The Relevance of the Virchow Node and Virchow Triad in Renal Cancer Diagnosis
Abstract
1. Introduction
1.1. Patient Information
1.2. Clinical Findings
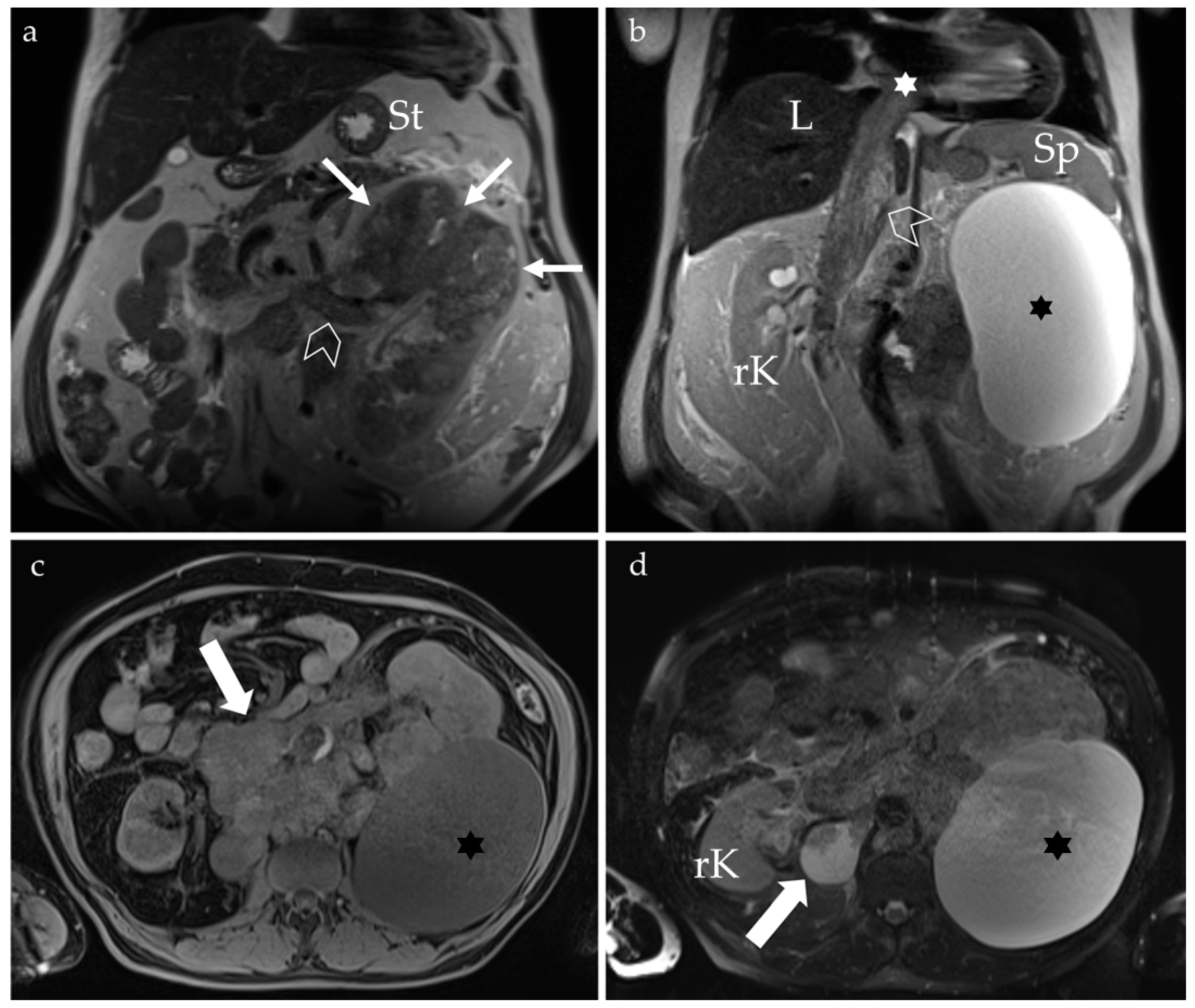
1.3. Diagnostic Assessment
1.4. Therapeutic Intervention
2. Discussion
2.1. Virchow–Troisier Nodules
2.2. Inferior Vena Cava Thrombosis
2.3. Histological Subtypes of Renal Carcinomas
2.4. Histopathological and Immunohistochemical Features
3. Conclusions
Author Contributions
Funding
Institutional Review Board Statement
Informed Consent Statement
Data Availability Statement
Acknowledgments
Conflicts of Interest
References
- Shrateh, O.N.; Abugharbieh, Y.; Hour, H.; Abusharkh, H.; Bannoura, S. Metastasis of Incidentally Diagnosed Renal Cell Carcinoma to the Sacrum 7 Years after Partial Nephrectomy: Case Report and Literature Review. Int. J. Surg. Case Rep. 2023, 111, 108867. [Google Scholar] [CrossRef] [PubMed]
- Chen, S.-C.; Kuo, P.-L. Bone Metastasis from Renal Cell Carcinoma. Int. J. Mol. Sci. 2016, 17, 987. [Google Scholar] [CrossRef]
- Slaton, J.W.; Derya Balbay, M.; Levy, D.A.; Pisters, L.L.; Nesbitt, J.C.; Swanson, D.A.; Dinney, C.P.N. Nephrectomy and Vena Caval Thrombectomy in Patients with Metastatic Renal Cell Carcinoma. Urology 1997, 50, 673–677. [Google Scholar] [CrossRef] [PubMed]
- Reese, A.C.; Whitson, J.M.; Meng, M.V. Natural History of Untreated Renal Cell Carcinoma with Venous Tumor Thrombus. Urol. Oncol. Semin. Orig. Investig. 2013, 31, 1305–1309. [Google Scholar] [CrossRef] [PubMed]
- Moch, H.; Cubilla, A.L.; Humphrey, P.A.; Reuter, V.E.; Ulbright, T.M. The 2016 WHO Classification of Tumours of the Urinary System and Male Genital Organs—Part A: Renal, Penile, and Testicular Tumours. Eur. Urol. 2016, 70, 93–105. [Google Scholar] [CrossRef] [PubMed]
- Wang, Y.; Wang, Y.; Feng, M.; Lian, X.; Lei, Y.; Zhou, H. Renal Cell Carcinoma Associated with Xp11.2 Translocation/Transcription Factor E3 Gene Fusion: An Adult Case Report and Literature Review. J. Int. Med. Res. 2020, 48, 300060520942095. [Google Scholar] [CrossRef] [PubMed]
- Armah, H.B.; Parwani, A.V. Xp11.2 Translocation Renal Cell Carcinoma. Arch. Pathol. Lab. Med. 2010, 134, 124–129. [Google Scholar] [CrossRef] [PubMed]
- Choi, Y.-R.; Han, H.-S.; Lee, O.-J.; Lim, S.-N.; Kim, M.-J.; Yeon, M.-H.; Jeon, H.-J.; Lee, K.H.; Kim, S.T. Metastatic Renal Cell Carcinoma in a Supraclavicular Lymph Node with No Known Primary: A Case Report. Cancer Res. Treat. 2012, 44, 215–218. [Google Scholar] [CrossRef]
