Pancreatic Carcinoma Metastatic to the Gingiva
Abstract
1. Introduction
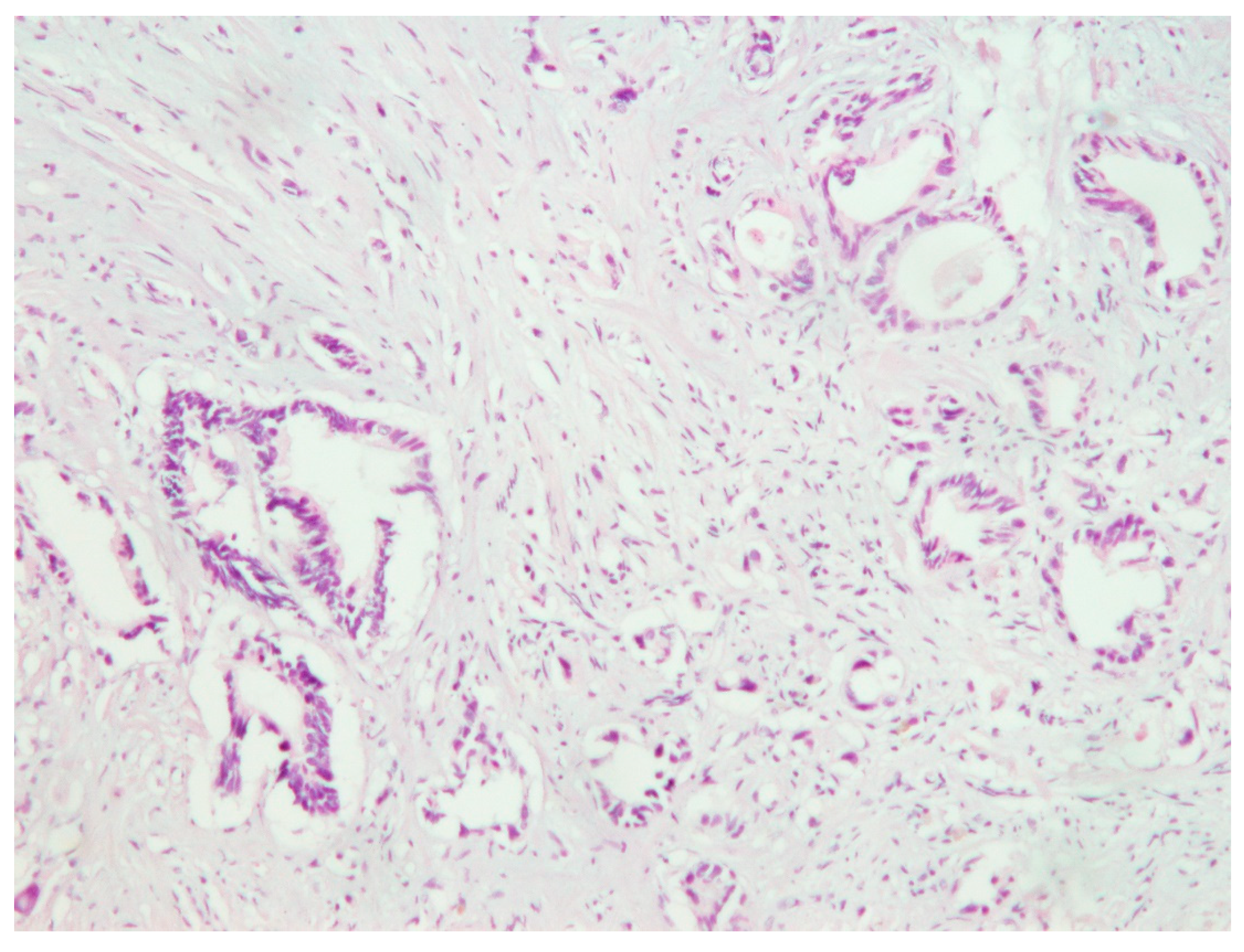
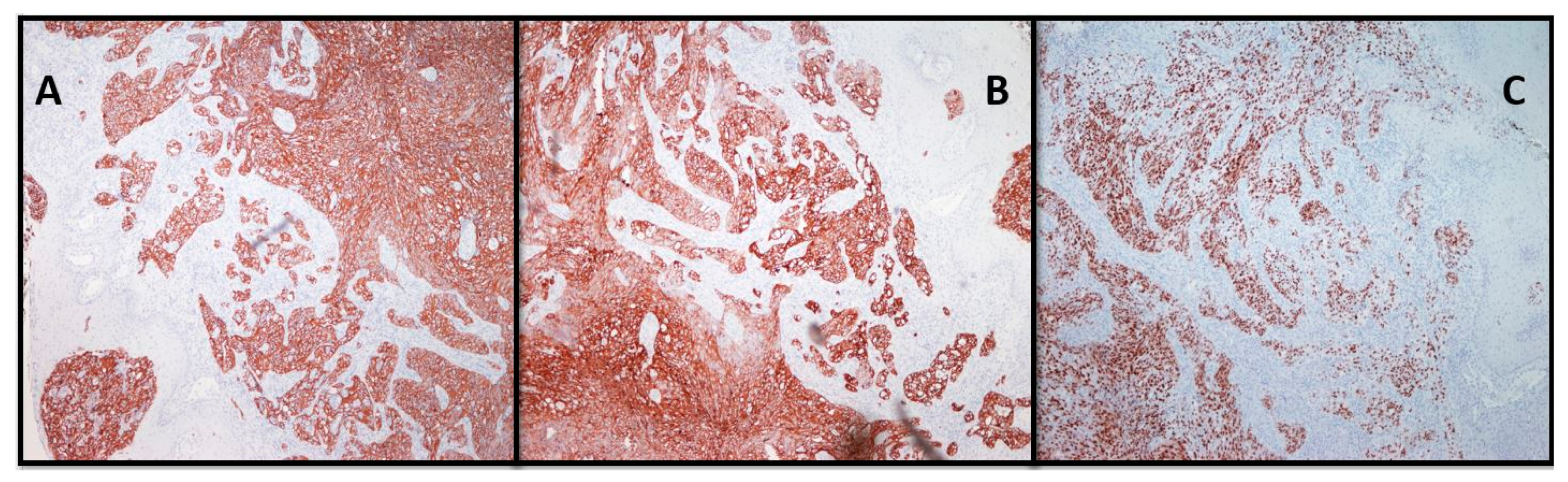
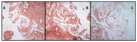
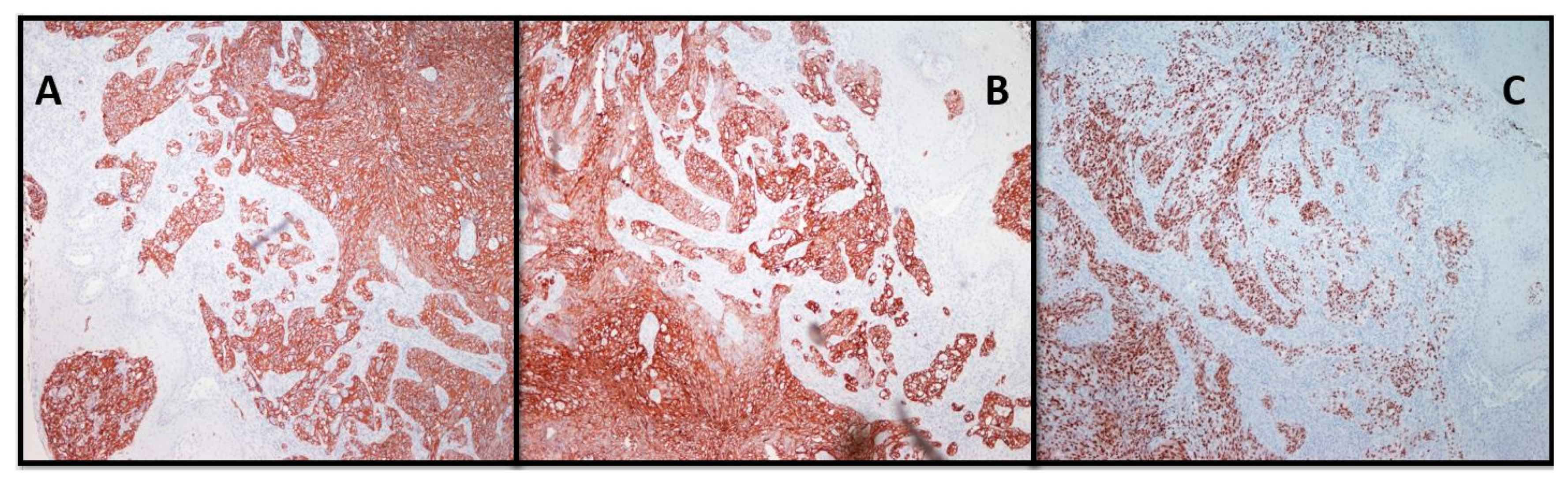
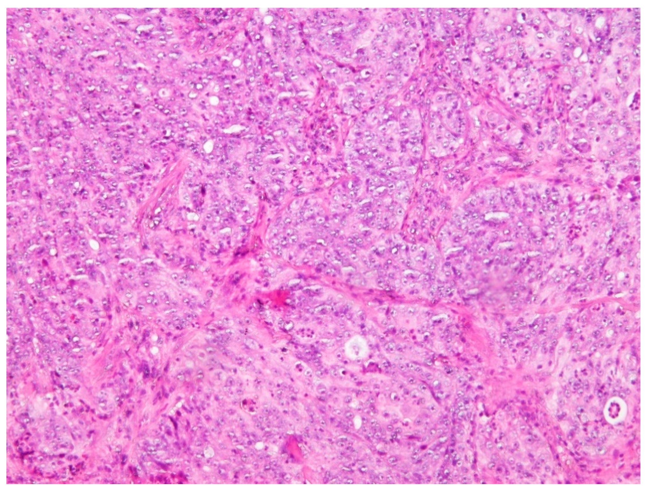
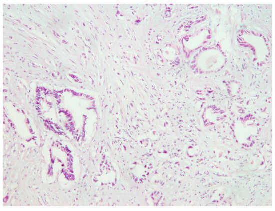
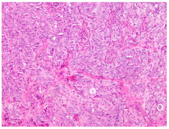
2. Case Report
3. Discussion
Author Contributions
Funding
Institutional Review Board Statement
Informed Consent Statement
Data Availability Statement
Conflicts of Interest
References
- Hirshberg, A.; Buchner, A. Metastatic tumours to the oral region. An overview. Eur. J. Cancer Part B 1995, 31, 355–360. [Google Scholar] [CrossRef]
- Hirshberg, A.; Shnaiderman-Shapiro, A.; Kaplan, I.; Berger, R. Metastatic tumours to the oral cavity—Pathogenesis and analysis of 673 cases. Oral Oncol. 2008, 44, 743–752. [Google Scholar] [CrossRef] [PubMed]
- Lim, S.-Y.; Kim, S.-A.; Ahn, S.-G.; Kim, H.-K.; Hwang, H.-K.; Kim, B.-O.; Lee, S.-H.; Kim, J.-D.; Yoon, J.-H.; Kim, S.-G. Metastatic tumours to the jaws and oral soft tissues: A retrospective analysis of 41 Korean patients. Int. J. Oral Maxillofac. Surg. 2006, 35, 412–415. [Google Scholar] [CrossRef] [PubMed]
- Matsuda, S.; Yoshimura, H.; Kondo, S.; Sano, K. Temporomandibular dislocation caused by pancreatic cancer metastasis: A case report. Oncol. Lett. 2017, 14, 6053–6058. [Google Scholar] [CrossRef] [PubMed]
