Tunable Polymeric Mixed Micellar Nanoassemblies of Lutrol F127/Gelucire 44/14 for Oral Delivery of Praziquantel: A Promising Nanovector against Hymenolepis nana in Experimentally-Infected Rats
Abstract
:1. Introduction
2. Materials and Methods
2.1. Materials
2.2. Experimental Design
2.3. Fabrication of Self-Assembled PRZ-PMMs
2.4. In Vitro Characterization of PRZ-PMMs
2.4.1. Assessment of PRZ Content in PMMs
2.4.2. Assessment of Micelle Size and ζ Potential
2.4.3. Assessment of PRZ-PMMs In Vitro Release Behavior
2.5. Optimization of PRZ-PMMs
2.6. Transmission Electron Microscopy (TEM)
2.7. Characterization through 1H NMR
2.8. Physical Stability Study of PRZ-PMMs
2.9. In Vivo Study in H. nana-Infected Rats
2.9.1. H. nana Collection
2.9.2. Animals and Experimental Design
2.9.3. In Vivo Activity of PRZ
Fecal Egg Reduction
Worm Reduction
Estimation of Biochemical Parameters
Histopathological Study
2.10. In Vitro Ovicidal Activity
2.11. Pharmacokinetic Investigations
2.11.1. Administration of PRZ to Rats
2.11.2. Conditions of Chromatographic Analysis
2.11.3. Samples Preparation for Analysis
2.11.4. Pharmacokinetic Parameter Estimation
2.12. Statistical Analysis
3. Results and Discussion
3.1. Box-Behnken Design Analysis
3.2. PRZ-PMMs Characterization
3.2.1. Influence of Causal Factors on EE% (Y1)
3.2.2. Influence of Causal Factors on Micelle Size (Y2)
3.2.3. Influence of Causal Factors on Q24 (Y3)
3.3. Identification of PMMs Optimal Composition
3.4. Transmission Electron Microscopy
3.5. 1H NMR Characterization
3.6. Physical Stability Study of PRZ-PMMs
3.7. In Vivo Study in H. nana-Infected Rats
3.7.1. In Vivo Egg Count and Worm Reduction Percentage
3.7.2. Biochemical Markers Analysis
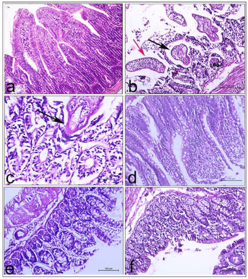
3.7.3. Histopathological Findings
3.8. In Vitro Ovicidal Activity
3.9. Pharmacokinetic Investigations
4. Conclusions
Supplementary Materials
Author Contributions
Funding
Institutional Review Board Statement
Informed Consent Statement
Data Availability Statement
Acknowledgments
Conflicts of Interest
References
- Chai, J.-Y.; Jung, B.-K.; Hong, S.-J. Albendazole and mebendazole as anti-parasitic and anti-cancer agents: An update. Korean J. Parasitol. 2021, 59, 189. [Google Scholar] [CrossRef] [PubMed]
- Bayoumy, A.M.S.; Hamza, H.T.; Alotabi, M.A. Histopathological and biochemical studies on immunocompetent and immunocompromised Hymenolepis nana infected mice treated with Commiphora molmol (Mirazid). J. Parasit. Dis. 2020, 44, 837–849. [Google Scholar] [CrossRef] [PubMed]
- Al-Mekhlafi, H. The neglected cestode infection: Epidemiology of infection among children in rural Yemen. Helminthologia 2020, 57, 293–305. [Google Scholar] [CrossRef] [PubMed]
- Crouch, E.E.; Hollinger, C.; Zec, S.; McAloose, D. Fatal Hymenolepis nana cestodiasis in a ring-tailed lemur (Lemur catta). Vet. Pathol. 2022, 59, 169–172. [Google Scholar] [CrossRef]
- Brar, S.; Singla, N.; Singla, L. Comparative comprehensive analysis on natural infections of and in commensal rodents. Helminthologia 2021, 58, 248–262. [Google Scholar] [CrossRef]
- Panti-May, J.A.; Servían, A.; Ferrari, W.; Zonta, M.L.; Hernández-Mena, D.I.; Hernández-Betancourt, S.F.; del Rosario Robles, M.; Machain-Williams, C. Morphological and molecular identification of hymenolepidid cestodes in children and synanthropic rodents from rural Mexico. Parasitol. Int. 2020, 75, 102042. [Google Scholar] [CrossRef]
- Goudarzi, F.; Mohtasebi, S.; Teimouri, A.; Yimam, Y.; Heydarian, P.; Sangani, G.S.; Afshar, M.J.A. A systematic review and meta-analysis of Hymenolepis nana in human and rodent hosts in Iran: A remaining public health concern. Comp. Immunol. Microbiol. Infect. Dis. 2021, 74, 101580. [Google Scholar] [CrossRef]
- Beshay, E. Therapeutic efficacy of Artemisia absinthium against Hymenolepis nana: In vitro and in vivo studies in comparison with the anthelmintic praziquantel. J. Helminthol. 2018, 92, 298–308. [Google Scholar] [CrossRef]
