Shape Matters: Impact of Mesoporous Silica Nanoparticle Morphology on Anti-Tumor Efficacy
Abstract
1. Introduction
2. Materials and Methods
2.1. Materials
2.2. Preparation of MSNs with Different Shapes
2.3. Characterization of MSNs with Different Shapes
2.3.1. Particle Size and Zeta Potential
2.3.2. Morphology
2.3.3. Nitrogen Adsorption/Desorption Analysis and X-ray Diffraction
2.3.4. FTIR and TGA
2.4. Control of Drug Loading
2.5. In Vitro Release of PTX
2.6. Cellular Recognition and Internalization
2.7. Endocytosis Inhibition Assays
2.8. Extracellular Organelle Distribution
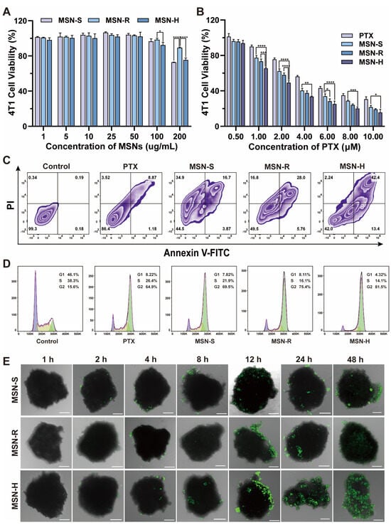
2.9. Cytotoxicity
2.10. Cell Apoptosis Assay and Cycle Analysis
2.11. Three-Dimensional Tumor Spheroids Study
2.12. In Vivo Pharmacokinetic Study
2.13. In Vivo Imaging and Ex Vivo Distribution Analysis
2.14. In Vivo Anti-Tumor Evaluation
2.15. Biosafety Evaluation
2.16. Statistical Analysis
3. Results and Discussion
3.1. Synthesis and Characterization of MSN with Different Shapes
3.2. Encapsulation of PTX and In Vitro Drug Release from MSN
3.3. The Shapes of MSNs Influence Their Cellular Uptake, Uptake Mechanisms, and Subcellular Organelle Distributions
3.4. The Shapes of PTX-Loaded MSNs Affects Their Ability to Inhibit Cell Proliferation, Promote Apoptosis, and Arrest the Cell Cycle
3.5. The Shapes of MSNs Influence Their Penetration Capability in 3D Tumor Spheroids
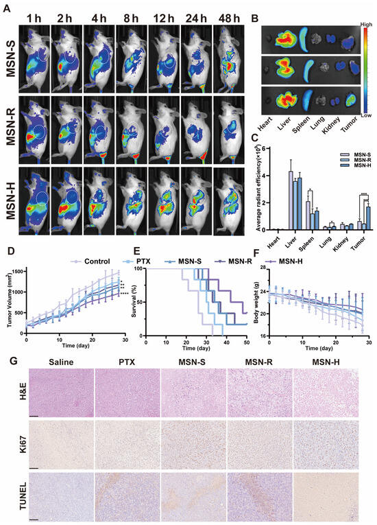
3.6. The Shapes of PTX-Loaded MSNs Affect Their In Vivo Circulation and Drug Release
3.7. The Shapes of MSNs Influence Their Biological Distribution and Tumor-Targeting Efficiency
3.8. The Shapes of PTX-Loaded MSNs Affect Their In Vivo Anticancer Efficacy
3.9. The Influence of Shape on the In Vivo Safety of PTX-Loaded MSNs
4. Conclusions
Author Contributions
Funding
Institutional Review Board Statement
Informed Consent Statement
Data Availability Statement
Acknowledgments
Conflicts of Interest
References
- Song, X.; Zhang, Q.; Chang, M.; Ding, L.; Huang, H.; Feng, W.; Xu, T.; Chen, Y. Nanomedicine-Enabled Sonomechanical, Sonopiezoelectric, Sonodynamic, and Sonothermal Therapy. Adv. Mater. 2023, 35, e2212259. [Google Scholar] [CrossRef] [PubMed]
- Lepeltier, E.; Rijo, P.; Rizzolio, F.; Popovtzer, R.; Petrikaite, V.; Assaraf, Y.G.; Passirani, C. Nanomedicine to Target Multidrug Resistant Tumors. Drug Resist. Updates 2020, 52, 100704. [Google Scholar] [CrossRef] [PubMed]
- Wen, P.; Ke, W.; Dirisala, A.; Toh, K.; Tanaka, M.; Li, J. Stealth and Pseudo-Stealth Nanocarriers. Adv. Drug Deliv. Rev. 2023, 198, 114895. [Google Scholar] [CrossRef] [PubMed]
- Mi, P.; Cabral, H.; Kataoka, K. Ligand-Installed Nanocarriers toward Precision Therapy. Adv. Mater. 2020, 32, e1902604. [Google Scholar] [CrossRef] [PubMed]