- Keane, M.G.; Horsfall, L.; Rait, G.; Pereira, S. A case-control study comparing the incidence of early symptoms in pancreatic and biliary tract cancer. BMJ Open 2014, 4, e005720. [Google Scholar] [CrossRef] [PubMed]
- Hirshberg, A.; Leibovich, P.; Buchner, A. Metastatic tumors to the jawbones: Analysis of 390 cases. J. Oral Pathol. Med. 1994, 23, 337–341. [Google Scholar] [CrossRef] [PubMed]
- Kolokythas, A.; Miloro, M.; Olsson, A.B. Metastatic pancreatic adenocarcinoma to the mandibular condyle: A rare clinical presentation. J. Oral Maxillofac. Surg. 2014, 72, 83–88. [Google Scholar] [CrossRef]
- Pires, F.R.; Sagarra, R.; Corrêa, M.E.P.; Pereira, C.M.; Vargas, P.A.; Lopes, M.A. Oral metastasis of a hepatocellular carcinoma. Oral Surg. Oral Med. Oral Pathol. Oral Radiol. Endodontol. 2004, 97, 359–368. [Google Scholar] [CrossRef]
- Stecher, J.A.; Mostofi, R.; True, L.; Indresano, A.T. Pancreatic carcinoma metastatic to the mandibular gingiva. J. Oral Maxillofac. Surg. 1985, 43, 385–390. [Google Scholar] [CrossRef]
- Kucuktulu, E.; Kucuktulu, U.; Guner, A.; Cobanoglu, H.B.; Mungan, S.; Mirik, A.O. Pancreatic tumor metastasis of the tongue. J. Case Rep. 2013, 3, 385–389. [Google Scholar] [CrossRef]
- Vähätalo, K.; Ekfors, T.; Syrjänen, S. Adenocarcinoma of the pancreas metastatic to the mandible. J. Oral Maxillofac. Surg. 2000, 58, 110–114. [Google Scholar] [CrossRef]
- Scipio, J.; Murti, P.; Al-Bayaty, H.; Matthews, R.; Scully, C. Metastasis of breast carcinoma to mandibular gingiva. Oral Oncol. 2001, 37, 393–396. [Google Scholar] [CrossRef]
