Biopharmaceutical Study of Triamcinolone Acetonide Semisolid Formulations for Sublingual and Buccal Administration †
Abstract
:1. Introduction
2. Experiments
2.1. Materials
2.2. Preparation and Composition of Formulations
2.3. Rheological Properties
2.4. Analytical Method Validation
2.4.1. Linearity and Range
2.4.2. Accuracy and Precision
2.4.3. Determination of Limits
2.5. Release Studies
2.6. Permeation and Retention Studies
2.7. Statistical Analysis
2.8. Histological Observations
3. Results and Discussion
3.1. Composition of the Formulations
3.2. Rheological Properties
3.3. Release Studies
3.4. Permeation and Retention Studies
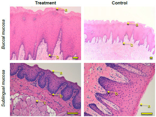
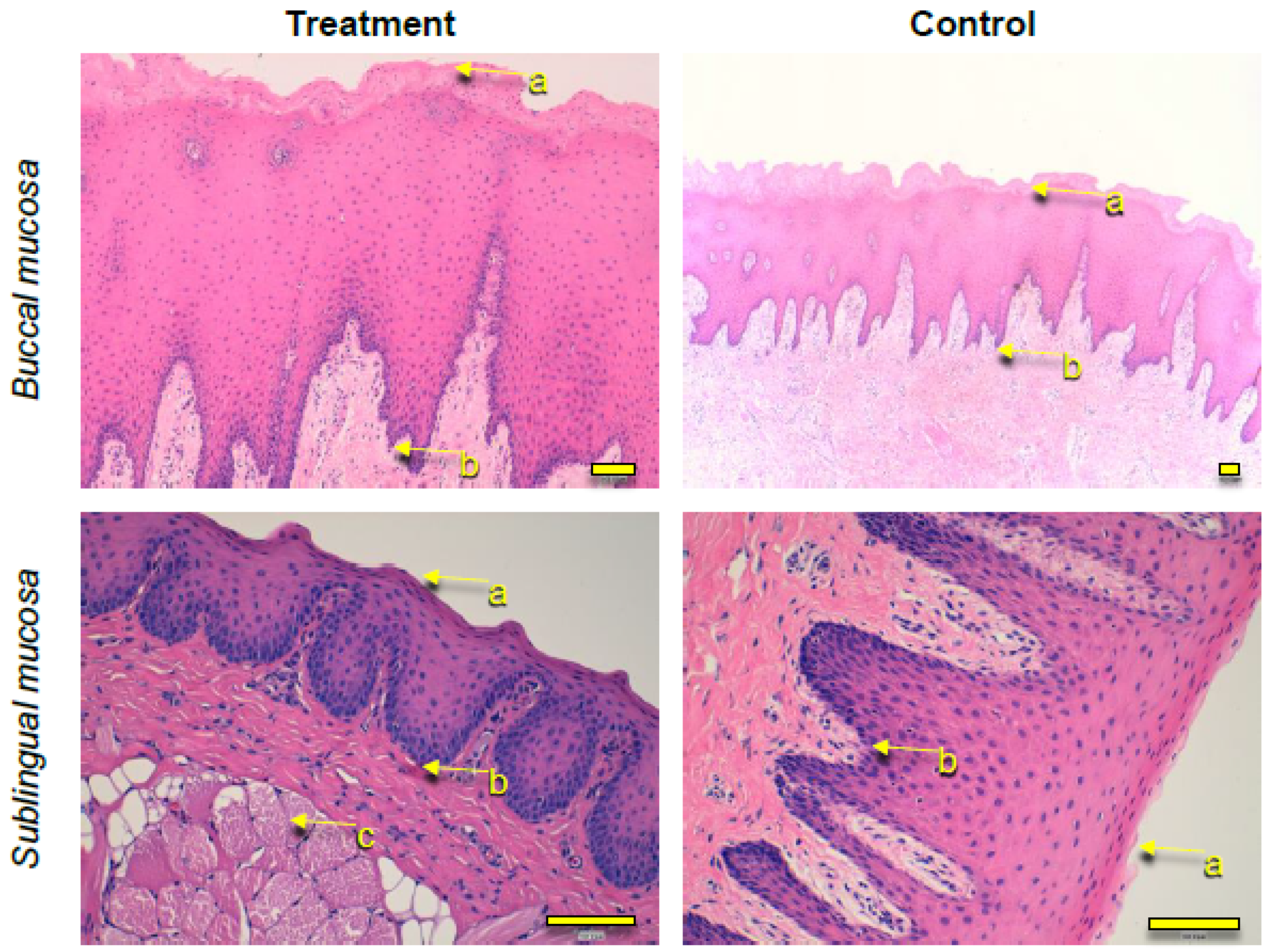
3.5. Histological Observations
4. Conclusions
Author Contributions
Funding
Institutional Review Board Statement
Informed Consent Statement
Data Availability Statement
Conflicts of Interest
Abbreviations
| API | Active Pharmaceutical Ingredient |
| TA | Triamcinolone acetonide |
| LIDO | Lidocaine hydrochloride |
| HPLC | High-Performance Liquid Chromatography |
| MeCN | Acetonitrile |
| LOD | Limit of detection |
| LOQ | Limit of quantification |
| SD | Standard deviation |
| Css | Concentration at steady state |
| Cmax | Maximum concentration |
References
- Álvarez, M. Tratamiento de las enfermedades de la cavidad bucal. OFFARM 2003, 22, 80–86. [Google Scholar]
- National Center for Biotechnology Information. PubChem Database. Triamcinolone Acetonide. Available online: https://pubchem.ncbi.nlm.nih.gov/compound/6436#section=Pharmacology-and-Biochemistry (accessed on 14 September 2019).
