Injectable In-Situ Forming Depot Based on PLGA and PLGA-PEG-PLGA for Sustained-Release of Risperidone: In Vitro Evaluation and Pharmacokinetics in Rabbits
Abstract
1. Introduction
2. Materials and Methods
2.1. Materials
2.2. Preparation of ISFI and ISFG Formulations
2.3. Physicochemical Properties of ISFG and ISFI
2.3.1. Syringeability and Rheology
2.3.2. Sol-Gel Transition Temperature of ISFG
2.3.3. Scanning Electron Microscopy (SEM)
2.4. In Vitro Release Assessment
2.5. In Vitro Degradation Assessment
2.6. In-Vitro Solvent Exchange Assessment
2.7. In Vitro Cytotoxicity Assessment
2.8. In Vivo Assessment
2.8.1. Pharmacokinetic Evaluation
2.8.2. In Vivo Degradation Assessment
2.8.3. Histopathology
2.9. Stability Test
2.10. Statistical Analysis
3. Results and Discussion
3.1. Syringability and Rheology
3.2. Sol-Gel Transition Temperature of ISFG
3.3. Scanning Electron Microscopy (SEM)
3.4. In Vitro Release and Degradation Assessment
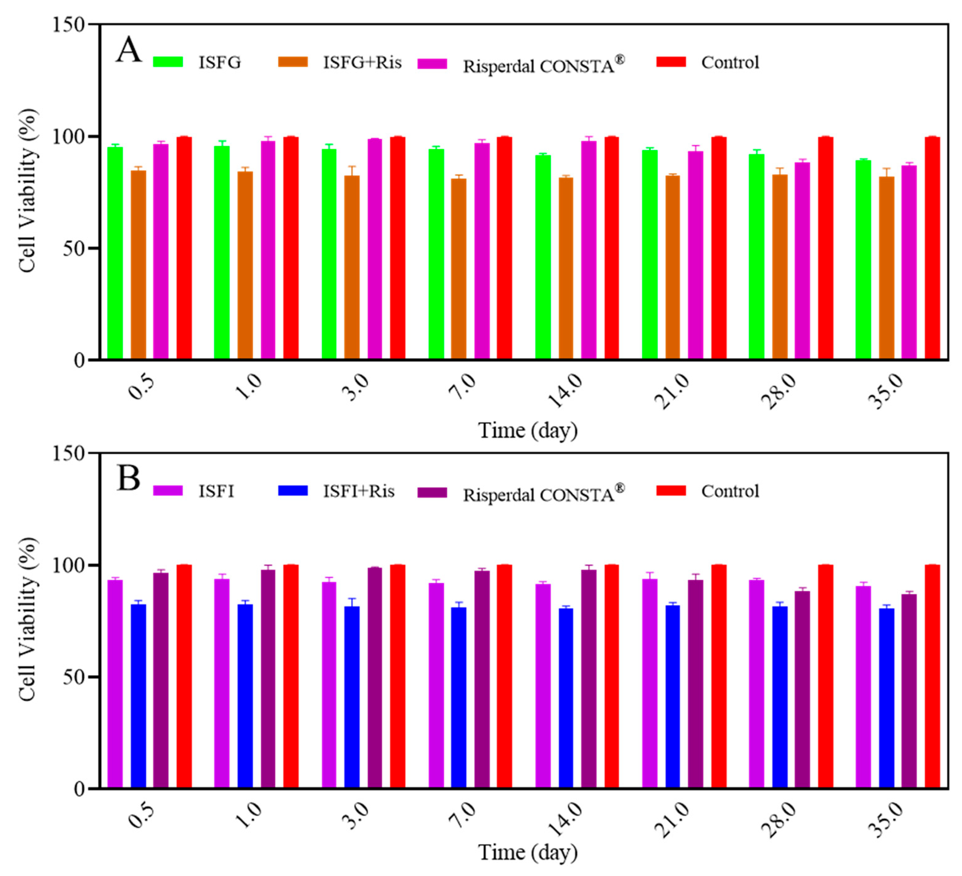
3.5. In Vitro Cytotoxicity Assessment
3.6. In Vivo Assessment
3.6.1. Pharmacokinetic Evaluation
3.6.2. In Vivo Degradation Assessment
3.6.3. Histopathology
3.7. Stability Test
4. Conclusions
Supplementary Materials
Author Contributions
Funding
Institutional Review Board Statement
Informed Consent Statement
Data Availability Statement
Acknowledgments
Conflicts of Interest
References
- Nuntamool, N.; Ngamsamut, N.; Vanwong, N.; Puangpetch, A.; Chamnanphon, M.; Hongkaew, Y.; Limsila, P.; Suthisisang, C.; Wilffert, B.; Sukasem, C. Pharmacogenomics and Efficacy of Risperidone Long-Term Treatment in Thai Autistic Children and Adolescents. Basic Clin. Pharmacol. Toxicol. 2017, 121, 316–324. [Google Scholar] [CrossRef] [PubMed]
- Mohtashami, Z.; Esmaili, Z.; Vakilinezhad, M.A.; Seyedjafari, E.; Akbari Javar, H. Pharmaceutical implants: Classification, limitations and therapeutic applications. Pharm. Dev. Technol. 2020, 25, 116–132. [Google Scholar] [CrossRef] [PubMed]
- Yamaguchi, K.; Anderson, J.M. Biocompatibility studies of naltrexone sustained release formulations. J. Control. Release 1992, 19, 299–314. [Google Scholar] [CrossRef]
- Hulse, G.K.; Stalenberg, V.; McCallum, D.; Smit, W.; O’Neil, G.; Morris, N.; Tait, R.J. Histological changes over time around the site of sustained release naltrexone-poly(DL-lactide) implants in humans. J. Control. Release 2005, 108, 43–55. [Google Scholar] [CrossRef] [PubMed]
- Thakur, R.R.; McMillan, H.L.; Jones, D.S. Solvent induced phase inversion-based in situ forming controlled release drug delivery implants. J. Control. Release 2014, 176, 8–23. [Google Scholar] [CrossRef]
- CONSTA, R. Available online: https://media.healthdirect.org.au/medicines/GuildLink_Information/81489/CMI/jccrisco10820.pdf (accessed on 1 June 2022).