- Eissa, M.M.; El-Azzouni, M.Z.; El-Khordagui, L.K.; Abdel Bary, A.; El-Moslemany, R.M.; Abdel Salam, S.A. Single oral fixed-dose praziquantel-miltefosine nanocombination for effective control of experimental schistosomiasis mansoni. Parasites Vectors 2020, 13, 1–12. [Google Scholar] [CrossRef]
- Meteleva, E.S.; Chistyachenko, Y.S.; Suntsova, L.P.; Khvostov, M.V.; Polyakov, N.E.; Selyutina, O.Y.; Tolstikova, T.G.; Frolova, T.S.; Mordvinov, V.A.; Dushkin, A.V.; et al. Disodium salt of glycyrrhizic acid–A novel supramolecular delivery system for anthelmintic drug praziquantel. J. Drug Deliv. Sci. Technol. 2019, 50, 66–77. [Google Scholar] [CrossRef]
- Amara, R.O.; Ramadan, A.A.; El-Moslemany, R.M.; Eissa, M.M.; El-Azzouni, M.Z.; El-Khordagui, L.K. Praziquantel–lipid nanocapsules: An oral nanotherapeutic with potential Schistosoma mansoni tegumental targeting. Int. J. Nanomed. 2018, 13, 4493. [Google Scholar] [CrossRef]
- Andrade, L.N.; Oliveira, D.M.; Chaud, M.V.; Alves, T.F.; Nery, M.; da Silva, C.F.; Gonsalves, J.K.; Nunes, R.S.; Corrêa, C.B.; Amaral, R.G.; et al. Praziquantel-solid lipid nanoparticles produced by supercritical carbon dioxide extraction: Physicochemical characterization, release profile, and cytotoxicity. Molecules 2019, 24, 3881. [Google Scholar] [CrossRef]
- Mourão, S.C.; Costa, P.I.; Salgado, H.R.; Gremião, M.P.D. Improvement of antischistosomal activity of praziquantel by incorporation into phosphatidylcholine-containing liposomes. Int. J. Pharm. 2005, 295, 157–162. [Google Scholar] [CrossRef]
- Zoghroban, H.S.; El-Kowrany, S.I.; Aboul Asaad, I.A.; El Maghraby, G.M.; El-Nouby, K.A.; Abd Elazeem, M.A. Niosomes for enhanced activity of praziquantel against Schistosoma mansoni: In vivo and in vitro evaluation. Parasitol. Res. 2019, 118, 219–234. [Google Scholar] [CrossRef]
- Madan, J.R.; Dere, S.G.; Awasthi, R.; Dua, K. Efavirenz loaded mixed polymeric micelles: Formulation, optimization, and in vitro characterization. Assay Drug Dev. Technol. 2021, 19, 322–334. [Google Scholar] [CrossRef]
- Tang, C.; Chen, X.; Yao, H.; Yin, H.; Ma, X.; Jin, M.; Lu, X.; Wang, Q.; Meng, K.; Yuan, Q. Enhanced Oral Absorption of Icaritin by Using Mixed Polymeric Micelles Prepared with a Creative Acid-Base Shift Method. Molecules 2021, 26, 3450. [Google Scholar] [CrossRef]
- Yang, Z.; Zhao, H.; Wang, D.; Yin, L.; Cai, K.; Lin, Z.; Chen, T.; Yang, C. DPD simulations on mixed polymeric DOX-loaded micelles assembled from PCL-SS-PPEGMA/PDEA–PPEGMA and their dual pH/reduction-responsive release. Phys. Chem. Chem. Phys. 2021, 23, 19011–19021. [Google Scholar] [CrossRef]
- Mahmoud, M.O.; Aboud, H.M.; Hassan, A.H.; Ali, A.A.; Johnston, T.P. Transdermal delivery of atorvastatin calcium from novel nanovesicular systems using polyethylene glycol fatty acid esters: Ameliorated effect without liver toxicity in poloxamer 407-induced hyperlipidemic rats. J. Control. Release 2017, 254, 10–22. [Google Scholar] [CrossRef]
- Gadhave, D.; Rasal, N.; Sonawane, R.; Sekar, M.; Kokare, C. Nose-to-brain delivery of teriflunomide-loaded lipid-based carbopol-gellan gum nanogel for glioma: Pharmacological and in vitro cytotoxicity studies. Int. J. Biol. Macromol. 2021, 167, 906–920. [Google Scholar] [CrossRef]
- Aboud, H.M.; Mahmoud, M.O.; Abdeltawab Mohammed, M.; Shafiq Awad, M.; Sabry, D. Preparation and appraisal of self-assembled valsartan-loaded amalgamated Pluronic F127/Tween 80 polymeric micelles: Boosted cardioprotection via regulation of Mhrt/Nrf2 and Trx1 pathways in cisplatin-induced cardiotoxicity. J. Drug Target. 2020, 28, 282–299. [Google Scholar] [CrossRef]
- El-Nabarawi, M.; Nafady, M.; Elmenshawe, S.; Elkarmalawy, M.; Teaima, M. Liver Targeting of Daclatasvir via Tailoring Sterically Stabilized Bilosomes: Fabrication, Comparative In Vitro/In Vivo Appraisal and Biodistribution Studies. Int. J. Nanomed. 2021, 16, 6413. [Google Scholar] [CrossRef]