- Schemel-Suárez, M.; López-López, J.; Chimenos-Küstner, E. Oral Ulcers: Differential Diagnosis and Treatment. Med. Clín. (Engl. Ed.) 2015, 145, 499–503. [Google Scholar] [CrossRef]
- Fantozzi, P.J.; Treister, N.; Shekar, R.; Woo, S.B.; Villa, A. Intralesional Triamcinolone Acetonide Therapy for Inflammatory Oral Ulcers. Oral Surg. Oral Med. Oral Pathol. Oral Radiol. 2019, 128, 485–490. [Google Scholar] [CrossRef]
- Friedman, M.; Brensky Taylor, L. Treatment of Aphthous Ulcers in AIDS Patients. Laringoscope 1994, 104, 566–570. [Google Scholar] [CrossRef]
- Colombo, P.; Cagnani, S.; Sonvico, F.; Santi, P.; Russo, P.; Colombo, G. Biological In Vitro Models for Absorption by Nonoral Routes. Compr. Med. Chem. II 2007, 5, 279–299. [Google Scholar]
- Patel, V.F.; Liu, F.; Brown, M.B. Advances in Oral Transmucosal Drug Delivery. J. Control Release 2011, 153, 106–116. [Google Scholar] [CrossRef] [Green Version]
- Valls, M.M.; Labrador, A.M.; Bellowa, L.H.; Torres, D.B.; Granda, P.C.S.; Limón, D.; Calpena-Campmany, A. Galenic and Biopharmaceutical Study of the Triamcinolone Acetonide and Lidocaine Hydrochloride Semi-solid Formulations for Buccal Administration. Proceedings 2021, 78, 57. [Google Scholar] [CrossRef]
- Acofarma. Fichas de Información Técnica: Excipiente Acofar Adhesivo Oral. Available online: https://formulasmagistrales.acofarma.com/idb/descarga/3/f9b97fcbceaef2bf.pdf (accessed on 17 September 2019).
