Life-Threatening Conditions in Children with Bocavirus Infection-Case Series and Mini Review of the Literature
Abstract
1. Introduction
2. Materials and Methods
2.1. Case 1
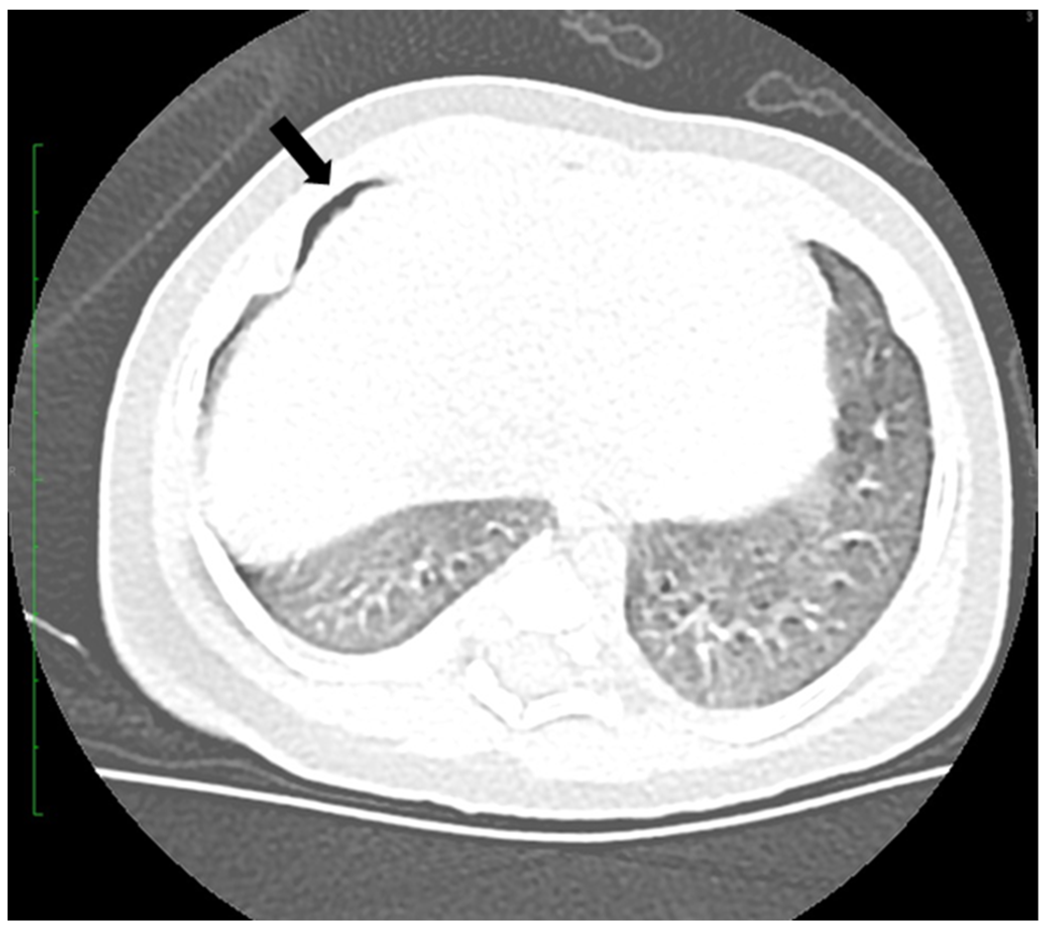
2.2. Case 2
2.3. Case 3
2.4. Case 4
3. Discussion
4. Conclusions
Author Contributions
Funding
Institutional Review Board Statement
Informed Consent Statement
Data Availability Statement
Conflicts of Interest
References
- Guido, M.; Tumolo, M.R.; Verri, T.; Romano, A.; Serio, F.; De Giorgi, M.; Donno, A.D.; Bagordo, F.; Zizza, A. Human Bocavirus: Current Knowledge and Future Challenges. World J. Gastroenterol. 2016, 22, 8684. [Google Scholar] [CrossRef] [PubMed]
- Trapani, S.; Caporizzi, A.; Ricci, S.; Indolfi, G. Human Bocavirus in Childhood: A True Respiratory Pathogen or a “Passenger” Virus? A Comprehensive Review. Microorganisms 2023, 11, 1243. [Google Scholar] [CrossRef] [PubMed]
- Farrag, M.A.; Aziz, I.M.; Alsaleh, A.N.; Almajhdi, F.N. Human Bocavirus in Saudi Arabia: Molecular Epidemiology and Co-Infections among Children with Acute Respiratory Tract Infections during 2014–2016. Heliyon 2024, 10, e28350. [Google Scholar] [CrossRef]
- Zhang, X.; Zhang, N.; Ren, Y.-Y. Review of Risk Factors, Clinical Manifestations, Rapid Diagnosis, and Emergency Treatment of Neonatal Perioperative Pneumothorax. World J. Clin. Cases 2022, 10, 12066–12076. [Google Scholar] [CrossRef]
- Liao, J.; Yang, Z.; He, Y.; Wei, J.; Ren, L.; Liu, E.; Zang, N. Respiratory Tract Infection of Fatal Severe Human Bocavirus 1 in a 13-Month-Old Child: A Case Report and Literature Review. Front. Pediatr. 2022, 10, 949817. [Google Scholar] [CrossRef]
- Schwartz, D.; Green, B.; Carmichael, L.E.; Parrish, C.R. The Canine Minute Virus (Minute Virus of Canines) Is a Distinct Parvovirus That Is Most Similar to Bovine Parvovirus. Virology 2002, 302, 219–223. [Google Scholar] [CrossRef]
- Caporizzi, A.; Ravidà, F.; Barneschi, S.; Moriondo, M.; Nieddu, F.; Boscia, S.; Stinco, M.; Ricci, S.; Trapani, S. Analysis of a Cohort of 165 Pediatric Patients with Human Bocavirus Infection and Comparison between Mono-Infection and Respiratory Co-Infections: A Retrospective Study. Pathogens 2024, 13, 55. [Google Scholar] [CrossRef]
- Dina, J.; Vabret, A.; Gouarin, S.; Petitjean, J.; Lecoq, J.; Brouard, J.; Arion, A.; Lafay-Delaire, F.; Freymuth, F. Detection of Human Bocavirus in Hospitalised Children. J. Paediatr. Child. Health 2009, 45, 149–153. [Google Scholar] [CrossRef]
- Zhang, F.-Z.; Huang, M.-X.; Tao, X.; Wu, L.; Jia, X.; Tang, L.-F. Plastic Bronchitis Associated with Human Bocavirus 1 Infection in Children. Pediatr. Pulmonol. 2024. [Google Scholar] [CrossRef]