- El-Dahmy, R.M.; Elsayed, I.; Elshafeey, A.H.; Abd El Gawad, N.A.; El-Gazayerly, O.N. Optimization of long circulating mixed polymeric micelles containing vinpocetine using simple lattice mixture design, in vitro and in vivo characterization. Int. J. Pharm. 2014, 477, 39–46. [Google Scholar] [CrossRef]
- Wei, Z.; Hao, J.; Yuan, S.; Li, Y.; Juan, W.; Sha, X.; Fang, X. Paclitaxel-loaded Pluronic P123/F127 mixed polymeric micelles: Formulation, optimization and in vitro characterization. Int. J. Pharm. 2009, 376, 176–185. [Google Scholar] [CrossRef]
- Dou, J.; Zhang, H.; Liu, X.; Zhang, M.; Zhai, G. Preparation and evaluation in vitro and in vivo of docetaxel loaded mixed micelles for oral administration. Colloids Surf. B Biointerfaces 2014, 114, 20–27. [Google Scholar] [CrossRef] [PubMed]
- El Menshawe, S.F.; Nafady, M.M.; Aboud, H.M.; Kharshoum, R.M.; Elkelawy, A.M.M.H.; Hamad, D.S. Transdermal delivery of fluvastatin sodium via tailored spanlastic nanovesicles: Mitigated Freund’s adjuvant-induced rheumatoid arthritis in rats through suppressing p38 MAPK signaling pathway. Drug Deliv. 2019, 26, 1140–1154. [Google Scholar] [CrossRef] [PubMed]
- Aboud, H.M.; Hassan, A.H.; Ali, A.A.; Abdel-Razik, A.-R.H. Novel in situ gelling vaginal sponges of sildenafil citrate-based cubosomes for uterine targeting. Drug Deliv. 2018, 25, 1328–1339. [Google Scholar] [CrossRef]
- El-Lakkany, N.; Seif el-Din, S.H.; Heikal, L. Bioavailability and in vivo efficacy of a praziquantel–polyvinylpyrrolidone solid dispersion in Schistosoma mansoni-infected mice. Eur. J. Drug Metab. Pharmacokinet. 2012, 37, 289–299. [Google Scholar] [CrossRef]
- Elkomy, M.H.; Khallaf, R.A.; Mahmoud, M.O.; Sayed, R.R.; El-Kalaawy, A.M.; Abdel-Razik, A.-R.H.; Aboud, H.M. Intratracheally Inhalable Nifedipine-Loaded Chitosan-PLGA Nanocomposites as a Promising Nanoplatform for Lung Targeting: Snowballed Protection via Regulation of TGF-β/β-Catenin Pathway in Bleomycin-Induced Pulmonary Fibrosis. Pharmaceuticals 2021, 14, 1225. [Google Scholar] [CrossRef]
- Lee, S.C.; Kim, C.; Kwon, I.C.; Chung, H.; Jeong, S.Y. Polymeric micelles of poly (2-ethyl-2-oxazoline)-block-poly (ε-caprolactone) copolymer as a carrier for paclitaxel. J. Control. Release 2003, 89, 437–446. [Google Scholar]
- Causse, J.; Lagerge, S.; de Menorval, L.-C.; Faure, S. Micellar solubilization of tributylphosphate in aqueous solutions of Pluronic block copolymers: Part, I. Effect of the copolymer structure and temperature on the phase behavior. J. Colloid Interface Sci. 2006, 300, 713–723. [Google Scholar] [CrossRef]
- Al-Mahallawi, A.M.; Khowessah, O.M.; Shoukri, R.A. Nano-transfersomal ciprofloxacin loaded vesicles for non-invasive trans-tympanic ototopical delivery: In-vitro optimization, ex-vivo permeation studies, and in-vivo assessment. Int. J. Pharm. 2014, 472, 304–314. [Google Scholar] [CrossRef]
- Abdel-Latif, M.; El-Shahawi, G.; Aboelhadid, S.; Abdel-Tawab, H. Modulation of murine intestinal immunity by Moringa oleifera extract in experimental hymenolepiasis nana. J. Helminthol. 2018, 92, 142–153. [Google Scholar] [CrossRef]
- Levecke, B.; Behnke, J.M.; Ajjampur, S.S.; Albonico, M.; Ame, S.M.; Charlier, J.; Geiger, S.M.; Hoa, N.T.; Kamwa Ngassam, R.I.; Kotze, A.C.; et al. A comparison of the sensitivity and fecal egg counts of the McMaster egg counting and Kato-Katz thick smear methods for soil-transmitted helminths. PLoS Negl. Trop. Dis. 2011, 5, e1201. [Google Scholar] [CrossRef]
- Coles, G.; Bauer, C.; Borgsteede, F.; Geerts, S.; Klei, T.; Taylor, M.A.; Waller, P.J. World Association for the Advancement of Veterinary Parasitology (WAAVP) methods for the detection of anthelmintic resistance in nematodes of veterinary importance. Vet. Parasitol. 1992, 44, 35–44. [Google Scholar] [CrossRef]
- Reitman, S.; Frankel, S. A colorimetric method for the determination of serum glutamic oxalacetic and glutamic pyruvic transaminases. Am. J. Clin. Pathol. 1957, 28, 56–63. [Google Scholar] [CrossRef]
- Vickery, S.; Stevens, P.E.; Dalton, R.N.; van Lente, F.; Lamb, E.J. Does the ID-MS traceable MDRD equation work and is it suitable for use with compensated Jaffe and enzymatic creatinine assays? Nephrol. Dial. Transplant. 2006, 21, 2439–2445. [Google Scholar] [CrossRef]
