Sertaconazole-Nitrate-Loaded Leciplex for Treating Keratomycosis: Optimization Using D-Optimal Design and In Vitro, Ex Vivo, and In Vivo Studies
Abstract
1. Introduction
2. Materials and Methods
2.1. Materials
2.2. Preparation of SZTN-Loaded LP
2.3. Characterization and Optimization of STZN-Loaded LP
2.3.1. Determination of Entrapment Efficiency (EE%)
2.3.2. Determination of Particle Size (PS), Polydispersity Index (PDI), and Zeta Potential (ZP)
2.3.3. In-Vitro Drug Release Study
2.4. Optimization of STZN-Loaded LP Formulations Using D-Optimal Designs
Selecting the Optimized STZN-LP Formula
2.5. Morphology of the Optimized Formula
2.6. Ex-Vivo Corneal Permeation Studies
2.7. Confocal Laser Scanning Microscopy Study (CLSM)
2.8. Differential Scanning Calorimetry
2.9. Effect of Storage on the Optimized LP Formula
2.10. Evaluation of Mucoadhesion Aspects of the Optimized Formula
2.11. In-Vivo Assessment of the Optimized LP Formula
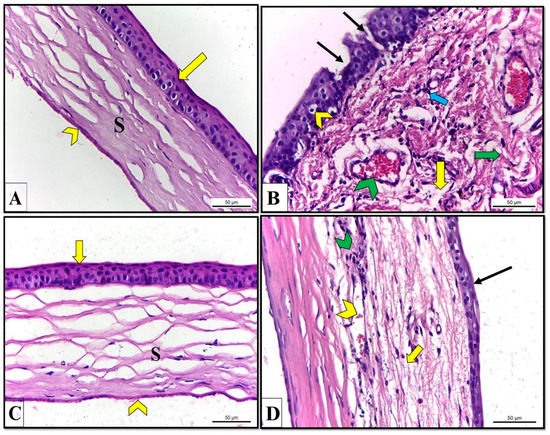
2.11.1. Histopathology Study
2.11.2. Assessment of Serum Inflammatory Biomarkers
2.12. Statistical Analysis of Data
3. Results and Discussions
3.1. Factorial Design Optimization
3.2. Effect of Formulation Variables on the EE%
3.3. Effect of Formulation Variables on the PS
3.4. Effect of Formulation Variables on the PDI
3.5. Effect of Formulation Variables on the ZP
3.6. Effect of Formulation Variables on the In Vitro Drug Release
3.7. Selection of the Optimized LP Formula
3.8. Morphology
3.9. Ex Vivo Corneal Permeation Studies
3.10. Confocal Laser Scanning Microscopy Study (CLSM)
3.11. Differential Scanning Calorimetry
3.12. Effect of Storage on the Optimized LP Formula
3.13. Evaluation of Mucoadhesion Aspects of Mucoadhesive Nanovesicles
3.14. In Vivo Assessment of the Optimized LP Formula
Assessment of Serum Inflammatory Biomarkers and BDG
4. Conclusions
Author Contributions
Funding
Institutional Review Board Statement
Informed Consent Statement
Conflicts of Interest
References
- Abe, M.; Kinjo, Y.; Ueno, K.; Takatsuka, S.; Nakamura, S.; Ogura, S.; Kimura, M.; Araoka, H.; Sadamoto, S.; Shinozaki, M. Differences in ocular complications between Candida albicans and non-albicans Candida infection analyzed by epidemiology and a mouse ocular candidiasis model. Front. Microbiol. 2018, 9, 2477. [Google Scholar] [CrossRef] [PubMed]
- Nielsen, S.E.; Nielsen, E.; Julian, H.O.; Lindegaard, J.; Højgaard, K.; Ivarsen, A.; Hjortdal, J.; Heegaard, S. Incidence and clinical characteristics of fungal keratitis in a D anish population from 2000 to 2013. Acta Ophthalmol. 2015, 93, 54–58. [Google Scholar] [CrossRef] [PubMed]
- Subrizi, A.; del Amo, E.M.; Korzhikov-Vlakh, V.; Tennikova, T.; Ruponen, M.; Urtti, A. Design principles of ocular drug delivery systems: Importance of drug payload, release rate, and material properties. Drug Discov. Today 2019, 24, 1446–1457. [Google Scholar] [CrossRef] [PubMed]
