Development of Biocompatible Ciprofloxacin–Gold Nanoparticle Coated Sutures for Surgical Site Infections
Abstract
1. Introduction
2. Materials
3. Methods
3.1. Preparation and Evaluation of Ciprofloxacin–Gold Nanoparticles
3.1.1. Formulation of Gold Nanoparticles (G-NPs)
3.1.2. Polyvinyl Pyrrolidone (PVP)-Capped G-NPs (PG-NPs)
3.1.3. Ciprofloxacin-Loaded PVP Capped Gold Nanoparticles (CPG-NPs)
3.1.4. UV-Visible and FT-IR Analysis
3.1.5. Particle Size, Polydispersity Index (PDI), and Zeta Potential
3.2. Preparation and Evaluation of CPG-NP-Coated Sutures
3.2.1. Surface Morphology
3.2.2. In Vitro Release Studies
3.2.3. Determination of Tensile Strength (TS) and Elongation at Break (E/B)
3.2.4. Stability Studies
3.2.5. Antibacterial Activity
3.2.6. Hemolysis
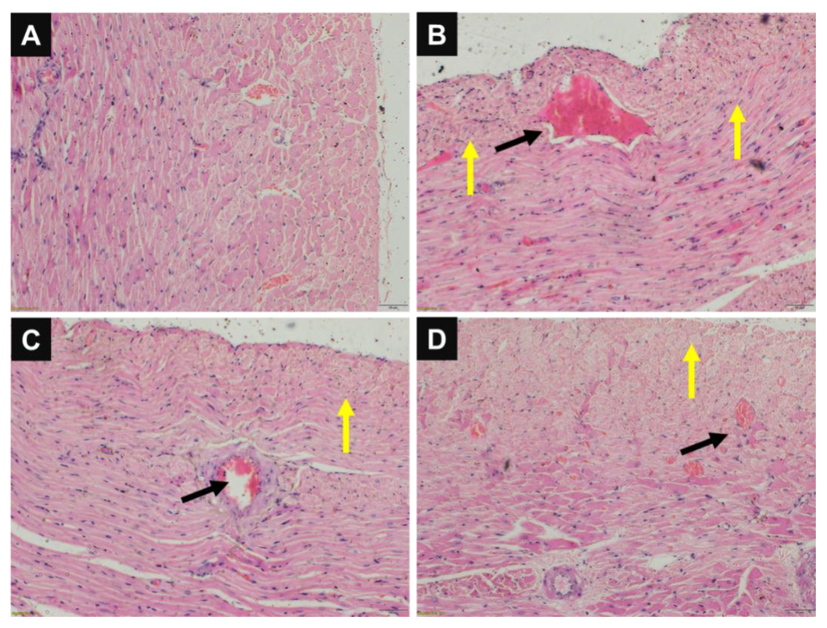
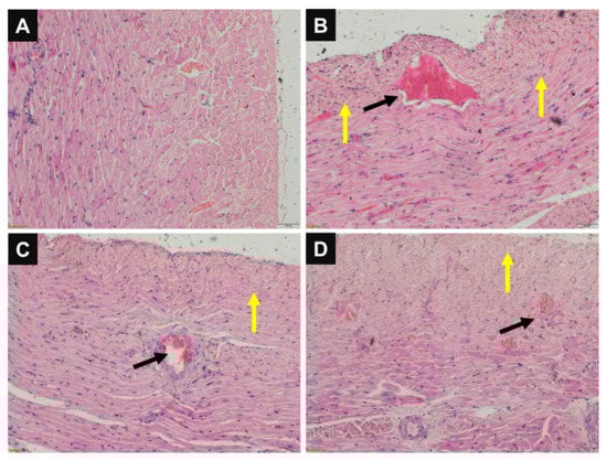
3.2.7. Histopathology
3.2.8. Statistical Data Analysis
4. Results and Discussion
4.1. Characterization of CPG-NPs
4.2. Characterization of CPG-NP-Coated Suture
4.2.1. Surface Morphology
4.2.2. In Vitro Release Study
4.2.3. Measurement of Mechanical Properties (TS, E/B)
4.2.4. Stability Studies
4.2.5. Antibacterial Activity
4.2.6. Hemolysis
4.2.7. Histopathology
5. Conclusions
Supplementary Materials
Author Contributions
Funding
Institutional Review Board Statement
Informed Consent Statement
Data Availability Statement
Acknowledgments
Conflicts of Interest
References
- Devassy, G.; Ramachandran, R.; Jeena, K.; Junnuthula, V.R.; Gopinatha, V.K.; Manju, C.; Manohar, M.; Nair, S.V.; Raghavan, S.C.; Koyakutty, M. Simultaneous release of two drugs from polymer nano-implant inhibits recurrence in glioblastoma spheroids. Precis. Nanomed. 2019, 2, 218–229. [Google Scholar] [CrossRef]
- Ramachandran, R.; Junnuthula, V.R.; Gowd, G.S.; Ashokan, A.; Thomas, J.; Peethambaran, R.; Thomas, A.; Unni, A.K.K.; Panikar, D.; Nair, S.V.; et al. Theranostic 3-Dimensional nano brain-implant for prolonged and localized treatment of recurrent glioma. Sci. Rep. 2017, 7, srep43271. [Google Scholar] [CrossRef] [PubMed]
- Schmitt, E.; Epstein, M. Method of Attaching Surgical Needles to Multifilament Polyglycolic Acid Absorbable Sutures. US Patent 3,736,646, 5 June 1973. [Google Scholar]
- Martin-Bates, A. Tying all together. Trauma 2008, 10, 103–108. [Google Scholar] [CrossRef]
- Chen, C.K.; Lee, M.C.; Lin, Z.I.; Lee, C.A.; Tung, Y.C.; Lou, C.W.; Law, W.C.; Chen, N.T.; Lin, K.Y.A.; Lin, J.H. Intensifying the Antimicrobial Activity of Poly[2-(tert-butylamino)ethyl Methacrylate]/Polylactide Composites by Tailoring Their Chemical and Physical Structures. Mol. Pharm. 2019, 16, 709–723. [Google Scholar] [CrossRef]