- Mochizuki, Y.; Tsuchiya, M.; Oyama, J.; Wada, A.; Kugimoto, T.; Kuroshima, T.; Hirai, H.; Tomioka, H.; Harada, H.; Ikeda, T.; et al. Left Supraclavicular (Virchow’s) Node Metastasis Detected before Primary Infradiaphragmatic Tumor: A Case Series. J. Med. Case Rep. 2022, 16, 33. [Google Scholar] [CrossRef] [PubMed]
- Razi, B.; Cole-Clark, D.; Self, D.; Ghahan, R.M.; Latif, E. Renal Cell Carcinoma Metastasis without a Primary: A Case Report. Urol. Case Rep. 2024, 53, 102658. [Google Scholar] [CrossRef] [PubMed]
- Perry, L.; Schwartz, J.; Slotman, G.; Al Ustwani, O.; Kulkarni, N. Occult Renal Cell Carcinoma Presenting as a Palpable Supraclavicular Virchow’s Node. Am. Surg. 2019, 85, 342–344. [Google Scholar] [CrossRef]
- Kruck, S.; Scharpf, M.; Stenzl, A.; Bedke, J. A Rare Case of Synchronous Renal Cell Carcinoma of the Bladder Presenting with Gross Hematuria. Rare Tumors 2013, 5, 72–74. [Google Scholar] [CrossRef]
- Martignoni, G.; Pea, M.; Zampini, C.; Brunelli, M.; Segala, D.; Zamboni, G.; Bonetti, F. PEComas of the Kidney and of the Genitourinary Tract. Semin. Diagn. Pathol. 2015, 32, 140–159. [Google Scholar] [CrossRef] [PubMed]
- Wang, X.; Ng, C.-S.; Yin, W.; Liang, L. Application of TFE3 Immunophenotypic and TFE3 MRNA Expressions in Diagnosis and Prognostication of Adrenal Cortical Neoplasms and Distinction From Kidney Tumors. Appl. Immunohistochem. Mol. Morphol. 2023, 31, 9–16. [Google Scholar] [CrossRef]
- Tampa, M.; Georgescu, S.R.; Mitran, C.I.; Mitran, M.I.; Matei, C.; Scheau, C.; Constantin, C.; Neagu, M. Recent Advances in Signaling Pathways Comprehension as Carcinogenesis Triggers in Basal Cell Carcinoma. J. Clin. Med. 2020, 9, 3010. [Google Scholar] [CrossRef]
- Caliò, A.; Brunelli, M.; Marletta, S.; Zamboni, G.; Bonetti, F.; Pea, M.; Martignoni, G. Epithelioid Angiomyolipoma: A Pathological Entity Discovered in Verona with the Endorsement of Doctor Rosai. Pathologica 2021, 113, 307–315. [Google Scholar] [CrossRef] [PubMed]
- Scheau, C.; Draghici, C.; Ilie, M.A.; Lupu, M.; Solomon, I.; Tampa, M.; Georgescu, S.R.; Caruntu, A.; Constantin, C.; Neagu, M.; et al. Neuroendocrine Factors in Melanoma Pathogenesis. Cancers 2021, 13, 2277. [Google Scholar] [CrossRef]
- Rekhi, B.; Ingle, A.; Agarwal, M.; Puri, A.; Laskar, S.; Jambhekar, N.A. Alveolar Soft Part Sarcoma ‘Revisited’: Clinicopathological Review of 47 Cases from a Tertiary Cancer Referral Centre, Including Immunohistochemical Expression of TFE3 in 22 Cases and 21 Other Tumours. Pathology 2012, 44, 11–17. [Google Scholar] [CrossRef] [PubMed]