- Raj, N.; Vanathi, M.; Ahmed, N.H.; Gupta, N.; Lomi, N.; Tandon, R. Recent Perspectives in the Management of Fungal Keratitis. J. Fungi 2021, 7, 907. [Google Scholar] [CrossRef]
- Göttel, B.; Lucas, H.; Syrowatka, F.; Knolle, W.; Kuntsche, J.; Heinzelmann, J.; Viestenz, A.; Mäder, K. In situ gelling amphotericin B nanofibers: A new option for the treatment of keratomycosis. Front. Bioeng. Biotechnol. 2020, 8, 600384. [Google Scholar] [CrossRef]
- Khiev, D.; Mohamed, Z.A.; Vichare, R.; Paulson, R.; Bhatia, S.; Mohapatra, S.; Lobo, G.P.; Valapala, M.; Kerur, N.; Passaglia, C.L.; et al. Emerging nano-formulations and nanomedicines applications for ocular drug delivery. Nanomaterials 2021, 11, 173. [Google Scholar] [CrossRef]
- Janagam, D.R.; Wu, L.; Lowe, T.L. Nanoparticles for drug delivery to the anterior segment of the eye. Adv. Drug Deliv. Rev. 2017, 122, 31–64. [Google Scholar] [CrossRef]
- Ghafoorianfar, S.; Ghorani-Azam, A.; Mohajeri, S.A.; Farzin, D. Efficiency of nanoparticles for treatment of ocular infections: Systematic literature review. J. Drug Deliv. Sci. Technol. 2020, 57, 101765. [Google Scholar] [CrossRef]
- Younes, N.F.; Abdel-Halim, S.A.; Elassasy, A.I. Corneal targeted Sertaconazole nitrate loaded cubosomes: Preparation, statistical optimization, in vitro characterization, ex vivo permeation and in vivo studies. Int. J. Pharm. 2018, 553, 386–397. [Google Scholar] [CrossRef]
- Younes, N.F.; Abdel-Halim, S.A.; Elassasy, A.I. Solutol HS15 based binary mixed micelles with penetration enhancers for augmented corneal delivery of sertaconazole nitrate: Optimization, in vitro, ex vivo and in vivo characterization. Drug Deliv. 2018, 25, 1706–1717. [Google Scholar] [CrossRef]
- Tavakoli, N.; Taymouri, S.; Saeidi, A.; Akbari, V. Thermosensitive hydrogel containing sertaconazole loaded nanostructured lipid carriers for potential treatment of fungal keratitis. Pharm. Dev. Technol. 2019, 24, 891–901. [Google Scholar] [CrossRef] [PubMed]
- Kamel, R.; El-Deeb, N.M.; Abbas, H. Development of a potential anti-cancer pulmonary nanosystem consisted of chitosan-doped LeciPlex loaded with resveratrol using a machine learning method. J. Drug Deliv. Sci. Technol. 2022, 70, 103259. [Google Scholar] [CrossRef]
- Dave, R.S.; Goostrey, T.C.; Ziolkowska, M.; Czerny-Holownia, S.; Hoare, T.; Sheardown, H. Ocular drug delivery to the anterior segment using nanocarriers: A mucoadhesive/mucopenetrative perspective. J. Control. Release 2021, 336, 71–88. [Google Scholar] [CrossRef] [PubMed]
- Shah, S.M.; Ashtikar, M.; Jain, A.S.; Makhija, D.T.; Nikam, Y.; Gude, R.P.; Steiniger, F.; Jagtap, A.A.; Nagarsenker, M.S.; Fahr, A. LeciPlex, invasomes, and liposomes: A skin penetration study. Int. J. Pharm. 2015, 490, 391–403. [Google Scholar] [CrossRef]
