Detection and Molecular Characterization of GI-1 and GI-23 Avian Infectious Bronchitis Virus in Broilers Indicate the Emergence of New Genotypes in Bolivia
Abstract
1. Introduction
2. Materials and Methods
2.1. Clinical Samples
2.2. RNA Extraction and Molecular Detection
2.3. cDNA Synthesis and PCR Reaction for Full S1 Gene Amplification
2.4. Library Preparation and Full S1 Gene Sequencing
2.5. Recombination and Phylogenetic Analysis
2.6. Amino Acid Substitution Analysis
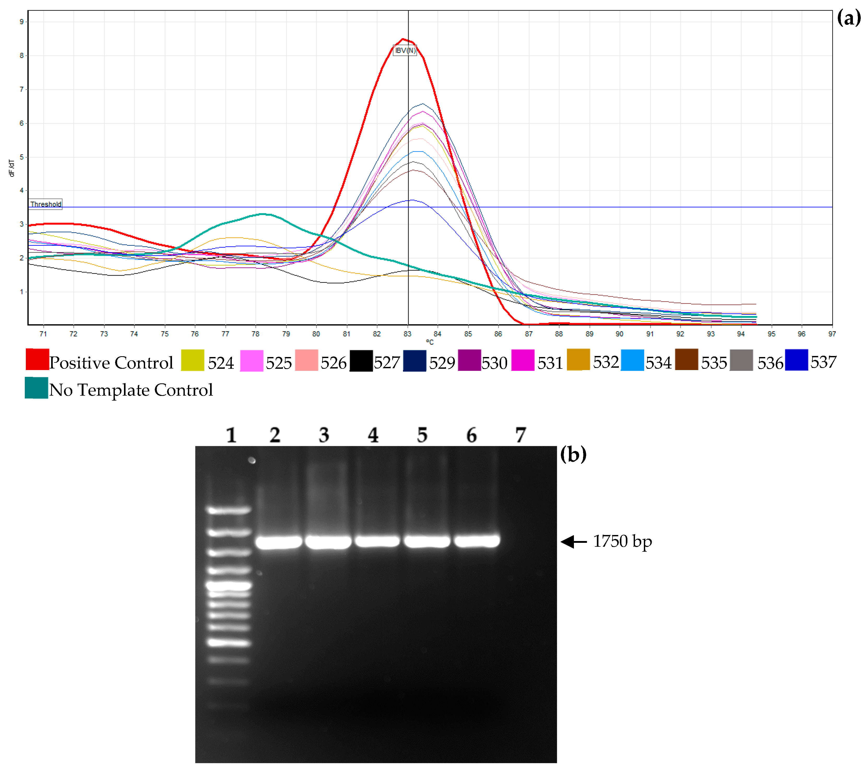
3. Results
3.1. RT-qPCR and Generation of Amplicons
3.2. Recombination and Phylogenetic Analysis
3.3. Amino Acid Substitution Analysis
4. Discussions
5. Conclusions
Supplementary Materials
Author Contributions
Funding
Institutional Review Board Statement
Informed Consent Statement
Data Availability Statement
Conflicts of Interest
References
- OIE. Chapter 2.3.2. Avian Infectious Bronchitis. Available online: http://www.oie.int/fileadmin/Home/eng/Health_standards/tahm/2.03.02_AIB.pdf (accessed on 19 July 2024).