- Xu, J.; Lee, S.S.; Seo, H.; Pang, L.; Jun, Y.; Zhang, R.Y.; Zhang, Z.Y.; Kim, P.; Lee, W.; Kron, S.J.; et al. Quinic Acid-Conjugated Nanoparticles Enhance Drug Delivery to Solid Tumors via Interactions with Endothelial Selectins. Small 2018, 14, e1803601. [Google Scholar] [CrossRef] [PubMed]
- Kim, S.M.; Faix, P.H.; Schnitzer, J.E. Overcoming Key Biological Barriers to Cancer Drug Delivery and Efficacy. J. Control Release 2017, 267, 15–30. [Google Scholar] [CrossRef] [PubMed]
- Pan, Y.; Zhou, S.; Li, Y.; Parshad, B.; Li, W.; Haag, R. Novel Dendritic Polyglycerol-Conjugated, Mesoporous Silica-Based Targeting Nanocarriers for Co-Delivery of Doxorubicin and Tariquidar to Overcome Multidrug Resistance in Breast Cancer Stem Cells. J. Control Release 2021, 330, 1106–1117. [Google Scholar] [CrossRef]
- Li, Y.; Champion, J.A. Self-Assembling Nanocarriers from Engineered Proteins: Design, Functionalization, and Application for Drug Delivery. Adv. Drug Deliv. Rev. 2022, 189, 114462. [Google Scholar] [CrossRef] [PubMed]
- Balcer, E.; Sobiech, M.; Luliński, P. Molecularly Imprinted Carriers for Diagnostics and Therapy-A Critical Appraisal. Pharmaceutics 2023, 15, 1647. [Google Scholar] [CrossRef]
- Adamus-Grabicka, A.A.; Hikisz, P.; Sikora, J. Nanotechnology as a Promising Method in the Treatment of Skin Cancer. Int. J. Mol. Sci. 2024, 25, 2165. [Google Scholar] [CrossRef]
- Ferro-Flores, G.; Ancira-Cortez, A.; Ocampo-García, B.; Meléndez-Alafort, L. Molecularly Targeted Lanthanide Nanoparticles for Cancer Theranostic Applications. Nanomaterials 2024, 14, 296. [Google Scholar] [CrossRef]
- Kurczewska, J.; Dobosz, B. Recent Progress and Challenges Regarding Magnetite-Based Nanoparticles for Targeted Drug Delivery. Appl. Sci. 2024, 14, 1132. [Google Scholar] [CrossRef]
- Lara-Ochoa, S.; Ortega-Lara, W.; Guerrero-Beltrán, C.E. Hydroxyapatite Nanoparticles in Drug Delivery: Physicochemistry and Applications. Pharmaceutics 2021, 13, 1642. [Google Scholar] [CrossRef] [PubMed]
- Yu, W.; Liu, R.; Zhou, Y.; Gao, H. Size-Tunable Strategies for a Tumor Targeted Drug Delivery System. Acs Cent. Sci. 2020, 6, 100–116. [Google Scholar] [CrossRef] [PubMed]
- Zhang, D.; Quayle, M.J.; Petersson, G.; van Ommen, J.R.; Folestad, S. Atomic Scale Surface Engineering of Micro- to Nano-Sized Pharmaceutical Particles for Drug Delivery Applications. Nanoscale 2017, 9, 11410–11417. [Google Scholar] [CrossRef] [PubMed]
- Sonavane, G.; Tomoda, K.; Makino, K. Biodistribution of Colloidal Gold Nanoparticles after Intravenous Administration: Effect of Particle Size. Colloids Surf. B Biointerfaces 2008, 66, 274–280. [Google Scholar] [CrossRef] [PubMed]
- Kim, T.; Nam, K.; Kim, Y.M.; Yang, K.; Roh, Y.H. DNA-Assisted Smart Nanocarriers: Progress, Challenges, and Opportunities. ACS Nano 2021, 15, 1942–1951. [Google Scholar] [CrossRef] [PubMed]
