Gemcitabine-Loaded Microbeads for Transarterial Chemoembolization of Rabbit Renal Tumor Monitored by 18F-FDG Positron Emission Tomography/X-Ray Computed Tomography Imaging
Abstract
1. Introduction
2. Materials and Methods
2.1. Materials
2.2. Preparation of Microspheres
2.3. Morphological Characterization of Microspheres
2.4. Drug Loading and Encapsulation Efficiency of G-DEBs
2.5. Determination of Eluting Capacity and Drug Release
2.6. In Vitro Antitumor Effect of G-DEBs
2.7. Establishment of the VX2 Renal Tumor Model in Rabbits
2.8. 18F-FDG PET/CT Imaging Acquisition and Analysis
2.9. Arterial Embolization of Rabbit Renal Tumor and Validation
2.10. In Vivo Antitumor Therapy
2.11. Histological Analysis
2.12. Statistical Analysis
3. Results
3.1. Preparation and Characterization of DEBs
3.2. In Vitro Antitumor Effect of G-DEBs
3.3. Embolization of Rabbit Bearing VX2 Renal Tumor Under DSA by G-DEBs
3.4. Enhanced Therapeutic Efficacy of TACE in Rabbits Bearing VX2 Renal Tumor
3.4.1. Enhanced Therapeutic Efficacy Monitored by 18F-FDG PET/CT
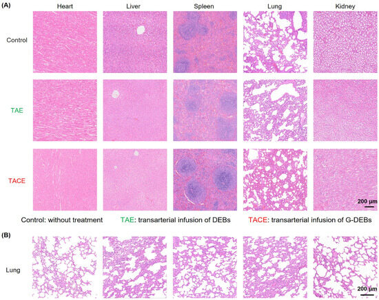
3.4.2. Enhanced Therapeutic Efficacy Confirmed by Histological Analysis
4. Discussion
5. Conclusions
Author Contributions
Funding
Institutional Review Board Statement
Data Availability Statement
Acknowledgments
Conflicts of Interest
References
- Baldewijns, M.M.L.; van Vlodrop, I.J.H.; Schouten, L.J.; Soetekouw, P.M.M.B.; de Bruïne, A.P.; van Engeland, M. Genetics and epigenetics of renal cell cancer. Biochim. Biophys. Acta Rev. Cancer 2008, 1785, 133–155. [Google Scholar] [CrossRef] [PubMed]
- Pan, Y.; Shu, G.; Fu, L.; Huang, K.; Zhou, X.; Gui, C.; Liu, H.; Jin, X.; Chen, M.; Li, P.; et al. EHBP1L1 Drives Immune Evasion in Renal Cell Carcinoma through Binding and Stabilizing JAK1. Adv. Sci. 2023, 10, e2206792. [Google Scholar] [CrossRef] [PubMed]
- Rose, T.L.; Kim, W.Y. Renal Cell Carcinoma: A Review. JAMA 2024, 332, 1001–1010. [Google Scholar] [CrossRef] [PubMed]
- Singhal, S.S.; Singhal, J.; Figarola, J.L.; Riggs, A.; Horne, D.; Awasthi, S. 2′-Hydroxyflavanone: A promising molecule for kidney cancer prevention. Biochem. Pharmacol. 2015, 96, 151–158. [Google Scholar] [CrossRef] [PubMed]
- Capitanio, U.; Bensalah, K.; Bex, A.; Boorjian, S.A.; Bray, F.; Coleman, J.; Gore, J.L.; Sun, M.; Wood, C.; Russo, P. Epidemiology of Renal Cell Carcinoma. Eur. Urol. 2019, 75, 74–84. [Google Scholar] [CrossRef] [PubMed]
- Bajracharya, R.; Song, J.G.; Patil, B.R.; Lee, S.H.; Noh, H.-M.; Kim, D.-H.; Kim, G.-L.; Seo, S.-H.; Park, J.-W.; Jeong, S.H.; et al. Functional ligands for improving anticancer drug therapy: Current status and applications to drug delivery systems. Drug Deliv. 2022, 29, 1959–1970. [Google Scholar] [CrossRef]
- Wright, B.; Johnson, B.S.; Vassar, M.; Saidian, A.; Rais-Bahrami, S.; Gunn, A.J. Trans-arterial embolization of renal cell carcinoma: A systematic review and meta-analysis. Abdom. Radiol. 2022, 47, 2238–2243. [Google Scholar] [CrossRef]
- He, Y.; Yuan, T.; Wang, X.; Shen, M.; Ding, L.; Huang, L.; Wang, S.; Kong, P.; Zhou, X.; Duan, Y.; et al. Temperature sensitive hydrogel for preoperative treatment of renal carcinoma. Mater. Sci. Eng. C 2020, 111, 110798. [Google Scholar] [CrossRef] [PubMed]
- Wu, H.-P.; Feng, G.-S.; Liang, H.-M.; Zheng, C.-S.; Li, X. Vascular endothelial growth factor antisense oligodeoxynucleotides with lipiodol in arterial embolization of liver cancer in rats. World J. Gastroenterol. 2004, 10, 813–818. [Google Scholar] [CrossRef] [PubMed]
