Characterization of Kunitz-Domain Anticoagulation Peptides Derived from Acinetobacter baumannii Exotoxin Protein F6W77
Abstract
1. Introduction
2. Results
2.1. Sequence Analyses and Kunitz-Domain Identification of a New Bacterial Exotoxin Protein, F6W77, from Acinetobacter baumannii
2.2. Expression of Kunitz-Domain Peptides from the Bacterial Exotoxin Protein F6W77 of Acinetobacter baumannii
2.3. Anticoagulation Activity Characterization of Five Kunitz-Domain Peptides from the Bacterial Exotoxin Protein F6W77
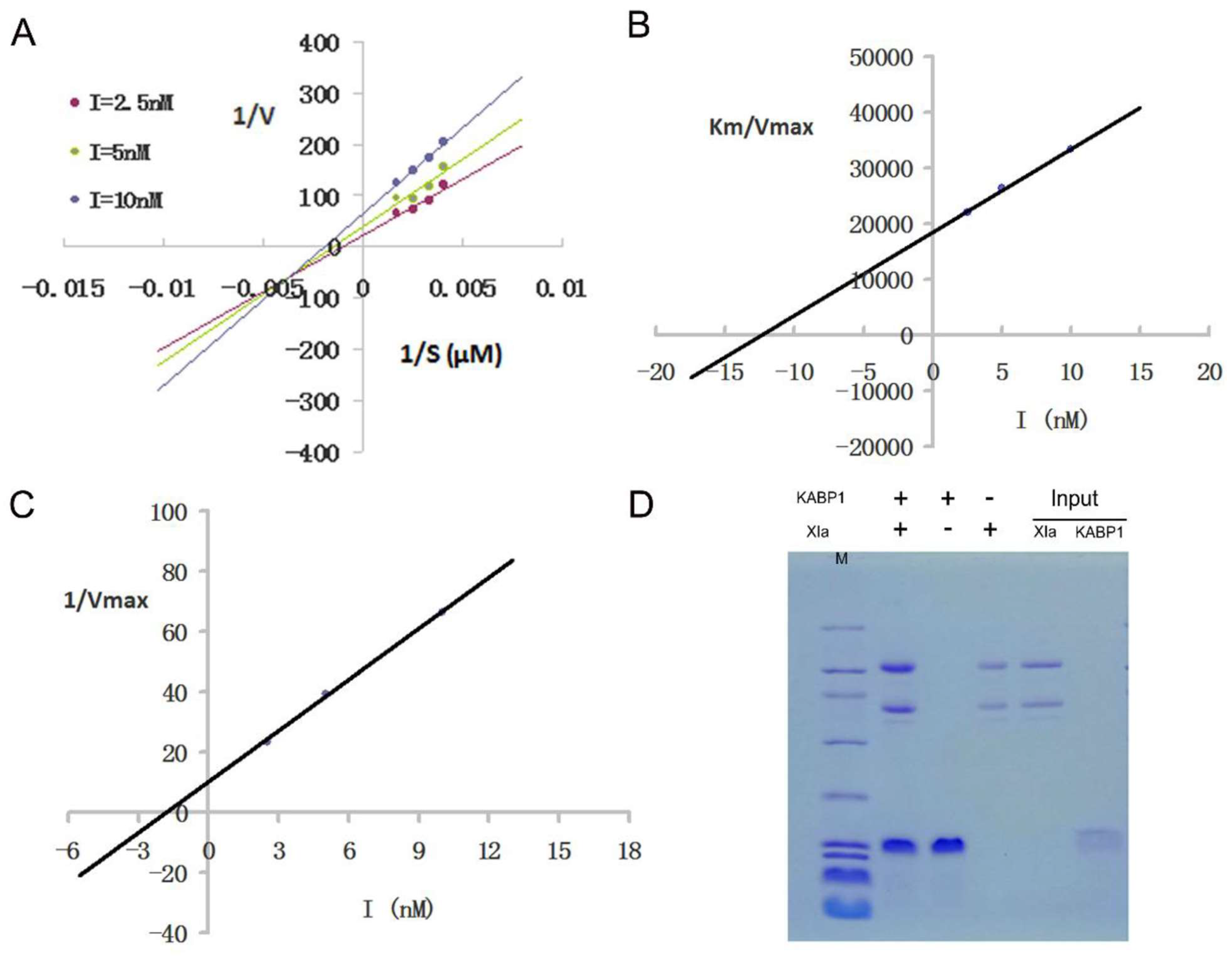
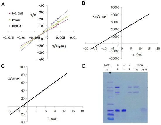
2.4. Two Kunitz-Domain Peptides, KABP1 and KABP5, Are Potent Inhibitors towards Coagulation Factors Xa and XIa
2.5. Structure-Activity Relationship Comparison of Five Kunitz-Domain Peptides
3. Discussion
4. Materials and Methods
4.1. Bioinformatic Analysis of a Bacterial Exotoxin Protein, F6W77_19310, from the Bacteria Acinetobacter baumannii
4.2. Recombinant Plasmid Construction of Kunitz-Domain Peptides
4.3. Recombinant Expression and Purification of Kunitz-Domain Peptides
4.4. Activated Partial Thromboplastin Time (APTT) and Prothrombin Time (PT)
4.5. Coagulation Factors Inhibitory Activity Assay
Author Contributions
Funding
Institutional Review Board Statement
Informed Consent Statement
Data Availability Statement
Conflicts of Interest
References
- Chapin, J.C.; Hajjar, K.A. Fibrinolysis and the control of blood coagulation. Blood Rev. 2015, 29, 17–24. [Google Scholar] [CrossRef] [PubMed]
- Chen, J.; Li, X.; Li, L.; Zhang, T.; Zhang, Q.; Wu, F.; Wang, D.; Hu, H.; Tian, C.; Liao, D.; et al. Coagulation factors VII, IX and X are effective antibacterial proteins against drug-resistant Gram-negative bacteria. Cell Res. 2019, 29, 711–724. [Google Scholar] [CrossRef] [PubMed]
- Choby, J.E.; Monteith, A.J.; Himmel, L.E.; Margaritis, P.; Shirey-Rice, J.K.; Pruijssers, A.; Jerome, R.N.; Pulley, J.; Skaar, E.P. A Phenome-Wide Association Study Uncovers a Pathological Role of Coagulation Factor X during Infection. Infect. Immun. 2019, 87, 10–1128. [Google Scholar] [CrossRef] [PubMed]
- Berends, E.T.; Kuipers, A.; Ravesloot, M.M.; Urbanus, R.T.; Rooijakkers, S.H. Bacteria under stress by complement and coagulation. Fems Microbiol. Rev. 2014, 38, 1146–1171. [Google Scholar] [CrossRef]
- Dahlman A, Puthia M, Petrlova J, Schmidtchen A, Petruk G. Thrombin-Derived C-Terminal Peptide Reduces Candida-Induced Inflammation and Infection In Vitro and In Vivo. Antimicrob. Agents Chemother. 2021, 65, 10-1128.
- Le Gall, S.M.; Szabo, R.; Lee, M.; Kirchhofer, D.; Craik, C.S.; Bugge, T.H.; Camerer, E. Matriptase activation connects tissue factor-dependent coagulation initiation to epithelial proteolysis and signaling. Blood 2016, 127, 3260–3269. [Google Scholar] [CrossRef]