- Miles, B.A.; Schwartz-Dabney, C.; Sinn, D.P.; Kessler, H.P. Bilateral metastatic breast adenocarcinoma within the temporomandibular joint: A case report. J. Oral Maxillofac. Surg. 2006, 64, 712–718. [Google Scholar] [CrossRef] [PubMed]
- Muttagi, S.S.; D′cruz, A.; Chaukar, D.; Singh, B.; Chaturvedi, P.; Kane, S.; Pai, P.; Pawar, P. Metastatic tumors to the jaw bones: Retrospective analysis from an Indian tertiary referral center. Indian J. Cancer 2011, 48, 234–239. [Google Scholar] [CrossRef] [PubMed]
- Shintaku, W.H.; Venturin, J.S.; Yepes, J.F. Application of advanced imaging modalities for the diagnosis of metastatic adenocarcinoma of the lungs in the temporomandibular joint. Oral Surg. Oral Med. Oral Pathol. Oral Radiol. Endodontol. 2009, 107, e37–e41. [Google Scholar] [CrossRef]
- Hirshberg, A.; Leibovich, P.; Buchner, A. Metastases to the oral mucosa: Analysis of 157 cases. J. Oral Pathol. Med. 1993, 22, 385–390. [Google Scholar] [CrossRef]
- Cervino, G.; Fiorillo, L.; Herford, A.S.; Romeo, U.; Bianchi, A.; Crimi, S.; D’Amico, C.; De Stefano, R.; Troiano, G.; Santoro, R.; et al. Molecular biomarkers related to oral carcinoma: Clinical trial outcome evaluation in a literature review. Dis. Markers 2019, 2019, 8040361. [Google Scholar] [CrossRef]
- Papa, F.; Ferrara, S.; Felicetta, L.; Lavorgna, G.; Matarazzo, M.; Staibano, S.; De Rosa, G.; Troisi, S.; Claudio, P.P. Mandibular metastatic hepatocellular carcinoma: Report of a case involving severe and uncontrollable hemorrhage. Anticancer Res. 2001, 21, 2121–2130. [Google Scholar]