- Lu, H.; Ye, Q.; Zheng, C.; Fan, L.; Xia, X. Efficacy and safety analysis of TACE + sunitinib vs. sunitinib in the treatment of unresectable advanced renal cell carcinoma: A retrospective study. BMC. Cancer 2023, 23, 270. [Google Scholar] [CrossRef]
- Gao, F.; Rafiq, M.; Cong, H.; Yu, B.; Shen, Y. Current research status and development prospects of embolic microspheres containing biological macromolecules and others. Int. J. Biol. Macromol. 2024, 267, 131494. [Google Scholar] [CrossRef] [PubMed]
- Iwazawa, J.; Ohue, S.; Mitani, T.; Abe, H.; Hashimoto, N.; Hamuro, M.; Nakamura, K. Identifying feeding arteries during TACE of hepatic tumors: Comparison of C-arm CT and digital subtraction angiography. Am. J. Roentgenol. 2009, 192, 1057–1063. [Google Scholar] [CrossRef]
- Lammer, J.; Malagari, K.; Vogl, T.; Pilleul, F.; Denys, A.; Watkinson, A.; Pitton, M.; Sergent, G.; Pfammatter, T.; Terraz, S.; et al. Prospective randomized study of doxorubicin-eluting-bead embolization in the treatment of hepatocellular carcinoma: Results of the PRECISION V study. Cardiovasc. Intervent. Radiol. 2010, 33, 41–52. [Google Scholar] [CrossRef] [PubMed]
- Huang, K.; Zhou, Q.; Wang, R.; Cheng, D.; Ma, Y. Doxorubicin-eluting beads versus conventional transarterial chemoembolization for the treatment of hepatocellular carcinoma. J. Gastroenterol. Hepatol. 2014, 29, 920–925. [Google Scholar] [CrossRef] [PubMed]
- Bi, Y.; Shi, X.; Ren, J.; Yi, M.; Han, X. Transarterial chemoembolization of unresectable renal cell carcinoma with doxorubicin-loaded CalliSpheres drug-eluting beads. Sci. Rep. 2022, 12, 8136. [Google Scholar] [CrossRef]
- Weissleder, R. Molecular imaging in cancer. Science 2006, 312, 1168–1171. [Google Scholar] [CrossRef] [PubMed]
- Liapi, E.; Geschwind, J.-F.H.; Vali, M.; Khwaja, A.A.; Prieto-Ventura, V.; Buijs, M.; Vossen, J.A.; Ganapathy-Kanniappan, S.; Wahl, R.L. Assessment of tumoricidal efficacy and response to treatment with 18F-FDG PET/CT after intraarterial infusion with the antiglycolytic agent 3-bromopyruvate in the VX2 model of liver tumor. J. Nucl. Med. 2011, 52, 225–230. [Google Scholar] [CrossRef]
- Song, S.-L.; Deng, C.; Wen, L.-F.; Liu, J.J.; Wang, H.; Feng, D.; Wong, C.-Y.O.; Huang, G. 18F-FDG PET/CT-related metabolic parameters and their value in early prediction of chemotherapy response in a VX2 tumor model. Nucl. Med. Biol. 2010, 37, 327–333. [Google Scholar] [CrossRef] [PubMed]
- Iqbal, R.; Yaqub, M.; Bektas, H.O.; Oprea-Lager, D.E.; de Vries, E.G.E.; Glaudemans, A.W.J.M.; Aftimos, P.; Gebhart, G.; Beelen, A.P.; Schuit, R.C.; et al. [18F]FDG and [18F]FES PET/CT Imaging as a Biomarker for Therapy Effect in Patients with Metastatic ER+ Breast Cancer Undergoing Treatment with Rintodestrant. Clin. Cancer Res. 2023, 29, 2075–2084. [Google Scholar] [CrossRef]
- Oh, C.; Bishop, M.W.; Cho, S.Y.; Im, H.-J.; Shulkin, B.L. 18F-FDG PET/CT in the Management of Osteosarcoma. J. Nucl. Med. 2023, 64, 842–851. [Google Scholar] [CrossRef] [PubMed]
- Kinahan, P.E.; Fletcher, J.W. Positron emission tomography-computed tomography standardized uptake values in clinical practice and assessing response to therapy. Semin. Ultrasound CT MRI 2010, 31, 496–505. [Google Scholar] [CrossRef] [PubMed]