- Korodi, T.; Lachmann, B.; Kopelent-Frank, H. Evaluation of different preparation methods for a preservative free triamcinolone acetonide preparation for intravitreal administration: A validated stability indicating HPLC-method. Pharmazie Int. J. Pharm. Sci. 2010, 65, 860–866. [Google Scholar] [CrossRef]
- ISO: International Organization for Standardization. Guide 8402: Quality Vocabulary; ISO: Geneva, Switzerland, 1994. [Google Scholar]
- Huber, L. Validation and Qualification in Analytical Laboratories, 2nd ed.; Informa Healthcare: New York, NY, USA, 2007; p. 288. [Google Scholar]
- Sudsakorn, S.; Kaplan, L.; Williams, D.A. Simultaneous determination of triamcinolone acetonide and oxymetazoline hydro-chloride in nasal spray formulations by HPLC. J. Pharm. Biomed. Anal. 2006, 40, 1273–1280. [Google Scholar] [CrossRef] [PubMed]
- Cañadas-Enrich, C.; Abrego, G.; Alvarado, H.L.; Calpena-Campmany, A.C.; Boix-Montañes, A. Pranoprofen quantification in ex vivo corneal and scleral permeation samples: Analytical validation. J. Pharm. Biomed. Anal. 2018, 160, 109–118. [Google Scholar] [CrossRef] [PubMed]
- EMA: European Medicines Agency. Guideline on Bionalytical Method Validation; EMA: London, UK, 2011. Available online: http://www.ema.europa.eu/docs/enGB/documentlibrary/Scientificguideline/2011/08/WC500109686.pdf (accessed on 20 September 2019).
- AEFI: Asociación Española de Farmacéuticos de la Indústria. Validación de Métodos Analíticos; AEFI: Barcelona, Spain, 2001. [Google Scholar]
- Gómez-Segura, L.; Parra, A.; Calpena, A.C.; Gimeno, Á.; Boix-Montañes, A. Carprofen Permeation Test through Porcine Ex Vivo Mucous Membranes and Ophthalmic Tissues for Tolerability Assessments: Validation and Histological Study. Vet. Sci. 2020, 7, 152. Available online: https://www.mdpi.com/2306-7381/7/4/152/htm (accessed on 3 December 2020). [CrossRef] [PubMed]
- Vasiljevic, D.; Vuleta, G.; Primorac, M. The characterization of the semisolid W/O/W emulsions with low concentrations of the primary polymeric emulsifier. Int. J. Cosmet. Sci. 2005, 27, 81–87. [Google Scholar] [CrossRef] [PubMed]
- Rapp, B.E. Microfluidics: Modeling, Mechanics and Mathematics, 1st ed.; Elsevier: Amsterdam, The Netherlands, 2017; p. 83. [Google Scholar]
- Chejara, D.R.; Kondaveeti, S.; Prasad, K.; Siddhanta, A.K. Studies on the structure-property relationship of sodium alginate based thixotropic hydrogels. RSC Adv. 2013, 3, 15744–15751. [Google Scholar] [CrossRef]
- Acosta, N.; Sánchez, E.; Calderón, L.; Cordoba-Diaz, M.; Cordoba-Diaz, D.; Dom, S.; Heras, Á. Physical stability studies of semisolid formulations from natural compounds loaded with chitosan microspheres. Mar. Drugs 2015, 13, 5901–5919. Available online: https://www.ncbi.nlm.nih.gov/pmc/articles/PMC4584360/ (accessed on 1 December 2020). [CrossRef] [PubMed] [Green Version]
- Sanz, R.; Clares, B.; Mallandrich, M.; Suñer-Carbó, J.; Montes, M.J.; Calpena, A.C. Development of a mucoadhesive delivery system for control release of doxepin with application in vaginal pain relief associated with gynecological surgery. Int. J. Pharm. 2018, 535, 393–401. [Google Scholar] [CrossRef]
- Argenti, D.; Shah, B.; Heald, D. A Study Comparing the Clinical Pharmacokinetics, Pharmacodynamics, and Tolerability of Triamcinolone Acetonide Budesonide DryPowder Inhaler following Inhalation Administration. J. Clin. Pharmacol. 2000, 40, 516–526. [Google Scholar] [CrossRef] [PubMed]