- Hoque, J.; Prakash, R.G.; Paramanandham, K.; Shome, B.R.; Haldar, J. Biocompatible injectable hydrogel with potent wound healing and antibacterial properties. Mol. Pharm. 2017, 14, 1218–1230. [Google Scholar] [CrossRef] [PubMed]
- Lin, Z.I.; Tsai, H.L.; Liu, G.L.; Lu, X.H.; Cheng, P.W.; Chi, P.L.; Wang, C.K.; Tsai, T.H.; Wang, C.C.; Yang, J.H.C.; et al. Preparation of CO2-Based Cationic Polycarbonate/Polyacrylonitrile Nanofibers with an Optimal Fibrous Microstructure for Antibacterial Applications. Macromol. Biosci. 2022, 2200178. [Google Scholar] [CrossRef] [PubMed]
- Inglis, B. a History of Medicine. Lancet 1965, 286, 952. [Google Scholar] [CrossRef]
- Mellinghoff, S.C.; Vehreschild, J.J.; Liss, B.J.; Cornely, O.A. Epidemiology of surgical site infections with Staphylococcus aureus in Europe: Protocol for a retrospective, multicenter study. JMIR Res. Protoc. 2018, 7, e63. [Google Scholar] [CrossRef] [PubMed]
- Aliyu, S.; Furuya, Y.; Larson, E. Risk of subsequent health care–associated infection among patients with a bloodstream infection present on hospital admission. Am. J. Infect. Control 2019, 47, 196–200. [Google Scholar] [CrossRef]
- Elmously, A.; Gray, K.D.; Michelassi, F.; Afaneh, C.; Kluger, M.D.; Salemi, A.; Watkins, A.C.; Pomp, A. Operating Room Attire Policy and Healthcare Cost: Favoring Evidence over Action for Prevention of Surgical Site Infections. J. Am. Coll. Surg. 2019, 228, 98–106. [Google Scholar] [CrossRef]
- Hsu, H.E.; Kawai, A.; Wang, R.; Jentzsch, M.S.; Rhee, C.; Horan, K.; Jin, R.; Goldmann, N.; Lee, G.M. The Impact of the Medicaid Healthcare-Associated Condition Program on Mediastinitis Following Coronary Artery Bypass Graft. Infect. Control Hosp. Epidemiol. 2018, 39, 694–700. [Google Scholar] [CrossRef] [PubMed]
- Hranjec, T.; Swenson, B.R.; Sawyer, R.G. Surgical site infection prevention: How we do it. Surg. Infect. 2010, 11, 289–294. [Google Scholar] [CrossRef] [PubMed]
- Mingmalairak, C. Antimicrobial sutures: New strategy in surgical site infections. Sci. Against Microb. Pathog. Commun. Curr. Res. Technol. Adv. 2011, 313–323. Available online: https://www.researchgate.net/profile/Chatchai-Mingmalairak/publication/267942263_Antimicrobial_Sutures_New_Strategy_in_Surgical_Site_Infections/links/57618e8c08ae5c6f86da7cdd/Antimicrobial-Sutures-New-Strategy-in-Surgical-Site-Infections.pdf (accessed on 17 August 2022).
- Okoro, H.K.; Ige, J.O.; Iyiola, O.A.; Pandey, S.; Lawal, I.A.; Zvinowanda, C.; Ngila, C.J. Comprehensive reviews on adverse health effects of human exposure to endocrine-disrupting chemicals. Fresenius Environ. Bull. 2017, 26, 4623–4636. [Google Scholar]