- Wang, H.-Y.; Ding, H.-J.; Chen, J.-H.; Chao, C.-H.; Lu, Y.-Y.; Lin, W.-Y.; Kao, C.-H. Meta-analysis of the diagnostic performance of [18F]FDG-PET and PET/CT in renal cell carcinoma. Cancer Imaging 2012, 12, 464–474. [Google Scholar] [CrossRef]
- Grinberg, O.; Gedanken, A.; Patra, C.R.; Patra, S.; Mukherjee, P.; Mukhopadhyay, D. Sonochemically prepared BSA microspheres containing Gemcitabine, and their potential application in renal cancer therapeutics. Acta Biomater. 2009, 5, 3031–3037. [Google Scholar] [CrossRef] [PubMed]
- Qian, Y.; Liu, Q.; Li, P.; Han, Y.; Zhang, J.; Xu, J.; Sun, J.; Wu, A.; Song, S.; Lu, W. Highly Tumor-Specific and Long-Acting Iodine-131 Microbeads for Enhanced Treatment of Hepatocellular Carcinoma with Low-Dose Radio-Chemoembolization. ACS Nano 2021, 15, 2933–2946. [Google Scholar] [CrossRef] [PubMed]
- Li, Q.; Lai, S.; Shang, H.; Qiao, N.; Sun, X.; Lu, Y.; Wang, Z.; Wang, X.; Wu, Y. Construction and evaluation of biomass-modified mesoporous silica nanoparticles as enzyme-responsive and pH-Responsive drug carriers for the controlled release of quercetin. J. Drug Deliv. Sci. Technol. 2024, 98, 105852. [Google Scholar] [CrossRef]
- Li, H.; Lin, Z.; Chen, J.; Guo, R. Evaluation of the MR and pathology characteristics immediately following percutaneous MR-guided microwave ablation in a rabbit kidney VX2 tumor implantation model. Int. J. Hyperth. 2019, 36, 1197–1206. [Google Scholar] [CrossRef]
- Miao, Y.; Ni, Y.; Bosmans, H.; Yu, J.; Vaninbroukx, J.; Dymarkowski, S.; Zhang, H.; Marchal, G. Radiofrequency ablation for eradication of renal tumor in a rabbit model by using a cooled-tip electrode technique. Ann. Surg. Oncol. 2001, 8, 651–657. [Google Scholar] [CrossRef] [PubMed]
- Yan, L.; Liu, G.; Cao, H.; Zhang, H.; Shao, F. Hsa_circ_0035483 sponges hsa-miR-335 to promote the gemcitabine-resistance of human renal cancer cells by autophagy regulation. Biochem. Biophys. Res. Commun. 2019, 519, 172–178. [Google Scholar] [CrossRef] [PubMed]
- Dubey, R.D.; Saneja, A.; Gupta, P.K.; Gupta, P.N. Recent advances in drug delivery strategies for improved therapeutic efficacy of gemcitabine. Eur. J. Pharm. Sci. 2016, 93, 147–162. [Google Scholar] [CrossRef]
- Han, H.; Li, S.; Zhong, Y.; Huang, Y.; Wang, K.; Jin, Q.; Ji, J.; Yao, K. Emerging pro-drug and nano-drug strategies for gemcitabine-based cancer therapy. Asian J. Pharm. Sci. 2022, 17, 35–52. [Google Scholar] [CrossRef]
- Lewis, A.L.; Dreher, M.R. Locoregional drug delivery using image-guided intra-arterial drug eluting bead therapy. J. Control. Release 2012, 161, 338–350. [Google Scholar] [CrossRef] [PubMed]
- Bi, Y.; Zhang, B.; Ren, J.; Han, X.; Wu, W. Clinical outcomes of gemcitabine-loaded callispheres drug-eluting beads for patients with advanced and inoperable lung cancer: A case series study. Front. Pharmacol. 2022, 13, 992526. [Google Scholar] [CrossRef] [PubMed]
- Verhoeff, S.R.; Oosting, S.F.; Elias, S.G.; van Es, S.C.; Gerritse, S.L.; Angus, L.; Heskamp, S.; Desar, I.M.E.; Menke-van der Houven van Oordt, C.W.; van der Veldt, A.A.M.; et al. [89Zr]Zr-DFO-girentuximab and [18F]FDG PET/CT to Predict Watchful Waiting Duration in Patients with Metastatic Clear-cell Renal Cell Carcinoma. Clin. Cancer Res. 2023, 29, 592–601. [Google Scholar] [CrossRef] [PubMed]