- Nicolazzo, J.A.; Reed, B.L.; Finnin, B.C. Buccal penetration enhancers--how do they really work? J. Control Release 2005, 105, 1–15. [Google Scholar] [CrossRef] [PubMed]
- Prausnitz, M.R.; Mitragotri, S.; Langer, R. Current status and future potential of transdermal drug delivery. Nat. Rev. Drug Discov. 2004, 3, 115–124. [Google Scholar] [CrossRef] [PubMed]
- Calpena, A.C.; Lauroba, J.; Suriol, R.; Obach, J.; Domenech, J. Effect of d-limonene on transdermal permeation of nifedipine and domperidone. Int. J. Pharm. 1994, 103, 179–186. [Google Scholar] [CrossRef]
- Oray, M.; Abu Samra, K.; Ebrahimiadib, N.; Meese, H.; Foster, C.S. Long-term side effects of glucocorticoids. Expert. Opin. Drug Saf. 2016, 15, 457–465. [Google Scholar] [CrossRef] [PubMed]










| Composition | 0.05% TA | 0.05% TA + LIDO | 0.1% TA | 0.1% TA + LIDO |
|---|---|---|---|---|
| TA | 0.05% | 0.05% | 0.1% | 0.1% |
| LIDO | - | 2% | - | 2% |
| Liquid paraffin | 5% | 5% | 5% | 5% |
| Orabase® | ad 100% | ad 100% | ad 100% | ad 100% |
| Formulations | Viscosity (mPa·s) at 100 s−1 |
|---|---|
| 0.05% TA | 3890.0 ± 39.8 |
| 0.05% TA + LIDO | 3833.0 ± 27.9 |
| 0.1% TA | 3662.0 ± 42.3 |
| 0.1% TA + LIDO | 3819.0 ± 39.8 |
| Formulations | Flow (µg/h) |
|---|---|
| 0.05% TA | 9.24 ± 0.03 |
| 0.05% TA + LIDO | 9.19 ± 0.06 |
| 0.1% TA | 9.24 ± 0.03 |
| 0.1% TA + LIDO | 9.22 ± 0.02 |
| Formulations | Flow (µg/h) |
|---|---|
| 0.05% TA | 10.10 ± 0.12 |
| 0.05% TA + LIDO | 12.40 ± 0.42 *** |
| 0.1% TA | 10.74 ± 0.20 |
| 0.1% TA + LIDO | 11.04 ± 0.14 * |
Publisher’s Note: MDPI stays neutral with regard to jurisdictional claims in published maps and institutional affiliations. |
© 2021 by the authors. Licensee MDPI, Basel, Switzerland. This article is an open access article distributed under the terms and conditions of the Creative Commons Attribution (CC BY) license (https://creativecommons.org/licenses/by/4.0/).
Share and Cite
Márquez Valls, M.; Martínez Labrador, A.; Halbaut Bellowa, L.; Bravo Torres, D.; Granda, P.C.; Miñarro Carmona, M.; Limón, D.; Calpena Campmany, A.C. Biopharmaceutical Study of Triamcinolone Acetonide Semisolid Formulations for Sublingual and Buccal Administration. Pharmaceutics 2021, 13, 1080. https://doi.org/10.3390/pharmaceutics13071080
Márquez Valls M, Martínez Labrador A, Halbaut Bellowa L, Bravo Torres D, Granda PC, Miñarro Carmona M, Limón D, Calpena Campmany AC. Biopharmaceutical Study of Triamcinolone Acetonide Semisolid Formulations for Sublingual and Buccal Administration. Pharmaceutics. 2021; 13(7):1080. https://doi.org/10.3390/pharmaceutics13071080
Chicago/Turabian StyleMárquez Valls, Marta, Alejandra Martínez Labrador, Lyda Halbaut Bellowa, Doménica Bravo Torres, Paulo C. Granda, Montserrat Miñarro Carmona, David Limón, and Ana C. Calpena Campmany. 2021. "Biopharmaceutical Study of Triamcinolone Acetonide Semisolid Formulations for Sublingual and Buccal Administration" Pharmaceutics 13, no. 7: 1080. https://doi.org/10.3390/pharmaceutics13071080
APA StyleMárquez Valls, M., Martínez Labrador, A., Halbaut Bellowa, L., Bravo Torres, D., Granda, P. C., Miñarro Carmona, M., Limón, D., & Calpena Campmany, A. C. (2021). Biopharmaceutical Study of Triamcinolone Acetonide Semisolid Formulations for Sublingual and Buccal Administration. Pharmaceutics, 13(7), 1080. https://doi.org/10.3390/pharmaceutics13071080