- Khizar, S.; Alrushaid, N.; Alam Khan, F.; Zine, N.; Jaffrezic-Renault, N.; Errachid, A.; Elaissari, A. Nanocarriers Based Novel and Effective Drug Delivery System. Int. J. Pharm. 2023, 632, 122570. [Google Scholar] [CrossRef] [PubMed]
- Li, X.; Jafari, S.M.; Zhou, F.; Hong, H.; Jia, X.; Mei, X.; Hou, G.; Yuan, Y.; Liu, B.; Chen, S.; et al. The Intracellular Fate and Transport Mechanism of Shape, Size and Rigidity Varied Nanocarriers for Understanding Their Oral Delivery Efficiency. Biomaterials 2023, 294, 121995. [Google Scholar] [CrossRef]
- Manzano, M.; Vallet-Regí, M. Mesoporous Silica Nanoparticles for Drug Delivery. Adv. Funct. Mater. 2020, 30, 1902634. [Google Scholar] [CrossRef]
- Vallet-Regi, M.; Rámila, A.; Real, R.P.D.; Pérez-Pariente, J. A New Property of MCM-41: Drug Delivery System. Chem. Mater. 2000, 13, 308–311. [Google Scholar] [CrossRef]
- Vallet-Regí, M.; Schüth, F.; Lozano, D.; Colilla, M.; Manzano, M. Engineering Mesoporous Silica Nanoparticles for Drug Delivery: Where Are We after Two Decades? Chem. Soc. Rev. 2022, 51, 5365–5451. [Google Scholar] [CrossRef]
- Zidan, J. Androgen Receptor Expression in Female Patients with Triple-Negative Breast Cancer: Relation to Clinical, Pathological, and Ethnical Data and Comparison with Non–Triple-Negative Breast Cancer. J. Clin. Oncol. 2023, 41, e13022. [Google Scholar] [CrossRef]
- Sedeta, E.T.; Jobre, B.; Avezbakiyev, B. Breast Cancer: Global Patterns of Incidence, Mortality, and Trends. J. Clin. Oncol. 2023, 41, 10528. [Google Scholar] [CrossRef]
- Arora, S.; Kumar, A.; Batra, A. Effect of Adjuvant Paclitaxel and Carboplatin on Survival in Early Triple-Negative Breast Cancer. JAMA Oncol. 2021, 7, 460–461. [Google Scholar] [CrossRef] [PubMed]
- Huang Yang, C.-P.; Horwitz, S.B.; McDaid, H.M. Utilization of Photoaffinity Labeling to Investigate Binding of Microtubule Stabilizing Agents to P-Glycoprotein and β-Tubulin. J. Nat. Prod. 2022, 85, 720–728. [Google Scholar] [CrossRef] [PubMed]
- Rehan, F.; Ahemad, N.; Islam, R.A.; Gupta, M.; Gan, S.H.; Chowdhury, E.H. Optimization and Formulation of Nanostructured and Self-Assembled Caseinate Micelles for Enhanced Cytotoxic Effects of Paclitaxel on Breast Cancer Cells. Pharmaceutics 2020, 12, 984. [Google Scholar] [CrossRef]
- Chen, Q.; Xu, S.; Liu, S.; Wang, Y.; Liu, G. Emerging Nanomedicines of Paclitaxel for Cancer Treatment. J. Control Release 2022, 342, 280–294. [Google Scholar] [CrossRef] [PubMed]
- Deng, C.; Liu, Y.; Zhou, F.; Wu, M.; Zhang, Q.; Yi, D.; Yuan, W.; Wang, Y. Engineering of Dendritic Mesoporous Silica Nanoparticles for Efficient Delivery of Water-Insoluble Paclitaxel in Cancer Therapy. J. Colloid Interface Sci. 2021, 593, 424–433. [Google Scholar] [CrossRef]