- Wilcox, M.A.; Coppola, D.; Bailey, N.; Wilson, A.; Kamauu, A.W.C.; Alba, P.R.; Patterson, O.V.; Viernes, B.; Denhalter, D.W.; Solomon, I.D.; et al. Risperdal((R)) CONSTA((R)) Needle Detachment. Incidence Rates Before and After Kit Redesign: A Retrospective Study using Electronic Health Records and Natural Language Processing in the Department of Veterans Affairs. Neurol. Ther. 2019, 8, 95–108. [Google Scholar] [CrossRef]
- Dongaonkar, A.R.; Deshmukh, P.S.; Deshmukh, G.S.; Folane, P.; Kale, R.; Biyani, K. A Review on Current Effective Medications in the Treatment of Schizophrenia. Int. J. Adv. Pharm. Biotechnol. 2020. [Google Scholar] [CrossRef]
- Liu, J.; Cheng, R.; Heimann, K.; Wang, Z.; Wang, J.; Liu, F. Temperature-sensitive lyotropic liquid crystals as systems for transdermal drug delivery. J. Mol. Liq. 2021, 326, 115310. [Google Scholar] [CrossRef]
- Forys, A.; Chountoulesi, M.; Mendrek, B.; Konieczny, T.; Sentoukas, T.; Godzierz, M.; Kordyka, A.; Demetzos, C.; Pispas, S.; Trzebicka, B. The Influence of Hydrophobic Blocks of PEO-Containing Copolymers on Glyceryl Monooleate Lyotropic Liquid Crystalline Nanoparticles for Drug Delivery. Polymers 2021, 13, 2607. [Google Scholar] [CrossRef]
- Shiadeh, S.N.; Khodaverdi, E.; Maleki, M.; Eisvand, F.; Nazari, A.; Zarqi, J.; Hadizadeh, F.; Kamali, H. A sustain-release lipid-liquid crystal containing risperidone based on glycerol monooleate, glycerol dioleate, and glycerol trioleate: In-vitro evaluation and pharmacokinetics in rabbits. JDDST 2022, 70, 103257. [Google Scholar] [CrossRef]
- Lampis, S.; Carboni, M.; Steri, D.; Murgia, S.; Monduzzi, M. Lipid based liquid-crystalline stabilized formulations for the sustained release of bioactive hydrophilic molecules. Colloids Surf B Biointerfaces 2018, 168, 35–42. [Google Scholar] [CrossRef] [PubMed]
- El-Enin, H.A.; Al-Shanbari, A.H. Nanostructured liquid crystalline formulation as a remarkable new drug delivery system of anti-epileptic drugs for treating children patients. Saudi Pharm. J. 2018, 26, 790–800. [Google Scholar] [CrossRef] [PubMed]
- Boyd, B.J.; Whittaker, D.V.; Khoo, S.M.; Davey, G. Lyotropic liquid crystalline phases formed from glycerate surfactants as sustained release drug delivery systems. Int. J. Pharm. 2006, 309, 218–226. [Google Scholar] [CrossRef] [PubMed]
- Hosmer, J.M.; Steiner, A.A.; Lopes, L.B. Lamellar liquid crystalline phases for cutaneous delivery of Paclitaxel: Impact of the monoglyceride. Pharm. Res. 2013, 30, 694–706. [Google Scholar] [CrossRef]
- Kim, D.; Jahn, A.; Cho, S.; Kim, J.; Ki, M.; Kim, D. Lyotropic liquid crystal systems in drug delivery: A review. Int. J. Pharm. Investig. 2015, 45, 1–11. [Google Scholar] [CrossRef]
