FOF1-ATPase Motor-Embedded Chromatophore as Drug Delivery System: Extraction, Cargo Loading Ability and Mucus Penetration Ability
Abstract
1. Introduction
2. Materials and Methods
2.1. Materials
2.2. Extraction and Characterization of CHR
2.2.1. Extraction of CHR
2.2.2. Characterization of CHR
2.3. Drug Loading
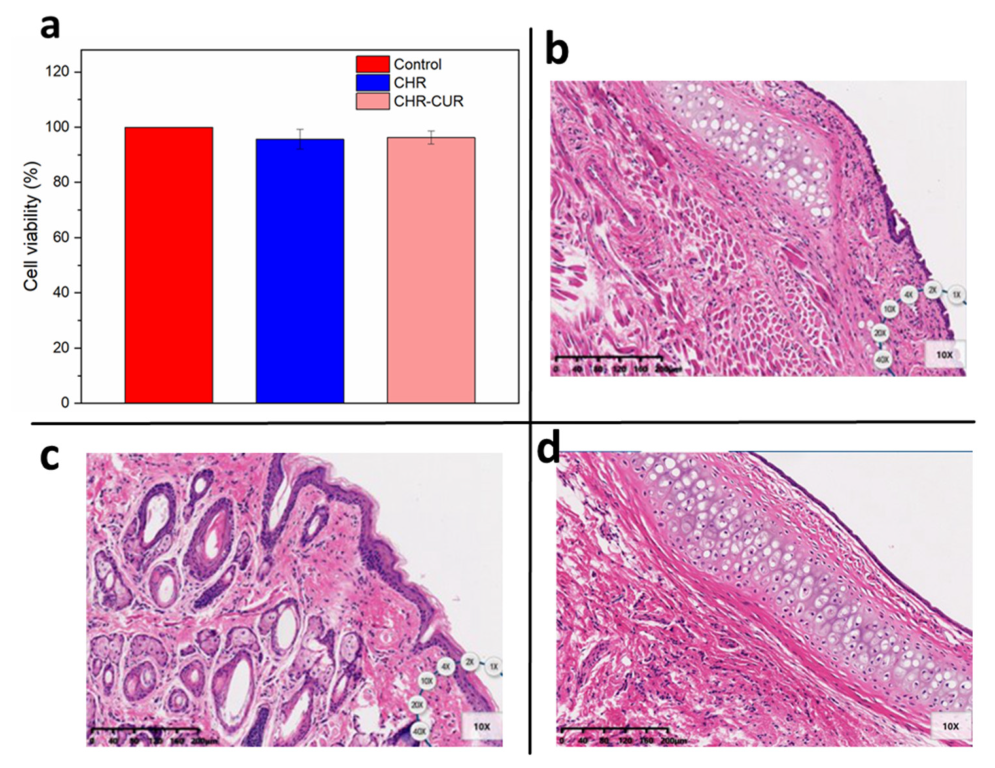
2.4. Biosafety Evaluations
2.5. In Vitro Mucus Penetration
2.5.1. In Vitro Motility and Permeation of CHR
2.5.2. In Vitro Permeation of CUR-CHR
2.6. In Vitro Efficacy Experiments
2.7. In Vivo Antitumor Effect Study
2.8. Statistical Analysis
3. Results and Discussion
3.1. Extraction and Characterization of CHRs with FoF1-ATPase Motors
3.2. Characterization of the Motility of Drug-Loaded CHR with FoF1-ATPase Motors
3.3. Motility of FoF1-ATPase Motors and Mucus Permeation of Drug-Loaded CHR
3.4. Inhibition Effect of Drug-Loaded CHR on C6 Cells
3.5. In Vivo Studies
4. Conclusions
Supplementary Materials
Author Contributions
Funding
Institutional Review Board Statement
Informed Consent Statement
Data Availability Statement
Acknowledgments
Conflicts of Interest
References
- Rawas-Qalaji, M.; Thu, H.E.; Hussain, Z. Oromucosal delivery of macromolecules: Challenges and recent developments to improve bioavailability. J. Control. Release 2022, 352, 726–746. [Google Scholar] [CrossRef] [PubMed]
- Sun, S.; Li, E.; Zhao, G.; Tang, J.; Zuo, Q.; Cai, L.; Xu, C.; Sui, C.; Ou, Y.; Liu, C.; et al. Respiratory mucosal vaccination of peptide-poloxamine-DNA nanoparticles provides complete protection against lethal SARS-CoV-2 challenge. Biomaterials 2023, 292, 121907. [Google Scholar] [CrossRef] [PubMed]
- Suberi, A.; Grun, M.K.; Mao, T.; Israelow, B.; Reschke, M.; Grundler, J.; Akhtar, L.; Lee, T.; Shin, K.; Piotrowski-Daspit, A.S.; et al. Inhalable polymer nanoparticles for versatile mRNA delivery and mucosal vaccination. bioRxiv 2022. [Google Scholar] [CrossRef]
- Barbosa, R.M.; da Rocha, D.N.; de Souza, R.F.B.; Santos, J.L.; Ferreira, J.R.M.; Moraes, Â.M. Cell-Friendly Chitosan-Xanthan Gum Membranes Incorporating Hydroxyapatite Designed for Periodontal Tissue Regeneration. Pharmaceutics 2023, 15, 705. [Google Scholar] [CrossRef]
- Surwase, S.S.; Shahriar, S.M.S.; An, J.M.; Ha, J.; Mirzaaghasi, A.; Bagheri, B.; Park, J.-H.; Lee, Y.-K.; Kim, Y.-C. Engineered Nanoparticles inside a Microparticle Oral System for Enhanced Mucosal and Systemic Immunity. ACS Appl. Mater. Interfaces 2022, 14, 11124–11143. [Google Scholar] [CrossRef]
- Ross, M.; Sheardown, L.; Muirhead, B.; Mofford, J.; Tian, J.; Sheardown, H. Mucoadhesive thermogel platform for treating anterior ocular conditions. J. Biomed. Mater. Res. Part A 2023. [Google Scholar] [CrossRef]