- Pycke, B.F.G.; Geer, L.A.; Dalloul, M.; Abulafia, O.; Jenck, A.M.; Halden, R.U. Human fetal exposure to triclosan and triclocarban in an urban population from Brooklyn, New York. Environ. Sci. Technol. 2014, 48, 8831–8838. [Google Scholar] [CrossRef]
- Dennis, C.; Sethu, S.; Nayak, S.; Loganathan, M.; Morsi, Y.; Manivasagam, G. Suture materials—Current and emerging trends. J. Biomed. Mater. Res.—Part A 2016, 104, 1544–1559. [Google Scholar] [CrossRef] [PubMed]
- Brooks, B.D.; Brooks, A.E.; Grainger, D.W. Antimicrobial medical devices in preclinical development and clinical use. In Biomaterials Associated Infection: Immunological Aspects and Antimicrobial Strategies; Springer: New York, NY, USA, 2013; Volume 9781461410, pp. 307–354. [Google Scholar]
- Bhusal, P.; Harrison, J.; Sharma, M.; Jones, D.S.; Hill, A.G.; Svirskis, D. Controlled release drug delivery systems to improve post-operative pharmacotherapy. Drug Deliv. Transl. Res. 2016, 6, 441–451. [Google Scholar] [CrossRef]
- Bernhardt, M. Suture materials. Skinmed 2016, 14, 125. [Google Scholar] [CrossRef] [PubMed]
- Chu, C.C. Classification and General Characteristics of Suture Materials. In Wound Closure Biomaterials and Devices; CRC Press: London, UK, 1997; pp. 39–63. [Google Scholar] [CrossRef]
- Bawa, R.; Audette, G.F.; Rubinstein, I. Handbook of Clinical Nanomedicine: Nanoparticles, Imaging, Therapy and Clinical Applications; Jenny Stanford Publishing: London, UK, 2016; Volume 1, pp. 1–1662. [Google Scholar]
- Marcato, P.D.; Durán, N. New aspects of nanopharmaceutical delivery systems. J. Nanosci. Nanotechnol. 2008, 8, 2216–2229. [Google Scholar] [CrossRef] [PubMed]
- Su, H.; Wang, Y.; Gu, Y.; Bowman, L.; Zhao, J.; Ding, M. Potential applications and human biosafety of nanomaterials used in nanomedicine. J. Appl. Toxicol. 2018, 38, 3–24. [Google Scholar] [CrossRef] [PubMed]
- Sarkar, A.; Junnuthula, V.; Dyawanapelly, S. Ocular therapeutics and molecular delivery strategies for neovascular age-related macular degeneration (Namd). Int. J. Mol. Sci. 2021, 22, 10594. [Google Scholar] [CrossRef] [PubMed]
- Sarkar, A.; Sodha, S.J.; Junnuthula, V.; Kolimi, P.; Dyawanapelly, S. Novel and investigational therapies for wet and dry age-related macular degeneration. Drug Discov. Today 2022, 27, 2322–2332. [Google Scholar] [CrossRef]
- Pailla, S.R.; Talluri, S.; Rangaraj, N.; Ramavath, R.; Challa, V.S.; Doijad, N.; Sampathi, S. Intranasal Zotepine Nanosuspension: Intended for improved brain distribution in rats. DARU J. Pharm. Sci. 2019, 27, 541–556. [Google Scholar] [CrossRef] [PubMed]