- Ruel-Gariepy, E.; Leroux, J. In situ-forming hydrogels—Review of temperature-sensitive systems. Eur. J. Pharm. Biopharm. 2004, 58, 409–426. [Google Scholar] [CrossRef]
- Bode, C.; Kranz, H.; Kruszka, A.; Siepmann, F.; Siepmann, J. In-situ forming PLGA implants: How additives affect swelling and drug release. J. Drug Deliv. Sci. Technol. 2019, 53, 101180. [Google Scholar] [CrossRef]
- Rapalli, V.; Waghule, T.; Hans, N.; Mahmood, A.; Gorantla, S.; Dubey, S.; Singhvi, G. Insights of lyotropic liquid crystals in topical drug delivery for targeting various skin disorders. J. Mol. Liq. 2020, 315, 113771. [Google Scholar] [CrossRef]
- Wang, B.; Cao, Y.; Yang, L.; Wang, Y. Rheological properties of PLGA-PEG-PLGA copolymers for ophthalmic injection. J. Appl. Polym. Sci. 2012, 125, 370–375. [Google Scholar] [CrossRef]
- Oborna, J.; Mravcova, L.; Michlovska, L.; Vojtova, L.; Vavrova, M. The effect of PLGA-PEG-PLGA modification on the sol-gel transition and degradation properties. Express Polym. Lett. 2016, 10, 361. [Google Scholar] [CrossRef]
- Zhao, J.; Guo, B.; Ma, P. Injectable alginate microsphere/PLGA–PEG–PLGA composite hydrogels for sustained drug release. RSC Adv. 2014, 4, 17736–17742. [Google Scholar] [CrossRef]
- Wang, L.; Wang, A.; Zhao, X.; Liu, X.; Wang, D.; Sun, F.; Li, Y. Design of a long-term antipsychotic in situ forming implant and its release control method and mechanism. Int. J. Pharm. 2012, 427, 284–292. [Google Scholar] [CrossRef] [PubMed]
- Jones, T.; Van Breda, K.; Charles, B.; Dean, A.J.; McDermott, B.M.; Norris, R. Determination of risperidone and 9-Hydroxyrisperidone using HPLC, in plasma of children and adolescents with emotional and behavioural disorders. Biomed. Chromatogr. 2009, 23, 929–934. [Google Scholar] [CrossRef]
- Koradia, H.; Chaudhari, K. Formulation of unidirectional buccal tablet of Mirtazapine: An in vitro and ex vivo evaluation. J. Drug Deliv. Sci. Technol. 2018, 43, 233–242. [Google Scholar] [CrossRef]
- Zhang, Y.; Huo, M.; Zhou, J.; Zou, A.; Li, W.; Yao, C.; Xie, S. DDSolver: An add-in program for modeling and comparison of drug dissolution profiles. AAPS J. 2010, 12, 263–271. [Google Scholar] [CrossRef] [PubMed]
- Göpferich, A. Mechanisms of polymer degradation and erosion. Biomaterials 1996, 17, 103–114. [Google Scholar] [CrossRef]
- Rahimi, M.; Mobedi, H.; Behnamghader, A. In situ forming poly (lactic acid-co-glycolic acid) implants containing leuprolide acetate/β-cyclodextrin complexes: Preparation, characterization, and in vitro drug release. Int. J. Polym. Mater. 2016, 65, 75–84. [Google Scholar] [CrossRef]