- Gradishar, W.; Tjulandin, S.; Davidson, N.; Shaw, H.; Desai, N.; Bhar, P.; Hawkins, M.; O’Shaughnessy, J.; Gradishar, W.J.; Tjulandin, S.; et al. Phase III Trial of Nanoparticle Albumin-Bound Paclitaxel Compared with Polyethylated Castor Oil-Based Paclitaxel in Women with Breast Cancer. J. Clin. Oncol. 2005, 23, 7794–7803. [Google Scholar] [CrossRef]
- McGoron, A. Meta-Analysis of Efficacy of Chemotherapy Delivered by Mesoporous Silica Nanoparticles to Tumor-Bearing Mice. Crit. Rev. Biomed. Eng. 2020, 48, 327–418. [Google Scholar] [CrossRef] [PubMed]
- Jänicke, P.; Lennicke, C.; Meister, A.; Seliger, B.; Wessjohann, L.A.; Kaluđerović, G.N. Fluorescent Spherical Mesoporous Silica Nanoparticles Loaded with Emodin: Synthesis, Cellular Uptake and Anticancer Activity. Mater. Sci. Eng. C 2021, 119, 111619. [Google Scholar] [CrossRef] [PubMed]
- Tang, H.; Li, C.; Zhang, Y.; Zheng, H.; Cheng, Y.; Zhu, J.; Chen, X.; Zhu, Z.; Piao, J.-G.; Li, F. Targeted Manganese Doped Silica Nano GSH-Cleaner for Treatment of Liver Cancer by Destroying the Intracellular Redox Homeostasis. Theranostics 2020, 10, 9865–9887. [Google Scholar] [CrossRef]
- Borzęcka, W.; Pereira, P.M.R.; Fernandes, R.; Trindade, T.; Torres, T.; Tomé, J.P.C. Spherical and Rod Shaped Mesoporous Silica Nanoparticles for Cancer-Targeted and Photosensitizer Delivery in Photodynamic Therapy. J. Mater. Chem. B 2022, 10, 3248–3259. [Google Scholar] [CrossRef] [PubMed]
- Travaglini, L.; De Cola, L. Morphology Control of Mesoporous Silica Particles Using Bile Acids as Cosurfactants. Chem. Mater. 2018, 30, 4168–4175. [Google Scholar] [CrossRef]
- Guo, Q.-Y.; Yan, X.-Y.; Zhang, W.; Li, X.-H.; Xu, Y.; Dai, S.; Liu, Y.; Zhang, B.-X.; Feng, X.; Yin, J.; et al. Ordered Mesoporous Silica Pyrolyzed from Single-Source Self-Assembled Organic-Inorganic Giant Surfactants. J. Am. Chem. Soc. 2021, 143, 12935–12942. [Google Scholar] [CrossRef]
- Lau, M.; Giri, K.; Garcia-Bennett, A.E. Antioxidant Properties of Probucol Released from Mesoporous Silica. Eur. J. Pharm. Sci. 2019, 138, 105038. [Google Scholar] [CrossRef]
- Wang, L. Preparation and in Vitro Evaluation of an Acidic Environment-Responsive Liposome for Paclitaxel Tumor Targeting. Asian J. Pharm. Sci. 2017, 12, 470–477. [Google Scholar] [CrossRef]
- Chaiwaree, S.; Prapan, A.; Suwannasom, N.; Laporte, T.; Neumann, T.; Pruß, A.; Georgieva, R.; Bäumler, H. Doxorubicin-Loaded Human Serum Albumin Submicron Particles: Preparation, Characterization and In Vitro Cellular Uptake. Pharmaceutics 2020, 12, 224. [Google Scholar] [CrossRef]
- Knoll, P.; Francesco Racaniello, G.; Laquintana, V.; Veider, F.; Saleh, A.; Seybold, A.; Denora, N.; Bernkop-Schnürch, A. Lipid-Based Nanoparticles: Enhanced Cellular Uptake via Surface Thiolation. Int. J. Pharm. 2023, 635, 122753. [Google Scholar] [CrossRef]