- Jain, A.S.; Pawar, P.S.; Sarkar, A.; Junnuthula, V.; Dyawanapelly, S. Bionanofactories for green synthesis of silver nanoparticles: Toward antimicrobial applications. Int. J. Mol. Sci. 2021, 22, 11993. [Google Scholar] [CrossRef] [PubMed]
- Gold, K.; Slay, B.; Knackstedt, M.; Gaharwar, A.K. Antimicrobial Activity of Metal and Metal-Oxide Based Nanoparticles. Adv. Ther. 2018, 1, 1700033. [Google Scholar] [CrossRef]
- Dykman, L.; Khlebtsov, N. Gold nanoparticles in biomedical applications: Recent advances and perspectives. Chem. Soc. Rev. 2012, 41, 2256–2282. [Google Scholar] [CrossRef]
- Zhang, X. Gold Nanoparticles: Recent Advances in the Biomedical Applications. Cell Biochem. Biophys. 2015, 72, 771–775. [Google Scholar] [CrossRef]
- Lohse, S.E.; Eller, J.R.; Sivapalan, S.T.; Plews, M.R.; Murphy, C.J. A simple millifluidic benchtop reactor system for the high-throughput synthesis and functionalization of gold nanoparticles with different sizes and shapes. ACS Nano 2013, 7, 4135–4150. [Google Scholar] [CrossRef]
- Ridolfo, R.; Tavakoli, S.; Junnuthula, V.; Williams, D.S.; Urtti, A.; Van Hest, J.C.M. Exploring the Impact of Morphology on the Properties of Biodegradable Nanoparticles and Their Diffusion in Complex Biological Medium. Biomacromolecules 2021, 22, 126–133. [Google Scholar] [CrossRef]
- Rastogi, L.; Kora, A.J.; Arunachalam, J. Highly stable, protein capped gold nanoparticles as effective drug delivery vehicles for amino-glycosidic antibiotics. Mater. Sci. Eng. C 2012, 32, 1571–1577. [Google Scholar] [CrossRef]
- Liong, M.; Lu, J.; Kovochich, M.; Xia, T.; Ruehm, S.G.; Nel, A.E.; Tamanoi, F.; Zink, J.I. Multifunctional inorganic nanoparticles for imaging, targeting, and drug delivery. ACS Nano 2008, 2, 889–896. [Google Scholar] [CrossRef]
- Pailla, S.; Sampathi, S.; Junnuthula, V.; Maddukuri, S.; Dodoala, S.; Dyawanapelly, S. Brain-Targeted Intranasal Delivery of Zotepine Microemulsion: Pharmacokinetics and Pharmacodynamics. Pharmaceutics 2022, 14, 978. [Google Scholar] [CrossRef] [PubMed]
- Zhu, G.; Lin, Z.H.; Jing, Q.; Bai, P.; Pan, C.; Yang, Y.; Zhou, Y.; Wang, Z.L. Toward large-scale energy harvesting by a nanoparticle-enhanced triboelectric nanogenerator. Nano Lett. 2013, 13, 847–853. [Google Scholar] [CrossRef] [PubMed]
- Khairnar, S.V.; Pagare, P.; Thakre, A.; Nambiar, A.R.; Junnuthula, V.; Abraham, M.C.; Kolimi, P.; Nyavanandi, D.; Dyawanapelly, S. Review on the Scale-Up Methods for the Preparation of Solid Lipid Nanoparticles. Pharmaceutics 2022, 14, 1886. [Google Scholar] [CrossRef]
- Xia, Q.; Li, H.; Xiao, K. Factors Affecting the Pharmacokinetics, Biodistribution and Toxicity of Gold Nanoparticles in Drug Delivery. Curr. Drug Metab. 2016, 17, 849–861. [Google Scholar] [CrossRef] [PubMed]