- Claes, J.; Liesenborghs, L.; Peetermans, M.; Veloso, T.R.; Missiakas, D.; Schneewind, O.; Mancini, S.; Entenza, J.M.; Hoylaerts, M.F.; Heying, R.; et al. Clumping factor A, von Willebrand factor-binding protein and von Willebrand factor anchor to the vessel wall. J. Thromb. Haemost. 2017, 15, 1009–1019. [Google Scholar] [CrossRef]
- Sewid, A.H.; Hassan, M.N.; Ammar, A.M.; Bemis, D.A.; Kania, S.A. Identification, Cloning, and Characterization of Staphylococcus pseudintermedius Coagulase. Infect. Immun. 2018, 86, 10–1128. [Google Scholar] [CrossRef]
- Shannon, O.; Flock, J.I. Extracellular fibrinogen-binding protein (Efb) from inhibits fibrinogen binding, platelet aggregation and whole blood thrombus formation. J. Thromb. Haemost. 2013, 11, 108–109. [Google Scholar]
- Stemberk, V.; Jones, R.P.O.; Moroz, O.; Atkin, K.E.; Edwards, A.M.; Turkenburg, J.P.; Leech, A.P.; Massey, R.C.; Potts, J.R. Evidence for Steric Regulation of Fibrinogen Binding to Staphylococcus aureus Fibronectin-binding Protein A (FnBPA). J. Biol. Chem. 2014, 289, 12842–12851. [Google Scholar] [CrossRef]
- Itoh, S.; Yokoyama, R.; Kamoshida, G.; Fujiwara, T.; Okada, H.; Takii, T.; Tsuji, T.; Fujii, S.; Hashizume, H.; Onozaki, K. Staphylococcal Superantigen-like Protein 10 (SSL10) Inhibits Blood Coagulation by Binding to Prothrombin and Factor Xa via Their γ-Carboxyglutamic Acid (Gla) Domain. J. Biol. Chem. 2013, 288, 21569–21580. [Google Scholar] [CrossRef] [PubMed]
- Serón, M.V.; Plug, T.; Marquart, J.A.; Marx, P.F.; Herwald, H.; de Groot, P.G.; Meijers, J.C.M. Binding characteristics of thrombin-activatable fibrinolysis inhibitor to streptococcal surface collagen-like proteins A and B. Thromb. Haemost. 2011, 106, 609–616. [Google Scholar] [CrossRef] [PubMed]
- Shimizu, S.; Tojima, I.; Takezawa, K.; Matsumoto, K.; Kouzaki, H.; Shimizu, T. Thrombin and activated coagulation factor X stimulate the release of cytokines and fibronectin from nasal polyp fibroblasts protease-activated receptors. Am. J. Rhinol. Allergy 2017, 31, E13–E18. [Google Scholar] [CrossRef] [PubMed]
- Chen, Z.-L.; Singh, P.K.; Horn, K.; Calvano, M.R.; Kaneki, S.; McCrae, K.R.; Strickland, S.; Norris, E.H. Anti-HK antibody inhibits the plasma contact system by blocking prekallikrein and factor XI activation in vivo. Blood Adv. 2023, 7, 1156–1167. [Google Scholar] [CrossRef]
- Tilley, D.; Law, R.; Warren, S.; Samis, J.A.; Kumar, A. CpaA a novel protease from clinical isolates deregulates blood coagulation. Fems Microbiol. Lett. 2014, 356, 53–61. [Google Scholar] [CrossRef]