- Li, W.-Q.; Sun, L.-P.; Xia, Y.; Hao, S.; Cheng, G.; Wang, Z.; Wan, Y.; Zhu, C.; He, H.; Zheng, S.-Y. Preoccupation of Empty Carriers Decreases Endo-/Lysosome Escape and Reduces the Protein Delivery Efficiency of Mesoporous Silica Nanoparticles. ACS Appl. Mater. Interfaces 2018, 10, 5340–5347. [Google Scholar] [CrossRef] [PubMed]
- Anwar, M.M.; Abd El-Karim, S.S.; Mahmoud, A.H.; Amr, A.E.-G.E.; Al-Omar, M.A. A Comparative Study of the Anticancer Activity and PARP-1 Inhibiting Effect of Benzofuran-Pyrazole Scaffold and Its Nano-Sized Particles in Human Breast Cancer Cells. Molecules 2019, 24, 2413. [Google Scholar] [CrossRef] [PubMed]
- Guan, X.; Zhang, L.; Lai, S.; Zhang, J.; Wei, J.; Wang, K.; Zhang, W.; Li, C.; Tong, J.; Lei, Z. Green Synthesis of Glyco-CuInS2 QDs with Visible/NIR Dual Emission for 3D Multicellular Tumor Spheroid and in Vivo Imaging. J. Nanobiotechnol. 2023, 21, 118. [Google Scholar] [CrossRef] [PubMed]
- Yang, R.S.H.; Chang, L.W.; Wu, J.-P.; Tsai, M.-H.; Wang, H.-J.; Kuo, Y.-C.; Yeh, T.-K.; Yang, C.S.; Lin, P. Persistent Tissue Kinetics and Redistribution of Nanoparticles, Quantum Dot 705, in Mice: ICP-MS Quantitative Assessment. Environ. Health Perspect. 2007, 115, 1339–1343. [Google Scholar] [CrossRef] [PubMed]
- Wang, X.; Zheng, H.; Zhu, Z.; Wei, Y.; Chen, L. Clinical Pharmacokinetics of Paclitaxel Liposome with a New Route of Administration in Human Based on the Analysis with Ultra Performance Liquid Chromatography. J. Pharm. Sci. 2010, 99, 4746–4752. [Google Scholar] [CrossRef] [PubMed]
- Chen, X.; Fan, X.; Zhang, Y.; Wei, Y.; Zheng, H.; Bao, D.; Xu, H.; Piao, J.-G.; Li, F.; Zheng, H. Cooperative Coordination-Mediated Multi-Component Self-Assembly of “All-in-One” Nanospike Theranostic Nano-Platform for MRI-Guided Synergistic Therapy against Breast Cancer. Acta Pharm. Sin. B 2022, 12, 3710–3725. [Google Scholar] [CrossRef] [PubMed]
- Zhang, J.; Su, X.; Weng, L.; Tang, K.; Miao, Y.; Teng, Z.; Wang, L. Gadolinium-Hybridized Mesoporous Organosilica Nanoparticles with High Magnetic Resonance Imaging Performance for Targeted Drug Delivery. J. Colloid Interface Sci. 2023, 633, 102–112. [Google Scholar] [CrossRef]
- Tang, L.; Yang, X.; Yin, Q.; Cai, K.; Wang, H.; Chaudhury, I.; Yao, C.; Zhou, Q.; Kwon, M.; Hartman, J.A.; et al. Investigating the Optimal Size of Anticancer Nanomedicine. Proc. Natl. Acad. Sci. USA 2014, 111, 15344–15349. [Google Scholar] [CrossRef]
- Li, S.; Dai, W.; Yin, Z.-Z.; Gao, J.; Wu, D.; Kong, Y. Synthesis of Oxidized Pullulan Coated Mesoporous Silica for pH-Sensitive Drug Delivery. Eur. Polym. J. 2020, 122, 109399. [Google Scholar] [CrossRef]