- Sampson, E.J.; Baird, M.A. Chemical inhibition used in a kinetic urease/glutamate dehydrogenase method for urea in serum. Clin. Chem. 1979, 25, 1721–1729. [Google Scholar] [CrossRef]
- Bancroft, J.D.; Gamble, M. Theory and Practice of Histological Techniques; Elsevier Health Sciences: Amsterdam, The Netherlands, 2008. [Google Scholar]
- Abou Shady, O.M.; Basyoni, M.; Mahdy, O.A.; Bocktor, N.Z. The effect of praziquantel and Carica papaya seeds on Hymenolepis nana infection in mice using scanning electron microscope. Parasitol. Res. 2014, 113, 2827–2836. [Google Scholar] [CrossRef]
- Chausov, V. Methods of determining viability of eggs of H. nana. Med. Parazitol. 1964, 33, 144. [Google Scholar]
- Malhado, M.; Pinto, D.P.; Silva, A.C.; Silveira, G.P.; Pereira, H.M.; Santos, J.G., Jr.; Guilarducci-Ferraz, C.V.; Viçosa, A.L.; Nele, M.; Fonseca, L.B.; et al. Preclinical pharmacokinetic evaluation of praziquantel loaded in poly (methyl methacrylate) nanoparticle using a HPLC–MS/MS. J. Pharm. Biomed. Anal. 2016, 117, 405–412. [Google Scholar] [CrossRef]
- Salem, H.F.; Ali, A.A.; Hegazy, A.M.; Sadek, A.-R.A.; Aboud, H.M. Harnessing of Doxylamine Succinate/Pyridoxine Hydrochloride-Dual Laden Bilosomes as a Novel Combinatorial Nanoparadigm for Intranasal Delivery: In Vitro Optimization and In Vivo Pharmacokinetic Appraisal. J. Pharm. Sci. 2021, 111, 794–809. [Google Scholar] [CrossRef] [PubMed]
- De Lima, L.S.; Araujo, M.D.M.; Quináia, S.P.; Migliorine, D.W.; Garcia, J.R. Adsorption modeling of Cr, Cd and Cu on activated carbon of different origins by using fractional factorial design. Chem. Eng. J. 2011, 166, 881–889. [Google Scholar] [CrossRef]
- Kaushik, R.; Saran, S.; Isar, J.; Saxena, R. Statistical optimization of medium components and growth conditions by response surface methodology to enhance lipase production by Aspergillus carneus. J. Mol. Catal. B Enzym. 2006, 40, 121–126. [Google Scholar] [CrossRef]
- Annadurai, G.; Ling, L.Y.; Lee, J.-F. Statistical optimization of medium components and growth conditions by response surface methodology to enhance phenol degradation by Pseudomonas putida. J. Hazard. Mater. 2008, 151, 171–178. [Google Scholar] [CrossRef] [PubMed]
- Mehanny, M.; Hathout, R.M.; Geneidi, A.S.; Mansour, S. Bisdemethoxycurcumin loaded polymeric mixed micelles as potential anti-cancer remedy: Preparation, optimization and cytotoxic evaluation in a HepG-2 cell model. J. Mol. Liq. 2016, 214, 162–170. [Google Scholar] [CrossRef]
- Xu, W.; Ling, P.; Zhang, T. Polymeric micelles, a promising drug delivery system to enhance bioavailability of poorly water-soluble drugs. J. Drug Deliv. 2013, 2013, 340315. [Google Scholar] [CrossRef] [PubMed]
- Patil, S.; Choudhary, B.; Rathore, A.; Roy, K.; Mahadik, K. Enhanced oral bioavailability and anticancer activity of novel curcumin loaded mixed micelles in human lung cancer cells. Phytomedicine 2015, 22, 1103–1111. [Google Scholar] [CrossRef]
- Ortiz, A.C.; Yañez, O.; Salas-Huenuleo, E.; Morales, J.O. Development of a nanostructured lipid carrier (NLC) by a low-energy method, comparison of release kinetics and molecular dynamics simulation. Pharmaceutics 2021, 13, 531. [Google Scholar] [CrossRef]
- Wang, Y.; Yu, L.; Han, L.; Sha, X.; Fang, X. Difunctional Pluronic copolymer micelles for paclitaxel delivery: Synergistic effect of folate-mediated targeting and Pluronic-mediated overcoming multidrug resistance in tumor cell lines. Int. J. Pharm. 2007, 337, 63–73. [Google Scholar] [CrossRef]
- Abdelbary, G.A.; Tadros, M.I. Brain targeting of olanzapine via intranasal delivery of core–shell difunctional block copolymer mixed nanomicellar carriers: In vitro characterization, ex vivo estimation of nasal toxicity and in vivo biodistribution studies. Int. J. Pharm. 2013, 452, 300–310. [Google Scholar] [CrossRef]