- Li, X.; Robinson, S.M.; Gupta, A.; Saha, K.; Jiang, Z.; Moyano, D.F.; Sahar, A.; Riley, M.A.; Rotello, V.M. Functional gold nanoparticles as potent antimicrobial agents against multi-drug-resistant bacteria. ACS Nano 2014, 8, 10682–10686. [Google Scholar] [CrossRef]
- Albanese, A.; Tang, P.S.; Chan, W.C.W. The effect of nanoparticle size, shape, and surface chemistry on biological systems. Annu. Rev. Biomed. Eng. 2012, 14, 1–16. [Google Scholar] [CrossRef]
- Hajipour, M.J.; Fromm, K.M.; Ashkarran, A.A.; de Aberasturi, D.J.; de Larramendi, I.R.; Rojo, T.; Serpooshan, V.; Parak, W.J.; Mahmoudi, M. Antibacterial properties of nanoparticles. Trends Biotechnol. 2012, 30, 499–511. [Google Scholar] [CrossRef]
- Allahverdiyev, A.M.; Kon, K.V.; Abamor, E.S.; Bagirova, M.; Rafailovich, M. Coping with antibiotic resistance: Combining nanoparticles with antibiotics and other antimicrobial agents. Expert Rev. Anti. Infect. Ther. 2011, 9, 1035–1052. [Google Scholar] [CrossRef]
- Ramalingam, V.; Varunkumar, K.; Ravikumar, V.; Rajaram, R. Target delivery of doxorubicin tethered with PVP stabilized gold nanoparticles for effective treatment of lung cancer. Sci. Rep. 2018, 8, 3815. [Google Scholar] [CrossRef]
- Gangwar, R.K.; Dhumale, V.A.; Kumari, D.; Nakate, U.T.; Gosavi, S.W.; Sharma, R.B.; Kale, S.N.; Datar, S. Conjugation of curcumin with PVP capped gold nanoparticles for improving bioavailability. Mater. Sci. Eng. C 2012, 32, 2659–2663. [Google Scholar] [CrossRef]
- Elveren, B.; Yildiz, Ü.H.; Yildiz, A.A. Utilization of near ir absorbing gold nanocolloids by green synthesis. the Mater. Sci. Forum 2018, 915, 213–219. [Google Scholar] [CrossRef]
- Navarrete, J.; Siefe, C.; Alcantar, S.; Belt, M.; Stucky, G.D.; Moskovits, M. Merely Measuring the UV-Visible Spectrum of Gold Nanoparticles Can Change Their Charge State. Nano Lett. 2018, 18, 669–674. [Google Scholar] [CrossRef] [PubMed]
- Espinosa, C.E.; Guo, Q.; Singh, V.; Behrens, S.H. Particle charging and charge screening in nonpolar dispersions with nonionic surfactants. Langmuir 2010, 26, 16941–16948. [Google Scholar] [CrossRef]
- Junnuthula, V.; Kolimi, P.; Nyavanandi, D.; Sampathi, S.; Vora, L.K.; Dyawanapelly, S. Polymeric Micelles for Breast Cancer Therapy: Recent Updates, Clinical Translation and Regulatory Considerations. Pharmaceutics 2022, 14, 1860. [Google Scholar] [CrossRef]
- Junnuthula, V.; Sadeghi Boroujeni, A.; Cao, S.; Tavakoli, S.; Ridolfo, R.; Toropainen, E.; Ruponen, M.; van Hest, J.C.M.; Urtti, A. Intravitreal polymeric nanocarriers with long ocular retention and targeted delivery to the retina and optic nerve head region. Pharmaceutics 2021, 13, 445. [Google Scholar] [CrossRef]