- Abd-El-Azim, H.; Ramadan, A.; Nafee, N.; Khalafallah, N. Entrapment efficiency of pyridoxine hydrochloride in unilamellar liposomes: Experimental versus model-generated data. J. Liposome Res. 2018, 28, 112–116. [Google Scholar] [CrossRef]
- Abdellatif, M.M.; Elakkad, Y.E.; Elwakeel, A.A.; Allam, R.M.; Mousa, M.R. Formulation and characterization of propolis and tea tree oil nanoemulsion loaded with clindamycin hydrochloride for wound healing: In-vitro and in-vivo wound healing assessment. Saudi Pharm. J. 2021, 29, 1238–1249. [Google Scholar] [CrossRef]
- Onugwu, A.L.; Attama, A.A.; Nnamani, P.O.; Onugwu, S.O.; Onuigbo, E.B.; Khutoryanskiy, V.V. Development and optimization of solid lipid nanoparticles coated with chitosan and poly(2-ethyl-2-oxazoline) for ocular drug delivery of ciprofloxacin. J. Drug Deliv. Sci. Technol. 2022, 74, 103527. [Google Scholar] [CrossRef]
- Makky, A.; Mohamed, M.; Abdellatif, M. Liposomal gels as carriers for safer topical delivery of tazarotene. J. Res. Opin. 2016, 3, 82–90. [Google Scholar]
- Abdellatif, M.M.; Khalil, I.A.; Elakkad, Y.E.; Eliwa, H.A.; Samir, T.M.; Al-Mokaddem, A.K. Formulation and Characterization of Sertaconazole Nitrate Mucoadhesive Liposomes for Vaginal Candidiasis. Int. J. Nanomed. 2020, 15, 4079–4090. [Google Scholar] [CrossRef]
- Shah, S.; Bhanderi, B.; Soniwala, M.; Chavda, J. Lutein-Loaded Solid Lipid Nanoparticles for Ocular Delivery: Statistical Optimization and Ex Vivo Evaluation. J. Pharm. Innov. 2022, 17, 584–598. [Google Scholar] [CrossRef]
- Fangueiro, J.F.; Calpena, A.C.; Clares, B.; Andreani, T.; Egea, M.A.; Veiga, F.J.; Garcia, M.L.; Silva, A.M.; Souto, E.B. Biopharmaceutical evaluation of epigallocatechin gallate-loaded cationic lipid nanoparticles (EGCG-LNs): In vivo, in vitro and ex vivo studies. Int. J. Pharm. 2016, 502, 161–169. [Google Scholar] [CrossRef] [PubMed]
- Elsayed, I.; Sayed, S. Tailored nanostructured platforms for boosting transcorneal permeation: Box-Behnken statistical optimization, comprehensive in vitro, ex vivo and in vivo characterization. Int. J. Nanomed. 2017, 12, 7947–7962. [Google Scholar] [CrossRef] [PubMed]
- Hassan, H.A.F.M.; Ali, A.I.; ElDesawy, E.M.; ElShafeey, A.H. Pharmacokinetic and Pharmacodynamic Evaluation of Gemifloxacin Chitosan Nanoparticles as an Antibacterial Ocular Dosage Form. J. Pharm. Sci. 2022, 111, 1497–1508. [Google Scholar] [CrossRef] [PubMed]
- Teaima, M.H.; Eltabeeb, M.A.; El-Nabarawi, M.A.; Abdellatif, M.M. Utilization of propranolol hydrochloride mucoadhesive invasomes as a locally acting contraceptive: In-vitro, ex-vivo, and in-vivo evaluation. Drug Deliv. 2022, 29, 2549–2560. [Google Scholar] [CrossRef] [PubMed]
- Mohsen, A.M. Cationic Polymeric Nanoparticles for Improved Ocular Delivery and Antimycotic Activity of Terconazole. J. Pharm. Sci. 2022, 111, 458–468. [Google Scholar] [CrossRef]
