibula-free flap reconstruction: A retrospective study of cases at 1–18 years following surgery. J. Cranio Maxillofac. Surg. 2017, 45, 1655–1661. [Google Scholar] [CrossRef] [PubMed]






| Sample Size (n): | 15 |
| Sex: | |
| Male | 4 (26.7%) |
| Female | 11 (73.3%) |
| Age (mean +/− SD): | 38.53 years +/− 18.91 |
| Stage: | |
| IA | 3 (20%) |
| IIA | 11 (73.3%) |
| IIB | 1 (6.7%) |
| Margins: | |
| free | 12 (80%) |
| positive | 2 (13.3%) |
| marginal resection | 1(6.7%) |
| Recurrence: | 4 (26%) |
| Treatment: | |
| Surgery | 8 (53.3%) |
| Multimodality | 7 (46.7%) |
| Follow up (mean +/− SD): | 7.46 +/− 4.59 |
| N° | Site | Surgical Procedure | Immediate Reconstruction | Margins | Secondary Reconstruction | Dental Rehabilitation |
|---|---|---|---|---|---|---|
| 1 | Maxilla | maxillectomy Brown II | temporalis flap | free | no | |
| 2 | Maxilla | maxillectomy Brown I | temporalis flap | free | no | |
| 3 | Maxilla | maxillectomy Brown III | temporalis flap | free | DCIA | yes |
| 4 | Maxilla | maxillectomy Brown III | LD | marginal excision | no | |
| 5 | Maxilla | total maxillectomy | obturator | free | FF | yes (dental implants) |
| 6 | Maxilla | maxillectomy Brown II | FF | free | yes (dental implants) | |
| 7 | Maxilla | maxillectomy Brown III | temporalis flap | free | no | |
| 8 | Maxilla | maxillectomy Brown II | temporalis flap | free | no | |
| 9 | Mandible | emi-mandibulectomy | DCIA | positive | Resection of the margin and reconstructive plate | no |
| 10 | Mandible | emi-mandibulectomy | FF | positive | Resection of the margin and reconstructive plate | no |
| 11 | Mandible | emi-mandibulectomy | reconstructive plate | free | FF | yes (dental implants) |
| 12 | Mandible | segmental mandibulectomy | reconstructive plate | free | DCIA | yes |
| 13 | Mandible | segmental mandibulectomy | reconstructive plate | free | no | |
| 14 | Mandible | segmental mandibulectomy | local flap | free | no | |
| 15 | Mandible | segmental mandibulectomy | local flap | free | no |
© 2020 by the authors. Licensee MDPI, Basel, Switzerland. This article is an open access article distributed under the terms and conditions of the Creative Commons Attribution (CC BY) license (http://creativecommons.org/licenses/by/4.0/).
Share and Cite
Cassoni, A.; Brauner, E.; Pucci, R.; Terenzi, V.; Mangini, N.; Battisti, A.; Della Monaca, M.; Ciolfi, A.; Laudoni, F.; Di Carlo, S.; et al. Head and Neck Osteosarcoma—The Ongoing Challenge about Reconstruction and Dental Rehabilitation. Cancers 2020, 12, 1948. https://doi.org/10.3390/cancers12071948
Cassoni A, Brauner E, Pucci R, Terenzi V, Mangini N, Battisti A, Della Monaca M, Ciolfi A, Laudoni F, Di Carlo S, et al. Head and Neck Osteosarcoma—The Ongoing Challenge about Reconstruction and Dental Rehabilitation. Cancers. 2020; 12(7):1948. https://doi.org/10.3390/cancers12071948
Chicago/Turabian StyleCassoni, Andrea, Edoardo Brauner, Resi Pucci, Valentina Terenzi, Nicolò Mangini, Andrea Battisti, Marco Della Monaca, Alessandro Ciolfi, Federico Laudoni, Stefano Di Carlo, and et al. 2020. "Head and Neck Osteosarcoma—The Ongoing Challenge about Reconstruction and Dental Rehabilitation" Cancers 12, no. 7: 1948. https://doi.org/10.3390/cancers12071948
APA StyleCassoni, A., Brauner, E., Pucci, R., Terenzi, V., Mangini, N., Battisti, A., Della Monaca, M., Ciolfi, A., Laudoni, F., Di Carlo, S., & Valentini, V. (2020). Head and Neck Osteosarcoma—The Ongoing Challenge about Reconstruction and Dental Rehabilitation. Cancers, 12(7), 1948. https://doi.org/10.3390/cancers12071948