- Díaz-García, D.; Sommerova, L.; Martisova, A.; Skoupilova, H.; Prashar, S.; Vaculovic, T.; Kanicky, V.; del Hierro, I.; Hrstka, R.; Gómez-Ruiz, S. Mesoporous Silica Nanoparticles Functionalized with a Dialkoxide Diorganotin(IV) Compound: In Search of More Selective Systems against Cancer Cells. Microporous Mesoporous Mater. 2020, 300, 110154. [Google Scholar] [CrossRef]
- Ren, B.; Chen, D.-F.; Zhao, X.-J.; Li, L.-S.; Zhao, M.-X. Evaluating Biological Activity of Folic Acid-Modified and 10-Hydroxycamptothecin-Loaded Mesoporous Silica Nanoparticles. Mater. Chem. Phys. 2022, 292, 126756. [Google Scholar] [CrossRef]
- Wang, Y.; Sun, Y.; Wang, J.; Yang, Y.; Li, Y.; Yuan, Y.; Liu, C. Charge-Reversal APTES-Modified Mesoporous Silica Nanoparticles with High Drug Loading and Release Controllability. ACS Appl. Mater. Interfaces 2016, 8, 17166–17175. [Google Scholar] [CrossRef] [PubMed]
- Wang, Y.; Li, W.; Liu, T.; Xu, L.; Guo, Y.; Ke, J.; Li, S.; Li, H. Design and Preparation of Mesoporous Silica Carriers with Chiral Structures for Drug Release Differentiation. Mater. Sci. Eng. C 2019, 103, 109737. [Google Scholar] [CrossRef] [PubMed]
- Wu, Y.; Ali, M.R.K.; Dansby, K.; El-Sayed, M.A. Improving the Flow Cytometry-Based Detection of the Cellular Uptake of Gold Nanoparticles. Anal. Chem. 2019, 91, 14261–14267. [Google Scholar] [CrossRef]
- Behzadi, S.; Serpooshan, V.; Tao, W.; Hamaly, M.A.; Alkawareek, M.Y.; Dreaden, E.C.; Brown, D.; Alkilany, A.M.; Farokhzad, O.C.; Mahmoudi, M. Cellular Uptake of Nanoparticles: Journey inside the Cell. Chem. Soc. Rev. 2017, 46, 4218–4244. [Google Scholar] [CrossRef] [PubMed]
- Zhang, X.Q.; Cai, S.S.; He, Y.M.; Zhang, M.; Cao, J.; Mei, H.; Li, S.; He, B. Enzyme-Triggered Deshielding of Nanoparticles and Positive-Charge Mediated Lysosomal Escape for Chemo/Photo-Combination Therapy. J. Mater. Chem. B 2019, 7, 4758–4762. [Google Scholar] [CrossRef] [PubMed]
- Zhou, Q.; Ching, A.K.-K.; Leung, W.K.-C.; Szeto, C.Y.-Y.; Ho, S.-M.; Chan, P.K.-S.; Yuan, Y.-F.; Lai, P.B.-S.; Yeo, W.; Wong, N. Novel Therapeutic Potential in Targeting Microtubules by Nanoparticle Albumin-Bound Paclitaxel in Hepatocellular Carcinoma. Int. J. Oncol. 2011, 38, 721–731. [Google Scholar] [CrossRef] [PubMed][Green Version]
- Chen, L.; Jiang, P.; Shen, X.; Lyu, J.; Liu, C.; Li, L.; Huang, Y. Cascade Delivery to Golgi Apparatus and On-Site Formation of Subcellular Drug Reservoir for Cancer Metastasis Suppression. Small 2023, 19, e2204747. [Google Scholar] [CrossRef]
- Gao, P.; Pan, W.; Li, N.; Tang, B. Boosting Cancer Therapy with Organelle-Targeted Nanomaterials. ACS Appl. Mater. Interfaces 2019, 11, 26529–26558. [Google Scholar] [CrossRef]
- Alven, S.; Aderibigbe, B.A. Nanoparticles Formulations of Artemisinin and Derivatives as Potential Therapeutics for the Treatment of Cancer, Leishmaniasis and Malaria. Pharmaceutics 2020, 12, 748. [Google Scholar] [CrossRef]