- Waack, U.; Warnock, M.; Yee, A.; Huttinger, Z.; Smith, S.; Kumar, A.; Deroux, A.; Ginsburg, D.; Mobley, H.L.T.; Lawrence, D.A.; et al. CpaA Is a Glycan-Specific Adamalysin-like Protease Secreted by Acinetobacter baumannii That Inactivates Coagulation Factor XII. Mbio 2018, 9, 10–1128. [Google Scholar] [CrossRef]
- Kuo, K.H.; Khan, S.; Rand, M.L.; Mian, H.S.; Brnjac, E.; Sandercock, L.E.; Akula, I.; Julien, J.P.; Pai, E.F.; Chesney, A.E. EspP, an extracellular serine protease from enterohemorrhagic, induces coagulopathy in human plasma and fibrinolysis in whole blood. J. Thromb. Haemost. 2011, 9, 577. [Google Scholar]
- Monastyrnaya, M.; Peigneur, S.; Zelepuga, E.; Sintsova, O.; Gladkikh, I.; Leychenko, E.; Isaeva, M.; Tytgat, J.; Kozlovskaya, E. Kunitz-Type Peptide HCRG21 from the Sea Anemone Heteractis crispa Is a Full Antagonist of the TRPV1 Receptor. Mar. Drugs 2016, 14, 229. [Google Scholar] [CrossRef]
- Chen, Z.-Y.; Hu, Y.-T.; Yang, W.-S.; He, Y.-W.; Feng, J.; Wang, B.; Zhao, R.-M.; Ding, J.-P.; Cao, Z.-J.; Li, W.-X.; et al. Hg1, novel peptide inhibitor specific for Kv1.3 channels from first scorpion Kunitz-type potassium channel toxin family. J. Biol. Chem. 2012, 287, 13813–13821. [Google Scholar] [CrossRef]
- Ding, L.; Hao, J.; Luo, X.; Zhu, W.; Wu, Z.; Qian, Y.; Hu, F.; Liu, T.; Ruan, X.; Li, S.; et al. The Kv1.3 channel-inhibitory toxin BF9 also displays anticoagulant activity via inhibition of factor XIa. Toxicon. 2018, 152, 9–15. [Google Scholar] [CrossRef]
- Pang, L.Z.; Dunterman, M.; Guo, S.L.; Khan, F.; Liu, Y.; Taefi, E.; Bahrami, A.; Geula, C.; Hsu, W.H.; Horbinski, C.; et al. Kunitz-type protease inhibitor TFPI2 remodels stemness and immunosuppressive tumor microenvironment in glioblastoma. Nat Immunol. 2023, 24, 654–1670. [Google Scholar] [CrossRef] [PubMed]
- Ranasinghe, S.L.; Fischer, K.; Gobert, G.N.; McManus, D.P. A novel coagulation inhibitor from Schistosoma japonicum. Parasitology 2015, 142, 1663–1672. [Google Scholar] [CrossRef] [PubMed]
- Huang, N.X.; Wang, Q.C.; Bernard, R.B.; Chen, C.Y.; Hu, J.M.; Wang, J.K.; Chan, K.S.; Johnson, M.D.; Lin, C.Y. SPINT2 mutations in the Kunitz domain 2 found in SCSD patients inactivate HAI-2 as prostasin inhibitor via abnormal protein folding and N-glycosylation. Hum Mol Genet. 2024, 33, 752–767. [Google Scholar] [CrossRef] [PubMed]
- Ma, D.; Mizurini, D.M.; Assumpção, T.C.F.; Li, Y.; Qi, Y.; Kotsyfakis, M.; Ribeiro, J.M.C.; Monteiro, R.Q.; Francischetti, I.M.B. Desmolaris, a novel factor XIa anticoagulant from the salivary gland of the vampire bat (Desmodus rotundus) inhibits inflammation and thrombosis in vivo. Blood 2013, 122, 4094–4106. [Google Scholar] [CrossRef]
- Wu, W.; Li, H.; Navaneetham, D.; Reichenbach, Z.W.; Tuma, R.F.; Walsh, P.N. The kunitz protease inhibitor domain of protease nexin-2 inhibits factor XIa and murine carotid artery and middle cerebral artery thrombosis. Blood 2012, 120, 671–677. [Google Scholar] [CrossRef][Green Version]