- Mohammed, M.I.; Makky, A.M.A.; Teaima, M.H.M.; Abdellatif, M.M.; Hamzawy, M.A.; Khalil, M.A.F. Transdermal delivery of vancomycin hydrochloride using combination of nano-ethosomes and iontophoresis: In vitro and in vivo study. Drug Deliv. 2016, 23, 1558–1564. [Google Scholar] [CrossRef]
- Montgomery, M.L.; Fuller, K.K. Experimental Models for Fungal Keratitis: An Overview of Principles and Protocols. Cells 2020, 9, 1713. [Google Scholar] [CrossRef]
- El-Nabarawi, M.A.; Abd El Rehem, R.T.; Teaima, M.; Abary, M.; El-Mofty, H.M.; Khafagy, M.M.; Lotfy, N.M.; Salah, M. Natamycin niosomes as a promising ocular nanosized delivery system with ketorolac tromethamine for dual effects for treatment of candida rabbit keratitis; in vitro/in vivo and histopathological studies. Drug Dev. Ind. Pharm. 2019, 45, 922–936. [Google Scholar] [CrossRef]
- Nasr, M.; Teiama, M.; Ismail, A.; Ebada, A.; Saber, S. In vitro and in vivo evaluation of cubosomal nanoparticles as an ocular delivery system for fluconazole in treatment of keratomycosis. Drug Deliv. Transl. Res. 2020, 10, 1841–1852. [Google Scholar] [CrossRef]
- Carbone, C.; Tomasello, B.; Ruozi, B.; Renis, M.; Puglisi, G. Preparation and optimization of PIT solid lipid nanoparticles via statistical factorial design. Eur. J. Med. Chem. 2012, 49, 110–117. [Google Scholar] [CrossRef]
- Albash, R.; Abdellatif, M.M.; Hassan, M.; Badawi, N.M. Tailoring Terpesomes and Leciplex for the Effective Ocular Conveyance of Moxifloxacin Hydrochloride (Comparative Assessment): In-vitro, Ex-vivo, and In-vivo Evaluation. Int. J. Nanomed. 2021, 16, 5247–5263. [Google Scholar] [CrossRef] [PubMed]
- Esposito, E.; Sebben, S.; Cortesi, R.; Menegatti, E.; Nastruzzi, C. Preparation and characterization of cationic microspheres for gene delivery. Int. J. Pharm. 1999, 189, 29–41. [Google Scholar] [CrossRef]
- Bachu, R.D.; Chowdhury, P.; Al-Saedi, Z.H.F.; Karla, P.K.; Boddu, S.H.S. Ocular Drug Delivery Barriers—Role of Nanocarriers in the Treatment of Anterior Segment Ocular Diseases. Pharmaceutics 2018, 10, 28. [Google Scholar] [CrossRef]
- Hassan, D.H.; Abdelmonem, R.; Abdellatif, M.M. Formulation and Characterization of Carvedilol Leciplex for Glaucoma Treatment: In-Vitro, Ex-Vivo and In-Vivo Study. Pharmaceutics 2018, 10, 197. [Google Scholar] [CrossRef]
- Varghese, S.E.; Fariya, M.K.; Rajawat, G.S.; Steiniger, F.; Fahr, A.; Nagarsenker, M.S. Lecithin and PLGA-based self-assembled nanocomposite, Lecithmer: Preparation, characterization, and pharmacokinetic/pharmacodynamic evaluation. Drug Deliv. Transl. Res. 2016, 6, 342–353. [Google Scholar] [CrossRef] [PubMed]
