Simultaneous Imaging and Therapy Using Epitope-Specific Anti-Epidermal Growth Factor Receptor (EGFR) Antibody Conjugates
Abstract
1. Introduction
2. Materials and Methods
2.1. Synthesis of Matuzumab Deferoxamine (DFO)
2.2. Flow Cytometry of Immunoconjugates
2.3. In Vitro Cytotoxicity of Nimotuzumab-PEG6-DM1
2.4. Radiolabeling with 89Zr and Radioligand Binding Assays
2.5. Tumor Xenografts, Micropet/CT Imaging, Biodistribution, and Pharmacokinetics
2.6. Nimotuzumab ADC Immunotherapy
2.7. Histology and Immunohistochemistry
2.8. Statistical Analysis
3. Results
3.1. Conjugation and Quality Control of Immunoconjugate
3.2. Radiolabeling and Radioligand Binding Assay
3.3. In Vitro Cytotoxicity
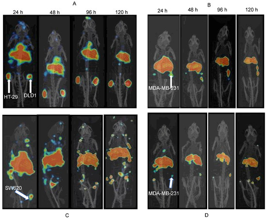
3.4. MicroPET/CT Imaging, Biodistribution, and Pharmacokinetics
3.5. Efficacy of Nimotuzumab-PEG6-DM1 and Epitope-Specific Monitoring of Treatment Response Using 89Zr-Matuzumab
3.6. Histology and Immunohistochemistry
4. Discussion
5. Conclusions
Supplementary Materials
Author Contributions
Funding
Institutional Review Board Statement
Data Availability Statement
Conflicts of Interest
References
- O’Connell, J.B.; Maggard, M.A.; Ko, C.Y. Colon cancer survival rates with the new american joint committee on cancer sixth edition staging. J. Natl. Cancer Inst. 2004, 96, 1420–1425. [Google Scholar] [CrossRef] [PubMed]
- Sadahiro, S.; Suzuki, T.; Ishikawa, K.; Nakamura, T.; Tanaka, Y.; Masuda, T.; Mukoyama, S.; Yasuda, S.; Tajima, T.; Makuuchi, H.; et al. Recurrence patterns after curative resection of colorectal cancer in patients followed for a minimum of ten years. Hepatogastroenterology 2003, 50, 1362–1366. [Google Scholar]
- Messa, C.; Russo, F.; Caruso, M.G.; Di Leo, A. Egf, tgf-alpha, and egf-r in human colorectal adenocarcinoma. Acta Oncol. 1998, 37, 285–289. [Google Scholar] [CrossRef]
- Salomon, D.S.; Brandt, R.; Ciardiello, F.; Normanno, N. Epidermal growth factor-related peptides and their receptors in human malignancies. Crit. Rev. Oncol. Hematol. 1995, 19, 183–232. [Google Scholar] [CrossRef]
- van Houdt, W.J.; Hoogwater, F.J.; de Bruijn, M.T.; Emmink, B.L.; Nijkamp, M.W.; Raats, D.A.; van der Groep, P.; van Diest, P.; Borel Rinkes, I.H.; Kranenburg, O. Oncogenic kras desensitizes colorectal tumor cells to epidermal growth factor receptor inhibition and activation. Neoplasia 2010, 12, 443–452. [Google Scholar] [CrossRef] [PubMed]
- McCubrey, J.A.; Steelman, L.S.; Chappell, W.H.; Abrams, S.L.; Franklin, R.A.; Montalto, G.; Cervello, M.; Libra, M.; Candido, S.; Malaponte, G.; et al. Ras/raf/mek/erk and pi3k/pten/akt/mtor cascade inhibitors: How mutations can result in therapy resistance and how to overcome resistance. Oncotarget 2012, 3, 1068–1111. [Google Scholar] [CrossRef] [PubMed]
- McCubrey, J.A.; Steelman, L.S.; Chappell, W.H.; Abrams, S.L.; Montalto, G.; Cervello, M.; Nicoletti, F.; Fagone, P.; Malaponte, G.; Mazzarino, M.C.; et al. Mutations and deregulation of ras/raf/mek/erk and pi3k/pten/akt/mtor cascades which alter therapy response. Oncotarget 2012, 3, 954–987. [Google Scholar] [CrossRef] [PubMed]
- Jean, G.W.; Shah, S.R. Epidermal growth factor receptor monoclonal antibodies for the treatment of metastatic colorectal cancer. Pharmacotherapy 2008, 28, 742–754. [Google Scholar] [CrossRef]
- Lindsey, S.; Langhans, S.A. Epidermal growth factor signaling in transformed cells. Int. Rev. Cell Mol. Biol. 2015, 314, 1–41. [Google Scholar] [CrossRef]
- Wee, P.; Wang, Z. Epidermal growth factor receptor cell proliferation signaling pathways. Cancers 2017, 9, 52. [Google Scholar] [CrossRef]