- Favia, G.; Piattelli, A.; Favia, G. Hepatocellular carcinoma metastatic to the oral mucosa: Report of a case with multiple gingival localizations. J. Periodontol. 2000, 71, 641–645. [Google Scholar] [CrossRef]
- Maschino, F.; Guillet, J.; Curien, R.; Dolivet, G.; Bravetti, P.; Maschino, F.; Guillet, J.; Curien, R.; Dolivet, G.; Bravetti, P. Oral metastasis: A report of 23 cases. Int. J. Oral Maxillofac. Surg. 2013, 42, 164–168. [Google Scholar] [CrossRef]
- Cicciù, M.; Cervino, G.; Fiorillo, L.; D’Amico, C.; Oteri, G.; Troiano, G.; Zhurakivska, K.; Muzio, L.L.; Herford, A.S.; Crimi, S.; et al. Early diagnosis on oral and potentially oral malignant lesions: A systematic review on the VELscope® fluorescence method. Dent. J. 2019, 7, 93. [Google Scholar] [CrossRef] [PubMed]




| Authors | Year Reported | Patient Age | Patient Sex | Smoking | Previous Diseases of the Oral Cavity | Clinical Presentation | Site of Metastasis | PHD |
|---|---|---|---|---|---|---|---|---|
| Stechera et al. [9] | 1981 | 46 | Male | Yes | Chronic periodontitis | Teeth 21–27 were extremely mobile, attached to inflammed, edematous gingival tissue | Mandibular gingiva | Adenocarcinoma |
| Kucuktulu et al. [10] | 2013 | 72 | Male | Unknown | No | PET/CT evaluation revealed a 2 × 1 mm mass, hard in consistency in right anterior 1/3 of the tongue | Tongue | Adenocarcinoma |