- Ahmad, I.; Pandit, J.; Sultana, Y.; Mishra, A.K.; Hazari, P.P.; Aqil, M. Optimization by design of etoposide loaded solid lipid nanoparticles for ocular delivery: Characterization, pharmacokinetic and deposition study. Mater. Sci. Eng.: C 2019, 100, 959–970. [Google Scholar] [CrossRef] [PubMed]
- Salama, A.; Badran, M.; Elmowafy, M.; Soliman, G.M. Spironolactone-Loaded LeciPlexes as Potential Topical Delivery Systems for Female Acne: In Vitro Appraisal and Ex Vivo Skin Permeability Studies. Pharmaceutics 2020, 12, 25. [Google Scholar] [CrossRef]
- Tayel, S.A.; El-Nabarawi, M.A.; Tadros, M.I.; Abd-Elsalam, W.H. Positively Charged Polymeric Nanoparticle Reservoirs of Terbinafine Hydrochloride: Preclinical Implications for Controlled Drug Delivery in the Aqueous Humor of Rabbits. AAPS PharmSciTech 2013, 14, 782–793. [Google Scholar] [CrossRef]
- Moustafa, M.A.; Elnaggar, Y.S.R.; El-Refaie, W.M.; Abdallah, O.Y. Hyalugel-integrated liposomes as a novel ocular nanosized delivery system of fluconazole with promising prolonged effect. Int. J. Pharm. 2017, 534, 14–24. [Google Scholar] [CrossRef]
- Wang, J.; Zhao, F.; Liu, R.; Chen, J.; Zhang, Q.; Lao, R.; Wang, Z.; Jin, X.; Liu, C. Novel cationic lipid nanoparticles as an ophthalmic delivery system for multicomponent drugs: Development, characterization, in vitro permeation, in vivo pharmacokinetic, and molecular dynamics studies. Int. J. Nanomed. 2017, 12, 8115–8127. [Google Scholar] [CrossRef]
- Calienni, M.N.; Febres-Molina, C.; Llovera, R.E.; Zevallos-Delgado, C.; Tuttolomondo, M.E.; Paolino, D.; Fresta, M.; Barazorda-Ccahuana, H.L.; Gómez, B.; Alonso, S.D.V.; et al. Nanoformulation for potential topical delivery of Vismodegib in skin cancer treatment. Int. J. Pharm. 2019, 565, 108–122. [Google Scholar] [CrossRef] [PubMed]
- Lin, Y.-J.; Shatkin, J.A.; Kong, F. Evaluating mucoadhesion properties of three types of nanocellulose in the gastrointestinal tract in vitro and ex vivo. Carbohydr. Polym. 2019, 210, 157–166. [Google Scholar] [CrossRef] [PubMed]
- Yermak, I.M.; Davydova, V.N.; Kravchenko, A.O.; Chistyulin, D.A.; Pimenova, E.A.; Glazunov, V.P. Mucoadhesive properties of sulphated polysaccharides carrageenans from red seaweed families Gigartinaceae and Tichocarpaceae. Int. J. Biol. Macromol. 2020, 142, 634–642. [Google Scholar] [CrossRef] [PubMed]
- Fabiano, A.; Chetoni, P.; Zambito, Y. Mucoadhesive nano-sized supramolecular assemblies for improved pre-corneal drug residence time. Drug Dev. Ind. Pharm. 2015, 41, 2069–2076. [Google Scholar] [CrossRef]
- Weng, Y.; Liu, J.; Jin, S.; Guo, W.; Liang, X.; Hu, Z. Nanotechnology-based strategies for treatment of ocular disease. Acta Pharm. Sin. B 2017, 7, 281–291. [Google Scholar] [CrossRef]
- Puglia, C.; Offerta, A.; Carbone, C.; Bonina, F.; Pignatello, R.; Puglisi, G. Lipid nanocarriers (LNC) and their applications in ocular drug delivery. Curr. Med. Chem. 2015, 22, 1589–1602. [Google Scholar] [CrossRef]