- Liu, Y.; Hong, G.; Mao, L.; Su, Z.; Liu, T.; Liu, H. A Novel Paclitaxel Derivative for Triple-Negative Breast Cancer Chemotherapy. Molecules 2023, 28, 3662. [Google Scholar] [CrossRef] [PubMed]
- Ahmed Khalil, A.; Rauf, A.; Alhumaydhi, F.A.; Aljohani, A.S.M.; Javed, M.S.; Khan, M.A.; Khan, I.A.; El-Esawi, M.A.; Bawazeer, S.; Bouyahya, A.; et al. Recent Developments and Anticancer Therapeutics of Paclitaxel: An Update. Curr. Pharm. Des. 2022, 28, 3363–3373. [Google Scholar] [CrossRef] [PubMed]
- Millard, M.; Yakavets, I.; Zorin, V.; Kulmukhamedova, A.; Marchal, S.; Bezdetnaya, L. Drug Delivery to Solid Tumors: The Predictive Value of the Multicellular Tumor Spheroid Model for Nanomedicine Screening. Int. J. Nanomed. 2017, 12, 7993–8007. [Google Scholar] [CrossRef] [PubMed]
- Narmani, A.; Jafari, S.M. Chitosan-Based Nanodelivery Systems for Cancer Therapy: Recent Advances. Carbohydr. Polym. 2021, 272, 118464. [Google Scholar] [CrossRef]
- Shen, Z.; Wen, H.; Zhou, H.; Hao, L.; Chen, H.; Zhou, X. Coordination Bonding-Based Polydopamine-Modified Mesoporous Silica for Sustained Avermectin Release. Mater. Sci. Eng. C 2019, 105, 110073. [Google Scholar] [CrossRef] [PubMed]
- Downes, K.J.; Zuppa, A.F.; Sharova, A.; Neely, M.N. Optimizing Vancomycin Therapy in Critically Ill Children: A Population Pharmacokinetics Study to Inform Vancomycin Area under the Curve Estimation Using Novel Biomarkers. Pharmaceutics 2023, 15, 1336. [Google Scholar] [CrossRef] [PubMed]
- Arnida; Janát-Amsbury, M.M.; Ray, A.; Peterson, C.M.; Ghandehari, H. Geometry and Surface Characteristics of Gold Nanoparticles Influence Their Biodistribution and Uptake by Macrophages. Eur. J. Pharm. Biopharm. 2011, 77, 417–423. [Google Scholar] [CrossRef] [PubMed]
- Tripathi, J.; Vasu, B.; Subba Reddy Gorla, R.; Chamkha, A.J.; Murthy, P.V.S.N.; Anwar Bég, O. Blood Flow Mediated Hybrid Nanoparticles in Human Arterial System: Recent Research, Development and Applications. J. Nanofluids 2021, 10, 1–30. [Google Scholar] [CrossRef]
- Tripathi, J.; Vasu, B.; Bég, O.A.; Gorla, R.S.R.; Kameswaran, P.K. Computational Simulation of Rheological Blood Flow Containing Hybrid Nanoparticles in an Inclined Catheterized Artery with Stenotic, Aneurysmal and Slip Effects. Comput. Biol. Med. 2021, 139, 105009. [Google Scholar] [CrossRef]
- Hayashi, K.; Sato, Y.; Maruoka, H.; Sakamoto, W.; Yogo, T. Organic-Inorganic Hybrid Nanoparticles for Tracking the Same Cells Seamlessly at the Cellular, Tissue, and Whole Body Levels. ACS Biomater. Sci. Eng. 2017, 3, 1129–1135. [Google Scholar] [CrossRef]