- Sunitha, S.; Adinarayana, K.; Sravanthi, R.P.; Sonia, G.; Nagarjun, R.; Pankaj, T.; Veerabhadra, S.C.; Sujatha, D. Fabrication of Surgical Sutures Coated with Curcumin Loaded Gold Nanoparticles. Pharm. Anal. Acta 2017, 8, 1. [Google Scholar] [CrossRef]
- Nazem-Bokaee, H.; Fallahianbijan, F.; Chen, D.; O’Donnell, S.M.; Carbrello, C.; Giglia, S.; Bell, D.; Zydney, A.L. Probing pore structure of virus filters using scanning electron microscopy with gold nanoparticles. J. Membr. Sci. 2018, 552, 144–152. [Google Scholar] [CrossRef]
- Sampathi, S.; Prajapati, S.; Junnuthula, V.; Dyawanapelly, S. Pharmacokinetics and Anti-Diabetic Studies of Gliclazide Nanosuspension. Pharmaceutics 2022, 14, 1947. [Google Scholar] [CrossRef]
- Marques, M.R.C.; Loebenberg, R.; Almukainzi, M. Simulated biological fluids with possible application in dissolution testing. Dissolution Technol. 2011, 18, 15–28. [Google Scholar] [CrossRef]
- Abullais, S.S.; Alqahtani, N.A.; Alkhulban, R.M.; Alamer, S.H.; Khan, A.A.; Pimple, S. In-vitro evaluation of commonly used beverages on tensile strength of different suture materials used in dental surgeries. Medicine 2020, 99, e19831. [Google Scholar] [CrossRef]
- Thakkar, S.; Sharma, D.; Misra, M. Comparative evaluation of electrospraying and lyophilization techniques on solid state properties of Erlotinib nanocrystals: Assessment of In-vitro cytotoxicity. Eur. J. Pharm. Sci. 2018, 111, 257–269. [Google Scholar] [CrossRef]
- Man, R.W.Y.; Li, C.H.; MacLean, M.W.A.; Zenkina, O.V.; Zamora, M.T.; Saunders, L.N.; Rousina-Webb, A.; Nambo, M.; Crudden, C.M. Ultrastable gold nanoparticles modified by bidentate N-Heterocyclic Carbene Ligands. J. Am. Chem. Soc. 2018, 140, 1576–1579. [Google Scholar] [CrossRef] [PubMed]
- Klančnik, A.; Piskernik, S.; Jeršek, B.; Možina, S.S. Evaluation of diffusion and dilution methods to determine the antibacterial activity of plant extracts. J. Microbiol. Methods 2010, 81, 121–126. [Google Scholar] [CrossRef]
- Ehrlich, H.P.; Tarver, H.; Hunt, T.K. Effects of vitamin A and glucocorticoids upon inflammation and collagen synthesis. Ann. Surg. 1973, 177, 222–227. [Google Scholar] [CrossRef]
- Ehrlich, H.P.; Hunt, T.K. Effects of cortisone and vitamin A on wound healing. Ann. Surg. 1968, 167, 324–328. [Google Scholar] [CrossRef]
- Dubas, S.T.; Wacharanad, S.; Potiyaraj, P. Tunning of the antimicrobial activity of surgical sutures coated with silver nanoparticles. Colloids Surfaces A Physicochem. Eng. Asp. 2011, 380, 25–28. [Google Scholar] [CrossRef]