- Bonner, J.A.; Harari, P.M.; Giralt, J.; Azarnia, N.; Shin, D.M.; Cohen, R.B.; Jones, C.U.; Sur, R.; Raben, D.; Jassem, J.; et al. Radiotherapy plus cetuximab for squamous-cell carcinoma of the head and neck. N. Engl. J. Med. 2006, 354, 567–578. [Google Scholar] [CrossRef]
- Addeo, R.; Caraglia, M.; Cerbone, D.; Frega, N.; Cimmino, G.; Abbruzzese, A.; Del Prete, S. Panitumumab: A new frontier of target therapy for the treatment of metastatic colorectal cancer. Expert Rev. Anticancer Ther. 2010, 10, 499–505. [Google Scholar] [CrossRef] [PubMed]
- Ramos, T.C.; Figueredo, J.; Catala, M.; Gonzalez, S.; Selva, J.C.; Cruz, T.M.; Toledo, C.; Silva, S.; Pestano, Y.; Ramos, M.; et al. Treatment of high-grade glioma patients with the humanized anti-epidermal growth factor receptor (egfr) antibody h-r3: Report from a phase i/ii trial. Cancer Biol. Ther. 2006, 5, 375–379. [Google Scholar] [CrossRef] [PubMed]
- Crombet, T.; Osorio, M.; Cruz, T.; Roca, C.; del Castillo, R.; Mon, R.; Iznaga-Escobar, N.; Figueredo, R.; Koropatnick, J.; Renginfo, E.; et al. Use of the humanized anti-epidermal growth factor receptor monoclonal antibody h-r3 in combination with radiotherapy in the treatment of locally advanced head and neck cancer patients. J. Clin. Oncol. 2004, 22, 1646–1654. [Google Scholar] [CrossRef]
- Molinari, E.; De Quatrebarbes, J.; Andre, T.; Aractingi, S. Cetuximab-induced acne. Dermatology 2005, 211, 330–333. [Google Scholar] [CrossRef] [PubMed]
- Keating, G.M. Panitumumab: A review of its use in metastatic colorectal cancer. Drugs 2010, 70, 1059–1078. [Google Scholar] [CrossRef] [PubMed]
- Lacouture, M.E. Mechanisms of cutaneous toxicities to egfr inhibitors. Nat. Rev. Cancer 2006, 6, 803–812. [Google Scholar] [CrossRef]
- Gualberto, A.; Pollak, M. Emerging role of insulin-like growth factor receptor inhibitors in oncology: Early clinical trial results and future directions. Oncogene 2009, 28, 3009–3021. [Google Scholar] [CrossRef]
- Zha, J.; O’Brien, C.; Savage, H.; Huw, L.Y.; Zhong, F.; Berry, L.; Lewis Phillips, G.D.; Luis, E.; Cavet, G.; Hu, X.; et al. Molecular predictors of response to a humanized anti-insulin-like growth factor-i receptor monoclonal antibody in breast and colorectal cancer. Mol. Cancer Ther. 2009, 8, 2110–2121. [Google Scholar] [CrossRef]
- Garrido, G.; Tikhomirov, I.A.; Rabasa, A.; Yang, E.; Gracia, E.; Iznaga, N.; Fernandez, L.E.; Crombet, T.; Kerbel, R.S.; Perez, R. Bivalent binding by intermediate affinity of nimotuzumab: A contribution to explain antibody clinical profile. Cancer Biol. Ther. 2011, 11, 373–382. [Google Scholar] [CrossRef]
- De Roock, W.; De Vriendt, V.; Normanno, N.; Ciardiello, F.; Tejpar, S. Kras, braf, pik3ca, and pten mutations: Implications for targeted therapies in metastatic colorectal cancer. Lancet Oncol. 2011, 12, 594–603. [Google Scholar] [CrossRef]
- De Roock, W.; Jonker, D.J.; Di Nicolantonio, F.; Sartore-Bianchi, A.; Tu, D.; Siena, S.; Lamba, S.; Arena, S.; Frattini, M.; Piessevaux, H.; et al. Association of kras p.G13d mutation with outcome in patients with chemotherapy-refractory metastatic colorectal cancer treated with cetuximab. JAMA 2010, 304, 1812–1820. [Google Scholar] [CrossRef] [PubMed]
- Senter, P.D. Potent antibody drug conjugates for cancer therapy. Curr. Opin. Chem. Biol. 2009, 13, 235–244. [Google Scholar] [CrossRef] [PubMed]
- Lopus, M. Antibody-dm1 conjugates as cancer therapeutics. Cancer Lett. 2011, 307, 113–118. [Google Scholar] [CrossRef]