- Yetisgin, A.A.; Cetinel, S.; Zuvin, M.; Kosar, A.; Kutlu, O. Therapeutic Nanoparticles and Their Targeted Delivery Applications. Molecules 2020, 25, 2193. [Google Scholar] [CrossRef]










| Factors (Independent Variables) for LP Design | Levels | |
|---|---|---|
| Low | High | |
| X1: lipid molar ratio | 1 | 5 |
| X2: SAA molar ratio | 0 | 1 |
| X3: SAA type | DDAB | CTAB |
| Responses (dependent variables) | Constraints | |
| Y1: EE (%) | Maximize | |
| Y2: PS (nm) | Minimize | |
| Y3: PDI | Minimize | |
| Y4: ZP (mV) | Maximize | |
| Y5: Kp (cm/h) | Maximize | |
| Formulation Code | Lipid Molar Ratio (X1) | SAA Molar Ratio (X2) | SAA Type (X3) | EE % (Y1) | PS (nm) (Y2) | PDI (Y3) | ZP (mV) (Y4) | Kp (cm/h) (Y5) |
|---|---|---|---|---|---|---|---|---|
| F1 | 3 | 0 | CTAB | 90.52 ± 0.89 | 80.70 ± 0.21 | 0.248 ± 0.001 | −32.5 ± 0.43 | 0.0228 ± 0.0001 |
| F2 | 1 | 1 | DDAB | 68.50 ± 1.2 | 24.18 ± 0.11 | 0.235 ± 0.004 | 34.50 ± 0.69 | 0.04934 ± 0.0004 |
| F3 | 5 | 1 | DDAB | 88.24 ± 0.92 | 59.11 ± 0.18 | 0.289 ± 0.009 | 6.49 ± 0.13 | 0.02261 ± 0.0002 |
| F4 | 5 | 0 | DDAB | 96.02 ± 0.43 | 106.0 ± 0.34 | 0.226 ± 0.003 | −38.70 ± 1.1 | 0.01991 ± 0.0003 |
| F5 | 3 | 1 | DDAB | 81.21 ± 0.73 | 46.02 ± 0.17 | 0.213 ± 0.001 | 24.82 ± 0.21 | 0.04245 ± 0.0003 |
| F6 | 1 | 0.5 | CTAB | 85.92 ± 1.67 | 40.10 ± 0.08 | 0.274 ± 0.005 | 32.60 ± 0.13 | 0.03644 ± 0.0001 |
| F7 | 5 | 1 | CTAB | 92.69 ± 1.1 | 67.80 ± 0.29 | 0.238 ± 0.009 | −28.13 ± 0.25 | 0.02577 ± 0.0003 |
| F8 | 3 | 0.25 | DDAB | 94.71 ± 1.43 | 54.22 ± 0.11 | 0.288 ± 0.001 | −29.90 ± 0.57 | 0.030584 ± 0.0004 |
| F9 | 5 | 1 | DDAB | 87.22 ± 0.69 | 58.22 ± 0.32 | 0.289 ± 0.002 | 6.98 ± 0.11 | 0.02261 ± 0.0001 |
| F10 | 5 | 1 | CTAB | 92.64 ± 1.1 | 82.59 ± 0.29 | 0.252 ± 0.006 | 27.81 ± 0.42 | 0.02577 ± 0.0003 |
| F11 | 1 | 0.5 | DDAB | 84.60 ± 0.81 | 49.00 ± 0.23 | 0.266 ± 0.003 | 9.69 ± 0.12 | 0.02385 ± 0.0005 |
| F12 | 1 | 1 | CTAB | 84.87 ± 1.71 | 39.70 ± 1.35 | 0.242 ± 0.006 | 54.60 ± 0.24 | 0.05770 ± 0.0001 |
| F13 | 5 | 0 | DDAB | 95.89 ± 0.53 | 104.8 ± 0.41 | 0.226 ± 0.001 | −38.10 ± 0.17 | 0.01992 ± 0.0002 |
| F14 | 1 | 1 | CTAB | 83.12 ± 0.78 | 42.38 ± 0.34 | 0.252 ± 0.006 | 53.19 ± 0.18 | 0.05679 ± 0.0001 |
| F15 | 1 | 0 | DDAB | 88.48 ± 0.98 | 61.00 ± 0.19 | 0.224 ± 0.004 | −31.00 ± 0.24 | 0.02644 ± 0.0001 |
| F16 | 1 | 0 | CTAB | 89.92 ± 0.71 | 63.56 ± 0.15 | 0.212 ± 0.008 | −31.80 ± 0.09 | 0.025947 ± 0.0006 |
| F17 | 5 | 0 | CTAB | 96.65 ± 0.80 | 106.84 ± 0.19 | 0.229 ± 0.002 | −38.50 ± 0.62 | 0.01991 ± 0.0003 |
| F18 | 5 | 0 | CTAB | 96.18 ± 0.59 | 106.11 ± 0.27 | 0.226 ± 0.001 | −39.20 ± 0.41 | 0.01989 ± 0.0001 |
| F19 | 3 | 0.5 | CTAB | 91.36 ± 1.3 | 56.26 ± 0.24 | 0.294 ± 0.003 | −32.20 ± 0.31 | 0.02957 ± 0.0003 |
| Source | EE (%) | PS (nm) | PDI | ZP (mV) | Kp (cm/h) |
|---|---|---|---|---|---|