- Francischetti, I.M.B.; Valenzuela, J.G.; Andersen, J.F.; Mather, T.N.; Ribeiro, J.M.C. Ixolaris, a novel recombinant tissue factor pathway inhibitor (TFPI) from the salivary gland of the tick, Ixodes scapularis: Identification of factor X and factor Xa as scaffolds for the inhibition of factor VIIa/tissue factor complex. Blood 2002, 99, 3602–3612. [Google Scholar] [CrossRef]
- Branco, V.G.; Iqbal, A.; Alvarez-Flores, M.P.; Sciani, J.M.; de Andrade, S.A.; Iwai, L.K.; Serrano, S.M.; Chudzinski-Tavassi, A.M. Amblyomin-X having a Kunitz-type homologous domain, is a noncompetitive inhibitor of FXa and induces anticoagulation in vitro and in vivo. Biochim. Et Biophys. Acta-Proteins Proteom. 2016, 1864, 1428–1435. [Google Scholar] [CrossRef]
- Fló, M.; Margenat, M.; Pellizza, L.; Graña, M.; Durán, R.; Báez, A.; Salceda, E.; Soto, E.; Alvarez, B.; Fernández, C. Functional diversity of secreted cestode Kunitz proteins: Inhibition of serine peptidases and blockade of cation channels. PLoS Pathog. 2017, 13, e1006169. [Google Scholar] [CrossRef]
- Yang, W.; Feng, J.; Wang, B.; Cao, Z.; Li, W.; Wu, Y.; Chen, Z. BF9, the first functionally characterized snake toxin peptide with Kunitz-type protease and potassium channel inhibiting properties. J. Biochem. Mol. Toxicol. 2014, 28, 76–83. [Google Scholar] [CrossRef]
- Perona, J.J.; Tsu, C.A.; Craik, C.S.; Fletterick, R.J. Crystal structures of rat anionic trypsin complexed with the protein inhibitors APPI and BPTI. J. Mol. Biol. 1993, 230, 919–933. [Google Scholar] [CrossRef]
- Zhang, E.; Charles, R.S.; Tulinsky, A. Structure of extracellular tissue factor complexed with factor VIIa inhibited with a BPTI mutant. J. Mol. Biol. 1999, 285, 2089–2104. [Google Scholar] [CrossRef] [PubMed]
- Navaneetham, D.; Wu, W.; Li, H.; Sinha, D.; Tuma, R.F.; Walsh, P.N. P1 and P2’ site mutations convert protease nexin-2 from a factor XIa inhibitor to a plasmin inhibitor. J. Biochem. 2013, 153, 221–231. [Google Scholar] [CrossRef] [PubMed]
- Weitz, J.I.; Chan, N.C. Novel antithrombotic strategies for treatment of venous thromboembolism. Blood 2020, 135, 351–359. [Google Scholar] [CrossRef] [PubMed]
- Visser, M.; van Oerle, R.; Cate, H.T.; Laux, V.; Mackman, N.; Heitmeier, S.; Spronk, H.M. Plasma Kallikrein Contributes to Coagulation in the Absence of Factor XI by Activating Factor IX. Arter. Thromb. Vasc. Biol. 2020, 40, 103–111. [Google Scholar] [CrossRef]
- Steen Burrell, K.A.; Layzer, J.; Sullenger, B.A. A kallikrein-targeting RNA aptamer inhibits the intrinsic pathway of coagulation and reduces bradykinin release. J. Thromb. Haemost. 2017, 15, 1807–1817. [Google Scholar] [CrossRef]
