The Double-Leucine Motifs Affect Internalization, Stability, and Function of Organic Anion Transporting Polypeptide 1B1
Abstract
1. Introduction
2. Materials and Methods
2.1. Materials
2.2. Site-Directed Mutagenesis
2.3. Transfection of Plasmid Constructs
2.4. Uptake of Different Substrates by OATP1B1
2.5. Calculation of Additive Effect
2.6. Biotin Labeling of Cell Surface Proteins and Western Blotting
2.7. Statistical Analysis
3. Results
3.1. Identification of Important Double-Leucine Motifs in the Intracellular Loops and Transmembrane Domains of OATP1B1
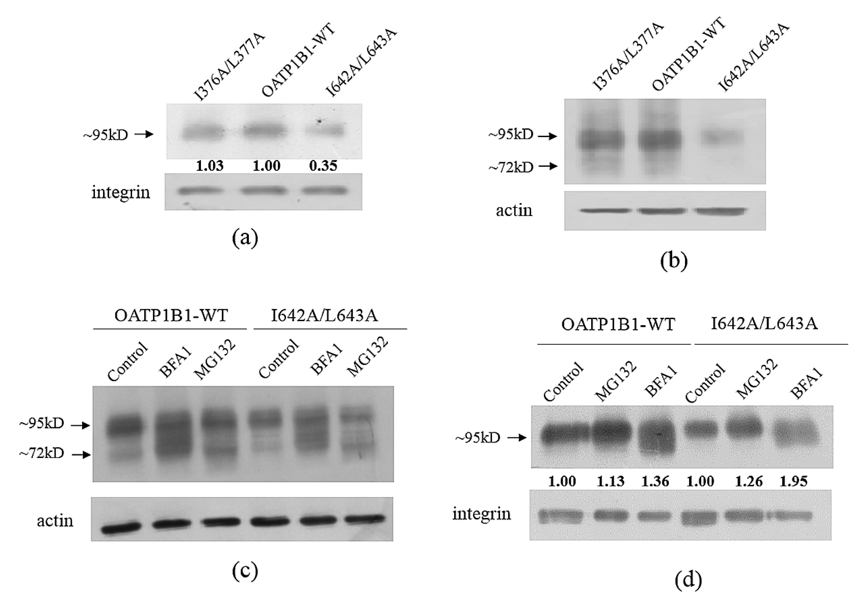
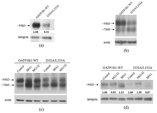
3.2. Protein Level Analysis of the Critical Double-Leucine Motifs in the Intracellular Loop
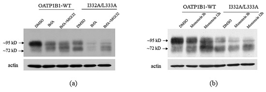
3.3. The I332/L333 Motif May Play a Role in Protein Internalization
3.4. Protein Level Analysis of the Critical Double-Leucine Motifs in the Transmembrane Domains
3.5. Kinetic Analysis of the Important Dileucine Mutants
4. Discussion
5. Conclusions
Author Contributions
Funding
Institutional Review Board Statement
Informed Consent Statement
Data Availability Statement
Conflicts of Interest
References
- Zhang, Y.; Hagenbuch, B. Protein-protein interactions of drug uptake transporters that are important for liver and kidney. Biochem. Pharmacol. 2019, 168, 384–391. [Google Scholar] [CrossRef] [PubMed]
- Nakanishi, T.; Tamai, I. Genetic polymorphisms of OATP transporters and their impact on intestinal absorption and hepatic disposition of drugs. Drug Metab. Pharmacokinet. 2012, 27, 106–121. [Google Scholar] [CrossRef] [PubMed]
- König, J. Uptake transporters of the human OATP family: Molecular characteristics, substrates, their role in drug-drug interactions, and functional consequences of polymorphisms. Handb. Exp. Pharmacol. 2011, 201, 1–28. [Google Scholar]
- Stieger, B.; Hagenbuch, B. Organic anion transporting polypeptides. Curr. Top. Membr. 2014, 73, 205–232. [Google Scholar] [PubMed]
- High, S.; Laird, V. Membrane protein biosynthesis—All sewn up? Trends Cell Biol. 1997, 7, 206–210. [Google Scholar]
- Bonifacino, J.S.; Traub, L.M. Signals for sorting of transmembrane proteins to endosomes and lysosomes. Annu. Rev. Biochem. 2003, 72, 395–447. [Google Scholar] [CrossRef] [PubMed]
- Stoops, E.H.; Caplan, M.J. Trafficking to the apical and basolateral membranes in polarized epithelial cells. J. Am. Soc. Nephrol. 2014, 25, 1375–1386. [Google Scholar] [CrossRef] [PubMed]
- Wang, X.; Liang, Y.; Fang, Z.; Huang, J.; Hong, M. The intracellular NPxY motif is critical in maintaining the function and expression of human organic anion transporting polypeptide 1B1. Biochim. Biophys. Acta Biomembr. 2019, 1861, 1189–1196. [Google Scholar] [CrossRef] [PubMed]
- Stross, C.; Kluge, S.; Weissenberger, K.; Winands, E.; Häussinger, D.; Kubitz, R. A dileucine motif is involved in plasma membrane expression and endocytosis of rat sodium taurocholate cotransporting polypeptide (Ntcp). Am. J. Physiol. Gastrointest. Liver Physiol. 2013, 305, G722–G730. [Google Scholar] [CrossRef] [PubMed][Green Version]