- Yang, B.; Duan, H.; Cao, W.; Guo, Y.; Liu, Y.; Sun, L.; Zhang, J.; Sun, Y.; Ma, Y. Xp11 Translocation Renal Cell Carcinoma and Clear Cell Renal Cell Carcinoma with TFE3 Strong Positive Immunostaining: Morphology, Immunohistochemistry, and FISH Analysis. Mod. Pathol. 2019, 32, 1521–1535. [Google Scholar] [CrossRef] [PubMed]
- Tjota, M.; Chen, H.; Parilla, M.; Wanjari, P.; Segal, J.; Antic, T. Eosinophilic Renal Cell Tumors With a TSC and MTOR Gene Mutations Are Morphologically and Immunohistochemically Heterogenous. Am. J. Surg. Pathol. 2020, 44, 943–954. [Google Scholar] [CrossRef] [PubMed]
- Orr, F.W.; Wang, H.H.; Lafrenie, R.M.; Scherbarth, S.; Nance, D.M. Interactions between Cancer Cells and the Endothelium in Metastasis. J. Pathol. 2000, 190, 310–329. [Google Scholar] [CrossRef]
- Salati, S.A.; Alsuwaydani, S. Virchow-Troisier’s Node: A Review. J. Anal. Oncol. 2023, 12, 24–28. [Google Scholar] [CrossRef]
- Aghedo, B.O.; Kasi, A. Virchow Node; StatPearls Publishing: Treasure Island, FL, USA, 2024. [Google Scholar]
- McAree, B.; O’Donnell, M.; Fitzmaurice, G.; Reid, J.; Spence, R.; Lee, B. Inferior Vena Cava Thrombosis: A Review of Current Practice. Vasc. Med. 2013, 18, 32–43. [Google Scholar] [CrossRef] [PubMed]
- Kraft, C.; Schuettfort, G.; Weil, Y.; Tirneci, V.; Kasper, A.; Haberichter, B.; Schwonberg, J.; Schindewolf, M.; Lindhoff-Last, E.; Linnemann, B. Thrombosis of the Inferior Vena Cava and Malignant Disease. Thromb. Res. 2014, 134, 668–673. [Google Scholar] [CrossRef] [PubMed]
- Stein, P.D.; Matta, F.; Yaekoub, A.Y. Incidence of Vena Cava Thrombosis in the United States. Am. J. Cardiol. 2008, 102, 927–929. [Google Scholar] [CrossRef] [PubMed]
- Hartman, D.S.; Hayes, W.S.; Choyke, P.L.; Tibbetts, G.P. From the Archives of the AFIP. Leiomyosarcoma of the Retroperitoneum and Inferior Vena Cava: Radiologic-Pathologic Correlation. RadioGraphics 1992, 12, 1203–1220. [Google Scholar] [CrossRef] [PubMed]
- Figueroa, A.J.; Stein, J.P.; Lieskovsky, G.; Skinner, D.G. Adrenal Cortical Carcinoma Associated with Venous Tumour Thrombus Extension. Br. J. Urol. 1997, 80, 397–400. [Google Scholar] [CrossRef] [PubMed]
- Storm, F.K.; Mahvi, D.M. Diagnosis and Management of Retroperitoneal Soft-Tissue Sarcoma. Ann. Surg. 1991, 214, 2–10. [Google Scholar] [CrossRef]
- Marko, J.; Wolfman, D.J. Retroperitoneal Leiomyosarcoma From the Radiologic Pathology Archives. RadioGraphics 2018, 38, 1403–1420. [Google Scholar] [CrossRef]
- Mack, T.; Purgina, B. Updates in Pathology for Retroperitoneal Soft Tissue Sarcoma. Curr. Oncol. 2022, 29, 6400–6418. [Google Scholar] [CrossRef] [PubMed]