- Gao, X.; Xiong, Y.; Chen, H.; Gao, X.; Dai, J.; Zhang, Y.; Zou, W.; Gao, Y.; Jiang, Z.; Han, B. Mucus adhesion vs. mucus penetration? Screening nanomaterials for nasal inhalation by MD simulation. J. Control. Release 2023, 353, 366–379. [Google Scholar] [CrossRef]
- Nordgård, C.T.; Draget, K.I. Co association of mucus modulating agents and nanoparticles for mucosal drug delivery. Adv. Drug Deliv. Rev. 2018, 124, 175–183. [Google Scholar] [CrossRef]
- Bandi, S.P.; Bhatnagar, S.; Venuganti, V.V.K. Advanced materials for drug delivery across mucosal barriers. Acta Biomater. 2021, 119, 13–29. [Google Scholar] [CrossRef]
- Meyer-Déru, L.; David, G.; Auvergne, R. Chitosan chemistry review for living organisms encapsulation. Carbohydr. Polym. 2022, 295. [Google Scholar] [CrossRef]
- Balasubramaniyan, M.; Santhanam, M.; Vinayagam, V.; Perumal, K. Immunomodulatory effects of chitosan nanoparticles as vaccine delivery agent against lymphatic filariasis through mucosal immunization. Int. J. Biol. Macromol. 2022, 222, 2392–2398. [Google Scholar] [CrossRef]
- Wibel, R.; Braun, D.E.; Hämmerle, L.; Jörgensen, A.M.; Knoll, P.; Salvenmoser, W.; Steinbring, C.; Bernkop-Schnürch, A. In Vitro Investigation of Thiolated Chitosan Derivatives as Mucoadhesive Coating Materials for Solid Lipid Nanoparticles. Biomacromolecules 2021, 22, 3980–3991. [Google Scholar] [CrossRef]
- Bedhiafi, T.; Idoudi, S.; Alhams, A.A.; Fernandes, Q.; Iqbal, H.; Basineni, R.; Uddin, S.; Dermime, S.; Merhi, M.; Billa, N. Applications of polydopaminic nanomaterials in mucosal drug delivery. J. Control. Release 2023, 353, 842–849. [Google Scholar] [CrossRef]
- Reboredo, C.; González-Navarro, C.J.; Martínez-López, A.L.; Martínez-Ohárriz, C.; Sarmento, B.; Irache, J.M. Zein-Based Nanoparticles as Oral Carriers for Insulin Delivery. Pharmaceutics 2021, 14, 39. [Google Scholar] [CrossRef]
- Gao, C.; Wang, Y.; Ye, Z.; Lin, Z.; Ma, X.; He, Q. Biomedical Micro-/Nanomotors: From Overcoming Biological Barriers to In Vivo Imaging. Adv. Mater. 2021, 33, 2000512. [Google Scholar] [CrossRef]
- Liu, T.; Xie, L.; Price, C.-A.H.; Liu, J.; He, Q.; Kong, B. Controlled propulsion of micro/nanomotors: Operational mechanisms, motion manipulation and potential biomedical applications. Chem. Soc. Rev. 2022, 51, 10083–10119. [Google Scholar] [CrossRef]
- Fusi, A.D.; Li, Y.; Llopis-Lorente, A.; Patiño, T.; van Hest, J.C.; Abdelmohsen, L.K. Achieving Control in Micro-/Nanomotor Mobility. Angew. Chem. Int. Ed. Engl. 2023, 62, e202214754. [Google Scholar] [CrossRef]