- Champion, J.A.; Mitragotri, S. Shape Induced Inhibition of Phagocytosis of Polymer Particles. Pharm. Res. 2009, 26, 244–249. [Google Scholar] [CrossRef] [PubMed]
- Toy, R.; Peiris, P.M.; Ghaghada, K.B.; Karathanasis, E. Shaping Cancer Nanomedicine: The Effect of Particle Shape on the in Vivo Journey of Nanoparticles. Nanomedicine 2014, 9, 121–134. [Google Scholar] [CrossRef] [PubMed]
- Taheri, A.; Dinarvand, R.; Ahadi, F.; Khorramizadeh, M.R.; Atyabi, F. The in Vivo Antitumor Activity of LHRH Targeted Methotrexate-Human Serum Albumin Nanoparticles in 4T1 Tumor-Bearing Balb/c Mice. Int. J. Pharm. 2012, 431, 183–189. [Google Scholar] [CrossRef] [PubMed]







| Formulation | AUC0−t (mg/L × h) | MRT0−∞ (h) | t1/2 (h) |
|---|---|---|---|
| PTX | 23.75 ± 3.95 | 6.03 ± 2.59 | 5.35 ± 1.85 |
| MSN-S | 83.33 ± 5.51 | 15.79 ± 1.32 | 10.16 ± 0.38 |
| MSN-R | 57.77 ± 4.75 | 13.90 ± 2.57 | 8.76 ± 1.37 |
| MSN-H | 111.41 ± 6.68 | 18.48 ± 0.67 | 13.59 ± 0.96 |
| Formulation | AUC0−t (mg/L × h) | MRT0−∞ (h) | t1/2 (h) |
|---|---|---|---|
| MSN-S | 213.73 ± 3.72 | 33.37 ± 1.46 | 15.60 ± 1.03 |
| MSN-R | 173.87 ± 2.83 | 30.19 ± 1.27 | 12.99 ± 0.42 |
| MSN-H | 289.24 ± 7.41 | 41.60 ± 2.77 | 18.90 ± 0.43 |
Disclaimer/Publisher’s Note: The statements, opinions and data contained in all publications are solely those of the individual author(s) and contributor(s) and not of MDPI and/or the editor(s). MDPI and/or the editor(s) disclaim responsibility for any injury to people or property resulting from any ideas, methods, instructions or products referred to in the content. |
© 2024 by the authors. Licensee MDPI, Basel, Switzerland. This article is an open access article distributed under the terms and conditions of the Creative Commons Attribution (CC BY) license (https://creativecommons.org/licenses/by/4.0/).
Share and Cite
Fang, W.; Yu, K.; Zhang, S.; Jiang, L.; Zheng, H.; Huang, Q.; Li, F. Shape Matters: Impact of Mesoporous Silica Nanoparticle Morphology on Anti-Tumor Efficacy. Pharmaceutics 2024, 16, 632. https://doi.org/10.3390/pharmaceutics16050632
Fang W, Yu K, Zhang S, Jiang L, Zheng H, Huang Q, Li F. Shape Matters: Impact of Mesoporous Silica Nanoparticle Morphology on Anti-Tumor Efficacy. Pharmaceutics. 2024; 16(5):632. https://doi.org/10.3390/pharmaceutics16050632
Chicago/Turabian StyleFang, Weixiang, Kailing Yu, Songhan Zhang, Lai Jiang, Hongyue Zheng, Qiaoling Huang, and Fanzhu Li. 2024. "Shape Matters: Impact of Mesoporous Silica Nanoparticle Morphology on Anti-Tumor Efficacy" Pharmaceutics 16, no. 5: 632. https://doi.org/10.3390/pharmaceutics16050632
APA StyleFang, W., Yu, K., Zhang, S., Jiang, L., Zheng, H., Huang, Q., & Li, F. (2024). Shape Matters: Impact of Mesoporous Silica Nanoparticle Morphology on Anti-Tumor Efficacy. Pharmaceutics, 16(5), 632. https://doi.org/10.3390/pharmaceutics16050632