- Alkhalf, H.; Almutairi, A.R.; Almutairi, A.; Almutairi, R.K.; AlGhnam, S.; Aljohani, S.; Alqanatish, J.T.; Babiker, A. Prevalence and Clinical Characterization of Bocavirus Infection in a Specialized Children’s Hospital in Saudi Arabia. Cureus 2022, 14, e22127. [Google Scholar] [CrossRef] [PubMed]
- Spencer, D.A.; Thomas, M.F. Necrotising Pneumonia in Children. Paediatr. Respir. Rev. 2014, 15, 240–245. [Google Scholar] [CrossRef] [PubMed]
- Tritsch, Z.; Galan, G.; Oates, G.; Thomas, J. Case Report: Traumatic Tension Pneumothorax in a Pediatric Patient. J. Educ. Teach. Emerg. Med. 2021, 6, V26–V28. [Google Scholar] [CrossRef]
- Jovandaric, M.Z.; Milenkovic, S.J.; Dotlic, J.; Babovic, I.R.; Jestrovic, Z.; Milosevic, B.; Culjic, M.; Babic, S. Neonatal Pneumothorax Outcome in Preterm and Term Newborns. Medicina 2022, 58, 965. [Google Scholar] [CrossRef]
- Ulmeanu, A.-I.; Stuparu, S.; Ulmeanu, A.A.; Zăpucioiu, C. The Etiology and Therapeutic Management of Pneumothorax and Pneumomediastinum in Children. Rom. J. Med. Pract. 2019, 14, 166–171. [Google Scholar] [CrossRef]
- Quincho-Lopez, A.; Quincho-Lopez, D.L.; Hurtado-Medina, F.D. Case Report: Pneumothorax and Pneumomediastinum as Uncommon Complications of COVID-19 Pneumonia—Literature Review. Am. J. Trop. Med. Hyg. 2020, 103, 1170–1176. [Google Scholar] [CrossRef]
- Filip, F.; Terteliu Baitan, M.; Caliman Sturdza, O.A.; Gheorghita Puscaselu, R.; Filip, R. Spontaneous Pneumomediastinum in a 16-Year-Old Patient with SARS-CoV-2 Infection: A North-East Romanian Case. Children 2022, 9, 1641. [Google Scholar] [CrossRef]
- Yousuf, S.; Cardenas, S.; Rezaee, F. Pediatric Pneumothorax: Case Studies and Review of Current Literature. Respir. Med. Case Rep. 2021, 34, 101548. [Google Scholar] [CrossRef]
- Sonay Yalçın Cömert, H. Pneumothorax in Children. In Pleura—A Surgical Perspective; IntechOpen: Rijeka, Croatia, 2022. [Google Scholar]
- Noppen, M. Spontaneous Pneumothorax: Epidemiology, Pathophysiology and Cause. Eur. Respir. Rev. 2010, 19, 217–219. [Google Scholar] [CrossRef]
- Lewit, R.A.; Tutor, A.; Albrecht, A.; Weatherall, Y.Z.; Williams, R.F. Pediatric Spontaneous Pneumothorax: Does Initial Treatment Affect Outcomes? J. Surg. Res. 2021, 259, 532–537. [Google Scholar] [CrossRef]
- Lindner, J.; Karalar, L.; Schimanski, S.; Pfister, H.; Struff, W.; Modrow, S. Clinical and Epidemiological Aspects of Human Bocavirus Infection. J. Clin. Virol. 2008, 43, 391–395. [Google Scholar] [CrossRef]
- Xu, M.; Arku, B.; Jartti, T.; Koskinen, J.; Peltola, V.; Hedman, K.; Söderlund-Venermo, M. Comparative Diagnosis of Human Bocavirus 1 Respiratory Infection With Messenger RNA Reverse-Transcription Polymerase Chain Reaction (PCR), DNA Quantitative PCR, and Serology. J. Infect. Dis. 2017, 215, 1551–1557. [Google Scholar] [CrossRef]