| p-value | <0.0001 | <0.0001 | 0.0624 | <0.0001 | <0.0001 |
| Model | 2FI | Quadratic | - | Linear | Quadratic |
| X1 = A = Lipid molar ratio | <0.0001 | <0.0001 | 0.1184 | 0.0035 | <0.0001 |
| X2 = B = SAA molar ratio | <0.0001 | <0.0001 | 0.0727 | <0.0001 | <0.0001 |
| X3 = C = SAA type | 0.0084 | <0.0001 | 0.9096 | 0.7253 | 0.0899 |
| Adequate precision R2 | 15.789 0.9040 | 17.652 0.9659 | 5.506 0.6944 | 11.559 0.7939 | 18.805 0.9663 |
| Adjusted R2 (LP) | 0.8559 | 0.9387 | 0.4499 | 0.7527 | 0.9393 |
| Predicted R2 (LP) | 0.7226 | 0.8641 | −0.2181 | 0.6706 | 0.8660 |
| Significant factors (LP) | X1, X2, X3 | X1, X2, X3 | - | X1, X2 | X1, X2 |
| Permeability Parameters | LP | STZN Aqueous Dispersion |
|---|---|---|
| The total amount of STZN permeated per unit area after 8 h (μg/cm2) | 536.65 ± 1.95 | 247.38 ± 1.75 |
| Apparent permeability coefficient (Kp) (cm/h) | 0.0427 ± 0.0044 | 0.0153 ± 0.0076 |
| Corneal deposition (μg/cm2) | 348.859 ± 1.8 | 27.93 ± 0.53 |
| GP I (Negative Control) | GP II (Positive Control) | GP III | GP IV | |
|---|---|---|---|---|
| hs-CRP | 62.8 ± 2.1 | 227.8 ± 1.57 | 63.7 ± 0.61 | 112.7 ± 1.96 |
| IL-23 | 7.8 ± 0.91 | 37.3 ± 1.18 | 6.4 ± 0.59 | 15.3 ± 1.09 |
| BDG | 3.4 ± 0.88 | 15.6 ± 1.2 | 3.3 ± 0.41 | 6.2 ± 0.72 |
Publisher’s Note: MDPI stays neutral with regard to jurisdictional claims in published maps and institutional affiliations. |
© 2022 by the authors. Licensee MDPI, Basel, Switzerland. This article is an open access article distributed under the terms and conditions of the Creative Commons Attribution (CC BY) license (https://creativecommons.org/licenses/by/4.0/).
Share and Cite
Abdellatif, M.M.; Josef, M.; El-Nabarawi, M.A.; Teaima, M. Sertaconazole-Nitrate-Loaded Leciplex for Treating Keratomycosis: Optimization Using D-Optimal Design and In Vitro, Ex Vivo, and In Vivo Studies. Pharmaceutics 2022, 14, 2215. https://doi.org/10.3390/pharmaceutics14102215
Abdellatif MM, Josef M, El-Nabarawi MA, Teaima M. Sertaconazole-Nitrate-Loaded Leciplex for Treating Keratomycosis: Optimization Using D-Optimal Design and In Vitro, Ex Vivo, and In Vivo Studies. Pharmaceutics. 2022; 14(10):2215. https://doi.org/10.3390/pharmaceutics14102215
Chicago/Turabian StyleAbdellatif, Menna M., Mina Josef, Mohamed A. El-Nabarawi, and Mahmoud Teaima. 2022. "Sertaconazole-Nitrate-Loaded Leciplex for Treating Keratomycosis: Optimization Using D-Optimal Design and In Vitro, Ex Vivo, and In Vivo Studies" Pharmaceutics 14, no. 10: 2215. https://doi.org/10.3390/pharmaceutics14102215
APA StyleAbdellatif, M. M., Josef, M., El-Nabarawi, M. A., & Teaima, M. (2022). Sertaconazole-Nitrate-Loaded Leciplex for Treating Keratomycosis: Optimization Using D-Optimal Design and In Vitro, Ex Vivo, and In Vivo Studies. Pharmaceutics, 14(10), 2215. https://doi.org/10.3390/pharmaceutics14102215