- Heurtault, B.; Saulnier, P.; Pech, B.; Proust, J.E.; Benoit, J.P. Physico-chemical stability of colloidal lipid particles. Biomaterials 2003, 24, 4283–4300. [Google Scholar] [CrossRef]
- El Badawy, A.M.; Luxton, T.P.; Silva, R.G.; Scheckel, K.G.; Suidan, M.T.; Tolaymat, T.M. Impact of environmental conditions (pH, ionic strength, and electrolyte type) on the surface charge and aggregation of silver nanoparticles suspensions. Environ. Sci. Technol. 2010, 44, 1260–1266. [Google Scholar] [CrossRef] [PubMed]
- Hertzberg, S.; Kvittingen, L.; Anthonsen, T.; Skjåk-Bræk, G. Alginate as immobilization matrix and stabilizing agent in a two-phase liquid system: Application in lipase-catalysed reactions. Enzym. Microb. Technol. 1992, 14, 42–47. [Google Scholar] [CrossRef]
- Gao, Y.; Zu, H.; Zhang, J. Enhanced dissolution and stability of adefovir dipivoxil by cocrystal formation. J. Pharm. Pharmacol. 2011, 63, 483–490. [Google Scholar] [CrossRef]
- Burygin, G.L.; Khlebtsov, B.N.; Shantrokha, A.N.; Dykman, L.A.; Bogatyrev, V.A.; Khlebtsov, N.G. On the enhanced antibacterial activity of antibiotics mixed with gold nanoparticles. Nanoscale Res. Lett. 2009, 4, 794–801. [Google Scholar] [CrossRef] [PubMed]
- Owens, C.D.; Stoessel, K. Surgical site infections: Epidemiology, microbiology and prevention. J. Hosp. Infect. 2018, 70, 3–10. [Google Scholar] [CrossRef]
- Mingoia, M.; Conte, C.; Di Rienzo, A.; Dimmito, M.P.; Marinucci, L.; Magi, G.; Turkez, H.; Cufaro, M.C.; Del Boccio, P.; Di Stefano, A.; et al. Synthesis and Biological Evaluation of Novel Cinnamic Acid-Based Antimicrobials. Pharmaceuticals 2022, 15, 228. [Google Scholar] [CrossRef] [PubMed]
- Vieira, D.; Angel, S.N.; Honjol, Y.; Masse, M.; Gruenheid, S.; Harvey, E.J.; Merle, G. Engineering surgical stitches to prevent bacterial infection. Sci. Rep. 2022, 12, 834. [Google Scholar] [CrossRef]





| S. No. | Formulation | Mean Particle Size (nm) | PDI | ZP (mV) |
|---|---|---|---|---|
| 1 | G-NPs | 50.39 ± 5.36 | 0.143 ± 0.04 | −33.45 ± 3.51 |
| 2 | PG-NPs | 113.6 ± 8.20 | 0.168 ± 0.05 | −29.21 ± 1.84 |
| 3 | CPG-NPs | 126.2 ± 13.35 | 0.134 ± 0.03 | −21.50 ± 2.14 |
| S. No. | Formulation | Time (min) | Weight of Uncoated Suture (mg) | Weight of Coated Suture after Coating (mg) | Assay of Drug Loading on Suture (µg) |
|---|---|---|---|---|---|
| CPG-NPs | CPG-NPs | ||||
| 1 | F1 | 30 | 30.00 ± 0.25 | 37.23 ± 1.52 | 467.70 ± 25.48 |
| 2 | F2 | 60 | 30.00 ± 0.36 | 43.32 ± 2.33 | 899.61 ± 8.23 |
| 3 | F3 | 90 | 30.00 ± 0.16 | 47.45 ± 1.56 | 1171.35 ± 10.69 |
| 4 | F4 | 120 | 30.00 ± 0.42 | 46.92 ± 2.31 | 987.23 ± 18.12 |