- Zhang, W.; Shi, Y.; Chen, Y.; Ye, J.; Sha, X.; Fang, X. Multifunctional Pluronic P123/F127 mixed polymeric micelles loaded with paclitaxel for the treatment of multidrug resistant tumors. Biomaterials 2011, 32, 2894–2906. [Google Scholar] [CrossRef]
- Lee, E.S.; Oh, Y.T.; Youn, Y.S.; Nam, M.; Park, B.; Yun, J.; Kim, J.H.; Song, H.T.; Oh, K.T. Binary mixing of micelles using Pluronics for a nano-sized drug delivery system. Colloids Surf. B Biointerfaces 2011, 82, 190–195. [Google Scholar] [CrossRef]
- Zhou, Q.; Zhang, Z.; Chen, T.; Guo, X.; Zhou, S. Preparation and characterization of thermosensitive pluronic F127-b-poly (ɛ-caprolactone) mixed micelles. Colloids Surf. B Biointerfaces 2011, 86, 45–57. [Google Scholar] [CrossRef]
- Kallakunta, V.R.; Eedara, B.B.; Jukanti, R.; Ajmeera, R.K.; Bandari, S. A Gelucire 44/14 and labrasol based solid self emulsifying drug delivery system: Formulation and evaluation. J. Pharm. Investig. 2013, 43, 185–196. [Google Scholar] [CrossRef]
- Dahmani, F.Z.; Yang, H.; Zhou, J.; Yao, J.; Zhang, T.; Zhang, Q. Enhanced oral bioavailability of paclitaxel in pluronic/LHR mixed polymeric micelles: Preparation, in vitro and in vivo evaluation. Eur. J. Pharm. Sci. 2012, 47, 179–189. [Google Scholar] [CrossRef]
- Hou, J.; Wang, J.; Sun, E.; Yang, L.; Yan, H.-M.; Jia, X.-B.; Zhang, Z.H. Preparation and evaluation of icariside II-loaded binary mixed micelles using Solutol HS15 and Pluronic F127 as carriers. Drug Deliv. 2016, 23, 3248–3256. [Google Scholar] [CrossRef]
- Ke, Z.; Zhang, Z.; Wu, H.; Jia, X.; Wang, Y. Optimization and evaluation of Oridonin-loaded Soluplus®-Pluronic P105 mixed micelles for oral administration. Int. J. Pharm. 2017, 518, 193–202. [Google Scholar] [CrossRef]
- Li, X.; Zhang, Y.; Fan, Y.; Zhou, Y.; Wang, X.; Fan, C.; Liu, Y.; Zhang, Q. Preparation and evaluation of novel mixed micelles as nanocarriers for intravenous delivery of propofol. Nanoscale Res. Lett. 2011, 6, 1–9. [Google Scholar] [CrossRef]
- Kulthe, S.; Inamdar, N.; Choudhari, Y.; Shirolikar, S.; Borde, L.; Mourya, V. Mixed micelle formation with hydrophobic and hydrophilic Pluronic block copolymers: Implications for controlled and targeted drug delivery. Colloids Surf. B Biointerfaces 2011, 88, 691–696. [Google Scholar] [CrossRef]
- Ali, A.A.; Hassan, A.H.; Eissa, E.M.; Aboud, H.M. Response surface optimization of ultra-elastic nanovesicles loaded with deflazacort tailored for transdermal delivery: Accentuated bioavailability and anti-inflammatory efficacy. Int. J. Nanomed. 2021, 16, 591. [Google Scholar] [CrossRef]
- El-Laithy, H.M.; Basalious, E.B.; El-Hoseiny, B.M.; Adel, M.M. Novel self-nanoemulsifying self-nanosuspension (SNESNS) for enhancing oral bioavailability of diacerein: Simultaneous portal blood absorption and lymphatic delivery. Int. J. Pharm. 2015, 490, 146–154. [Google Scholar] [CrossRef]
- Anand, U.; Lu, J.; Loh, D.; Aabdin, Z.; Mirsaidov, U. Hydration layer-mediated pairwise interaction of nanoparticles. Nano Lett. 2016, 16, 786–790. [Google Scholar] [CrossRef] [PubMed]
- Mengarda, A.C.; Iles, B.F.; Longo, J.P.; de Moraes, J. Recent trends in praziquantel nanoformulations for helminthiasis treatment. Expert Opin. Drug Deliv. 2022, 19, 383–393. [Google Scholar] [CrossRef] [PubMed]
- Zheng, J.; Luan, L.; Wang, H.; Xi, L.; Yao, K. Study on ibuprofen/montmorillonite intercalation composites as drug release system. Appl. Clay Sci. 2007, 36, 297–301. [Google Scholar] [CrossRef]
- El-Feky, G.S.; Mohamed, W.S.; Nasr, H.E.; El-Lakkany, N.M.; Seif el-Din, S.H.; Botros, S.S. Praziquantel in a clay nanoformulation shows more bioavailability and higher efficacy against murine Schistosoma mansoni infection. Antimicrob. Agents Chemother. 2015, 59, 3501–3508. [Google Scholar] [CrossRef] [PubMed]
- Rashed, S.M.; Elhamshary, A.M.S.E.; Moharram, A.F.E.; Ali, F. Comparison between the effect of praziquantel and essential oil of Lamiaceace family on Hymenolepis nana egg viability in experimentally infected mice. Benha Med. J. 2018, 35, 85. [Google Scholar]