- Trevisol, I.M.; Caron, L.; Mores, M.A.Z.; Voss-Rech, D.; da Silva Zani, G.; Back, A.; Marchesi, J.A.P.; Esteves, P.A. Pathogenicity of GI-23 Avian Infectious Bronchitis Virus Strain Isolated in Brazil. Viruses 2023, 15, 1200. [Google Scholar] [CrossRef] [PubMed]
- Balestrin, E.; Fraga, A.P.; Ikuta, N.; Canal, C.W.; Fonseca, A.S.K.; Lunge, V.R. Infectious Bronchitis Virus in Different Avian Physiological Systems—A Field Study in Brazilian Poultry Flocks. Poult. Sci. 2014, 93, 1922–1929. [Google Scholar] [CrossRef] [PubMed]
- Jackwood, M.W.; de Wit, S. Infectious Bronchitis. In Diseases of Poultry; Wiley: Hoboken, NJ, USA, 2020; pp. 167–188. [Google Scholar]
- Zhao, J.; Zhao, Y.; Zhang, G. Key Aspects of Coronavirus Avian Infectious Bronchitis Virus. Pathogens 2023, 12, 698. [Google Scholar] [CrossRef] [PubMed]
- Sjaak de Wit, J.J.; Cook, J.K.A.; van der Heijden, H.M.J.F. Infectious Bronchitis Virus Variants: A Review of the History, Current Situation and Control Measures. Avian Pathol. 2011, 40, 223–235. [Google Scholar] [CrossRef]
- Marandino, A.; Vagnozzi, A.; Tomás, G.; Techera, C.; Gerez, R.; Hernández, M.; Williman, J.; Realpe, M.; Greif, G.; Panzera, Y.; et al. Origin of New Lineages by Recombination and Mutation in Avian Infectious Bronchitis Virus from South America. Viruses 2022, 14, 2095. [Google Scholar] [CrossRef]
- Lin, S.-Y.; Chen, H.-W. Infectious Bronchitis Virus Variants: Molecular Analysis and Pathogenicity Investigation. Int. J. Mol. Sci. 2017, 18, 2030. [Google Scholar] [CrossRef]
- Ikuta, N.; Kipper, D.; de Freitas, D.S.S.; Fonseca, A.S.K.; Lunge, V.R. Evolution and Epidemic Spread of the Avian Infectious Bronchitis Virus (IBV) GI-23 in Brazil. Viruses 2023, 15, 1229. [Google Scholar] [CrossRef]
- Mase, M.; Hiramatsu, K.; Watanabe, S.; Iseki, H. Genetic Analysis of the Complete S1 Gene in Japanese Infectious Bronchitis Virus Strains. Viruses 2022, 14, 716. [Google Scholar] [CrossRef]
- Kant, A.; Koch, G.; van Roozelaar, D.J.; Kusters, J.G.; Poelwijk, F.A.; van der Zeijst, B.A. Location of Antigenic Sites Defined by Neutralizing Monoclonal Antibodies on the S1 Avian Infectious Bronchitis Virus Glycopolypeptide. J. Gen. Virol. 1992, 73 Pt 3, 591–596. [Google Scholar] [CrossRef]
- Shan, D.; Fang, S.; Han, Z.; Ai, H.; Zhao, W.; Chen, Y.; Jiang, L.; Liu, S. Effects of Hypervariable Regions in Spike Protein on Pathogenicity, Tropism, and Serotypes of Infectious Bronchitis Virus. Virus Res. 2018, 250, 104–113. [Google Scholar] [CrossRef]
- Valastro, V.; Holmes, E.C.; Britton, P.; Fusaro, A.; Jackwood, M.W.; Cattoli, G.; Monne, I. S1 Gene-Based Phylogeny of Infectious Bronchitis Virus: An Attempt to Harmonize Virus Classification. Infect. Genet. Evol. 2016, 39, 349–364. [Google Scholar] [CrossRef]
- Moreno, A.; Franzo, G.; Massi, P.; Tosi, G.; Blanco, A.; Antilles, N.; Biarnes, M.; Majó, N.; Nofrarías, M.; Dolz, R.; et al. A Novel Variant of the Infectious Bronchitis Virus Resulting from Recombination Events in Italy and Spain. Avian Pathol. 2017, 46, 28–35. [Google Scholar] [CrossRef] [PubMed]