- Woodruff, R.S.; Xu, Y.; Layzer, J.; Wu, W.; Ogletree, M.L.; Sullenger, B.A. Inhibiting the intrinsic pathway of coagulation with a factor XII-targeting RNA aptamer. J. Thromb. Haemost. 2013, 11, 1364–1373. [Google Scholar] [CrossRef]
- Wheeler, A.P.; Gailani, D. The Intrinsic Pathway of Coagulation as a Target for Antithrombotic Therapy. Hematol. Oncol. Clin. North Am. 2016, 30, 1099–1114. [Google Scholar] [CrossRef]
- Chu, A.J. Blood coagulation as an intrinsic pathway for proinflammation: A mini review. Inflamm Allergy Drug Targets 2010, 9, 32–44. [Google Scholar] [CrossRef]
- Zhang, H.; Löwenberg, E.C.; Crosby, J.R.; MacLeod, A.R.; Zhao, C.; Gao, D.; Black, C.; Revenko, A.S.; Meijers, J.C.M.; Stroes, E.S.; et al. Inhibition of the intrinsic coagulation pathway factor XI by antisense oligonucleotides: A novel antithrombotic strategy with lowered bleeding risk. Blood 2010, 116, 4684–4692. [Google Scholar] [CrossRef]
- Mukherjee, A.K.; Dutta, S.; Kalita, B.; Jha, D.K.; Deb, P.; Mackessy, S.P. Structural and functional characterization of complex formation between two Kunitz-type serine protease inhibitors from Russell’s Viper venom. Biochimie 2016, 128, 138–147. [Google Scholar] [CrossRef]
- Ding, L.; Hao, J.; Luo, X.; Chen, Z. Engineering varied serine protease inhibitors by converting P1 site of BF9, a weakly active Kunitz-type animal toxin. Int. J. Biol. Macromol. 2018, 120 Pt A, 1190–1197. [Google Scholar] [CrossRef]
- Chen, W.; Carvalho, L.P.D.; Chan, M.Y.; Kini, R.M.; Kang, T.S. Fasxiator, a novel factor XIa inhibitor from snake venom, and its site-specific mutagenesis to improve potency and selectivity. J. Thromb. Haemost. 2015, 13, 248–261. [Google Scholar] [CrossRef] [PubMed]
- Tsujimoto, H.; Kotsyfakis, M.; Francischetti, I.M.B.; Eum, J.H.; Strand, M.R.; Champagne, D.E. Simukunin from the salivary glands of the black fly Simulium vittatum inhibits enzymes that regulate clotting and inflammatory responses. PLoS ONE 2012, 7, e29964. [Google Scholar] [CrossRef] [PubMed]
- Luan, N.; Zhou, C.; Li, P.; Ombati, R.; Yan, X.; Mo, G.; Rong, M.; Lai, R.; Duan, Z.; Zheng, R. Joannsin, a novel Kunitz-type FXa inhibitor from the venom of Prospirobolus joannsi. Thromb. Haemost. 2017, 117, 1031–1039. [Google Scholar] [CrossRef] [PubMed]
- Ben Khalifa, N.; Tyteca, D.; Marinangeli, C.; Depuydt, M.; Collet, J.; Courtoy, P.J.; Renauld, J.; Constantinescu, S.; Octave, J.; Kienlen-Campard, P. Structural features of the KPI domain control APP dimerization, trafficking, and processing. Faseb J. 2012, 26, 855–867. [Google Scholar] [CrossRef]
- Waxman, L.; Smith, D.E.; Arcuri, K.E.; Vlasuk, G.P. Tick anticoagulant peptide (TAP) is a novel inhibitor of blood coagulation factor Xa. Science 1990, 248, 593–596. [Google Scholar] [CrossRef]