- Campos, R.; Bressan, M.; Evangelista, M. Activity of praziquantel against Hymenolepis nana, at different development stages, in experimentally infected mice. Rev. Do Inst. Med. Trop. São Paulo 1984, 26, 334–340. [Google Scholar] [CrossRef]
- Coles, G. Oxidative phosphorylation in adult Schistosoma mansoni. Nature 1972, 240, 488–489. [Google Scholar] [CrossRef]
- Akbarzadeh, A.; Rezaei-Sadabady, R.; Davaran, S.; Joo, S.W.; Zarghami, N.; Hanifehpour, Y.; Samiei, M.; Kouhi, M.; Nejati-Koshki, K. Liposome: Classification, preparation, and applications. Nanoscale Res. Lett. 2013, 8, 1–9. [Google Scholar] [CrossRef]
- Xie, S.; Pan, B.; Shi, B.; Zhang, Z.; Zhang, X.; Wang, M.; Zhou, W. Solid lipid nanoparticle suspension enhanced the therapeutic efficacy of praziquantel against tapeworm. Int. J. Nanomed. 2011, 6, 2367. [Google Scholar]
- Radwan, A.; El-Lakkany, N.M.; William, S.; El-Feky, G.S.; Al-Shorbagy, M.Y.; Saleh, S.; Botros, S. A novel praziquantel solid lipid nanoparticle formulation shows enhanced bioavailability and antischistosomal efficacy against murine S. mansoni infection. Parasites Vectors 2019, 12, 1–12. [Google Scholar] [CrossRef] [PubMed]
- Silva, L.D.; Arrúa, E.C.; Pereira, D.A.; Fraga, C.M.; da Costa, T.L.; Hemphill, A.; Salomon, C.J.; Vinaud, M.C. Elucidating the influence of praziquantel nanosuspensions on the in vivo metabolism of Taenia crassiceps cysticerci. Acta Trop. 2016, 161, 100–105. [Google Scholar] [CrossRef] [PubMed]
- Isaak, D.D.; Jacobson, R.H.; Reed, N.D. The course of Hymenolepis nana infections in thymus-deficient mice. Int. Arch. Allergy Immunol. 1977, 55, 504–513. [Google Scholar] [CrossRef] [PubMed]
- Kim, B.J.; Song, K.S.; Kong, H.-H.; Cha, H.-J.; Ock, M. Heavy Hymenolepis nana infection possibly through organic foods: Report of a case. Korean J. Parasitol. 2014, 52, 85. [Google Scholar] [CrossRef]
- Parvathi, J.; Karemungikar, A. Leucocyte variation, an insight of host defenses during hymenolepiasis and restoration with praziquantel. Indian J. Pharm. Sci. 2011, 73, 76. [Google Scholar] [CrossRef]
- Abdel-Latif, M.; El-Shahawi, G.; Aboelhadid, S.; Abdel-Tawab, H. Immunoprotective Effect of Chitosan Particles on Hymenolepis nana–Infected Mice. Scand. J. Immunol. 2017, 86, 83–90. [Google Scholar] [CrossRef]
- Wang, J.; Ma, W.; Tu, P. The mechanism of self-assembled mixed micelles in improving curcumin oral absorption: In vitro and in vivo. Colloids Surf. B Biointerfaces 2015, 133, 108–119. [Google Scholar] [CrossRef]
- Basalious, E.B.; Shamma, R.N. Novel self-assembled nano-tubular mixed micelles of Pluronics P123, Pluronic F127 and phosphatidylcholine for oral delivery of nimodipine: In vitro characterization, ex vivo transport and in vivo pharmacokinetic studies. Int. J. Pharm. 2015, 493, 347–356. [Google Scholar] [CrossRef]
- Tan, C.; Wang, Y.; Fan, W. Exploring polymeric micelles for improved delivery of anticancer agents: Recent developments in preclinical studies. Pharmaceutics 2013, 5, 201–219. [Google Scholar] [CrossRef]
- Nishiyama, N.; Kataoka, K. Current state, achievements, and future prospects of polymeric micelles as nanocarriers for drug and gene delivery. Pharmacol. Ther. 2006, 112, 630–648. [Google Scholar] [CrossRef]
- Kedar, U.; Phutane, P.; Shidhaye, S.; Kadam, V. Advances in polymeric micelles for drug delivery and tumor targeting. Nanomed. Nanotechnol. Biol. Med. 2010, 6, 714–729. [Google Scholar] [CrossRef]
- Chen, L.; Sha, X.; Jiang, X.; Chen, Y.; Ren, Q.; Fang, X. Pluronic P105/F127 mixed micelles for the delivery of docetaxel against Taxol-resistant non-small cell lung cancer: Optimization and in vitro, in vivo evaluation. Int. J. Nanomed. 2013, 8, 73. [Google Scholar]
- Dehghan Kelishady, P.; Saadat, E.; Ravar, F.; Akbari, H.; Dorkoosh, F. Pluronic F127 polymeric micelles for co-delivery of paclitaxel and lapatinib against metastatic breast cancer: Preparation, optimization and in vitro evaluation. Pharm. Dev. Technol. 2015, 20, 1009–1017. [Google Scholar] [CrossRef]








| Factor | Level of Variables | ||