- Akhavan, S.; Sheikhhasani, S.; Peydayesh, M.; Alizadeh, S.; Zamani, F.; Zamani, N. Rare Presentation of Retroperitoneal Leiomyosarcoma Mimicking a Myoma in a 46-year-old Woman: A Case Report. Clin. Case Rep. 2023, 11, e6909. [Google Scholar] [CrossRef]
- Francis, I.R. Retroperitoneal Sarcomas. Cancer Imaging 2005, 5, 89–94. [Google Scholar] [CrossRef] [PubMed]
- Baz, R.O.; Scheau, C.; Baz, R.A.; Niscoveanu, C. Buhler’s Arc: An Unexpected Finding in a Case of Chronic Abdominal Pain. J. Gastrointest. Liver Dis. 2020, 29, 304. [Google Scholar] [CrossRef]
- Shahrokh, S.; Shahin, M.; Abolhasani, M.; Arefpour, A.M. Burned-Out Testicular Tumor Presenting as a Retroperitoneal Mass: A Case Report. Cureus 2022, 14, e21603. [Google Scholar] [CrossRef] [PubMed]
- Kushner, A.; West, W.P.; Khan Suheb, M.Z.; Pillarisetty, L.S. Virchow Triad; StatPearls Publishing: Treasure Island, FL, USA, 2024. [Google Scholar]
- Szczepański, M.; Bardadin, K.; Zawadzki, J.; Pypno, W. Procoagulant Activity of Gastric, Colorectal, and Renal Cancer Is Factor VII-Dependent. J. Cancer Res. Clin. Oncol. 1988, 114, 519–522. [Google Scholar] [CrossRef]
- Atkins, M.B.; Bakouny, Z.; Choueiri, T.K. Epidemiology, Pathology, and Pathogenesis of Renal Cell Carcinoma. UpToDate 2016, 9, 1–3. [Google Scholar]
- Savulescu-Fiedler, I.; Mihalcea, R.; Dragosloveanu, S.; Scheau, C.; Baz, R.O.; Caruntu, A.; Scheau, A.-E.; Caruntu, C.; Benea, S.N. The Interplay between Obesity and Inflammation. Life 2024, 14, 856. [Google Scholar] [CrossRef] [PubMed]
- Tseng, C.-H. Type 2 Diabetes Mellitus and Kidney Cancer Risk: A Retrospective Cohort Analysis of the National Health Insurance. PLoS ONE 2015, 10, e0142480. [Google Scholar] [CrossRef] [PubMed]
- Muglia, V.F.; Prando, A. Renal Cell Carcinoma: Histological Classification and Correlation with Imaging Findings. Radiol. Bras. 2015, 48, 166–174. [Google Scholar] [CrossRef] [PubMed]
- Athanazio, D.A.; Amorim, L.S.; da Cunha, I.W.; Leite, K.R.M.; da Paz, A.R.; de Paula Xavier Gomes, R.; Tavora, F.R.F.; Faraj, S.F.; Cavalcanti, M.S.; Bezerra, S.M. Classification of Renal Cell Tumors—Current Concepts and Use of Ancillary Tests: Recommendations of the Brazilian Society of Pathology. Surg. Exp. Pathol. 2021, 4, 4. [Google Scholar] [CrossRef]
- Caliò, A.; Segala, D.; Munari, E.; Brunelli, M.; Martignoni, G. MiT Family Translocation Renal Cell Carcinoma: From the Early Descriptions to the Current Knowledge. Cancers 2019, 11, 1110. [Google Scholar] [CrossRef] [PubMed]