- Wang, P.; Zhang, X.; Shao, S.-H.; Wu, F.; Du, F.-Z.; Zhang, J.-F.; Zuo, Z.-W.; Jiang, R. Chemotherapy, transarterial chemoembolization, and nephrectomy combined treated one giant renal cell carcinoma (T3aN1M1) associated with Xp11.2/TFE3: A case report. World J. Clin. Cases 2022, 10, 10180–10185. [Google Scholar] [CrossRef] [PubMed]
- Hou, G.; Zhao, D.; Jiang, Y.; Zhu, Z.; Huo, L.; Li, F.; Cheng, W. Clinical utility of FDG PET/CT for primary and recurrent papillary renal cell carcinoma. Cancer Imaging 2021, 21, 25. [Google Scholar] [CrossRef]
- Liu, Y. The Place of FDG PET/CT in Renal Cell Carcinoma: Value and Limitations. Front. Oncol. 2016, 6, 201. [Google Scholar] [CrossRef]
- Yeh, C.-L.; Chen, S.-W.; Chen, Y.-K. Delayed diuretic FDG PET/CT scan facilitates detection of renal urothelial cell carcinoma. Clin. Nucl. Med. 2009, 34, 829–830. [Google Scholar] [CrossRef] [PubMed]
- Chen, L.; Sun, T.; Lv, Y.; Lu, X.; Li, X.; Zhang, H.; Qian, K.; Guo, X.; Sun, B.; Zhang, W.; et al. Efficacy, mechanism, and safety of melatonin-loaded on thermosensitive nanogels for rabbit VX2 tumor embolization: A novel design. J. Pineal. Res. 2023, 75, e12900. [Google Scholar] [CrossRef] [PubMed]
- Natu, J.; Nagaraju, G.P. Gemcitabine effects on tumor microenvironment of pancreatic ductal adenocarcinoma: Special focus on resistance mechanisms and metronomic therapies. Cancer Lett. 2023, 573, 216382. [Google Scholar] [CrossRef]







| Disclaimer/Publisher’s Note: The statements, opinions and data contained in all publications are solely those of the individual author(s) and contributor(s) and not of MDPI and/or the editor(s). MDPI and/or the editor(s) disclaim responsibility for any injury to people or property resulting from any ideas, methods, instructions or products referred to in the content. | 
© 2024 by the authors. Licensee MDPI, Basel, Switzerland. This article is an open access article distributed under the terms and conditions of the Creative Commons Attribution (CC BY) license (https://creativecommons.org/licenses/by/4.0/).
Share and Cite
Zhang, X.; Li, T.; Tong, J.; Zhou, M.; Wang, Z.; Liu, X.; Lu, W.; Lou, J.; Yi, Q. Gemcitabine-Loaded Microbeads for Transarterial Chemoembolization of Rabbit Renal Tumor Monitored by 18F-FDG Positron Emission Tomography/X-Ray Computed Tomography Imaging. Pharmaceutics 2024, 16, 1609. https://doi.org/10.3390/pharmaceutics16121609
Zhang X, Li T, Tong J, Zhou M, Wang Z, Liu X, Lu W, Lou J, Yi Q. Gemcitabine-Loaded Microbeads for Transarterial Chemoembolization of Rabbit Renal Tumor Monitored by 18F-FDG Positron Emission Tomography/X-Ray Computed Tomography Imaging. Pharmaceutics. 2024; 16(12):1609. https://doi.org/10.3390/pharmaceutics16121609
Chicago/Turabian StyleZhang, Xiaoli, Tingting Li, Jindong Tong, Meihong Zhou, Zi Wang, Xingdang Liu, Wei Lu, Jingjing Lou, and Qingtong Yi. 2024. "Gemcitabine-Loaded Microbeads for Transarterial Chemoembolization of Rabbit Renal Tumor Monitored by 18F-FDG Positron Emission Tomography/X-Ray Computed Tomography Imaging" Pharmaceutics 16, no. 12: 1609. https://doi.org/10.3390/pharmaceutics16121609
APA StyleZhang, X., Li, T., Tong, J., Zhou, M., Wang, Z., Liu, X., Lu, W., Lou, J., & Yi, Q. (2024). Gemcitabine-Loaded Microbeads for Transarterial Chemoembolization of Rabbit Renal Tumor Monitored by 18F-FDG Positron Emission Tomography/X-Ray Computed Tomography Imaging. Pharmaceutics, 16(12), 1609. https://doi.org/10.3390/pharmaceutics16121609
 
        