- Koskenvuo, M.; Möttönen, M.; Waris, M.; Allander, T.; Salmi, T.T.; Ruuskanen, O. Human Bocavirus in Children with Acute Lymphoblastic Leukemia. Eur. J. Pediatr. 2008, 167, 1011–1015. [Google Scholar] [CrossRef] [PubMed]
- Moesker, F.M.; van Kampen, J.J.A.; van der Eijk, A.A.; van Rossum, A.M.C.; de Hoog, M.; Schutten, M.; Smits, S.L.; Bodewes, R.; Osterhaus, A.D.M.E.; Fraaij, P.L.A. Human Bocavirus Infection as a Cause of Severe Acute Respiratory Tract Infection in Children. Clin. Microbiol. Infect. 2015, 21, 964.e1–964.e8. [Google Scholar] [CrossRef]
- Uršič, T.; Steyer, A.; Kopriva, S.; Kalan, G.; Krivec, U.; Petrovec, M. Human Bocavirus as the Cause of a Life-Threatening Infection. J. Clin. Microbiol. 2011, 49, 1179–1181. [Google Scholar] [CrossRef]
- Jartti, T.; Hedman, K.; Jartti, L.; Ruuskanen, O.; Allander, T.; Söderlund-Venermo, M. Human Bocavirus—The First 5 Years. Rev. Med. Virol. 2012, 22, 46–64. [Google Scholar] [CrossRef] [PubMed]
- Allander, T.; Jartti, T.; Gupta, S.; Niesters, H.G.M.; Lehtinen, P.; Osterback, R.; Vuorinen, T.; Waris, M.; Bjerkner, A.; Tiveljung-Lindell, A.; et al. Human Bocavirus and Acute Wheezing in Children. Clin. Infect. Dis. 2007, 44, 904–910. [Google Scholar] [CrossRef]
- Gendrel, D.; Guedj, R.; Pons-Catalano, C.; Emerian, A.; Raymond, J.; Rozenberg, F.; Le Bon, P. Human Bocavirus in Children with Acute Asthma. Clin. Infect. Dis. 2007, 45, 404–405. [Google Scholar] [CrossRef]
- Oldhoff, E.; Bennet, R.; Eriksson, M.; Allander, T. Human Bocavirus 1 Epidemiology in Children in Relation to Virus Load and Codetection. Acta Paediatr. 2023, 112, 1049–1055. [Google Scholar] [CrossRef]
- Eskola, V.; Xu, M.; Söderlund-Venermo, M. Severe Lower Respiratory Tract Infection Caused by Human Bocavirus 1 in an Infant. Pediatr. Infect. Dis. J. 2017, 36, 1107–1108. [Google Scholar] [CrossRef]
- Ziemele, I.; Xu, M.; Vilmane, A.; Rasa-Dzelzkaleja, S.; Hedman, L.; Hedman, K.; Söderlund-Venermo, M.; Nora-Krukle, Z.; Murovska, M.; Gardovska, D. Acute Human Bocavirus 1 Infection in Child with Life-Threatening Bilateral Bronchiolitis and Right-Sided Pneumonia: A Case Report. J. Med. Case Rep. 2019, 13, 290. [Google Scholar] [CrossRef]
- Broccolo, F.; Falcone, V.; Esposito, S.; Toniolo, A. Human Bocaviruses: Possible Etiologic Role in Respiratory Infection. J. Clin. Virol. 2015, 72, 75–81. [Google Scholar] [CrossRef] [PubMed]
- Arnold, J.C.; Singh, K.K.; Spector, S.A.; Sawyer, M.H. Human Bocavirus: Prevalence and Clinical Spectrum at a Children’s Hospital. Clin. Infect. Dis. 2006, 43, 283–288. [Google Scholar] [CrossRef]
- Petrarca, L.; Nenna, R.; Frassanito, A.; Pierangeli, A.; Di Mattia, G.; Scagnolari, C.; Midulla, F. Human Bocavirus in Children Hospitalized for Acute Respiratory Tract Infection in Rome. World J. Pediatr. 2020, 16, 293–298. [Google Scholar] [CrossRef]