| Maschino et al. [19] | 2013 | 71 | Male | Yes | Chronic periodontitis | Difficulties healing after oral surgery | Maxillar gingiva | Adenocarcinoma |
| Kim et al. [3] | 2005 | Unknown | Unknown | Unknown | Unknown | bleeding and increasing tooth mobility. | Unknown | Pleomorphic carcinoma |
Publisher’s Note: MDPI stays neutral with regard to jurisdictional claims in published maps and institutional affiliations. |
© 2021 by the authors. Licensee MDPI, Basel, Switzerland. This article is an open access article distributed under the terms and conditions of the Creative Commons Attribution (CC BY) license (http://creativecommons.org/licenses/by/4.0/).
Share and Cite
Zubović, A.; Belušić-Gobić, M.; Harmicar, D.; Marušić, J.; Vučinić, D.; Zamolo, G. Pancreatic Carcinoma Metastatic to the Gingiva. Clin. Pract. 2021, 11, 58-64. https://doi.org/10.3390/clinpract11010010
Zubović A, Belušić-Gobić M, Harmicar D, Marušić J, Vučinić D, Zamolo G. Pancreatic Carcinoma Metastatic to the Gingiva. Clinics and Practice. 2021; 11(1):58-64. https://doi.org/10.3390/clinpract11010010
Chicago/Turabian StyleZubović, Arijan, Margita Belušić-Gobić, David Harmicar, Jasna Marušić, Damir Vučinić, and Gordana Zamolo. 2021. "Pancreatic Carcinoma Metastatic to the Gingiva" Clinics and Practice 11, no. 1: 58-64. https://doi.org/10.3390/clinpract11010010
APA StyleZubović, A., Belušić-Gobić, M., Harmicar, D., Marušić, J., Vučinić, D., & Zamolo, G. (2021). Pancreatic Carcinoma Metastatic to the Gingiva. Clinics and Practice, 11(1), 58-64. https://doi.org/10.3390/clinpract11010010