- Yang, P.; Qin, C.; Du, S.; Jia, L.; Qin, Y.; Gong, J.; Wu, S. Crystal Structure, Stability and Desolvation of the Solvates of Sorafenib Tosylate. Crystals 2019, 9, 367. [Google Scholar] [CrossRef]
- Ozdemir, K.G.; Yilmaz, H.; Yilmaz, S. In vitro evaluation of cytotoxicity of soft lining materials on L929 cells by MTT assay. J. Biomed. Mater Res. B Appl. Biomater. 2009, 90, 82–86. [Google Scholar] [CrossRef]
- Liu, Q.; Zhang, H.; Zhou, G.; Xie, S.; Zou, H.; Yu, Y.; Li, G.; Sun, D.; Zhang, G.; Lu, Y.; et al. In vitro and in vivo study of thymosin alpha1 biodegradable in situ forming poly(lactide-co-glycolide) implants. Int. J. Pharm. 2010, 397, 122–129. [Google Scholar] [CrossRef]
- Huang, M.Z.; Shentu, J.Z.; Chen, J.C.; Liu, J.; Zhou, H.L. Determination of risperidone in human plasma by HPLC-MS/MS and its application to a pharmacokinetic study in Chinese volunteers. J. Zhejiang Univ. Sci. B 2008, 9, 114–120. [Google Scholar] [CrossRef] [PubMed]
- Zhang, Y.; Huo, M.; Zhou, J.; Xie, S. PKSolver: An add-in program for pharmacokinetic and pharmacodynamic data analysis in Microsoft Excel. Comput. Methods Programs Biomed. 2010, 99, 306–314. [Google Scholar] [CrossRef] [PubMed]
- Kim, J.H.; Park, C.H.; Lee, O.J.; Lee, J.M.; Kim, J.W.; Park, Y.H.; Ki, C.S. Preparation and in vivo degradation of controlled biodegradability of electrospun silk fibroin nanofiber mats. J. Biomed. Mater Res. A 2012, 100, 3287–3295. [Google Scholar] [CrossRef]
- Veta, M.; van Diest, P.J.; Kornegoor, R.; Huisman, A.; Viergever, M.A.; Pluim, J.P. Automatic nuclei segmentation in H&E stained breast cancer histopathology images. PLoS ONE 2013, 8, e70221. [Google Scholar] [CrossRef]
- Rignall, A. ICHQ1A (R2) Stability Testing of New Drug Substance and Product and ICHQ1C Stability Testing of New Dosage Forms; Wiley: Hoboken, NJ, USA, 2017; Volume 3. [Google Scholar] [CrossRef]
- Swift, M. GraphPad prism, data analysis, and scientific graphing. J. Chem. Inf. Comput. Sci. 1997, 37, 411–412. [Google Scholar] [CrossRef]
- Chung, Y.M.; Simmons, K.L.; Gutowska, A.; Jeong, B. Sol-gel transition temperature of PLGA-g-PEG aqueous solutions. Biomacromolecules 2002, 3, 511–516. [Google Scholar] [CrossRef] [PubMed]
- Qiao, M.; Chen, D.; Ma, X.; Liu, Y. Injectable biodegradable temperature-responsive PLGA–PEG–PLGA copolymers: Synthesis and effect of copolymer composition on the drug release from the copolymer-based hydrogels. Int. J. Pharm. 2005, 294, 103–112. [Google Scholar] [CrossRef]
- Mohamadnia, Z.; Zohuriaan-Mehr, M.J.; Kabiri, K.; Jamshidi, A.; Mobedi, H. Ionically cross-linked carrageenan-alginate hydrogel beads. J. Biomater. Sci. Polym. Ed. 2008, 19, 47–59. [Google Scholar] [CrossRef]