- Yang, X.; Wang, Y.; Lu, Z.; Zhai, L.; Jiang, J.; Liu, J.; Yu, H. A novel serine protease inhibitor from the venom of Fabricius. Comp. Biochem. Physiol. B-Biochem. Mol. Biol. 2009, 153, 116–120. [Google Scholar] [CrossRef]
- Jedličková, L.; Dvořák, J.; Hrachovinová, I.; Ulrychová, L.; Kašný, M.; Mikeš, L. A novel Kunitz protein with proposed dual function from Eudiplozoon nipponicum (Monogenea) impairs haemostasis and action of complement in vitro. Int. J. Parasitol. 2019, 49, 337–346. [Google Scholar] [CrossRef]
- Morais, S.B.; Figueiredo, B.C.; Assis, N.R.G.; Alvarenga, D.M.; de Magalhães, M.T.Q.; Ferreira, R.S.; Vieira, A.T.; Menezes, G.B.; Oliveira, S.C. Schistosoma mansoni SmKI-1 serine protease inhibitor binds to elastase and impairs neutrophil function and inflammation. PLoS Pathog. 2018, 14, e1006870. [Google Scholar] [CrossRef]
- Ding, L.; Shu, Z.; Hao, J.; Luo, X.; Ye, X.; Zhu, W.; Duan, W.; Chen, Z. Schixator, a new FXa inhibitor from with antithrombotic effect and low bleeding risk. Biochem. Biophys. Res. Commun. 2022, 603, 138–143. [Google Scholar] [CrossRef]
- Bonturi, C.R.; Teixeira, A.B.S.; Rocha, V.M.; Valente, P.F.; Oliveira, J.R.; Filho, C.M.B.; Batista, I.F.C.; Oliva, M.L.V. Plant Kunitz Inhibitors and Their Interaction with Proteases: Current and Potential Pharmacological Targets. Int. J. Mol. Sci. 2022, 23, 4742. [Google Scholar] [CrossRef] [PubMed]
- Olson, S.T.; Gettins, P.G.W. Regulation of Proteases by Protein Inhibitors of the Serpin Superfamily. Proteases Health Dis. 2011, 99, 185–240. [Google Scholar]
- Jmel, M.A.; Voet, H.; Araújo, R.N.; Tirloni, L.; Sá-Nunes, A.; Kotsyfakis, M. Tick Salivary Kunitz-Type Inhibitors: Targeting Host Hemostasis and Immunity to Mediate Successful Blood Feeding. Int. J. Mol. Sci. 2023, 24, 1556. [Google Scholar] [CrossRef] [PubMed]
- Mishra, M. Evolutionary Aspects of the Structural Convergence and Functional Diversification of Kunitz-Domain Inhibitors. J. Mol. Evol. 2020, 88, 537–548. [Google Scholar] [CrossRef] [PubMed]
- Fredenburgh, J.C.; Gross, P.L.; Weitz, J.I. Emerging anticoagulant strategies. Blood 2017, 129, 147–154. [Google Scholar] [CrossRef]
- Chen, Z.; Luo, F.; Feng, J.; Yang, W.; Zeng, D.; Zhao, R.; Cao, Z.; Liu, M.; Li, W.; Jiang, L.; et al. Genomic and structural characterization of Kunitz-type peptide LmKTT-1a highlights diversity and evolution of scorpion potassium channel toxins. PLoS ONE 2013, 8, e60201. [Google Scholar] [CrossRef]
- Zhao, R.; Dai, H.; Qiu, S.; Li, T.; He, Y.; Ma, Y.; Chen, Z.; Wu, Y.; Li, W.; Cao, Z. SdPI, the first functionally characterized Kunitz-type trypsin inhibitor from scorpion venom. PLoS ONE 2011, 6, e27548. [Google Scholar] [CrossRef]