|---|---|---|---|
| Low (−1) | Medium (0) | High (+1) | |
| Independent variables | |||
| X1: LF127 concentration (% w/v) | 1.5 | 2 | 2.5 |
| X2: GL44 concentration (% w/v) | 1.5 | 1.75 | 2 |
| X3: PRZ concentration (mg) | 10 | 15 | 20 |
| Dependent variables | Constraints | ||
| Y1: EE% | Maximize | ||
| Y2: micelle size (nm) | Minimize | ||
| Y3: Q24 (%) | Maximize | ||
| Formulation | Independent Variables | Dependent Variables | ||||
|---|---|---|---|---|---|---|
| X1 (% w/v) | X2 (% w/w) | X3 (mg) | Y1 (%) | Y2 (nm) | Y3 (%) | |
| F1 | 1.5 | 1.5 | 15 | 88.93 ± 3.22 | 28.70 ± 3.76 | 55.62 ± 5.83 |
| F2 | 1.5 | 1.75 | 20 | 94.58 ± 4.05 | 27.21 ± 3.22 | 65.05 ± 7.86 |
| F3 | 1.5 | 2 | 15 | 81.03 ± 5.31 | 33.13 ± 5.91 | 50.21 ± 5.72 |
| F4 | 2.5 | 2 | 15 | 64.27 ± 2.67 | 59.17 ± 9.82 | 35.67 ± 1.62 |
| F5 * | 2 | 1.75 | 15 | 85.71 ± 3.93 | 13.54 ± 2.33 | 74.16 ± 6.22 |
| F6 | 2.5 | 1.75 | 20 | 78.57 ± 4.23 | 41.36 ± 8.23 | 40.19 ± 2.64 |
| F7 * | 2 | 1.75 | 15 | 84.53 ± 5.17 | 12.98 ± 2.51 | 75.67 ± 4.79 |
| F8 * | 2 | 1.75 | 15 | 87.39 ± 3.53 | 15.11 ± 2.68 | 72.88 ± 5.43 |
| F9 | 2.5 | 1.5 | 15 | 71.90 ± 1.76 | 45.98 ± 7.93 | 38.13 ± 2.47 |
| F10 | 2 | 2 | 20 | 76.01 ± 5.56 | 27.51 ± 5.46 | 50.84 ± 4.06 |
| F11 | 1.5 | 1.75 | 10 | 90.02 ± 4.78 | 25.09 ± 3.81 | 69.86 ± 5.36 |
| F12 | 2 | 2 | 10 | 73.25 ± 5.16 | 24.78 ± 4.79 | 55.65 ± 4.29 |
| F13 | 2.5 | 1.75 | 10 | 75.41 ± 3.36 | 37.80 ± 3.39 | 43.31 ± 3.45 |
| F14 | 2 | 1.5 | 20 | 84.39 ± 2.45 | 22.87 ± 4.50 | 62.98 ± 4.28 |
| F15 | 2 | 1.5 | 10 | 82.19 ± 4.60 | 19.67 ± 4.65 | 67.55 ± 6.65 |
| Model | Adequate Precision | R2 | Adjusted R2 | Predicted R2 | SD | % CV | p Value | Remarks |
|---|---|---|---|---|---|---|---|---|
| Response (Y1) | ||||||||
| Linear | 17.42 | 0.7510 | 0.7318 | 0.6731 | 4.16 | 5.12 | <0.0001 | - |
| 2FI | 13.69 | 0.7516 | 0.7102 | 0.6192 | 4.33 | 5.32 | <0.0001 | - |
| Quadratic | 77.91 | 0.9922 | 0.9900 | 0.9870 | 0.80 | 0.99 | <0.0001 | Suggested |
| Response (Y2) | ||||||||
| Linear | 6.57 | 0.3160 | 0.2634 | 0.1240 | 11.00 | 37.92 | 0.0018 | - |
| 2FI | 5.19 | 0.3246 | 0.2121 | 0.0167 | 11.37 | 39.22 | 0.0213 | - |
| Quadratic | 64.42 | 0.9917 | 0.9894 | 0.9865 | 0.05 | 1.39 | <0.0001 | Suggested |
| Response (Y3) | ||||||||
| Linear | 7.60 | 0.3923 | 0.3456 | 0.2373 | 11.12 | 19.44 | 0.0002 | - |
| 2FI | 5.97 | 0.3934 | 0.2923 | 0.1517 | 11.56 | 20.22 | 0.0043 | - |
| Quadratic | 86.16 | 0.9959 | 0.9948 | 0.9921 | 2.77 | 4.84 | <0.0001 | Suggested |
| Formulation | DL% | PD% | PDI |
|---|---|---|---|
| F1 | 4.23 ± 0.29 | 0.25 ± 0.02 | 0.18 |
| F2 | 5.48 ± 0.32 | 0.24 ± 0.03 | 0.26 |
| F3 | 3.33 ± 0.27 | 0.32 ± 0.04 | 0.32 |
| F4 | 2.07 ± 0.11 | 0.66 ± 0.03 | 0.13 |
| F5 * | 3.30 ± 0.20 | 0.11 ± 0.02 | 0.40 |
| F6 | 3.53 ± 0.32 | 0.47 ± 0.03 | 0.37 |
| F7 * | 3.25 ± 0.14 | 0.10 ± 0.02 | 0.12 |
| F8 * | 3.36 ± 0.23 | 0.12 ± 0.01 | 0.22 |
| F9 | 2.60 ± 0.25 | 0.62 ± 0.05 | 0.16 |
| F10 | 3.62 ± 0.31 | 0.18 ± 0.02 | 0.20 |
| F11 | 2.69 ± 0.13 | 0.20 ± 0.04 | 0.38 |
| F12 | 1.79 ± 0.24 | 0.16 ± 0.01 | 0.16 |
| F13 | 1.73 ± 0.16 | 0.41 ± 0.02 | 0.39 |
| F14 | 4.56 ± 0.36 | 0.15 ± 0.05 | 0.27 |
| F15 | 2.28 ± 0.12 | 0.13 ± 0.03 | 0.45 |
| Factor | Optimal Value | Response Variable | Observed Value | Prognosticated Value | % Prediction Error a |
|---|---|---|---|---|---|
| X1 | 1.79 | Y1 | 86.29 | 89.78 | −4.04 |
| X2 | 1.68 | Y2 | 15.18 | 14.29 | 5.86 |
| X3 | 15.85 | Y3 | 78.22 | 81.32 | −3.96 |
| Time (Months) | EE (%) | Micelle Size (nm) | ζ Potential (mV) | Q24 (%) |
|---|---|---|---|---|
| 0 | 86.29 ± 3.26 | 15.18 ± 2.93 | −10.35 ± 1.68 | 78.22 ± 4.01 |
| 1 | 84.97 ± 2.65 | 16.21 ± 3.01 | −9.57 ± 1.22 | 76.37 ± 3.23 |
| 2 | 84.02 ± 1.44 | 17.32 ± 2.97 | −8.91 ± 1.80 | 75.11 ± 2.59 |
| 3 | 83.57 ± 3.37 | 18.74 ± 4.10 | −8.08 ± 1.13 | 73.81 ± 2.86 |
| Experimental Group | Mean Egg Count | Percentage Reduction of Egg Count | ||
|---|---|---|---|---|
| Pretreatment | 1st Day after Treatment | 3rd Day after Treatment | ||