- Huang, Y.; Ren, J.; Chen, C.; Ren, T.; Zhou, X. Preparation and properties of poly (lactide-co-glycolide)(PLGA)/nano-hydroxyapatite (NHA) scaffolds by thermally induced phase separation and rabbit MSCs culture on scaffolds. J. Biomater. Appl. 2008, 22, 409–432. [Google Scholar] [CrossRef]
- Amoyav, B.; Benny, O. Microfluidic Based Fabrication and Characterization of Highly Porous Polymeric Microspheres. Polymers 2019, 11, 419. [Google Scholar] [CrossRef]
- Zhuang, Y.; Shen, H.; Yang, F.; Wang, X.; Wu, D. Synthesis and characterization of PLGA nanoparticle/4-arm-PEG hybrid hydrogels with controlled porous structures. RSC Adv. 2016, 6, 53804–53812. [Google Scholar] [CrossRef]
- Kloosterboer, S.M.; de Winter, B.C.M.; Reichart, C.G.; Kouijzer, M.E.J.; de Kroon, M.M.J.; van Daalen, E.; Ester, W.A.; Rieken, R.; Dieleman, G.C.; van Altena, D.; et al. Risperidone plasma concentrations are associated with side effects and effectiveness in children and adolescents with autism spectrum disorder. Br. J. Clin. Pharmacol. 2021, 87, 1069–1081. [Google Scholar] [CrossRef] [PubMed]
- Shiadeh, S.N.R.; Khodaverdi, E.; Maleki, M.F.; Eisvand, F.; Boujaran, H.; Zarei, H.; Vosooghi, R.; Hadizadeh, F.; Kamali, H. Lipid-liquid crystals for 2 months controlled risperidone release: In-vitro evaluation and pharmacokinetics in rabbits. Int. J. Pharm. 2022, 618, 121649. [Google Scholar] [CrossRef]
- Jiang, R.; Murthy, D.N.P. A study of Weibull shape parameter: Properties and significance. Reliab. Eng. Syst. Saf. 2011, 96, 1619–1626. [Google Scholar] [CrossRef]
- Qiao, M.; Chen, D.; Ma, X.; Hu, H. Sustained release of bee venom peptide from biodegradable thermosensitive PLGA-PEG-PLGA triblock copolymer-based hydrogels in vitro. Pharmazie 2006, 61, 199–202. [Google Scholar] [PubMed]
- Milacic, V.; Schwendeman, S.P. Lysozyme release and polymer erosion behavior of injectable implants prepared from PLGA-PEG block copolymers and PLGA/PLGA-PEG blends. Pharm. Res. 2014, 31, 436–448. [Google Scholar] [CrossRef]
- Chan, P.S.; Li, Q.; Zhang, B.; To, K.K.W.; Leung, S.S.Y. In vivo biocompatibility and efficacy of dexamethasone-loaded PLGA-PEG-PLGA thermogel in an alkali-burn induced corneal neovascularization disease model. Eur. J. Pharm. Biopharm. 2020, 155, 190–198. [Google Scholar] [CrossRef] [PubMed]
- Kamali, H.; Khodaverdi, E.; Hadizadeh, F.; Yazdian-Robati, R.; Haghbin, A.; Zohuri, G. An in-situ forming implant formulation of naltrexone with minimum initial burst release using mixture of PLGA copolymers and ethyl heptanoate as an additive: In-vitro, ex-vivo, and in-vivo release evaluation. J. Drug Deliv. Sci. Technol. 2018, 47, 95–105. [Google Scholar] [CrossRef]