- McKertish, C.M.; Kayser, V. Advances and limitations of antibody drug conjugates for cancer. Biomedicines 2021, 9, 872. [Google Scholar] [CrossRef]
- Kovtun, Y.V.; Audette, C.A.; Mayo, M.F.; Jones, G.E.; Doherty, H.; Maloney, E.K.; Erickson, H.K.; Sun, X.; Wilhelm, S.; Ab, O.; et al. Antibody-maytansinoid conjugates designed to bypass multidrug resistance. Cancer Res. 2010, 70, 2528–2537. [Google Scholar] [CrossRef]
- Zhao, R.Y.; Wilhelm, S.D.; Audette, C.; Jones, G.; Leece, B.A.; Lazar, A.C.; Goldmacher, V.S.; Singh, R.; Kovtun, Y.; Widdison, W.C.; et al. Synthesis and evaluation of hydrophilic linkers for antibody-maytansinoid conjugates. J. Med. Chem. 2011, 54, 3606–3623. [Google Scholar] [CrossRef]
- Wright, B.D.; Lapi, S.E. Designing the magic bullet? The advancement of immuno-pet into clinical use. J. Nucl. Med. 2013, 54, 1171–1174. [Google Scholar] [CrossRef]
- Lovqvist, A.; Humm, J.L.; Sheikh, A.; Finn, R.D.; Koziorowski, J.; Ruan, S.; Pentlow, K.S.; Jungbluth, A.; Welt, S.; Lee, F.T.; et al. Pet imaging of (86)y-labeled anti-lewis y monoclonal antibodies in a nude mouse model: Comparison between (86)y and (111)in radiolabels. J. Nucl. Med. 2001, 42, 1281–1287. [Google Scholar]
- Hartimath, S.V.; El-Sayed, A.; Makhlouf, A.; Bernhard, W.; Gonzalez, C.; Hill, W.; Parada, A.C.; Barreto, K.; Geyer, C.R.; Fonge, H. Therapeutic potential of nimotuzumab pegylated-maytansine antibody drug conjugates against egfr positive xenograft. Oncotarget 2019, 10, 1031–1044. [Google Scholar] [CrossRef][Green Version]
- Chen, Y. Drug-to-antibody ratio (dar) by uv/vis spectroscopy. Methods Mol. Biol. 2013, 1045, 267–273. [Google Scholar] [CrossRef] [PubMed]
- Solomon, V.R.; Barreto, K.; Bernhard, W.; Alizadeh, E.; Causey, P.; Perron, R.; Gendron, D.; Alam, M.K.; Carr, A.; Geyer, C.R.; et al. Nimotuzumab site-specifically labeled with (89)zr and (225)ac using spytag/spycatcher for pet imaging and alpha particle radioimmunotherapy of epidermal growth factor receptor positive cancers. Cancers 2020, 12, 3449. [Google Scholar] [CrossRef] [PubMed]
- Cai, W.Q.; Zeng, L.S.; Wang, L.F.; Wang, Y.Y.; Cheng, J.T.; Zhang, Y.; Han, Z.W.; Zhou, Y.; Huang, S.L.; Wang, X.W.; et al. The latest battles between egfr monoclonal antibodies and resistant tumor cells. Front. Oncol. 2020, 10, 1249. [Google Scholar] [CrossRef] [PubMed]
- Hartimath, S.V.; Alizadeh, E.; Solomon, V.R.; Chekol, R.; Bernhard, W.; Hill, W.; Parada, A.C.; Barreto, K.; Geyer, C.R.; Fonge, H. Preclinical evaluation of (111)in-labeled pegylated maytansine nimotuzumab drug conjugates in egfr-positive cancer models. J. Nucl. Med. 2019, 60, 1103–1110. [Google Scholar] [CrossRef]
- Butryn, R.K.; Smith, K.S.; Adams, E.G.; Abraham, I.; Stackpole, J.; Sampson, K.E.; Bhuyan, B.K. V79 chinese hamster lung cells resistant to the bis-alkylator bizelesin are multidrug-resistant. Cancer Chemother. Pharmacol. 1994, 34, 44–50. [Google Scholar] [CrossRef]
- Lehne, G. P-glycoprotein as a drug target in the treatment of multidrug resistant cancer. Curr. Drug Targets 2000, 1, 85–99. [Google Scholar] [CrossRef]
- Chekol, R.; Solomon, V.R.; Alizadeh, E.; Bernhard, W.; Fisher, D.; Hill, W.; Barreto, K.; DeCoteau, J.F.; Parada, A.C.; Geyer, C.R.; et al. (89)zr-nimotuzumab for immunopet imaging of epidermal growth factor receptor i. Oncotarget 2018, 9, 17117–17132. [Google Scholar] [CrossRef]
- Achmad, A.; Hanaoka, H.; Yoshioka, H.; Yamamoto, S.; Tominaga, H.; Araki, T.; Ohshima, Y.; Oriuchi, N.; Endo, K. Predicting cetuximab accumulation in kras wild-type and kras mutant colorectal cancer using 64cu-labeled cetuximab positron emission tomography. Cancer Sci. 2012, 103, 600–605. [Google Scholar] [CrossRef]