| Formulation | Storage Conditions | Assay (%) | Cumulative Drug Release (%) | Similarity Factor (f2) b/w 0th and 30th Day | ||
|---|---|---|---|---|---|---|
| 0 days | 30 days | 0 days | 30 days | |||
| CPG-NP-conjugated sutures | 25 ± 2 °C/60 ± 5% RH | 88.53 ± 3.35 | 83.47 ± 5.63 | 94.57 ± 2.23 | 95.19 ± 4.57 | 93.63 ± 2.25 |
| 40 ± 2 °C/75 ± 5% RH | 88.53 ± 3.35 | 80.26 ± 2.79 | 94.57 ± 2.23 | 98.94 ± 3.27 | 92.21 ± 3.45 | |
| 2–8 °C | 88.53 ± 3.35 | 87.69 ± 4.23 | 94.57 ± 2.23 | 94.19 ± 5.25 | 95.53 ± 4.13 | |
| S. No. | Suture | Hemolysis (%) Mean ± SD |
|---|---|---|
| 1 | Plain marketed suture | 1.2 ± 0.19 |
| 2 | CPH-coated suture | 8.45 ± 0.15 |
| 3 | CPG-NP-loaded suture | 1.56 ± 0.24 |
| Parameter | Group I (Negative Control) | Group II (Plain Suture) | Group III (CPH-Coated Suture) | Group IV (CPG-NP-Coated Suture) |
|---|---|---|---|---|
| Hemorrhage | 0 | 4 | 1 | 0 |
| Maceration | 0 | 0 | 0 | 0 |
| Erythema | 0 | 3 | 0 | 0 |
| Necrosis | 0 | 2 | 2 | 1 |
| Adherence | 0 | 1 | 1 | 1 |
| Granulation tissue | 0 | 3 | 1 | 1 |
| Epithelialization | 0 | 0 | 0 | 0 |
| Total score | 0 | 13 | 5 | 3 |
Publisher’s Note: MDPI stays neutral with regard to jurisdictional claims in published maps and institutional affiliations. |
© 2022 by the authors. Licensee MDPI, Basel, Switzerland. This article is an open access article distributed under the terms and conditions of the Creative Commons Attribution (CC BY) license (https://creativecommons.org/licenses/by/4.0/).
Share and Cite
Sampathi, S.; Tiriya, P.K.; Dodoala, S.; Junnuthula, V.; Dyawanapelly, S. Development of Biocompatible Ciprofloxacin–Gold Nanoparticle Coated Sutures for Surgical Site Infections. Pharmaceutics 2022, 14, 2130. https://doi.org/10.3390/pharmaceutics14102130
Sampathi S, Tiriya PK, Dodoala S, Junnuthula V, Dyawanapelly S. Development of Biocompatible Ciprofloxacin–Gold Nanoparticle Coated Sutures for Surgical Site Infections. Pharmaceutics. 2022; 14(10):2130. https://doi.org/10.3390/pharmaceutics14102130
Chicago/Turabian StyleSampathi, Sunitha, Pankaj Kumar Tiriya, Sujatha Dodoala, Vijayabhaskarreddy Junnuthula, and Sathish Dyawanapelly. 2022. "Development of Biocompatible Ciprofloxacin–Gold Nanoparticle Coated Sutures for Surgical Site Infections" Pharmaceutics 14, no. 10: 2130. https://doi.org/10.3390/pharmaceutics14102130
APA StyleSampathi, S., Tiriya, P. K., Dodoala, S., Junnuthula, V., & Dyawanapelly, S. (2022). Development of Biocompatible Ciprofloxacin–Gold Nanoparticle Coated Sutures for Surgical Site Infections. Pharmaceutics, 14(10), 2130. https://doi.org/10.3390/pharmaceutics14102130