- Fischer, D.; Li, Y.; Ahlemeyer, B.; Krieglstein, J.; Kissel, T. In vitro cytotoxicity testing of polycations: Influence of polymer structure on cell viability and hemolysis. Biomaterials 2003, 24, 1121–1131. [Google Scholar] [CrossRef]
- Eroglu, I.; Gultekinoglu, M.; Bayram, C.; Erikci, A.; Ciftci, S.Y.; Ayse Aksoy, E.; Ulubayram, K. Gel network comprising UV crosslinked PLGA-b-PEG-MA nanoparticles for ibuprofen topical delivery. Pharm. Dev. Technol. 2019, 24, 1144–1154. [Google Scholar] [CrossRef]
- Xie, B.; Jin, L.; Luo, Z.; Yu, J.; Shi, S.; Zhang, Z.; Shen, M.; Chen, H.; Li, X.; Song, Z. An injectable thermosensitive polymeric hydrogel for sustained release of Avastin(R) to treat posterior segment disease. Int. J. Pharm. 2015, 490, 375–383. [Google Scholar] [CrossRef] [PubMed]
- Gao, Y.; Ren, F.; Ding, B.; Sun, N.; Liu, X.; Ding, X.; Gao, S. A thermo-sensitive PLGA-PEG-PLGA hydrogel for sustained release of docetaxel. J. Drug Target. 2011, 19, 516–527. [Google Scholar] [CrossRef] [PubMed]
- Cao, D.; Zhang, X.; Akabar, M.D.; Luo, Y.; Wu, H.; Ke, X.; Ci, T. Liposomal doxorubicin loaded PLGA-PEG-PLGA based thermogel for sustained local drug delivery for the treatment of breast cancer. Artif. Cells Nanomed. Biotechnol. 2019, 47, 181–191. [Google Scholar] [CrossRef]
- Ma, H.; He, C.; Cheng, Y.; Li, D.; Gong, Y.; Liu, J.; Tian, H.; Chen, X. PLK1shRNA and doxorubicin co-loaded thermosensitive PLGA-PEG-PLGA hydrogels for osteosarcoma treatment. Biomaterials 2014, 35, 8723–8734. [Google Scholar] [CrossRef]
- Mashayekhi, R.; Mobedi, H.; Najafi, J.; Enayati, M. In-vitro/In-vivo comparison of leuprolide acetate release from an in-situ forming plga system. Daru 2013, 21, 57. [Google Scholar] [CrossRef] [PubMed]
- Rucker, M.; Laschke, M.W.; Junker, D.; Carvalho, C.; Schramm, A.; Mulhaupt, R.; Gellrich, N.C.; Menger, M.D. Angiogenic and inflammatory response to biodegradable scaffolds in dorsal skinfold chambers of mice. Biomaterials 2006, 27, 5027–5038. [Google Scholar] [CrossRef]
- Grundy, D. Principles and standards for reporting animal experiments in The Journal of Physiology and Experimental Physiology. Exp. Physiol. 2015, 100, 755–758. [Google Scholar] [CrossRef]








| Model | Equation | Risperdal CONSTA® | ISFI 2–36 h | ISFI 46–826 h | ISFG |
|---|---|---|---|---|---|
| Zero-order | F = Ko × t | 0.9450 | 0.1675 | 0.8434 | 0.5691 |
| Higuchi | F = kH × t0.5 | 0.7554 | 0.9448 | 0.8242 | 0.9184 |
| Quadratic | F = 100 × (k1 × t^2 + k2 × t) | 0.9680 | 0.8841 | 0.9262 | 0.9736 |
| Korsmeyer-Peppas | F = kKp × tn | 0.961 | 0.9577 | 0.8985 | 0.9184 |
| Hixon-Crowell | F = 100 × [1 − (1 − kHC × t)3] | 0.8783 | 0.2732 | 0.9094 | 0.9911 |
| Weibull | F= 100 × {1 − Exp[-(t-Ti)β/α]} | 0.9785 | 0.9817 | 0.9613 | 0.9943 |