- Guo, L. Bocavirus in Children with Respiratory Tract Infections. Emerg. Infect. Dis. 2011, 17, 1775–1777. [Google Scholar] [CrossRef] [PubMed]
- Bubshait, D.; Albuali, W.; Yousef, A.; Obeid, O.; Alkharsah, K.; Hassan, M.; Vatte, C.; Alzahrani, A.; Bukhari, H. Clinical Description of Human Bocavirus Viremia in Children with LRTI, Eastern Province, Saudi Arabia. Ann. Thorac. Med. 2015, 10, 146. [Google Scholar] [CrossRef]
- Manning, A.; Russell, V.; Eastick, K.; Leadbetter, G.H.; Hallam, N.; Templeton, K.; Simmonds, P. Epidemiological Profile and Clinical Associations of Human Bocavirus and Other Human Parvoviruses. J. Infect. Dis. 2006, 194, 1283–1290. [Google Scholar] [CrossRef]
- Tarciuc, P.; Pleșca, D.A.; Duduciuc, A.; Gimiga, N.; Tătăranu, E.; Herdea, V.; Ion, L.M.; Diaconescu, S. Self-Medication Patterns during a Pandemic: A Qualitative Study on Romanian Mothers’ Beliefs toward Self-Treatment of Their Children. Healthcare 2022, 10, 1602. [Google Scholar] [CrossRef] [PubMed]
- Bagasi, A.A.; Howson-Wells, H.C.; Clark, G.; Tarr, A.W.; Soo, S.; Irving, W.L.; McClure, C.P. Human Bocavirus Infection and Respiratory Tract Disease Identified in a UK Patient Cohort. J. Clin. Virol. 2020, 129, 104453. [Google Scholar] [CrossRef] [PubMed]
- Akturk, H.; Sık, G.; Salman, N.; Sutcu, M.; Tatli, B.; Akcay Ciblak, M.; Bulent Erol, O.; Hancerli Torun, S.; Citak, A.; Somer, A. Atypical Presentation of Human Bocavirus: Severe Respiratory Tract Infection Complicated with Encephalopathy. J. Med. Virol. 2015, 87, 1831–1838. [Google Scholar] [CrossRef]
- Carlone, G.; Graziano, G.; Trotta, D.; Cafagno, C.; Aricò, M.O.; Campodipietro, G.; Marabini, C.; Lizzi, M.; Fornaro, M.; Caselli, D.; et al. Bronchiolitis 2021–2022 Epidemic: Multicentric Analysis of the Characteristics and Treatment Approach in 214 Children from Different Areas in Italy. Eur. J. Pediatr. 2023, 182, 1921–1927. [Google Scholar] [CrossRef]
- Pekcan, S.; Gokturk, B.; Uygun Kucukapan, H.; Arslan, U.; Fındık, D. Spontaneous Pneumomediastinum as a Complication in Human Bocavirus Infection. Pediatr. Int. 2014, 56, 793–795. [Google Scholar] [CrossRef] [PubMed]
- Jula, A.; Waris, M.; Kantola, K.; Peltola, V.; Söderlund-Venermo, M.; Hedman, K.; Ruuskanen, O. Primary and Secondary Human Bocavirus 1 Infections in a Family, Finland. Emerg. Infect. Dis. 2013, 19, 1328–1331. [Google Scholar] [CrossRef] [PubMed]
- Huang, Q.; Deng, X.; Yan, Z.; Cheng, F.; Luo, Y.; Shen, W.; Lei-Butters, D.C.M.; Chen, A.Y.; Li, Y.; Tang, L.; et al. Establishment of a Reverse Genetics System for Studying Human Bocavirus in Human Airway Epithelia. PLoS Pathog. 2012, 8, e1002899. [Google Scholar] [CrossRef]
- Streiter, M.; Malecki, M.; Prokop, A.; Schildgen, V.; Lüsebrink, J.; Guggemos, A.; Wißkirchen, M.; Weiß, M.; Cremer, R.; Brockmann, M.; et al. Does Human Bocavirus Infection Depend on Helper Viruses? A Challenging Case Report. Virol. J. 2011, 8, 417. [Google Scholar] [CrossRef]