- Hjelmeland, M.E.; Lien, H.E.; Berg, H.F.; Woie, K.; Werner, H.M.J.; Amant, F.; Haldorsen, I.S.; Trovik, J.; Krakstad, C. Loss of Vimentin Expression in Preoperative Biopsies Independently Predicts Poor Prognosis, Lymph Node Metastasis and Recurrence in Endometrial Cancer. BJC Rep. 2024, 2, 81. [Google Scholar] [CrossRef] [PubMed]
- Dong, X.; Chen, Y.; Pan, J.; Ma, W.; Zhou, P.; Chen, M.; Guo, H.; Gan, W. Clinicopathological Features and Prognosis of TFE3-Positive Renal Cell Carcinoma. Front. Oncol. 2022, 12, 1017425. [Google Scholar] [CrossRef] [PubMed]
- Sukov, W.R.; Hodge, J.C.; Lohse, C.M.; Leibovich, B.C.; Thompson, R.H.; Pearce, K.E.; Wiktor, A.E.; Cheville, J.C. TFE3 Rearrangements in Adult Renal Cell Carcinoma. Am. J. Surg. Pathol. 2012, 36, 663–670. [Google Scholar] [CrossRef]
- Zhao, Z.; Liao, G.; Li, Y.; Zhou, S.; Zou, H.; Fernando, S. Prognostic Value of Carbonic Anhydrase IX Immunohistochemical Expression in Renal Cell Carcinoma: A Meta-Analysis of the Literature. PLoS ONE 2014, 9, e114096. [Google Scholar] [CrossRef] [PubMed]
- Tostain, J.; Li, G.; Gentil-Perret, A.; Gigante, M. Carbonic Anhydrase 9 in Clear Cell Renal Cell Carcinoma: A Marker for Diagnosis, Prognosis and Treatment. Eur. J. Cancer 2010, 46, 3141–3148. [Google Scholar] [CrossRef]
- Bui, M.H.T.; Seligson, D.; Han, K.; Pantuck, A.J.; Dorey, F.J.; Huang, Y.; Horvath, S.; Leibovich, B.C.; Chopra, S.; Liao, S.-Y.; et al. Carbonic Anhydrase IX Is an Independent Predictor of Survival in Advanced Renal Clear Cell Carcinoma: Implications for Prognosis and Therapy. Clin. Cancer Res. 2003, 9, 802–811. [Google Scholar]
- Alexiev, B.A.; Drachenberg, C.B. Clear Cell Papillary Renal Cell Carcinoma: Incidence, Morphological Features, Immunohistochemical Profile, and Biologic Behavior: A Single Institution Study. Pathol. Res. Pract. 2014, 210, 234–241. [Google Scholar] [CrossRef] [PubMed]
- Yang, B.; Sun, L.; Cao, W.; Qi, L.; Guo, Y.; Sun, Y. Clear Cell Renal Cell Carcinoma with Cystic Component Similar to Multilocular Cystic Renal Neoplasm of Low Malignant Potential: A Rare Pattern of Cyst-Dependent Progression from Multilocular Cystic Renal Neoplasm of Low Malignant Potential. Diagn. Pathol. 2023, 18, 27. [Google Scholar] [CrossRef] [PubMed]
- Xia, Q.; Wang, X.; Zhan, X.; Tan, X.; Chen, H.; Liu, Y.; Shi, S.; Wang, X.; Wei, X.; Ye, S.; et al. Xp11 Translocation Renal Cell Carcinomas (RCCs) With RBM10-TFE3 Gene Fusion Demonstrating Melanotic Features and Overlapping Morphology With t(6;11) RCC. Am. J. Surg. Pathol. 2017, 41, 663–676. [Google Scholar] [CrossRef] [PubMed]