- Quinteros, J.A.; Ignjatovic, J.; Chousalkar, K.K.; Noormohammadi, A.H.; Browning, G.F. Infectious Bronchitis Virus in Australia: A Model of Coronavirus Evolution—A Review. Avian Pathol. 2021, 50, 295–310. [Google Scholar] [CrossRef] [PubMed]
- Mendoza-González, L.; Marandino, A.; Panzera, Y.; Tomás, G.; Williman, J.; Techera, C.; Gayosso-Vázquez, A.; Ramírez-Andoney, V.; Alonso-Morales, R.; Realpe-Quintero, M.; et al. Research Note: High Genetic Diversity of Infectious Bronchitis Virus from Mexico. Poult. Sci. 2022, 101, 102076. [Google Scholar] [CrossRef] [PubMed]
- Saleem, W.; Vereecke, N.; Zaman, M.G.; Afzal, F.; Reman, I.; Khan, S.U.-H.; Nauwynck, H. Genotyping and Phylogeography of Infectious Bronchitis Virus Isolates from Pakistan Show Unique Linkage to GI-24 Lineage. Poult. Sci. 2024, 103, 103236. [Google Scholar] [CrossRef] [PubMed]
- Wang, C.-Y.; Luo, Z.-B.; Shao, G.-Q.; Hou, B. Genetic and Pathogenic Characteristics of a Novel Infectious Bronchitis Virus Strain in Genogroup VI (CK/CH/FJ/202005). Vet. Microbiol. 2022, 266, 109352. [Google Scholar] [CrossRef]
- Kariithi, H.M.; Volkening, J.D.; Goraichuk, I.V.; Ateya, L.O.; Williams-Coplin, D.; Olivier, T.L.; Binepal, Y.S.; Afonso, C.L.; Suarez, D.L. Unique Variants of Avian Coronaviruses from Indigenous Chickens in Kenya. Viruses 2023, 15, 264. [Google Scholar] [CrossRef]
- Ramirez-Nieto, G.; Mir, D.; Almansa-Villa, D.; Cordoba-Argotti, G.; Beltran-Leon, M.; Rodriguez-Osorio, N.; Garai, J.; Zabaleta, J.; Gomez, A.P. New Insights into Avian Infectious Bronchitis Virus in Colombia from Whole-Genome Analysis. Viruses 2022, 14, 2562. [Google Scholar] [CrossRef]
- Brown Jordan, A.; Fusaro, A.; Blake, L.; Milani, A.; Zamperin, G.; Brown, G.; Carrington, C.V.F.; Monne, I.; Oura, C.A.L. Characterization of Novel, Pathogenic Field Strains of Infectious Bronchitis Virus (IBV) in Poultry in Trinidad and Tobago. Transbound. Emerg. Dis. 2020, 67, 2775–2788. [Google Scholar] [CrossRef]
- Marandino, A.; Tomás, G.; Panzera, Y.; Greif, G.; Parodi-Talice, A.; Hernández, M.; Techera, C.; Hernández, D.; Pérez, R. Whole-Genome Characterization of Uruguayan Strains of Avian Infectious Bronchitis Virus Reveals Extensive Recombination between the Two Major South American Lineages. Infect. Genet. Evol. 2017, 54, 245–250. [Google Scholar] [CrossRef]
- de Wit, J.J.; Dijkman, R.; Guerrero, P.; Calvo, J.; Gonzalez, A.; Hidalgo, H. Variability in Biological Behaviour, Pathogenicity, Protectotype and Induction of Virus Neutralizing Antibodies by Different Vaccination Programmes to Infectious Bronchitis Virus Genotype Q1 Strains from Chile. Avian Pathol. 2017, 46, 666–675. [Google Scholar] [CrossRef] [PubMed]
- Guzmán, M.; Sáenz, L.; Hidalgo, H. Molecular and Antigenic Characterization of GI-13 and GI-16 Avian Infectious Bronchitis Virus Isolated in Chile from 2009 to 2017 Regarding 4/91 Vaccine Introduction. Animals 2019, 9, 656. [Google Scholar] [CrossRef] [PubMed]
- Tataje-Lavanda, L.; Falconi-Agapito, F.; Montalván, Á.; Bueno, C.; Requena, D.; Fernández-Díaz, M. First Evidence of Detection of Asia/South America II (A/SAII) Infectious Bronchitis Virus in a Commercial Broiler Flock in Peru. Vet. Rec. Case Rep. 2016, 4, e000292. [Google Scholar] [CrossRef]