| Groups | AUC0-t (ng h/mL) | Tmax (h) | Cmax (ng/mL) | t1/2 (h) | MRT (h) |
|---|---|---|---|---|---|
| Risperidone solution in NMP (SC) (group IV) | 1122.99 ± 46.25 | 4.00 ± 0.00 | 101.06 ± 1.69 | 7.33 ± 0.92 | 11.95 ± 0.24 |
| ISFI-Risperidone (SC) (group V) | 21,406.59 ± 564.45 | 24.00 ± 3.25 | 49.46 ± 2.82 | 116.19 ± 48.9 | 393.77 ± 130.89 |
| ISFG-Risperidone (SC) (group VI) | 19,426.59 ± 1084.78 | 32.00 ± 6.11 | 37.60 ± 1.11 | 169.31 ± 58.08 | 430.58 ± 58.46 |
| Risperdal CONSTA® (IM) (group VII) | 35,641.73 ± 2840.27 | 720.00 ± 6.48 | 57.72 ± 7.61 | 111.42 ± 19.81 | 635.22 ± 23.37 |
Disclaimer/Publisher’s Note: The statements, opinions and data contained in all publications are solely those of the individual author(s) and contributor(s) and not of MDPI and/or the editor(s). MDPI and/or the editor(s) disclaim responsibility for any injury to people or property resulting from any ideas, methods, instructions or products referred to in the content. |
© 2023 by the authors. Licensee MDPI, Basel, Switzerland. This article is an open access article distributed under the terms and conditions of the Creative Commons Attribution (CC BY) license (https://creativecommons.org/licenses/by/4.0/).
Share and Cite
Rezaeian Shiadeh, S.N.; Hadizadeh, F.; Khodaverdi, E.; Gorji Valokola, M.; Rakhshani, S.; Kamali, H.; Nokhodchi, A. Injectable In-Situ Forming Depot Based on PLGA and PLGA-PEG-PLGA for Sustained-Release of Risperidone: In Vitro Evaluation and Pharmacokinetics in Rabbits. Pharmaceutics 2023, 15, 1229. https://doi.org/10.3390/pharmaceutics15041229
Rezaeian Shiadeh SN, Hadizadeh F, Khodaverdi E, Gorji Valokola M, Rakhshani S, Kamali H, Nokhodchi A. Injectable In-Situ Forming Depot Based on PLGA and PLGA-PEG-PLGA for Sustained-Release of Risperidone: In Vitro Evaluation and Pharmacokinetics in Rabbits. Pharmaceutics. 2023; 15(4):1229. https://doi.org/10.3390/pharmaceutics15041229
Chicago/Turabian StyleRezaeian Shiadeh, Seyedeh Nesa, Farzin Hadizadeh, Elham Khodaverdi, Mahmoud Gorji Valokola, Saleh Rakhshani, Hossein Kamali, and Ali Nokhodchi. 2023. "Injectable In-Situ Forming Depot Based on PLGA and PLGA-PEG-PLGA for Sustained-Release of Risperidone: In Vitro Evaluation and Pharmacokinetics in Rabbits" Pharmaceutics 15, no. 4: 1229. https://doi.org/10.3390/pharmaceutics15041229
APA StyleRezaeian Shiadeh, S. N., Hadizadeh, F., Khodaverdi, E., Gorji Valokola, M., Rakhshani, S., Kamali, H., & Nokhodchi, A. (2023). Injectable In-Situ Forming Depot Based on PLGA and PLGA-PEG-PLGA for Sustained-Release of Risperidone: In Vitro Evaluation and Pharmacokinetics in Rabbits. Pharmaceutics, 15(4), 1229. https://doi.org/10.3390/pharmaceutics15041229