- Franczyk, B.; Rysz, J.; Ławiński, J.; Ciałkowska-Rysz, A.; Gluba-Brzózka, A. Cardiotoxicity of Selected Vascular Endothelial Growth Factor Receptor Tyrosine Kinase Inhibitors in Patients with Renal Cell Carcinoma. Biomedicines 2023, 11, 181. [Google Scholar] [CrossRef] [PubMed]
- Păsărică, M.A.; Curcă, P.F.; Burcea, M.; Schmitzer, S.; Dragosloveanu, C.D.M.; Grigorescu, A.C. The Effects of Oncological Treatment on Redox Balance in Patients with Uveal Melanoma. Diagnostics 2023, 13, 1907. [Google Scholar] [CrossRef] [PubMed]
- Liu, Z.-L.; Chen, H.-H.; Zheng, L.-L.; Sun, L.-P.; Shi, L. Angiogenic Signaling Pathways and Anti-Angiogenic Therapy for Cancer. Signal Transduct. Target. Ther. 2023, 8, 198. [Google Scholar] [CrossRef] [PubMed]
- Thouvenin, J.; Alhalabi, O.; Carlo, M.; Carril-Ajuria, L.; Hirsch, L.; Martinez-Chanza, N.; Négrier, S.; Campedel, L.; Martini, D.; Borchiellini, D.; et al. Efficacy of Cabozantinib in Metastatic MiT Family Translocation Renal Cell Carcinomas. Oncologist 2022, 27, 1041–1047. [Google Scholar] [CrossRef] [PubMed]
- Thouvenin, J.; Alhalabi, O.; Hirsch, L.; Hasanov, E.; Barthelemy, P.; Martini, D.J.; Campedel, L.; Amrane, K.; Borchiellini, D.; Chahoud, J.; et al. Efficacy of Cabozantinib in Advanced MiT Family Translocation Renal Cell Carcinomas (TRCC). J. Clin. Oncol. 2021, 39, 274. [Google Scholar] [CrossRef]
- Guo, W.; Zhu, Y.; Pu, X.; Guo, H.; Gan, W. Clinical and Pathological Heterogeneity of Four Common Fusion Subtypes in Xp11.2 Translocation Renal Cell Carcinoma. Front. Oncol. 2023, 13, 1116648. [Google Scholar] [CrossRef] [PubMed]
- Huang, W.; Peng, Y.; Zhang, Y.; Qiu, Y.; Liu, Y.; Wang, A.; Kang, L. Multimodality Imaging of Xp11.2 Translocation/TFE3 Gene Fusion Associated with Renal Cell Carcinoma: A Case Report. Front. Med. 2023, 10, 1266630. [Google Scholar] [CrossRef]





| Parameter | Value | Normal Value |
|---|---|---|
| RBC | 9.20 g/dL | 12.0–15.0 g/dL |
| MCV | 84.60 fL | 80–96 fL |
| MCH | 27.30 pg | 27–33 pg |
| PLT | 254,000/mL | 150–400 × 103/µL |
| LYMF% | 9% | 20–45% |
| NEUT% | 84.8% | 43–65% |
| EO% | 0.7% | 1–5% |
| ALT | 13.00 U/L | 1–35 U/L |
| AST | 18.00 U/L | 14–36 U/L |
| Glycemia | 90.9 mg/dL | 65–105 mg/dL |
| Total cholesterol | 121 mg/dL | 0–200 mg/dL |
| PSA | 1.09 ng/dL | 0–4 ng/mL |
| Iron | 25.30 µg/dL | 37–170 µg/dL |
| HDL cholesterol | 36 mg/dL | >60 mg/dL |
| LDL cholesterol | 63 mg/dL | 0–99 mg/dL |
| Urea | 58.60 mg/dL | 15–36 mg/dL |
| ESR | 75 mm/h | 6–11 mm/h |
| D-dimers | 6.60 µg/mL | 0–0.50 µg/mL |
| Fibrinogen | 626.00 mg/dL | 150–400 mg/dL |
| CRP | 2.29 mg/dL | 0–0.32 mg/dL |
| Creatinine | 1.84 mg/dL | 0.6–1.2 mg/dL |
| GFR | 37.36 mL/min | 75–115 mL/min |