- Icochea, E.; González, R.; Castro-Sanguinetti, G.; Maturrano, L.; Alzamora, L.; Sesti, L.; Chacón, J.; More-Bayona, J. Genetic Analysis of Infectious Bronchitis Virus S1 Gene Reveals Novel Amino Acid Changes in the GI-16 Lineage in Peru. Microorganisms 2023, 11, 691. [Google Scholar] [CrossRef]
- Felippe, P.A.; Da Silva, L.H.; Santos, M.M.; Spilki, F.R.; Arns, C.W. Genetic Diversity of Avian Infectious Bronchitis Virus Isolated from Domestic Chicken Flocks and Coronaviruses from Feral Pigeons in Brazil Between 2003 and 2009. Avian Dis. Dig. 2010, 5, e11–e12. [Google Scholar] [CrossRef][Green Version]
- de Fraga, A.P.; Gräf, T.; Pereira, C.S.; Ikuta, N.; Fonseca, A.S.K.; Lunge, V.R. Phylodynamic Analysis and Molecular Diversity of the Avian Infectious Bronchitis Virus of Chickens in Brazil. Infect. Genet. Evol. 2018, 61, 77–83. [Google Scholar] [CrossRef]
- Marandino, A.; Vagnozzi, A.; Craig, M.I.; Tomás, G.; Techera, C.; Panzera, Y.; Vera, F.; Pérez, R. Genetic and Antigenic Heterogeneity of Infectious Bronchitis Virus in South America: Implications for Control Programs. Avian Pathol. 2019, 48, 270–277. [Google Scholar] [CrossRef]
- Chacón, J.L.; Rodrigues, J.N.; Assayag Júnior, M.S.; Peloso, C.; Pedroso, A.C.; Piantino Ferreira, A.J. Epidemiological Survey and Molecular Characterization of Avian Infectious Bronchitis Virus in Brazil between 2003 and 2009. Avian Pathol. 2011, 40, 153–162. [Google Scholar] [CrossRef]
- Lisowska, A.; Pikuła, A.; Opolska, J.; Jasik, A.; Kycko, A.; Domańska-Blicharz, K. Virulence Properties of GI-23 Infectious Bronchitis Virus Isolated in Poland and Efficacy of Different Vaccination Strategies. Pathogens 2021, 10, 522. [Google Scholar] [CrossRef]
- Houta, M.H.; Hassan, K.E.; El-Sawah, A.A.; Elkady, M.F.; Kilany, W.H.; Ali, A.; Abdel-Moneim, A.S. The Emergence, Evolution and Spread of Infectious Bronchitis Virus Genotype GI-23. Arch. Virol. 2021, 166, 9–26. [Google Scholar] [CrossRef]
- Meir, R.; Maharat, O.; Farnushi, Y.; Simanov, L. Development of a Real-Time TaqMan® RT-PCR Assay for the Detection of Infectious Bronchitis Virus in Chickens, and Comparison of RT-PCR and Virus Isolation. J. Virol. Methods 2010, 163, 190–194. [Google Scholar] [CrossRef] [PubMed]
- Lee, C.W.; Hilt, D.A.; Jackwood, M.W. Redesign of Primer and Application of the Reverse Transcriptase-Polymerase Chain Reaction and Restriction Fragment Length Polymorphism Test to the DE072 Strain of Infectious Bronchitis Virus. Avian Dis. 2000, 44, 650–654. [Google Scholar] [CrossRef] [PubMed]
- Gangiredla, J.; Rand, H.; Benisatto, D.; Payne, J.; Strittmatter, C.; Sanders, J.; Wolfgang, W.J.; Libuit, K.; Herrick, J.B.; Prarat, M.; et al. GalaxyTrakr: A Distributed Analysis Tool for Public Health Whole Genome Sequence Data Accessible to Non-Bioinformaticians. BMC Genom. 2021, 22, 114. [Google Scholar] [CrossRef] [PubMed]
- Andrews, S. FastQC. Available online: https://github.com/s-andrews/FastQC (accessed on 5 July 2024).
- Wick, R. Porechop. Available online: https://github.com/rrwick/Porechop/ (accessed on 28 February 2023).
- De Coster, W. Nanofilt. Available online: https://github.com/wdecoster/nanofilt (accessed on 7 August 2024).