- Thangaiyan, R.; Aljahdali, I.A.; Lent-Moore, K.Y.; Liao, J.; Ling, X.; Li, F. Kras mutation subtypes distinctly affect colorectal cancer cell sensitivity to fl118, a novel inhibitor of survivin, mcl-1, xiap, ciap2 and mdmx. Am. J. Transl. Res. 2021, 13, 7458–7474. [Google Scholar]
- Licitra, L.; Mesia, R.; Rivera, F.; Remenar, E.; Hitt, R.; Erfan, J.; Rottey, S.; Kawecki, A.; Zabolotnyy, D.; Benasso, M.; et al. Evaluation of egfr gene copy number as a predictive biomarker for the efficacy of cetuximab in combination with chemotherapy in the first-line treatment of recurrent and/or metastatic squamous cell carcinoma of the head and neck: Extreme study. Ann. Oncol. 2011, 22, 1078–1087. [Google Scholar] [CrossRef]
- De Roock, W.; Claes, B.; Bernasconi, D.; De Schutter, J.; Biesmans, B.; Fountzilas, G.; Kalogeras, K.T.; Kotoula, V.; Papamichael, D.; Laurent-Puig, P.; et al. Effects of kras, braf, nras, and pik3ca mutations on the efficacy of cetuximab plus chemotherapy in chemotherapy-refractory metastatic colorectal cancer: A retrospective consortium analysis. Lancet Oncol. 2010, 11, 753–762. [Google Scholar] [CrossRef]
- Van Cutsem, E.; Kohne, C.H.; Lang, I.; Folprecht, G.; Nowacki, M.P.; Cascinu, S.; Shchepotin, I.; Maurel, J.; Cunningham, D.; Tejpar, S.; et al. Cetuximab plus irinotecan, fluorouracil, and leucovorin as first-line treatment for metastatic colorectal cancer: Updated analysis of overall survival according to tumor kras and braf mutation status. J. Clin. Oncol. 2011, 29, 2011–2019. [Google Scholar] [CrossRef] [PubMed]









| Compound | AUC (% IA. h/mL) | V1 (mL) | CL × 10−2 (mL/h) | ||
|---|---|---|---|---|---|
| 89Zr-matuzumab | 3.8 ± 0.3 | 165 ± 14 | 5857.5 ± 20 | 4.1 ± 0.1 | 1.7 ± 0.5 |
Publisher’s Note: MDPI stays neutral with regard to jurisdictional claims in published maps and institutional affiliations. |
© 2022 by the authors. Licensee MDPI, Basel, Switzerland. This article is an open access article distributed under the terms and conditions of the Creative Commons Attribution (CC BY) license (https://creativecommons.org/licenses/by/4.0/).
Share and Cite
Tikum, A.F.; Nambisan, A.K.; Ketchemen, J.P.; Babeker, H.; Khan, M.N.; Torlakovic, E.E.; Fonge, H. Simultaneous Imaging and Therapy Using Epitope-Specific Anti-Epidermal Growth Factor Receptor (EGFR) Antibody Conjugates. Pharmaceutics 2022, 14, 1917. https://doi.org/10.3390/pharmaceutics14091917
Tikum AF, Nambisan AK, Ketchemen JP, Babeker H, Khan MN, Torlakovic EE, Fonge H. Simultaneous Imaging and Therapy Using Epitope-Specific Anti-Epidermal Growth Factor Receptor (EGFR) Antibody Conjugates. Pharmaceutics. 2022; 14(9):1917. https://doi.org/10.3390/pharmaceutics14091917
Chicago/Turabian StyleTikum, Anjong Florence, Anand Krishnan Nambisan, Jessica Pougoue Ketchemen, Hanan Babeker, Musharraf N. Khan, Emina E. Torlakovic, and Humphrey Fonge. 2022. "Simultaneous Imaging and Therapy Using Epitope-Specific Anti-Epidermal Growth Factor Receptor (EGFR) Antibody Conjugates" Pharmaceutics 14, no. 9: 1917. https://doi.org/10.3390/pharmaceutics14091917
APA StyleTikum, A. F., Nambisan, A. K., Ketchemen, J. P., Babeker, H., Khan, M. N., Torlakovic, E. E., & Fonge, H. (2022). Simultaneous Imaging and Therapy Using Epitope-Specific Anti-Epidermal Growth Factor Receptor (EGFR) Antibody Conjugates. Pharmaceutics, 14(9), 1917. https://doi.org/10.3390/pharmaceutics14091917