- Hsu, H.; Baldwin, C.L.; Telfer, J.C. The endocytosis and signaling of the gammadelta T cell coreceptor WC1 are regulated by a dileucine motif. J. Immunol. 2015, 194, 2399–2406. [Google Scholar] [CrossRef] [PubMed]
- Hong, M.; Li, S.; Zhou, F.; Thomas, P.E.; You, G. Putative transmembrane domain 12 of the human organic anion transporter hOAT1 determines transporter stability and maturation efficiency. J. Pharmacol. Exp. Ther. 2010, 332, 650–658. [Google Scholar] [CrossRef] [PubMed]
- Bliss, C.I. The toxicity of poisons applied jointly. Ann. Appl. Biol. 1939, 26, 585–615. [Google Scholar] [CrossRef]
- Ciechanover, A. Proteolysis: From the lysosome to ubiquitin and the proteasome. Nat. Rev. Mol. Cell Biol. 2005, 6, 79–87. [Google Scholar] [CrossRef] [PubMed]
- Bruce, A.; Johnson, A.; Lewis, J.; Raff, M.; Roberts, K.; Walter, P. Intracellular vesicular traffic. In Molecular Biology of the Cell; Anderson, M., Granum, S., Eds.; Garland Science; Taylor & Francis Group, LLC.: New York, NY, USA, 2007; pp. 749–812. [Google Scholar]
- Rosa, P.; Mantovani, S.; Rosboch, R.; Huttner, W.B. Monensin and brefeldin A differentially affect the phosphorylation and sulfation of secretory proteins. J. Biol. Chem. 1992, 267, 12227–12232. [Google Scholar] [CrossRef] [PubMed]
- Hong, M.; Hong, W.; Ni, C.; Huang, J.; Zhou, C. Protein kinase C affects the internalization and recycling of organic anion transporting polypeptide 1B1. Biochim. Biophys. Acta 2015, 1848, 2022–2030. [Google Scholar] [CrossRef] [PubMed]
- Peden, A.A.; Park, G.Y.; Scheller, R.H. The Di-leucine motif of vesicle-associated membrane protein 4 is required for its localization and AP-1 binding. J. Biol. Chem. 2001, 276, 49183–49187. [Google Scholar] [CrossRef] [PubMed]
- MacGurn, J.A.; Hsu, P.C.; Emr, S.D. Ubiquitin and membrane protein turnover: From cradle to grave. Annu. Rev. Biochem. 2012, 81, 231–259. [Google Scholar] [CrossRef] [PubMed]
- Zhao, N.; Zhang, A.S.; Worthen, C.; Knutson, M.D.; Enns, C.A. An iron-regulated and glycosylation-dependent proteasomal degradation pathway for the plasma membrane metal transporter ZIP14. Proc. Natl. Acad. Sci. USA 2014, 111, 9175–9180. [Google Scholar] [CrossRef] [PubMed]
- Miyagawa, M.; Maeda, K.; Aoyama, A.; Sugiyama, Y. The eighth and ninth transmembrane domains in organic anion transporting polypeptide 1B1 affect the transport kinetics of estrone-3-sulfate and estradiol-17beta-D-glucuronide. J. Pharmacol. Exp. Ther. 2009, 329, 551–557. [Google Scholar] [CrossRef] [PubMed]








| Substrate | ES | DCF | ||||
|---|---|---|---|---|---|---|
| I332A/L333A | I396A/I397A | L558A/I559A | I332A/L333A | I396A/I397A | L558A/I559A | |
| Additive effect | 21.7 ± 5.5 | 52.9 ± 14.4 | 19.4 ± 5.0 | 37.8 ± 6.5 | 11.9 ± 3.6 | 22.5 ± 10.7 |
| Double-mutants | 12.3 * ± 4.1 | 64.8 ± 22.5 | 16.8 ± 3.6 | 16.6 * ± 6.4 | 12.3 ± 6.2 | 17.4 ± 12 |
| I211A/ L212A | I221A/ I222A | L343A/ L344A | L346A/L347A | I376A/ L377A | L377A/ L378A | L423A/ L424A | I428A/ L429A | I585A/ L586A | L594A/ I595A | I641A/ I642A | I642A/ L643A | L643A/ I644A | |