- Yang, Q.; Xu, L.; Zhong, W.; Yan, Q.; Gao, Y.; Hong, W.; She, Y.; Yang, G. Recent Advances in Motion Control of Micro/Nanomotors. Adv. Intell. Syst. 2020, 2, 2000049. [Google Scholar] [CrossRef]
- Gao, Y.; Zhang, J.; Pan, J.; Ying, S.; Lou, B.; Yang, Q.; Hong, W.; Yang, G. F(O)F1-ATP synthase molecular motor biosensor for miRNA detection of colon cancer. Life Sci. 2023, 319, 121527. [Google Scholar] [CrossRef]
- Liang, H.; Peng, F.; Tu, Y. Active therapy based on the byproducts of micro/nanomotors. Nanoscale 2023, 15, 953–962. [Google Scholar] [CrossRef]
- Yan, M.; Liang, K.; Zhao, D.; Kong, B. Core-Shell Structured Micro-Nanomotors: Construction, Shell Functionalization, Applications, and Perspectives. Small 2022, 18, e2102887. [Google Scholar] [CrossRef] [PubMed]
- Li, H.; Peng, F.; Yan, X.; Mao, C.; Ma, X.; Wilson, D.A.; He, Q.; Tu, Y. Medical micro- and nanomotors in the body. Acta Pharm. Sin. B 2023, 13, 517–541. [Google Scholar] [CrossRef] [PubMed]
- Hong, W.; Lou, B.; Gao, Y.; Zhao, H.; Ying, S.; Yang, S.; Li, H.; Yang, Q.; Yang, G. Tumor microenvironment responded naturally extracted FOF1-ATPase loaded chromatophores for antitumor therapy. Int. J. Biol. Macromol. 2023, 230, 123127. [Google Scholar] [CrossRef] [PubMed]
- Salewskij, K.; Rieger, B.; Hager, F.; Arroum, T.; Duwe, P.; Villalta, J.; Colgiati, S.; Richter, C.P.; Psathaki, O.E.; Enriquez, J.A.; et al. The spatio-temporal organization of mitochondrial F1FO ATP synthase in cristae depends on its activity mode. Biochim. Biophys. Acta (BBA)-Bioenerg. 2020, 1861, 148091. [Google Scholar] [CrossRef] [PubMed]
- Sobti, M.; Walshe, J.L.; Wu, D.; Ishmukhametov, R.; Zeng, Y.C.; Robinson, C.V.; Berry, R.M.; Stewart, A.G. Cryo-EM structures provide insight into how E. coli F1Fo ATP synthase accommodates symmetry mismatch. Nat. Commun. 2020, 11, 2615. [Google Scholar] [CrossRef]
- Milgrom, Y.M.; Duncan, T.M. F-ATP-ase of Escherichia coli membranes: The ubiquitous MgADP-inhibited state and the inhibited state induced by the epsilon-subunit‘s C-terminal domain are mutually exclusive. Biochim. Biophys. Acta Bioenerg. 2020, 1861, 148189. [Google Scholar] [CrossRef]
- Hou, J.; Mondal, A.; Long, G.; de Haan, L.; Zhao, W.; Zhou, G.; Liu, D.; Broer, D.J.; Chen, J.; Feringa, B.L. Photo-responsive Helical Motion by Light-Driven Molecular Motors in a Liquid-Crystal Network. Angew. Chem. Int. Ed. Engl. 2021, 60, 2–9. [Google Scholar] [CrossRef]
- Guimarães, D.; Cavaco-Paulo, A.; Nogueira, E. Design of liposomes as drug delivery system for therapeutic applications. Int. J. Pharm. 2021, 601, 120571. [Google Scholar] [CrossRef]