| Infected non-treated control (group I) | 10,900.00 ± 70.71 | 10,966.60 ± 248.33 | 10,886.60 ± 473.57 | 0% |
| Crude PRZ 25 mg/kg (group II) | 10,884.00 ± 138.85 | 0.00 ± 0.00 a,c | 0.00 ± 0.00 a,c | 100% |
| Crude PRZ 12.5 mg/kg (group III) | 10,832.00 ± 204.13 | 1033.20 ± 40.83 a,b,d,e | 966.60 ± 40.83 a,b,d,e | 90.6–91.1% |
| PRZ-PMMs 25 mg/kg (group IV) | 10,852.00 ± 123.57 | 0.00 ± 0.00 a,c | 0.00 ± 0.00 a,c | 100% |
| PRZ-PMMs 12.5 mg/kg (group V) | 10,942.00 ± 295.50 | 0.00 ± 0.00 a,c | 0.00 ± 0.00 a,c | 100% |
| Parameter | Infected Non-Treated Control (Group I) | Crude PRZ 25 mg/kg (Group II) | Crude PRZ 12.5 mg/kg (Group III) | PRZ-PMMs 25 mg/kg (Group IV) | PRZ-PMMs 12.5 mg/kg (Group V) |
|---|---|---|---|---|---|
| Worm count | 62.20 ± 2.17 | 0.00 ± 0.00 a | 16.60 ± 1.14 a,b,d,e | 0.00 ± 0.00 a,c | 0.00 ± 0.00 a,c |
| Percentage reduction of worm count | 0% | 100% | 73.3% | 100% | 100% |
| Group | ALT (IU/L) | AST (IU/L) | Creatinine (mg/dL) | Urea (mg/dL) |
|---|---|---|---|---|
| Normal control (group VI) | 22.33 ± 9.29 | 100.67 ± 15.14 | 0.59 ± 0.02 | 28.00 ± 2.00 |
| Crude PRZ 25 mg/kg (group II) | 40.67 ± 4.73 | 126.00 ± 4.36 | 0.91 ± 0.16 a,d,e | 42.00 ± 2.65 a,c,d,e |
| Crude PRZ 12.5 mg/kg (group III) | 35.67 ± 10.07 | 104.67 ± 13.61 | 0.73 ± 0.09 | 33.00 ± 2.65 b |
| PRZ-PMMs 25 mg/kg (group IV) | 31.33 ± 7.09 | 113.33 ± 20.31 | 0.66 ± 0.04 b | 29.33 ± 5.03 b |
| PRZ-PMMs 12.5 mg/kg (group V) | 21.00 ± 3.61 | 111.67 ± 18.93 | 0.57 ± 0.06 b | 31.00 ± 2.65 b |
| Pharmacokinetic Parameter | Mean ± SD | |
|---|---|---|
| PRZ Suspension | PRZ-PMMs | |
| Cmax (ng/mL) | 290.34 ± 28.53 | 380.75 ± 47.67 a |
| Tmax (h) | 0.24 ± 0.03 | 0.18 ± 0.03 a |
| Kelim (h−1) | 0.6243 ± 0.0412 | 0.0760 ± 0.0062 a |
| T1/2 (h) | 1.11 ± 0.04 | 9.12 ± 1.17 a |
| AUC0–t (ng h/mL) | 389.73 ± 95.27 | 1676.10 ± 367.34 a |
| AUC0–∞ (ng h/mL) | 565.96 ± 102.18 | 1939.53 ± 289.73 a |
| MRT (h) | 3.05 ± 0.46 | 11.12 ± 3.02 a |
| Frel (%) | -- | 342.70 |
Publisher’s Note: MDPI stays neutral with regard to jurisdictional claims in published maps and institutional affiliations. |
© 2022 by the authors. Licensee MDPI, Basel, Switzerland. This article is an open access article distributed under the terms and conditions of the Creative Commons Attribution (CC BY) license (https://creativecommons.org/licenses/by/4.0/).
Share and Cite
Arafa, W.M.; Elkomy, M.H.; Aboud, H.M.; Ali, M.I.; Abdel Gawad, S.S.; Aboelhadid, S.M.; Mahdi, E.A.; Alsalahat, I.; Abdel-Tawab, H. Tunable Polymeric Mixed Micellar Nanoassemblies of Lutrol F127/Gelucire 44/14 for Oral Delivery of Praziquantel: A Promising Nanovector against Hymenolepis nana in Experimentally-Infected Rats. Pharmaceutics 2022, 14, 2023. https://doi.org/10.3390/pharmaceutics14102023
Arafa WM, Elkomy MH, Aboud HM, Ali MI, Abdel Gawad SS, Aboelhadid SM, Mahdi EA, Alsalahat I, Abdel-Tawab H. Tunable Polymeric Mixed Micellar Nanoassemblies of Lutrol F127/Gelucire 44/14 for Oral Delivery of Praziquantel: A Promising Nanovector against Hymenolepis nana in Experimentally-Infected Rats. Pharmaceutics. 2022; 14(10):2023. https://doi.org/10.3390/pharmaceutics14102023
Chicago/Turabian StyleArafa, Waleed M., Mohammed H. Elkomy, Heba M. Aboud, Mona Ibrahim Ali, Samah S. Abdel Gawad, Shawky M. Aboelhadid, Emad A. Mahdi, Izzeddin Alsalahat, and Heba Abdel-Tawab. 2022. "Tunable Polymeric Mixed Micellar Nanoassemblies of Lutrol F127/Gelucire 44/14 for Oral Delivery of Praziquantel: A Promising Nanovector against Hymenolepis nana in Experimentally-Infected Rats" Pharmaceutics 14, no. 10: 2023. https://doi.org/10.3390/pharmaceutics14102023
APA StyleArafa, W. M., Elkomy, M. H., Aboud, H. M., Ali, M. I., Abdel Gawad, S. S., Aboelhadid, S. M., Mahdi, E. A., Alsalahat, I., & Abdel-Tawab, H. (2022). Tunable Polymeric Mixed Micellar Nanoassemblies of Lutrol F127/Gelucire 44/14 for Oral Delivery of Praziquantel: A Promising Nanovector against Hymenolepis nana in Experimentally-Infected Rats. Pharmaceutics, 14(10), 2023. https://doi.org/10.3390/pharmaceutics14102023