| K | 4.13 mmol/L | 3.6–5 mmol/L |
| Na | 141.70 mmol/L | 137–145 mmol/L |
| Uric acid | 7.74 mg/dL | 2.5–6.2 mg/dL |
| Parameter | Value | Normal Value |
|---|---|---|
| SG | 1.01 | 1.016–1.022 |
| Ph | 7.00 | 4.8–7.4 |
| LEU | Negative | NEGATIVE |
| NIT | Negative | NEGATIVE |
| PRO | 500.00 | -NEGATIVE/mg/dL |
| GLU | Normal | -<30/mg/dL |
| KET | Negative | -NEGATIVE |
| UBG | Normal | =<1/mg/dL |
| BIL | Negative | -NEGATIVE |
| ERY | Negative | -NEGATIVE |
| Epithelia | Relatively frequent | |
| Leukocytes | Rare | |
| Salts | Rare amorphous urates | |
| Urine culture | <1000 CFU/mL. Screening for MRSA, Enterobacteriaceae, Acinetobacter spp., and Pseudomonas spp. is negative | |
Disclaimer/Publisher’s Note: The statements, opinions and data contained in all publications are solely those of the individual author(s) and contributor(s) and not of MDPI and/or the editor(s). MDPI and/or the editor(s) disclaim responsibility for any injury to people or property resulting from any ideas, methods, instructions or products referred to in the content. |
© 2025 by the authors. Licensee MDPI, Basel, Switzerland. This article is an open access article distributed under the terms and conditions of the Creative Commons Attribution (CC BY) license (https://creativecommons.org/licenses/by/4.0/).
Share and Cite
Dorobantu-Lungu, L.-R.; Dinca, V.; Gegiu, A.; Spataru, D.; Toma, A.; Welt, L.; Badea, M.F.; Caruntu, C.; Scheau, C.; Savulescu-Fiedler, I. The Relevance of the Virchow Node and Virchow Triad in Renal Cancer Diagnosis. Clin. Pract. 2025, 15, 18. https://doi.org/10.3390/clinpract15010018
Dorobantu-Lungu L-R, Dinca V, Gegiu A, Spataru D, Toma A, Welt L, Badea MF, Caruntu C, Scheau C, Savulescu-Fiedler I. The Relevance of the Virchow Node and Virchow Triad in Renal Cancer Diagnosis. Clinics and Practice. 2025; 15(1):18. https://doi.org/10.3390/clinpract15010018
Chicago/Turabian StyleDorobantu-Lungu, Luiza-Roxana, Viviana Dinca, Andrei Gegiu, Dan Spataru, Andreea Toma, Luminita Welt, Mihaela Florentina Badea, Constantin Caruntu, Cristian Scheau, and Ilinca Savulescu-Fiedler. 2025. "The Relevance of the Virchow Node and Virchow Triad in Renal Cancer Diagnosis" Clinics and Practice 15, no. 1: 18. https://doi.org/10.3390/clinpract15010018
APA StyleDorobantu-Lungu, L.-R., Dinca, V., Gegiu, A., Spataru, D., Toma, A., Welt, L., Badea, M. F., Caruntu, C., Scheau, C., & Savulescu-Fiedler, I. (2025). The Relevance of the Virchow Node and Virchow Triad in Renal Cancer Diagnosis. Clinics and Practice, 15(1), 18. https://doi.org/10.3390/clinpract15010018