|---|---|---|---|---|---|---|---|---|---|---|---|---|---|
| Additive effect | 64.8 ± 6.8 | 95.1 ± 6.8 | 62.8 ± 15.5 | 98.6 ± 3.6 | 73.3 ± 1.5 | 50.9 ± 16.4 | 38.4 ± 8.5 | 19.6 ± 2.5 | 94.9 ± 4.0 | 29.7 ± 2.5 | 81.0 ± 8.9 | 53.6 ± 10 | 22.3 ± 3.7 |
| Double-mutants | 62.5 ± 10.5 | 108 ± 21 | 51.4 ± 10.1 | 102 ± 1 | 32.2 * ± 8.4 | 49.2 ± 17.9 | 35.9 ± 3.9 | 29.6 ± 5.7 | 85.5 ± 13 | 19.3 ± 10 | 77.8 ± 10.0 | 30.0 * ± 12 | 32.2 ± 10.1 |
| I211A/ L212A | I221A/ I222A | L343A/ L344A | L346A/L347A | I376A/ L377A | L377A/ L378A | L423A/ L424A | I428A/ L429A | I585A/ L586A | L594A/ I595A | I641A/ I642A | I642A/ L643A | L643A/ I644A | |
|---|---|---|---|---|---|---|---|---|---|---|---|---|---|
| Additive effect | 52.3 ± 10.7 | 25.0 ± 7.9 | 58.6 ± 10.6 | 108 ± 32 | 43.6 ± 8.1 | 87.5 ± 7.9 | 52.5 ± 6.4 | 12.6 ± 2.6 | 116 ± 4 | 22.4 ± 7.1 | 78.9 ± 11.4 | 49.3 ± 7.0 | 29.0 ± 6.6 |
| Double-mutants | 43.0 ± 7.8 | 29.1 ± 9.7 | 77.4 ± 13.3 | 74 ± 6.9 | 27.4 * ± 5.6 | 99.0 * ± 2.4 | 42.6 ± 2.3 | 13.0 ± 2.4 | 78.7 * ± 9.9 | 21.7 ± 6.4 | 72.9 ± 13.9 | 19.7 * ± 7.4 | 23.3 ± 8.5 |
| Km (μM) | Vmax (pmol/mg Protein/min) | Vmax/Km | |
|---|---|---|---|
| OATP1B1-WT | 4.29 ± 0.67 | 87.9 ± 11.7 | 20.5 |
| I332A/L333A | 5.20 ± 1.72 | 74.1 ± 9.9 (normalized with protein from 16.2 ± 4.5) | 14.2 |
| I376A/L377A | 3.38 ± 0.82 | 29.6 * ± 2.9 (normalized with protein from 26.6 ± 4.0) | 8.76 |
| I642A/L643A | 2.16 * ± 0.34 | 37.4 * ± 4.3 (normalized with protein from 14.0 ± 2.3) | 17.3 |
Disclaimer/Publisher’s Note: The statements, opinions and data contained in all publications are solely those of the individual author(s) and contributor(s) and not of MDPI and/or the editor(s). MDPI and/or the editor(s) disclaim responsibility for any injury to people or property resulting from any ideas, methods, instructions or products referred to in the content. |
© 2023 by the authors. Licensee MDPI, Basel, Switzerland. This article is an open access article distributed under the terms and conditions of the Creative Commons Attribution (CC BY) license (https://creativecommons.org/licenses/by/4.0/).
Share and Cite
Wang, X.; Chen, J.; Huang, J.; Hong, M. The Double-Leucine Motifs Affect Internalization, Stability, and Function of Organic Anion Transporting Polypeptide 1B1. Pharmaceutics 2023, 15, 2279. https://doi.org/10.3390/pharmaceutics15092279
Wang X, Chen J, Huang J, Hong M. The Double-Leucine Motifs Affect Internalization, Stability, and Function of Organic Anion Transporting Polypeptide 1B1. Pharmaceutics. 2023; 15(9):2279. https://doi.org/10.3390/pharmaceutics15092279
Chicago/Turabian StyleWang, Xuyang, Jieru Chen, Jiujiu Huang, and Mei Hong. 2023. "The Double-Leucine Motifs Affect Internalization, Stability, and Function of Organic Anion Transporting Polypeptide 1B1" Pharmaceutics 15, no. 9: 2279. https://doi.org/10.3390/pharmaceutics15092279
APA StyleWang, X., Chen, J., Huang, J., & Hong, M. (2023). The Double-Leucine Motifs Affect Internalization, Stability, and Function of Organic Anion Transporting Polypeptide 1B1. Pharmaceutics, 15(9), 2279. https://doi.org/10.3390/pharmaceutics15092279