- Ewels, P.; Magnusson, M.; Lundin, S.; Käller, M. MultiQC: Summarize Analysis Results for Multiple Tools and Samples in a Single Report. Bioinformatics 2016, 32, 3047–3048. [Google Scholar] [CrossRef] [PubMed]
- Li, H. BWA-MEM. Available online: https://github.com/lh3/bwa (accessed on 28 February 2023).
- Li, H.; Handsaker, B.; Wysoker, A.; Fennell, T.; Ruan, J.; Homer, N.; Marth, G.; Abecasis, G.; Durbin, R.; 1000 Genome Project Data Processing Subgroup. The Sequence Alignment/Map Format and SAMtools. Bioinformatics 2009, 25, 2078–2079. [Google Scholar] [CrossRef]
- Yamada, K.D.; Tomii, K.; Katoh, K. Application of the MAFFT Sequence Alignment Program to Large Data—Reexamination of the Usefulness of Chained Guide Trees. Bioinformatics 2016, 32, 3246–3251. [Google Scholar] [CrossRef]
- Katoh, K.; Rozewicki, J.; Yamada, K.D. MAFFT Online Service: Multiple Sequence Alignment, Interactive Sequence Choice and Visualization. Brief. Bioinform. 2017, 20, 1160–1166. [Google Scholar] [CrossRef]
- Tamura, K.; Stecher, G.; Kumar, S. MEGA11: Molecular Evolutionary Genetics Analysis Version 11. Mol. Biol. Evol. 2021, 38, 3022–3027. [Google Scholar] [CrossRef]
- Martin, D.P.; Varsani, A.; Roumagnac, P.; Botha, G.; Maslamoney, S.; Schwab, T.; Kelz, Z.; Kumar, V.; Murrell, B. RDP5: A Computer Program for Analyzing Recombination in, and Removing Signals of Recombination from, Nucleotide Sequence Datasets. Virus Evol. 2021, 7, 5–7. [Google Scholar] [CrossRef]
- Bande, F.; Arshad, S.S.; Bejo, M.H.; Moeini, H.; Omar, A.R. Progress and Challenges toward the Development of Vaccines against Avian Infectious Bronchitis. J. Immunol. Res. 2015, 2015, 424860. [Google Scholar] [CrossRef]
- Davelaar, F.G.; Kouwenhoven, B.; Burger, A.G. Occurrence and Significance of Infectious Bronchitis Virus Variant Strains in Egg and Broiler Production in the Netherlands. Vet. Q. 1984, 6, 114–120. [Google Scholar] [CrossRef] [PubMed]
- Brandão, P.E.; Taniwaki, S.A.; Berg, M.; Hora, A.S. Complete Genome of Avian coronavirus Vaccine Strains Ma5 and BR-I. Genome Announc. 2017, 5, e00201-17. [Google Scholar] [CrossRef] [PubMed]
- Hipólito, O. Isolamento e Identificação Do Vírus Da Bronquite Infecciosa Das Galinhas No Brasil; Arquivo da Escola Superior de Veterinaria da Universidade Minas Gerais: Belo Horizonte, Brazil, 1957; Volume 10, pp. 131–151. [Google Scholar]
- Rafique, S.; Jabeen, Z.; Pervaiz, T.; Rashid, F.; Luo, S.; Xie, L.; Xie, Z. Avian Infectious Bronchitis Virus (AIBV) Review by Continent. Front. Cell Infect. Microbiol. 2024, 14, 1325346. [Google Scholar] [CrossRef] [PubMed]
- Rohaim, M.A.; El Naggar, R.F.; Abdelsabour, M.A.; Mohamed, M.H.A.; El-Sabagh, I.M.; Munir, M. Evolutionary Analysis of Infectious Bronchitis Virus Reveals Marked Genetic Diversity and Recombination Events. Genes 2020, 11, 605. [Google Scholar] [CrossRef]



| Sample | Sequencing ID | Sample Type | Clinical Signs | Age | Year | Country of Origin | RT-qPCR Ct Value |
|---|---|---|---|---|---|---|---|
| 524 | na | Trachea | Respiratory | 21 days | 2024 | Bolivia | +/25.83 |
| 525 | VFAR-187 | Trachea | Respiratory and trachea lesions | 21 days | 2024 | Bolivia | +/23.73 |