- Alp, G.; Aydogan, N. Lipid-based mucus penetrating nanoparticles and their biophysical interactions with pulmonary mucus layer. Eur. J. Pharm. Biopharm. 2020, 149, 45–57. [Google Scholar] [CrossRef]
- Li, Z.; Xu, X.; Yu, F.; Fei, J.; Li, Q.; Dong, M.; Li, J. Oriented Nanoarchitectonics of Bacteriorhodopsin for Enhancing ATP Generation in a FoF1-ATPase-Based Assembly System. Angewandte Chemie-International Edition. Angew. Chem. 2022, 61, e202116220. [Google Scholar]
- Ueno, H.; Suzuki, T.; Kinosita, K., Jr.; Yoshida, M. ATP-driven stepwise rotation of FoF1-ATP synthase. Proc. Natl. Acad. Sci. USA 2005, 102, 1333–1338. [Google Scholar] [CrossRef]











| Groups | Drug | Dose/Day | Routes |
|---|---|---|---|
| 1 (blank) | / | / | / |
| 2 (model) | / | / | / |
| 3 | CUR | 6.8 μg | IN |
| 4 | CUR-CHR | 6.8 μg | IN |
Disclaimer/Publisher’s Note: The statements, opinions and data contained in all publications are solely those of the individual author(s) and contributor(s) and not of MDPI and/or the editor(s). MDPI and/or the editor(s) disclaim responsibility for any injury to people or property resulting from any ideas, methods, instructions or products referred to in the content. |
© 2023 by the authors. Licensee MDPI, Basel, Switzerland. This article is an open access article distributed under the terms and conditions of the Creative Commons Attribution (CC BY) license (https://creativecommons.org/licenses/by/4.0/).
Share and Cite
Wu, Y.; Lou, B.; Zheng, N.; Zhou, X.; Gao, Y.; Hong, W.; Yang, Q.; Yang, G. FOF1-ATPase Motor-Embedded Chromatophore as Drug Delivery System: Extraction, Cargo Loading Ability and Mucus Penetration Ability. Pharmaceutics 2023, 15, 1681. https://doi.org/10.3390/pharmaceutics15061681
Wu Y, Lou B, Zheng N, Zhou X, Gao Y, Hong W, Yang Q, Yang G. FOF1-ATPase Motor-Embedded Chromatophore as Drug Delivery System: Extraction, Cargo Loading Ability and Mucus Penetration Ability. Pharmaceutics. 2023; 15(6):1681. https://doi.org/10.3390/pharmaceutics15061681
Chicago/Turabian StyleWu, Yujing, Bang Lou, Ning Zheng, Xuhui Zhou, Ying Gao, Weiyong Hong, Qingliang Yang, and Gensheng Yang. 2023. "FOF1-ATPase Motor-Embedded Chromatophore as Drug Delivery System: Extraction, Cargo Loading Ability and Mucus Penetration Ability" Pharmaceutics 15, no. 6: 1681. https://doi.org/10.3390/pharmaceutics15061681
APA StyleWu, Y., Lou, B., Zheng, N., Zhou, X., Gao, Y., Hong, W., Yang, Q., & Yang, G. (2023). FOF1-ATPase Motor-Embedded Chromatophore as Drug Delivery System: Extraction, Cargo Loading Ability and Mucus Penetration Ability. Pharmaceutics, 15(6), 1681. https://doi.org/10.3390/pharmaceutics15061681