| Peptide | Source | P2 | P1 | P1′ | P2′ | Target | Ref |
|---|---|---|---|---|---|---|---|
| KABP1 | Bacteria | C | R | G | Y | FXIa, FXa | This work |
| PN2KPI | Human | C | R | A | M | FXIa, FIXa, FXa, Kallikrein | [25] |
| RVV inhibitor II | Snake | C | R | G | H | Kallikrein | [40] |
| Simukunin | Fly | C | R | A | L | FXa, FIXa, FXIa | [43] |
| EnKT1 | Fluke | C | R | A | S | FXa, Kallikrein | [48] |
| SjKI-1 | Fluke | C | R | A | S | FXa, Kallikrein | [22] |
| Schixator | Fluke | C | R | G | Y | FXa and FXIa | [50] |
| SmKI-1 | Fluke | C | R | A | L | FXa, Kallikrein | [49] |
| joannsin | Millipede | C | R | A | R | FXa | [44] |
| KPI | Limulidae | C | R | A | G | Kallikrein | [45] |
| BF9 | Snake | C | N | A | L | FXIa | [29] |
| Fasxiator | Snake | C | N | A | L | FXIa, FXa | [42] |
| Amblyomin-X | Tick | C | S | N | K | FXa | [27] |
| TAP | Tick | C | D | S | N | FXa | [46] |
| Bicolin | Wasp | C | Q | S | S | IIa | [47] |
Disclaimer/Publisher’s Note: The statements, opinions and data contained in all publications are solely those of the individual author(s) and contributor(s) and not of MDPI and/or the editor(s). MDPI and/or the editor(s) disclaim responsibility for any injury to people or property resulting from any ideas, methods, instructions or products referred to in the content. |
© 2024 by the authors. Licensee MDPI, Basel, Switzerland. This article is an open access article distributed under the terms and conditions of the Creative Commons Attribution (CC BY) license (https://creativecommons.org/licenses/by/4.0/).
Share and Cite
Sun, F.; Deng, X.; Gao, H.; Ding, L.; Zhu, W.; Luo, H.; Ye, X.; Luo, X.; Chen, Z.; Qin, C. Characterization of Kunitz-Domain Anticoagulation Peptides Derived from Acinetobacter baumannii Exotoxin Protein F6W77. Toxins 2024, 16, 450. https://doi.org/10.3390/toxins16100450
Sun F, Deng X, Gao H, Ding L, Zhu W, Luo H, Ye X, Luo X, Chen Z, Qin C. Characterization of Kunitz-Domain Anticoagulation Peptides Derived from Acinetobacter baumannii Exotoxin Protein F6W77. Toxins. 2024; 16(10):450. https://doi.org/10.3390/toxins16100450
Chicago/Turabian StyleSun, Fang, Xiaolin Deng, Huanhuan Gao, Li Ding, Wen Zhu, Hongyi Luo, Xiangdong Ye, Xudong Luo, Zongyun Chen, and Chenhu Qin. 2024. "Characterization of Kunitz-Domain Anticoagulation Peptides Derived from Acinetobacter baumannii Exotoxin Protein F6W77" Toxins 16, no. 10: 450. https://doi.org/10.3390/toxins16100450
APA StyleSun, F., Deng, X., Gao, H., Ding, L., Zhu, W., Luo, H., Ye, X., Luo, X., Chen, Z., & Qin, C. (2024). Characterization of Kunitz-Domain Anticoagulation Peptides Derived from Acinetobacter baumannii Exotoxin Protein F6W77. Toxins, 16(10), 450. https://doi.org/10.3390/toxins16100450