| 526 | na | Paranasal sinuses | Respiratory | 21 days | 2024 | Bolivia | +/27.00 |
| 527 | na | Kidney | Nephritis | 21 days | 2024 | Bolivia | −/no Ct |
| 529 | VFAR-188 | Trachea | Respiratory | 28 days | 2024 | Bolivia | +/19.26 |
| 530 | VFAR-189 | kidney | Respiratory and nephritis | 25 days | 2024 | Bolivia | +/23.08 |
| 531 | VFAR-190 | Paranasal sinuses | Respiratory | 28 days | 2024 | Bolivia | +/18.93 |
| 532 | na | Kidney | Nephritis | 25 days | 2024 | Bolivia | −/no Ct |
| 534 | na | Trachea | Respiratory | 33 days | 2024 | Bolivia | +/26.10 |
| 535 | na | Cecal tonsil | Respiratory and diarrhea | 33 days | 2024 | Bolivia | +/30.15 |
| 536 | na | Paranasal sinuses | Respiratory | 33 days | 2024 | Bolivia | +/29.86 |
| 537 | na | Kidney | Nephritis | 33 days | 2024 | Bolivia | +/31.92 |
Disclaimer/Publisher’s Note: The statements, opinions and data contained in all publications are solely those of the individual author(s) and contributor(s) and not of MDPI and/or the editor(s). MDPI and/or the editor(s) disclaim responsibility for any injury to people or property resulting from any ideas, methods, instructions or products referred to in the content. |
© 2024 by the authors. Licensee MDPI, Basel, Switzerland. This article is an open access article distributed under the terms and conditions of the Creative Commons Attribution (CC BY) license (https://creativecommons.org/licenses/by/4.0/).
Share and Cite
Villanueva-Pérez, D.; Tataje-Lavanda, L.; Montalván-Avalos, A.; Paredes-Inofuente, D.; Montoya-Ortiz, S.; Isasi-Rivas, G.; Fernández, M.F.; Fernández-Sánchez, M.; Fernández-Díaz, M. Detection and Molecular Characterization of GI-1 and GI-23 Avian Infectious Bronchitis Virus in Broilers Indicate the Emergence of New Genotypes in Bolivia. Viruses 2024, 16, 1463. https://doi.org/10.3390/v16091463
Villanueva-Pérez D, Tataje-Lavanda L, Montalván-Avalos A, Paredes-Inofuente D, Montoya-Ortiz S, Isasi-Rivas G, Fernández MF, Fernández-Sánchez M, Fernández-Díaz M. Detection and Molecular Characterization of GI-1 and GI-23 Avian Infectious Bronchitis Virus in Broilers Indicate the Emergence of New Genotypes in Bolivia. Viruses. 2024; 16(9):1463. https://doi.org/10.3390/v16091463
Chicago/Turabian StyleVillanueva-Pérez, Doris, Luis Tataje-Lavanda, Angela Montalván-Avalos, Diego Paredes-Inofuente, Suly Montoya-Ortiz, Gisela Isasi-Rivas, María F. Fernández, Manolo Fernández-Sánchez, and Manolo Fernández-Díaz. 2024. "Detection and Molecular Characterization of GI-1 and GI-23 Avian Infectious Bronchitis Virus in Broilers Indicate the Emergence of New Genotypes in Bolivia" Viruses 16, no. 9: 1463. https://doi.org/10.3390/v16091463
APA StyleVillanueva-Pérez, D., Tataje-Lavanda, L., Montalván-Avalos, A., Paredes-Inofuente, D., Montoya-Ortiz, S., Isasi-Rivas, G., Fernández, M. F., Fernández-Sánchez, M., & Fernández-Díaz, M. (2024). Detection and Molecular Characterization of GI-1 and GI-23 Avian Infectious Bronchitis Virus in Broilers Indicate the Emergence of New Genotypes in Bolivia. Viruses, 16(9), 1463. https://doi.org/10.3390/v16091463