- Yu, J.-M.; Li, D.-D.; Xu, Z.-Q.; Cheng, W.-X.; Zhang, Q.; Li, H.-Y.; Cui, S.-X.; Miao-Jin; Yang, S.-H.; Fang, Z.-Y.; et al. Human Bocavirus Infection in Children Hospitalized with Acute Gastroenteritis in China. J. Clin. Virol. 2008, 42, 280–285. [Google Scholar] [CrossRef]
- Oliver, A.R.; Phillips, A.D. An Electron Microscopical Investigation of Faecal Small Round Viruses. J. Med. Virol. 1988, 24, 211–218. [Google Scholar] [CrossRef]
- Feigin, R.D.; Cherry, J.D.; Demmler-Harrison, G.J.; Kaplan, S.L. Textbook of Pediatric Infectious Diseases; Elsevier Health Sciences: Amsterdam, The Netherlands, 2009; Volume 1. [Google Scholar]
- Available online: https://Insp.Gov.Ro/Download/Analiza-Bolilor-Transmisibile-Aflate-in-Supraveghere-Raport-Pentru-Anul-2022/ (accessed on 15 June 2024).




Disclaimer/Publisher’s Note: The statements, opinions and data contained in all publications are solely those of the individual author(s) and contributor(s) and not of MDPI and/or the editor(s). MDPI and/or the editor(s) disclaim responsibility for any injury to people or property resulting from any ideas, methods, instructions or products referred to in the content. |
© 2024 by the authors. Licensee MDPI, Basel, Switzerland. This article is an open access article distributed under the terms and conditions of the Creative Commons Attribution (CC BY) license (https://creativecommons.org/licenses/by/4.0/).
Share and Cite
Tătăranu, E.; Galos, F.; Anchidin-Norocel, L.; Axinte, R.; Filip, F.; Axinte, S.; Tătăranu, A.; Terteliu, M.; Diaconescu, S. Life-Threatening Conditions in Children with Bocavirus Infection-Case Series and Mini Review of the Literature. Viruses 2024, 16, 1347. https://doi.org/10.3390/v16091347
Tătăranu E, Galos F, Anchidin-Norocel L, Axinte R, Filip F, Axinte S, Tătăranu A, Terteliu M, Diaconescu S. Life-Threatening Conditions in Children with Bocavirus Infection-Case Series and Mini Review of the Literature. Viruses. 2024; 16(9):1347. https://doi.org/10.3390/v16091347
Chicago/Turabian StyleTătăranu, Elena, Felicia Galos, Liliana Anchidin-Norocel, Roxana Axinte, Florin Filip, Sorin Axinte, Adrian Tătăranu, Monica Terteliu, and Smaranda Diaconescu. 2024. "Life-Threatening Conditions in Children with Bocavirus Infection-Case Series and Mini Review of the Literature" Viruses 16, no. 9: 1347. https://doi.org/10.3390/v16091347
APA StyleTătăranu, E., Galos, F., Anchidin-Norocel, L., Axinte, R., Filip, F., Axinte, S., Tătăranu, A., Terteliu, M., & Diaconescu, S. (2024). Life-Threatening Conditions in Children with Bocavirus Infection-Case Series and Mini Review of the Literature. Viruses, 16(9), 1347. https://doi.org/10.3390/v16091347

